Advancements in Acute Pulmonary Embolism Diagnosis and Treatment: A Narrative Review of Emerging Imaging Techniques and Intravascular Interventions
Abstract
1. Introduction
2. Search Strategy and Methodology
3. Diagnostic Imaging
3.1. High-Pitch CT
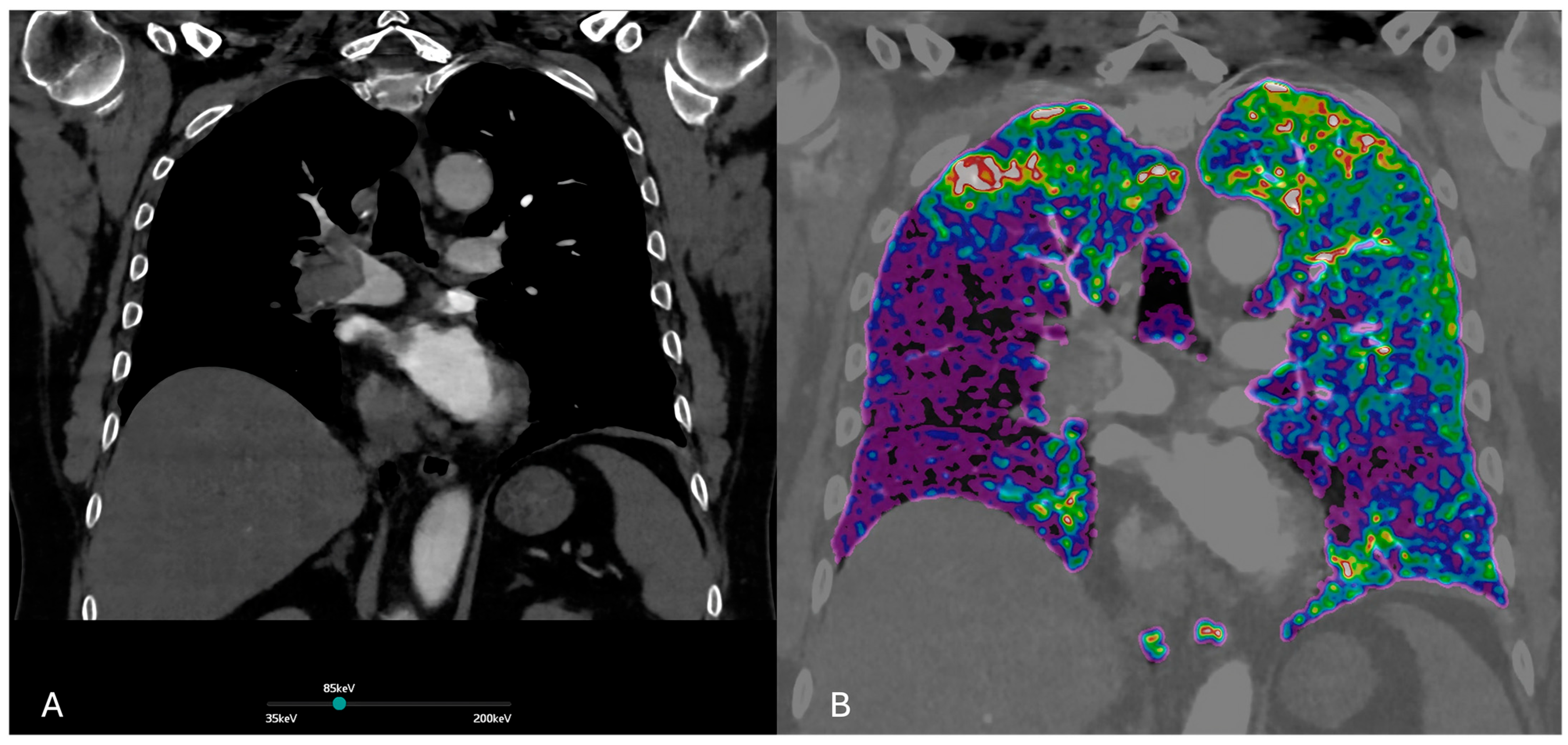
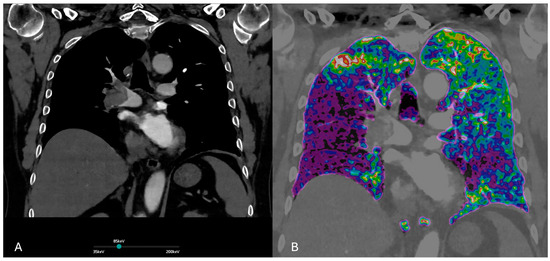
3.2. Dual Energy CT
3.2.1. Principles of DECT
3.2.2. Accuracy of DECT
3.3. Photon-Counting CT
3.3.1. Principles of Photon Counting
3.3.2. Diagnostic Accuracy of of Photon Counting-CTPA
3.4. Dynamic Digital Radiography
3.4.1. Principles of Dynamic Digital Radiography
3.4.2. Accuracy of Dynamic Digital Radiography
4. Artificial Intelligence
4.1. Automated Detection
4.2. Segmentation and Quantification
4.3. Prediction
5. Therapeutic Strategies
5.1. Risk Stratification and Interventional Procedure for Pulmonary Embolism
5.2. EkoSonic Endovascular System (EKOS)
5.3. FlowTriever System (Inari Medical)
5.4. Indigo Aspiration System (Penumbra Inc.)
5.5. Other Devices
6. Systemic Thrombolysis
7. Pulmonary Embolism Response Teams (PERTs)
8. Discussion
9. Limitations
10. Conclusions
Author Contributions
Funding
Institutional Review Board Statement
Informed Consent Statement
Data Availability Statement
Conflicts of Interest
Abbreviations
| APE | Acute Pulmonary Embolism |
| CTPA | Computed Tomography Pulmonary Angiography |
| DECT | Dual-Energy Computed Tomography |
| PC | Photon Counting |
| DDR | Dynamic Digital Radiography |
| RV | Right Ventricle |
| VNC | Virtual Non-Contrast |
| VMIs | Virtual Monoenergetic Images |
| EID-CT | Energy-Integrating Detector CT |
| PCDs | Photon-Counting Detectors |
| DL | Deep Learning |
| CNNs | Convolutional Neural Networks |
| CAD | Computer-Assisted Detection |
| ML | Machine Learning |
| AUC | Area Under the Curve |
| DNN | Deep Neural Network |
| NLP | Natural Language Processing |
| CT | Computed Tomography |
| PE | Pulmonary Embolism |
| V/Q | Ventilation/Perfusion (referring to V/Q scanning) |
| CTEPH | Chronic Thromboembolic Pulmonary Hypertension |
| SECT | Single-Energy CT |
| LB | Linear Blending |
| RV/LV | Right Ventricle-to-Left Ventricle diameter ratio |
References
- Peracaula, M.; Sebastian, L.; Francisco, I.; Vilaplana, M.B.; Rodríguez-Chiaradía, D.A.; Tura-Ceide, O. Decoding Pulmonary Embolism: Pathophysiology, Diagnosis, and Treatment. Biomedicines 2024, 12, 1936. [Google Scholar] [CrossRef]
- Teissandier, D.; Roussel, M.; Bannelier, H.; Freund, Y.; Catoire, P. Contemporary approaches to pulmonary embolism diagnosis: A clinical review. Korean Soc. Emerg. Med. 2024, 11, 127–135. [Google Scholar] [CrossRef]
- Raskob, G.E.; Angchaisuksiri, P.; Blanco, A.N.; Buller, H.; Gallus, A.; Hunt, B.J.; Hylek, E.M.; Kakkar, A.; Konstantinides, S.V.; McCumber, M.; et al. Thrombosis: A major contributor to global disease burden. Arter. Thromb. Vasc. Biol. 2014, 34, 2363–2371. [Google Scholar] [CrossRef]
- Faluk, M.; Hasan, S.M.; Chacko, J.J.; Abdelmaseih, R.; Patel, J. Evolution of Acute Pulmonary Embolism Management: Review Article. Curr. Probl. Cardiol. 2021, 46, 100551. [Google Scholar] [CrossRef]
- Pollack, C.V.; Schreiber, D.; Goldhaber, S.Z.; Slattery, D.; Fanikos, J.; O’Neil, B.J.; Thompson, J.R.; Hiestand, B.; Briese, B.A.; Pendleton, R.C.; et al. Clinical characteristics, management, and outcomes of patients diagnosed with acute pulmonary embolism in the emergency department: Initial report of EMPEROR (Multicenter Emergency Medicine Pulmonary Embolism in the Real World Registry). J. Am. Coll. Cardiol. 2011, 57, 700–706. [Google Scholar] [CrossRef]
- Noschang, J.; Guimarães, M.D.; Teixeira, D.F.D.; Braga, J.C.D.; Hochhegger, B.; Santana, P.R.P.; Marchiori, E. Pulmonary thromboembolism: New diagnostic imaging techniques. Radiol. Bras. 2018, 51, 178–186. [Google Scholar] [CrossRef] [PubMed]
- Thomas, S.E.; Weinberg, I.; Schainfeld, R.M.; Rosenfield, K.; Parmar, G.M. Diagnosis of Pulmonary Embolism: A Review of Evidence-Based Approaches. Biomedicines 2024, 13, 3722. [Google Scholar] [CrossRef]
