COVID-19-Associated Pulmonary Aspergillosis in Patients with Acute Leukemia: A Single-Center Study
Abstract
:1. Introduction
2. Materials and Methods
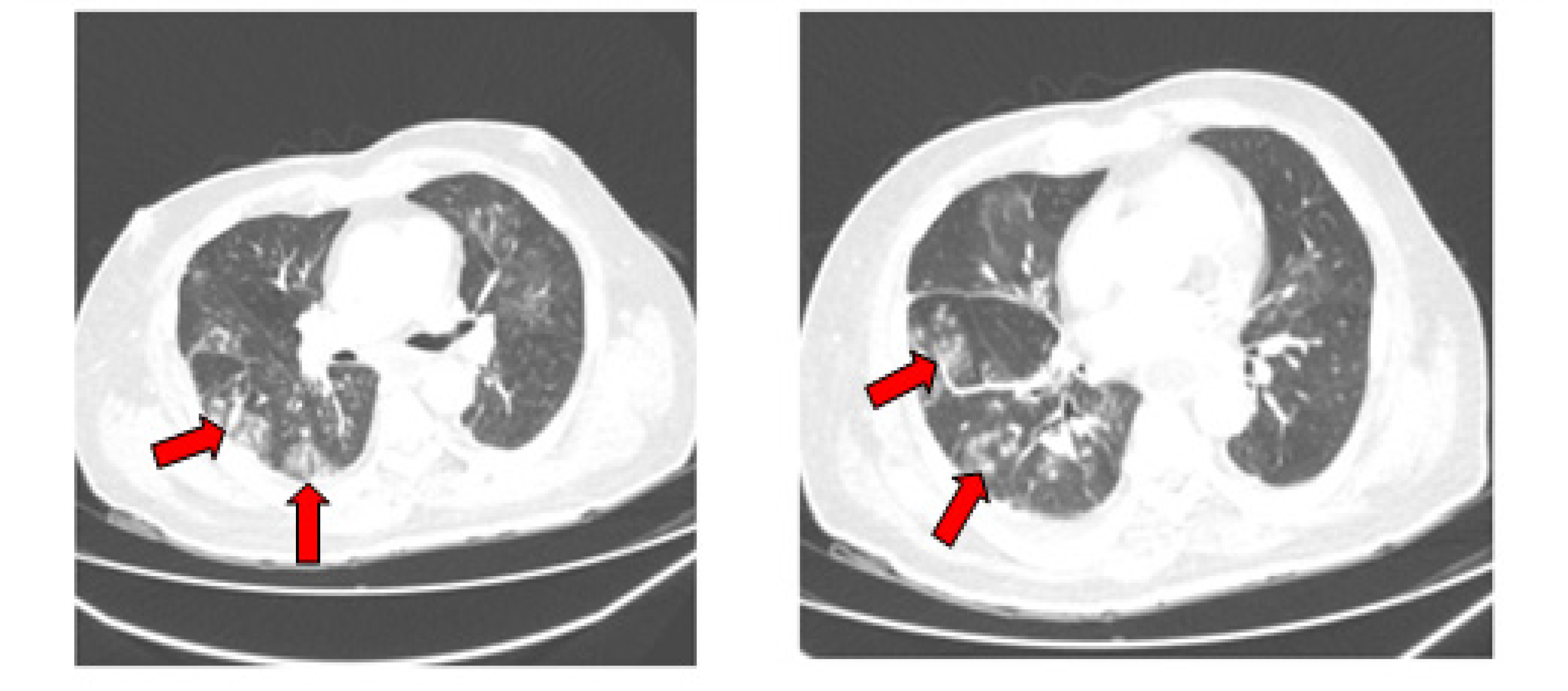
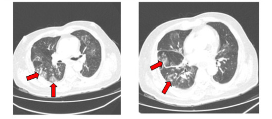
3. Results
4. Discussion
5. Conclusions
Author Contributions
Funding
Institutional Review Board Statement
Informed Consent Statement
Data Availability Statement
Conflicts of Interest
References
- Feldman, C.; Anderson, R. The role of co-infections and secondary infections in patients with COVID-19. Pneumonia 2021, 13, 1–15. [Google Scholar] [CrossRef]
- Alanio, A.; Dellière, S.; Fodil, S.; Bretagne, S.; Mégarbane, B. Prevalence of putative invasive pulmonary aspergillosis in critically ill patients with COVID-19. Lancet Respir. Med. 2020, 8, e48–e49. [Google Scholar] [CrossRef]
- Blaize, M.; Mayaux, J.; Nabet, C.; Lampros, A.; Marcelin, A.-G.; Thellier, M.; Piarroux, R.; Demoule, A.; Fekkar, A. Fatal invasive aspergillosis and Coronavirus dis-ease in an immunocompetent patient. Emerg. Infect. Dis. 2020, 26, 1636–1637. [Google Scholar] [CrossRef]
- Lai, C.-C.; Yu, W.-L. COVID-19 associated with pulmonary aspergillosis: A literature review. J. Microbiol. Immunol. Infect. 2021, 54, 46–53. [Google Scholar] [CrossRef]
- El-Baba, F.; Gao, Y.; Soubani, A.O. Pulmonary Aspergillosis: What the Generalist Needs to Know. Am. J. Med. 2020, 133, 668–674. [Google Scholar] [CrossRef]
- CDC COVID-19 Response Team. Preliminary estimates of the prevalence of selected underlying health conditions among patients with Coronavirus Disease 2019-United States, February 12–March 28, 2020. MMWR Morb. Mortal. Wkly. Rep. 2020, 69, 382–386. [Google Scholar] [CrossRef] [PubMed]
- Venkatesulu, B.P.; Chandrasekar, V.T.; Girdhar, P.; Advani, P.; Sharma, A.; Elumalai, T.; Hsieh, C.E.; Elghazawy, H.I.; Verma, V.; Krishnan, S. A Systematic Review and Meta-Analysis of Cancer Patients Affected by a Novel Coronavirus. JNCI Cancer Spectr. 2021, 5, pkaa102. [Google Scholar] [CrossRef]
- Vijenthira, A.; Gong, I.Y.; Fox, T.A.; Booth, S.; Cook, G.; Fattizzo, B.; Martín-Moro, F.; Razanamahery, J.; Riches, J.C.; Zwicker, J.I.; et al. Outcomes of patients with hematologic malignancies and COVID-19: A systematic review and meta-analysis of 3377 patients. Blood 2020, 136, 2881–2892. [Google Scholar] [CrossRef] [PubMed]
