The Molecular Basis of the Intrinsic and Acquired Resistance to Azole Antifungals in Aspergillus fumigatus
Abstract
1. Introduction
2. Materials and Methods
2.1. Yeast Strains and Culture Conditions
2.2. Materials
2.3. Construction of Recombinant Yeast Strains
2.4. Phenotypic Analysis of Yeast Strains
2.5. Confirmation of DNA Sequences in Recombinant loci in S. cerevisiae
2.6. Confirmation of Recombinant Protein Expression
2.7. Purification of Recombinant Proteins
2.8. Biochemical Analysis of Recombinant CYP51s
2.8.1. Type I and Type II Binding
2.8.2. Sterol Analysis of Recombinant Yeast Strains
2.9. Construction and Application of the AfCYP51A Homology Model
2.10. Synthesis and Quality Control of Compounds Prepared by MicroCombiChem
3. Results
3.1. Bioinformatic and Structural Comparison of CYP51s
3.2. Characterisation of Recombinant Strains and Mutations
3.3. AfErg6 Supports Growth in Recombinant Strains Deleted of Native ScCYP51
3.4. Drug Susceptibilities of Strains Expressing AfCYP51 Isoforms Indicate AfCYP51A Is Responsible for Innate Resistance to FLC
3.5. Phenotypes of Strain ARE CYP51A Mutants
3.6. Difluorophenyl Substituents Differentially Affect the FLC Susceptibilities of AfCYP51 Isoforms and in Response to the AfCYP51A Mutations T289A and I301T
3.7. Acquired Azole Resistance Conferred by the AfCYP51A Mutations Y121F and Y121F T289A
3.7.1. Phenotypes Conferred by Expression of AfCYP51A Mutants in S. cerevisiae
3.7.2. Properties of Affinity-Purified AfCYP51A and AfCYP51B
3.7.3. Type I Binding of Lanosterol and Eburicol by AfCYP51A and AfCYP51B
3.7.4. Type II Binding of Azole Drugs by AfCYP51A and AfCYP51B
4. Discussion
4.1. Constructs Needed for Functional Expression of AfCYP51s in S. cerevisiae
4.2. Innate Resistance to FLC in A. fumigatus Is Primarily Due to AfCYP51A T289
4.3. Acquired Resistance of AfCYP51A to Azole Drugs
5. Conclusions
Supplementary Materials
Author Contributions
Funding
Institutional Review Board Statement
Informed Consent Statement
Data Availability Statement
Acknowledgments
Conflicts of Interest
References
- Chakrabarti, A.; Kaur, H. Allergic aspergillus rhinosinusitis. J. Fungi 2016, 2, e32. [Google Scholar] [CrossRef] [PubMed]
- Greenberger, P.A. Allergic bronchopulmonary aspergillosis. J. Allergy Clin. Immunol. 2002, 110, 685–692. [Google Scholar] [CrossRef] [PubMed]
- Tatara, A.M.; Mikos, A.G.; Kontoyiannis, D.P. Factors affecting patient outcome in primary cutaneous aspergillosis. Medicine 2016, 95, e3747. [Google Scholar] [CrossRef] [PubMed]
