Copper-Chitosan Nanocomposite Hydrogels Against Aflatoxigenic Aspergillus flavus from Dairy Cattle Feed
Abstract
1. Introduction
2. Materials and Methods
2.1. Chemicals and Reagents
2.2. Preparation of Chitosan Powder Modified with Cu NPs
2.3. Preparation of Chitosan Gels Modified with Cu NPs
2.4. Characterization Techniques
2.4.1. Transmission Electron Microscope (TEM)
2.4.2. X-Ray Fluorescence (XRF) Analysis
2.4.3. Conventional Small-Angle X-Ray Scattering (SAXS) Analysis
2.5. Aflatoxin-Producing Ability Medium
2.6. VICAM Aflatoxins Assay
2.7. DNA Extraction
2.8. PCR Assay for A. flavus Detection
2.9. Antifungal Assay
2.10. Protein Profile Degradation Assay
2.11. Native PAGE Isozyme Assay
2.12. Binding/Degradation of Genomic Fungal DNA
2.13. Scanning Electron Microscopy (SEM)
3. Results
3.1. Preparation and Characterization of Cu-Carrying Chitosan Powders
3.2. Aflatoxins Production Ability
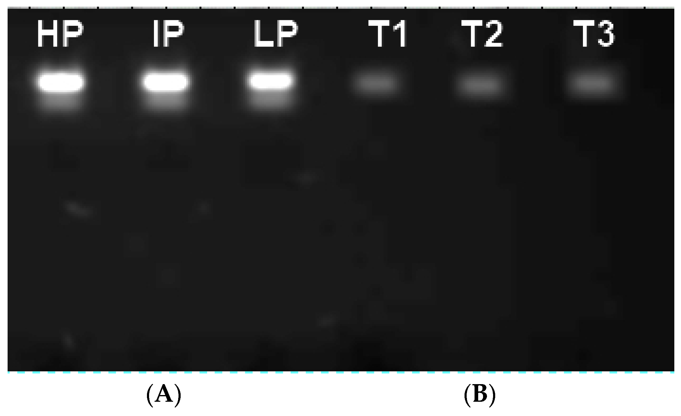
3.3. Aspergillus flavus PCR Detection
3.4. Antifungal Activity of NCs
3.5. Protein and Isozymes Profile Degradation
3.6. DNA Binding and Degradation
3.7. Fungal SEM
4. Discussion
5. Conclusions
Author Contributions
Funding
Acknowledgments
Conflicts of Interest
References
- Almoammar, H.; Bahkali, A.H.; Abd-Elsalam, K.A. A Polyphasic method for the identification of aflatoxigenic’aspergillus’ species isolated from camel feeds. Aust. J. Crop. Sci. 2013, 7, 1707. [Google Scholar]
- Omeiza, G.K.; Kabir, J.; Kwaga, J.K.P.; Kwanashie, C.N.; Mwanza, M.; Ngoma, L. A Risk assessment study of the occurrence and distribution of aflatoxigenic Aspergillus flavus and Aflatoxin B1 in dairy cattle feeds in a Central Northern State, Nigeria. Toxicol. Rep. 2018, 5, 846–856. [Google Scholar] [CrossRef]
- Li, Z.; Lin, S.; An, S.; Liu, L.; Hu, Y.; Wan, L. Preparation, characterization and Anti-Aflatoxigenic activity of chitosan packaging films incorporated with turmeric essential oil. Int. J. Biol. Macromol. 2019, 131, 420–434. [Google Scholar] [CrossRef] [PubMed]
- Mateo, E.M.; Gómez, J.V.; Domínguez, I.; Gimeno-Adelantado, J.V.; Mateo-Castro, R.; Gavara, R.; Jiménez, M. Impact of bioactive packaging systems based on EVOH films and essential oils in the control of aflatoxigenic fungi and aflatoxin production In Maize. Int. J. Food Microbiol. 2017, 254, 36–46. [Google Scholar] [CrossRef]
- Kumar, A.; Singh, P.P.; Prakash, B. Unravelling the antifungal and Anti-Aflatoxin B1 Mechanism of Chitosan Nanocomposite Incorporated with Foeniculum vulgare essential oil. Carbohydr. Polym. 2020, 236, 116050. [Google Scholar] [CrossRef] [PubMed]
- Loeffler, S.H.; de Vries, M.J.; Schukken, Y.H. The effects of time of disease occurrence, milk yield, and body condition on fertility of dairy cows. J. Dairy Sci. 1999, 82, 2589–2604. [Google Scholar] [CrossRef]
