Avian Candidiasis: A Comprehensive Review of Pathogenesis, Diagnosis, and Control
Simple Summary
Abstract
1. Introduction
2. Pathogenesis
2.1. Candida Species
2.2. Predisposing Factors of Avian Species to Candidiasis
2.2.1. Environment, Age, Immune Status, and Stress
2.2.2. Malnutrition
2.2.3. Medical Therapy
2.2.4. Husbandry Conditions
2.2.5. Physiological Conditions
2.3. Molecular Pathogenic Mechanisms
2.3.1. Adhesion and Early Colonization
2.3.2. Generation of Morphogenesis, Candidalysin, and Epithelial Injury
2.3.3. Phenotypic Switching, Environmental Stimulus, and Enzyme Secretion
2.3.4. Secreted Hydrolytic Enzymes and Food Intake
2.3.5. Biofilm Formation
2.3.6. Host Immune Response
2.3.7. Lesion Pattern and Progression
2.3.8. Etiologic Spectrum in Birds
3. Diagnostic Strategies of Avian Candidiasis
3.1. Pathological and Clinical Signs of Avian Candidiasis
3.1.1. Early Stage of Clinical Manifestations (Nonspecific Signs)

3.1.2. Gastrointestinal Upper Involvement
3.1.3. Gastrointestinal Tracts Gross Lesions (Crop, Esophagus, and Proventriculus)
3.1.4. Susceptibility and Differences Related to Age
3.1.5. Extra-Intestinal and Cutaneous Sign
3.1.6. Advanced Systemic Dissemination
3.1.7. Post Mortem Findings
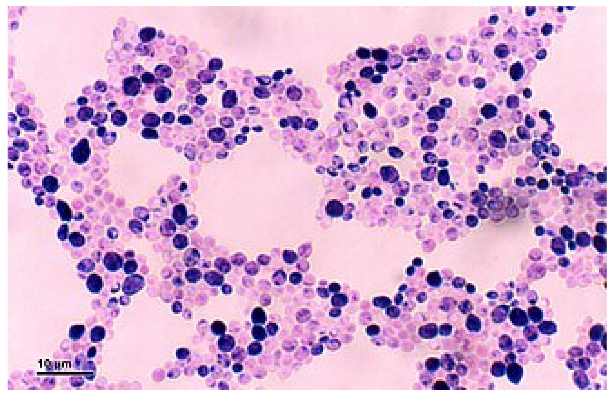
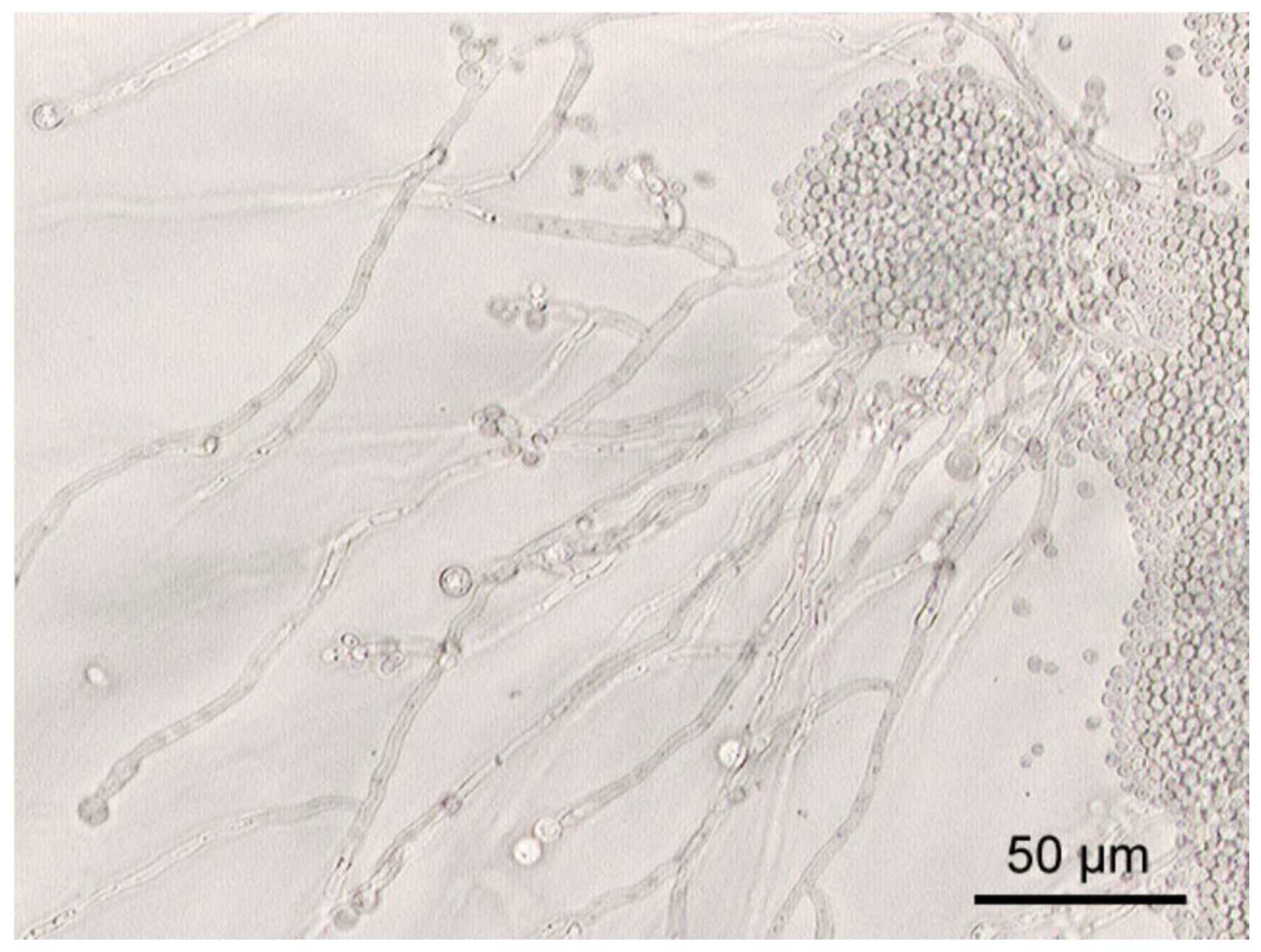
3.2. Microscopic Analysis of the Cells
3.3. Culture Techniques
3.4. Species Identification
3.4.1. Conventional Identification Procedures
3.4.2. Automated Species Confirmation and High-Tech Biochemical Methods
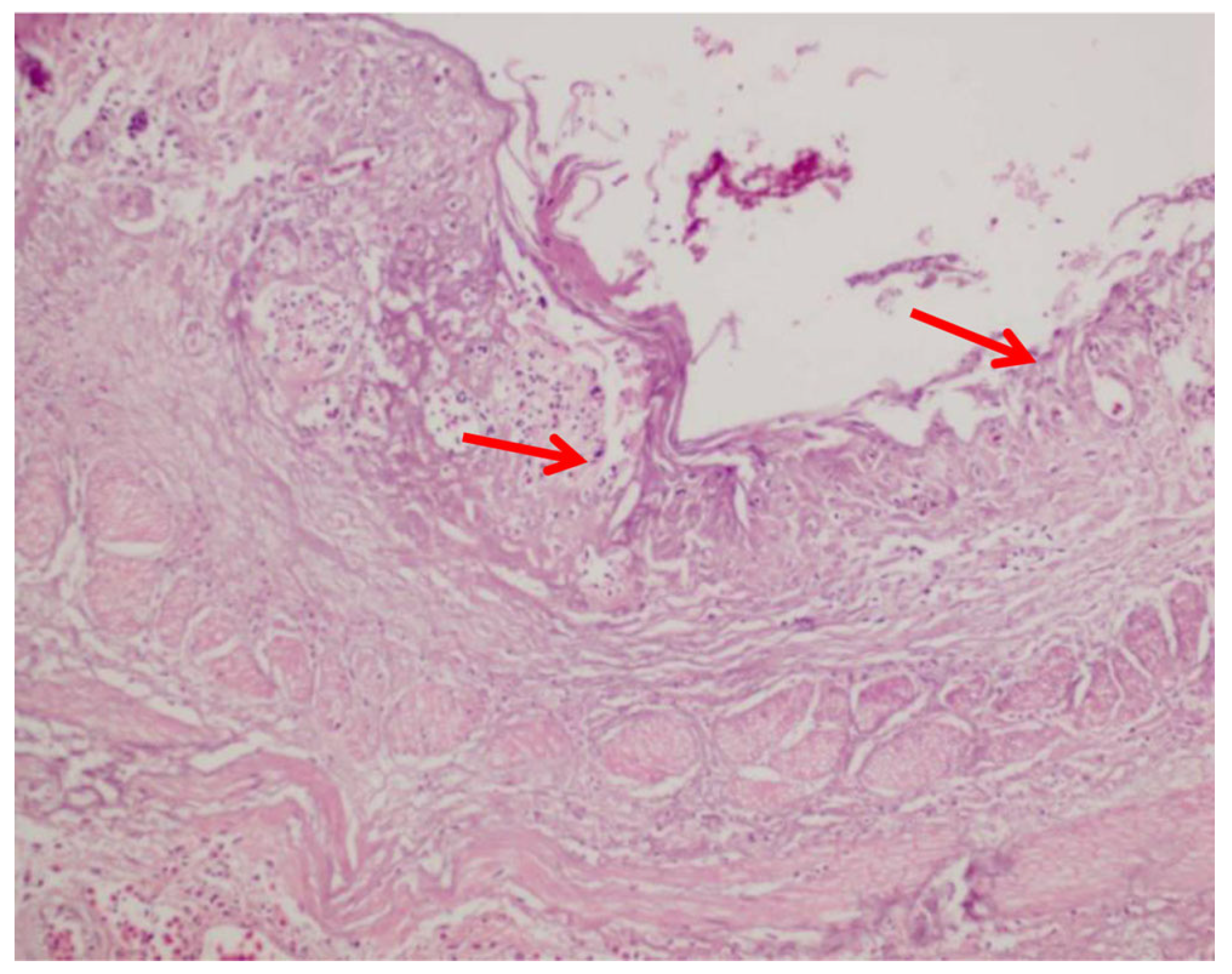
3.5. Histopathology
3.6. Serological Diagnostic Methods
3.7. Molecular Diagnostic Techniques
3.8. Advanced Diagnostic Techniques
4. Prevention, Treatment, and Control of Avian Candidiasis
4.1. Prevention and Control
4.2. Treatment
4.2.1. Interventions on the Environment and Management
4.2.2. Antifungal Therapy
4.2.3. Fungal Susceptibility Testing
4.2.4. Supportive Care/Management
4.3. Prognosis and Follow-Up
4.4. Existing Knowledge Gaps in Avian Candidiasis Research and Control
5. Conclusions
Author Contributions
Funding
Institutional Review Board Statement
Informed Consent Statement
Data Availability Statement
Conflicts of Interest
References
- Askun, T. Perspective Chapter: Candida and Candidiasis—Recent Taxonomic Developments, Invasion Biology, and Novel Active Compounds. In Candida and Candidiasis; Askun, T., Ed.; IntechOpen: Rijeka, Croatia, 2022. [Google Scholar]
- Benarrós, M.S.C.; Salvarani, F.M. Candidiasis in Choloepus sp.—A Review of New Advances on the Disease. Animals 2024, 14, 2092. [Google Scholar] [CrossRef]
- Dhama, K.; Chakraborty, S.; Verma, A.K.; Tiwari, R.; Barathidasan, R.; Kumar, A.; Singh, S.D. Fungal/mycotic diseases of poultry-diagnosis, treatment and control: A review. Pak. J. Biol. Sci. 2013, 16, 1626–1640. [Google Scholar] [CrossRef] [PubMed]
- Talazadeh, F.; Ghorbanpoor, M.; Shahriyari, A. Candidiasis in Birds (Galliformes, Anseriformes, Psittaciformes, Passeriformes, and Columbiformes): A Focus on Antifungal Susceptibility Pattern of Candida albicans and Non-albicans Isolates in Avian Clinical Specimens. Top. Companion Anim. Med. 2022, 46, 100598. [Google Scholar] [CrossRef] [PubMed]
- Velasco, M. Candidiasis and cryptococcosis in birds. Semin. Avian Exot. Pet Med. 2000, 9, 75–81. [Google Scholar] [CrossRef]
- Garcês, A. Candidiasis in Birds: An update. J. Vet. Physiol. Pathol. 2023, 2, 42–46. [Google Scholar] [CrossRef]
- Medina, I.R.; Fuentes, L.R.; Arteaga, M.B.; Real Valcárcel, F.; Acosta Arbelo, F.; Padilla, D.; Déniz, S.; Quintana, O.; Gutiérrez, B.; Silva Sergent, F.; et al. Pigeons and their droppings as reservoirs of Candida and other zoonotic yeasts. Rev. Iberoam. Micol. 2017, 34, 211–214. [Google Scholar] [CrossRef]
- Pinto, L.M.; Neto, F.d.A.B.; de Medeiros, M.A.P.; Alves, D.L.Z.; Chaves, G.M. Candida species isolated from pigeon (Columbia livia) droppings may express virulence factors and resistance to azoles. Vet. Microbiol. 2019, 235, 43–52. [Google Scholar] [CrossRef]
- Abulreesh, H.H.; Organji, S.R.; Elbanna, K.; Osman, G.E.H.; Almalki, M.H.K.; Abdel-Malek, A.Y.; Ghyathuddin, A.A.K.; Ahmad, I. Diversity, Virulence Factors, and Antifungal Susceptibility Patterns of Pathogenic and Opportunistic Yeast Species in Rock Pigeon (Columba livia) Fecal Droppings in Western Saudi Arabia. Pol. J. Microbiol. 2019, 68, 493–504. [Google Scholar] [CrossRef]
- Liu, F.; Hu, Z.D.; Zhao, X.M.; Zhao, W.N.; Feng, Z.X.; Yurkov, A.; Alwasel, S.; Boekhout, T.; Bensch, K.; Hui, F.L.; et al. Phylogenomic analysis of the Candida auris-Candida haemuli clade and related taxa in the Metschnikowiaceae, and proposal of thirteen new genera, fifty-five new combinations and nine new species. Persoonia 2024, 52, 22–43. [Google Scholar] [CrossRef]
- Lachance, M.A.; Boekhout, T.; Scorzetti, G.; Fell, J.; Kurtzman, C. Candida Berkhout (1923). Yeasts A Taxon. Study 2013, 2, 987–1278. [Google Scholar]
- Mukaremera, L.; Lee, K.K.; Mora-Montes, H.M.; Gow, N.A.R. Candida albicans Yeast, Pseudohyphal, and Hyphal Morphogenesis Differentially Affects Immune Recognition. Front. Immunol. 2017, 8, 629. [Google Scholar] [CrossRef]
- Chavez, C.M.; Groenewald, M.; Hulfachor, A.B.; Kpurubu, G.; Huerta, R.; Hittinger, C.T.; Rokas, A. The cell morphological diversity of Saccharomycotina yeasts. FEMS Yeast Res. 2023, 24, foad055. [Google Scholar] [CrossRef]
- Moran, G.; Coleman, D.; Sullivan, D. An introduction to the medically important Candida species. Candida Candidiasis 2011, 9–25. [Google Scholar] [CrossRef]
- Yapar, N. Epidemiology and risk factors for invasive candidiasis. Ther. Clin. Risk Manag. 2014, 10, 95–105. [Google Scholar] [CrossRef]
- Denning, D. Global incidence and mortality of severe fungal disease—Author’s reply. Lancet Infect. Dis. 2024, 24, e269. [Google Scholar] [CrossRef]
- Elibe, M.; Nweze, E. Antifungal resistance profile and enzymatic activity of Candida species recovered from human and animal samples. Bio-Research 2019, 17, 1044A–1055A. [Google Scholar] [CrossRef]
- Borman Andrew, M.; Abdolrasouli, A.; Johnson Elizabeth, M. Name changes for fungi of medical importance, 2022–2024. J. Clin. Microbiol. 2025, 63, e02041-24. [Google Scholar] [CrossRef] [PubMed]
- Seyedmousavi, S.; Bosco, S.M.G.; de Hoog, S.; Ebel, F.; Elad, D.; Gomes, R.R.; Jacobsen, I.D.; Jensen, H.E.; Martel, A.; Mignon, B.; et al. Fungal infections in animals: A patchwork of different situations. Med. Mycol. 2018, 56, 165–187. [Google Scholar] [CrossRef] [PubMed]
- Jacobsen, I.D. The Role of Host and Fungal Factors in the Commensal-to-Pathogen Transition of Candida albicans. Curr. Clin. Microbiol. Rep. 2023, 10, 55–65. [Google Scholar] [CrossRef]
- Pal, M.; Aregawi, W.; Samajpati, N.; Manna, A.K. Growing role of non-Candida albicans Candida species in clinical disorders of humans and animals. J. Mycol. Res. 2015, 53, 41–48. [Google Scholar]
- Domán, M.; Vásárhelyi, B.; Balka, G.; Jantyik, T.; Laukó, T.; Bányai, K.; Makrai, L. Nyelőcsőmikózis magyarországi lúd-és kacsaállományokban= Esophageal Mycosis in Hungarian Goose and Duck Flocks. Magy. Állatorvosok Lapja Hung. Vet. J. 2021, 143, 667–675. [Google Scholar]
- Donnelly, K.A.; Wellehan, J.F.X., Jr.; Quesenberry, K. Gastrointestinal Disease Associated with Non-albicans Candida Species in Six Birds. J. Avian Med. Surg. 2019, 33, 413–418. [Google Scholar] [CrossRef]