- Kosmidis, C.; Denning, D.W. The clinical spectrum of pulmonary aspergillosis. Thorax 2015, 70, 270–277. [Google Scholar] [CrossRef] [PubMed]
- Kanaujia, R.; Singh, S.; Rudramurthy, S.M. Aspergillosis: An Update on Clinical Spectrum, Diagnostic Schemes, and Management. Curr. Fungal Infect. Rep. 2023, 17, 144–155. [Google Scholar] [CrossRef]
- Singh, N.; Paterson, D.L. Aspergillus infections in transplant recipients. Clin. Microbiol. Rev. 2005, 18, 44–69. [Google Scholar] [CrossRef]
- Warrilow, A.G.; Melo, N.; Martel, C.M.; Parker, J.E.; Nes, W.D.; Kelly, S.L.; Kelly, D.E. Expression, purification, and characterization of Aspergillus fumigatus sterol 14-α demethylase (CYP51) isoenzymes A and B. Antimicrob. Agents Chemother. 2010, 54, 4225–4234. [Google Scholar] [CrossRef]
- Snelders, E.; Camps, S.M.; Karawajczyk, A.; Schaftenaar, G.; Kema, G.H.; van der Lee, H.A.; Klassen, C.H.; Melchers, W.J.G.; Verweij, P.E. Triazole fungicides can induce cross-resistance to medical triazoles in Aspergillus fumigatus. PLoS ONE 2012, 7, e31801. [Google Scholar] [CrossRef] [PubMed]
- Warrilow, A.G.; Parker, J.E.; Price, C.L.; Rolley, N.J.; Nes, W.D.; Kelly, D.E.; Kelly, S.L. Isavuconazole and voriconazole inhibition of sterol 14α-demethylases (CYP51) from Aspergillus fumigatus and Homo sapiens. Int. J. Antimicrob. Agents 2019, 54, 449–455. [Google Scholar] [CrossRef] [PubMed]
- Hargrove, T.Y.; Wawrzak, Z.; Liu, J.; Nes, W.D.; Waterman, M.R.; Lepesheva, G.I. Substrate preferences and catalytic parameters determined by structural characteristics of sterol 14α-demethylase (CYP51) from Leishmania infantum. J. Biol. Chem. 2011, 286, 26838–26848. [Google Scholar] [CrossRef]
- Xie, J.; Rybak, J.M.; Martin-Vicente, A.; Guruceaga, X.; Thorn, H.I.; Nywening, A.V.; Ge, W.; Parker, J.E.; Kelly, S.L.; Rogers, P.D.; et al. The sterol C-24 methyltransferase encoding gene, erg6, is essential for viability of Aspergillus species. Nat. Commun. 2024, 15, 4261. [Google Scholar] [CrossRef] [PubMed]
- Monk, B.C.; Sagatova, A.A.; Hosseini, P.; Ruma, Y.N.; Wilson, R.K.; Keniya, M.V. Fungal Lanosterol 14α-demethylase: A target for next-generation antifungal design. Biochim. Biophys. Acta Proteins Proteom. 2020, 1868, e140206. [Google Scholar] [CrossRef]
- Caramalho, R.; Tyndall, J.D.; Monk, B.C.; Larentis, T.; Lass-Flörl, C.; Lackner, M. Intrinsic short-tailed azole resistance in mucormycetes is due to an evolutionary conserved aminoacid substitution of the lanosterol 14α-demethylase. Sci. Rep. 2017, 7, 15898. [Google Scholar] [CrossRef]
