1. Introduction
Aquaculture has become an indispensable source of protein in the human diet. However, as demand for production rises, concerns regarding environmental sustainability and the welfare of farmed animals are increasingly emerging. One of the main challenges in intensive aquaculture is the fluctuation of water quality parameters, particularly the accumulation of ammonia and nitrogenous compounds resulting from high stocking densities and metabolic waste. Ammonia peaks may occur due to variations in feeding regime and intensity, as well as water flow rate [
1].
Elevated ammonia concentrations enhance fish vulnerability to disease, constitute a significant cause of chronic stress in aquaculture, and are strongly linked to adverse effects on health and welfare [
2].
Ammonia is a major waterborne stressor, and is particularly toxic in its non-ionized form (NH
3), which readily diffuses across biological membranes and disrupts cellular homeostasis [
3]. In addition to its direct toxicity, elevated ammonia can increase reactive oxygen species (ROS) production, leading to oxidative stress and cellular injury [
4].
In teleost fish, ammonia exposure has been shown to induce ROS and perturb antioxidant defenses across tissues [
4]. In ocular tissues, excessive ROS can compromise epithelial integrity and barrier function [
5].
While the deleterious effects of ammonia on growth performance and internal organs have been widely documented in livestock (chickens [
6], pigs [
7], cattle [
8]) as well as in fish, its impact on ocular tissues has received comparatively less attention. However, the eye may provide a unique window into the health and welfare of farmed fish, and eye damage has been proposed as a key welfare indicator in European aquaculture standards [
2].
Specifically, given the absence of eyelids in fish, the cornea and the adjacent scleral conjunctiva are directly exposed to the aquatic environment and highly responsive to subtle changes and may therefore represent a promising source of early welfare indicators. The cornea and sclera are the two components of the outer, fibrous tunic of the eye. The cornea is the outermost interface between the eye and the aquatic environment, functioning both as a transparent refractive surface and a critical barrier against mechanical, chemical, and microbial stressors [
9]. Structurally, the cornea consists of a multilayered squamous epithelium, a thick, collagen-rich, avascular stroma, and a thick basement membrane on which a single-layered, thin endothelial layer rests. Corneal stroma is also richly innervated and contains abundant nociceptors [
10]. The sclera is the opaque, tough, fibrous posterior part of the outer coat of the eye and is composed of dense, fibrovascular connective tissue. Its anterior part merges with the cornea at the corneoscleral junction. The sclera is covered by conjunctiva, a thin mucous membrane lined by stratified epithelium containing mucus-producing goblet cells. In fish, due to the lack of eyelids, the scleral conjunctiva is continuous with the surrounding skin [
11].
The direct exposure of fish corneal and conjunctival tissues to waterborne physical, chemical, and biological stressors makes them sensitive and capable of reflecting subtle changes in environmental conditions, potentially serving as early indicators of fish welfare [
10].
Alterations in corneal layers, such as epithelial thinning, stromal disorganization, or delayed wound healing, have been previously related to environmental and toxicological stress in teleosts [
12,
13] and have been traditionally evaluated through histopathological examination. More recently, Optical Coherence Tomography (OCT) has emerged as a non-destructive, high-resolution imaging technology tool that enables detailed in vivo or ex vivo evaluation of corneal morphology, allowing the detection of subtle alterations, including epithelial thinning or loss, and stromal disorganization that may not be readily evident at gross examination. Although its application in fish research is still limited, OCT has been successfully used to investigate ocular structures in different fish species (zebrafish
Danio rerio [
14], lumpfish
Cyclopterus lumpus [
15]), supporting its potential as a non-destructive technique for the detection of ocular damage.
