Next Article in Journal
Assessment of Visual Diagnosis by Podiatrists for HPV and Onychomycosis: The Need for Complementary Tests
Next Article in Special Issue
Elucidating the Effect of Nutritional Imbalances of N and K on the Infection of Verticillium dahliae in Olive
Previous Article in Journal
Five New Species of the Lichen-Forming Fungal Genus Peltula from China
Previous Article in Special Issue
Native Rhizospheric and Endophytic Fungi as Sustainable Sources of Plant Growth Promoting Traits to Improve Wheat Growth under Low Nitrogen Input
 
 
Font Type:
Arial Georgia Verdana
Font Size:
Aa Aa Aa
Line Spacing:
Column Width:
Background:
Article

PCR-DGGE Analysis Proves the Suppression of Rhizoctonia and Sclerotium Root Rot Due to Successive Inoculations

by
Mohsen Mohamed Elsharkawy
1,*,
Shuhei Kuno
2,
Mitsuro Hyakumachi
2,
Yasser S. Mostafa
3,
Saad A. Alamri
3 and
Sulaiman A. Alrumman
3
1
Agricultural Botany Department, Faculty of Agriculture, Kafrelsheikh University, Kafrelsheikh 33516, Egypt
2
Laboratory of Plant Pathology, Faculty of Applied Biological Sciences, Gifu University, 1-1 Yanagido, Gifu City 501-1193, Japan
3
Department of Biology, College of Science, King Khalid University, Abha 9004, Saudi Arabia
*
Author to whom correspondence should be addressed.
J. Fungi 2022, 8(2), 133; https://doi.org/10.3390/jof8020133
Submission received: 26 December 2021 / Revised: 23 January 2022 / Accepted: 27 January 2022 / Published: 28 January 2022

Abstract

:
The soil-borne pathogens Rhizoctonia solani and Sclerotium rolfsii have emerged as major pathogens of radish (Raphanus sativus) worldwide. The induction of soil suppressive of radish root rot disease was evaluated in soil repeatedly inoculated with R. solani, nonpathogenic binucleate Rhizoctonia sp. AG-A W1 (BNR) and S. rolfsii. The repeated inoculations of soil with R. solani and BNR significantly suppressed the disease severity of R. solani and S. rolfsii compared to the control. In contrast, the repeated inoculation of soil with S. rolfsii significantly suppressed only the pathogen, S. rolfsii. The community structure was examined using PCR-DGGE (polymerase chain reaction denaturing gradient gel electrophoresis) method. The bands of Trichoderma sp. were observed in the first, second and third inoculations of the soil with BNR. Similarly, bands of Trichoderma sp. were observed in the second and third inoculations of the soil with S. rolfsii and R. solani. Compared to the control, disease severity was significantly reduced in the soil repeatedly inoculated with S. rolfsii and R. solani . In conclusion, Trichoderma species were accumulated in specific patterns depending on the applied fungal inoculum in the suppressive soil.

1. Introduction

Crops are seriously affected by soil-borne plant pathogens. Root rot is a common disease found in the soil of high-humidity locations. Rhizoctonia solani and Sclerotium rolfsii are the most dangerous pathogens for radish root rot disease. R. solani, a phytopathogenic fungus, is categorized into anastomosis groups (AGs) based on their hyphal anastomosis reactions [1]. Brown blotches, damping off in seedlings and root rot are a few of the economically important plant diseases caused by the fungus. R. solani strains vary in their host specificity and virulence levels toward their plant hosts. On the other hand, the pathogen S. rolfsii infects around 500 plant species and causes significant losses in global crop production. S. rolfsii is found all over the globe; however, it is most common in tropical and subtropical environments [2].
In general, continuous cropping of the same crop increases soil-borne diseases due to increased concentrations of pathogens in the soil. However, this phenomenon occurs gradually. The disease decline phenomenon was reported in several diseases, such as the “take-all-decline (TAD)” caused by Gaeumanomyces graminis var. tritici [3], potato scab disease caused by Streptomyces scabies [4] and sugar beet root rot caused by R. solani AG2-2 [5,6]. Disease decline soil is a type of soil that suppresses disease. Disease does not occur even if the soil is inoculated with a new inoculum of the pathogen [7]; therefore, this mechanism could be used as a biological control. Similarly, suppressive soil was also artificially induced by repeated pathogen inoculations in the field. Wildermuth [8] reported that soil inoculation with G. graminis var. tritici (Ggt) suppressed not only the disease caused by Ggt, but also other wheat diseases caused by Phialophora-like pathogenic fungi Ggt. The author also reported a new biocontrol agent for Ggt, G. graminis var. graminis (Ggg), which is now common for biological control of Phialophora-like pathogens and filamentous fungi of Ggt. Disease decline of R. solani was induced in the soil by the continuous cropping of radish in soil inoculated with R. solani AG-4 under greenhouse conditions [9,10,11,12,13,14,15]. In addition, suppression of root rot disease in wheat, caused by R. solani AG-8, was reported after inoculation of soil with R. solani AG-8. Meanwhile, no inhibition for R. solani AG-8 was observed in soil inoculated with R. oryzae [16]. The prevalence of antagonistic microorganisms was reported to depend in many cases on the suppressive effect of the soil. These microorganisms parasitize the hyphae [12], kill sclerotia and suppress hyphal growth [6]. In general, Trichoderma spp. were reported to be significantly involved in the development of suppressive soil [12,13]. However, in suppressive soils, the patterns of antagonistic microbial accumulation have not yet been well elucidated.
Here, the suppressive soils were generated by repeated inoculation with BNR, R. solani and S. rolfsii. The population dynamics of soil microorganisms were examined using a polymerase chain reaction-denaturing gradient gel electrophoresis (PCR-DGGE) method. PCR-DGGE is one of the most common fingerprinting techniques. It is an efficient, non-time-consuming strategy for processing large sets of clones [17]. Schabereiter-Gurtner et al. [18] suggested a method to identify the representative bands observed by DGGE. The primer pair 27F and 1497R was used to amplify the 16S rDNA sequences [19]. Additionally, DGGE was used to identify bacterial flora in different food products [20,21,22]. Recently, attempts have been made to analyze the soil microbial community by using PCR-DGGE [23]. DNA (extracted from soil microorganisms) was amplified by PCR and electrophoresed on polyacrylamide gel. This method for separating DNA fragments can measure the microbial community structure in the sample, including microorganisms that are difficult to culture [24]. Therefore, this study aims to determine the population dynamics of some soil microorganisms in radish. Trichoderma spp. as antagonistic fungi were identified. Theirexistence , distribution and role were assessed. The accumulation patterns of soil microorganisms by PCR-DGGE in repeatedly inoculated soil with S. rolfsii, R. solani and BNR were confirmed.

2. Materials and Methods

2.1. Preparation of Fungal Inocula

The plant pathology department of Gifu University provided the isolates; non-pathogenic binucleate Rhizoctonia AG-A W1, Rhizoctonia solani AG1-IC RH28 and Sclerotium rolfsii SR0205 [25,26,27]. Isolates were mass cultured on autoclaved barley grain as described by Elsharkawy et al. [15,28]. Both of S. rolfsii and R. solani were highly pathogenic to radish plants. Additionally, sterilized barley grains using the same procedures served as control. All isolates were maintained on potato dextrose agar (PDA, Becton, Dickinson and Company, Sparks, NV, USA) at 4 °C with a periodic transfer.