- Rosam, K.; Monk, B.C.; Lackner, M. Sterol 14α-Demethylase Ligand-Binding Pocket-Mediated Acquired and Intrinsic Azole Resistance in Fungal Pathogens. J. Fungi 2021, 7, 1. [Google Scholar] [CrossRef]
- Ruma, Y.N.; Keniya, M.V.; Monk, B.C. Exploring Cryptococcus neoformans CYP51 and Its Cognate Reductase as a Drug Target. J. Fungi 2022, 8, 1256. [Google Scholar] [CrossRef]
- van der Linden, J.W.; Snelders, E.; Kampinga, G.A.; Rijnders, B.J.; Mattsson, E.; Debets-Ossenkopp, Y.J. Clinical implications of azole resistance in Aspergillus fumigatus, The Netherlands, 2007–2009. Emerg. Infect. Dis. 2011, 17, 1846–1854. [Google Scholar] [CrossRef]
- Stensvold, C.R.; Jørgensen, L.N.; Arendrup, M.C. Azole-resistant invasive aspergillosis: Relationship to agriculture. Curr. Fungal Infect. Rep. 2012, 6, 178–191. [Google Scholar] [CrossRef]
- Snelders, E.; van der Lee, H.A.; Kuijpers, J.; Rijs, A.J.M.; Varga, J.; Samson, R.A.; Medallo, E.; Donders, A.R.T.; Melchers, W.J.; Verweij, P.E. Emergence of azole resistance in Aspergillus fumigatus and spread of a single resistance mechanism. PLoS Med. 2008, 5, e219. [Google Scholar] [CrossRef] [PubMed]
- Leonardelli, F.; Macedo, D.; Dudiuk, C.; Cabeza, M.S.; Gamarra, S.; Garcia-Effron, G. Aspergillus fumigatus intrinsic fluconazole resistance is due to the naturally occurring T301I substitution in Cyp51Ap. Antimicrob. Agents Chemother. 2016, 60, 5420–5426. [Google Scholar] [CrossRef]
- Sagatova, A.A.; Keniya, M.V.; Wilson, R.K.; Sabherwal, M.; Tyndall, J.D.; Monk, B.C. Triazole resistance mediated by mutations of a conserved active site tyrosine in fungal lanosterol 14α-demethylase. Sci. Rep. 2016, 6, e26213. [Google Scholar] [CrossRef]
- Nierman, W.C.; Pain, A.; Anderson, M.J.; Wortman, J.R.; Kim, H.S.; Arroyo, J.; Berriman, M.; Abe, K.; Archer, D.B.; Bermejo, C.; et al. Genomic sequence of the pathogenic and allergenic filamentous fungus Aspergillus fumigatus. Nature 2005, 438, 1151–1156. [Google Scholar] [CrossRef] [PubMed]
- Curran, K.A.; Morse, N.J.; Markham, K.A.; Wagman, A.M.; Gupta, A.; Alper, H.S. Short synthetic terminators for improved heterologous gene expression in yeast. ACS Synth. Biol. 2015, 4, 824–832. [Google Scholar] [CrossRef] [PubMed]
- Lamping, E.; Monk, B.C.; Niimi, K.; Holmes, A.R.; Tsao, S.; Tanabe, K.; Niimi, K.; Uehara, Y.; Cannon, R.D. Characterization of three classes of membrane proteins involved in fungal azole resistance by functional hyperexpression in Saccharomyces cerevisiae. Eukaryot. Cell 2007, 6, 1150–1165. [Google Scholar] [CrossRef] [PubMed]