Photoelectrocatalysis (PEC) has been shown in a recent lab-scale study to be an effective strategy for mitigating ammonia and fluctuations of other nitrogen compounds [
16]. By stabilizing nitrogenous compounds, PEC can potentially improve water quality in intensive aquaculture systems. The aim of the present study was therefore to investigate the efficacy of photoelectrocatalysis (PEC) in improving water quality, through the evaluation of ocular health in rainbow trout reared in RASs, with particular emphasis on the cornea as an early and sensitive indicator of environmental stress. Specifically, we investigated corneal alterations in fish maintained in a conventional RAS (CTR) compared with fish reared in a RAS integrated with a PEC water treatment system. An integrated approach combining OCT imaging, histology, and molecular analyses was used to evaluate whether a PEC water purification system, integrated into a RAS, can mitigate fluctuations of nitrogenous compounds under intensive rearing conditions. In this context, the cornea was selected as a target tissue of environmental stress due to its direct exposure to the surrounding water and its high sensitivity to changes in water quality. By integrating OCT, histomorphometric analysis, and immunohistochemical approaches, this study provides a comprehensive evaluation of corneal structural and molecular responses to different water quality management strategies. To align with the objectives of the Special Issue on veterinary morphology and histopathology, we explicitly adopt an integrative morpho-molecular framework that promises to link structural alterations in ocular tissues with early signs of environmental stress and welfare impairment. To the best of our knowledge, this is the first study to combine morphology, advanced ocular imaging, and molecular analyses to explore corneal responses as early biomarkers of welfare and to assess the effectiveness of PEC technology in intensive aquaculture.
2. Materials and Methods
2.1. Experimental Set-Up
Rainbow trout (Oncorhynchus mykiss) were maintained for 28 days in a Recirculating Aquaculture System (RAS) facility (Istituto Sperimentale Italiano Lazzaro Spallanzani, Rivolta d’Adda (CR), Italy). Fish were sourced from a commercial hatchery (Foglio Angelo S.S., Bagolino, Italy) and acclimated for one month before allocation into six experimental tanks (500 L), each operating with an independent recirculating system. Tanks were assigned to either a control group (CTR; n = 3), equipped with conventional mechanical and biological filtration and UV disinfection, or an experimental group (PEC; n = 3) integrating a photoelectrocatalytic (PEC) water treatment unit.
The PEC unit consisted of a UV-driven electrocatalytic reactor employing titanium dioxide TiO2-coated titanium mesh electrodes. TiO2 coatings were produced by electrochemical anodization of grade A titanium meshes (39 × 22 cm), rolled into cylindrical elements (4 cm diameter), in an ethylene glycol electrolyte containing 8 M water and 0.2 M hydrofluoric acid, at 30 V for 6 h. The reactor featured a coaxial design with a central UV lamp (35 mm diameter, 900 mm length), surrounded by an inner TiO2-coated photoanode (40 mm diameter) and an outer uncoated titanium mesh counter electrode (110 mm diameter), optimizing photoanode irradiation. A constant voltage of 4 V was applied during operation.
Fish, after the acclimatation period, were measured for weight and length (body weight 137.17 g and total length 23.74 cm) and then were stocked at a density of 30 kg/m3. Stocking density was adjusted weekly based on fish weight. Fish were maintained under a natural photoperiod, and fed twice daily at 3% of body weight using a commercial diet (Nutria, Skretting Italia S.p.A.,Mozzecane (VR) Italy; following EFSA/FAO recommendations (Commission Regulation 889/2008). Water temperature was kept at 14 °C using a chiller. Fish were weighed weekly to adjust biomass, after light anesthesia in 30 mg/L ethyl 3-aminobenzoate methanesulfonic acid (Sigma-Aldrich, Milan, Italy).
All experimental procedures complied with Italian legislation on animal experimentation (DL 26/2014) and European Directive 2010/63/EU and were approved by the Animal Welfare Body of the University of Milan (authorization no. 62_2023).
