Diagnostic Performance of Coccidioidomycosis PCR Testing in Lung Nodules: A Retrospective Study in Central California
Abstract
1. Introduction
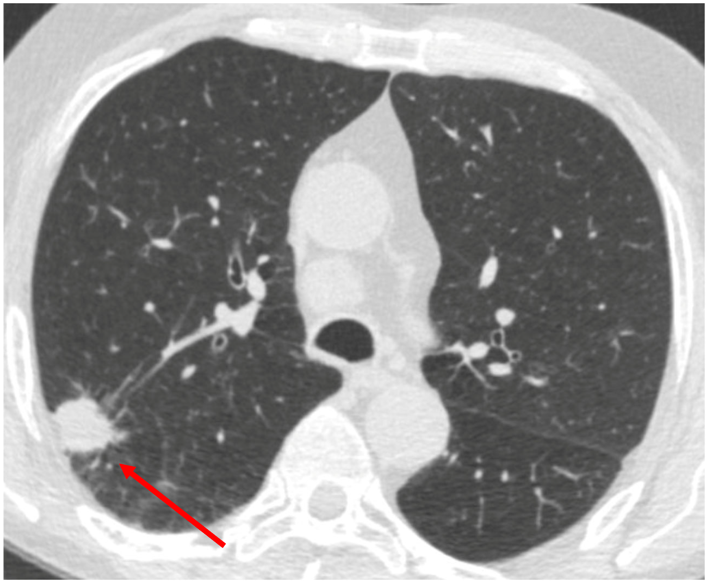
2. Clinical Challenge: A Representative Case
3. Materials and Methods
3.1. Study Design and Patient Selection
3.2. Specimens
3.3. Histopathology
3.4. PCR Testing
3.5. Controls and Quality Assurance
3.6. Statistical Analysis
4. Results
Diagnostic Performance
5. Discussion
5.1. Future Directions
- Selective Application: Limit routine PCR testing to patients with clinical or radiological signs of active infection to improve cost-effectiveness.
- Protocol Optimization: Investigate methods to enhance DNA extraction and amplification in low-burden infections.
- Integrated Risk Models: Incorporate PCR findings into a comprehensive risk calculator that accounts for endemic factors, patient history, and radiologic features.
- Combined diagnostics: Future studies should evaluate PCR in conjunction with serologic assays and fungal biomarkers (e.g., galactomannan, β-D-glucan) to determine the added value of multimodal strategies.
- Evaluation of alternative primer sets targeting multicopy genes or species-specific loci may further improve assay sensitivity in low-burden tissue samples.
5.2. Study Limitations
5.3. Study Strengths
6. Conclusions
Author Contributions
Funding
Institutional Review Board Statement
Informed Consent Statement
Data Availability Statement
Acknowledgments
Conflicts of Interest
References
- Williams, S.L.; Smith, D.J.; Benedict, K.; Ahlers, J.R.; Austin, C.; Birn, R.; Carter, A.M.; Christophe, N.N.; Cibulskas, K.; Cieslak, P.R.; et al. Surveillance for Coccidioidomycosis, Histoplasmosis, and Blastomycosis During the COVID-19 Pandemic—United States, 2019–2021. MMWR Morb. Mortal. Wkly. Rep. 2024, 73, 239–244. [Google Scholar] [CrossRef] [PubMed]
- Romo Leija, E.; Maldonado Barrientos, C.E.; Aranda-Audelo, M.; Corzo Leon, D.E.; Rodriguez Llamazares, S.; Hernandez Teran, A.; Morales Villarreal, F.R.; Palma Cortes, G.; Hernandez-Hernandez, V.A.; Flores Nunez, C.; et al. P-167. New epidemiological routes of Coccidioidomycosis in Mexico—The extension of this pathogen to new areas. Open Forum Infect. Dis. 2025, 12 (Suppl. 1), ofae631.372. [Google Scholar] [CrossRef]
- Fayed, M.A.; Evans, T.M.; Almasri, E.; Bilello, K.L.; Libke, R.; Peterson, M.W. Overview of the Current Challenges in Pulmonary Coccidioidomycosis. J. Fungi 2024, 10, 724. [Google Scholar] [CrossRef] [PubMed]
- Peterson, M.W.; Jain, R.; Hildebrandt, K.; Carson, W.K.; Fayed, M.A. Differentiating Lung Nodules Due to Coccidioides from Those Due to Lung Cancer Based on Radiographic Appearance. J. Fungi 2023, 9, 641. [Google Scholar] [CrossRef] [PubMed]
- Wolf, S.R.; Donovan, F.; Robishaw-Denton, J.; Riaz, T. P-92. Risk factors, Clinical Manifestations and Management of Vertebral Osteomyelitis due to Coccidioides: A 10-year Retrospective Descriptive Study. Open Forum Infect. Dis. 2025, 12 (Suppl. 1), ofae631.299. [Google Scholar] [CrossRef]
- Binnicker, M.J.; Buckwalter, S.P.; Eisberner, J.J.; Stewart, R.A.; McCullough, A.E.; Wohlfiel, S.L.; Wengenack, N.L. Detection of Coccidioides species in clinical specimens by real-time PCR. J. Clin. Microbiol. 2007, 45, 173–178. [Google Scholar] [CrossRef] [PubMed]