- Abd-Elsalam, K.A.; Hashim, A.; Alghuthaymi, M.A.; Bahkali, A.H. Nanobiotechnological strategies for molud and mycotoxin control. In Nanotechnology in Food Industry, Volume VI: Food Preservation; Grumezescu, A.M., Ed.; ELSEVIER: Amsterdam, The Netherlands, 2016; pp. 337–364. [Google Scholar]
- Horky, P.; Skalickova, S.; Baholet, D.; Skladanka, J. Nanoparticles as a solution for eliminating the risk of mycotoxins. Nanomaterials 2018, 8, 727. [Google Scholar] [CrossRef] [PubMed]
- Rai, M.; Abd-Elsalam, K.A. Nanomycotoxicology Treating Mycotoxins in Nano Way, 1st ed.; Academic Press: Amsterdam, The Netherlands, 2019; p. 450. Available online: https://www.elsevier.com/books/nanomycotoxicology/rai/978-0-12-817998-7 (accessed on 19 April 2020).
- Khalili, S.T.; Mohsenifar, A.; Beyki, M.; Zhaveh, S.; Rahmani-Cherati, T.; Abdollahi, A.; Bayat, M.; Tabatabaei, M. Encapsulation of Thyme Essential Oils In Chitosan-Benzoic Acid Nanogel with Enhanced Antimicrobial Activity Against Aspergillus flavus. LWT-Food Sci. Technol. 2015, 60, 502–508. [Google Scholar] [CrossRef]
- Bocate, K.P.; Reis, G.F.; de Souza, P.C.; Junior, A.G.O.; Durán, N.; Nakazato, G.; Furlaneto, M.C.; de Almeida, R.S.; Panagio, L.A. Antifungal Activity of silver nanoparticles and simvastatin against toxigenic species of Aspergillus. Int. J. Food Microbiol. 2019, 291, 79–86. [Google Scholar] [CrossRef]
- Devipriya, D.; Roopan, S.M. Cissus quadrangularis Mediated Ecofriendly Synthesis of Copper Oxide Nanoparticles and its Antifungal Studies Against Aspergillus niger, Aspergillus flavus. Mater. Sci. Eng. C 2017, 80, 38–44. [Google Scholar] [CrossRef]
- Jampílek, J.; Kráĺová, K. Nanocomposites: Synergistic nanotools for management of mycotoxigenic Fungi. In Nanomycotoxicology; Academic Press: Amsterdam, The Netherlands, 2020; pp. 349–383. [Google Scholar]
- Tamayo, L.; Azócar, M.; Kogan, M.; Riveros, A.; Páez, M. Copper-Polymer nanocomposites: An excellent and cost-effective biocide for use on antibacterial surfaces. Mater. Sci. Eng. C 2016, 69, 1391–1409. [Google Scholar] [CrossRef]
- Hossain, F.; Follett, P.; Salmieri, S.; Vu, K.D.; Fraschini, C.; Lacroix, M. Antifungal activities of combined treatments of irradiation and Essential Oils (Eos) Encapsulated chitosan nanocomposite films In Vitro and In Situ conditions. Int. J. Food Microbiol. 2019, 295, 33–40. [Google Scholar] [CrossRef] [PubMed]
- Xiong, J.L.; Wang, Y.M.; Nennich, T.D.; Li, Y.; Liu, J.X. Transfer of dietary Aflatoxin B1 to Milk aflatoxin M1 and effect of inclusion of adsorbent in the diet of dairy cows. J. Dairy Sci. 2015, 98, 2545–2554. [Google Scholar] [CrossRef] [PubMed]
- Vasil´kov, A.Y.; Rubina, M.S.; Naumkin, A.V.; Zubavichus, Y.V.; Belyakova, O.A.; Maksimov, Y.V.; Imshennik, V.K. Metal-Containing systems based on chitosan and a Collagen-Chitosan composite. Russ. Chem. Bull. 2015, 64, 1663–1670. [Google Scholar] [CrossRef]
