Ovarian Neuroglial Choristoma in a Bitch
Abstract
:Simple Summary
Abstract
1. Introduction
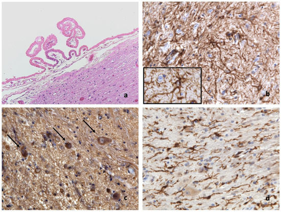
2. Case Description
OUTCOME
3. Discussion
4. Conclusions
Author Contributions
Funding
Institutional Review Board Statement
Informed Consent Statement
Data Availability Statement
Conflicts of Interest
References
- Batsakis, G.J. Tumors of the Head and Neck: Clinical and Pathological Considerations, 2nd ed.; The Williams and Wilkins Company: Baltimore, MD, USA, 1979; pp. 334–337. [Google Scholar]
- Landini, G.; Kitano, M.; Urago, A.; Sugihara, K.; Yamashita, S. Heterotopic central neural tissue of the tongue. Int. J. Oral Maxillofac. Surg. 1990, 19, 334–336. [Google Scholar] [CrossRef]
- Chou, L.; Hansen, L.S.; Daniels, T.H. Choristomas of the oral cavity. A review. Oral Surg. Oral Med. Oral Pathol. 1991, 72, 584–593. [Google Scholar] [CrossRef]
- Ide, F.; Shimoyama, T.; Horie, N. Glial choristoma in the oral cavity: Histopathological and immunohistochemical features. J. Oral Pathol. Med. 1997, 26, 147–150. [Google Scholar] [CrossRef] [PubMed]
- Batra, R. The pathogenesis of oral choristomas. J. Oral Maxillofac. Surg. Med. Pathol. 2012, 24, 110–114. [Google Scholar] [CrossRef]
- Ozolek, J.A.; Losee, J.E.; Lopes, T.C.; Galambos, C. Temporal soft tissue glioneuronal heterotopia in a child with a seizure disorder: Case report and review of the literature. Pediatr. Dev. Pathol. 2005, 8, 673–679. [Google Scholar] [CrossRef]
- Harris, H.S.; Facemire, P.; Greig, D.J.; Colegrove, K.M.; Ylitalo, G.M.; Yanagida, G.K.; Nutter, F.B.; Fleetwood, M.; Gulland, F.M.D. Congenital Neuroglial Heterotopia in a Neonatal Harbor Seal (Phoca vitulina richardsi) with Evidence of Recent Exposure to Polycyclic Aromatic Hydrocarbons. J. Wildl. Dis. 2011, 47, 246–254. [Google Scholar] [CrossRef] [Green Version]
- Ramirez, G.A.; Ressel, L.; Altimira, J.; Vilafranca, M. Cutaneous Heterotopic Brain Tissue (Neuroglial Choristoma) with Dysplastic Features in a Kitten. J. Comp. Pathol. 2016, 155, 50–54. [Google Scholar] [CrossRef]
- Glavis-Bloom, J.; Nahl, D.; Rubin, E.M.; Nael, A.; Dao, T. Congenital neuroglial choristoma of the foot. Radiol. Case Rep. 2019, 14, 718–722. [Google Scholar] [CrossRef]
- Allavena, R.E.; Phillips, K.; Andrews, M.H. Ectopic brain tissue in the retina of a beagle dog: Case report and literature review. Vet. Ophthalmol. 2012, 15, 183–187. [Google Scholar] [CrossRef]
- Cox, C.L.; Summers, B.A.; Kelly, D.F.; Cheeseman, M.T. Heterotopic neural tissue in the pharynx of a 7-week-old kitten. J. Comp. Pathol. 1997, 117, 95–98. [Google Scholar] [CrossRef]
- Howe, L.M. Surgical methods of contraception and sterilization. Theriogenology 2006, 66, 500–509. [Google Scholar] [CrossRef]
- Hsu, S.M.; Raine, L.; Fanger, H. Use of avidin-biotin-peroxidase complex (ABC) in immunoperoxidase techniques: A comparison between ABC and unlabeled antibody (PAP) procedures. J. Histochem. Cytochem. 1981, 29, 577–580. [Google Scholar] [CrossRef] [Green Version]
- Pecile, A.; Groppetti, D.; Pizzi, G.; Banco, B.; Bronzo, V.; Giudice, C.; Grieco, V. Immunohistochemical insights into a hidden pathology: Canine cryptorchidism. Theriogenology 2021, 176, 43–53. [Google Scholar] [CrossRef]
- Ketata, S.; Ketata, H.; Sahnoun, A.; FakhFakh, H.; Bahloul, A.; Mhiri, M.N. Ectopic adrenal cortex tissue: An incidental finding during inguinoscrotal operations in pediatric patients. Urol. Int. 2008, 81, 316–319. [Google Scholar] [CrossRef]
- Ahmadpanahi, J. Anatomical and histological studies of accessory adrenal nodules in Caspian miniature horses. Turk. J. Vet. Anim. Sci. 2007, 31, 275–278. [Google Scholar]
- Marino, G.; Quartuccio, M.; Rizzo, S.; Lo Presti, V.; Zanghi, A. Ectopic adrenal tissue in equine gonads: Morphofunctional features. Turk. J. Vet. Anim. Sci. 2012, 36, 560–565. [Google Scholar] [CrossRef]
- Schlafer, D.H.; Foster, R.E. Female Genital System. In Pathology of Domestic Animals, 6th ed.; Jubb, K.V.F., Kenddy, P.C., Palmer, N., Eds.; Elsiver: St. Luis, MO, USA, 2016; pp. 358–464. [Google Scholar]