2.2. Soil Inoculations and Pathogenicity Test

Soil was repeatedly inoculated with BNR, S. rolfsii and R. solani , and the pathogenicity of radish root rot was investigated. A mixture of sandy loam soil from the Gifu University research field and Yahagi sand 1:1 (w/w) was prepared and filtered through a sieve (mesh 5 mm). The soil was mixed with inocula of BNR, R. solani and S. rolfsii at 0.5% (w/w) and packed in plastic pots (6 cm × 8 cm). Sterilized barley grains were mixed with the soil in the control treatment. Ten seeds of radish (Raphanus sativus L.) were grown in each pot. Pots were incubated in the greenhouse at 23–27 °C and 12 h photoperiod using fluorescent bulbs at 250–300 µE m–2 s–1. The seedlings were irrigated to keep moisture and were evaluated after 2 weeks. After removing the seedlings and debris, the soils were homogenized, and 10 g soil was sampled for microbial population analysis. The remaining soil was then re-inoculated with 0.5% (w/w) barley grain containing fungal inocula before sowing radish seeds. The soil was re-inoculated twice as described above (3 inoculation times in total). The experiment was repeated three times and disease severity was assessed. Disease severity was assessed using a disease severity index as follows: 0, no symptoms (healthy seedlings); 1, <50% of the hypocotyls covered with brown lesions; 2, >50% of the hypocotyls covered with dark brown lesions; 3, seedlings dead after germination; 4, no germination. The following formula was used to calculate the DS values:
DS value = [(0 × N0) + (1 × N1) + (2 × N2) + (3 × N3) + (4 × N4)] / N
where N represents the total number of seeds planted, and N0–N4 represents the average number of seeds/seedlings in groups 0–4, respectively [15].

2.3. Effect of Repeated Inoculation on Disease Suppression

The effect of re-inoculation of S. rolfsii, R. solani and BNR was examined. Two weeks after planting radish in repeatedly infected soil with R. solani, S. rolfsii, and BNR, or sterile barley grains, the disease was assessed. The experiment was carried out exactly as described previously. The experiment was conducted three times, with three replicates in each treatment and assessed similarly.

2.4. PCR-DGGE Analysis of the Inoculated Soil

2.4.1. DNA Extraction from Soil

Soil samples were collected and stored at −20 °C until use. Soil was disrupted using crushing equipment (Fast Prep FP series, 5.5 m/sec., 30 s). DNA was extracted from soil using Fast DNA Spin Kit (Q-BioGene Inc., Tokyo, Japan) according to the recommended protocol.

2.4.2. Analysis of Microflora

For microflora analysis, a primer set targeting the V6-8 variable region of eubacterial 16S rDNA gene was designed (F984GC: 5′-GC clamp-aa cgc gaa gaa cct tac -3′R1378:5′-cgg tgt gta caa ggc ccg gga acg-3’) and used [29]. A KOD-Plus (Toyobo Life Science, Tokyo, Japan) kit was used in PCR. The reaction solution contained: 32 μL sterile distilled water, 5.0 μL 10 × PCR buffer, 5.0 μL 2 mM dNTP, 2.0 μL 25 mM MgSO4, 1.0 μL 10 μM F984GC, 1.0 μL 10 μM R13781, 2.0 μL 10 mg/ml BSA, 1.0 μL 1.0 U/μL KOD-Plus and 1.0 μL DNA template, and the total volume was adjusted to 50 μL. The PCR was amplified under the conditions of 34 cycles (94 °C for 15 s, 55 °C for 30 s and 68 °C for 30 s). The amplification product was purified using a GeneEluteTM PCR Clean-UP Kit (SIGMA-ALDRICH Inc., Tokyo, Japan). After purification, DNA concentration was measured using Nano Vue and stored at −20 °C. The DGGE was performed using a DcodeTM Universal Mutation Detection System (Bio-Rad Laboratories) according to the Dcode manual: 6% acrylamide gel: bis acrylamide (37.5:1) was set to 50–70%. PCR-amplified material was loaded onto the DGGE gel and subsequently electrophoresed at 58 °C at a constant voltage of 50 V for 18 h run in 1 × TAE. The gel was stained for 30 min using SYBR green I. The DGGE bands were photographed using Typhoon 9400. The experiment was repeated three times.

2.4.3. Analysis of Filamentous Fungus

For filamentous fungi analysis, the following primer set targeting the 18S rRNA gene was designed and used according to May et al. [30] (NS1: 5′-gta gtc ata tgc ttg tct c-3′, GCFung: 5′-GC clamp-at tcc ccg tta ccc gtt g -3′). A KOD-Plus (Toyobo Life Science, Tokyo, Japan) kit was used in PCR. The reaction solution contained: 31 μL sterile distilled water, 5.0 μL 10 × PCR buffer, 5.0 μL 2 mM dNTP, 2.0 μL 25 mM MgSO4, 1.5 μL 10 μM NSI, 1.5 μL 10 μM GCFung, 2.0 μL 10 mg/mL BSA, 1.0 μL 1.0 U/μL KOD-Plus and 1.0 μL Template DNA, and the total volume was adjusted to 50 μL. The PCR was amplified under the conditions of 30 cycles (94 °C for 15 s, 50 °C for 30 s and 68 °C for 30 s). The amplification product was purified using a GeneEluteTM PCR Clean-UP Kit (SIGMA-ALDRICH Inc., Tokyo, Japan). DNA concentration was measured using NanoVue (GE Healthcare) and then stored at −20 °C. The DGGE was performed using A DcodeTM Universal Mutation Detection System according to the Dcode manual and the 7% acrylamide gel: bis acrylamide solution (37.5:1) was set to 20–45%. The PCR-amplified material was loaded on the DGGE gel, which was subsequently electrophoresed at 60 °C using a constant voltage of 50 V for 20 h run in 1 × TAE. Gel was stained for 30 min using SYBR green I (Invitrogen). The DGGE bands were photographed using Typhoon 9400 (GE Healthcare). The experiment was repeated three times.
Bands in the gel were cut and transferred to a 1.5 mL tube. Bands were triturated with a vortex and 750 μL of TE was added. DNA was purified by shaking for 1 h at 37 °C, then centrifuged for 7 min at 13,000 rpm, and the supernatant was ethanol precipitated. Primers were used without GCclamp, DGGE analysis, and PCR amplification was conducted as previously described. The nucleotide sequence of the obtained DNA fragment was carried out according to the recommended protocol by using reaction sequence Big DyeR Terminatar v3.1 cycle sequencing kit (ABI, Inc. Tokyo, Japan) and Genetic Analyzer PRISM3100. The BLAST was determined based on the nucleotide sequence [31]. The sequence was subjected to an homology search using the International Nucleotide Sequence Database (GeneBank/DDBJ). The experiment was repeated three times.