- Vasil’kov, A.Y.; Rubina, M.S.; Gallyamova, A.A.; Naumkin, A.V.; Buzin, M.I.; Murav’eva, G.P. Mesoporic material from microcrystalline cellulose with gold Nanoparticles: A new approach to metal-carrying polysaccharides. Mendeleev Commun. 2015, 25, 358–360. [Google Scholar] [CrossRef]
- Rubina, M.S.; Kamitov, E.E.; Zubavichus, Y.V.; Peters, G.S.; Naumkin, A.V.; Suzer, S.; Vasil’kov, A.Y. Collagen-Chitosan scaffold modified with Au and Ag nanoparticles: Synthesis and structure. Appl. Surf. Sci. 2016, 366, 365–371. [Google Scholar] [CrossRef]
- Rubina, M.S.; Vasil’kov, A.Y.; Naumkin, A.V.; Shtykova, E.V.; Abramchuk, S.S.; Alghuthaymi, M.A.; Abd-Elsalam, K.A. Synthesis and characterization of chitosan-copper nanocomposites and their fungicidal activity against two sclerotia-forming plant pathogenic Fungi. J. Nanostructures Chem. 2017, 7, 249–258. [Google Scholar] [CrossRef]
- Mogilevskiy, L.Y.; Dembo, A.T.; Svergun, D.I.; Feygin, L.A. Small-angle X-ray diffractometer with single coordinate detector. Crystallography 1984, 29, 587–591. [Google Scholar]
- Feigin, L.A.; Svergun, D.I. Structure Analysis by Small-Angle X-ray and Neutron Scattering; Plenum Press: New York, NY, USA, 1987. [Google Scholar]
- Franke, D.; Petoukhov, M.V.; Konarev, P.V.; Panjkovich, A.; Tuukkanen, A.; Mertens, H.D.T.; Kikhney, A.G.; Hajizadeh, N.R.; Franklin, J.M.; Jeffries, C.M.; et al. ATSAS 2.8: A Comprehensive Data Analysis Suite for small-angle scattering from macromolecular solutions. J. Appl. Crystallogr. 2017, 50, 1212–1225. [Google Scholar] [CrossRef]
- Svergun, D.I. Determination of the regularization parameter in indirect-transform methods using perceptual criteria. J. Appl. Crystallogr. 1992, 25, 495–503. [Google Scholar] [CrossRef]
- Svergun, D.I. Restoring low resolution structure of biological macromolecules from solution scattering using simulated annealing. Biophys. J. 1999, 76, 2879–2886. [Google Scholar] [CrossRef]
- Pitt, J.I.; Hocking, A.D.; Glenn, D.R. An improved medium for the detection of Aspergillus flavus and A. parasiticus. J. Appl. Bacteriol. 1983, 54, 109–114. [Google Scholar] [CrossRef] [PubMed]
- Samson, R.A.; Visagie, C.M.; Houbraken, J.; Hong, S.B.; Hubka, V.; Klaassen, C.H.; Perrone, G.; Seifert, K.A.; Susca, A.; Tanney, J.B.; et al. Phylogeny, identification and nomenclature of the genus aspergillus. Stud. Mycol. 2014, 78, 141–173. [Google Scholar] [CrossRef] [PubMed]
- Kaaya, A.N.; Eboku, D. Mould and aflatoxin contamination of dried cassava chips in eastern uganda: Association with traditional processing and storage practices. J. Biol. Sci. 2010, 10, 718–729. [Google Scholar] [CrossRef]