2.2. Water Parameters
Physical parameters such as water temperature, dissolved oxygen, and pH were monitored daily with a HQ Series Portable Meters (HACH
®, Linate, Milano, Italy), as previously done by Amini et al. [
17]. Chemical parameters like ammonia, nitrites, and nitrates were assessed twice a week using multiparametric tests (HACH
®, Linate, Milano, Italy) and a Portable Lange DR1900 spectrophotometer (HACH
®, Linate, Milano, Italy). Titanium presence in water was analyzed by Inductively Coupled Plasma Mass Spectrometry (ICP) according to Wilschefski and Baxter [
18].
2.3. Fish Sampling
At the beginning of the trial, fish originating from a flow-through rearing system were sampled before experimental allocation (baseline group). At the end of the experimental period (T1; 28 days), fish from each tank (CTR and PEC) were sampled for ocular analyses. Fish were euthanized by overdose of ethyl 3-aminobenzoate methanesulfonic acid (300 mg/L; Sigma-Aldrich, Milan, Italy).
Eyes from eight fish per tank were excised and fixed in 10% buffered formalin. These same fixed eyes were first subjected to ex vivo optical coherence tomography (OCT) as a preliminary screening step and subsequently processed for histological analyses. For OCT and morphological analyses, fish eyes originating from a flow-through system were sampled and used as a descriptive baseline of the situation before the start of the experimental trial (n = 8).
For molecular analyses, fresh corneal tissue from three fish per tank was dissected according to Aidos et al. [
19], and samples were stored in RNAlater at −80 °C.
2.4. Zootechnical Parameters
At the beginning of the trial and T1, fish were weighed and measured for total length. Specific growth rate SGR was calculated following the formula; SGR = 100 × (lnFinalBW-lnInitialBV/days) according to Aidos et al. [
20]. The condition factor (K), an index of fish general body conformation, were determined using the formula K = 100 × (BW×TL
−3), with BW representing the fish’s body weight (g) and TL indicating the total length of the fish (cm), according to Tunçelli and Memiş [
21].
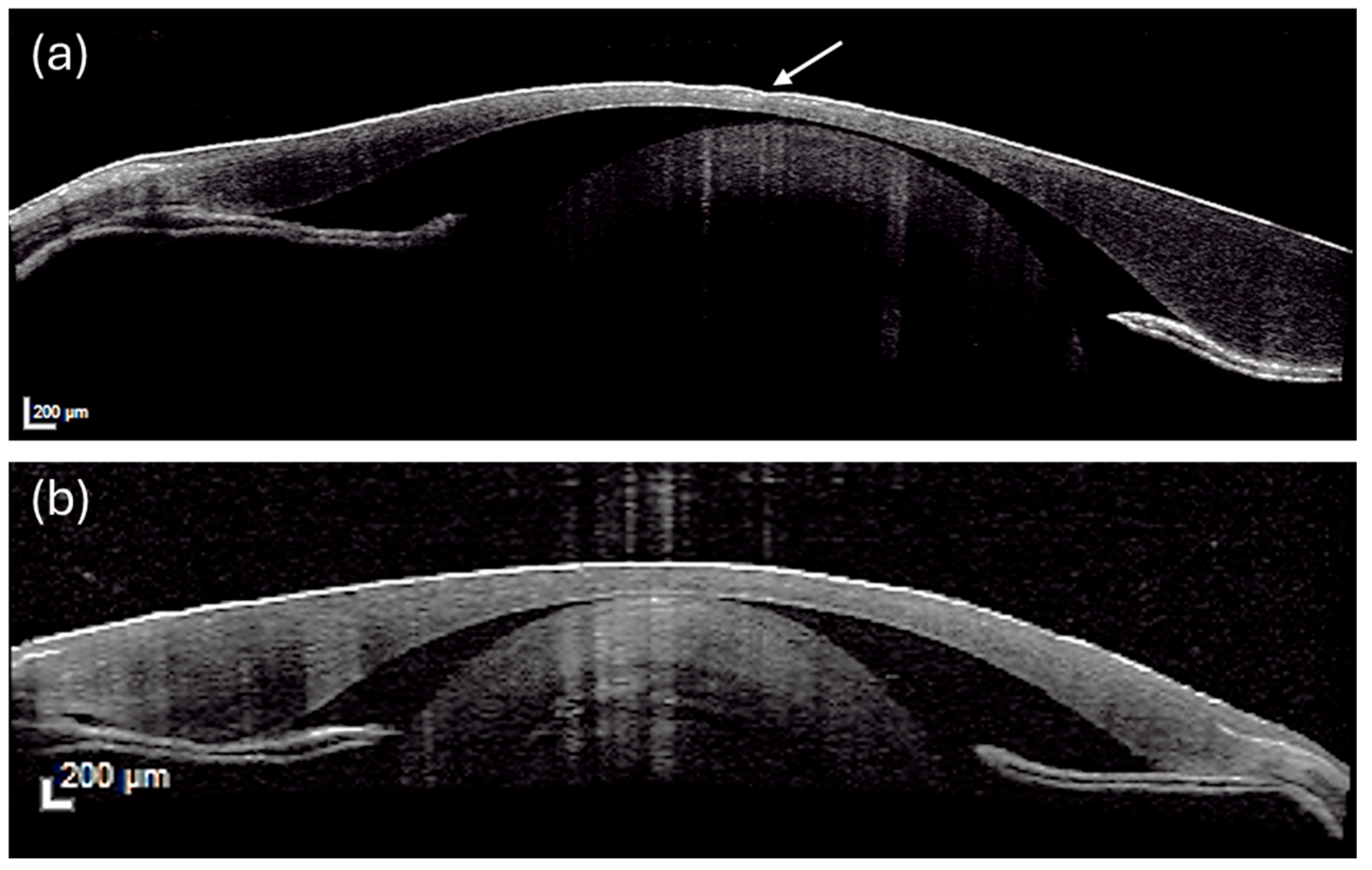
2.5. Imaging: Optical Coherence Tomography