2.5. Quantification and Frequency of Trichoderma Species by Soil Dilution Plate Technique

2.5.1. Quantification of Trichoderma Species in the Inoculated Soil

Populations of Trichoderma were calculated in the soil before and after each time of inoculation. Sterile water (45 mL) was used to suspend soil samples (5 g) with shaking (200 rpm for 30 min), which were then serially diluted (10–3 ~ 10–5). Three replicates were used for each sample by plating 100 μL of the suspension onto 10 mL agar on Petri dishes followed by incubation for 4 days at 25 °C. The number of Trichoderma colonies was then counted. Trichoderma selective medium contained TSM: 1000 mL distilled water, 0.9 g K2HPO4, 0.2 g MgSO4 7H2O, 1.0 g NH4NO3, 0.15 g KCL, 0.15 g D-Glucose, 0.15 g Rose bengal, 50 mg Chloramphenicol, 20 mg Streptomycin, 0.2 g PCNB, 0.3 g P-DASS and 20 g Agar as recommended by Elad et al. [32]. The quantity of Trichoderma spp. in the soil was measured according to the following equation [15]:
Cfu / (g dry soil) = (number of colonies × dilution factor) × (soil fresh weight / soil dry weight)

2.5.2. Frequency of Trichoderma in the Inoculated Soil

After counting Trichoderma colonies on TSM, 20 colonies were randomly selected, implanted on PDA medium and cultured for 30 days at 25 °C. Representative isolates were cultured on potato dextrose broth (PDB) for 10 days at 25 °C. Thereafter, cells were collected using an aspirator and stored at −20 °C. After rapid freezing of 100 mg of the culture with liquid nitrogen, samples were ground in a mortar and pestle. DNA was extracted with the PEX extraction method [33]. Specific primers for the ITS region were designed according to White et al. [34] (ITS1:5′-tccgtaggtgaacctgcgc-3′, ITS4: 5′-tcctccgcttattgatatgc-3′). A PCR was performed using the following reaction solution; 12.9 μL of sterile distilled water, 2.0 μL of 10 × PCR buffer, 2.0 μL of 2 mM dNTP, l.0 μL of 10 μM ITS1, 1.0 μL of 10 μM ITS4, 0.1 μL of 5 U/μL Ex Taq and 1.0 μL of DNA template, and the total volume was adjusted to 20 μL. DNA was amplified under the conditions of 30 cycles (94 °C for 15 s, 50 °C for 30 s and 68 °C for 30 s). The amplification product was purified using a GeneEluteTM PCR Clean-UP Kit. The obtained DNA fragment was determined by using nucleotide sequence according to the recommended protocol, with a Big DyeR Terminatar v3.1 cycle sequencing kit and Genetic Analyzer PRISM3100. The BLAST was determined based on the nucleotide sequence [30]. The sequence was subjected to an homology search in the International Nucleotide Sequence Database (GeneBank/DDBJ). The homology was high. Furthermore, 20 strains were isolated from each experimental plot and the ratio of each species was calculated.

2.6. Statistical Analysis

XLSTAT PRO statistical analysis software was used to separate the means by Duncan’s multiple range test (DMRT, p ≤ 0.05). Using Fisher’s LSD test, we were able to differentiate the treatment means for at least three separate experiments. EKUSERU-TOUKEI 2010 (SSRI Co., Ltd., Tokyo, Japan) was used to perform a Steel–Dwass test. p ≤ 0.05 was used as the significance level for all analyses.

3. Results

3.1. Disease Severity

Disease severity values were significantly reduced in soil that was repeatedly inoculated with R. solani and S. rolfsii. Disease severity of sterile barley grain was 0.24, 0.21 and 0.35 in the first, second and third inoculations, respectively (Table 1). Meanwhile, R. solani exhibited low disease severity values from the first (3.89) through the third inoculation (1.33). Similarly, disease severity values in soil repeatedly inoculated with S. rolfsii were 3.97, 2.34 and 1.38 in the first, second and third inoculations, respectively (Table 1). Disease decline was not observed using BNR (Table 1). Based on the above results, disease decline was confirmed due to repeated inoculations with S. rolfsii and R solani.

3.2. Suppression of Radish Root Rot Disease

Soil that was repeatedly inoculated three times with sterile barley grains served as control. Disease severity was 4.00 in the control treatment for S. rolfsii and R. solani (Table 2). Repeated inoculations of soil with R. solani significantly reduced the disease severity of R. solani and S. rolfsii to 1.40 and 1.70, respectively. On the other hand, disease severity of R. solani was 4.00 in the soil repeatedly inoculated with S. rolfsii, which indicated that the disease severity of R. solani was not suppressed at all, while the disease severity of S. rofsii was significantly decreased to 1.50 in soil repeatedly inoculated with S. rolfsii (Table 2). Soil inoculated three times with BNR showed the same tendency as the soil with repeated R. solani inoculations, recording 1.20 and 0.90 for S. rolfsii and R. solani, respectively (Table 2).