- Saubolle, M.A.; Wojack, B.R.; Wertheimer, A.M.; Fuayagem, A.Z.; Young, S.; Koeneman, B.A. Multicenter Clinical Validation of a Cartridge-Based Real-Time PCR System for Detection of Coccidioides spp. in Lower Respiratory Specimens. J. Clin. Microbiol. 2018, 56, e01277-17. [Google Scholar] [CrossRef] [PubMed]
- Dizon, D.; Mitchell, M.; Dizon, B.; Libke, R.; Peterson, M.W. The utility of real-time polymerase chain reaction in detecting Coccidioides immitis among clinical specimens in the Central California San Joaquin Valley. Med. Mycol. 2019, 57, 688–693. [Google Scholar] [CrossRef] [PubMed]
- Donnelly, J.P.; Chen, S.C.; Kauffman, C.A.; Steinbach, W.J.; Baddley, J.W.; Verweij, P.E.; Clancy, C.J.; Wingard, J.R.; Lockhart, S.R.; Groll, A.H.; et al. Revision and update of the consensus definitions of invasive fungal disease from the European Organization for Research and Treatment of Cancer and the Mycoses Study Group Education and Research Consortium. Clin. Infect. Dis. 2020, 71, 1367–1376. [Google Scholar] [CrossRef] [PubMed]
- Mitchell, M.; Dizon, D.; Libke, R.; Peterson, M.; Slater, D.; Dhillon, A. Development of a real-time PCR Assay for identification of Coccidioides immitis by use of the BD Max system. J. Clin. Microbiol. 2015, 53, 926–929. [Google Scholar] [CrossRef] [PubMed]
- Schoonjans, F. MedCalc’s Diagnostic Test Evaluation Calculator. MedCalc. Available online: https://www.medcalc.org/calc/diagnostic_test.php (accessed on 17 July 2025).
- Raab, S.S.; Silverman, J.F.; Zimmerman, K.G. Fine-needle aspiration biopsy of pulmonary coccidiodomycosis. Spectrum of cytologic findings in 73 patients. Am. J. Clin. Pathol. 1993, 99, 582–587. [Google Scholar] [CrossRef] [PubMed]
- Vindum, H.H.; Kristensen, K.; Christensen, N.L.; Madsen, H.H.; Rasmussen, T.R. Outcome of Incidental Pulmonary Nodules in a Real-World Setting. Clin. Lung Cancer 2023, 24, 673–681. [Google Scholar] [CrossRef] [PubMed]
- Donovan, F.M.; Zangeneh, T.T.; Malo, J.; Galgiani, J.N. Top Questions in the Diagnosis and Treatment of Coccidioidomycosis. Open Forum Infect. Dis. 2017, 4, ofx197. [Google Scholar] [CrossRef] [PubMed]
- Grizzle, A.J.; Wilson, L.; Nix, D.E.; Galgiani, J.N. Clinical and Economic Burden of Valley Fever in Arizona: An Incidence-Based Cost-of-Illness Analysis. Open Forum Infect. Dis. 2021, 8, ofaa623. [Google Scholar] [CrossRef] [PubMed]
- Wilson, L.; Ting, J.; Lin, H.; Shah, R.; MacLean, M.; Peterson, M.W.; Stockamp, N.; Libke, R.; Brown, P. The Rise of Valley Fever: Prevalence and Cost Burden of Coccidioidomycosis Infection in California. Int. J. Environ. Res. Public Health 2019, 16, 1113. [Google Scholar] [CrossRef] [PubMed]
- Dinnes, J.; Deeks, J.; Kunst, H.; Gibson, A.; Cummins, E.; Waugh, N.; Drobniewski, F.; Lalvani, A. A systematic review of rapid diagnostic tests for the detection of tuberculosis infection. Health Technol. Assess. 2007, 11, 1–196. [Google Scholar] [CrossRef] [PubMed]
- Flores, L.L.; Pai, M.; Colford, J.M.; Riley, L.W. In-house nucleic acid amplification tests for the detection of Mycobacterium tuberculosis in sputum specimens: Meta-analysis and meta-regression. BMC Microbiol. 2005, 5, 55. [Google Scholar] [CrossRef] [PubMed]
