The Haptomonad Stage of Crithidia acanthocephali in Apis mellifera Hindgut
Abstract
1. Introduction
2. Materials and Methods
3. Results
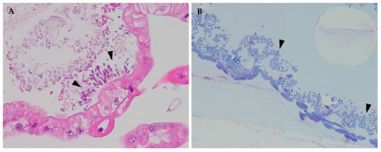
3.1. Light Microscopy Analysis
3.2. Transmission Electron Microscopy
4. Discussion
5. Conclusions
Author Contributions
Funding
Institutional Review Board Statement
Informed Consent Statement
Acknowledgments
Conflicts of Interest
References
- Lopes, A.H.; Souto-padrón, T.; Dias, F.A.; Gomes, M.T.; Rodrigues, G.C.; Zimmermann, L.T.; Alves, T.L.; Vermelho, A.B. Trypanosomatids: Odd Organisms, Devastating Diseases. Open Parasitol. J. 2010, 4, 30–59. [Google Scholar] [CrossRef]
- Kaufer, A.; Ellis, J.; Stark, D.; Barratt, J. The evolution of trypanosomatid taxonomy. Parasites Vectors 2017, 10, 287. [Google Scholar] [CrossRef] [PubMed]
- Lukeš, J.; Butenko, A.; Hashimi, H.; Maslov, D.A.; Votýpka, J.; Yurchenko, V. Trypanosomatids Are Much More than Just Trypanosomes: Clues from the Expanded Family Tree. Trends Parasitol. 2018, 34, 466–480. [Google Scholar] [CrossRef] [PubMed]
- Schaub, G.A. Pathogenicity of trypanosomatids on insects. Parasitol. Today 1994, 10, 463–468. [Google Scholar] [CrossRef]
- Ghobakhloo, N.; Motazedian, M.H.; Naderi, S.; Ebrahimi, S. Isolation of Crithidia spp. from lesions of immunocompetent patients with suspected cutaneous leishmaniasis in Iran. Trop. Med. Int. Healthy 2019, 24, 116–126. [Google Scholar] [CrossRef]
- Votýpka, J.; d’Avila-Levy, C.M.; Grellier, P.; Maslov, D.A.; Lukeš, J.; Yurchenko, V. New Approaches to Systematics of Trypanosomatidae: Criteria for Taxonomic (Re)description. Trends Parasitol. 2015, 31, 460–469. [Google Scholar] [CrossRef]
- Hanson, W.L.; McGhee, R.B. The Biology and Morphology of Crithidia acanthocephali n. sp., Leptomonas leptoglossi n. sp., and Blastocrithidia euschisti n. sp. J. Protozool. 1961, 8, 200–204. [Google Scholar] [CrossRef]
- Wallace, F.G.; Clark, T.B.; Dyer, M.I.; Collins, T. Two New Species of Flagellates Cultivated from Insects of the Genus Gerris. J. Protozool. 1960, 7, 390–392. [Google Scholar] [CrossRef]
- Boucinha, C.; Caetano, A.R.; Santos, H.L.C.; Helaers, R.; Vikkula, M.; Branquinha, M.H.; Luis, A.; Grellier, P.; Morelli, K.A.; Avila-levy, C.M. Analysing ambiguities in trypanosomatids taxonomy by barcoding. Cad. Saude Publica 2020, 115, 1–14. [Google Scholar] [CrossRef]
- Hanson, W.L.; McGhee, R.B. Experimental Infection of the Hemipteron Oncopeltus fasciatus with Trypanosomatidae Isolated from other Hosts. J. Protozool. 1963, 10, 233–238. [Google Scholar] [CrossRef]
- Schmittner, S.M.; McGhee, R.B. Host Specificity of Various Species of Crithidia Leger. J. Parasitol. 1970, 56, 684. [Google Scholar] [CrossRef]
- Bartolomé, C.; Buendía-Abad, M.; Benito, M.; Sobrino, B.; Amigo, J.; Carracedo, A.; Martín-Hernández, R.; Higes, M.; Maside, X. Longitudinal analysis on parasite diversity in honeybee colonies: New taxa, high frequency of mixed infections and seasonal patterns of variation. Sci. Rep. 2020, 10, 10454. [Google Scholar] [CrossRef] [PubMed]
- Buendía-Abad, M.; García-Palencia, P.; de Pablos, L.M.; Alunda, J.M.; Osuna, A.; Martín-Hernández, R.; Higes, M. First description of Lotmaria passim and Crithidia mellificae haptomonad stages in the honeybee hindgut. Int. J. Parasitol. 2021, 52, 65–75. [Google Scholar] [CrossRef] [PubMed]
- Vickerman, K. The Mode of Attachment of Trypanosoma vivax in the Proboscis of the Tsetse Fly Glossina fuscipes: An Ultrastructural Study of the Epimastigote Stage of the Trypanosome. J. Protozool. 1973, 20, 394–404. [Google Scholar] [CrossRef] [PubMed]