- Liu, J.; Liu, H.; Yan, J.; Liu, N.; Zhang, H.; Zhao, C.; Liu, Y. Molecular typing and genetic relatedness of 72 clinical Candida albicans isolates from poultry. Vet. Microbiol. 2018, 214, 36–43. [Google Scholar] [CrossRef] [PubMed]
- Pitarch, A.; Gil, C.; Blanco, G. Oral mycoses in avian scavengers exposed to antibiotics from livestock farming. Sci. Total Environ. 2017, 605, 139–146. [Google Scholar] [CrossRef]
- Sokół, I.; Gaweł, A.; Bobrek, K. The prevalence of yeast and characteristics of the isolates from the digestive tract of clinically healthy turkeys. Avian Dis. 2018, 62, 286–290. [Google Scholar] [CrossRef]
- Wang, H.; Li, X.; Wang, D.; Li, C.; Wang, Y.; Diao, Y.; Tang, Y. Isolation, identification and genotyping of Candida albicans from Landes geese. Transbound. Emerg. Dis. 2022, 69, 349–359. [Google Scholar] [CrossRef]
- Wyatt, R.; Hamilton, P. Candida species and crop mycosis in broiler chickens. Poult. Sci. 1975, 54, 1663–1666. [Google Scholar] [CrossRef]
- Lord, A.T.; Mohandas, K.; Somanath, S.; Ambu, S. Multidrug resistant yeasts in synanthropic wild birds. Ann. Clin. Microbiol. Antimicrob. 2010, 9, 11. [Google Scholar] [CrossRef]
- Singh, D.P.; Kumar Verma, R.; Sarswat, S.; Saraswat, S. Non-Candida albicans Candida species: Virulence factors and species identification in India. Curr. Med. Mycol. 2021, 7, 8–13. [Google Scholar] [CrossRef]
- Jackson, B.R.; Chow, N.; Forsberg, K.; Litvintseva, A.P.; Lockhart, S.R.; Welsh, R.; Vallabhaneni, S.; Chiller, T. On the Origins of a Species: What Might Explain the Rise of Candida auris? J. Fungi 2019, 5, 58. [Google Scholar] [CrossRef] [PubMed]
- Cooper, R.G. Bacterial, fungal and parasitic infections in the ostrich (Struthio camelus var. domesticus). Anim. Sci. J. 2005, 76, 97–106. [Google Scholar] [CrossRef]
- Vinzelj, J.; Nash, K.; Jones, A.L.; Young, R.T.; Meili, C.H.; Pratt, C.J.; Wang, Y.; Elshahed, M.S.; Youssef, N.H. Anaerobic gut fungal community in ostriches (Struthio camelus). ISME Commun. 2025, 5, ycaf144. [Google Scholar] [CrossRef] [PubMed]
- Garcês, A.; Lopes, R.; Salinas, D.; Ferreira, M.; Infante, S.; Lopes, A.; Silveira, I.; Claudino, S.; Silva, A.; Simões, P. First Report of Oral Candidiasis by Candida lusitaniae in a Red Kite (Milvus milvus, Lineu 1758). J. Adv. Vet. Res. 2022, 12, 321–323. [Google Scholar]
- Sidrim, J.J.; Maia, D.C.; Brilhante, R.S.; Soares, G.D.; Cordeiro, R.A.; Monteiro, A.J.; Rocha, M.F. Candida species isolated from the gastrointestinal tract of cockatiels (Nymphicus hollandicus): In vitro antifungal susceptibility profile and phospholipase activity. Vet. Microbiol. 2010, 145, 324–328. [Google Scholar] [CrossRef]
- Elmberg, J.; Berg, C.; Lerner, H.; Waldenström, J.; Hessel, R. Potential disease transmission from wild geese and swans to livestock, poultry and humans: A review of the scientific literature from a One Health perspective. Infect. Ecol. Epidemiol. 2017, 7, 1300450. [Google Scholar] [CrossRef]
- Lima da Rocha, J.H.; Barbosa da Silva, T.I.; Reckziegel, G.H.; Lima de Oliveira, T.F.; Zacarias Campelo, M.B.; de Araújo Santos, F.G. Identification of Candida spp. From the Gastrointestinal Tract of Pet Parrots and Subsequent Antifungal Susceptibility Profiles. J. Avian Med. Surg. 2025, 38, 208–214. [Google Scholar] [CrossRef]
- Kadhim, M.A.; Abdulameer, S.J.; Al-Dulaimi, O.G.J.; Al-Azzawi, A.K. Isolation and molecular identification of Candida albicans from the oral cavity of domestic chickens using 28S rDNA in Diyala Governorate, Iraq. J. World’s Poult. Res. 2024, 14, 124–131. [Google Scholar] [CrossRef]
- Zhang, K.; Wang, X.; Gong, X.; Sui, J. Gut Microbiome Differences in Rescued Common Kestrels (Falco tinnunculus) Before and After Captivity. Front. Microbiol. 2022, 13, 858592. [Google Scholar] [CrossRef] [PubMed]
- CandidaTalazadeh, F.; Ghorbanpoor, M.; Masoudinezhad, M. Phylogenetic analysis of pathogenic Candida spp. in domestic pigeons. Vet. Res. Forum 2023, 14, 431–436. [Google Scholar] [CrossRef]
- Li, H.; Miao, M.-X.; Jia, C.-L.; Cao, Y.-B.; Yan, T.-H.; Jiang, Y.-Y.; Yang, F. Interactions between Candida albicans and the resident microbiota. Front. Microbiol. 2022, 13, 930495. [Google Scholar] [CrossRef]
- Mauk, K.E.; Miramón, P.; Lorenz, M.C.; Lortal, L.; Naglik, J.R.; Hube, B.; Bimler, L.; Kheradmand, F.; Corry, D.B. Commensal colonization of Candida albicans in the mouse gastrointestinal tract is mediated via expression of Candidalysin and adhesins. Microbiol. Spectr. 2025, 13, e0056725. [Google Scholar] [CrossRef]
- Peroumal, D.; Sahu, S.R.; Kumari, P.; Utkalaja, B.G.; Acharya, N. Commensal Fungus Candida albicans Maintains a Long-Term Mutualistic Relationship with the Host To Modulate Gut Microbiota and Metabolism. Microbiol. Spectr. 2022, 10, e0246222. [Google Scholar] [CrossRef]
- Li, L.; Adamson, C.; Ng, E.W.L.; Qiao, Y. Candida albicans Ssy1 is the extracellular sensor of gut microbiota-derived peptidoglycan fragments mediating invasive hyphal growth in the host. Nat. Commun. 2025, 16, 6737. [Google Scholar] [CrossRef]
- Silvanose, C. Infectious diseases: Candidiasis. In Avian Medicine, 3rd ed.; Samour, J., Ed.; Elsevier: Amsterdam, The Netherlands, 2016; pp. 472–473. [Google Scholar] [CrossRef]
- Tamai, R.; Kiyoura, Y. Candida Infections: The Role of Saliva in Oral Health—A Narrative Review. Microorganisms 2025, 13, 717. [Google Scholar] [CrossRef]
- Lopes, J.P.; Lionakis, M.S. Pathogenesis and virulence of Candida albicans. Virulence 2022, 13, 89–121. [Google Scholar] [CrossRef] [PubMed]
- Fanning, S.; Xu, W.; Solis, N.; Woolford, C.A.; Filler, S.G.; Mitchell, A.P. Divergent targets of Candida albicans biofilm regulator Bcr1 in vitro and in vivo. Eukaryot. Cell 2012, 11, 896–904. [Google Scholar] [CrossRef] [PubMed]
- Ibrahim, Z.Y. Avian candidiasis: A review. Int. J. Pharm. Res. 2020, 12, 1288–1291. [Google Scholar] [CrossRef]
- Sur, S.; Tiwari, J.; Malik, S.; Stevenson, T. Endocrine and molecular regulation of seasonal avian immune function. Philos. Trans. R. Soc. Lond. Ser. B Biol. Sci. 2025, 380, 20230507. [Google Scholar] [CrossRef]
- Papon, N.; Courdavault, V.; Clastre, M.; Bennett, R.J. Emerging and Emerged Pathogenic Candida Species: Beyond the Candida albicans Paradigm. PLoS Pathog. 2013, 9, e1003550. [Google Scholar] [CrossRef]
- Arya, A.K.; Bachheti, A.; Sethi, V.K.; Joshi, K.K. Birds and environment: A multidisciplinary approach to ecological, behavioural and conservation issues. BMC Zool. 2024, 9, 7. [Google Scholar] [CrossRef]
- Dalgaard, T.S.; Rebel, J.M.J.; Bortoluzzi, C.; Kogut, M.H. Chapter 15—Factors modulating the avian immune system. In Avian Immunology, 3rd ed.; Kaspers, B., Schat, K.A., Göbel, T.W., Vervelde, L., Eds.; Academic Press: Boston, MA, USA, 2022; pp. 419–435. [Google Scholar]
- Petrusha, Y.; Silin, D.; Lebedev, S. Factors and modulators of the avian immune system (review). Anim. Husb. Fodd. Prod. 2025, 108, 33–49. [Google Scholar] [CrossRef]
- Sattar, A.; Khan, A.; Hussain, H.I.; He, C.; Hussain, R.; Zhiqiang, S.; Saleemi, M.K.; Mahmood, F. Immunosuppressive effects of arsenic in broiler chicks exposed to Newcastle disease virus. J. Immunotoxicol. 2016, 13, 861–869. [Google Scholar] [CrossRef]
- Snoeijs, T.D.T.; Pinxten, R.; Vandesande, F.; Eens, M. Heavy metal exposure affects the humoral immune response in a free-living small songbird, the great tit (Parus major). Arch. Environ. Contam. Toxicol. 2004, 46, 399–404. [Google Scholar] [CrossRef]
