Pathological and Molecular Characterization of Avipoxvirus Infection in Burhinus oedicnemus in the Canary Islands
Simple Summary
Abstract
1. Introduction
2. Materials and Methods
2.1. Animals and Tissue Sampling
2.2. Gross and Histopathological Examination
2.3. Molecular Analysis
2.4. Detection, Sequencing of PCR Products, and Phylogenetic Analysis
3. Results
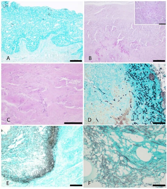
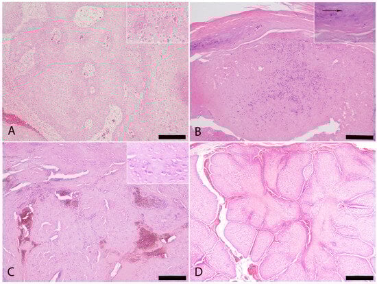
3.1. Gross and Histopathological Findings
3.2. PCR and Sequence Analyses
3.3. Phylogenetic Analysis
4. Discussion
Author Contributions
Funding
Institutional Review Board Statement
Informed Consent Statement
Data Availability Statement
Acknowledgments
Conflicts of Interest
Abbreviations
| ICTV | International Committee on Taxonomy of Viruses |
| WRCT | Wildlife Rehabilitation Center of Tafira (Cabildo of Gran Canaria) |
| AVP | Avipoxvirus |
References
- Smits, J.E.; Tella, J.L.; Carrete, M.; Serrano, D.; López, G. An epizootic of avian pox in endemic short-toed larks (Calandrella rufescens) and Berthelot’s pipits (Anthus berthelotti) in the Canary Islands, Spain. Vet. Pathol. 2005, 42, 59–65. [Google Scholar] [CrossRef] [PubMed]
- McInnes, C.J.; Damon, I.K.; Smith, G.L.; McFadden, G.; Isaacs, S.N.; Roper, R.L.; Evans, D.H.; Damaso, C.R.; Carulei, O.; Wise, L.M.; et al. ICTV Virus Taxonomy Profile: Poxviridae 2023. J. Gen. Virol. 2023, 104, 1–2. [Google Scholar] [CrossRef] [PubMed]
- Jarmin, S.; Manvell, R.; Gough, R.E.; Laidlaw, S.M.; Skinner, M.A. Avipoxvirus phylogenetics: Identification of a PCR length polymorphism that discriminates between the two major clades. J. Gen. Virol. 2006, 87, 2191–2201. [Google Scholar] [CrossRef] [PubMed]
- Boyle, D.B. Genus Avipoxvirus. In Poxviruses; Birkhäuser: Basel, Switzerland, 2007; pp. 217–251. [Google Scholar]
- Williams, R.A.J.; Truchado, D.A.; Benitez, L. A review on the prevalence of poxvirus disease in free-living and captive wild birds. Microbiol. Res. 2021, 12, 403–418. [Google Scholar] [CrossRef]
- Lüschow, D.; Hoffmann, T.; Hafez, H.M. Differentiation of avian poxvirus strains on the basis of nucleotide sequences of 4b gene fragment. Avian Dis. 2004, 48, 453–462. [Google Scholar] [CrossRef]
- Gyuranecz, M.; Foster, J.T.; Dán, Á.; Ip, H.S.; Egstad, K.F.; Parker, P.G.; Higashiguchi, J.M.; Skinner, M.A.; Höfle, U.; Kreizinger, Z.; et al. Worldwide Phylogenetic Relationship of Avian Poxviruses. J. Virol. 2013, 87, 4938–4951. [Google Scholar] [CrossRef]
- van der Meer, C.S.; Paulino, P.G.; Jardim, T.H.A.; Senne, N.A.; Araujo, T.R.; dos Santos Juliano, D.; Massard, C.L.; Peixoto, M.P.; da Costa Angelo, I.; Santos, H.A. Detection and molecular characterization of Avipoxvirus in Culex spp. (Culicidae) captured in domestic areas in Rio de Janeiro, Brazil. Sci. Rep. 2022, 12, 13496. [Google Scholar] [CrossRef]
- Tripathy, D.N.; Reed, W.M. Chapter 10: Pox. In Diseases of Poultry; Wiley: Hoboken, NJ, USA, 2013; pp. 333–349. [Google Scholar]
- Van Riper, C.; Van Riper, S.G.; Hansen, W.R. Epizootiology and effect of avian pox on Hawaiian forest birds. Auk 2002, 119, 929–942. [Google Scholar] [CrossRef]
- Singh, P.; Kim, T.J.; Tripathy, D.N. Identification and characterization of fowlpox virus strains using monoclonal antibodies. J. Vet. Diagn. Investig. 2003, 15, 50–54. [Google Scholar] [CrossRef]
