Rhabdomyolysis and Acute Renal Failure Associated with Oxytetracycline Administration in Two Neonatal Foals Affected by Flexural Limb Deformity
Abstract
1. Introduction
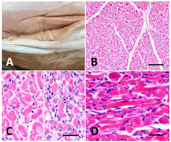
2. Clinical Description
3. Discussion
4. Conclusions
Author Contributions
Funding
Acknowledgments
Conflicts of Interest
References
- Auer, J.A. Flexural deformities. In Equine Surgery; Auer, J.A., Stick, J.A., Eds.; WB Saunders Co: Philadelphia, PA, USA, 1999; pp. 752–765. [Google Scholar]
- Lokai, M.D.; Meyer, R.J. Preliminary observations on oxytetracycline treatment of congenital flexural deformities in foals. Mod. Vet. Prac. 1985, 66, 237–239. [Google Scholar]
- Madison, J.B.; Garber, J.L.; Rice, B.; Stumf, A.J.; Zimmer, A.E.; Ott, E.A. Effect of oxytetracycline on metacarpophalangeal and distal interphalangeal joint angles in newborn foals. JAVMA 1994, 204, 246–249. [Google Scholar] [PubMed]
- Kasper, C.A.; Clayton, H.M.; Wright, A.K.; Skuba, E.V.; Petrie, L. Effects of high doses of oxytetracycline on metacarpophalangeal joint kinematics in neonatal foals. JAVMA 1995, 207, 71–73. [Google Scholar]
- Hartzel, D.K.; Arnoczky, S.P.; Kilfoyle, S.J.; Stick, J.A. Myofibroblasts in the accessory ligament (distal check ligament) and the deep digital flexor tendon of foals. Am. J. Vet. Res. 2001, 62, 823–827. [Google Scholar] [CrossRef]
- Arnoczky, S.P.; Lavagnino, M.; Gardner, K.L.; Tian, T.; Vaupel, Z.M.; Stick, J.A. In vitro effects of oxytetracycline on matrix metalloproteinase-1 mRNA expression and on collagen gel contraction by cultured myofibroblasts obtained from the accessory ligament of foals. Am. J. Vet. Res. 2004, 65, 491–496. [Google Scholar] [CrossRef]
- Lairmore, M.D.; Alexander, A.F.; Powers, B.E.; Milisen, W.B.; McChesney, A.E.; Spraker, T.S. Oxytetracycline-associated nephrotoxicosis in feedlot calves. JAVMA 1984, 185, 793–795. [Google Scholar]
- Vaala, W.E.; Ehnen, S.J.; Divers, T.J. Acute renal failure associated with administration of excessive amounts of tetracycline in a cow. JAVMA 1987, 191, 1601–1603. [Google Scholar]
- Riond, J.L.; Riviere, J.E. Effects of tetracyclines on the kidney in cattle and dogs. JAVMA 1989, 195, 995. [Google Scholar]
- Wright, A.K.; Petrie, L.; Papich, M.G.; Fretz, P. Effect of high-dose oxytetracycline on renal parameters in neonatal foals. Proceedings Am Assoc Eq Pract 1993, 38, 297–298. [Google Scholar]
- Vivrette, S.; Cowgill, L.D.; Pascoe, J.; Suter, C.; Becker, T. Hemodialysis for treatment of oxytetracycline-induced acute renal failure in a neonatal foal. JAVMA 1993, 203, 105–107. [Google Scholar] [PubMed]
- Bauer, J.E.; Harvey, J.W.; Asquith, R.L.; McNulty, P.K.; Kivipelto, J.A.N. Clinical chemistry reference values of foals during the first year of life. Equine Vet. J. 1984, 16, 361–363. [Google Scholar] [CrossRef] [PubMed]
- Mariella, J.; Isani, G.; Andreani, G.; Freccero, F.; Carpenè, E.; Castagnetti, C. Total plasma magnesium in healthy and critically ill foals. Theriogenology 2016, 85, 180–185. [Google Scholar] [CrossRef] [PubMed]