- Williams, S.L.; Benedict, K.; Jackson, B.R.; Rajeev, M.; Cooksey, G.; Ruberto, I.; Williamson, T.; Sunenshine, R.H.; Osborn, B.; Oltean, H.N.; et al. Estimated Burden of Coccidioidomycosis. JAMA Netw. Open. 2025, 8, e2513572. [Google Scholar] [CrossRef] [PubMed]
- Gorris, M.E.; Cat, L.A.; Zender, C.S.; Treseder, K.K.; Randerson, J.T. Coccidioidomycosis Dynamics in Relation to Climate in the Southwestern United States. GeoHealth 2018, 2, 6–24. [Google Scholar] [CrossRef] [PubMed]
- Marsden-Haug, N.; Goldoft, M.; Ralston, C.; Limaye, A.P.; Chua, J.; Hill, H.; Jecha, L.; Thompson, G.R.; Chiller, T. Coccidioidomycosis acquired in Washington State. Clin. Infect. Dis. 2013, 56, 847–850. [Google Scholar] [CrossRef] [PubMed]




| CT Biopsy | Bronchoscopy | Navigational | EBUS | Total/Combined | |
|---|---|---|---|---|---|
| True positive | 13 | 9 | 3 | 6 | 31 |
| False Negative | 52 | 13 | 12 | 14 | 91 |
| Percent Positive | 20% | 40.9% | 20% | 30% | 25.4% |
| True Negative | 231 | 53 | 43 | 53 | 380 |
| False positive | 0 | 0 | 0 | 0 | 0 |
| Procedure | Sensitivity (%) (CI) | Specificity (%) (CI) | PPV (%) (CI) | NPV (%) (CI) | Accuracy |
|---|---|---|---|---|---|
| CT-guided biopsy | 20.00 (11.10–31.77) | 100.00 (98.42–100.00) | 100.00 (75.29–100.00) | 81.63 (79.73–83.38) | 82.43 (77.61–86.59) |
| Bronchoscopy | 40.91 (20.71–63.65) | 100.00 (93.28–100.00) | 100.00 (66.37–100.00) | 80.30 (74.22–85.23) | 82.67 (72.19–90.43) |
| Navigational bronchoscopy | 20.00 (4.33–48.09) | 100.00 (91.78–100.00) | 100.00 (29.24–100.00) | 78.18 (73.56–82.19) | 79.31 (66.65–88.83) |
| EBUS biopsy | 30.00 (11.89–54.28) | 100.00 (93.28–100.00) | 100.00 (54.07–100.00) | 79.10 (73.97–83.45) | 80.82 (69.92–89.10) |
| Combined | 25.41 (17.96–34.09) | 100.00 (99.03–100.00) | 100.00 (88.78–100.00) | 80.68 (79.01–82.24) | 81.87 (78.22–85.15) |
Disclaimer/Publisher’s Note: The statements, opinions and data contained in all publications are solely those of the individual author(s) and contributor(s) and not of MDPI and/or the editor(s). MDPI and/or the editor(s) disclaim responsibility for any injury to people or property resulting from any ideas, methods, instructions or products referred to in the content. |
© 2025 by the authors. Licensee MDPI, Basel, Switzerland. This article is an open access article distributed under the terms and conditions of the Creative Commons Attribution (CC BY) license (https://creativecommons.org/licenses/by/4.0/).
Share and Cite
Nasrawi, F.; Fayed, M.A.; Peterson, M.W. Diagnostic Performance of Coccidioidomycosis PCR Testing in Lung Nodules: A Retrospective Study in Central California. J. Fungi 2025, 11, 814. https://doi.org/10.3390/jof11110814
Nasrawi F, Fayed MA, Peterson MW. Diagnostic Performance of Coccidioidomycosis PCR Testing in Lung Nodules: A Retrospective Study in Central California. Journal of Fungi. 2025; 11(11):814. https://doi.org/10.3390/jof11110814
Chicago/Turabian StyleNasrawi, Faisal, Mohamed A. Fayed, and Michael W. Peterson. 2025. "Diagnostic Performance of Coccidioidomycosis PCR Testing in Lung Nodules: A Retrospective Study in Central California" Journal of Fungi 11, no. 11: 814. https://doi.org/10.3390/jof11110814
APA StyleNasrawi, F., Fayed, M. A., & Peterson, M. W. (2025). Diagnostic Performance of Coccidioidomycosis PCR Testing in Lung Nodules: A Retrospective Study in Central California. Journal of Fungi, 11(11), 814. https://doi.org/10.3390/jof11110814