OCT was performed on eyes (N = 8/tanks, N = 56 in total) previously fixed in 10% buffered formalin and subsequently washed in phosphate-buffered saline (PBS). Before imaging, each eye was positioned to allow optimal alignment with the OCT scanning beam. Corneal structures were visualized using a corneal lens. Following corneal imaging, the globe was carefully opened to expose the posterior chamber, allowing direct visualization of the retina. All OCT examinations were conducted under standardized conditions to ensure consistency among samples.
2.6. Morphological Analysis
Following OCT pre-screening, the same formalin-fixed eyes were processed for histological evaluation. Each eye was split into two halves, cutting along the sagittal axis through the center of the cornea and of the optical nerve. The two-resulting samples were routinely processed for histology and embedded in paraffin. Serial microtomic sections (5 µm thick) were obtained and mounted on glass slides. Thus, from each subject, two series of glass parasagittal sections of the central portion of the cornea were obtained.
Hematoxylin and eosin (HE) staining was performed to assess overall ocular morphology and to measure corneal epithelial thickness (N = 8/tanks group, N = 56 in total). Corneal epithelium features were quantified using a semi-quantitative scoring system from 0 to 4:
0—Normal integrity: no observable alteration of the epithelial surface;
1—Erosion: thinning of the epithelium with loss of superficial layers;
2—Superficial ulceration: loss of all epithelial layers with Bowman’s layer exposure;
3—Deep ulceration: ulceration with disruption of Bowman’s layer;
4—Deep ulceration associated with stromal alteration (edema and neovascularization).
Corneal vessels’ proliferation was also scored semi-quantitatively from 0 to 3:
Corneal epithelium thickness was quantified on digital micrographs using Optika ProView image analysis software (Proview, version 3.7, Optika, Ponteranica, Italy) by taking measurements at three standardized locations along the cornea: the central corneal region and two intermediate points positioned equidistantly between the corneal angle (limbus) and the center of the corneal surface.
