Tri-Model Therapy: Combining Macrocyclic Lactone, Piperazine Derivative and Herbal Preparation in Treating Humpsore in Cattle
Abstract
1. Introduction
2. Materials and Methods
2.1. Ethics Approval
2.2. Therapeutic Agents
2.3. Animals and Experimental Design
2.4. Measurement of the Wound
2.5. Collection of Blood and Estimation of Antioxidant and Oxidative Stress Profiles
2.6. Histopathological Examination
2.7. Statistical Analysis
3. Results
3.1. Clinical Examination
3.2. Antioxidant and Oxidative Stress Profiles
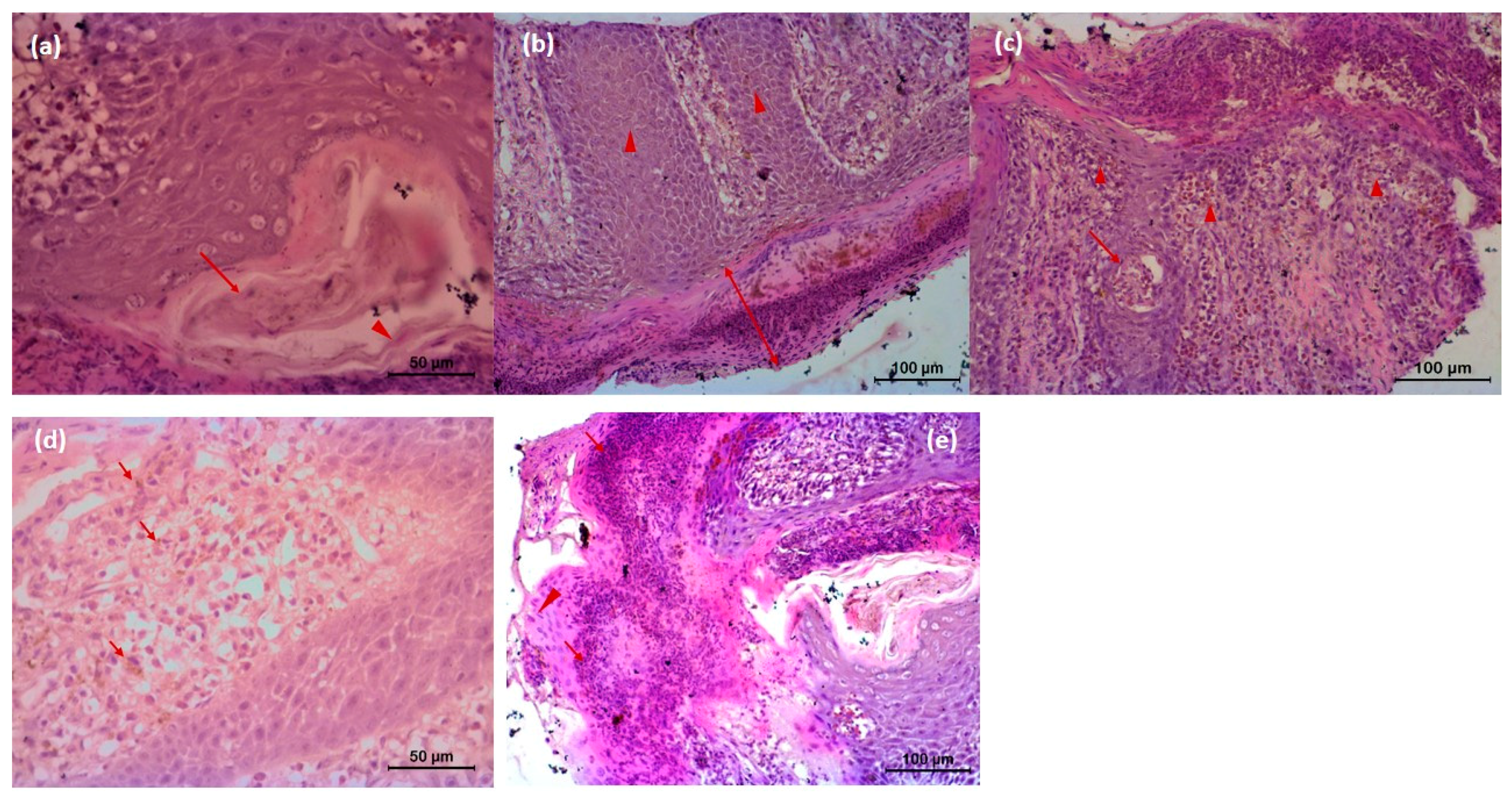
3.3. Histopathology
4. Discussion
5. Conclusions
Author Contributions
Funding
Institutional Review Board Statement
Informed Consent Statement
Data Availability Statement
Acknowledgments
Conflicts of Interest
References
- Rai, R.B.; Srivastava, N.; Sunder, J.; Kundu, A.; Jeyakumar, S. Stephanofilariasis in bovines: Prevalence, control and eradication in Andaman and Nicobar Islands, India. Indian J. Anim. Sci. 2010, 80, 500–505. [Google Scholar]
- Rai, R.B.; Ahlawat, S.P.S.; Surgriv, S.; Nagarajan, V.; Singh, S. Levamisole hydrochloride: An effective treatment for stephanofilarial dermatitis (humpsore) in cattle. Trop. Anim. Health Prod. 1994, 26, 175–176. [Google Scholar] [CrossRef]
- Rai, R.B.; Ahlawat, S.P.S. Therapeutic evaluation of levamisole HCl against Stephanofilaria’dermatitis in cattle in Andamans. Indian J. Anim. Sci. 1995, 65, 177–179. [Google Scholar]
- Rai, R.B.; Ahlawat, S.P.S.; Senani, S. Seasonal variability in sore characteristics of stephanofilarial dermatitis in Bay Islands. Indian Vet. J. 1995, 72, 187–188. [Google Scholar]
- Ibrahim, M.Z.U.; Hashim, M.A.; Hossain, M.A.; Al-Sultan, I. Comparative efficacy between surgical intervention, organophosphorus and ivermectin against humpsore (stephanofilariasis) in cattle. J. Adv. Biomed. Pathobiol. Res. 2003, 3, 100–109. [Google Scholar]
- Rai, R.B.; Ahlawat, S.P.S.; Singh, S. Therapeutic evaluation of the efficacy of diethylcarbamazine citrate against stephanofilarial dermatitis in cattle. Trop. Agric. 1992, 69, 1–4. [Google Scholar]
- Singh, K.S.; Mukhopadhyay, S.K.; Pal, R.N.; Bhattacharjya, M.K. Studies on the prevalence of stephanofilarial dermatitis in naturally infected cattle in West Bengal with reference to age, sex, breed, season, periodicity and site of lesion. J. Interacad. 2002, 6, 646–650. [Google Scholar]
- Mishra, S.P. Treatment of ear-sore in buffaloes. Indian Vet. J. 1969, 46, 632. [Google Scholar]