- Keniya, M.V.; Ruma, Y.N.; Tyndall, J.D.; Monk, B.C. Heterologous expression of full-length lanosterol 14α-demethylases of prominent fungal pathogens Candida albicans and Candida glabrata provides tools for antifungal discovery. Antimicrob. Agents Chemother. 2018, 62, e01131. [Google Scholar] [CrossRef] [PubMed]
- Monk, B.C.; Tomasiak, T.M.; Keniya, M.V.; Huschmann, F.U.; Tyndall, J.D.; O’Connell, J.D.; Cannon, R.D.; McDonald, J.G.; Rodriguez, A.; Finer-Moore, J.S.; et al. Architecture of a single membrane spanning cytochrome P450 suggests constraints that orient the catalytic domain relative to a bilayer. Proc. Natl. Acad. Sci. USA 2014, 111, 3865–3870. [Google Scholar] [CrossRef] [PubMed]
- Lowry, O.H.; Rosebrough, N.J.; Farr, A.L.; Randall, R.J. Protein measurement with the Folin phenol reagent. J. Biol. Chem. 1951, 193, 265–275. [Google Scholar] [CrossRef]
- Laemmli, U.K. Cleavage of structural proteins during the assembly of the head of bacteriophage T4. Nature 1970, 227, 680–685. [Google Scholar] [CrossRef]
- Sagatova, A.A.; Keniya, M.V.; Wilson, R.K.; Monk, B.C.; Tyndall, J.D. Structural insights into binding of the antifungal drug fluconazole to Saccharomyces cerevisiae lanosterol 14α-demethylase. Antimicrob. Agents Chemother. 2015, 59, 4982–4989. [Google Scholar] [CrossRef]
- Guengerich, F.P.; Martin, M.V.; Sohl, C.D.; Cheng, Q. Measurement of cytochrome P450 and NADPH–cytochrome P450 reductase. Nat. Protoc. 2009, 4, 1245–1251. [Google Scholar] [CrossRef]
- Warrilow, A.G.; Martel, C.M.; Parker, J.E.; Melo, N.; Lamb, D.C.; Nes, W.D.; Kelly, D.E.; Kelly, S.L. Azole binding properties of Candida albicans sterol 14-α demethylase (CaCYP51). Antimicrob. Agents Chemother. 2010, 54, 4235–4245. [Google Scholar] [CrossRef]
- Muller, C.; Junker, J.; Bracher, F.; Giera, M. A gas chromatography-mass spectrometry-based whole-cell screening assay for target identification in distal cholesterol biosynthesis. Nat. Protoc. 2019, 14, 2546–2570. [Google Scholar] [CrossRef] [PubMed]
- Webb, B.; Sali, A. Comparative Protein Structure Modeling Using MODELLER. Curr. Protoc. Bioinform. 2016, 54, 5.6.1–5.6.37. [Google Scholar] [CrossRef] [PubMed]
- Hargrove, T.Y.; Wawrzak, Z.; Guengerich, F.P.; Lepesheva, G.I. A requirement for an active proton delivery network supports a compound I-mediated C-C bond cleavage in CYP51 catalysis. J. Biol. Chem. 2020, 295, 9998–10007. [Google Scholar] [CrossRef] [PubMed]
- Lescar, J.; Meyer, I.; Akshita, K.; Srinivasaraghavan, K.; Verma, C.; Palous, M.; Mazier, D.; Darty, A.; Fekkar, A. Aspergillus fumigatus harbouring the sole Y121F mutation shows decreased susceptibility to voriconazole but maintained susceptibility to itraconazole and posaconazole. J. Antimicrob. Chemother. 2014, 69, 3244–3247. [Google Scholar] [CrossRef]