Alcian Blue–Periodic Acid–Schiff (AB–PAS) histochemical staining was used to identify and quantify acidic or neutral mucin-producing cells (N = 5/tanks, N = 35 in total). Microtomic sections of the eye of three fish in each group were stained, and a quantitative analysis of muciparous cell density expressed as the number of mucin-producing cells per μm of epithelium was performed using Optika ProView software, considering muciparous cells located at the fornix and in the bulbar conjunctiva and corneoscleral junction.
Immunohistochemical detection of oxidative DNA damage was carried out on three fish in each group using a mouse monoclonal primary antibody against 8-hydroxy-2′-deoxyguanosine (8-OHdG) (clone N45.1, IgG1, Abcam, ab48508, Cambridge, UK) on three subjects of each group (N = 3/tanks, N = 21 in total). Immunohistochemical staining was performed using the Elite ABC KIT system (Vector Laboratories, Inc., Burlingame, CA, USA) as described in Machella et al. [
22]. Briefly, after endogenous peroxidase activity and non-specific binding sites were blocked, sections were incubated with primary antibody at 4 °C overnight. After PBS washing, sections were incubated with biotin-conjugated anti-mouse (Dakocytomation), PBS washed, and reacted with peroxidase-labeled avidin-biotin complex (Vector Laboratories, Inc., Burlingame, CA, USA). The immunoreactive sites were visualized using 3.3′-diaminobenzidine tetrahydrochloride (DAB, Sigma, Milan, Italy). To detect structural details, sections were counterstained with Mayer’s haematoxylin. Immunostaining specificity was validated by incubating sections with: (i) PBS instead of the specific primary antibody; (ii) PBS instead of the secondary antibodies. The results of these controls were negative (i.e., staining was abolished).
2.7. Molecular Analysis
2.7.1. RNA Extraction and cDNA Synthesis
Total RNA was extracted from corneal tissue using TRIzol reagent (TRI Reagent®, Sigma-Aldrich, St. Louis, MO, USA), according to the manufacturer’s instructions. Briefly, corneal samples were homogenized, and the purified RNA was resuspended in 30 μL of RNase-free water. RNA concentration and purity were determined using the NanoReady Touch spectrophotometer (Aurogene, Italy), and RNA quality was assessed by evaluating the A260/A280 absorbance ratio.
Five hundred nanograms of total RNA were reverse-transcribed into complementary DNA (cDNA) using the QuantiTect Reverse Transcription Kit (Qiagen, Hilden, Germany), following the manufacturer’s protocol. A no-reverse transcriptase control was included to verify the absence of genomic DNA contamination. cDNA samples were stored at −80 °C until further analysis.
2.7.2. Gene Expression Analysis
The expression of oxidative response genes (
sod1,
GPx1,
GR) was analyzed using a CFX Duet Real-Time PCR Detection System (Bio-Rad, Hercules, CA, USA) and SYBR Green Supermix (Bio-Rad) as a fluorescent molecule. Primer sequences and the amplification conditions are described in Buoio et al. [
23]. Cycle threshold (Ct) values were determined for each sample and normalized using the
EF1α gene as reference [
24,
25]. The relative gene expressions of samples collected from PEC groups were calculated using the ΔΔCt method and were compared to samples collected from CTR group, considered as the calibrator.
2.8. Statistical Analysis
Statistical analyses of the data were performed with GraphPad Prism software (Version 9.5.0). One-way ANOVA was applied to compare the two experimental groups (CTR and PEC): each tank was considered as an experimental unit. Normality and homogeneity of variances were verified before performing ANOVA. The data are expressed as means ± standard error. Differences between means were considered statistically significant at p < 0.05.