- Patnaik, B. Studies on stephanofilariasis in Orissa. V. Treatment and control of hump-sore in cattle due to Stephanofilariaassamensis. Indian J. Anim. Sci. 1970, 40, 167–175. [Google Scholar]
- Ahmed, S.; Ali, M.I. Treatment of humpsore with Antimosan solution. Vet. Med. Rev. 1973, 2, 136–142. [Google Scholar]
- Baki, M.A.; Dewan, M.L. Evaluation of treatment of stephanofilariasis (hump sore) with Naguvon (Bayer) by clinical pathological studies. Bangl. Vet. J. 1975, 9, 106. [Google Scholar]
- Dutta, P.K.; Hazarika, R.N. Chemotherapy of stephanofilarial dermatitis in bovines. Indian Vet. J. 1976, 53, 221–224. [Google Scholar]
- Choudhury, P.S.; Das, M. Comparative efficacy of certain drugs against stephanofilarial dermatitis in cattle. J. Vet. Parasitol. 2012, 26, 60–62. [Google Scholar]
- Phukan, S.C.; Das, M.; Barkakoty, M.R. Hump sore in cattle in Assam. J. Vet. Parasitol. 2005, 19, 19–22. [Google Scholar]
- Puttalakshmamma, G.C.; Surendra Sonule, S. Hump sore in bullocks in Bidar district–A clinical report. J. Vet. Parasitol. 2012, 26, 82–84. [Google Scholar]
- Islam, M.N.; Azad, L.A.; Akther, M.; Sen, A.; Avi, R.D.T.; Juli, M.S.B. Dermatopathological study of stephanofilariasis (humpsore) in cattle and its therapeutic approaches. Int. J. Cur. Res. Life Sci. 2018, 7, 2314–2319. [Google Scholar]
- Dewan, M.L. Experimental development of stephanofilariasis in zebu cattle. In MaterialyNauchnoiKonferentsiiPovoprosam, Veterinarii. Part I; Veterinary Academy: Moscow, Russia, 1971; pp. 83–84. [Google Scholar]
- Sandhu, H.P. Essentials of Veterinary Pharmacology and Therapeutics, 2nd ed.; Kalyani Publishers: Noida, India, 2016; pp. 1054–1055, 1061–1062. [Google Scholar]
- Langemo, D.; Anderson, J.; Hanson, D.; Hunter, S.; Thompson, P. Measuring wound length, width and area: Which technique? Adv. Skin Wound Care 2008, 21, 42–45. [Google Scholar] [CrossRef]
- Shah, J.K.; Walker’s, A.M. Quantitative determination of MDA. Biochem. Biophys. Acta 1989, 11, 207–211. [Google Scholar]
- Wolstenholme, A.J.; Maclean, M.J.; Coates, R.; McCoy, C.J.; Reaves, B.J. How do the macrocyclic lactones kill filarial nematode larvae? Invert. Neurosci. 2016, 16, 7. [Google Scholar] [CrossRef] [PubMed]
- Dreyer, G.; Addiss, D.; Williamson, J.; Noroes, J. Efficacy of coadministered diethylcarbamazine and albendazole against adult Wuchereriabancrofti. Trans. R. Soc. Trop. Med. Hyg. 2006, 12, 1118–1125. [Google Scholar] [CrossRef] [PubMed]