- Aguilera-Tejero, E.; Estepa, J.C.; Lopez, I.; Mayer-Valor, R.; Rodriguez, M. Arterial blood gases and acid-base balance in healthy young and aged horses. Equine Vet. J. 1998, 30, 352–354. [Google Scholar] [CrossRef]
- Castagnetti, C.; Pirrone, A.; Mariella, J.; Mari, G. Venous blood lactate evaluation in equine neonatal intensive care. Theriogenology 2010, 73, 343–357. [Google Scholar] [CrossRef]
- Corley, K.T.T.; Stephen, J. Appendix. In The Equine Hospital Manual, 1st ed.; Corley, K.T.T., Stephen, J., Eds.; Blackwell: Oxford, UK, 2008; pp. 654–689. [Google Scholar]
- Pilloud, M. Pharmacokinetics, plasma protein binding and dosage of oxytetracycline in cattle and horses. Res. Vet. Sci. 1973, 15, 224–230. [Google Scholar] [CrossRef]
- Papich, M.G.; Wright, A.K.; Petrie, L.; Korsrud, G.O. Pharmacokinetics of oxytetracycline administered intravenously to 4 to 5-day-old foals. J. Vet. Pharmacol. Ther. 1995, 18, 375–378. [Google Scholar] [CrossRef] [PubMed]
- Horspool, L.J.I.; McKellar, Q.A. Disposition of oxytetracycline in horses, ponies and donkeys after intravenous administration. Equine Vet. J. 1990, 22, 284–285. [Google Scholar] [CrossRef]
- Brown, M.P.; Stover, S.M.; Kelly, R.H.; Farver, T.B.; Knight, H.D. Oxytetracycline hydrochloride in the horse: Serum, synovial, peritoneal and urine concentrations after single dose intravenous administration. J. Vet. Pharmacol. Ther. 1981, 4, 7–10. [Google Scholar] [CrossRef]
- Giguére, S.; Prescott, J.F.; Baggot, J.D.; Walker, R.D.; Dowling, R.M. Antimicrobial Therapy in Veterinary Medicine, 4th ed.; Blackwell Publishing: Ames, IA, USA, 2006. [Google Scholar]
- Dowling, P.M.; Russell, A.M. Pharmacokinetics of a long-acting oxytetracycline-polyethylene glycol formulation in horses. J. Vet. Pharmacol. Ther. 2000, 23, 107. [Google Scholar] [CrossRef]
- Gyrd-Hansen, N.; Rasmussen, F.; Smith, M. Cardiovascular effects of intravenous administration of tetracycline in cattle. J. Vet. Pharmacol. Ther. 1981, 4, 15–25. [Google Scholar] [CrossRef]
- Smith, M.; Hansen, G.; Rasmussen, F. Tetracycline intravenously to cattle: Cardiovascular side-effects. Nord. Vet. Med. 1981, 33, 272–273. [Google Scholar] [PubMed]
- Cardinet, G.H.; Littrell, J.F.; Freedland, R.A. Comparative investigations of serum creatine phosphokinase and glutamic-oxaloacetic transaminase activities in equine paralytic myoglobinuria. Res. Vet. Sci. 1967, 8, 219–226. [Google Scholar] [CrossRef]
- Valentine, B.A.; Cooper, B.J. Incidence of polysaccharide storage myopathy: Necropsy study of 225 horses. Vet. Pathol. 2005, 42, 823–827. [Google Scholar] [CrossRef] [PubMed]
- Dill, S.G.; Rebhun, W.C. White muscle disease in foals. Compend. Contin. Educ. Vet. 1985, 7, 627–636. [Google Scholar]
- Freestone, J.F.; Carlson, G.P. Muscle disorders in the horse: A retrospective study. Equine Vet. J. 1991, 23, 86–90. [Google Scholar] [CrossRef]
- Peek, S.F.; Semrad, S.D.; Perkins, G.A. Clostridial myonecrosis in horses (37 cases 1985–2000). Equine Vet. J. 2003, 35, 86–92. [Google Scholar] [CrossRef]
- MacLeay, J.M. Disease of the musculoskeletal system. In Equine Internal Medicine, 2nd ed.; Reed, S.M., Bayly, W.M., Sellon, D.C., Eds.; Saunders: St Louis, MO, USA, 2004; pp. 467–515. [Google Scholar]