- da Silva, P.S.; Batinga Tde, B.; Sales, T.S.; Herval, E.F.G.; Ramos, I.; Maia, P.C.C.; Fernandes, L.M.B. Fowlpox: Identification and adoption of prophylactic measures in backyard chickens in Bahia, Brazil. Rev. Bras. Cienc. Avic/Braz. J. Poult. Sci. 2009, 11, 115–119. [Google Scholar] [CrossRef]
- Shrubsole-Cockwill, A.N.; Millins, C.; Jardine, C.; Kachur, K.; Parker, D.L. Avian pox infection with secondary Candida albicans encephalitis in a juvenile golden eagle (Aquila chrysaetos). J. Avian Med. Surg. 2010, 24, 64–71. [Google Scholar] [CrossRef] [PubMed]
- Reza, K.; Nasrin, A.; Mahmoud, S. Clinical and pathological findings of concurrent poxvirus lesions and aspergillosis infection in canaries. Asian Pac. J. Trop. Biomed. 2013, 3, 182–185. [Google Scholar] [CrossRef] [PubMed]
- Kleindorfer, S.; Dudaniec, R.Y. Increasing prevalence of avian poxvirus in Darwin’s finches and its effect on male pairing success. J. Avian Biol. 2006, 37, 69–76. [Google Scholar] [CrossRef]
- Silva, R.A.F.; Olinda, R.G.; Pimentel, L.A.; Maia, L.; Frade, M.T.S.; Kommers, G.D.; Galiza, G.J.N.; Dantas, A.F.M. Cutaneous fungal infections secondary to avian pox in Northeast Brazil. Pesqui. Vet. Bras. 2023, 43, 10–13. [Google Scholar] [CrossRef]
- Echenique, J.V.Z.; Bandarra, P.M.; Brauner, R.K.; Soares, M.P.; Coimbra, M.A.A.; Schild, A.L. Infecção por pox vírus e Aspergillus fumigatus em Bubo virginianus (Coruja jacurutu). Pesqui. Vet. Bras. 2016, 36, 630–633. [Google Scholar] [CrossRef]
- Smith, K.F.; Sax, D.F.; Lafferty, K.D. Evidence for the role of infectious disease in species extinction and endangerment. Conserv. Biol. 2006, 20, 1349–1357. [Google Scholar] [CrossRef]
- Wikelski, M.; Foufopoulos, J.; Vargas, H.; Snell, H. Galápagos birds and diseases: Invasive pathogens as threats for island species. Ecol. Soc. 2004, 9, 5. [Google Scholar] [CrossRef]
- Mori, A.; Baldaccini, N.E.; Baratti, M.; Caccamo, C.; Dessi-Fulghueri, F.; Grasso, R.; Pollonara, E.; Rodriguez, F.; Spena, M.T.; Giunchi, D. Preliminary molecular investigation and characterization of subspecies in the Stone Curlew [Burhinus oedicnemus]. In Proceedings of the 8th Conference of the European Ornithologists’ Union, Riga, Latvia, 27–30 August 2011; p. 268. [Google Scholar]
- Antor, R.J.; Margalida, A.; Heredia, R.; Madroño, A.; González, C.; Atienza, J.C. Quebrantahuesos: Gypaetus barbatus. In Libro Rojo de las Aves de España; Dirección General para la Biodiversidad, SEO/BirdLife: Madrid, Spain, 2005; pp. 125–129. [Google Scholar]
- López-Jiménez, N.; García de la Morena, E.; Bota, G.; Mañosa, S.; Morales, M.B.; Traba, J. Sisón Comun, Tetrax tetrax. In Libro Rojo de las Aves de España; Dirección General para la Biodiversidad, SEO/BirdLife: Madrid, Spain, 2021; pp. 521–527. [Google Scholar]
- Lierz, M.; Bergmann, V.; Isa, G.; Czerny, C.P.; Lueschow, D.; Mwanzia, J.; Prusas, C.; Hafez, H.H. Avipoxvirus infection in a collection of captive stone curlews (Burhinus oedicnemus). J. Avian Med. Surg. 2007, 21, 50–55. [Google Scholar] [CrossRef]