- Bonaldo, M.C.; Souto-Padron, T.; De Souza, W.; Goldenberg, S. Cell-substrate adhesion during Trypanosoma cruzi differentiation. J. Cell Biol. 1988, 106, 1349–1358. [Google Scholar] [CrossRef]
- Hendry, K.A.K.; Vickerman, K. The requirement for epimastigote attachment during division and metacyclogenesis in Trypanosoma congolense. Parasitol. Res. 1988, 74, 403–408. [Google Scholar] [CrossRef]
- Gómez-Moracho, T.; Buendía-Abad, M.; Benito, M.; García-Palencia, P.; Barrios, L.; Bartolomé, C.; Maside, X.; Meana, A.; Jiménez-Antón, M.D.; Olías-Molero, A.I.; et al. Experimental evidence of harmful effects of Crithidia mellificae and Lotmaria passim on honey bees. Int. J. Parasitol. 2020, 50, 1117–1124. [Google Scholar] [CrossRef]
- Molyneux, D.H.; Killick-Kendrick, R.; Ashford, R.W. Leishmania in phlebotomid sandflies III. The ultrastructure of Leishmania mexicana amazonensis in the midgut and pharynx of Lutzomyia longipalpis. Proc. R. Soc. London. Ser. B. Biol. Sci. 1975, 190, 341–357. [Google Scholar] [CrossRef]
- Brooker, B.E. Desmosomes and hemidesmosomes in the flagellate Crithidia fasciculata. Z. Zellforsch. Mikrosk. Anat. 1970, 105, 155–166. [Google Scholar] [CrossRef]
- Wallace, F.G. The trypanosomatid parasites of insects and arachnids. Exp. Parasitol. 1966, 18, 124–193. [Google Scholar] [CrossRef]
- Brooker, B.E. Flagellar attachment and detachment of Crithidia fasciculata to the gut wall of Anopheles gambiae. Protoplasma 1971, 73, 191–202. [Google Scholar] [CrossRef] [PubMed]
- Warburg, A.; Hamada, G.S.; Schlein, Y.; Shire, D. Scanning electron microscopy of Leishmania major in Phlebotomus papatasi. Z. Parasitenkd. 1986, 72, 423–431. [Google Scholar] [CrossRef] [PubMed]
- Killick-Kendrick, R.; Molyneux, D.H.; Ashford, R.W. Leishmania in phlebotomid sandflies I. Modifications of the flagellum associated with attachment to the mid gut and oesophageal valve of the sandfly. Proc. R. Soc. London. Ser. B. Biol. Sci. 1974, 187, 409–419. [Google Scholar] [CrossRef]
- Brooker, B.E. Flagellar adhesion of Crithidia fasciculata to Millipore filters. Protoplasma 1971, 72, 19–25. [Google Scholar] [CrossRef]
- Wakid, M.H.; Bates, P.A. Flagellar attachment of Leishmania promastigotes to plastic film In Vitro. Exp. Parasitol. 2004, 106, 173–178. [Google Scholar] [CrossRef]
- Skalický, T.; Dobáková, E.; Wheeler, R.J.; Tesařová, M.; Flegontov, P.; Jirsová, D.; Votýpka, J.; Yurchenko, V.; Ayala, F.J.; Lukeš, J. Extensive flagellar remodeling during the complex life cycle of Paratrypanosoma, an early-branching trypanosomatid. Proc. Natl. Acad. Sci. USA 2017, 114, 11757–11762. [Google Scholar] [CrossRef]
- Langridge, D.F.; McGhee, R.B. Crithidia mellificae n. sp. an Acidophilic Trypanosomatid of the Honey Bee Apis mellifera. J. Protozool. 1967, 14, 485–487. [Google Scholar] [CrossRef]
- Schwarz, R.S.; Bauchan, G.R.; Murphy, C.A.; Ravoet, J.; De Graaf, D.C.; Evans, J.D. Characterization of two species of trypanosomatidae from the Honey Bee Apis mellifera: Crithidia mellificae Langridge and McGhee, and Lotmaria passim n. gen., n. sp. J. Eukaryot. Microbiol. 2015, 62, 567–583. [Google Scholar] [CrossRef]
- Ramsay, B.Y.J.A. Excretion by the Malpighian Tubules of the Stick Insect, Dixippus morosus (Orthoptera, Phasmidae): Amino Acids, Sugars and Urea. J. Exp. Biol. 1958, 35, 871–891. [Google Scholar] [CrossRef]
- Roitman, I.; Angluster, J.; Fiorini, J.E. Nutrition of the Trypanosomatids Crithidia acanthocephali and C. harmosa. Ribose and Adenosine: Substrates for C. acanthocephali. J. Protozool. 1985, 32, 490–492. [Google Scholar] [CrossRef]