- Valentine, B.A.; Löhr, C.V. Myonecrosis in three horses with colic: Evidence for endotoxic injury. Vet. Rec. 2007, 161, 786–789. [Google Scholar]
- Cheng, A.J.; Andersson, D.C.; Lanner, J.T. Can’t live with or without it: Calcium and its role in Duchenne muscular dystrophy-induced muscle weakness. Focus on “SERCA1 overexpression minimizes skeletal muscle damage in dystrophic mouse models”. Am. J. Physiol. Cell Physiol. 2015, 308, 697–698. [Google Scholar] [CrossRef]
- Valberg, S.; Häggendal, J.; Lindholm, A. Blood chemistry and skeletal muscle metabolic responses to exercise in horses with recurrent exertional rhabdomyolysis. Equine Vet. J. 1993, 25, 17–22. [Google Scholar] [CrossRef] [PubMed]
- Perkins, G.; Valberg, S.J.; Madigan, J.M.; Carlson, G.P.; Jones, S.L. Electrolyte disturbances in foals with severe rhabdomyolysis. J. Vet. Intern. Med. 1998, 12, 173–177. [Google Scholar] [CrossRef]
- Schott, H.C., II; Waldridge, B.; Bayly, W.M. Disorders of the urinary system. In Equine Internal Medicine, 4th ed.; Reed, S.M., Bayly, W.M., Sellon, D.C., Eds.; Elsevier: St Louis, MO, USA, 2017; pp. 923–930. [Google Scholar]
- Divers, T.J.; Perkins, G. Urinary and hepatic disorders in neonatal foals. Clin. Tech. Equine Pract. 2003, 2, 67–78. [Google Scholar] [CrossRef]
- Uchino, S.; Doig, G.S.; Bellomo, R.; Morimatsu, H.; Morgera, S.; Schetz, M.; Tolwani, A. Diuretics and mortality in acute renal failure. Crit. Care Med. 2004, 32, 1669–1677. [Google Scholar] [CrossRef] [PubMed]
- Mackay, I.G.; Muir, A.L.; Watson, M.L. Contribution of prostaglandins to the systemic and renal vascular response to frusemide in normal man. Br. J. Clin. Pharmacol. 1984, 17, 513–519. [Google Scholar] [CrossRef]
- Bayati, A.; Nygren, K.; Källskog, Ö.; Wolgast, M. The effect of loop diuretics on the long-term outcome of post-ischaemic acute renal failure in the rat. Acta Physiol. Scan. 1990, 139, 271–279. [Google Scholar] [CrossRef] [PubMed]
- Pieri, A.; Aschbacher, R.; Fasani, G.; Mariella, J.; Brusetti, L.; Pagani, E.; Sartelli, M.; Pagani, L. Country income is only one of the tiles: The global journey of antimicrobial resistance among humans, animals, and environment. Antibiotics 2020, 9, 473. [Google Scholar] [CrossRef] [PubMed]
- Embertson, R.M. Congenital abnormalities of tendons and ligaments. Vet. Clin. N. Am. Equine Prac. 1994, 10, 351–364. [Google Scholar] [CrossRef]

| Case 1 | Case 2 | ||||||
|---|---|---|---|---|---|---|---|
| 24 Hours Post-Admission; 4 Hours After Single OTC Dose | 4 Days Post-Admission | 7 Days Post-Admission | Admission; 12 Hours After 3rd OTC Dose | 24 Hours Post-Admission | 48 Hours Post-Admission | ||
| parameter | ref. range | serum biochemistry | |||||
| CK (IU/L) | 52–143 [12] | 62,300 | 4199 | 1238 | 1,000,000 | 999,999 | 102,000 |
| AST (IU/L) | 237–620 [12] | 13,295 | 9894 | 3453 | 16,738 | 1 | 1 |
| LDH (IU/L) | 225–700 [12] | 7136 | 1280 | 569 | 81,689 | 120,949 | 28,587 |
| creatinine (mg/dL) | 1.0–1.7 [12] | 0.96 | 0.63 | NA | 1.18 | 1.14 | NA |