3.3. PCR-DGGE of Microbial Population

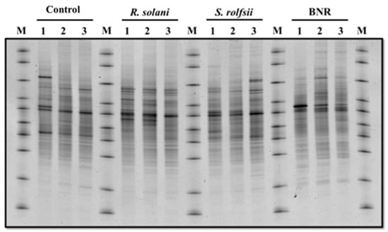
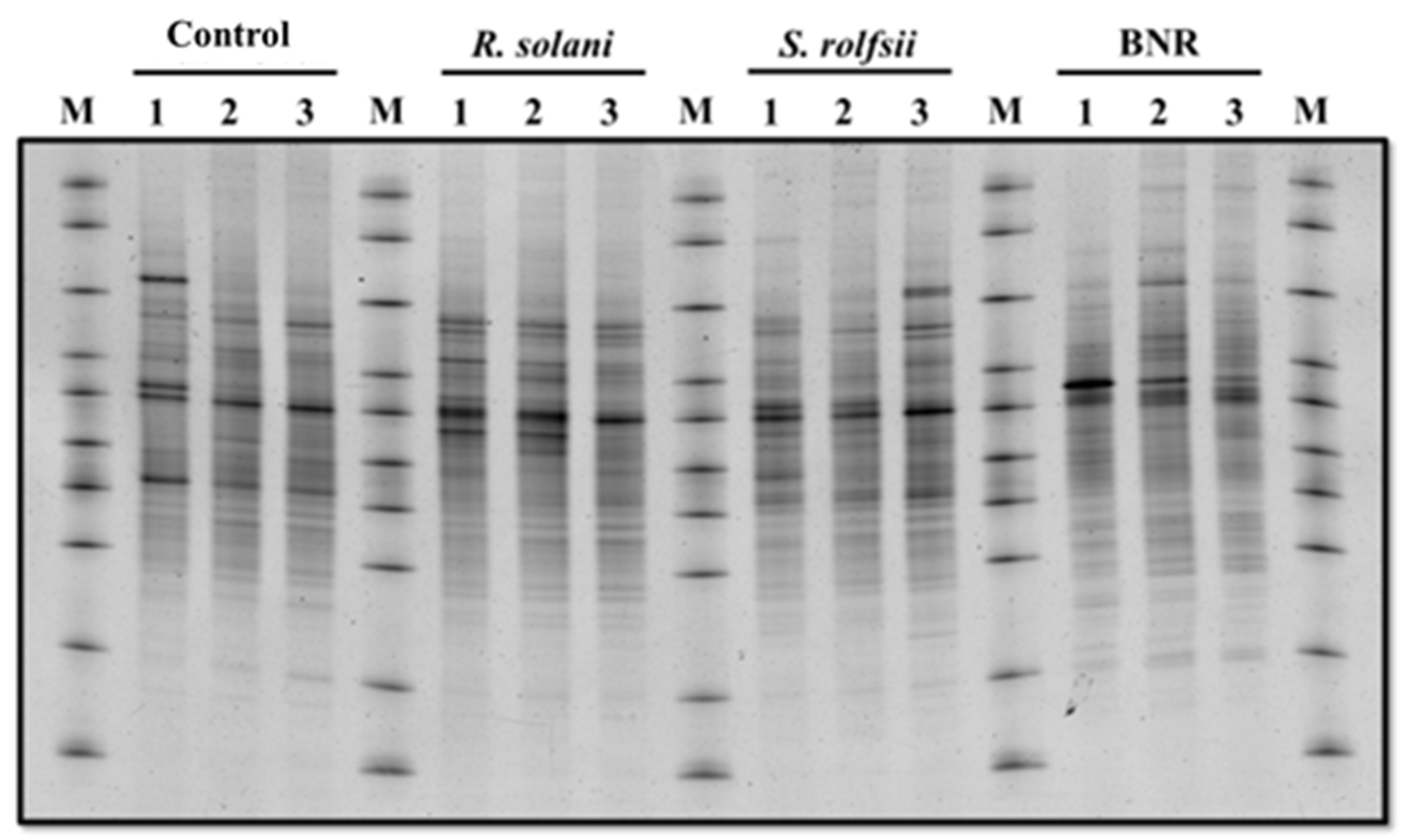
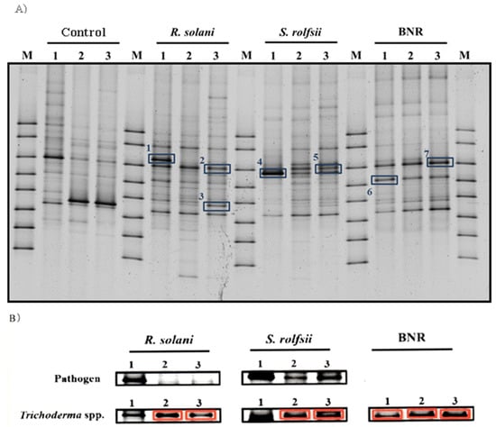
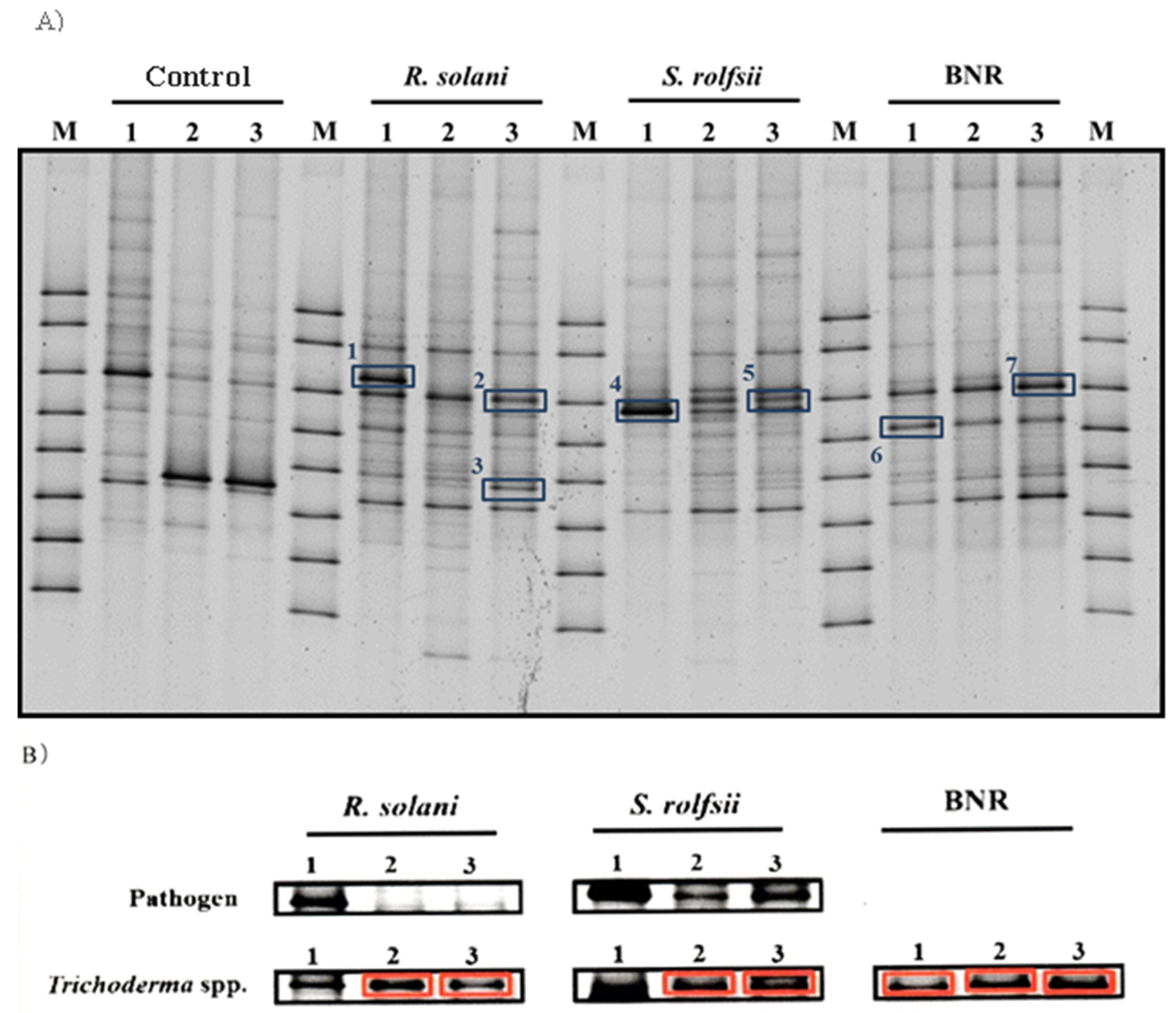
DGGE bands of microbial community structure were observed in repeatedly inoculated soil. Figure 1 shows the band patterns of 1–3 inoculations of soil with BNR, R. solani and S. rolfsii, compared with band patterns of 1–3 inoculations of soil with sterile barley grains (control). No noticeable changes were observed in the band patterns between all treatments and the control (Figure 1). On the other hand, DGGE band patterns were observed in soil repeatedly inoculated with BNR, S. rolfsii and R. solani but not in the control treatment (Figure 2A). Seven major bands were found in the homology search after decryption of the nucleotide sequence (Table 3). In the repeatedly inoculated soil with R. solani, bands of R. solani (Band 1) and Trichoderma sp. (Band 2) were observed. After the third inoculation time, Cunninghamella sp. (Band 3) was seen, a fungus that is well isolated from the soil as saprotrophs. Similarly, in repeated inoculation soil with S. rolfsii, bands of S. rolfsii (Band 4) and Trichoderma sp. (Band 5) were observed. In repeatedly inoculated soil with BNR, Penicillium sp. (Band 6) and Trichoderma sp. (Band 7) were observed. However, the band of BNR was not found (Figure 2A).
Trichoderma sp. was reported in all treatments. To confirm the changes in the band patterns of S. rolfsii and R. solani, all the bands present in the same position were cut, and an homology search was conducted after decryption of the nucleotide sequence. Figure 2B clearly illustrated the changes in the band patterns of Trichoderma sp. and pathogens in repeatedly inoculated soil. In the pathogen bands, R. solani was seen in the first inoculation but not in the second and third inoculations. In the case of S. rolfsii, the band was darker in the first inoculation and thin bands were observed in the second and third inoculations. Bands of Trichoderma sp. were observed in the second and third inoculations with S. rolfsii and R. solani and all inoculation times with BNR. Fusarium sp. was found in the first inoculation with R. solani using sequence analysis. Further bands were cut out of the first inoculation with S. rolfsii and we attempted to decipher the base sequence, but it could not be decoded (Figure 2B).