- Mateo, R. Immunotoxic effects of lead on birds. Sci. Total Environ. 2019, 687, 505–515. [Google Scholar] [CrossRef]
- Murugesan, G.R.; Ledoux, D.R.; Naehrer, K.; Berthiller, F.; Applegate, T.J.; Greber, B.; Rottinghaus, G.E. Prevalence and effects of mycotoxins on poultry health and performance, and recent development in mycotoxin counteracting strategies. Poult. Sci. 2015, 94, 1298–1315. [Google Scholar] [CrossRef] [PubMed]
- Bernal-González, K.G.; Covantes-Rosales, C.E.; Camacho-Pérez, M.R.; Mercado-Salgado, U.; Barajas-Carrillo, V.W.; Girón-Pérez, D.A.; Montoya-Hidalgo, A.C.; Díaz-Resendiz, K.J.; Barcelos-García, R.G.; Toledo-Ibarra, G.A.; et al. Organophosphate-Pesticide-Mediated Immune Response Modulation in Invertebrates and Vertebrates. Int. J. Mol. Sci. 2023, 24, 5360. [Google Scholar] [CrossRef]
- Hoppes, S.M. Mycotic Diseases of Pet Birds. Available online: https://www.merckvetmanual.com/exotic-and-laboratory-animals/pet-birds/mycotic-diseases-of-pet-birds (accessed on 27 October 2025).
- Lightfoot, T.L. Digestive Disorders of Pet Birds. Available online: https://www.merckvetmanual.com/bird-owners/disorders-and-diseases-of-birds/digestive-disorders-of-pet-birds (accessed on 27 October 2025).
- Tsafaras, G.P.; Ntontsi, P.; Xanthou, G. Advantages and Limitations of the Neonatal Immune System. Front. Pediatr. 2020, 8, 5. [Google Scholar] [CrossRef]
- Cai, Z.; Chen, R.; Yang, M.; La Sorte, F.A.; Chen, Y.; Wu, J. Addressing critical gaps in protected area coverage for bird habitats in China. J. Environ. Manag. 2024, 368, 122263. [Google Scholar] [CrossRef] [PubMed]
- Gómez-Catasús, J.; Benítez-López, A.; Díaz, M.; González del Portillo, D.; Pérez-Granados, C.; Alonso, J.C.; Arroyo, B.; Abril-Colón, I.; Barrero, A.; Barrientos, R.; et al. Alarming conservation status of Western European steppe birds and their habitats: An expert-based review of current threats, traits and knowledge gaps. Biol. Conserv. 2025, 311, 111414. [Google Scholar] [CrossRef]
- Janssen, K.; Marsland, C.; Barreto, M.O.; Charalambous, R.; Narayan, E. Identifying the Stressors Impacting Rescued Avian Wildlife. Animals 2020, 10, 1500. [Google Scholar] [CrossRef]
- Kotz, M.; Amano, T.; Watson, J.E.M. Large reductions in tropical bird abundance attributable to heat extreme intensification. Nat. Ecol. Evol. 2025, 9, 1897–1909. [Google Scholar] [CrossRef] [PubMed]
- Blas, J. Chapter 33—Stress in Birds. In Sturkie’s Avian Physiology, 6th ed.; Scanes, C.G., Ed.; Academic Press: San Diego, CA, USA, 2015; pp. 769–810. [Google Scholar]
- Nadia, N.; Shohana, N.N.; Hossain, M.S.; Labony, S.S.; Ali, M.H.; Lovelu, M.A.; Shirin, A.; Ritu, S.N.; Islam, U.R.; Parvin, R.; et al. Research note: Mite infestations in non-descriptive indigenous chickens in Bangladesh: Present status and pathology. Poult. Sci. 2025, 104, 104889. [Google Scholar] [CrossRef]
- Zamri, N.A.S.; Baharudin, S.; Harun, A.A.C.; Ariffin, N.A.; Khong, H.Y.; Wahab, W.; Kamaludeen, J.; Zakariah, M.I.; Tosin, O.V.; Manaf, S.R. Parasite infestation in red hybrid Tilapia across Sarawak: Morphological, DNA barcoding and water quality assessment under different culture systems. Vet. Parasitol. Reg. Stud. Rep. 2025, 60, 101238. [Google Scholar] [CrossRef]
- Davison, F. Chapter 1—The importance of the avian immune system and its unique features. In Avian Immunology, 3rd ed.; Kaspers, B., Schat, K.A., Göbel, T.W., Vervelde, L., Eds.; Academic Press: Boston, MA, USA, 2022; pp. 1–9. [Google Scholar]
- Kogut, M.H. Chapter 24—Immunophysiology of the avian immune system. In Sturkie’s Avian Physiology, 7th ed.; Scanes, C.G., Dridi, S., Eds.; Academic Press: San Diego, CA, USA, 2022; pp. 591–610. [Google Scholar]
- Gomes, A.V.; Quinteiro-Filho, W.M.; Ribeiro, A.; Ferraz-de-Paula, V.; Pinheiro, M.L.; Baskeville, E.; Akamine, A.T.; Astolfi-Ferreira, C.S.; Ferreira, A.J.; Palermo-Neto, J. Overcrowding stress decreases macrophage activity and increases Salmonella Enteritidis invasion in broiler chickens. Avian Pathol. 2014, 43, 82–90. [Google Scholar] [CrossRef] [PubMed]
- Hirakawa, R.; Nurjanah, S.; Furukawa, K.; Murai, A.; Kikusato, M.; Nochi, T.; Toyomizu, M. Heat Stress Causes Immune Abnormalities via Massive Damage to Effect Proliferation and Differentiation of Lymphocytes in Broiler Chickens. Front. Vet. Sci. 2020, 7, 46. [Google Scholar] [CrossRef] [PubMed]
- Wei, F.X.; Hu, X.F.; Xu, B.; Zhang, M.H.; Li, S.Y.; Sun, Q.Y.; Lin, P. Ammonia concentration and relative humidity in poultry houses affect the immune response of broilers. Genet. Mol. Res. 2015, 14, 3160–3169. [Google Scholar] [CrossRef]
- Sakda, P.; Xiang, X.; Wu, Y.; Zhang, X.; Xu, W.; Zhou, L. Gut Fungal Communities Are Influenced by Seasonality in Captive Baikal Teal (Sibirionetta formosa) and Common Teal (Anas crecca). Animals 2023, 13, 2948. [Google Scholar] [CrossRef]
- Di Carlo, P.; Serra, N.; Collotta, O.; Colomba, C.; Firenze, A.; Aprea, L.; Distefano, S.A.; Cortegiani, A.; Giammanco, G.; Fasciana, T.M.A.; et al. The Influence of the Seasonal Variability of Candida spp. Bloodstream Infections and Antifungal Treatment: A Mediterranean Pilot Study. Antibiotics 2025, 14, 452. [Google Scholar] [CrossRef]
- Shastak, Y.; Pelletier, W. Nutritional Balance Matters: Assessing the Ramifications of Vitamin A Deficiency on Poultry Health and Productivity. Poultry 2023, 2, 493–515. [Google Scholar] [CrossRef]
- Jarosz, Ł.; Marek, A.; Grądzki, Z.; Kwiecień, M.; Kalinowski, M. The effect of feed supplementation with zinc chelate and zinc sulphate on selected humoral and cell-mediated immune parameters and cytokine concentration in broiler chickens. Res. Vet. Sci. 2017, 112, 59–65. [Google Scholar] [CrossRef]
- Dietert, R.R.; Marsh, J.A.; Combs, G.F. Influence of dietary selenium and vitamin E on the activity of chicken blood phagocytes. Poult. Sci. 1983, 62, 1412–1413. [Google Scholar]
- Dalgaard, T.S.; Briens, M.; Engberg, R.M.; Lauridsen, C. The influence of selenium and selenoproteins on immune responses of poultry and pigs. Anim. Feed. Sci. Technol. 2018, 238, 73–83. [Google Scholar] [CrossRef] [PubMed]
- Castelo-Branco, D.; Lockhart, S.R.; Chen, Y.C.; Santos, D.A.; Hagen, F.; Hawkins, N.J.; Lavergne, R.A.; Meis, J.F.; Le Pape, P.; Rocha, M.F.G.; et al. Collateral consequences of agricultural fungicides on pathogenic yeasts: A One Health perspective to tackle azole resistance. Mycoses 2022, 65, 303–311. [Google Scholar] [CrossRef] [PubMed]
- Miskiewicz, A.; Kowalczyk, P.; Oraibi, S.M.; Cybulska, K.; Misiewicz, A. Bird feathers as potential sources of pathogenic microorganisms: A new look at old diseases. Antonie Van Leeuwenhoek 2018, 111, 1493–1507. [Google Scholar] [CrossRef] [PubMed]
- Dworecka-Kaszak, B.; Biegańska, M.J.; Dąbrowska, I. Occurrence of various pathogenic and opportunistic fungi in skin diseases of domestic animals: A retrospective study. BMC Vet. Res. 2020, 16, 248. [Google Scholar] [CrossRef]
- Harrison, G.; Lightfoot, T.; Flinchum, G. Emergency and Critical Care. Clin. Avian Med. 2006, 1, 213–232. [Google Scholar]
- Shoham, S.; Marr, K.A. Invasive fungal infections in solid organ transplant recipients. Future Microbiol. 2012, 7, 639–655. [Google Scholar] [CrossRef]
- Mgbeahuruike, A.; Agina, O.; Anyanwu, M.; Ekere, S.; Ugwu, P.; Uju, C.; Andong, F. Microbial contamination of poultry feed and the effects on birds performance. Anim. Res. Int. 2023, 20, 4834–4861. [Google Scholar]