4. Discussion
In this study, an integrated approach combining imaging, morphological, and molecular analyses was employed to evaluate whether a PEC water purification system, integrated into a RAS, can mitigate fluctuations of nitrogenous compounds under intensive rearing conditions. The PEC system successfully reduced ammonia levels. Although nitrate concentrations were higher in the PEC system (61.8 mg L
−1) than in the control (53.1 mg L
−1), these levels are below those reported to cause chronic effects in
Oncorhynchus mykiss in RAS (around 80–100 mg L
−1 NO
3-N; [
26]), and below the levels at which histological alterations were observed in juvenile turbot (50 mg L
−1 nitrates showed no changes, while ≥200 mg L
−1 caused tissue alterations [
27]), suggesting that the observed increase is unlikely to impair fish health. In this context, the cornea was selected as a target tissue of environmental stress due to its direct exposure to the surrounding water and its high sensitivity to changes in water quality. Water quality monitoring showed that the PEC system provided a more stable control of nitrogenous compounds compared to the CTR. Although both systems followed similar temporal trends, the PEC group exhibited reduced variability and a more consistent regulation of ammonia, nitrite, and nitrate levels, supporting the effectiveness of photoelectrocatalysis in buffering water quality fluctuations under high-density rearing conditions, confirming previous observations [
23]. No titanium was detected in the water, suggesting that the system is safe, and providing information on the chemical stability of the PEC system in aqueous conditions [
28].
Despite these differences in water quality, zootechnical parameters did not differ significantly between experimental groups. Growth performance and related indicators remained comparable, suggesting that the 28-day experimental period may not have been sufficient for water quality imbalances to translate into measurable effects at the whole-animal production level. This apparent discrepancy suggests that moderate fluctuations in nitrogenous compounds may not immediately translate into production-level consequences, especially in a species known for tolerance to high stocking densities (up to 100 kg/m
3) [
29]. Rather than reflecting the absence of stress, the lack of growth differences likely indicates that sublethal environmental challenges first manifest at the tissue level before impacting whole-animal performance. In this context, ocular tissues, particularly the cornea, appeared as a highly responsive indicator of environmental variability. The main advantage of using OCT is the acquisition of microscopic images of the entire unprocessed eye. These images can then be easily correlated with histological findings. On the contrary, fixation can introduce artifacts, and measurements obtained on these samples cannot be translated in vivo as such. However, when comparing tissues that underwent the same fixation process, OCT can provide valuable information. Even if OCT data help assess corneal alterations and provide comprehensive visualization of the cornea, its use in farmed fish is currently restricted to research studies. This limitation stems from the high cost of the instrument and the challenges associated with replicating analyses on the same individual. However, OCT identified epithelial thinning and areas of epithelial loss in the cornea of control fish, indicating compromised ocular surface integrity. Histological examination confirmed these findings: CTR corneas exhibited disepithelialization, whereas PEC corneas largely preserved normal architecture. These morphological changes were further quantified by histomorphometric analysis, which showed significant corneal epithelial thinning in CTR fish versus relative preservation or even thickening in PEC fish. Such epithelial thickening in PEC fish may represent an adaptive, early defensive response aimed at reinforcing barrier function under mild stress conditions. Teleost fish are known for remarkable regenerative capacity in epithelial tissues [
12]. Although most of the literature on corneal injury mechanisms comes from mammalian models, where thinning and ulceration are established responses to chemical or environmental insult [
30,
31], our findings suggest that teleost corneas may initiate a proliferative defense at low-to-moderate insult levels, such as mild ammonia elevation. In the CTR group, this compensatory proliferation may have been overwhelmed by greater toxicant load, resulting in widespread epithelial thinning, erosions, and ulcerations. Similar patterns have been reported in fish exposed to waterborne contaminants, where epithelial integrity deteriorates before systemic pathology becomes evident [
32,
33]. The presence of vascular proliferation in both CTR and PEC corneas further corroborates that ocular tissues mount an angiogenic response to local stress, consistent with teleost wound healing dynamics [
34]. Unlike the cornea, retinal architecture remained unaffected across treatments. This is congruent with other reports showing that non-ionized ammonia preferentially affects directly exposed tissues before impacting deeper or immune-privileged structures like the retina in juvenile Atlantic halibut [
1]. Taken together, these findings support the use of corneal structural alteration as a sensitive indicator of sublethal environmental stress in intensive aquaculture systems. The fact that corneal epithelial alterations preceded changes in growth performance or condition (which remained similar between groups) underscores the value of tissue-specific endpoints for early welfare monitoring. In Nile tilapia, for example, gill histopathology has been proposed as a sensitive stress marker before growth effects manifest [
34], a concept that aligns with our corneal observations in rainbow trout. A limitation of the present study is the absence of intermediate sampling points, preventing the assessment of whether corneal epithelial alterations in the CTR group reflect progressive deterioration or a steady-state condition. However, poor water quality-induced damage is likely to develop progressively. Although such alterations are generally considered progressive, overall, the PEC water treatment system appears to reduce fluctuations in nitrogenous compounds, resulting in fewer morphological disruptions in sensitive ocular tissues.