- Geary, T.G.; Moreno, Y. Macrocyclic lactone anthelmintics: Spectrum of activity and mechanism of action. Curr. Pharm. Biotechnol. 2012, 13, 866–872. [Google Scholar] [CrossRef]
- Mackenzie, C.D.; Geary, T.G.; Gerlach, J.A. Possible pathogenic pathways in the adverse clinical events seen following ivermectin administration to onchocerciasis patients. Filarial J. 2003, 2 (Suppl. 1), 5–14. [Google Scholar] [CrossRef][Green Version]
- Barth, D. Persistent anthelmintic effect of ivermectin in cattle. Vet. Rec. 1983, 113, 300. [Google Scholar] [CrossRef]
- Bremner, K.C.; Berrie, D.A.; Hotson, I.K. Persistence of the anthelmintic activity of ivermectin in calves. Vet. Rec. 1983, 113, 569. [Google Scholar] [PubMed]
- Armour, J.; Bairden, K.; Batty, A.F.; Davison, C.C.; Ross, D.B. Persistent anthelmintic activity of ivermectin in cattle. Vet. Rec. 1985, 116, 151–153. [Google Scholar] [CrossRef]
- Kuhlmann, F.M.; Fleckenstein, J.M. Antiparasitic agents. In Infectious Disease, 4th ed.; Cohen, E., Powderly, W.G., Opal, S.M., Eds.; Elsevier: Amsterdam, The Netherlands, 2017. [Google Scholar]
- World Health Organization Expert Committee On Filariasis. Lymphatic filariasis: Diagnosis and Pathogenesis. Bull. World Health Organ. 1993, 71, 135. [Google Scholar]
- Shindo, Y.; Witt, E.; Han, D.; Epstein, W.; Packer, L. Enzymatic and non-enzymatic antioxidants in epidermis and dermis of human skin. J. Investig. Dermatol. 1994, 102, 122–124. [Google Scholar] [CrossRef]
- Ginsburg, I. The role of bacteriolysis in the pathophysiology of inflammation, infection and post-infectious sequelae. APMIS. 2002, 110, 753–770. [Google Scholar] [CrossRef] [PubMed]
- Dunnill, C.; Patton, T.; Brennan, J.; Barrett, J.; Dryden, M.; Cooke, J.; Leaper, D.; Georgopoulos, N.T. Reactive oxygen species (ROS) and wound healing: The functional role of ROS and emerging ROS-modulating technologies for augmentation of the healing process. Int. Wound J. 2017, 14, 89–96. [Google Scholar] [CrossRef] [PubMed]
- Kunkemoeller, B.; Kyriakides, T.R. Redox signaling in diabetic wound healing regulates extracellular matrix deposition. Antioxid. Redox Signal. 2017, 27, 823–838. [Google Scholar] [CrossRef] [PubMed]
- Bryan, N.; Ahswin, H.; Smart, N.; Bayon, Y.; Wohlert, S.; Hunt, J.A. Reactive oxygen species (ROS)—A family of fate deciding molecules pivotal in constructive inflammation and wound healing. Eur. Cells Mater. 2012, 24, 249–265. [Google Scholar] [CrossRef]
- Shukla, A.; Rasik, A.M.; Patnaik, G.K. Depletion of reduced glutathione, ascorbic acid, vitamin E and antioxidant deference enzymes in a healing cutaneous wound. Free Radic. Res. 1997, 26, 93–101. [Google Scholar] [CrossRef] [PubMed]