- Neelawala, R.N.; Edison, L.K.; Kariyawasam, S. Pre-Harvest Non-Typhoidal Salmonella Control Strategies in Commercial Layer Chickens. Animals 2024, 14, 3578. [Google Scholar] [CrossRef]
- Mirhosseini, Z.; Khosravi, A. Fungal Pathogens: Emerging Threats to Birds and Human Health, Assessment the Relative Frequency of Pathogenic Fungi in Ornamental Bird Feces. J. Poult. Sci. Avian Dis. 2023, 1, 20–24. [Google Scholar] [CrossRef]
- Tokarska-Rodak, M.; Weiner, M. Candida species at the workplace: Microbiota component, opportunistic pathogen and zoonotic agent. Med. Pr. 2023, 74, 425–433. [Google Scholar] [CrossRef] [PubMed]
- Naik, B.; Ahmed, S.M.Q.; Laha, S.; Das, S.P. Genetic Susceptibility to Fungal Infections and Links to Human Ancestry. Front. Genet. 2021, 12, 709315. [Google Scholar] [CrossRef]
- Yue, Y.; Luasiri, P.; Li, J.; Laosam, P.; Sangsawad, P. Research advancements on the diversity and host interaction of gut microbiota in chickens. Front. Vet. Sci. 2024, 11, 1492545. [Google Scholar] [CrossRef]
- Doneley, B. Avian Medicine and Surgery in Practice: Companion and Aviary Birds, 1st ed.; Manson Publishing: London, UK, 2010. [Google Scholar]
- Hoppes, S.M. Pediatric Diseases of Pet Birds. Available online: https://www.merckvetmanual.com/exotic-and-laboratory-animals/pet-birds/pediatric-diseases-of-pet-birds (accessed on 27 October 2025).
- Ibrahim, Z.Y.; Hameed, N.A.; Jarad, A.S. Prevention of Avian Crop Candidiasis by dietary Supplementation of Saccharomyces cerevisiae. Rev. Electron. Vet. 2022, 23, 435–444. [Google Scholar]
- Mba, I.E.; Nweze, E.I. Mechanism of Candida pathogenesis: Revisiting the vital drivers. Eur. J. Clin. Microbiol. Infect. Dis. 2020, 39, 1797–1819. [Google Scholar] [CrossRef] [PubMed]
- Malinovská, Z.; Čonková, E.; Váczi, P. Biofilm Formation in Medically Important Candida Species. J. Fungi 2023, 9, 955. [Google Scholar] [CrossRef]
- Biswas, S.; Van Dijck, P.; Datta, A. Environmental sensing and signal transduction pathways regulating morphopathogenic determinants of Candida albicans. Microbiol. Mol. Biol. Rev. 2007, 71, 348–376. [Google Scholar] [CrossRef]
- Wilson, D.; Naglik, J.R.; Hube, B. The Missing Link between Candida albicans Hyphal Morphogenesis and Host Cell Damage. PLoS Pathog. 2016, 12, e1005867. [Google Scholar] [CrossRef]
- Gow, N.A.; Van De Veerdonk, F.L.; Brown, A.J.; Netea, M.G. Candida albicans morphogenesis and host defence: Discriminating invasion from colonization. Nat. Rev. Microbiol. 2012, 10, 112–122. [Google Scholar] [CrossRef]
- Kalinina, I.; Wilson, D. Candida albicans Goliath cells pioneer biofilm formation. mBio 2025, 16, e0342524. [Google Scholar] [CrossRef] [PubMed]
- Malavia, D.; Lehtovirta-Morley, L.E.; Alamir, O.; Weiß, E.; Gow, N.A.R.; Hube, B.; Wilson, D. Zinc Limitation Induces a Hyper-Adherent Goliath Phenotype in Candida albicans. Front. Microbiol. 2017, 8, 2238. [Google Scholar] [CrossRef]
- Jaiswal, N.; Kumar, A. Deciphering CAP1 of Candida albicans as a key druggable target protein. Med. Microecol. 2025, 25, 100136. [Google Scholar] [CrossRef]
- Talapko, J.; Juzbašić, M.; Matijević, T.; Pustijanac, E.; Bekić, S.; Kotris, I.; Škrlec, I. Candida albicans—The Virulence Factors and Clinical Manifestations of Infection. J. Fungi 2021, 7, 79. [Google Scholar] [CrossRef]
- Chen, H.; Zhou, X.; Ren, B.; Cheng, L. The regulation of hyphae growth in Candida albicans. Virulence 2020, 11, 337–348. [Google Scholar] [CrossRef]
- König, A.; Hube, B.; Kasper, L. The dual function of the fungal toxin Candidalysin during Candida albicans—Macrophage interaction and virulence. Toxins 2020, 12, 469. [Google Scholar] [CrossRef]
- Kasper, L.; König, A.; Koenig, P.-A.; Gresnigt, M.S.; Westman, J.; Drummond, R.A.; Lionakis, M.S.; Groß, O.; Ruland, J.; Naglik, J.R. The fungal peptide toxin Candidalysin activates the NLRP3 inflammasome and causes cytolysis in mononuclear phagocytes. Nat. Commun. 2018, 9, 4260. [Google Scholar] [CrossRef] [PubMed]
- Olivier, F.A.; Hilsenstein, V.; Weerasinghe, H.; Weir, A.; Hughes, S.; Crawford, S.; Vince, J.E.; Hickey, M.J.; Traven, A. The escape of Candida albicans from macrophages is enabled by the fungal toxin Candidalysin and two host cell death pathways. Cell Rep. 2022, 40, 111374. [Google Scholar] [CrossRef] [PubMed]
- David, H.; Solomon, A.P. Molecular association of Candida albicans and vulvovaginal candidiasis: Focusing on a solution. Front. Cell. Infect. Microbiol. 2023, 13, 1245808. [Google Scholar] [CrossRef] [PubMed]
- Staniszewska, M.; Gizińska, M.; Swoboda-Kopec, E.; Siennicka, K.; Sygitowicz, G.; Kurzatkowski, W. Candida albicans morphologies revealed by scanning electron microscopy analysis. Braz. J. Microbiol. 2013, 44, 813–821. [Google Scholar] [CrossRef]
- CandidaChow, E.W.L.; Pang, L.M.; Wang, Y. From Jekyll to Hyde: The Yeast-Hyphal Transition of Candida albicans. Pathogens 2021, 10, 859. [Google Scholar] [CrossRef]
- Wilson, D.; Thewes, S.; Zakikhany, K.; Fradin, C.; Albrecht, A.; Almeida, R.; Brunke, S.; Grosse, K.; Martin, R.; Mayer, F.; et al. Identifying infection-associated genes of Candida albicans in the postgenomic era. FEMS Yeast Res. 2009, 9, 688–700. [Google Scholar] [CrossRef]
- Sudbery, P.E. Growth of Candida albicans hyphae. Nat. Rev. Microbiol. 2011, 9, 737–748. [Google Scholar] [CrossRef] [PubMed]
- Naglik, J.R.; Challacombe, S.J.; Hube, B. Candida albicans secreted aspartyl proteinases in virulence and pathogenesis. Microbiol. Mol. Biol. Rev. 2003, 67, 400–428. [Google Scholar] [CrossRef]
- Macias-Paz, I.U.; Pérez-Hernández, S.; Tavera-Tapia, A.; Luna-Arias, J.P.; Guerra-Cárdenas, J.E.; Reyna-Beltrán, E. Candida albicans the main opportunistic pathogenic fungus in humans. Rev. Argent. Microbiol. 2023, 55, 189–198. [Google Scholar] [CrossRef]
- Oliver, J.; Ferreira, C.; Silva, N.; Dias, A. Candida spp. and phagocytosis: Multiple evasion mechanisms. Antonie Van Leeuwenhoek 2019, 112, 1409–1423. [Google Scholar] [CrossRef] [PubMed]
- Braunsdorf, C.; LeibundGut-Landmann, S. Modulation of the Fungal-Host Interaction by the Intra-Species Diversity of C. albicans. Pathogens 2018, 7, 11. [Google Scholar] [CrossRef] [PubMed]
- Schönherr, F.; Sparber, F.; Kirchner, F.; Guiducci, E.; Trautwein-Weidner, K.; Gladiator, A.; Sertour, N.; Hetzel, U.; Le, G.; Pavelka, N. The intraspecies diversity of C. albicans triggers qualitatively and temporally distinct host responses that determine the balance between commensalism and pathogenicity. Mucosal Immunol. 2017, 10, 1335–1350. [Google Scholar] [CrossRef]
- Chen, C.; Pande, K.; French, S.D.; Tuch, B.B.; Noble, S.M. An iron homeostasis regulatory circuit with reciprocal roles in Candida albicans commensalism and pathogenesis. Cell Host Microbe 2011, 10, 118–135. [Google Scholar] [CrossRef]
- Watkins, R.R.; Gowen, R.; Lionakis, M.S.; Ghannoum, M. Update on the Pathogenesis, Virulence, and Treatment of Candida auris. Pathog. Immun. 2022, 7, 46–65. [Google Scholar] [CrossRef]
- Gaffar, N.R.; Valand, N.; Venkatraman Girija, U. Candidiasis: Insights into Virulence Factors, Complement Evasion and Antifungal Drug Resistance. Microorganisms 2025, 13, 272. [Google Scholar] [CrossRef]