This insight reinforces recommendations for integrating advanced treatment technologies in recirculating aquaculture systems to sustain both water quality and fish welfare.
Mucous production represents an important defense mechanism in fish, contributing to ocular surface barrier function and defense against chemical and microbial insults [
35], and environmental stress can influence mucous cell activity and secretion [
35]. Mucin-producing cells were evaluated using AB–PAS staining; no significant differences were observed between groups in terms of mucous cell number or staining characteristics, and acidic mucin secretion was maintained across all experimental conditions.
This stability suggests that mucous secretion may represent a constitutive protective mechanism that is preserved under moderate stress levels, whereas structural epithelial alterations are more sensitive indicators of environmental imbalance.
Goblet cells were occasionally associated with melanomacrophages (MMs), which are pigment-containing phagocytic cells involved in innate immunity and the sequestration of debris and oxidative by-products [
36,
37,
38]. The local association of goblet cells with MMs may reflect a coordinated ocular stress and immune response, suggesting that MMs dynamics could be an informative endpoint for future studies exploring corneal and systemic stress in intensive aquaculture.
Immunohistochemical analysis using the 8-OHdG antibody revealed activation of oxidative stress in ocular tissues from both experimental groups. However, stronger labeling was evident in the control group, particularly in areas where the epithelium was preserved, indicating a higher degree of oxidative DNA damage. Notably, 8-OHdG immunoreactivity was absent in the baseline group, confirming that oxidative stress developed during the experimental period and was associated with rearing conditions. These findings are consistent with previous studies on rainbow trout showing that environmental stressors or toxicants increase 8-OHdG levels in rainbow trout, reflecting oxidative DNA damage as a consequence of reactive oxygen species accumulation [
39]. The localization of 8-OHdG within structurally compromised tissues further supports the interpretation that oxidative imbalance is mechanistically linked to epithelial deterioration. The detection of 8-OHdG in ocular tissues highlights the sensitivity of the cornea to sublethal oxidative stress, corroborating the utility of this marker as an early indicator of tissue-specific environmental stress. Comparable patterns have been reported in human ocular tissues, where diseased conjunctiva shows more extensive 8-OHdG staining than healthy controls, emphasizing the relevance of oxidative DNA damage in ocular pathology [
40].
The molecular analyses of antioxidant-related genes in the cornea were not significant, but revealed a modulation of antioxidant defenses under varying nitrogenous conditions. GPx1 expression was higher in the CTR group, which had higher ammonia levels and slightly lower nitrate concentrations, whereas sod1 and GR were higher in the PEC group, characterized by lower ammonia and higher nitrate levels. These trends may reflect different adaptive responses to oxidative challenges: GPx1 potentially responding to acute ammonia-associated stress, whereas sod1 and GR may represent a modulatory response to elevated nitrates. It is important to interpret these results cautiously. However, the comparative design of the present study, where rearing conditions, water source, and recirculation rates were consistent between groups, minimizes the influence of confounding variables and suggests that the observed differences are plausibly associated with the differential dynamics of nitrogenous compounds.