- van der Linden, J.W.; Camps, S.M.; Kampinga, G.A.; Arends, J.P.; Debets-Ossenkopp, Y.J.; Haas, P.J.; Rijnders, B.J.A.; Kuijper, E.J.; van Tiel, F.H.; Varga, J.; et al. Aspergillosis due to voriconazole highly resistant Aspergillus fumigatus and recovery of genetically related resistant isolates from domiciles. Clin. Infect. Dis. 2013, 57, 513–520. [Google Scholar] [CrossRef] [PubMed]
- Alcazar-Fuoli, L.; Mellado, E.; Garcia-Effron, G.; Lopez, J.F.; Grimalt, J.O.; Cuenca-Estrella, J.M.; Rodriguez-Tudela, J.L. Ergosterol biosynthesis pathway in Aspergillus fumigatus. Steroids 2008, 73, 339–347. [Google Scholar] [CrossRef]
- Monk, B.C.; Keniya, M.V. Roles for Structural Biology in the Discovery of Drugs and Agrochemicals Targeting Sterol 14α-Demethylases. J. Fungi 2021, 7, e67. [Google Scholar] [CrossRef]
- Riley, J.; Brand, S.; Voice, M.; Caballero, I.; Calvo, D.; Read, K.D. Development of a Fluorescence-based Trypanosoma cruzi CYP51 Inhibition Assay for Effective Compound Triaging in Drug Discovery Programmes for Chagas Disease. PLoS Neglected Trop. Dis. 2015, 9, e0004014. [Google Scholar] [CrossRef] [PubMed]
- Monk, B.C.; Keniya, M.V.; Sabherwal, M.; Wilson, R.K.; Graham, D.O.; Hassan, H.F.; Chen, D.; Tyndall, J.D.A. Azole resistance reduces susceptibility to the tetrazole antifungal VT-1161. Antimicrob. Agents Chemother. 2019, 63, e02114. [Google Scholar] [CrossRef]
- Tyndall, J.D.; Sabherwal, M.; Sagatova, A.A.; Keniya, M.V.; Negroni, J.; Wilson, R.K.; Woods, M.A.; Tietjen, K.; Monk, B.C. Structural and functional elucidation of yeast lanosterol 14α-demethylase in complex with agrochemical antifungals. PLoS ONE 2016, 11, e0167485. [Google Scholar] [CrossRef]
- Snelders, E.; Camps, S.M.; Karawajczyk, A.; Rijs, A.J.; Zoll, J.; Verweij, P.E.; Melchers, W.J. Genotype–phenotype complexity of the TR 46/Y121F/T289A cyp51A azole resistance mechanism in Aspergillus fumigatus. Fungal Genet. Biol. 2015, 82, 129–135. [Google Scholar] [CrossRef] [PubMed]




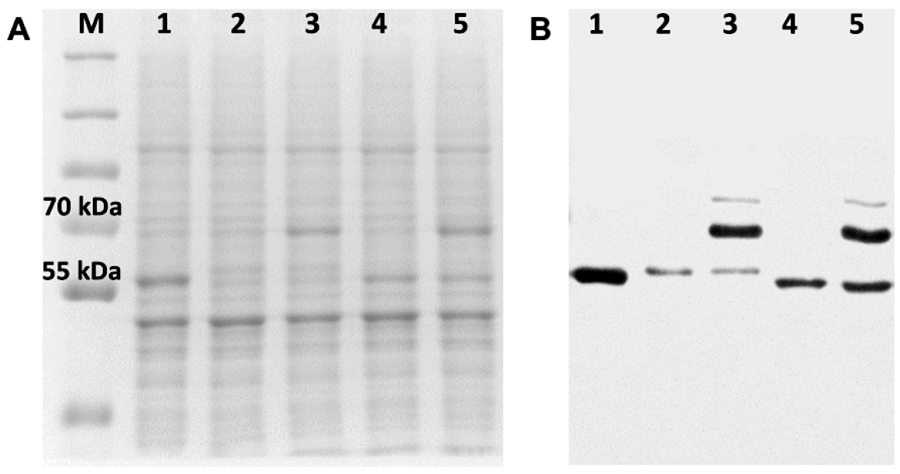
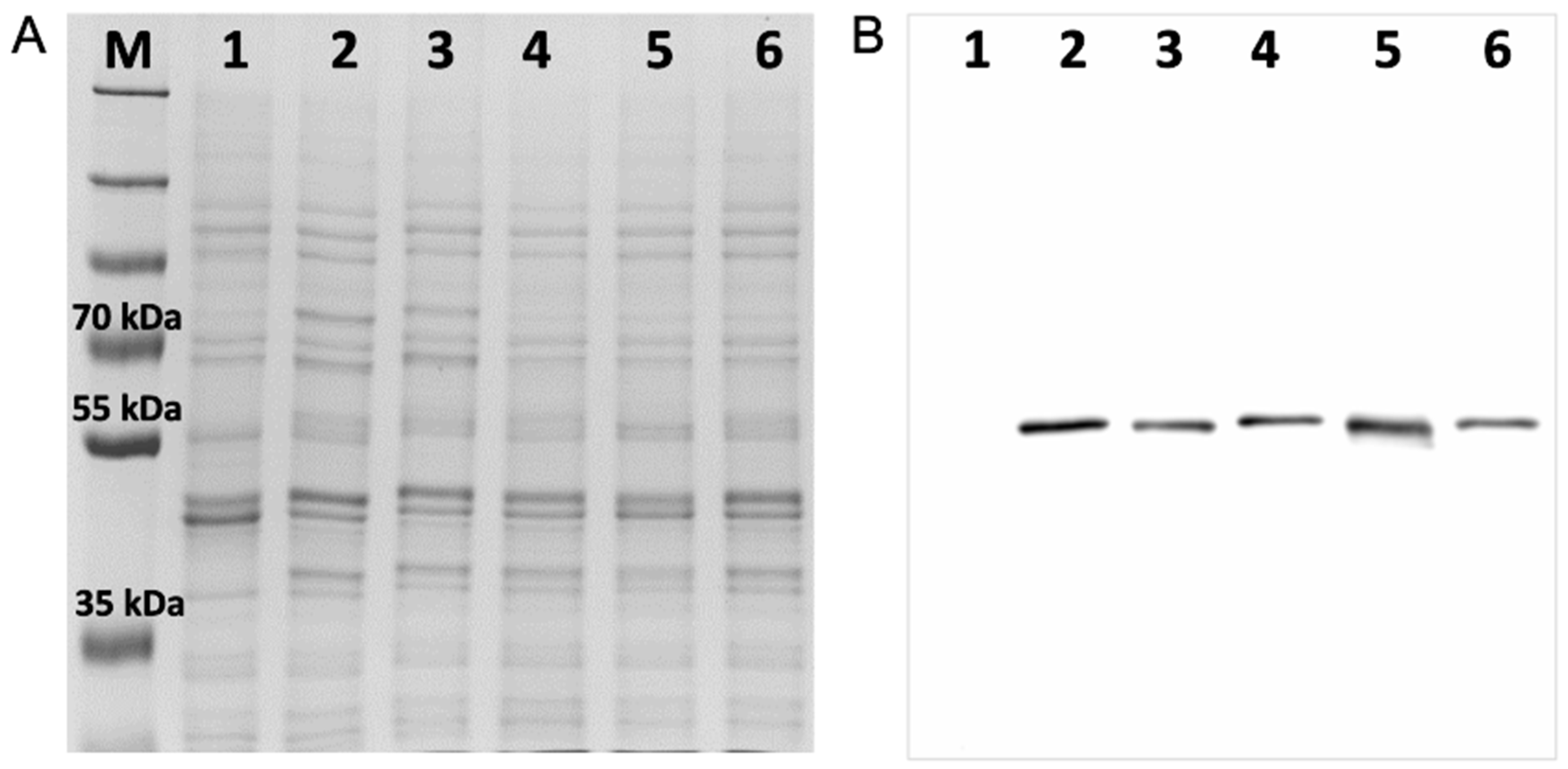
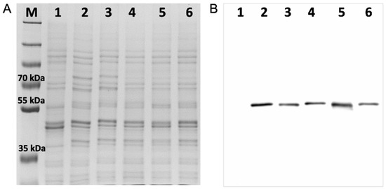
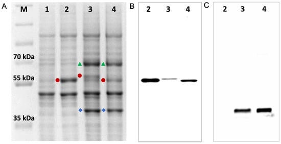
 ) Coomassie-stained AfCPRA2 without 6×His tag expressed from PDR15 locus of ARE and BRE samples, (
) Coomassie-stained AfCPRA2 without 6×His tag expressed from PDR15 locus of ARE and BRE samples, ( ) CYP51-6×His, (
) CYP51-6×His, ( ) AfERG6-FLAG.