3.4. Quantification and Frequency of Trichoderma Species in Repeatedly Inoculated Soils

3.4.1. Quantification of Trichoderma Species in Repeatedly Inoculated Soils

The quantities of Trichoderma spp. in the first, second and third inoculations of soil with sterilized barley grains (control) were 1.4 × 104 cfu/g, 7.2 × 104 cfu/g and 6.2 × 104 cfu/g dry soil, respectively (Table 4). On the other hand, the quantity of Trichoderma species was 3.7 × 104 cfu/g, 14.8 × 104 cfu/g and 10.1 × 104 cfu/g dry soil in the first, second and third inoculations of soil with R. solani, respectively (Table 4). A similar trend was also observed in the soil repeatedly inoculated with S. rolfsii; the quantity of Trichoderma spp. was significantly increased in the second and third inoculations. Although the quantity of Trichoderma spp. was slightly reduced in the third inoculation, it was still significant compared with the control group (Table 4). In contrast, a significant increase in the quantity of Trichoderma spp. was observed in the first inoculation with BNR, and it reached 21.1 × 104 cfu/g dry soil. After the second inoculation, the quantity of Trichoderma spp. was increased to 32.9 × 104 cfu/g dry soil, and finally, it was further decreased to 23.6 × 104 cfu/g dry soil in the third inoculation. Thus, the repeated inoculation of BNR revealed variation patterns of Trichoderma spp., which were different from those of S. rolfsii and R. solani (Table 4).

3.4.2. Frequency of Trichoderma spp. in Repeatedly Inoculated Soils

Trichoderma spp. isolated from repeatedly inoculated soil were examined by analyzing the nucleotide sequence of the ITS region for identifying the species composition of the Trichoderma (Figure 3).
As a result, the frequencies of Trichoderma spp. in soil repeatedly inoculated with sterile barley grains were 90% T. hamatum, 5% T. virens and 5% of the other remaining species. On the other hand, the frequency of Trichoderma species in soil repeatedly inoculated with R. solani was 80% T. virens and 20% T. hamatum. Lastly, in S. rolfsii-inoculated soil, T. virens was not detected at all, and the ratio of T. hamatum was the highest (85%). Repeated inoculations of soil with BNR exhibited accumulation patterns similar to R. solani-inoculated soil, 70% T. virens and 25% T. hamatum.

4. Discussion

Rhizoctonia solani is a very common pathogen in most soils with a great diversity of host plants [35]. It is a worldwide pathogen causing severe damage to many economically important crops [35]. It also causes root rot disease on radish seedlings, which is a very destructive disease. Economic losses are evident due to the importance of quality seedling production. Sclerotium rolfsii is a soilborne fungal pathogen that causes disease in a wide range of plants [27]. Serious crop losses occur every year due to S. rolfsii infection. The ability to produce persistent sclerotia, and the broad host range of S. rolfsii contribute to the major crop losses for farmers worldwide.
Disease decline due to the introduction of living inocula was demonstrated by previous reports [4,8,13,36]. In this study, individual treatments had different patterns of disease severity across the three inoculations. Soils repeatedly inoculated with S. rolfsii and R. solani caused consistent disease decline compared to the control. Meanwhile, soil repeatedly inoculated with BNR did not initiate disease decline after any of the three inoculations. The results indicated that the repeated inoculation of soil with BNR and R. solani significantly suppressed both S. rolfsii and R. solani , while the repeated inoculation of soil with S. rolfsii significantly suppressed only S. rolfsii.
The dynamics of pathogen inoculations by the PCR-DGGE method were investigated. The band of R. solani was observed in the first inoculation but not in the second and third inoculations. On the other hand, the band of S. rolfsii was dark in the first inoculation and thin in the second and third inoculations. Fungal mycelia, spores and bacteria (microbial biomass) are considered the main components of soil organics [37]. Disease severity values after three successive inoculations with S. rolfsii, R. solani and BNR reflect the contribution of general biota on the formation of suppressive soils. The results of the dilution plate technique showed that Trichoderma spp. was accumulated in the repeatedly inoculated soil with BNR, S. rolfsii and R. solani. Additionally, the PCR-DGGE results exhibited that the bands of Trichoderma sp. were observed in the repeatedly inoculated soil with R. solani, S. rolfsii and BNR, which is consistent with the results of the dilution plate method. However, it is difficult to use quantitative analysis techniques such as the dilution plate technique for S. rolfsii and R. solani because they do not form spores. Trichoderma spp. were significantly increased in soil inoculated repeatedly with BNR from the first to third inoculations. Thus, repeated inoculation of soil with BNR revealed variation in the quantity and distribution of Trichoderma which is different from that of R. solani and S. rolfsii. It is believed that the repeated inoculations of BNR are more effective in promoting the accumulation of indigenous Trichoderma than S. rolfsii and R. solani. The frequencies of Trichoderma spp. in soils repeatedly inoculated with S. rolfsii, R. solani and BNR were estimated. T. virens and T. hamatum were the most accumulated species from the genus of Trichoderma in the repeatedly inoculated soil with BNR and R. solani. T. hamatum was also accumulated in the repeatedly inoculated soil with S. rolfsii, while T. virens was rarely isolated. Selective accumulation of Trichoderma spp. occurred due to the difference in the type of inoculum in repeatedly inoculated soil. Thus, Trichoderma species are important for the disease suppression. Trichoderma spp. were reported as antagonists to different soil-borne pathogens that occur naturally [38,39] and have already been commercialized as biocontrol agents against different pathogens [39]. Pathogen mycelia and/or sclerotia may be invaded by species of Trichoderma, reducing the formation of new propagules [10]. Trichoderma spp. are also known to generate antifungal enzymes, including chitinases that have direct and indirect effects on the cell membranes of the target fungi [40]. For example, the production of lytic enzymes by T. hamatum was reported against S. rolfsii and R. solani [40].

5. Conclusions

The findings showed that inoculating soil with BNR and R. solani multiple times substantially reduced both S. rolfsii and R. solani , whereas inoculating soil with S. rolfsii multiple times greatly suppressed only S. rolfsii. Trichoderma spp. were found to play an important role in disease suppression in repeatedly inoculated soil. The species of Trichoderma probably grew over the inocula of the pathogens in the successive treatments and were continued with the new colonies that were added at each consecutive inoculation. A further study is necessary to elucidate the selective accumulation mechanisms that control the difference in the quantity of Trichoderma spp. due to repeated inoculation of the pathogen. These findings could help establish a stable biocontrol method of root rot pathogens.