| urea (mg/dL) | 4–20 [12] | 24.14 | 12.72 | NA | 32 | 59 | NA |
| phosphorus (mg/dL) | 5.4–9.4 [12] | NA | NA | NA | 11.30 | 8.20 | NA |
| magnesium (mg/dL) | 1.12–1.85 [13] | 2.23 | 2.10 | NA | 2.90 | 2.91 | NA |
| SAA (μg/dL) | NA | NA | NA | NA | 252 | 230 | NA |
| arterial blood gas analysis | |||||||
| pH | 7.36–7.39 [14] | 7.28 | 7.36 | NA | 7.27 | 7.19 | 7.31 |
| paO2 (mmHg) | 84.7–89.1 [14] | 61.6 | 84.5 | NA | 117 | 37.7 | 35.1 |
| paCO2 (mmHg) | 45.6–47.8 [14] | 49.2 | 45.6 | NA | 35.7 | 41.7 | 48.9 |
| HCO3 (mmol/L) | 24.8–26.4 [14] | 22.4 | 24.8 | NA | 16.5 | 14.6 | 21.9 |
| lactate (mmol/L) | 0.9–3.6 [15] | 3.6 | 1.8 | NA | 15.1 | 15.3 | 17.4 |
| glucose (mmol/L) | 6.7–12.9 [14] | 10.3 | 10.6 | NA | 1.1 | 14.1 | 10.3 |
| electrolyte concentrations | |||||||
| sodium (mmol/L) | 130–154 [12] | 133 | 139 | NA | 130 | 140 | 142 |
| potassium (mmol/L) | 3.8–5.8 [12] | 2.6 | 3.9 | NA | 4.3 | 3.2 | 3.1 |
| chloride (mmol/L) | 94–110 [12] | 100 | 108 | NA | 94 | 89 | 97 |
| total calcium (mmol/L) | 2.8–3.4 [12] | 1.14 | 1.18 | 2.8 | 0.86 | 0.58 | 0.76 |
| Urinalysis | |||||||
| USG | 1004–1008 [16] | 1016 | 1, 12 | NA | 1012 | 1011 | 1012 |
| pH | 5.5–8.0 [16] | 7 | 6.5 | NA | 5 | 5 | 5 |
| proteins (mg/dL) | neg. [16] | 500 | neg. | NA | 100 | 100 | 30 |
| hemo/myoglobin (erythrocytes/μL) | neg. [16] | 250 | 10 | NA | 250 | 250 | 250 |
| glucose (mg/dL) | neg. [16] | 100 | neg. | NA | neg. | neg. | neg. |
| myoglobin casts | neg. [16] | pos. | neg. | NA | neg. | pos. | pos. |
Publisher’s Note: MDPI stays neutral with regard to jurisdictional claims in published maps and institutional affiliations. |
© 2020 by the authors. Licensee MDPI, Basel, Switzerland. This article is an open access article distributed under the terms and conditions of the Creative Commons Attribution (CC BY) license (http://creativecommons.org/licenses/by/4.0/).
Share and Cite
Ellero, N.; Freccero, F.; Lanci, A.; Morini, M.; Castagnetti, C.; Mariella, J. Rhabdomyolysis and Acute Renal Failure Associated with Oxytetracycline Administration in Two Neonatal Foals Affected by Flexural Limb Deformity. Vet. Sci. 2020, 7, 160. https://doi.org/10.3390/vetsci7040160
Ellero N, Freccero F, Lanci A, Morini M, Castagnetti C, Mariella J. Rhabdomyolysis and Acute Renal Failure Associated with Oxytetracycline Administration in Two Neonatal Foals Affected by Flexural Limb Deformity. Veterinary Sciences. 2020; 7(4):160. https://doi.org/10.3390/vetsci7040160
Chicago/Turabian StyleEllero, Nicola, Francesca Freccero, Aliai Lanci, Maria Morini, Carolina Castagnetti, and Jole Mariella. 2020. "Rhabdomyolysis and Acute Renal Failure Associated with Oxytetracycline Administration in Two Neonatal Foals Affected by Flexural Limb Deformity" Veterinary Sciences 7, no. 4: 160. https://doi.org/10.3390/vetsci7040160
APA StyleEllero, N., Freccero, F., Lanci, A., Morini, M., Castagnetti, C., & Mariella, J. (2020). Rhabdomyolysis and Acute Renal Failure Associated with Oxytetracycline Administration in Two Neonatal Foals Affected by Flexural Limb Deformity. Veterinary Sciences, 7(4), 160. https://doi.org/10.3390/vetsci7040160