- Noden, D.M.; De Lahunta, A. Embryology of Domestic Animals: Developmental Mechanisms and Malformations; WB Saunders: Philadelphia, PA, USA, 1985. [Google Scholar]
- Plontke, S.K.; Preyer, S.; Pressler, H.; Mundinger, P.M.; Plinkert, P.K. Glial lesion of the infratemporal fossa presenting as a soft tissue middle ear mass—Rudimentary encephalocele or neural crest remnant? Int. J. Pediatr. Otorhinolaryngol. 2000, 56, 141–147. [Google Scholar] [CrossRef]
- Gyure, K.A.; Thompson, L.D.R.; Morrison, A.L. A clinicopathological study of 15 patients with neuroglial heterotopias and encephaloceles of the middle ear and mastoid region. Laryngoscope 2000, 110, 1731–1735. [Google Scholar] [CrossRef] [Green Version]
- Garcia, M.G.; Avila, C.G.; Lopez Arranz, J.S.; Garcia, J.G. Heterotropic brain tissue in the oral cavity. Oral Surg. Oral Med. Oral Pathol. 1988, 66, 218–222. [Google Scholar] [CrossRef]
- Whitaker, S.R.; Sprinkle, P.M.; Chow, S.M. Nasal glioma. Arch. Otolaryngol. 1981, 107, 550–554. [Google Scholar] [CrossRef]
- Halfpenny, W.; Odell, E.; Robinson, P.D. Cystic and glial mixed hamartoma of the tongue. J. Oral Pathol. Med. 2001, 30, 368–371. [Google Scholar] [CrossRef] [PubMed]
- García-Prats, M.; Rodríguez-Peralto, J.; Carrillo, R. Glial choristoma of the tongue: Report of a case. J. Oral Maxillofac. Surg. 1994, 52, 977–980. [Google Scholar] [CrossRef]
- Drapkin, A.J. Rudimentary cephalocele or neural crest remnant? Neurosurgery 1990, 26, 667–673. [Google Scholar] [CrossRef] [PubMed]
- Rota, A.; Tursi, M.; Zabarino, S.; Appino, S. Monophasic Teratoma of the Ovarian Remnant in a Bitch. Reprod. Domest. Anim. 2012, 48, 26–28. [Google Scholar] [CrossRef] [PubMed]
- Pires, M.D.A.; Catarino, J.C.; Vilhena, H.; Faim, S.; Neves, T.; Freire, A.; Seixas, F.; Orge, L.; Payan-Carreira, R. Co-existing monophasic teratoma and uterine adenocarcinoma in a female dog. Reprod. Domest. Anim. 2019, 54, 1044–1049. [Google Scholar] [CrossRef] [PubMed]
- Welter, S.M.; Khalifa, M.A. Teratoma-mature. Available online: https://www.pathologyoutlines.com/topic/ovarytumorteratomamature.html (accessed on 9 May 2022).
- Morovic, A.; Damjanov, I. Neuroectodermal ovarian tumors: A brief overview. Histol. Histopathol. 2008, 23, 765–771. [Google Scholar] [CrossRef] [PubMed]

| Ihc Marker | Antigen Retrieval | Primary Antibody | Positive Control | Code | Species |
|---|---|---|---|---|---|
| GFAP | None | Polyclonal, dilution: 1:3000; Dako, Carpinteria, USA | Internal: peripheral nerves | Z334 | Rabbit |
| NSE | None | Monoclonal, dilution: 1:1000; Dako Carpinteria, USA | Internal: Cerebral cortex | IS612 | Mouse |
| IBA-1 | HIER; Buffer H pH 9 | Polyclonal, dilution: 1:2000; Wako Corporation, USA | Internal: Cerebral cortex | 019-19741 | Rabbit |
Publisher’s Note: MDPI stays neutral with regard to jurisdictional claims in published maps and institutional affiliations. |
© 2022 by the authors. Licensee MDPI, Basel, Switzerland. This article is an open access article distributed under the terms and conditions of the Creative Commons Attribution (CC BY) license (https://creativecommons.org/licenses/by/4.0/).
Share and Cite
Brambilla, E.; Banco, B.; Faverzani, S.; Scarpa, P.; Pecile, A.; Groppetti, D.; Pigoli, C.; Giraldi, M.; Grieco, V. Ovarian Neuroglial Choristoma in a Bitch. Vet. Sci. 2022, 9, 402. https://doi.org/10.3390/vetsci9080402
Brambilla E, Banco B, Faverzani S, Scarpa P, Pecile A, Groppetti D, Pigoli C, Giraldi M, Grieco V. Ovarian Neuroglial Choristoma in a Bitch. Veterinary Sciences. 2022; 9(8):402. https://doi.org/10.3390/vetsci9080402
Chicago/Turabian StyleBrambilla, Eleonora, Barbara Banco, Stefano Faverzani, Paola Scarpa, Alessandro Pecile, Debora Groppetti, Claudio Pigoli, Marco Giraldi, and Valeria Grieco. 2022. "Ovarian Neuroglial Choristoma in a Bitch" Veterinary Sciences 9, no. 8: 402. https://doi.org/10.3390/vetsci9080402
APA StyleBrambilla, E., Banco, B., Faverzani, S., Scarpa, P., Pecile, A., Groppetti, D., Pigoli, C., Giraldi, M., & Grieco, V. (2022). Ovarian Neuroglial Choristoma in a Bitch. Veterinary Sciences, 9(8), 402. https://doi.org/10.3390/vetsci9080402