- Zantonelli, G.; Cozzi, D.; Bindi, A.; Cavigli, E.; Moroni, C.; Luvarà, S.; Grazzini, G.; Danti, G.; Granata, V.; Miele, V. Acute Pulmonary Embolism: Prognostic Role of Computed Tomography Pulmonary Angiography (CTPA). Tomography 2022, 8, 529–539. [Google Scholar] [CrossRef]
- Patel, P.; Bhatt, M.; Braun, C.; Begum, H.; Wiercioch, W.; Varghese, J.; Wooldridge, D.; Alturkmani, H.; Thomas, M.; Baig, M.; et al. Systematic review and meta-analysis of test accuracy for the diagnosis of suspected pulmonary embolism. Blood Adv. 2020, 4, 4296–4311. [Google Scholar] [CrossRef]
- Vlahos, I.; Jacobsen, M.C.; Godoy, M.C.; Stefanidis, K.; Layman, R.R. Dual-energy CT in pulmonary vascular disease. Br. J. Radiol. 2021, 95, 20210699. [Google Scholar] [CrossRef]
- Guerrini, S.; Zanoni, M.; Sica, C.; Bagnacci, G.; Mancianti, N.; Galzerano, G.; Garosi, G.; Cacioppa, L.M.; Cellina, M.; Zamboni, G.A.; et al. Dual-Energy CT as a Well-Established CT Modality to Reduce Contrast Media Amount: A Systematic Review from the Computed Tomography Subspecialty Section of the Italian Society of Radiology. J. Clin. Med. 2024, 13, 6345. [Google Scholar] [CrossRef]
- Pannenbecker, P.; Huflage, H.; Grunz, J.P.; Gruschwitz, P.; Patzer, T.S.; Weng, A.M.; Heidenreich, J.F.; Bley, T.A.; Petritsch, B. Photon-counting CT for diagnosis of acute pulmonary embolism: Potential for contrast medium and radiation dose reduction. Eur. Radiol. 2023, 33, 7830–7839. [Google Scholar] [CrossRef]
- Yamasaki, Y.; Abe, K.; Kamitani, T.; Hosokawa, K.; Hida, T.; Sagiyama, K.; Matsuura, Y.; Baba, S.; Isoda, T.; Maruoka, Y.; et al. Efficacy of Dynamic Chest Radiography for Chronic Thromboembolic Pulmonary Hypertension. Radiology 2023, 306, e220908. [Google Scholar] [CrossRef] [PubMed]
- Marti, C.; John, G.; Konstantinides, S.; Combescure, C.; Sanchez, O.; Lankeit, M.; Meyer, G.; Perrier, A. Systemic thrombolytic therapy for acute pulmonary embolism: A systematic review and meta-analysis. Eur. Heart J. 2015, 36, 605–614. [Google Scholar] [CrossRef] [PubMed]
- Harvey, J.J.; Huang, S.; Uberoi, R. Catheter-Directed Therapies for the Treatment of High Risk (Massive) and Intermediate Risk (Submassive) Acute Pulmonary Embolism; John Wiley and Sons Ltd.: Hoboken, NJ, USA, 2022. [Google Scholar]
- Klok, F.A.; Piazza, G.; Sharp, A.S.P.; Ní Ainle, F.; Jaff, M.R.; Chauhan, N.; Patel, B.; Barco, S.; Goldhaber, S.Z.; Kucher, N.; et al. Ultrasound-facilitated, catheter-directed thrombolysis vs anticoagulation alone for acute intermediate-high-risk pulmonary embolism: Rationale and design of the HI-PEITHO study. Am. Heart J. 2022, 251, 43–53. [Google Scholar] [CrossRef]
- Schönfeld, T.; Seitz, P.; Krieghoff, C.; Ponorac, S.; Wötzel, A.; Olthoff, S.; Schaudt, S.; Steglich, J.; Gutberlet, M.; Gohmann, R.F. High-pitch CT pulmonary angiography (CTPA) with ultra-low contrast medium volume for the detection of pulmonary embolism: A comparison with standard CTPA. Eur. Radiol. 2024, 34, 1921–1931. [Google Scholar] [CrossRef]
- D’Angelo, T.; Bucolo, G.M.; Yel, I.; Koch, V.; Gruenewald, L.D.; Martin, S.S.; Alizadeh, L.S.; Vogl, T.J.; Ascenti, G.; Lanzafame, L.R.M.; et al. Dual-energy CT late arterial phase iodine maps for the diagnosis of acute non-occlusive mesenteric ischemia. Radiol. Med. 2024, 129, 1611–1621. [Google Scholar] [CrossRef]
- Rajiah, P.; Parakh, A.; Kay, F.; Baruah, D.; Kambadakone, A.R.; Leng, S. Update on multienergy CT: Physics, principles, and applications. Radiographics 2020, 40, 1284–1308. [Google Scholar] [CrossRef]
- Borgheresi, A.; Cesari, E.; Agostini, A.; Badaloni, M.; Balducci, S.; Tola, E.; Consoli, V.; Palucci, A.; Burroni, L.; Carotti, M.; et al. Pulmonary emphysema: The assessment of lung perfusion with Dual-Energy CT and pulmonary scintigraphy. Radiol. Med. 2024, 129, 1622–1632. [Google Scholar] [CrossRef] [PubMed]