- Bahkali, A.H.; Abd-Elsalam, K.A.; Guo, J.R.; Khiyami, M.A.; Verreet, J.A. Characterization of Novel Di-, Tri-, and tetranucleotide microsatellite primers suitable for genotyping various plant pathogenic Fungi with special emphasis on Fusaria and Mycospherella graminicola. Int. J. Mol. Sci. 2012, 13, 2951–2964. [Google Scholar] [CrossRef]
- Al-Shuhaib, M.B.S.; Albakri, A.H.; Alwan, S.H.; Almandil, N.B.; AbdulAzeez, S.; Borgio, J.F. Optimal Pcr primers for rapid and accurate detection of Aspergillus flavus Isolates. Microb. Pathog. 2018, 116, 351–355. [Google Scholar] [CrossRef]
- Trinh, H.L.; Anh, D.T.; Thong, P.M.; Hue, N.T. A Simple PCR for Detection of Aspergillus flavus in Infected Food. Qual. Assur. Saf. Crop. Foods 2014, 7, 375–383. [Google Scholar] [CrossRef]
- Perez, C.; Paul, M.; Bazerque, P. Antibiotic assay by agar-well diffusion method. Acta Biol. Med. Exp. 1990, 15, 113–115. [Google Scholar]
- Pariona, N.; Mtz-Enriquez, A.I.; Sánchez-Rangel, D.; Carrión, G.; Paraguay-Delgado, F.; Rosas-Saito, G. Green-Synthesized copper nanoparticles as a potential antifungal against plant pathogens. RSC Adv. 2019, 9, 18835–18843. [Google Scholar] [CrossRef]
- Laemmli, U.K. Cleavage of structural proteins during the assembly of the head of bacteriophage T4. Nature 1970, 227, 680–685. [Google Scholar] [CrossRef]
- Rabilloud, T.; Vuillard, L.; Gilly, C.; Lawrence, J.J. Silver-staining of proteins in polyacrylamide Gels: A General overview. arXiv 2009, arXiv:0911.4458. [Google Scholar]
- Agarwal, S.; Nath, A.K.; Sharma, D.R. Characterisation of Peach (Prunus Persica L.) cultivars using isozymes as molecular markers. Sci. Hortic. 2001, 90, 227–242. [Google Scholar] [CrossRef]
- Vallejos, C.E. Enzyme activity staining. In Tanksley SD, Isozymes in Plant Genetics and Breeding; Orton, T.S., Ed.; Elsevier: Amsterdam, The Netherland, 1983; p. 469. [Google Scholar]
- Evangelisti, C.; Vitulli, G.; Schiavi, E.; Vitulli, M.; Bertozzi, S.; Salvadori, P.; Bertinetti, L.; Martra, G. Nanoscale Cu Supported catalysts in the partial oxidation of cyclohexane with molecular oxygen. Catal. Lett. 2007, 116, 57–62. [Google Scholar] [CrossRef]
- Vitulli, G.; Bernini, M.; Bertozzi, S.; Pitzalis, E.; Salvadori, P.; Coluccia, S.; Martra, G. Nanoscale Copper particles derived from solvated Cu atoms in the activation of molecular oxygen. Chem. Mater. 2002, 14, 1183–1186. [Google Scholar] [CrossRef]
- Ponce, A.A.; Klabunde, K.J. Chemical and catalytic activity of copper nanoparticles prepared via metal vapor synthesis. J. Mol. Catal. A Chem. 2005, 225, 1–6. [Google Scholar] [CrossRef]
- Yamaguchi, R.; Hirano, S.; Arai, Y.; Ito, T. Chitosan salt gels thermally reversible gelation of chitosan. Agric. Biol. Chem. 1978, 42, 1981–1982. [Google Scholar]
- Rubina, M.S.; Elmanovich, I.V.; Shulenina, A.V.; Peters, G.S.; Svetogorov, R.D.; Egorov, A.A.; Naumkin, A.V.; Vasil’kov, A.Y. Chitosan aerogel containing silver nanoparticles: From Metal-Chitosan powder to porous material. Polym. Test. 2020, 86, 106481. [Google Scholar] [CrossRef]