Author Contributions

Conceptualization, M.M.E. and S.K.; methodology M.M.E. and S.K.; software, M.M.E. and S.K.; validation, M.M.E. and S.K.; formal analysis, M.M.E. and S.K.; investigation, M.M.E., S.K. and M.H.; resources, M.M.E. and M.H.; data curation, M.M.E. and M.H.; writing—original draft preparation, M.M.E. and S.K.; writing—review and editing, M.M.E. and S.K.; visualization, Y.S.M., S.A.A. (Saad A. Alamri), S.A.A. (Sulaiman A. Alrumman) and M.M.E.; supervision, Y.S.M., S.A.A. (Saad A. Alamri) and M.M.E.; funding acquisition, Y.S.M., S.A.A. (Saad A. Alamri), S.A.A. (Sulaiman A. Alrumman) and M.M.E. All authors have read and agreed to the published version of the manuscript.

Funding

This research was funded by the Deputyship for Research & Innovation, Ministry of Education in Saudi Arabia for funding this research through the project number IFP-KKU-2020/2.

Institutional Review Board Statement

Not applicable.

Informed Consent Statement

Not applicable.

Data Availability Statement

Available upon request from the corresponding author.

Acknowledgments

The authors extend their appreciation to the Deputyship for Research & Innovation, Ministry of Education in Saudi Arabia for funding this research through the project number IFP-KKU-2020/2.

Conflicts of Interest

The authors declare no conflict of interest.