- Lee, L.Y.; Höök, M.; Haviland, D.; Wetsel, R.A.; Yonter, E.O.; Syribeys, P.; Vernachio, J.; Brown, E.L. Inhibition of complement activation by a secreted Staphylococcus aureus protein. J. Infect. Dis. 2004, 190, 571–579. [Google Scholar] [CrossRef]
- Lange, T.; Kasper, L.; Gresnigt, M.S.; Brunke, S.; Hube, B. “Under Pressure”—How fungi evade, exploit, and modulate cells of the innate immune system. Semin. Immunol. 2023, 66, 101738. [Google Scholar] [CrossRef]
- Atriwal, T.; Azeem, K.; Husain, F.M.; Hussain, A.; Khan, M.N.; Alajmi, M.F.; Abid, M. Mechanistic Understanding of Candida albicans Biofilm Formation and Approaches for Its Inhibition. Front. Microbiol. 2021, 12, 638609. [Google Scholar] [CrossRef]
- Amann, V.; Kissmann, A.-K.; Firacative, C.; Rosenau, F. Biofilm-Associated Candidiasis: Pathogenesis, Prevalence, Challenges and Therapeutic Options. Pharmaceuticals 2025, 18, 460. [Google Scholar] [CrossRef] [PubMed]
- Mroczyńska, M.; Brillowska-Dąbrowska, A. Virulence of Clinical Candida Isolates. Pathogens 2021, 10, 466. [Google Scholar] [CrossRef] [PubMed]
- Atiencia-Carrera, M.B.; Cabezas-Mera, F.S.; Vizuete, K.; Debut, A.; Tejera, E.; Machado, A. Evaluation of the biofilm life cycle between Candida albicans and Candida tropicalis. Front. Cell. Infect. Microbiol. 2022, 12, 953168. [Google Scholar] [CrossRef] [PubMed]
- Soll, D.R.; Daniels, K.J. Plasticity of Candida albicans Biofilms. Microbiol. Mol. Biol. Rev. 2016, 80, 565–595. [Google Scholar] [CrossRef]
- Al-Fattani, M.A.; Douglas, L.J. Biofilm matrix of Candida albicans and Candida tropicalis: Chemical composition and role in drug resistance. J. Med. Microbiol. 2006, 55, 999–1008. [Google Scholar] [CrossRef]
- Maes, S.; Vackier, T.; Nguyen Huu, S.; Heyndrickx, M.; Steenackers, H.; Sampers, I.; Raes, K.; Verplaetse, A. Occurrence and characterisation of biofilms in drinking water systems of broiler houses. BMC Microbiol. 2019, 19, 77. [Google Scholar] [CrossRef]
- Pathakumari, B.; Liang, G.; Liu, W. Immune defence to invasive fungal infections: A comprehensive review. Biomed. Pharmacother. 2020, 130, 110550. [Google Scholar] [CrossRef]
- Faustino, M.; Ferreira, C.M.H.; Pereira, A.M.; Carvalho, A.P. Candida albicans: The current status regarding vaginal infections. Appl. Microbiol. Biotechnol. 2025, 109, 91. [Google Scholar] [CrossRef]
- Boonlaos, A.; Wechsirisan, W.; Chaibuth, P.; Chupia, V.; Chotinun, S.; Chuammitri, P. Quercetin enhances and modulates the fungal killing efficacy of chicken heterophils through immunological recognition, effector functions, and resolution. Comp. Immunol. Microbiol. Infect. Dis. 2021, 74, 101582. [Google Scholar] [CrossRef]
- Verwoolde, M.B.; van den Biggelaar, R.H.G.A.; de Vries Reilingh, G.; Arts, J.A.J.; van Baal, J.; Lammers, A.; Jansen, C.A. Innate immune training and metabolic reprogramming in primary monocytes of broiler and laying hens. Dev. Comp. Immunol. 2021, 114, 103811. [Google Scholar] [CrossRef]
- Alvarez, K.L.F.; Poma-Acevedo, A.; Fernández-Díaz, M. A transient increase in MHC-IIlow monocytes after experimental infection with Avibacterium paragallinarum (serovar B-1) in SPF chickens. Vet. Res. 2020, 51, 123. [Google Scholar] [CrossRef]
- Min, K.; Neiman, A.M.; Konopka, J.B. Fungal Pathogens: Shape-Shifting Invaders. Trends Microbiol. 2020, 28, 922–933. [Google Scholar] [CrossRef]
- Austermeier, S.; Kasper, L.; Westman, J.; Gresnigt, M.S. I want to break free—Macrophage strategies to recognize and kill Candida albicans, and fungal counter-strategies to escape. Curr. Opin. Microbiol. 2020, 58, 15–23. [Google Scholar] [CrossRef] [PubMed]
- Stephenson, J.C.; Garza, D.R.; Bouklas, T. A Fungus for Our Time: Candida auris Emerges into the Anthropocene. Curr. Trop. Med. Rep. 2023, 10, 244–251. [Google Scholar] [CrossRef]
- Bain, J.; Gow, N.A.; Erwig, L.-P. Novel insights into host-fungal pathogen interactions derived from live-cell imaging. In Seminars in Immunopathology; Springer: Berlin/Heidelberg, Germany, 2015; pp. 131–139. [Google Scholar]
- Musa Rashid, S.; Shnawa, B. Prevalence, Morphometric, Genomic and Histopathological Studies in Backyard Chickens Coccidiosis in Soran City, Erbil-Iraq. Pak. Vet. J. 2024, 44, 2074–7764. [Google Scholar] [CrossRef]
- Jansson, D.S.; Otman, F.; Bagge, E.; Lindgren, Y.; Etterlin, P.E.; Eriksson, H. Retrospective analysis of post-mortem findings in domestic ducks and geese from non-commercial flocks in Sweden, 2011–2020. Acta Vet. Scand. 2021, 63, 47. [Google Scholar] [CrossRef] [PubMed]
- Queiroz-Aaltonen, I.; Melo-Neto, M.; Fonseca, L.; Wanderlei, D.; Maranhão, F. Molecular Detection of Medically Important Candida species from Droppings of Pigeons (Columbiformes) and Captive Birds (Passeriformes and Psittaciformes). Braz. Arch. Biol. Technol. 2021, 64, e21200763. [Google Scholar] [CrossRef]
- García-Salazar, E.; Acosta-Altamirano, G.; Betancourt-Cisneros, P.; Reyes-Montes, M.D.R.; Rosas-De-Paz, E.; Duarte-Escalante, E.; Sánchez-Conejo, A.R.; Ocharan Hernández, E.; Frías-De-León, M.G. Detection and Molecular Identification of Eight Candida Species in Clinical Samples by Simplex PCR. Microorganisms 2022, 10, 374. [Google Scholar] [CrossRef]
- University of Maryland Extension. Common Crop Issues in Backyard Chickens. Available online: https://extension.umd.edu/resource/common-crop-issues-backyard-chickens-ebr-60/ (accessed on 2 November 2025).
- Harcourt-Brown, N. Psittacine Birds. In Handbook of Avian Medicine; Elsevier: Amsterdam, The Netherlands, 2009; pp. 138–168. [Google Scholar] [CrossRef]
- Domán, M.; Makrai, L.; Vásárhelyi, B.; Balka, G.; Bányai, K. Molecular epidemiology of Candida albicans infections revealed dominant genotypes in waterfowls diagnosed with esophageal mycosis. Front. Vet. Sci. 2023, 10, 1215624. [Google Scholar] [CrossRef]
- Calnek, B.; Barnes, H.; Beard, C.; McDougald, L.; Saif, Y. Diseases of poultry 10th ed. Poult. Sci. 1997, 87, 1643–1648. [Google Scholar]
- Saif, Y. Diseases of Poultry; John Wiley & Sons: Hoboken, NJ, USA, 2009. [Google Scholar]
- Luczo, J.M.; Prosser, D.J.; Pantin-Jackwood, M.J.; Berlin, A.M.; Spackman, E. The pathogenesis of a North American H5N2 clade 2.3.4.4 group A highly pathogenic avian influenza virus in surf scoters (Melanitta perspicillata). BMC Vet. Res. 2020, 16, 351. [Google Scholar] [CrossRef]
- Yang, Q.; Liu, J.; Robinson, K.J.; Whitmore, M.A.; Stewart, S.N.; Zhang, G. Perturbations of the ileal mycobiota by necrotic enteritis in broiler chickens. J. Anim. Sci. Biotechnol. 2021, 12, 107. [Google Scholar] [CrossRef] [PubMed]
- Ugochukwu, I.C.I.; Aneke, C.I.; Sani, N.A.; Omeke, J.N.; Anyanwu, M.U.; Odigie, A.E.; Onoja, R.I.; Ocheja, O.B.; Ugochukwu, M.O.; Luca, I.; et al. Important Mycoses of Wildlife: Emphasis on Etiology, Epidemiology, Diagnosis, and Pathology-A Review: PART 1. Animals 2022, 12, 1874. [Google Scholar] [CrossRef] [PubMed]
- Mugale, M.; Bhat, A.A.; Gavhane, D.S.; Bhat, S.A. Outbreaks of thrush in pigeons in Punjab State of India. Comp. Clin. Pathol. 2015, 24, 635–638. [Google Scholar] [CrossRef] [PubMed][Green Version]
- Sato, Y.; Aoyagi, T.; Kobayashi, T.; Inoue, J. Occurrences of Candidiasis in a Fisher’s Lovebird and a Budgerigar. J. Vet. Med. Sci. Jpn. Soc. Vet. Sci. 2001, 63, 939–941. [Google Scholar] [CrossRef][Green Version]
- Gull, T. Candidiasis in Animals (MSD Manual). Available online: https://www.merckvetmanual.com/infectious-diseases/fungal-infections/candidiasis-in-animals (accessed on 27 October 2025).