- Fakruddin, M.; Chowdhury, A.; Hossain, M.N.; Ahmed, M.M. Characterization of aflatoxin producing Aspergillus flavus from food and feed samples. SpringerPlus 2015, 4, 159. [Google Scholar] [CrossRef]
- Monda, E.; Masanga, J.; Alakonya, A. Variation in occurrence and aflatoxigenicity of Aspergillus flavus from two climatically varied regions in Kenya. Toxins 2020, 12, 34. [Google Scholar] [CrossRef]
- Davis, N.D.; Iyer, S.K.; Diener, U.L. Improved mmethod of screening for aflatoxin with a coconut agar medium. Appl. Environ. Microbiol. 1987, 53, 1593–1595. [Google Scholar] [CrossRef]
- Wicklow, D.T.; Shotwell, O.L.; Adams, G.L. Use of Aflatoxin-Producing ability medium to distinguish aflatoxin-producing strains of Aspergillus flavus. Appl. Environ. Microbiol. 1981, 41, 697–699. [Google Scholar] [CrossRef]
- Reddy, K.R.N.; Surendhar Reddy, C.; Nataraj Kumar, P.; Reddy, C.S.; Muralidharan, K. Genetic Variability of Aflatoxin B1 producing Aspergillus flavus strains isolated from discolored rice grains. World J. Microbiol. Biotechnol. 2008, 25, 33–39. [Google Scholar] [CrossRef]
- Abbas, H.K.; Weaver, M.A.; Zablotowicz, R.M.; Horn, B.W.; Shier, W.T. Relationships between Aflatoxin production and sclerotia formation among isolates of aspergillus section flavi from the mississippi delta. Eur. J. Plant Pathol. 2005, 112, 283–287. [Google Scholar] [CrossRef]
- Lai, X.; Zhang, H.; Liu, R.; Liu, C. Potential for Aflatoxin B1 and B2 Production by Aspergillus flavus strains isolated from rice samples. Saudi J. Biol. Sci. 2015, 22, 176–180. [Google Scholar] [CrossRef] [PubMed]
- Yu, J.; Ehrlich, K. Aflatoxins-Biochemistry and Molecular Biology; USDA/ARS, Southern Regional Research Center: New Orlenas, LA, USA, 2011. [Google Scholar]
- Caceres, I.; Khoury, A.A.; Khoury, R.E.; Lorber, S.; Oswald, I.P.; Khoury, A.E.; Atoui, A.; Puel, O.; Bailly, J.-D. Aflatoxin Biosynthesis and genetic regulation: A review. Toxins 2020, 12, 150. [Google Scholar] [CrossRef]
- Mageshwari, K.; Sathyamoorthy, R. Flower-Shaped CuO nanostructures: Synthesis, characterization and antimicrobial activity. J. Mater. Sci. Technol. 2013, 29, 909–914. [Google Scholar] [CrossRef]
- Kaur, P.; Thakur, R.; Barnela, M.; Chopra, M.; Manuja, A.; Chaudhury, A. Synthesis, Characterization andin vitroevaluation of cytotoxicity and antimicrobial activity of chitosan-metal nanocomposites. J. Chem. Technol. Biotechnol. 2014, 90, 867–873. [Google Scholar] [CrossRef]
- Saharan, V.; Sharma, G.; Yadav, M.; Choudhary, M.K.; Sharma, S.S.; Pal, A.; Raliya, R.; Biswas, P. Synthesis and In Vitro antifungal efficacy of Cu–Chitosan nanoparticles against Pathogenic Fungi of tomato. Int. J. Biol. Macromol. 2015, 75, 346–353. [Google Scholar] [CrossRef]