- Grob, D.; Smit, E.; Prince, J.; Kist, J.; Stöger, L.; Geurts, B.; Snoeren, M.M.; van Dijk, R.; Oostveen, L.J.; Prokop, M.; et al. Iodine Maps from Subtraction CT or Dual-Energy CT to Detect Pulmonary Emboli with CT Angiography: A Multiple-Observer Study. Radiology 2019, 292, 197–205. [Google Scholar] [CrossRef] [PubMed]
- Thieme, S.F.; Becker, C.R.; Hacker, M.; Nikolaou, K.; Reiser, M.F.; Johnson, T.R.C. Dual energy CT for the assessment of lung perfusion-Correlation to scintigraphy. Eur. J. Radiol. 2008, 68, 369–374. [Google Scholar] [CrossRef]
- Thieme, S.F.; Graute, V.; Nikolaou, K.; Maxien, D.; Reiser, M.F.; Hacker, M.; Johnson, T.R. Dual Energy CT lung perfusion imaging—Correlation with SPECT/CT. Eur. J. Radiol. 2012, 81, 360–365. [Google Scholar] [CrossRef]
- Grob, D.; Smit, E.; Oostveen, L.J.; Snoeren, M.M.; Prokop, M.; Schaefer-Prokop, C.M.; Sechopoulos, I.; Brink, M. Image Quality of Iodine Maps for Pulmonary Embolism: A Comparison of Subtraction CT and Dual-Energy CT. AJR Am. J. Roentgenol. 2019, 212, 1253–1259. [Google Scholar] [CrossRef]
- Monti, C.B.; Zanardo, M.; Cozzi, A.; Schiaffino, S.; Spagnolo, P.; Secchi, F.; De Cecco, C.N.; Sardanelli, F. Dual-energy CT performance in acute pulmonary embolism: A meta-analysis. Eur. Radiol. 2021, 31, 6248–6258. [Google Scholar] [CrossRef] [PubMed]
- Stein, P.D.; Fowler, S.E.; Goodman, L.R.; Gottschalk, A.; Hales, C.A.; Hull, R.D.; Leeper, K.V., Jr.; Popovich, J., Jr.; Quinn, D.A.; Sos, T.A.; et al. PIOPED II Investigators. Multidetector computed tomography for acute pulmonary embolism. N. Engl. J. Med. 2006, 354, 2317–2327. [Google Scholar] [CrossRef]
- Foti, G.; Silva, R.; Faccioli, N.; Fighera, A.; Menghini, R.; Campagnola, A.; Carbognin, G. Identification of pulmonary embolism: Diagnostic accuracy of venous-phase dual-energy CT in comparison to pulmonary arteries CT angiography. Eur. Radiol. 2021, 31, 1923–1931. [Google Scholar] [CrossRef] [PubMed]
- Im, D.J.; Hur, J.; Han, K.H.; Lee, H.J.; Kim, Y.J.; Kwon, W.; Choi, B.W. Acute Pulmonary Embolism: Retrospective Cohort Study of the Predictive Value of Perfusion Defect Volume Measured with Dual-Energy CT. AJR Am. J. Roentgenol. 2017, 209, 1015–1022. [Google Scholar] [CrossRef] [PubMed]
- Chae, E.J.; Seo, J.B.; Jang, Y.M.; Krauss, B.; Lee, C.W.; Lee, H.J.; Song, K.S. Dual-energy CT for assessment of the severity of acute pulmonary embolism: Pulmonary perfusion defect score compared with CT angiographic obstruction score and right ventricular/left ventricular diameter ratio. AJR Am. J. Roentgenol. 2010, 194, 604–610. [Google Scholar] [CrossRef] [PubMed]
- Cellina, M.; Cè, M.; Grimaldi, E.; Mastellone, G.; Fortunati, A.; Oliva, G.; Martinenghi, C.; Carrafiello, G. The role of dual-energy computed tomography (DECT) in emergency radiology: A visual guide to advanced diagnostics. Clin. Radiol. 2025, 83, 106836. [Google Scholar] [CrossRef]
- Schwartz, F.R.; Bache, S.; Lee, R.; Maxfield, C.M.; Fadell, M.F., 2nd; Gaca, A.M.; Samei, E.; Frush, D.P.; Cao, J.Y. Photon-counting CT yields superior abdominopelvic image quality at lower radiation and iodinated contrast doses. Pediatr. Radiol. 2025, 55, 1202–1211. [Google Scholar] [CrossRef] [PubMed]
- Willemink, M.J.; Persson, M.; Pourmorteza, A.; Pelc, N.J.; Fleischmann, D. Photon-counting CT: Technical principles and clinical prospects. Radiol. Soc. N. Am. Inc. 2018, 289, 293–312. [Google Scholar] [CrossRef]
- Pannenbecker, P.; Heidenreich, J.F.; Huflage, H.; Gruschwitz, P.; Patzer, T.S.; Weng, A.M.; Grunz, J.P.; Kunz, A.S.; Bley, T.A.; Petritsch, B. The Best of Both Worlds: Ultra-high-pitch Pulmonary Angiography with Free-Breathing Technique by Means of Photon-Counting Detector CT for Diagnosis of Acute Pulmonary Embolism. Acad. Radiol. 2024, 31, 5280–5288. [Google Scholar] [CrossRef] [PubMed]
- Pallasch, F.B.; Rau, A.; Reisert, M.; Rau, S.; Diallo, T.; Stein, T.; Faby, S.; Bamberg, F.; Weiss, J. Photon-counting detector computed tomography for metal artifact reduction: A comparative study of different artifact reduction techniques in patients with orthopedic implants. Radiol. Med. 2024, 129, 890–900. [Google Scholar] [CrossRef]