- Allison, D.B.; Simner, P.J.; Ali, S.Z. Identification of infectious organisms in cytopathology: A review of ancillary diagnostic techniques. Cancer Cytopathol. 2018, 126, 643–653. [Google Scholar] [CrossRef]
- Reischig, J. Candida (Microscopy Image). Available online: https://commons.wikimedia.org/w/index.php?search=Josef+Reischig+Candida&title=Special%3AMediaSearch&type=image (accessed on 7 November 2025).
- Garcia-Rubio, R.; de Oliveira, H.C.; Rivera, J.; Trevijano-Contador, N. The Fungal Cell Wall: Candida, Cryptococcus, and Aspergillus Species. Front. Microbiol. 2019, 10, 2993. [Google Scholar] [CrossRef]
- Chiang, S.J.F.; Chien, M.K.; Tsai, C.Y.; Hsiao, J.C.; Koo, F.H.; Yen, Y.F.; Chou, Y.C.; Cheng, C.C. A Simple, Fast, and Reliable Method for the Identification of Candida albicans. Environ. Health Insights 2024, 18, 11786302241272398. [Google Scholar] [CrossRef] [PubMed]
- Quinn, P.J.; Markey, B.K.; Leonard, F.C.; Hartigan, P.; Fanning, S.; Fitzpatrick, E. Veterinary Microbiology and Microbial Disease; John Wiley & Sons: Hoboken, NJ, USA, 2011. [Google Scholar]
- McVey, D.S.; Kennedy, M.; Chengappa, M. Veterinary Microbiology; John Wiley & Sons: Hoboken, NJ, USA, 2013. [Google Scholar]
- Rycroft, A.N. Fundamentals of Veterinary Microbiology; John Wiley & Sons: Hoboken, NJ, USA, 2023. [Google Scholar]
- Lorenzo-Villegas, D.L.; Gohil, N.V.; Lamo, P.; Gurajala, S.; Bagiu, I.C.; Vulcanescu, D.D.; Horhat, F.G.; Sorop, V.B.; Diaconu, M.; Sorop, M.I.; et al. Innovative Biosensing Approaches for Swift Identification of Candida Species, Intrusive Pathogenic Organisms. Life 2023, 13, 2099. [Google Scholar] [CrossRef]
- Barantsevich, N.; Barantsevich, E. Diagnosis and Treatment of Invasive Candidiasis. Antibiotics 2022, 11, 718. [Google Scholar] [CrossRef]
- Zhu, A.; Zembower, T.; Qi, C. Molecular detection, not extended culture incubation, contributes to diagnosis of fungal infection. BMC Infect. Dis. 2021, 21, 1159. [Google Scholar] [CrossRef] [PubMed]
- Procop, G.W.; Church, D.L.; Hall, G.S.; Janda, W.M. Koneman’s Color Atlas and Textbook of Diagnostic Microbiology; Jones & Bartlett Learning: Burlington, MA, USA, 2020. [Google Scholar]
- Murray, M.P.; Zinchuk, R.; Larone, D.H. CHROMagar Candida as the sole primary medium for isolation of yeasts and as a source medium for the rapid-assimilation-of-trehalose test. J. Clin. Microbiol. 2005, 43, 1210–1212. [Google Scholar] [CrossRef]
- Tambe, Y. Candida (Microscopy Image). Available online: https://commons.wikimedia.org/w/index.php?search=Y+tambe++Candida&title=Special%3AMediaSearch&type=image (accessed on 2 November 2025).
- Fischer, D.; Lierz, M. Diagnostic Procedures and Available Techniques for the Diagnosis of Aspergillosis in Birds. J. Exot. Pet Med. 2015, 24, 283–295. [Google Scholar] [CrossRef]
- Hall, G.S. Bailey & Scott’s Diagnostic Microbiology, 13th Edn. Lab. Med. 2013, 44, e138–e139. [Google Scholar] [CrossRef]
- Bloch, A.; Bogiel, T.; Prażyńska, M.; Gospodarek-Komkowska, E. Usefulness of Chromogenic Media in the Identification of Candida spp. Yeasts Compared to Mass Spectrometry. Methods Protoc. 2025, 8, 98. [Google Scholar] [CrossRef]
- Taschdjian, C.L.; Burchall, J.J.; Kozinn, P.J. Rapid identification of Candida albicans by filamentation on serum and serum substitutes. AMA J. Dis. Child. 1960, 99, 212–215. [Google Scholar] [CrossRef] [PubMed]
- Tierno, P.M., Jr.; Milstoc, M. Germ Tube-positive Candida tropicalis. Am. J. Clin. Pathol. 1977, 68, 294–295. [Google Scholar] [CrossRef]
- Matare, T.; Nziramasanga, P.; Gwanzura, L.; Robertson, V. Experimental Germ Tube Induction in Candida albicans: An Evaluation of the Effect of Sodium Bicarbonate on Morphogenesis and Comparison with Pooled Human Serum. BioMed Res. Int. 2017, 2017, 1976273. [Google Scholar] [CrossRef]
- Hata, D.J.; Hall, L.; Fothergill, A.W.; Larone, D.H.; Wengenack, N.L. Multicenter evaluation of the new VITEK 2 advanced colorimetric yeast identification card. J. Clin. Microbiol. 2007, 45, 1087–1092. [Google Scholar] [CrossRef]
- Pincus, D. Microbial identification using the bioMérieux vitek ® 2 system. In Encyclopedia of Rapid Microbiological Methods; Parenteral Drug Association: Bethesda, MD, USA, 2014; Volume 2. [Google Scholar]
- Rosam, K.; Steixner, S.; Bauer, A.; Lass-Flörl, C. Non-conventional diagnostic methods for invasive fungal infections. Expert Rev. Mol. Diagn. 2025, 25, 313–327. [Google Scholar] [CrossRef]
- Pedersen, J.C. Hemagglutination-inhibition test for avian influenza virus subtype identification and the detection and quantitation of serum antibodies to the avian influenza virus. Methods Mol. Biol. 2008, 436, 53–66. [Google Scholar] [CrossRef] [PubMed]
- Meunier-Carpentier, F.; Armstrong, D. Candida antigenemia, as detected by passive hemagglutination inhibition, in patients with disseminated candidiasis or Candida colonization. J. Clin. Microbiol. 1981, 13, 10–14. [Google Scholar] [CrossRef] [PubMed]
- Laín, A.; Elguezabal, N.; Brena, S.; García-Ruiz, J.C.; Del Palacio, A.; Moragues, M.D.; Pontón, J. Diagnosis of invasive candidiasis by enzyme-linked immunosorbent assay using the N-terminal fragment of Candida albicans hyphal wall protein 1. BMC Microbiol. 2007, 7, 35. [Google Scholar] [CrossRef] [PubMed]
- Hoppes, S.M. Bacterial Diseases of Pet Birds. Available online: https://www.merckvetmanual.com/exotic-and-laboratory-animals/pet-birds/bacterial-diseases-of-pet-birds (accessed on 2 November 2025).
- Shrubsole-Cockwill, A.N.; Millins, C.; Jardine, C.; Kachur, K.; Parker, D.L. Avian pox infection with secondary Candida albicans encephalitis in a juvenile golden eagle (Aquila chrysaetos). J. Avian Med. Surg. 2010, 24, 64–71. [Google Scholar] [CrossRef]
- Freidank, H.; Thiel, L.; Henninger, S. Comparison of immunodiffusion and counterimmunoelectrophoresis for the detection of precipitating antibodies against Candida and Aspergillus antigens. Mycoses 1994, 37, 79–83. [Google Scholar]
- Hornbeck, P. Double-immunodiffusion assay for detecting specific antibodies. Curr. Protoc. Immunol. 2001, 116, 2.3.1–2.3.4. [Google Scholar] [CrossRef]
- Bhuiyan, M.S.A.; Amin, Z.; Bakar, A.; Saallah, S.; Yusuf, N.H.M.; Shaarani, S.M.; Siddiquee, S. Factor Influences for Diagnosis and Vaccination of Avian Infectious Bronchitis Virus (Gammacoronavirus) in Chickens. Vet. Sci. 2021, 8, 47. [Google Scholar] [CrossRef]
- van der Goot, J.A.; Engel, B.; van de Water, S.G.P.; Buist, W.; de Jong, M.C.M.; Koch, G.; van Boven, M.; Stegeman, A. Validation of diagnostic tests for detection of avian influenza in vaccinated chickens using Bayesian analysis. Vaccine 2010, 28, 1771–1777. [Google Scholar] [CrossRef][Green Version]
- Luciano, R.; Cardoso, A.; Stoppa, G.; Iba Kanashiro, A.; Castro, A.; Tessari, E. Comparative Study of Serological Tests for Mycoplasma synoviae Diagnosis in Commercial Poultry Breeders. Vet. Med. Int. 2011, 2011, 304349. [Google Scholar] [CrossRef]
- Kordalewska, M.; Perlin, D.S. Molecular Diagnostics in the Times of Surveillance for Candida auris. J. Fungi 2019, 5, 77. [Google Scholar] [CrossRef]
- White, P.L.; Price, J.S.; Cordey, A.; Backx, M. Molecular Diagnosis of Yeast Infections. Curr. Fungal Infect. Rep. 2021, 15, 67–80. [Google Scholar] [CrossRef]
- Avni, T.; Leibovici, L.; Paul, M. PCR diagnosis of invasive candidiasis: Systematic review and meta-analysis. J. Clin. Microbiol. 2011, 49, 665–670. [Google Scholar] [CrossRef]
- Ahmadi, O.; Sharifi, Y.; Saeed, M.; Reihani, A.; Shamsian, S.A.; Moghaddas, E.; Mirahmadi, H.; Etemadi, S.; Fotouhi-Ardakani, R.; Zarean, M. Optimization of the real-time PCR platform method using high-resolution melting analysis and comparison with sequencing and phylogenetic analysis for developing optimal malaria diagnostic methods. Sci. Rep. 2025, 15, 34360. [Google Scholar] [CrossRef] [PubMed]
- Camp, I.; Spettel, K.; Willinger, B. Molecular Methods for the Diagnosis of Invasive Candidiasis. J. Fungi 2020, 6, 101. [Google Scholar] [CrossRef]
- Pemán, J.; Ruiz-Gaitán, A. Diagnosing invasive fungal infections in the laboratory today: It’s all good news? Rev. Iberoam. Micol. 2025, 42, 1–14. [Google Scholar] [CrossRef] [PubMed]
- Gabaldón, T. Recent trends in molecular diagnostics of yeast infections: From PCR to NGS. FEMS Microbiol. Rev. 2019, 43, 517–547. [Google Scholar] [CrossRef] [PubMed]