- Mekawey, A.I.I. Effects Of Chitosan Nanoparticles as antimicrobial activity And on mycotoxin production. Acad. J. Agric. Res. 2018, 6, 101–106. [Google Scholar]
- Kulatunga, D.; Dananjaya, S.; Godahewa, G.; Lee, J.; De Zoysa, M. Chitosan silver nanocomposite (CAgNC) as an antifungal agent against Candida Albicans. Med. Mycol. 2016, 55, 213–222. [Google Scholar] [CrossRef]
- Alghuthaymi, M.A.; Abd-Elsalam, K.A.; Shami, A.; Said-Galive, E.; Shtykova, E.V.; Naumkin, A.V. Silver/Chitosan nanocomposites: Preparation and characterization and their fungicidal activity against dairy cattle toxicosis Penicillium expansum. J. Fungi 2020, 6, 51. [Google Scholar] [CrossRef] [PubMed]
- Wu, Y.H.; Lee, Y.H.; Shih, H.Y.; Chen, S.H.; Cheng, Y.C.; Chiu, D.T.Y. Glucose-6-Phosphate dehydrogenase is indispensable in embryonic development by modulation of Epithelial-Mesenchymal transition via the NOX/Smad3/miR-200b Axis. Cell Death Dis. 2018, 9, 1–14. [Google Scholar] [CrossRef] [PubMed]
- Ho, H.; Cheng, M.; Chiu, D.T. Glucose-6-Phosphate Dehydrogenase- from oxidative stress to cellular functions and degenerative diseases. Redox Rep. 2007, 12, 109–118. [Google Scholar] [CrossRef] [PubMed]
- De Lillo, A.; Cardi, M.; Landi, S.; Esposito, S. Mechanism(s) of Action of heavy metals to investigate the regulation of plastidic Glucose-6-Phosphate dehydrogenase. Sci. Rep. 2018, 13481. [Google Scholar] [CrossRef]
- Lin, H.-R.; Wu, C.-C.; Wu, Y.-H.; Hsu, C.-W.; Cheng, M.-L.; Chiu, D.T.-Y. Proteome-Wide dysregulation by Glucose-6-Phosphate Dehydrogenase (G6PD) reveals a novel protective role for G6PD in Aflatoxin B1-Mediated cytotoxicity. J. Proteome Res. 2013, 12, 3434–3448. [Google Scholar] [CrossRef]
- Ibraheem, O.; Adewale, I.O.; Afolayan, A. Purification and properties of glucose 6-Phosphate dehydrogenase from aspergillus aculeatus. BMB Rep. 2005, 38, 584–590. [Google Scholar] [CrossRef]
- Savi, G.D.; Scussel, V.M. Inorganic compounds at regular And nanoparticle size and their Anti-Toxigenic Fungi activity. J. Nanotechnol. Res. 2014, 97, 589–598. [Google Scholar]
- Ammar, H.A.; Rabie, G.H.; Mohamed, E. Novel fabrication of gelatin-encapsulated copper nanoparticles using aspergillus versicolor and their application in controlling of rotting plant pathogens. Bioprocess Biosyst. Eng. 2019, 42, 1947–1961. [Google Scholar] [CrossRef]











| Isolate Code | Feed | Fluorescence Detection under UV Light (365 nm) | The Concentration of Aflatoxins (ppb) | |||||
|---|---|---|---|---|---|---|---|---|
| AFPA | CA | PDA + Na Cl | PDA | AFB1 | AFB2 | Total Aflatoxins | ||
| Af1 | Peanut meal | + | − | + | − | 19.44 | 0.03 | 19.47 |
| Af2 | Peanut meal | + | + | + | − | 13.54 | 0.02 | 13.56 |
| Af3 | Peanut meal | + | + | − | − | 10.13 | 0.05 | 10.18 |
| Af4 | Peanut meal | + | + | + | − | 14.22 | 5.29 | 19.51 |