- Yalynska, T.; Polacin, M.; Frauenfelder, T.; Martini, K. Impact of Photon Counting Detector CT Derived Virtual Monoenergetic Images on the Diagnosis of Pulmonary Embolism. Diagnostics 2022, 12, 2715. [Google Scholar] [CrossRef]
- Remy-Jardin, M.; Oufriche, I.; Guiffault, L.; Duhamel, A.; Flohr, T.; Schmidt, B.; Remy, J. Diagnosis of acute pulmonary embolism: When photon-counting-detector CT replaces energy-integrating-detector CT in daily routine. Eur. Radiol. 2024, 34, 6544–6555. [Google Scholar] [CrossRef]
- Nehra, A.K.; Rajendran, K.; Baffour, F.I.; Mileto, A.; Rajiah, P.S.; Horst, K.K.; Inoue, A.; Johnson, T.F.; Diehn, F.E.; Glazebrook, K.N.; et al. Seeing More with Less: Clinical Benefits of Photon-counting Detector CT. Radiographics 2023, 43, e220158. [Google Scholar] [CrossRef] [PubMed]
- Cè, M.; Oliva, G.; Rabaiotti, F.L.; Macrì, L.; Zollo, S.; Aquila, A.; Cellina, M. Portable Dynamic Chest Radiography: Literature Review and Potential Bedside Applications. Med. Sci. 2024, 12, 10. [Google Scholar] [CrossRef] [PubMed]
- Yamasaki, Y.; Abe, K.; Hosokawa, K.; Kamitani, T. A novel pulmonary circulation imaging using dynamic digital radiography for chronic thromboembolic pulmonary hypertension. Eur. Heart J. 2020, 41, 2506. [Google Scholar] [CrossRef]
- Yamasaki, Y.; Kamitani, T.; Sagiyama, K.; Hino, T.; Kisanuki, M.; Tabata, K.; Isoda, T.; Kitamura, Y.; Abe, K.; Hosokawa, K.; et al. Dynamic chest radiography for pulmonary vascular diseases: Clinical applications and correlation with other imaging modalities. Jpn. J. Radiol. 2024, 42, 126–144. [Google Scholar] [CrossRef]
- Bushra, F.; Chowdhury, M.E.H.; Sarmun, R.; Kabir, S.; Said, M.; Zoghoul, S.B.; Mushtak, A.; Al-Hashimi, I.; Alqahtani, A.; Hasan, A. Deep learning in computed tomography pulmonary angiography imaging: A dual-pronged approach for pulmonary embolism detection. Expert Syst. Appl. 2024, 245, 123029. [Google Scholar] [CrossRef]
- Allena, N.; Khanal, S. The Algorithmic Lung Detective: Artificial Intelligence in the Diagnosis of Pulmonary Embolism. Cureus 2023, 15, e51006. [Google Scholar] [CrossRef]
- Li, L.; Peng, M.; Zou, Y.; Li, Y.; Qiao, P. The promise and limitations of artificial intelligence in CTPA-based pulmonary embolism detection. Front. Med. 2025, 12, 1514931. [Google Scholar] [CrossRef]
- Djahnine, A.; Lazarus, C.; Lederlin, M.; Mulé, S.; Wiemker, R.; Si-Mohamed, S.; Jupin-Delevaux, E.; Nempont, O.; Skandarani, Y.; De Craene, M.; et al. Detection and severity quantification of pulmonary embolism with 3D CT data using an automated deep learning-based artificial solution. Diagn. Interv. Imaging 2024, 105, 97–103. [Google Scholar] [CrossRef]
- Das, M.; Mühlenbruch, G.; Helm, A.; Bakai, A.; Salganicoff, M.; Stanzel, S.; Liang, J.; Wolf, M.; Günther, R.W.; Wildberger, J.E. Computer-aided detection of pulmonary embolism: Influence on radiologists’ detection performance with respect to vessel segments. Eur. Radiol. 2008, 18, 1350–1355. [Google Scholar] [CrossRef]
- Cheikh, A.B.; Gorincour, G.; Nivet, H.; May, J.; Seux, M.; Calame, P.; Thomson, V.; Delabrousse, E.; Crombé, A. How artificial intelligence improves radiological interpretation in suspected pulmonary embolism. Eur. Radiol. 2022, 32, 5831–5842. [Google Scholar] [CrossRef]
- Langius-Wiffen, E.; de Jong, P.A.; Hoesein, F.A.M.; Dekker, L.; van den Hoven, A.F.; Nijholt, I.M.; Boomsma, M.F.; Veldhuis, W.B. Retrospective batch analysis to evaluate the diagnostic accuracy of a clinically deployed AI algorithm for the detection of acute pulmonary embolism on CTPA. Insights Imaging 2023, 14, 102. [Google Scholar] [CrossRef]
- Huang, G.; Liu, Z.; van der Maaten, L.; Weinberger, K.Q. Densely Connected Convolutional Networks. Available online: http://arxiv.org/abs/1608.06993 (accessed on 1 June 2025).