- Lecis, R.; Secci, F.; Antuofermo, E.; Nuvoli, S.; Scagliarini, A.; Pittau, M.; Alberti, A. Multiple gene typing and phylogeny of avipoxvirus associated with cutaneous lesions in a stone curlew. Vet. Res. Commun. 2017, 41, 77–83. [Google Scholar] [CrossRef]
- Calabuig, P.; Casal, A.B.; Camacho, M.; Orós, J. Wildlife: Poxvirus infection in stone curlews in the Canary Islands. Vet. Rec. 2011, 168, 168. [Google Scholar] [CrossRef]
- Burton, E.J.; Newnham, R.; Bailey, S.J.; Alexander, L.G. Evaluation of a fast, objective tool for assessing body condition of budgerigars (Melopsittacus undulatus). J. Anim. Physiol. Anim. Nutr. 2014, 98, 223–227. [Google Scholar] [CrossRef]
- Rae, M.A. Practical avian necropsy. Semin. Avian Exot. Pet. Med. 2003, 12, 62–70. [Google Scholar] [CrossRef]
- Source, S.C.; Medicine, A.; By, P.; Veterinarians, A. Clinical Avian Medicine Book Review. J. Avian Med. Surg. 2006, 20, 285–287. [Google Scholar]
- Colom-Rivero, A.; Fernández, A.; Marrero-Ponce, L.; Castro-Alonso, A.; Rivero-Herrera, C.; Caballero-Hernández, L.; Sierra, E. Molecular detection of a novel herpesvirus in the stone-curlew (Burhinus oedicnemus) from the Canary Islands. Avian Pathol. 2025, 54, 613–623. [Google Scholar] [CrossRef] [PubMed]
- Baek, H.E.; Bandivadekar, R.R.; Pandit, P.; Mah, M.; Sehgal, R.N.M.; Tell, L.A. TaqMan quantitative real-time PCR for detecting Avipoxvirus DNA in various sample types from hummingbirds. PLoS ONE 2020, 15, e0230701. [Google Scholar] [CrossRef] [PubMed]
- Lee, L.H.; Lee, K.H. Application of the polymerase chain reaction for the diagnosis of fowl poxvirus infection. J. Virol. Methods 1997, 63, 113–119. [Google Scholar] [CrossRef]
- Kumar, S.; Stecher, G.; Suleski, M.; Sanderford, M.; Sharma, S.; Tamura, K. MEGA12: Molecular Evolutionary Genetic Analysis Version 12 for Adaptive and Green Computing. Mol. Biol. Evol. 2024, 41, msae263. [Google Scholar] [CrossRef]
- Tamura, K.; Nei, M.; Kumar, S. Prospects for inferring very large phylogenies by using the neighbor-joining method. Proc. Natl. Acad. Sci. USA 2004, 101, 11030–11035. [Google Scholar] [CrossRef]
- Pérez-Tris, J.; Williams, R.A.J.; Abel-Fernández, E.; Barreiro, J.; Conesa, J.J.; Figuerola, J.; Martinez-Martínez, M.; Ramírez, A.; Benitez, L. A Multiplex PCR for Detection of Poxvirus and Papillomavirus in Cutaneous Warts from Live Birds and Museum Skins. Avian Dis. Dig. 2011, 55, 545–553. [Google Scholar] [CrossRef]
- Felsenstein, J. Confidence limits on phylogenies: An approach using the bootstrap. Evolution 1985, 39, 783–791. [Google Scholar] [CrossRef]
- Saitou, N.; Nei, M. The neighbor-joining method: A new method for reconstructing phylogenetic trees. Mol. Biol. Evol. 1987, 4, 406–425. [Google Scholar] [CrossRef]
- Gascuel, O. BIONJ: An improved version of the NJ algorithm based on a simple model of sequence data. Mol. Biol. Evol. 1997, 14, 685–695. [Google Scholar] [CrossRef]
- Le Loc’h, G.; Bertagnoli, S.; Ducatez, M.F. Time scale evolution of avipoxviruses. Infect. Genet. Evol. 2015, 35, 75–81. [Google Scholar] [CrossRef]
- Davidson, W.R.; Kellogg, F.E.; Doster, G.L. An epornitic of avian pox in wild bobwhite quail. J. Wildl. Dis. 1980, 16, 293–298. [Google Scholar] [CrossRef]
- Schoemaker, N.J.; Dorrestein, G.M.; Lumeij, J.T. An avipoxvirus infection in a goshawk (Accipiter gentilis). Avian Pathol. 1998, 27, 103–106. [Google Scholar] [CrossRef] [PubMed][Green Version]