- Droge, W. Free radicals in the physiological control of cell function. Physiol. Rev. 2002, 82, 47–95. [Google Scholar] [CrossRef]
- Thiele, J.J.; Weber, S.U.; Packer, L. Sebaceous gland secretion is a major physiologic route of vitamin E deliver to skin. J. Investig. Dermatol. 1999, 111, 1006–1010. [Google Scholar] [CrossRef]
- Galkowska, H.; Olszewsk, W.L.; Wojewodzka, U.; Mijal, J.; Filipiuk, E. Expression of apoptosis and cell cycle related proteins in epidermis of venous leg and diabetic foot ulcers. Surgery 2003, 134, 213–220. [Google Scholar] [CrossRef] [PubMed]







Publisher’s Note: MDPI stays neutral with regard to jurisdictional claims in published maps and institutional affiliations. |
© 2021 by the authors. Licensee MDPI, Basel, Switzerland. This article is an open access article distributed under the terms and conditions of the Creative Commons Attribution (CC BY) license (http://creativecommons.org/licenses/by/4.0/).
Share and Cite
Ponraj, P.; De, A.K.; Mondal, S.; Ravi, S.K.; Sawhney, S.; Sarkar, G.; Bera, A.K.; Malakar, D.; Kumar, A.; Singh, L.B.; et al. Tri-Model Therapy: Combining Macrocyclic Lactone, Piperazine Derivative and Herbal Preparation in Treating Humpsore in Cattle. Vet. Sci. 2021, 8, 27. https://doi.org/10.3390/vetsci8020027
Ponraj P, De AK, Mondal S, Ravi SK, Sawhney S, Sarkar G, Bera AK, Malakar D, Kumar A, Singh LB, et al. Tri-Model Therapy: Combining Macrocyclic Lactone, Piperazine Derivative and Herbal Preparation in Treating Humpsore in Cattle. Veterinary Sciences. 2021; 8(2):27. https://doi.org/10.3390/vetsci8020027
Chicago/Turabian StylePonraj, Perumal, Arun Kumar De, Samiran Mondal, Sanjay Kumar Ravi, Sneha Sawhney, Gopal Sarkar, Asit Kumar Bera, Dhruba Malakar, Ashish Kumar, Laishram Brojendra Singh, and et al. 2021. "Tri-Model Therapy: Combining Macrocyclic Lactone, Piperazine Derivative and Herbal Preparation in Treating Humpsore in Cattle" Veterinary Sciences 8, no. 2: 27. https://doi.org/10.3390/vetsci8020027
APA StylePonraj, P., De, A. K., Mondal, S., Ravi, S. K., Sawhney, S., Sarkar, G., Bera, A. K., Malakar, D., Kumar, A., Singh, L. B., Ahmed, S. Z., Muniswamy, K., Jerard, B. A., & Bhattacharya, D. (2021). Tri-Model Therapy: Combining Macrocyclic Lactone, Piperazine Derivative and Herbal Preparation in Treating Humpsore in Cattle. Veterinary Sciences, 8(2), 27. https://doi.org/10.3390/vetsci8020027