- Liu, Z.; Yuan, H.; Wang, H. CAM-Wnet: An effective solution for accurate pulmonary embolism segmentation. Med. Phys. 2022, 49, 5294–5303. [Google Scholar] [CrossRef] [PubMed]
- Zsarnoczay, E.; Rapaka, S.; Schoepf, U.J.; Gnasso, C.; Vecsey-Nagy, M.; Todoran, T.M.; Hagar, M.T.; Kravchenko, D.; Tremamunno, G.; Griffith, J.P.; et al. Accuracy of a deep neural network for automated pulmonary embolism detection on dedicated CT pulmonary angiograms. Eur. J. Radiol. 2025, 187, 112077. [Google Scholar] [CrossRef] [PubMed]
- Huhtanen, H.; Nyman, M.; Mohsen, T.; Virkki, A.; Karlsson, A.; Hirvonen, J. Automated detection of pulmonary embolism from CT-angiograms using deep learning. BMC Med. Imaging 2022, 22, 43. [Google Scholar] [CrossRef]
- Liu, W.; Liu, M.; Guo, X.; Zhang, P.; Zhang, L.; Zhang, R.; Kang, H.; Zhai, Z.; Tao, X.; Wan, J.; et al. Evaluation of acute pulmonary embolism and clot burden on CTPA with deep learning. Eur. Radiol. 2020, 30, 3567–3575. [Google Scholar] [CrossRef] [PubMed]
- Kahraman, A.T.; Fröding, T.; Toumpanakis, D.; Gustafsson, C.J.; Sjöblom, T. Enhanced classification performance using deep learning based segmentation for pulmonary embolism detection in CT angiography. Heliyon 2024, 10, e38118. [Google Scholar] [CrossRef]
- Mu, W.; Liang, Y.; Hall, L.O.; Tan, Y.; Balagurunathan, Y.; Wenham, R.; Wu, N.; Tian, J.; Gillies, R.J. 18F-FDG PET/CT Habitat Radiomics Predicts Outcome of Patients with Cervical Cancer Treated with Chemoradiotherapy. Radiol. Artif. Intell. 2020, 2, e190218. [Google Scholar] [CrossRef] [PubMed]
- Soffer, S.; Klang, E.; Shimon, O.; Barash, Y.; Cahan, N.; Greenspan, H.; Konen, E. Deep learning for pulmonary embolism detection on computed tomography pulmonary angiogram: A systematic review and meta-analysis. Sci. Rep. 2021, 11, 15814. [Google Scholar] [CrossRef] [PubMed]
- Lanza, E.; Ammirabile, A.; Francone, M. Meta-analysis of AI-based pulmonary embolism detection: How reliable are deep learning models? Comput. Biol. Med. 2025, 193, 110402. [Google Scholar] [CrossRef]
- Ayobi, A.; Chang, P.D.; Chow, D.S.; Weinberg, B.D.; Tassy, M.; Franciosini, A.; Scudeler, M.; Quenet, S.; Avare, C.; Chaibi, Y. Performance and clinical utility of an artificial intelligence-enabled tool for pulmonary embolism detection. Clin. Imaging 2024, 113, 110245. [Google Scholar] [CrossRef]
- Grenier, P.A.; Ayobi, A.; Quenet, S.; Tassy, M.; Marx, M.; Chow, D.S.; Weinberg, B.D.; Chang, P.D.; Chaibi, Y. Deep Learning-Based Algorithm for Automatic Detection of Pulmonary Embolism in Chest CT Angiograms. Diagnostics 2023, 13, 1324. [Google Scholar] [CrossRef]
- Li, Y.; Zhang, L.; Liu, H.; Li, Y.; Liu, Z. Research progress of artificial intelligence and machine learning in pulmonary embolism. Front. Med. 2025, 12, 1577559. [Google Scholar] [CrossRef]
- Naser, A.M.; Vyas, R.; Morgan, A.A.; Kalaiger, A.M.; Kharawala, A.; Nagraj, S.; Agarwal, R.; Maliha, M.; Mangeshkar, S.; Singh, N.; et al. Role of Artificial Intelligence in the Diagnosis and Management of Pulmonary Embolism: A Comprehensive Review. Diagnostics 2025, 15, 889. [Google Scholar] [CrossRef] [PubMed]
- Huang, S.C.; Kothari, T.; Banerjee, I.; Chute, C.; Ball, R.L.; Borus, N.; Huang, A.; Patel, B.N.; Rajpurkar, P.; Irvin, J.; et al. PENet-a scalable deep-learning model for automated diagnosis of pulmonary embolism using volumetric CT imaging. NPJ Digit. Med. 2020, 3, 61, Erratum in NPJ Digit. Med. 2020, 3, 102. [Google Scholar] [CrossRef]
- Wu, H.; Xu, Q.; He, X.; Xu, H.; Wang, Y.; Guo, L. SPE-YOLO: A deep learning model focusing on small pulmonary embolism detection. Comput. Biol. Med. 2025, 184, 109402. [Google Scholar] [CrossRef]
- Hagen, F.; Vorberg, L.; Thamm, F.; Ditt, H.; Maier, A.; Brendel, J.M.; Ghibes, P.; Bongers, M.N.; Krumm, P.; Nikolaou, K.; et al. Improved detection of small pulmonary embolism on unenhanced computed tomography using an artificial intelligence-based algorithm—A single centre retrospective study. Int. J. Cardiovasc. Imaging 2024, 40, 2293–2304. [Google Scholar] [CrossRef]
- Belkouchi, Y.; Lederlin, M.; Ben Afia, A.; Fabre, C.; Ferretti, G.; De Margerie, C.; Berge, P.; Liberge, R.; Elbaz, N.; Blain, M.; et al. Detection and quantification of pulmonary embolism with artificial intelligence: The SFR 2022 artificial intelligence data challenge. Diagn. Interv. Imaging 2023, 104, 485–489. [Google Scholar] [CrossRef] [PubMed]
- Cho, S.U.; Cho, Y.D.; Choi, S.H.; Yoon, Y.H.; Park, J.H.; Park, S.J.; Lee, E.S. Assessing the severity of pulmonary embolism among patients in the emergency department: Utility of RV/LV diameter ratio. PLoS ONE 2020, 15, e0242340. [Google Scholar] [CrossRef]
- Park, J.I.; Kim, D.; Lee, J.A.; Zheng, K.; Amin, A. Personalized Risk Prediction for 30-Day Readmissions with Venous Thromboembolism Using Machine Learning. J. Nurs. Scholarsh. 2021, 53, 278–287. [Google Scholar] [CrossRef] [PubMed]
- Jin, Z.G.; Zhang, H.; Tai, M.H.; Yang, Y.; Yao, Y.; Guo, Y.T. Natural Language Processing in a Clinical Decision Support System for the Identification of Venous Thromboembolism: Algorithm Development and Validation. J. Med. Internet. Res. 2023, 25, e45139. [Google Scholar] [CrossRef]