- Mitrovic, M.; Pantic, N.; Sabljic, N.; Vucic, M.; Bukumiric, Z.; Virijevic, M.; Pravdic, Z.; Rajic, J.; Todorovic-Balint, M.; Vidovic, A.; et al. Acute leukemia and SARS-CoV-2 infection: Clinical characteristics and risk factors for mortality. Leuk Lymphoma. 2021, 1–5. [Google Scholar] [CrossRef] [PubMed]
- Hope, W.; Walsh, T.; Denning, D. Laboratory diagnosis of invasive aspergillosis. Lancet Infect. Dis. 2005, 5, 609–622. [Google Scholar] [CrossRef]
- Hauggaard, A.; Ellis, M.; Ekelund, L. Early chest radiography and CT in the diagnosis, management and outcome of invasive pulmonary aspergillosis. Acta Radiol. 2002, 43, 292–298. [Google Scholar] [CrossRef] [PubMed]
- Xie, X.; Zhong, Z.; Zhao, W.; Zheng, C.; Wang, F.; Liu, J. Chest CT for Typical Coronavirus Disease 2019 (COVID-19) Pneumonia: Relationship to Negative RT-PCR Testing. Radiology 2020, 296, E41–E45. [Google Scholar] [CrossRef] [PubMed] [Green Version]
- Donnelly, J.P.; Chen, S.C.; Kauffman, C.A.; Steinbach, W.J.; Baddley, J.W.; Verweij, P.E.; Clancy, C.J.; Wingard, J.R.; Lockhart, S.R.; Groll, A.H.; et al. Revision and Update of the Consensus Definitions of Invasive Fungal Disease From the European Organization for Research and Treatment of Cancer and the Mycoses Study Group Education and Research Consortium. Clin. Infect. Dis. 2019, 71, 1367–1376. [Google Scholar] [CrossRef] [PubMed] [Green Version]
- Hamam, J.; Collaborative RESSIF Group; Navellou, J.-C.; Bellanger, A.-P.; Bretagne, S.; Winiszewski, H.; Scherer, E.; Piton, G.; Millon, L. New clinical algorithm including fungal biomarkers to better diagnose probable invasive pulmonary aspergillosis in ICU. Ann. Intensiv. Care 2021, 11, 1–9. [Google Scholar] [CrossRef]
- Arber, D.A.; Orazi, A.; Hasserjian, R.; Thiele, J.; Borowitz, M.J.; Le Beau, M.M.; Bloomfield, C.D.; Cazzola, M.; Vardiman, J.W. The 2016 revision to the World Health Organiza-tion classification of myeloid neoplasms and acute leukemia. Blood. 2016, 127, 2391–2405. [Google Scholar] [CrossRef]
- Richardson, S.; Hirsch, J.S.; Narasimhan, M.; Crawford, J.M.; McGinn, T.; Davidson, K.W.; Northwell COVID-19 Research Consortium. Presenting Characteristics, Comorbidities, and Outcomes Among 5700 Patients Hospitalized with COVID-19 in the New York City Area. JAMA 2020, 323, 2052–2059. [Google Scholar] [CrossRef]