- Sardi, J.C.O.; Scorzoni, L.; Bernardi, T.; Fusco-Almeida, A.M.; Mendes Giannini, M.J.S. Candida species: Current epidemiology, pathogenicity, biofilm formation, natural antifungal products and new therapeutic options. J. Med. Microbiol. 2013, 62, 10–24. [Google Scholar] [CrossRef]
- Romeo, O.; Criseo, G. Molecular epidemiology of Candida albicans and its closely related yeasts Candida dubliniensis and Candida africana. J. Clin. Microbiol. 2009, 47, 212–214. [Google Scholar] [CrossRef] [PubMed]
- Mayer, F.L.; Wilson, D.; Hube, B. Candida albicans pathogenicity mechanisms. Virulence 2013, 4, 119–128. [Google Scholar] [CrossRef]
- Wan, F.; Zhang, M.; Guo, J.; Lin, H.; Zhou, X.; Wang, L.; Wu, W. A MALDI-TOF MS-based multiple detection panel of drug resistance-associated multiple single-nucleotide polymorphisms in Candida tropicalis. Microbiol. Spectr. 2024, 13, e00764-24. [Google Scholar] [CrossRef]
- Elbehiry, A.; Abalkhail, A. Spectral Precision: Recent Advances in Matrix-Assisted Laser Desorption/Ionization Time-of-Flight Mass Spectrometry for Pathogen Detection and Resistance Profiling. Microorganisms 2025, 13, 1473. [Google Scholar] [CrossRef] [PubMed]
- Salmanton-García, J.; Hoenigl, M.; Gangneux, J.-P.; Segal, E.; Alastruey-Izquierdo, A.; Arikan-Akdagli, S.; Lagrou, K.; Özenci, V.; Vena, A.; Cornely, O. The current state of laboratory mycology and access to antifungal treatment in Europe: A European Confederation of Medical Mycology survey. Lancet Microbe 2022, 4, e47–e56. [Google Scholar] [CrossRef] [PubMed]
- Fidler, G.; Leiter, E.; Kocsube, S.; Biro, S.; Paholcsek, M. Validation of a simplex PCR assay enabling reliable identification of clinically relevant Candida species. BMC Infect. Dis. 2018, 18, 393. [Google Scholar] [CrossRef]
- van Dijk, M.A.M.; Buil, J.B.; Tehupeiory-Kooreman, M.; Broekhuizen, M.J.; Broens, E.M.; Wagenaar, J.A.; Verweij, P.E. Azole Resistance in Veterinary Clinical Aspergillus fumigatus Isolates in The Netherlands. Mycopathologia 2024, 189, 50. [Google Scholar] [CrossRef]
- Thompson, J.E. Matrix-assisted laser desorption ionization-time-of-flight mass spectrometry in veterinary medicine: Recent advances (2019-present). Vet. World 2022, 15, 2623–2657. [Google Scholar] [CrossRef]
- Pezzotti, G.; Kobara, M.; Asai, T.; Nakaya, T.; Miyamoto, N.; Adachi, T.; Yamamoto, T.; Kanamura, N.; Ohgitani, E.; Marin, E.; et al. Raman Imaging of Pathogenic Candida auris: Visualization of Structural Characteristics and Machine-Learning Identification. Front. Microbiol. 2021, 12, 769597. [Google Scholar] [CrossRef]
- Keighley, C.; Garnham, K.; Harch, S.A.J.; Robertson, M.; Chaw, K.; Teng, J.C.; Chen, S.C. Candida auris: Diagnostic Challenges and Emerging Opportunities for the Clinical Microbiology Laboratory. Curr. Fungal Infect. Rep. 2021, 15, 116–126. [Google Scholar] [CrossRef] [PubMed]
- Berrio, I.; Maldonado, N.; De Bedout, C.; Arango, K.; Cano, L.E.; Valencia, Y.; Jiménez-Ortigosa, C.; Perlin, D.S.; Gómez, B.L.; Robledo, C.; et al. Comparative study of Candida spp. isolates: Identification and echinocandin susceptibility in isolates obtained from blood cultures in 15 hospitals in Medellín, Colombia. J. Glob. Antimicrob. Resist. 2018, 13, 254–260. [Google Scholar] [CrossRef] [PubMed]
- Tarini, N.; Wahid, M.; Ibrahim, F.; Yasmon, A.; Djauzi, S. Development of multiplex-PCR assay for rapid detection of Candida spp. Med. J. Indones 2010, 19, 83–87. [Google Scholar] [CrossRef]
- Liotti, F.M.; Posteraro, B.; Mannu, F.; Carta, F.; Pantaleo, A.; De Angelis, G.; Menchinelli, G.; Spanu, T.; Fiori, P.L.; Turrini, F.; et al. Development of a Multiplex PCR Platform for the Rapid Detection of Bacteria, Antibiotic Resistance, and Candida in Human Blood Samples. Front. Cell. Infect. Microbiol. 2019, 9, 389. [Google Scholar] [CrossRef] [PubMed]
- Jiang, X.; Dong, D.; Bian, L.; Zou, D.; He, X.; Ao, D.; Yang, Z.; Huang, S.; Liu, N.; Liu, W.; et al. Rapid Detection of Candida albicans by Polymerase Spiral Reaction Assay in Clinical Blood Samples. Front. Microbiol. 2016, 7, 916. [Google Scholar] [CrossRef]
- White, T.; Bruns, T.; Lee, S.; Taylor, J.; Innis, M.; Gelfand, D.; Sninsky, J. Amplification and Direct Sequencing of Fungal Ribosomal RNA Genes for Phylogenetics. PCR Protoc. A Guide Methods Appl. 1990, 31, 315–322. [Google Scholar]
- Wang, C.; You, Z.; Fu, J.; Chen, S.; Bai, D.; Zhao, H.; Song, P.; Jia, X.; Yuan, X.; Xu, W.; et al. Application of metagenomic next-generation sequencing in the diagnosis of pulmonary invasive fungal disease. Front. Cell. Infect. Microbiol. 2022, 12, 949505. [Google Scholar] [CrossRef] [PubMed]
- Afonso, C.L.; Afonso, A.M. Next-Generation Sequencing for the Detection of Microbial Agents in Avian Clinical Samples. Vet. Sci. 2023, 10, 690. [Google Scholar] [CrossRef]
- Abrantes, P.; Behardien, K.; Africa, C. Real-time Assessment of Interspecies Candida Biofilm Formation. Open Microbiol. J. 2022, 16. [Google Scholar] [CrossRef]
- Ogundipe, T.T.; Beitia, S.; Obe, T. Applied Research Note: Microbial composition of the biofilm of poultry drinking water system. J. Appl. Poult. Res. 2024, 33, 100403. [Google Scholar] [CrossRef]
- Melo, R.T.; Mendonca, E.P.; Monteiro, G.P.; Rossi, D.A.; Rossi, D.A.; Melo, R.T. Biofilms of Salmonella and Campylobacter in the Poultry Industry. In Poultry Science; Manafi, M., Ed.; IntechOpen: London, UK, 2017. [Google Scholar]
- Gancz, A.Y.; Clubb, S.; Shivaprasad, H.L. Advanced diagnostic approaches and current management of proventricular dilatation disease. Vet. Clin. N. Am. Exot. Anim. Pract. 2010, 13, 471–494. [Google Scholar] [CrossRef] [PubMed]
- Latimer, K.; Rakich, P. Avian Cytology. Vet. Clin. N. Am. Exot. Anim. Pract. 2007, 10, 131–154. [Google Scholar] [CrossRef]
- Oluwagbenga, E.M.; Fraley, G.S. Heat stress and poultry production: A comprehensive review. Poult. Sci. 2023, 102, 103141. [Google Scholar] [CrossRef] [PubMed]
- Mangan, M.; Siwek, M. Strategies to combat heat stress in poultry production—A review. J. Anim. Physiol. Anim. Nutr. 2024, 108, 576–595. [Google Scholar] [CrossRef]
- Avila, L.P.; Sweeney, K.M.; Schaeffer, C.; Holcombe, N.; Selby, C.; Montiel, E.; Wilson, J.L. Broiler breeder feed treatment with a formaldehyde-based sanitizer and its consequences on reproduction, feed and egg contamination, and offspring livability. J. Appl. Poult. Res. 2023, 32, 100330. [Google Scholar] [CrossRef]
- Visvanathan, N.; Lim, J.Y.A.; Chng, H.T.; Xie, S. A Critical Review on the Dosing and Safety of Antifungals Used in Exotic Avian and Reptile Species. J. Fungi 2023, 9, 810. [Google Scholar] [CrossRef]
- Adah, B.; Mailafia, S.; Olabode, H.; Ameh, J.; Ogbole, M.; Odey, E.; Cashmir, I.; Onigbanjo, H.; Onakpa, M.; Godwin, E. Identification and antifungal susceptibility profile of Aspergillus niger isolates from chicken blood in the federal capital territory, Nigeria. Res J. Vet. Pract 2024, 12, 39–51. [Google Scholar] [CrossRef]
- do Amparo Madureira, J.; de Souza Bernardes, M.; Abaas, S.; Santana, S.S.; Borsagli, F.G.M. Phosphate carboxymethyl cellulose nanocomposites with ketoconazole from eggshell waste as a drug delivery platform for odontology application. Int. J. Biol. Macromol. 2025, 330, 148157. [Google Scholar] [CrossRef]
- Pringgodigdoyo, P.T.; Manalu, W.; Andriyanto, A.A.M.; Sutardi, L.N. The Toxicity Assessment of Chicken Liver-Based Drug Filler Supplemented with Itraconazole. World 2024, 14, 584–591. [Google Scholar] [CrossRef]
- Kleinschmidt, L.M.; Hoppes, S.M.; Musser, J.M.; Tizard, I.; Heatley, J.J. Use of Cyclosporine and Itraconazole as Palliative Treatment for Proventricular Dilatation Disease in Psittacine Birds. Vet. Sci. 2025, 12, 459. [Google Scholar] [CrossRef]
- Manual, M.V. Antifungals Used in Pet Birds. Available online: https://www.msdvetmanual.com/multimedia/table/antifungals-used-in-pet-birds (accessed on 27 October 2025).
- Flammer, K.; Papich, M. Pharmacokinetics of fluconazole after oral administration of single and multiple doses in African grey parrots. Am. J. Vet. Res. 2006, 67, 417–422. [Google Scholar] [CrossRef]
- MiDOG. Candidiasis in Birds. Available online: https://www.midogtest.com/blog/candidiasis-in-birds/ (accessed on 2 November 2025).