- Leidi, A.; Bex, S.; Righini, M.; Berner, A.; Grosgurin, O.; Marti, C. Risk Stratification in Patients with Acute Pulmonary Embolism: Current Evidence and Perspectives. J. Clin. Med. 2022, 11, 2533. [Google Scholar] [CrossRef] [PubMed]
- Barca-Hernando, M.; Jara-Palomares, L. When should we involve interventional radiology in the management of acute pulmonary embolism? Breathe 2023, 19, 230085. [Google Scholar] [CrossRef]
- Pruszczyk, P.; Klok, F.A.; Kucher, N.; Roik, M.; Meneveau, N.; Sharp, A.S.P.; Nielsen-Kudsk, J.E.; Obradović, S.; Barco, S.; Giannini, F.; et al. Percutaneous treatment options for acute pulmonary embolism: A clinical consensus statement by the ESC Working Group on Pulmonary Circulation and Right Ventricular Function and the European Association of Percutaneous Cardiovascular Interventions. EuroIntervention 2022, 18, e623–e638. [Google Scholar] [CrossRef]
- Konstantinides, S.V.; Meyer, G.; Becattini, C.; Bueno, H.; Geersing, G.J.; Harjola, V.P.; Huisman, M.V.; Humbert, M.; Jennings, C.S.; Jiménez, D.; et al. ESC Scientific Document Group. 2019 ESC Guidelines for the diagnosis and management of acute pulmonary embolism developed in collaboration with the European Respiratory Society (ERS). Eur. Heart J. 2020, 41, 543–603. [Google Scholar] [CrossRef]
- Stevens, S.M.; Woller, S.C.; Kreuziger, L.B.; Bounameaux, H.; Doerschug, K.; Geersing, G.J.; Huisman, M.V.; Kearon, C.; King, C.S.; Knighton, A.J.; et al. Antithrombotic Therapy for VTE Disease: Second Update of the CHEST Guideline and Expert Panel Report. Chest 2021, 160, e545–e608, Erratum in Chest 2022, 162, 269. [Google Scholar] [CrossRef] [PubMed]
- Kucher, N.; Boekstegers, P.; Müller, O.J.; Kupatt, C.; Beyer-Westendorf, J.; Heitzer, T.; Tebbe, U.; Horstkotte, J.; Müller, R.; Blessing, E.; et al. Randomized, controlled trial of ultrasound-assisted catheter-directed thrombolysis for acute intermediate-risk pulmonary embolism. Circulation 2014, 129, 479–486. [Google Scholar] [CrossRef]
- Tu, T.; Toma, C.; Tapson, V.F.; Adams, C.; Jaber, W.A.; Silver, M.; Khandhar, S.; Amin, R.; Weinberg, M.; Engelhardt, T.; et al. A Prospective, Single-Arm, Multicenter Trial of Catheter-Directed Mechanical Thrombectomy for Intermediate-Risk Acute Pulmonary Embolism: The FLARE Study. JACC Cardiovasc. Interv. 2019, 12, 859–869. [Google Scholar] [CrossRef]
- Tapson, V.F.; Sterling, K.; Jones, N.; Elder, M.; Tripathy, U.; Brower, J.; Maholic, R.L.; Ross, C.B.; Natarajan, K.; Fong, P.; et al. A Randomized Trial of the Optimum Duration of Acoustic Pulse Thrombolysis Procedure in Acute Intermediate-Risk Pulmonary Embolism: The OPTALYSE PE Trial. JACC Cardiovasc. Interv. 2018, 11, 1401–1410. [Google Scholar] [CrossRef] [PubMed]
- Avgerinos, E.D.; Jaber, W.; Lacomis, J.; Markel, K.; McDaniel, M.; Rivera-Lebron, B.N.; Ross, C.B.; Sechrist, J.; Toma, C.; Chaer, R. Randomized Trial Comparing Standard Versus Ultrasound-Assisted Thrombolysis for Submassive Pulmonary Embolism: The SUNSET sPE Trial. JACC Cardiovasc. Interv. 2021, 14, 1364–1373, Erratum in JACC Cardiovasc. Interv. 2021, 14, 2194. [Google Scholar] [CrossRef] [PubMed]
- Netzel, A.; Iqbal, F.; Hansra, R.; Grier, L. Ekosonic endovascular system catheter for successful treatment of right atrial thrombus and pulmonary embolism: A case report. Chest 2022, 162, A798–A799. [Google Scholar] [CrossRef]
- Toma, C.; Jaber, W.A.; Weinberg, M.D.; Bunte, M.C.; Khandhar, S.; Stegman, B.; Gondi, S.; Chambers, J.; Amin, R.; Leung, D.A.; et al. Acute outcomes for the full US cohort of the FLASH mechanical thrombectomy registry in pulmonary embolism. EuroIntervention 2023, 18, 1201–1212. [Google Scholar] [CrossRef]
- Khandhar, S.; Jaber, W.; Bunte, M.C.; Cho, K.; Weinberg, M.D.; Mina, B.; Stegman, B.; Pollak, J.; Khosla, A.; Elmasri, F.; et al. Longer-Term Outcomes Following Mechanical Thrombectomy for Intermediate- and High-Risk Pulmonary Embolism: 6-Month FLASH Registry Results. J. Soc. Cardiovasc. Angiogr. Interv. 2023, 2, 101000. [Google Scholar] [CrossRef]
- Silver, M.J.; Gibson, C.M.; Giri, J.; Khandhar, S.; Jaber, W.; Toma, C.; Mina, B.; Bowers, T.; Greenspon, L.; Kado, H.; et al. Outcomes in High-Risk Pulmonary Embolism Patients Undergoing FlowTriever Mechanical Thrombectomy or Other Contemporary Therapies: Results From the FLAME Study. Circ. Cardiovasc. Interv. 2023, 16, e013406. [Google Scholar] [CrossRef] [PubMed]
- Jaber, W.A.; Gonsalves, C.F.; Stortecky, S.; Horr, S.; Pappas, O.; Gandhi, R.T.; Pereira, K.; Giri, J.; Khandhar, S.J.; Ammar, K.A.; et al. Large-Bore Mechanical Thrombectomy Versus Catheter-Directed Thrombolysis in the Management of Intermediate-Risk Pulmonary Embolism: Primary Results of the PEERLESS Randomized Controlled Trial. Circulation 2025, 151, 260–273. [Google Scholar] [CrossRef] [PubMed]
- Sista, A.K.; Horowitz, J.M.; Tapson, V.F.; Rosenberg, M.; Elder, M.D.; Schiro, B.J.; Dohad, S.; Amoroso, N.E.; Dexter, D.J.; Loh, C.T.; et al. EXTRACT-PE Investigators. Indigo Aspiration System for Treatment of Pulmonary Embolism: Results of the EXTRACT-PE Trial. JACC Cardiovasc. Interv. 2021, 14, 319–329. [Google Scholar] [CrossRef]