) AfERG6-FLAG.
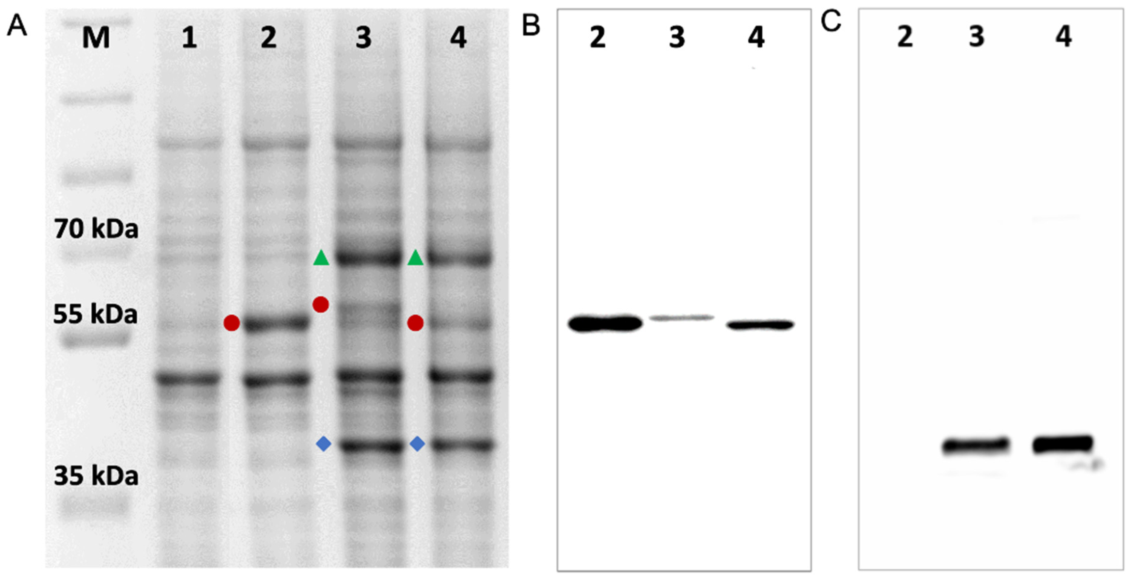
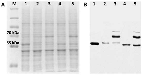
   ) Coomassie-stained AfCPRA2 without 6×His tag expressed from PDR15 locus of ARE and BRE samples, (
) Coomassie-stained AfCPRA2 without 6×His tag expressed from PDR15 locus of ARE and BRE samples, ( ) CYP51-6×His, (
) CYP51-6×His, ( ) AfERG6-FLAG.
) AfERG6-FLAG.