| Af5 | Peanut meal | + | − | − | − | 10.14 | 1.30 | 11.44 |
| Af6 | Peanut meal | + | + | − | − | ND | ND | ND |
| Af7 | Peanut meal | − | + | + | − | 12.10 | 3.20 | 15.30 |
| Af8* | Peanut meal | + | + | + | − | 12.10 | 3.56 | 15.66 |
| Af9 | Peanut meal | + | + | − | − | ND | ND | ND |
| Af10 | Peanut meal | + | + | + | − | 10.13 | 0.05 | 10.18 |
| Af11 | Cotton seeds | + | − | − | − | ND | ND | ND |
| Af12 | Cotton seeds | + | + | + | − | 7.20 | 2.13 | 9.33 |
| Af13 | Cotton seeds | + | + | + | − | 9.10 | 2.50 | 11.60 |
| AF14 | Cotton seeds | + | + | + | − | 8.14 | 1.34 | 9.48 |
| AF15 | Cotton seeds | + | − | + | − | ND | ND | ND |
| AF16 | Cotton seeds | + | + | + | − | ND | ND | ND |
| AF17 | Cotton seeds | + | + | − | − | 10.64 | 1.36 | 12.00 |
| AF18 | Cotton seeds | − | + | + | − | ND | ND | ND |
| AF19 | Cotton seeds | + | + | + | − | 4.50 | 1.30 | 5.80 |
| AF20 | Cotton seeds | + | − | − | − | ND | ND | ND |
| AF21 | Cotton seeds | − | − | − | − | ND | ND | ND |
| Serial Number | NCs Gel Concentrations (ppm) | Strain Code | % Inhibition |
|---|---|---|---|
| 1 | C1 = 60 | LP | 27.89 |
| 2 | IP | 28.66 | |
| 3 | HP | 5.14 | |
| 4 | C2 = 120 | LP | 25.67 |
| 5 | IP | 28.43 | |
| 9 | HP | 6.48 | |
| 7 | C3 = 180 | LP | 29.75 |
| 8 | IP | 29.20 | |
| 9 | HP | 6.57 | |
| 10 | C4 = 240 | LP | 100 |
| 11 | IP | 100 | |
| 12 | HP | 100 |
© 2020 by the authors. Licensee MDPI, Basel, Switzerland. This article is an open access article distributed under the terms and conditions of the Creative Commons Attribution (CC BY) license (http://creativecommons.org/licenses/by/4.0/).
Share and Cite
Abd-Elsalam, K.A.; Alghuthaymi, M.A.; Shami, A.; Rubina, M.S.; Abramchuk, S.S.; Shtykova, E.V.; Yu. Vasil’kov, A. Copper-Chitosan Nanocomposite Hydrogels Against Aflatoxigenic Aspergillus flavus from Dairy Cattle Feed. J. Fungi 2020, 6, 112. https://doi.org/10.3390/jof6030112
Abd-Elsalam KA, Alghuthaymi MA, Shami A, Rubina MS, Abramchuk SS, Shtykova EV, Yu. Vasil’kov A. Copper-Chitosan Nanocomposite Hydrogels Against Aflatoxigenic Aspergillus flavus from Dairy Cattle Feed. Journal of Fungi. 2020; 6(3):112. https://doi.org/10.3390/jof6030112
Chicago/Turabian StyleAbd-Elsalam, Kamel A., Mousa A. Alghuthaymi, Ashwag Shami, Margarita S. Rubina, Sergey S. Abramchuk, Eleonora V. Shtykova, and Alexander Yu. Vasil’kov. 2020. "Copper-Chitosan Nanocomposite Hydrogels Against Aflatoxigenic Aspergillus flavus from Dairy Cattle Feed" Journal of Fungi 6, no. 3: 112. https://doi.org/10.3390/jof6030112
APA StyleAbd-Elsalam, K. A., Alghuthaymi, M. A., Shami, A., Rubina, M. S., Abramchuk, S. S., Shtykova, E. V., & Yu. Vasil’kov, A. (2020). Copper-Chitosan Nanocomposite Hydrogels Against Aflatoxigenic Aspergillus flavus from Dairy Cattle Feed. Journal of Fungi, 6(3), 112. https://doi.org/10.3390/jof6030112