- Moriarty, J.M.; Dohad, S.Y.; Schiro, B.J.; Tamaddon, H.; Heithaus, R.E.; Iliadis, E.A.; Dexter, D.J., 2nd; Shavelle, D.M.; Leal, S.R.N.; Attallah, A.S.; et al. Clinical, Functional, and Quality-of-Life Outcomes after Computer Assisted Vacuum Thrombectomy for Pulmonary Embolism: Interim Analysis of the STRIKE-PE Study. J. Vasc. Interv. Radiol. 2024, 35, 1154–1165.e6. [Google Scholar] [CrossRef]
- Angelini, G.; Maharaj, S.; McCarthy, A.; Martinez, A.; Gomez, J.; Rampersad, R. Thrombo-Aspiration in a High-Risk Case of Pulmonary Embolism. J. Clin. Case Rep. 2024, 2, 1011. [Google Scholar] [CrossRef]
- Li, K.; Cui, M.; Zhang, K.; Liang, K.; Liu, H.; Zhai, S. Treatment of acute pulmonary embolism using rheolytic thrombectomy. EuroIntervention 2021, 17, E158–E166. [Google Scholar] [CrossRef]
- Akbal, Ö.Y.; Keskin, B.; Tokgöz, H.C.; Hakgör, A.; Karagöz, A.; Tanyeri, S.; Kültürsay, B.; Külahçıoğlu, Ş.; Bayram, Z.; Efe, S.; et al. A seven-year single-center experience on AngioJet rheolytic thrombectomy in patients with pulmonary embolism at high risk and intermediate-high risk. Anatol. J. Cardiol. 2021, 25, 902–911. [Google Scholar] [CrossRef] [PubMed]
- Bashir, R.; Foster, M.; Iskander, A.; Darki, A.; Jaber, W.; Rali, P.M.; Lakhter, V.; Gandhi, R.; Klein, A.; Bhatheja, R.; et al. Pharmacomechanical Catheter-Directed Thrombolysis with the Bashir Endovascular Catheter for Acute Pulmonary Embolism: The RESCUE Study. JACC Cardiovasc. Interv. 2022, 15, 2427–2436. [Google Scholar] [CrossRef]
- Agnelli, G.; Becattini, C. Anticoagulant treatment for acute pulmonary embolism: A pathophysiology-based clinical approach. Eur. Respir. J. 2015, 45, 1142–1149. [Google Scholar] [CrossRef] [PubMed]
- Konstantinides, S.; Geibel, A.; Heusel, G.; Heinrich, F.; Kasper, W. Heparin plus alteplase compared with heparin alone in patients with submassive pulmonary embolism. N. Engl. J. Med. 2002, 347, 1143–1150. [Google Scholar] [CrossRef]
- Wan, S.; Quinlan, D.J.; Agnelli, G. Thrombolysis compared with heparin for the initial treatment of pulmonary embolism: A meta-analysis of the randomized controlled trials. Circulation 2004, 110, 744–749. [Google Scholar] [CrossRef] [PubMed]
- Meyer, G.; Vicaut, E.; Danays, T.; Agnelli, G.; Becattini, C.; Beyer-Westendorf, J.; Bluhmki, E.; Bouvaist, H.; Brenner, B.; Couturaud, F.; et al. PEITHO Investigators. Fibrinolysis for patients with intermediate-risk pulmonary embolism. N. Engl. J. Med. 2014, 370, 1402–1411. [Google Scholar] [CrossRef] [PubMed]
- Murguia, A.R.; Mukherjee, D.; Ojha, C. Reduced-dose thrombolysis in acute pulmonary embolism a systematic review. Angiology 2023, 75, 208–218. [Google Scholar] [CrossRef]
- Rosa, A.; Murguia, A.R.; Brockman, M.J.; Mukherjee, D.; Rajachandran, M.; Nickel, N.P. Low-dose Systemic Tissue-type-plasminogen-activator Compared to Conventional Anti-coagulation for the Treatment of Intermediate-high Risk Pulmonary Embolism. Cardiovasc. Hematol. Disord. Targets 2025, 25, 46–53. [Google Scholar] [CrossRef] [PubMed]
- Güner, A.; Güner, E.G.; Karakurt, S.; Kalçık, M. Efficacy and Safety of Low-Dose Systemic Fibrinolytic Therapy for Acute Submassive Pulmonary Embolism. JACC Cardiovasc. Interv. 2021, 14, 809. [Google Scholar] [CrossRef]
- Zhang, L.Y.; Gao, B.A.; Jin, Z.; Xiang, G.M.; Gong, Z.; Zhang, T.T.; Lu, H.F.; Wang, Y.Q.; Gong, Y.; Lu, C.; et al. Clinical efficacy of low dose recombinant tissue-type plasminogen activator for the treatment of acute intermediate-risk pulmonary embolism. Saudi Med. J. 2018, 39, 1090–1095. [Google Scholar] [CrossRef]
- Schultz, J.; Giordano, N.; Zheng, H.; Parry, B.A.; Barnes, G.D.; Heresi, G.A.; Jaber, W.; Wood, T.; Todoran, T.; Courtney, D.M.; et al. EXPRESS: A Multidisciplinary Pulmonary Embolism Response Team (PERT)—Experience from a national multicenter consortium. Pulm. Circ. 2019, 9, 1–10. [Google Scholar] [CrossRef] [PubMed]
- Gardner, T.A.; Fuher, A.; Longino, A.; Sink, E.M.; Jurica, J.; Park, B.; Lindquist, J.; Bull, T.M.; Hountras, P. Reduced mortality associated with pulmonary embolism response team consultation for intermediate and high-risk pulmonary embolism: A retrospective cohort study. Thromb. J. 2024, 22, 38. [Google Scholar] [CrossRef]
- Fleitas Sosa, D.; Lehr, A.L.; Zhao, H.; Roth, S.; Lakhther, V.; Bashir, R.; Cohen, G.; Panaro, J.; Maldonado, T.S.; Horowitz, J.; et al. Impact of pulmonary embolism response teams on acute pulmonary embolism: A systematic review and meta-analysis. Eur. Respir. Rev. 2022, 31, 220023. [Google Scholar] [CrossRef]
- Sterling, K.M.; Goldhaber, S.Z.; Sharp, A.S.P.; Kucher, N.; Jones, N.; Maholic, R.; Meneveau, N.; Zlotnick, D.; Sayfo, S.; Konstantinides, S.V.; et al. Prospective Multicenter International Registry of Ultrasound-Facilitated Catheter-Directed Thrombolysis in Intermediate-High and High-Risk Pulmonary Embolism (KNOCOUT PE). Circ. Cardiovasc. Interv. 2024, 17, e013448. [Google Scholar] [CrossRef]