| Strain Name | Location of Recombinant Gene(s) in Host Cell (ADΔΔ) | 
|---|---|
| A | PDR5::AfCyp51A-6×His | 
| B | PDR5::AfCyp51B-6×His | 
| AR | PDR5::AfCyp51A-6×His, PDR15::AfCprA2-6×His | 
| BR | PDR5::AfCyp51B-6×His, PDR15::AfCprA2-6×His | 
| ARE | PDR5::AfCyp51A-6×His, PDR15::AfCprA2, ΔScCyp51::AfErg6-FLAG | 
| Y121F | PDR5::AfCyp51A-6×His Y121F, PDR15::AfCprA2, ΔScCyp51::AfErg6-FLAG | 
| T289A | PDR5::AfCyp51A-6×His T289A, PDR15::AfCprA2, ΔScCyp51::AfErg6-FLAG | 
| Y121F T289A | PDR5::AfCyp51A-6×His Y121F T289A, PDR15::AfCprA2, ΔScCyp51::AfErg6-FLAG | 
| I301T | PDR5::AfCyp51A-6×His I301T, PDR15::AfCprA2, ΔScCyp51::AfErg6-FLAG | 
| BRE | PDR5::AfCyp51B-6×His, PDR15::AfCprA2, ΔScCyp51::AfErg6-FLAG | 
| ADLS | PDR5::ScCyp51-6×His, ΔScCyp51::His1 | 
| ScCYP51 | AfCYP51A | AfCYP51A Mutation | AfCYP51B | |||||||||
|---|---|---|---|---|---|---|---|---|---|---|---|---|
| ADΔΔ | ADLS | A | AR | ARE | Y121F | T289A | Y121F T289A | I301T | B | BR | BRE | |
| FLC | 3.3 ± 0.2 | 8.0 ± 0.2 | 3.8 ± 0.2 | 6.5 ± 0.7 | 227 ± 18.5 | 263 ± 31.6 | 21.3 ± 2.7 | 1060 ± 60 | 77.2 ± 5.9 | 3.8 ± 0.2 | 2.9 ± 0.4 | 10.0 ± 1.4 | 
| VCZ | 0.06 ± 0.00 | 0.17 ± 0.03 | 0.08 ± 0.01 | 0.11 ± 0.02 | 0.27 ± 0.03 | 2.07 ± 0.21 | 0.11 ± 0.00 | 2.86 ± 0.22 | 0.11 ± 0.00 | 0.08 ± 0.01 | 0.07 ± 0.01 | 0.21 ± 0.02 | 
| PCZ | 0.10 ± 0.01 | 0.29 ± 0.04 | 0.21 ± 0.01 | 0.19 ± 0.02 | 0.10 ± 0.01 | 0.06 ± 0.01 | 0.06 ± 0.00 | 0.11 ± 0.01 | 0.09 ± 0.02 | 0.25 ± 0.03 | 0.17 ± 0.02 | 0.10 ± 0.01 | 
| VT-1161 | 0.01 ± 0.00 | 0.06 ± 0.00 | 0.03 ± 0.00 | 0.06 ± 0.01 | 0.43 ± 0.05 | 0.53 ± 0.02 | 0.02 ± 0.00 | 1.07 ± 0.05 | 0.14 ± 0.04 | 0.05 ± 0.01 | 0.03 ± 0.00 | 0.06 ± 0.01 | 
| DCZ | <0.01 | 0.04 ± 0.01 | 0.01 ± 0.00 | .07 ± 0.01 | 0.64 ± 0.04 | 0.37 ± 0.02 | <0.01 | 0.92 ± 0.07 | 0.35 ± 0.06 | 0.01 ± 0.00 | <0.01 | <0.01 | 
| MCF | 0.22 ± 0.02 | 0.22 ± 0.01 | 0.19 ± 0.03 | 0.17 ± 0.03 | 0.22 ± 0.02 | 0.24 ± 0.02 | 0.27 ± 0.00 | 0.21 ± 0.01 | 0.28 ± 0.01 | 0.18 ± 0.02 | 0.17 ± 0.03 | 0.14 ± 0.01 | 
| Compound | Strains | |||||
|---|---|---|---|---|---|---|
| BRE | ARE | ARE T289A | ARE I301T | ARE Y121F | ARE Y121F T289A | |
| FLC 2,4-difluorophenyl | 3.8 ± 0.9 | 151 ± 66 | 12 ± 2 | 65 ± 14 | 157 ± 33 | 725 ± 65 | 
| MCC7915 FLC Phenyl | 223 ± 79 | 427 ± 23 | 248 ± 23 | 278 ± 45 | 180 ± 11 | 219 ± 29 | 
| MCC7916 FLC 2-fluorophenyl | 21 ± 3 | 120 ± 40 | 52 ± 6 | 51 ± 6 | 80 ± 17 | 198 ± 41 | 
| MCC7917 FLC 4-fluorophenyl | 38 ± 11 | 411 ± 30 | 103 ± 11 | 257 ± 37 | 179 ± 9 | 242 ± 41 | 
| MCC8768 FLC 2,5-difluorophenyl | 25 ± 8 | 354 ± 76 | 106 ± 28 | 211 ± 21 | 324 ± 109 | 1025 ± 148 | 
| RVC 2,4-difluorophenyl | 0.0038 ± 0.0008 | 0.0088 ± 0.0023 | 0.0032 ± 0.0015 | 0.0034 ± 0.0015 | 0.047 ± 0.005 | 0.033 ± 0.006 | 