References

  1. Carling, D.E.; Kuninaga, S.; Brainard, K.A. Hyphal anastomosis reactions, rDNA-internal transcribed spacer sequences, and virulence levels among subsets of Rhizoctonia solani anastomosis group-2 AG-2 and AG-BI. Phytopathology 2002, 92, 43–50. [Google Scholar] [CrossRef] [PubMed] [Green Version]
  2. Punja, Z.K. The biology, ecology, and control of Sclerotium rolfsii. Annu. Rev. Phytopathol. 1985, 23, 97–127. [Google Scholar] [CrossRef]
  3. Gerlagh, M. Introduction of Ophiobolus graminis into new polders and its decline. Neth. J. Plant Pathol. 1968, 74, 1–97. [Google Scholar] [CrossRef] [Green Version]
  4. Weinhold, A.R.; Oswald, J.W.; Bowman, T.; Bishop, J.; Wright, D. Influence of green manures and crop rotation on common scab of potato. Am. Potato J. 1964, 41, 265–273. [Google Scholar] [CrossRef]
  5. Hyakumachi, M.; Ui, T. Decline of damping-off of sugar beet seedlings caused by Rhizoctonia solani AG2-2. Ann. Phytopathol. Soc. Jpn. 1982, 48, 600–606. [Google Scholar] [CrossRef]
  6. Hyakumachi, M.; Kanzawa, K.; Ui, T. Rhizoctonia root rot decline in sugar beet monoculture. In Biological Control of Soil-Borne Plant Pathogens; Hornby, D., Cook, R.J., Henis, Y., Ko, W.H., Rovira, A.D., Sxhipers, B., Scott, P.R., Eds.; CAB International: Wallingford, CT, USA, 1990; pp. 227–247. [Google Scholar]
  7. Hornby, D. Take-all decline: A theorist’s paradise. In Soil-Borne Plant Pathogens; Schippers, B., Gams, W., Eds.; Academic Press: London, UK; New York, NY, USA; San Francisco, CA, USA, 1979; pp. 133–156. [Google Scholar]
  8. Wildermuth, G.B. Soils suppressive to Gaeumannomyces graminis var. tritici: Effect on other fungi. Soil Biol. Biochem. 1982, 14, 569–573. [Google Scholar]
  9. Shipton, P.J. Monoculture and soilborne plant pathogens. Ann. Rev. Phytopathol. 1977, 15, 387–407. [Google Scholar] [CrossRef]
  10. Henis, Y.; Ghaffar, A.; Baker, R. Factors affecting suppressiveness to Rhizoctonia solani. Phytopathology 1979, 69, 1164–1169. [Google Scholar] [CrossRef]
  11. Wijetunga, C.; Baker, R. Modeling of phenomena associated with Rev. P1 Path. 1979, 54, 387–407. [Google Scholar]
  12. Liu, S.; Baker, R. Mechanism of biological control in soil suppressive to Rhizoctonia solani. Phytopathology 1980, 70, 404–412. [Google Scholar] [CrossRef]
  13. Chet, I.; Baker, R. Induction of suppressiveness to Rhizoctonia solani in soil. Phytopathology 1980, 70, 994–998. [Google Scholar] [CrossRef]
  14. Chern, L.L.; Ko, W.H. Characteristic of inhibition of suppressive soil created by monoculture with radish in the presence of Rhizoctonia solani. Phytopathology 1989, 126, 237–245. [Google Scholar] [CrossRef]
  15. Mghalu, J.M.; Tsuji, T.; Kubo, N.; Kubota, M.; Hyakumachi, M. Selective accumulation of Trichoderma species in soils suppressive to radish damping-off disease after repeated inoculations with Rhizoctonia solani, binucleate Rhizoctonia and Sclerotium rolfsii. J. Gen. Plant Pathol. 2007, 73, 250–259. [Google Scholar] [CrossRef]
  16. Lucas, P.; Similey, R.W.; Collins, H.P. Decline of Rhizoctonia root rot on wheat in soils infested with Rhizoctonia solani AG-8. Phytopathology 1993, 83, 260–265. [Google Scholar] [CrossRef]
  17. Hughes, J.B.; Hellmann, J.J.; Ricketts, T.H.; Bohannan, B.J.M. Counting the uncountable: Statistical approaches to estimating microbial diversity. Appl. Environ. Microbiol. 2001, 67, 4399–4406. [Google Scholar] [CrossRef] [PubMed] [Green Version]
  18. Schabereiter-Gurtner, C.; Piñar, G.; Lubitz, W.; Rölleke, S. An advanced molecular strategy to identify bacterial communities on art objects. J. Microbiol. Methods 2001, 45, 77–87. [Google Scholar] [CrossRef]
  19. Orphan, V.J.; Hinrichs, K.-U.; Ussler, W., III; Paull, C.K.; Taylor, L.T.; Sylva, S.P.; Hayes, J.M.; Delong, E.F. Comparative analysis of methane-oxidizing archaea and sulfate-reducing bacteria in anoxic marine sediments. Appl. Environ. Microbiol. 2001, 67, 1922–1934. [Google Scholar] [CrossRef] [Green Version]
  20. Singh, S.; Goswami, P.; Singh, R.; Heller, K.J. Application of molecular identification tools for Lactobacillus, with a focus on discrimination between closely related species. LWT Food Sci. Technol. 2009, 42, 448–457. [Google Scholar] [CrossRef]
  21. Chen, H.C.; Wang, S.Y.; Chen, M.J. Microbiological study of lactic acid bacteria in kefir grains by culture-dependent and culture-independent methods. Food Microbiol. 2008, 25, 492–501. [Google Scholar] [CrossRef]
  22. Kim, T.W.; Lee, J.H.; Kim, S.E.; Park, M.H.; Chang, H.C.; Kim, H.Y. Analysis of microbial communities in doenjang, a Korean fermented soybean paste, using nested PCR-denaturing gradient gel electrophoresis. Int. J. Food Microbiol. 2009, 131, 265–271. [Google Scholar] [CrossRef]
  23. Gonzalez, J.M.; Ortiz-Martinez, A.; Gonzalez-delValle, M.A.; Laiz, L.; Saiz-Jimenez, C. An efficient strategy for screening large cloned libraries of amplified 16S rDNA sequences from complex environmental communities. J. Microbiol. Methods 2003, 55, 459–463. [Google Scholar] [CrossRef]
  24. Ishii, K.; Fukui, M.; Taki, S. Microbial succession during a composting process as evaluated by denaturing gradient gel electrophoresis analysis. J. Appl. Microbiol. 2000, 89, 768–777. [Google Scholar] [CrossRef] [PubMed] [Green Version]
  25. Elsharkawy, M.M.; Hassan, N.; Villajuan-Abgona, R.; Hyakumachi, M. Mechanism of biological control of Rhizoctonia damping-off of cucumber by a non-pathogenic isolate of binucleate Rhizoctonia. Afr. J. Biotechnol. 2014, 13, 640–650. [Google Scholar]
  26. Hassan, N.; Elsharkawy, M.M.; Villajuan-Abgona, R.; Hyakumachi, M. A nonpathogenic species of binucleate Rhizoctonia inhibits the formation of infection structures caused by Rhizoctonia solani on cucumber. Acta Agric. Scand. Sect. B Soil Plant Sci. 2014, 65, 208–214. [Google Scholar]
  27. Hyakumachi, M.; Mondal, S.N.; Elsharkawy, M.M.; Hassan, N. Carbon loss by sclerotia of Sclerotium rolfsii under the influence of soil pH, temperature and matric potential and its effect on sclerotial germination and virulence. Appl. Soil Ecol. 2014, 77, 34–41. [Google Scholar] [CrossRef]
  28. Elsharkawy, M.M.; Shimizu, M.; Takahashi, H.; Hyakumachi, M. Induction of systemic resistance against Cucumber mosaic virus by Penicillium simplicissimum GP17-2 in Arabidopsis and tobacco. Plant Pathol. 2012, 61, 964–976. [Google Scholar] [CrossRef]
  29. Heuer, H.; Kresk, M.; Baker, P.; Smalla, K.; Wellington, E.M. Analysis of actinomycete communities by specific amplification of genes encoding 16S rDNA and gel-electrophoretic separation in denaturing gradients. Applied and Environmental. Microbiology 1997, 63, 3233–3241. [Google Scholar]
  30. May, L.A.; Smiley, B.; Schmidt, M.G. Comparative denaturing gradient gel-electrophoresis analysis of fungal communities associated with whole plant corn silage. Can. J. Microbiol. 2001, 47, 829–841. [Google Scholar] [CrossRef]
  31. Altschul, S.F.; Madden, T.L.; Schaffer, A.A.; Zhang, J.; Zhang, Z.; Miler, W.; Lipman, D.J. Gapped BLAST and PSI-BLAST: A new generation of protein database search programs. Nucletic Acids Res. 1997, 25, 3389–3402. [Google Scholar] [CrossRef] [Green Version]
  32. Elad, Y.; Chet, I.; Henis, Y. A selective medium for improving quantitative isolation of Trichoderma spp. Soil Phytoparasit. 1981, 9, 59–67. [Google Scholar] [CrossRef]
  33. Nakahara, K.; Hataya, T.; Uyeda, I. A simple, rapid method of nucleic acid extraction without tissue homogenization for detecting viroids by hybridization and RT-PCR. Virol. Methods 1999, 77, 44–58. [Google Scholar] [CrossRef]
  34. White, T.J.; Bruns, T.; Lee, S.; Taylaor, J. Amplification and Direct Sequencing of Fungal Ribosomal RNA Genes for Phylogenetics; Academic Press: San Diego, CA, USA, 1990; pp. 315–322. [Google Scholar]
  35. Sayama, M.; Homma, Y.; Furuya, H.; Takenaka, S. Some microbial properties of suppressive soil induced by successive inoculations of Rhizoctonia solani anastomosis group 2-2 (in Japanese with English summary). Soil Microorg. 2001, 55, 37–44. [Google Scholar]
  36. Ghisalberti, E.L.; Narbey, M.J.; Dewan, M.M.; Sivaithamparam, K. Variability among strains of Trichoderma harzianum in their ability to reduce take all and to produce pyrones. Plant Soil 1990, 121, 287–291. [Google Scholar] [CrossRef]
  37. Agrios, G.N. Plant Pathology, 4th ed.; Academic: San Diego, CA, USA, 1997; pp. 182–196. [Google Scholar]
  38. Chet, I.; Benhamou, N.; Haran, S. Enzymes, Biological Control and Commercial Application; Trichoderma and Gliocladium; Harman, G.E., Kubicek, C.P., Eds.; Taylor and Francis: London, UK, 1998; pp. 153–172. [Google Scholar]
  39. Harman, E.G. Overview of mechanisms and uses of Trichoderma spp. Phytopathology 2005, 96, 190–194. [Google Scholar] [CrossRef] [Green Version]
  40. Elsharkawy, M.M.; Shimizu, M.; Takahashi, H.; Ozaki, K.; Hyakumachi, M. Induction of systemic resistance against Cucumber mosaic virus in Arabidopsis thaliana by Trichoderma asperellum SKT-1. Plant Pathol. J. 2013, 29, 193–200. [Google Scholar] [CrossRef] [Green Version]
Figure 1. PCR-DGGE band patterns of microbial flora associated with the repeated inoculation of non-pathogenic binucleate Rhizoctonia, Rhizoctonia solani and Sclerotium rolfsii. M = marker; 1 = first time repeated inoculation; 2 = second time repeated inoculation; 3 = third time repeated inoculation.
Figure 1. PCR-DGGE band patterns of microbial flora associated with the repeated inoculation of non-pathogenic binucleate Rhizoctonia, Rhizoctonia solani and Sclerotium rolfsii. M = marker; 1 = first time repeated inoculation; 2 = second time repeated inoculation; 3 = third time repeated inoculation.
Jof 08 00133 g001
Figure 2. PCR-DGGE band patterns of filamentous fungi phase due to repeated inoculation of non-pathogenic binucleate Rhizoctonia, Rhizoctonia solani and Sclerotium rolfsii (A). PCR-DGGE band patterns of filamentous fungi phase due to repeated inoculation of BNR, R. solani and S. rolfsii. Changes in the band pattern of Trichoderma spp. and pathogens associated with repeated inoculation of BNR, R. solani and S. rolfsii (B). (A): M = marker; R. solani (Band 1); Trichoderma sp. (Band 2); Cunninghamella sp. (band 3); S. rolfsii (Band 4), Trichoderma sp. (Band 5); Penicillium sp. (Band 6) and Trichoderma sp. (Band 7). (B): 1 = first time repeated inoculation; 2 = second time repeated inoculation; 3 = third time repeated inoculation.
Figure 2. PCR-DGGE band patterns of filamentous fungi phase due to repeated inoculation of non-pathogenic binucleate Rhizoctonia, Rhizoctonia solani and Sclerotium rolfsii (A). PCR-DGGE band patterns of filamentous fungi phase due to repeated inoculation of BNR, R. solani and S. rolfsii. Changes in the band pattern of Trichoderma spp. and pathogens associated with repeated inoculation of BNR, R. solani and S. rolfsii (B). (A): M = marker; R. solani (Band 1); Trichoderma sp. (Band 2); Cunninghamella sp. (band 3); S. rolfsii (Band 4), Trichoderma sp. (Band 5); Penicillium sp. (Band 6) and Trichoderma sp. (Band 7). (B): 1 = first time repeated inoculation; 2 = second time repeated inoculation; 3 = third time repeated inoculation.
Jof 08 00133 g002
Figure 3. Soil dilution plate technique of non-pathogenic Rhizoctonia, Rhizoctonia solani and Sclerotium rolfsii. The percentages of frequency of the genus Trichoderma in soil repeatedly inoculated with R. solani, binucleate Rhizoctonia (BNR) and S. rolfsii. (A) Soil was repeatedly inoculated three times with sterile barley grain; (B) Soil was repeatedly inoculated three times with R. solani; (C) Soil was repeatedly inoculated three times with S. rolfsii; (D) Soil was repeatedly inoculated three times with BNR.
Figure 3. Soil dilution plate technique of non-pathogenic Rhizoctonia, Rhizoctonia solani and Sclerotium rolfsii. The percentages of frequency of the genus Trichoderma in soil repeatedly inoculated with R. solani, binucleate Rhizoctonia (BNR) and S. rolfsii. (A) Soil was repeatedly inoculated three times with sterile barley grain; (B) Soil was repeatedly inoculated three times with R. solani; (C) Soil was repeatedly inoculated three times with S. rolfsii; (D) Soil was repeatedly inoculated three times with BNR.
Jof 08 00133 g003
Table 1. Changes in radish root rot caused by repeated inoculation of non-pathogenic binucleate Rhizoctonia, Rhizoctonia solani and Sclerotium rolfsii.
Table 1. Changes in radish root rot caused by repeated inoculation of non-pathogenic binucleate Rhizoctonia, Rhizoctonia solani and Sclerotium rolfsii.
TreatmentDisease Severity 1
Number of Inoculation Times
123
Control0.24 ± 0.08a 20.21 ± 0.08a0.35 ± 0.10a
R. solani3.89 ± 0.07a2.71 ± 0.20b1.33 ± 0.14c
S. rolfsii3.97 ± 0.03a2.34 ± 0.31b1.38 ± 0.16c
BNR0.27 ± 0.08a0.19 ± 0.10a0.35 ± 0.15a
1 Numbers are means ± standard error of the severity of radish root rot disease. 2 Different alphabets indicate significant differences between treatments (Steel–Dwass test, p < 0.01).
Table 2. Suppression of radish root rot disease due to soil repeatedly inoculated three times with the non-pathogenic binucleate Rhizoctonia (BNR), Rhizoctonia solani and Sclerotium rolfsii.
Table 2. Suppression of radish root rot disease due to soil repeatedly inoculated three times with the non-pathogenic binucleate Rhizoctonia (BNR), Rhizoctonia solani and Sclerotium rolfsii.
TreatmentDisease Severity 1
Repeatedly Inoculated Soil
ControlR. solaniS. rolfsiiBNR
R. solani4.00 ± 0.00a 21.40 ± 0.15b4.00 ± 0.00a0.90 ± 0.25b
S. rolfsii4.00 ± 0.00a1.70 ± 0.06b1.50 ± 0.06b1.20 ± 0.20b
1 Numbers are means ± standard error of the severity of radish root rot disease. 2 Different alphabets indicate significant differences between treatments (Steel–Dwass test, p < 0.01).
Table 3. Homology search results of DGGE fragments of filamentous fungi phase due to repeated inoculation of non-pathogenic binucleate Rhizoctonia, Rhizoctonia solani and Sclerotium rolfsii.
Table 3. Homology search results of DGGE fragments of filamentous fungi phase due to repeated inoculation of non-pathogenic binucleate Rhizoctonia, Rhizoctonia solani and Sclerotium rolfsii.
BandBase Sequence
Length (bp)
Homology Search Results (DDBJ BLAST Search)
Species NamePercentage of Homology (%)Access No.
1267Rhizoctonia solani100D85641
2309Trichoderma sp.100AF406811
3219Cunninghamella sp.93JF824699
4288Sclerotium rolfsii100JF819726
5211Trichoderma sp.83AJ783947
6292Penicillium sp.97GU733355
7275Trichoderma sp.100DQ310767
Table 4. Changes in the quantity of Trichoderma spp. due to repeated inoculation of binucleate Rhizoctonia, Rhizoctonia solani and Sclerotium rolfsii using the soil dilution plate technique.
Table 4. Changes in the quantity of Trichoderma spp. due to repeated inoculation of binucleate Rhizoctonia, Rhizoctonia solani and Sclerotium rolfsii using the soil dilution plate technique.
TreatmentTrichoderma spp. Quantity (×104 cfu/g Dry Soil) 1
Number of Inoculation Times
123
Control1.4 ± 0.2c7.2 ± 0.2a6.2 ± 0.2b
R. solani3.7 ± 0.4c14.8 ± 0.6a10.1 ± 0.8b
S. rolfsii2.3 ± 0.1c14.0 ± 0.3a10.3 ± 0.1b
BNR21.1 ± 0.5b32.9 ± 0.6a23.6 ± 0.3b
1 Numbers are means ± standard error of the quantity of Trichoderma spp.
Publisher’s Note: MDPI stays neutral with regard to jurisdictional claims in published maps and institutional affiliations.