- Caillot, D.; Couaillier, J.F.; Bernard, A.; Casasnovas, O.; Denning, D.W.; Mannone, L.; Lopez, J.; Couillault, G.; Piard, F.; Vagner, O.; et al. Increasing volume and changing charac-teristics of invasive pulmonary aspergillosis on sequential thoracic computed tomography scans in patients with neutropenia. J Clin. Oncol. 2001, 1, 253–259. [Google Scholar] [CrossRef]
- D’Haese, J.; Theunissen, K.; Vermeulen, E.; Schoemans, H.; De Vlieger, G.; Lammertijn, L.; Meersseman, P.; Lagrou, K.; Maertens, J.; Meersseman, W. Detection of Galactomannan in Bronchoalveolar Lavage Fluid Samples of Patients at Risk for Invasive Pulmonary Aspergillosis: Analytical and Clinical Validity. J. Clin. Microbiol. 2012, 50, 1258–1263. [Google Scholar] [CrossRef] [Green Version]
- Meijer, E.F.J.; Dofferhoff, A.S.M.; Hoiting, O.; Buil, J.B.; Meis, J.F. Azole-Resistant COVID-19-Associated Pulmonary Aspergillosis in an Immunocompetent Host: A Case Report. J. Fungi 2020, 6, 79. [Google Scholar] [CrossRef]
- Koehler, P.; Bassetti, M.; Chakrabarti, A.; Chen, S.C.A.; Colombo, A.L.; Hoenigl, M.; Klimko, N.; Lass-Flörl, C.; Oladele, R.O.; Vinh, D.C.; et al. Defining and managing COVID-19-associated pulmonary aspergillosis: The 2020 ECMM/ISHAM consensus criteria for research and clinical guidance. Lancet Infect. Dis. 2021, 21, e149–e162. [Google Scholar] [CrossRef]
- Ullmann, A.J.; Aguado, J.M.; Arikan-Akdagli, S.; Denning, D.W.; Groll, A.H.; Lagrou, K.; Lass-Flörl, C.; Lewis, R.E.; Munoz, P.E.; Verweij, P.; et al. Diagnosis and management of Asper-gillus diseases: Executive summary of the 2017 ESCMID-ECMM-ERS guideline. Clin. Microbiol. Infect. 2018, 24, 1–38. [Google Scholar] [CrossRef] [PubMed] [Green Version]
- Jenks, J.D.; Mehta, S.R.; Hoenigl, M. Broad spectrum triazoles for invasive mould infections in adults: Which drug and when? Med. Mycol. 2019, 57, 168–178. [Google Scholar] [CrossRef] [PubMed]

| Age | Sex | Type of AL | Initial Thoracic CT Scan | Control Thoracic CT Scan | GM Serum | IgM Anti-Aspergillus Antibodies | COVID-19 Outcome | Final Outcome | |
|---|---|---|---|---|---|---|---|---|---|
| P1 * | 55 | Female | AML | Widespread GGOs | complete regression | Positive | Positive | Recovered | Alive |
| P2 * | 56 | Female | AML | Widespread GGOs | complete regression | Positive | Positive | Recovered | Dead |
| P3 * | 34 | Male | APL | Widespread GGOs | complete regression | Negative | Positive | Recovered | Alive |