While ammonia is a possible contributor to oxidative stress, other environmental factors not measured in this study, including overall water quality, may also influence corneal oxidative damage. However, our interpretation is supported by morphological and immunohistochemical findings: CTR corneas exhibited epithelial thinning, disepithelialization, and increased 8 OHdG staining, whereas PEC corneas maintained epithelial structure and organization. Comparable responses have been reported in other fish tissues: ammonia exposure induces oxidative stress and modulates sod,
GPx, and
GR activities in the liver, gills, and muscle of Nile tilapia [
4], whereas nitrate/nitrite exposure can upregulate glutathione-related defenses, reflecting a broader adaptive response to nitrogenous stress in bighead carp [
41]. Moreover, in ocular tissues of zebrafish, nitrate/nitrite exposure alters antioxidant systems and is associated with increased ROS, highlighting the sensitivity of eye tissues to nitrogenous compounds [
42].
Overall, while these trends suggest a potential contribution of antioxidant pathways to corneal resilience under differing nitrogenous conditions, we cannot exclude the effects of other environmental stressors, and the lack of direct ROS measurements limits definitive conclusions. The biological basis of this divergent antioxidant response remains to be elucidated.
The integration of the PEC system into RASs was associated with improved control of nitrogenous compounds, which may contribute to reduced sublethal stress and improved fish welfare. Furthermore, the cornea emerged as an early-responsive tissue. Therefore, the cornea may represent a valuable tool for the early monitoring of fish health, allowing timely management actions.
A potential limitation of the present study is the absence of a comparison with systems characterized by poorer water quality or non-recirculating conditions. However, the experimental design was focused on comparing a standard RAS with a RAS integrated with PEC to reflect realistic, widely adopted aquaculture practices. This approach allowed us to evaluate whether the PEC system can provide benefits even under already optimized rearing conditions. In particular, the detection of corneal alterations and oxidative stress signals between groups highlights the sensitivity of corneal biomarkers as early indicators of sublethal stress and the biological relevance of improvements in water quality. Future studies including more contrasting rearing conditions could further elucidate the full extent of PEC system benefits.
5. Conclusions
This study demonstrates that the cornea is a sensitive and early biomarker of sublethal environmental stress in farmed rainbow trout. By combining optical coherence tomography, histological evaluation, mucous cell assessment, 8-OHdG immunohistochemistry, and antioxidant gene expression analysis, we were able to detect subtle alterations induced by high-density rearing and fluctuations in nitrogenous compounds.
Fish reared in a conventional RAS (CTR) exhibited epithelial thinning, disepithelialization, oxidative DNA damage, and a less coordinated antioxidant gene response, whereas fish maintained in a PEC-equipped RAS showed preserved corneal structure, lower oxidative stress, and a more balanced activation of antioxidant defenses. These findings support the role of PEC (photoelectrocatalysis) in stabilizing water quality and mitigating sublethal stress in intensive aquaculture. Although ammonia is a well-recognized stressor in aquaculture systems, the present results should be interpreted with caution. The observed corneal alterations and oxidative stress signals cannot be attributed exclusively to ammonia, as the current experimental design does not allow for a direct causal interpretation. In particular, measurements do not fully resolve the contribution of the biologically active ammonia fractions. Overall, the findings suggest that high ammonia likely played a role in the observed ocular changes, although other water quality factors may have acted in combination. Future studies with higher temporal resolution and more detailed characterization of nitrogen species will be necessary to disentangle the specific role of ammonia in ocular pathology.
Overall, integrating morpho-molecular indicators at the ocular surface provides a powerful approach for early welfare monitoring before systemic or growth-related impacts occur. The cornea may represent a sensitive tissue for early welfare assessment in RAS and may support future water management strategies in aquaculture.