- Zheng, H.; Powell, J.E.; Steele, M.I.; Dietrich, C.; Moran, N.A. Honeybee gut microbiota promotes host weight gain via bacterial metabolism and hormonal signaling. Proc. Natl. Acad. Sci. USA 2017, 114, 4775–4780. [Google Scholar] [CrossRef] [PubMed]
- Molyneux, D.H.; Ashford, R.W. Observations on a trypanosomatid flagellate in a flea, Peromyscopsylla silvatica spectabilis. Ann. Parasitol. Hum. Comp. 1975, 50, 265–274. [Google Scholar] [CrossRef] [PubMed][Green Version]
- McGhee, R.B.; Cosgrove, W.B. Biology and physiology of the lower trypanosomatidae. Microbiol. Rev. 1980, 44, 140–173. [Google Scholar] [CrossRef] [PubMed]
- Frolov, A.O.; Malysheva, M.N.; Ganyukova, A.I.; Yurchenko, V.; Kostygov, A.Y. Life cycle of Blastocrithidia papi sp. n. (Kinetoplastea, Trypanosomatidae) in Pyrrhocoris apterus (Hemiptera, Pyrrhocoridae). Eur. J. Protistol. 2017, 57, 85–98. [Google Scholar] [CrossRef] [PubMed]
- Kozminsky, E.; Kraeva, N.; Ishemgulova, A.; Dobáková, E.; Lukeš, J.; Kment, P.; Yurchenko, V.; Votýpka, J.; Maslov, D.A. Host-specificity of Monoxenous Trypanosomatids: Statistical Analysis of the Distribution and Transmission Patterns of the Parasites from Neotropical Heteroptera. Protist 2015, 166, 551–568. [Google Scholar] [CrossRef] [PubMed]
- Iorizzo, M.; Letizia, F.; Ganassi, S.; Testa, B.; Petrarca, S.; Albanese, G.; Di Criscio, D.; De Cristofaro, A. Functional Properties and Antimicrobial Activity from Lactic Acid Bacteria as Resources to Improve the Health and Welfare of Honey Bees. Insects 2022, 13, 308. [Google Scholar] [CrossRef]
- Bartolomé, C.; Jabal-Uriel, C.; Buendía-Abad, M.; Benito, M.; Ornosa, C.; De la Rúa, P.; Martín-Hernández, R.; Higes, M.; Maside, X. Wide diversity of parasites in Bombus terrestris (Linnaeus, 1758) revealed by a high-throughput sequencing approach. Environ. Microbiol. 2021, 23, 478–483. [Google Scholar] [CrossRef]
- Bartolomé, C.; Buendía-Abad, M.; Ornosa, C.; De la Rúa, P.; Martín-Hernández, R.; Higes, M.; Maside, X. Bee Trypanosomatids: First Steps in the Analysis of the Genetic Variation and Population Structure of Lotmaria passim, Crithidia bombi and Crithidia mellificae. Microb. Ecol. 2021, 1–12. [Google Scholar] [CrossRef]



Publisher’s Note: MDPI stays neutral with regard to jurisdictional claims in published maps and institutional affiliations. |
© 2022 by the authors. Licensee MDPI, Basel, Switzerland. This article is an open access article distributed under the terms and conditions of the Creative Commons Attribution (CC BY) license (https://creativecommons.org/licenses/by/4.0/).
Share and Cite
Buendía-Abad, M.; García-Palencia, P.; de Pablos, L.M.; Martín-Hernández, R.; Higes, M. The Haptomonad Stage of Crithidia acanthocephali in Apis mellifera Hindgut. Vet. Sci. 2022, 9, 298. https://doi.org/10.3390/vetsci9060298
Buendía-Abad M, García-Palencia P, de Pablos LM, Martín-Hernández R, Higes M. The Haptomonad Stage of Crithidia acanthocephali in Apis mellifera Hindgut. Veterinary Sciences. 2022; 9(6):298. https://doi.org/10.3390/vetsci9060298
Chicago/Turabian StyleBuendía-Abad, María, Pilar García-Palencia, Luis Miguel de Pablos, Raquel Martín-Hernández, and Mariano Higes. 2022. "The Haptomonad Stage of Crithidia acanthocephali in Apis mellifera Hindgut" Veterinary Sciences 9, no. 6: 298. https://doi.org/10.3390/vetsci9060298
APA StyleBuendía-Abad, M., García-Palencia, P., de Pablos, L. M., Martín-Hernández, R., & Higes, M. (2022). The Haptomonad Stage of Crithidia acanthocephali in Apis mellifera Hindgut. Veterinary Sciences, 9(6), 298. https://doi.org/10.3390/vetsci9060298