- Sista, A.K.; Troxel, A.B.; Tarpey, T.; Parpia, S.; Goldhaber, S.Z.; Stringer, W.W.; Magnuson, E.A.; Cohen, D.J.; Kahn, S.R.; Rao, S.V.; et al. Rationale and design of the PE-TRACT trial: A multicenter randomized trial to evaluate catheter-directed therapy for the treatment of intermediate-risk pulmonary embolism. Am. Heart J. 2025, 281, 112–122. [Google Scholar] [CrossRef] [PubMed]






| Technique | Pros | Cons |
|---|---|---|
| High-Pitch CT | - Very fast scan time (<1 s) - Low radiation dose (~30% lower than standard CTPA) - Lower contrast volume (20 mL) - Reduced motion artifacts - Good for dyspnoic or uncooperative patients - Excellent image quality in >90% cases | - Slightly lower contrast opacification and increased noise in segmental arteries |
| Dual-Energy CT (DECT) | - Combines anatomical and perfusion imaging - Enables iodine perfusion maps, VMIs, VNC - Detects subsegmental emboli better - Can reduce need for additional imaging - High sensitivity/specificity when combined with advanced post-processing - Allows contrast and dose reduction - Helps assess severity (e.g., RV dysfunction correlation) | - Variable diagnostic performance depending on protocol and post-processing - No substantial advantage over SECT in meta-analysis - Complexity and cost of post-processing - Limited widespread availability and standardization |
| Photon-Counting CT (PC) | - Superior spatial and contrast resolution - Significantly lower contrast and radiation doses (up to 50% reduction) - Improved image quality and emboli conspicuity - Effective for subsegmental APE detection - Less electronic noise - Compatible with high-pitch and spectral modes - Approaching clinical use in 2025 | - Expensive and limited current availability - Few studies report sensitivity/specificity against gold standard - Clinical validation still ongoing despite promising results |
| Dynamic Digital Radiography (DDR) | - No contrast medium required - Very low radiation dose (~0.2 mSv) - Simple, quick, and non-invasive - Useful in patients with contrast allergies or renal impairment - Effective for functional assessment - Portable and usable bedside | - Limited spatial resolution - Not yet standard for APE diagnosis - Mainly validated for chronic thromboembolic disease - Primarily functional, not anatomical imaging |
| Name of the Tool | Specificity | Sensitivity | AUC |
|---|---|---|---|
| CINA-PE (Avicenna.AI) [57,58] | 94.8% | 93.9% | AUC: 0.92 |
| Aidoc [60] | 95.8% | 92.6% | AUC: 0.87 |
| Retina U-Net/nnDetection (unenhanced CT) [56] | N/A | Varies by location: Central 54.5%, Segmental 81.9%, Subsegmental 80.0% | N/A |
| Deep Learning Algorithm (Liu et al.) [52] | 76.5% | 94.6% | AUC: 0.92 |
| Deep Learning Model (Huhtanen et al.) [51] | 86.6% | 93.5% | AUC: 0.91 |
| End-to-end DL Model (Huang et al.) [48] | N/A | N/A | AUC: 0.84–0.85 |
| Deep Learning Algorithm (Li et al.) [59] | 95.5% | 92.7% | AUC: 0.95 |
| nnU-Net-based Algorithm (Kahraman et al.) [53] | 94.6% | 96.1% | N/A |
Disclaimer/Publisher’s Note: The statements, opinions and data contained in all publications are solely those of the individual author(s) and contributor(s) and not of MDPI and/or the editor(s). MDPI and/or the editor(s) disclaim responsibility for any injury to people or property resulting from any ideas, methods, instructions or products referred to in the content. |
© 2025 by the authors. Licensee MDPI, Basel, Switzerland. This article is an open access article distributed under the terms and conditions of the Creative Commons Attribution (CC BY) license (https://creativecommons.org/licenses/by/4.0/).
Share and Cite
Cellina, M.; Pavan, M.; Finardi, N.; Cicchetti, F.; Cè, M.; Biondetti, P.; Lanza, C.; Carriero, S.; Carrafiello, G. Advancements in Acute Pulmonary Embolism Diagnosis and Treatment: A Narrative Review of Emerging Imaging Techniques and Intravascular Interventions. J. Cardiovasc. Dev. Dis. 2025, 12, 333. https://doi.org/10.3390/jcdd12090333
Cellina M, Pavan M, Finardi N, Cicchetti F, Cè M, Biondetti P, Lanza C, Carriero S, Carrafiello G. Advancements in Acute Pulmonary Embolism Diagnosis and Treatment: A Narrative Review of Emerging Imaging Techniques and Intravascular Interventions. Journal of Cardiovascular Development and Disease. 2025; 12(9):333. https://doi.org/10.3390/jcdd12090333
Chicago/Turabian StyleCellina, Michaela, Matilde Pavan, Niccolò Finardi, Francesco Cicchetti, Maurizio Cè, Pierpaolo Biondetti, Carolina Lanza, Serena Carriero, and Gianpaolo Carrafiello. 2025. "Advancements in Acute Pulmonary Embolism Diagnosis and Treatment: A Narrative Review of Emerging Imaging Techniques and Intravascular Interventions" Journal of Cardiovascular Development and Disease 12, no. 9: 333. https://doi.org/10.3390/jcdd12090333
APA StyleCellina, M., Pavan, M., Finardi, N., Cicchetti, F., Cè, M., Biondetti, P., Lanza, C., Carriero, S., & Carrafiello, G. (2025). Advancements in Acute Pulmonary Embolism Diagnosis and Treatment: A Narrative Review of Emerging Imaging Techniques and Intravascular Interventions. Journal of Cardiovascular Development and Disease, 12(9), 333. https://doi.org/10.3390/jcdd12090333