Share and Cite

MDPI and ACS Style

Elsharkawy, M.M.; Kuno, S.; Hyakumachi, M.; Mostafa, Y.S.; Alamri, S.A.; Alrumman, S.A. PCR-DGGE Analysis Proves the Suppression of Rhizoctonia and Sclerotium Root Rot Due to Successive Inoculations. J. Fungi 2022, 8, 133. https://doi.org/10.3390/jof8020133

AMA Style

Elsharkawy MM, Kuno S, Hyakumachi M, Mostafa YS, Alamri SA, Alrumman SA. PCR-DGGE Analysis Proves the Suppression of Rhizoctonia and Sclerotium Root Rot Due to Successive Inoculations. Journal of Fungi. 2022; 8(2):133. https://doi.org/10.3390/jof8020133

Chicago/Turabian Style

Elsharkawy, Mohsen Mohamed, Shuhei Kuno, Mitsuro Hyakumachi, Yasser S. Mostafa, Saad A. Alamri, and Sulaiman A. Alrumman. 2022. "PCR-DGGE Analysis Proves the Suppression of Rhizoctonia and Sclerotium Root Rot Due to Successive Inoculations" Journal of Fungi 8, no. 2: 133. https://doi.org/10.3390/jof8020133

APA Style

Elsharkawy, M. M., Kuno, S., Hyakumachi, M., Mostafa, Y. S., Alamri, S. A., & Alrumman, S. A. (2022). PCR-DGGE Analysis Proves the Suppression of Rhizoctonia and Sclerotium Root Rot Due to Successive Inoculations. Journal of Fungi, 8(2), 133. https://doi.org/10.3390/jof8020133

Note that from the first issue of 2016, this journal uses article numbers instead of page numbers. See further details here.

Article Metrics

Back to TopTop