- Fothergill, A.W. Antifungal susceptibility testing: Clinical laboratory and standards institute (CLSI) methods. In Interactions of Yeasts, Moulds, and Antifungal Agents: How to Detect Resistance; Springer: Berlin/Heidelberg, Germany, 2011; pp. 65–74. [Google Scholar]
- Berg, K.J.; Guzman, D.S.-M.; Paul-Murphy, J.; Hawkins, M.G.; Byrne, B.A. Diagnosis and treatment of Candida glabrata proventriculitis in an eclectus parrot (Eclectus roratus). J. Am. Vet. Med. Assoc. 2022, 260, 442–449. [Google Scholar] [CrossRef]
- Rhimi, W.; Aneke, C.I.; Annoscia, G.; Camarda, A.; Mosca, A.; Cantacessi, C.; Otranto, D.; Cafarchia, C. Virulence and in vitro antifungal susceptibility of Candida albicans and Candida catenulata from laying hens. Int. Microbiol. 2021, 24, 57–63. [Google Scholar] [CrossRef] [PubMed]
- Mgbeahuruike, A.; Aliyoo, K.; Karlsson, M.; Chah, K. Identification, Antifungal Susceptibility and Phylogenetic Comparison of Fungi in Poultry Environment in Nigeria. Int. J. Poult. Sci. 2020, 19. [Google Scholar] [CrossRef]
- Vieira, R.G.; Coutinho, S.D.A. Phenotypical characterization of Candida spp. isolated from crop of parrots (Amazona spp.). Pesqui. Veterinária Bras. 2009, 29, 452–456. [Google Scholar] [CrossRef]
- Domán, M.; Vásárhelyi, B.; Bányai, K.; Tóth, Á.; Forgács, L.; Kardos, G.; Kovács, R.; Majoros, L. Genomic epidemiology of antifungal resistance in human and avian isolates of Candida albicans: A pilot study from the One Health perspective. Front. Vet. Sci. 2024, 11, 1345877. [Google Scholar] [CrossRef]
- Ritchie, B.; Harrison, G.; Harrison, L. Avian Medicine: Principles and Application; Wingers Publishing Incorporated: Lake Worth, FL, USA, 1994; p. 1384. [Google Scholar]
- Hospital, T.L.V. Crop Stasis or ‘Sour Crop’ In Birds. Available online: https://www.lakevet.com.au/article/crop-stasis-or-sour-crop-in-birds/ (accessed on 27 October 2025).
- PoultryDVM. Crop Stasis (Sour Crop). Available online: https://poultrydvm.com/condition/crop-stasis (accessed on 27 October 2025).
- Al-Zubaidy, M.H.; Mohammad, F.K. Metoclopramide-induced central nervous system depression in the chicken. BMC Vet. Res. 2005, 1, 6. [Google Scholar] [CrossRef]
- Cojean, O.; Larrat, S.; Vergneau-Grosset, C. Clinical Management of Avian Renal Disease. Vet. Clin. N. Am. Exot. Anim. Pract. 2020, 23, 75–101. [Google Scholar] [CrossRef] [PubMed]
- Abo-Al-Ela, H.G.; El-Kassas, S.; El-Naggar, K.; Abdo, S.E.; Jahejo, A.R.; Al Wakeel, R.A. Stress and immunity in poultry: Light management and nanotechnology as effective immune enhancers to fight stress. Cell Stress Chaperones 2021, 26, 457–472. [Google Scholar] [CrossRef]
- Greenberg, R.G.; Benjamin, D.K., Jr. Neonatal candidiasis: Diagnosis, prevention, and treatment. J. Infect. 2014, 69, S19–S22. [Google Scholar] [CrossRef] [PubMed]
- Deem, S.L. Fungal diseases of birds of prey. Vet. Clin. N. Am. Exot. Anim. Pract. 2003, 6, 363–376. [Google Scholar] [CrossRef]
- Proença, L.; Mayer, J.; Schnellbacher, R.; Sanchez, S.; Huang, C.-T.; Brown, H.; Jiménez, D.; Stelmach, D.; Divers, S. Antemortem Diagnosis and Successful Treatment of Pulmonary Candidiasis in a Sun Conure (Aratinga solstitialis). J. Avian Med. Surg. 2014, 28, 316–321. [Google Scholar] [CrossRef]
- Melo, A.M.; Stevens, D.A.; Tell, L.A.; Veríssimo, C.; Sabino, R.; Xavier, M.O. Aspergillosis, avian species and the one health perspective: The possible importance of birds in azole resistance. Microorganisms 2020, 8, 2037. [Google Scholar] [CrossRef]
- Antonissen, G.; Martel, A. Antifungal therapy in birds: Old drugs in a new jacket. Vet. Clin. N. Am. Exot. Anim. Pract. 2018, 21, 355–377. [Google Scholar] [CrossRef]
- Glushakova, A.; Kachalkin, A. Wild and partially synanthropic bird yeast diversity, in vitro virulence, and antifungal susceptibility of Candida parapsilosis and Candida tropicalis strains isolated from feces. Int. Microbiol. 2023, 27, 883–897. [Google Scholar] [CrossRef] [PubMed]
- CandidaMcManus, B.A.; Sullivan, D.J.; Moran, G.P.; d’Enfert, C.; Bougnoux, M.E.; Nunn, M.A.; Coleman, D.C. Genetic differences between avian and human isolates of Candida dubliniensis. Emerg. Infect. Dis. 2009, 15, 1467–1470. [Google Scholar] [CrossRef]
- Velayudhan, B.T.; Naikare, H.K. Point-of-care testing in companion and food animal disease diagnostics. Front. Vet. Sci. 2022, 9, 1056440. [Google Scholar] [CrossRef] [PubMed]


















| Bird Species (Scientific Name) | Isolated Candida Species | References |
|---|---|---|
| Struthio camelus (ostrich) | No peer-reviewed Candida isolation located; ostrich fungal disease overviews exist (non-specific), and recent work profiles anaerobic gut fungi (not Candida) | [32,33] |
| Gyps fulvus (griffon vulture) | Candida spp. (oral mycoses; multiple yeast genera isolated from lesions) | [25] |
| Milvus milvus (red kite) | C. lusitaniae (first oral candidiasis report) | [34] |
| Nymphicus hollandicus (cockatiels) | C. albicans, C. tropicalis, C. parapsilosis, C. krusei isolates from crop/cloaca/oral cavity | [35] |
| Streptopelia capicola (ring-necked dove) | C. glabrata (GI disease case) | [23] |
| Branta canadensis (Canada goose) | No species-level Candida isolation specific to Canada goose located; waterfowl studies show Calbicans esophageal mycosis (not species-specific) and older reports of Candida in aquatic birds | [36] |
| Amazona spp. (parrots, various) | C. albicans, C. glabrata, C. tropicalis, C. krusei (from pet parrots; oral/cloacal isolates) | [37] |
| Gallus domesticus (domestic chicken) | C. albicans (oral cavity; confirmed molecularly) | [38] |
| Amazona auropalliata (yellow-naped Amazon) | C. glabrata (GI disease case) | [23] |
| Pionus senilis (white-crowned parrot | C. krusei (GI disease case) | [23] |
| Ara ararauna (blue-and-gold macaw) | C. glabrata (GI disease case) | [23] |
| Falco tinnunculus (common kestrel) | No Candida isolation located; microbiome studies exist (not Candida-focused isolation) | [39] |
| Columba livia (rock pigeon) | Candida spp. including C. guilliermondii (dominant), C. albicans; isolates from crop/cloaca/droppings | [7,40] |
| Reference | Avian Host | Candida spp. | Antifungal | MIC/ Susceptibility | Method |
|---|---|---|---|---|---|
| [228] | Eclectus parrot | C. glabrata | Nystatin | 2 μg/mL (S) | Broth microdilution |
| Fluconazole | 32 μg/mL (SDD) | ||||
| [8] | Rock pigeon | C. parapsilosis | Fluconazole | 0.25–0.5 μg/mL (S) | Broth microdilution (CLSI M27-A3) |
| Itraconazole | ≤0.125 μg/mL (S) | ||||
| Amphotericin B | 0.031–0.5 μg/mL (S) | ||||
| Micafungin | ≤0.03–0.125 μg/mL (S) | ||||
| C. tropicalis | Fluconazole | ≥64 μg/mL (R, 94.4%) | |||
| Itraconazole | ≥64 μg/mL (R, 94.4%) | ||||
| C. krusei | Fluconazole | ≥8–64 μg/mL (R) | |||
| [229] | Laying hens | C. albicans (n = 84) | FLC, ITZ, VOR, POS | High MIC (MDR 26%) | Broth microdilution (CLSI) |
| C. catenulata (n = 17) | ITZ, POS, MCF, ANI | R | |||
| Amphotericin B | S | ||||
| [230] | Poultry environment (Nigeria) | C. parapsilosis | Nystatin | S (19–25 mm) | Disk diffusion |
| Fluconazole | S (19–25 mm) | ||||
| Voriconazole | S (19–25 mm) | ||||
| [37] | Pet parrots | Candida spp. (n = 12) | Ketoconazole | R (25%) | Disk diffusion |
| Fluconazole | R (50%) | ||||
| Miconazole | R (12.5%) | ||||
| Clotrimazole | R (12.5%) | ||||
| [38] | Domestic chicken | C. albicans | AmB, FLC, 5-FC, VOR, CAS, MCF | S (all isolates) | Vitek 2 automated |
| [4] | Multiple species * | C. albicans (n = 28) | Nystatin | S (78.5%) | Disk diffusion (CLSI) |
| Amphotericin B | S (78.5%) | ||||
| Fluconazole | R (78.5%) | ||||
| Ketoconazole | R (75%) | ||||
| Itraconazole | R (53.5%) | ||||
| NACS (n = 21) | Nystatin | S (71.4%) | |||
| Amphotericin B | S (61.9%) | ||||
| Fluconazole | R (52.3%) | ||||
| Itraconazole | R (66.6%) |
Disclaimer/Publisher’s Note: The statements, opinions and data contained in all publications are solely those of the individual author(s) and contributor(s) and not of MDPI and/or the editor(s). MDPI and/or the editor(s) disclaim responsibility for any injury to people or property resulting from any ideas, methods, instructions or products referred to in the content. |
© 2026 by the authors. Licensee MDPI, Basel, Switzerland. This article is an open access article distributed under the terms and conditions of the Creative Commons Attribution (CC BY) license.
Share and Cite
Haroun, M.; Tratrat, C.; Mathew, R.T.; Munir, M.; Sattar, M.N.; Shawky, M.; Kochkar, H.; Aldakhilallah, O.N.; Ghafoor, A.; Turk, K.G.B.; et al. Avian Candidiasis: A Comprehensive Review of Pathogenesis, Diagnosis, and Control. Vet. Sci. 2026, 13, 171. https://doi.org/10.3390/vetsci13020171
Haroun M, Tratrat C, Mathew RT, Munir M, Sattar MN, Shawky M, Kochkar H, Aldakhilallah ON, Ghafoor A, Turk KGB, et al. Avian Candidiasis: A Comprehensive Review of Pathogenesis, Diagnosis, and Control. Veterinary Sciences. 2026; 13(2):171. https://doi.org/10.3390/vetsci13020171
Chicago/Turabian StyleHaroun, Michelyne, Christophe Tratrat, Roshmon Thomas Mathew, Muhammad Munir, Muhammad Naeem Sattar, Mohamed Shawky, Hafedh Kochkar, Ouda Nasser Aldakhilallah, Abdul Ghafoor, Khalid G. Biro Turk, and et al. 2026. "Avian Candidiasis: A Comprehensive Review of Pathogenesis, Diagnosis, and Control" Veterinary Sciences 13, no. 2: 171. https://doi.org/10.3390/vetsci13020171
APA StyleHaroun, M., Tratrat, C., Mathew, R. T., Munir, M., Sattar, M. N., Shawky, M., Kochkar, H., Aldakhilallah, O. N., Ghafoor, A., Turk, K. G. B., Geronikaki, A., & Ghazzawy, H. S. (2026). Avian Candidiasis: A Comprehensive Review of Pathogenesis, Diagnosis, and Control. Veterinary Sciences, 13(2), 171. https://doi.org/10.3390/vetsci13020171