| IVC 2,5-difluorophenyl | 0.0109 ± 0.003 | 0.021 ± 0.007 | 0.0102 ± 0.0057 | 0.0119 ± 0.0028 | 0.071 ± 0.014 | 0.110 ± 0.011 | 
| PCZ 2,4-difluorophenyl | 0.060 ± 0.037 | 0.050 ± 0.017 | 0.043 ± 0.019 | 0.055 ± 0.001 | 0.025 ± 0.003 | 0.101 ± 0.017 | 
| Eburicol | Lanosterol | |
|---|---|---|
| ΔAmax | 0.161 | 0.219 | 
| Ks (μM) | 71.02 | 476.7 | 
| Azole | ΔAmax | λpeak | λtrough | Hill Number | Kd (μM) | |
|---|---|---|---|---|---|---|
| AfCYP51A | FLC | 0.10 | 422 | 383 | 0.72 | 3.23 ± 1.13 | 
| VCZ | 0.05 | 422 | 392 | 1.10 | 1.52 ± 0.30 | |
| PCZ | 0.07 | 423 | 395 | 1.35 | 1.72 ± 0.19 | |
| AfCYP51B | FLC | 0.09 | 425 | 407 | 1.75 | 1.43 ± 0.07 | 
| VCZ | 0.03 | 427 | 410 | 1.12 | 0.80 ± 0.31 | |
| PCZ | 0.10 | 423 | 388 | 1.41 | 2.15 ± 0.20 | |
| VT-1161 | 0.11 | 423 | 391 | 0.87 | 3.23 ± 2.50 | |
| DCZ | 0.10 | 426 | 410 | 1.55 | 1.76 ± 0.08 | 
| Disclaimer/Publisher’s Note: The statements, opinions and data contained in all publications are solely those of the individual author(s) and contributor(s) and not of MDPI and/or the editor(s). MDPI and/or the editor(s) disclaim responsibility for any injury to people or property resulting from any ideas, methods, instructions or products referred to in the content. | 
© 2024 by the authors. Licensee MDPI, Basel, Switzerland. This article is an open access article distributed under the terms and conditions of the Creative Commons Attribution (CC BY) license (https://creativecommons.org/licenses/by/4.0/).
Share and Cite
Hosseini, P.; Keniya, M.V.; Sagatova, A.A.; Toepfer, S.; Müller, C.; Tyndall, J.D.A.; Klinger, A.; Fleischer, E.; Monk, B.C. The Molecular Basis of the Intrinsic and Acquired Resistance to Azole Antifungals in Aspergillus fumigatus. J. Fungi 2024, 10, 820. https://doi.org/10.3390/jof10120820
Hosseini P, Keniya MV, Sagatova AA, Toepfer S, Müller C, Tyndall JDA, Klinger A, Fleischer E, Monk BC. The Molecular Basis of the Intrinsic and Acquired Resistance to Azole Antifungals in Aspergillus fumigatus. Journal of Fungi. 2024; 10(12):820. https://doi.org/10.3390/jof10120820
Chicago/Turabian StyleHosseini, Parham, Mikhail V. Keniya, Alia A. Sagatova, Stephanie Toepfer, Christoph Müller, Joel D. A. Tyndall, Anette Klinger, Edmond Fleischer, and Brian C. Monk. 2024. "The Molecular Basis of the Intrinsic and Acquired Resistance to Azole Antifungals in Aspergillus fumigatus" Journal of Fungi 10, no. 12: 820. https://doi.org/10.3390/jof10120820
APA StyleHosseini, P., Keniya, M. V., Sagatova, A. A., Toepfer, S., Müller, C., Tyndall, J. D. A., Klinger, A., Fleischer, E., & Monk, B. C. (2024). The Molecular Basis of the Intrinsic and Acquired Resistance to Azole Antifungals in Aspergillus fumigatus. Journal of Fungi, 10(12), 820. https://doi.org/10.3390/jof10120820
 
        






 
       