| P4 * | 58 | Male | AML | Widespread GGOs | incomplete regression | Negative | Positive | Recovered | Alive |
| P5 * | 37 | Male | AML | N/A5 | N/A | Negative | Positive | Recovered | Alive |
| P6 * | 58 | Male | AML | GGOs in inferior lung lobes | incomplete regression | Negative | Positive | Recovered | Alive |
| P7 * | 27 | Female | AML | GGOs in inferior lung lobes | complete regression | Positive | Positive | Recovered | Alive |
| P8 * | 26 | Male | ALL | Widespread GGOs | incomplete regression | Positive | Positive | Recovered | Alive |
| P9 * | 53 | Male | AML | Widespread GGOs | complete regression | Positive | Positive | Recovered | Alive |
Publisher’s Note: MDPI stays neutral with regard to jurisdictional claims in published maps and institutional affiliations. |
© 2021 by the authors. Licensee MDPI, Basel, Switzerland. This article is an open access article distributed under the terms and conditions of the Creative Commons Attribution (CC BY) license (https://creativecommons.org/licenses/by/4.0/).
Share and Cite
Rajic, J.; Gmizic, I.; Gunjak, T.; Milosevic, V.; Pantic, N.; Sabljic, N.; Mitrovic, M.; Djuric Stefanovic, A.; Lazic, L.; Jovanovic, S.; et al. COVID-19-Associated Pulmonary Aspergillosis in Patients with Acute Leukemia: A Single-Center Study. J. Fungi 2021, 7, 890. https://doi.org/10.3390/jof7110890
Rajic J, Gmizic I, Gunjak T, Milosevic V, Pantic N, Sabljic N, Mitrovic M, Djuric Stefanovic A, Lazic L, Jovanovic S, et al. COVID-19-Associated Pulmonary Aspergillosis in Patients with Acute Leukemia: A Single-Center Study. Journal of Fungi. 2021; 7(11):890. https://doi.org/10.3390/jof7110890
Chicago/Turabian StyleRajic, Jovan, Ivana Gmizic, Tara Gunjak, Violeta Milosevic, Nikola Pantic, Nikica Sabljic, Mirjana Mitrovic, Aleksandra Djuric Stefanovic, Ljubica Lazic, Snezana Jovanovic, and et al. 2021. "COVID-19-Associated Pulmonary Aspergillosis in Patients with Acute Leukemia: A Single-Center Study" Journal of Fungi 7, no. 11: 890. https://doi.org/10.3390/jof7110890
APA StyleRajic, J., Gmizic, I., Gunjak, T., Milosevic, V., Pantic, N., Sabljic, N., Mitrovic, M., Djuric Stefanovic, A., Lazic, L., Jovanovic, S., Milošević, I., Barac, A., & Vidovic, A. (2021). COVID-19-Associated Pulmonary Aspergillosis in Patients with Acute Leukemia: A Single-Center Study. Journal of Fungi, 7(11), 890. https://doi.org/10.3390/jof7110890