- Tell, L.A. Aspergillosis in mammals and birds: Impact on veterinary medicine. Med. Mycol. 2005, 43 (Suppl. 1), 71–73. [Google Scholar] [CrossRef] [PubMed]
- Braga, J.F.V.; Couto, R.M.; Rodrigues, M.C.; Ecco, R. Avipoxvirus detected in tumor-like lesions in a white-faced whistling duck (Dendrocygna viduata). Pesqui. Vet. Bras. 2020, 40, 818–823. [Google Scholar] [CrossRef]
- Pesaro, S.; Biancani, B.; Fabbrizi, G.; Rossi, G. Squamous cell carcinoma with presence of poxvirus-like inclusions in the foot of a pink-backed pelican (Pelecanus rufescens). Avian Pathol. 2009, 38, 229–231. [Google Scholar] [CrossRef]
- Tsai, S.S.; Chang, T.C.; Yang, S.F.; Chi, Y.C.; Cher, R.S.; Chien, M.S.; Itakura, C. Unusual lesions associated with avian poxvirus infection in rosy-faced lovebirds (Agapornis roseicollis). Avian Pathol. 1997, 26, 75–82. [Google Scholar] [CrossRef]
- Van Riper, C., III; Van Riper, S.G.; Goff, M.L.; Laird, M. The Epizootiology and Ecological Significance of Malaria in Hawaiian Land Birds. Ecol. Monogr. 1986, 56, 327. [Google Scholar] [CrossRef]
- Yeo, G.; Wang, Y.; Chong, S.M.; Humaidi, M.; Lim, X.F.; Mailepessov, D.; Chan, S.; How, C.B.; Lin, Y.N.; Huangfu, T.; et al. Characterization of Fowlpox virus in chickens and bird-biting mosquitoes: A molecular approach to investigating Avipoxvirus transmission. J. Gen. Virol. 2019, 100, 838–850. [Google Scholar] [CrossRef]
- Ruiz-Martínez, J.; Ferraguti, M.; Figuerola, J.; Martínez-De La Puente, J.; Williams, R.A.J.; Herrera-Dueñas, A.; Aguirre, J.I.; Soriguer, R.; Escudero, C.; Moens, M.A.J.; et al. Prevalence and genetic diversity of avipoxvirus in house sparrows in Spain. PLoS ONE 2016, 11, e0168690. [Google Scholar] [CrossRef]
- Tompkins, E.M.; Anderson, D.J.; Pabilonia, K.L.; Huyvaert, K.P. Avian pox discovered in the critically endangered waved albatross (Phoebastria irrorata) from the galápagos Islands, Ecuador. J. Wildl. Dis. 2017, 53, 891–895. [Google Scholar] [CrossRef]







| Case Code | ID Ref. | Status | FL | FD | Admission at WRCT | Days at WRCT | Clinical Outcome at WRCT | Sample Origin | |||||
|---|---|---|---|---|---|---|---|---|---|---|---|---|---|
| Dead | Alive | Yes | No | Died | Euthanized | Released | Necropsy | Biopsy | |||||
| 1 | SA518/21 | X | - | L | 06/04/21 | - | X | NA | NA | NA | NA | X | - |
| 2 | 123/23 | - | X | GC | 08/03/23 | X | - | 74 | - | - | X | - | X |
| 3 | 237/23 | - | X | GC | 14/04/23 | X | - | 45 | - | - | X | - | X |
| 4 | FS415/23 | - | X | GC | 04/05/23 | X | - | <1 (few hours) | - | X | - | X | - |
| 5 | FS81/24 | - | X | GC | 29/07/23 | X | - | 11 | X | - | - | X | - |
| 6 | FS499/24 | - | X | GC | 03/09/24 | X | - | 1 | X | - | - | X | - |
| 7 | FS601/24 | - | X | GC | 25/06/24 | X | - | 4 | - | X | - | X | - |
| 8 | 757/24 | - | X | GC | 18/08/24 | X | - | 44 | - | - | X | - | X |
| Total | 8 | 1 | 7 | - | - | 7 | 1 | - | 2 | 2 | 3 | 5 | 3 |
| Case Code | MP | DC | W | BC | AGE | SEX | Cutaneous Lesion Tested | Histopathology | Molecular Testing |
|---|---|---|---|---|---|---|---|---|---|
| 1 | F | 2 | 145.9 | 2 | J | M | NA | Yes | No |
| 2 | NA | NA | 295 | 2 | U | U | Beak Skin 1 Skin 2 | Yes | Yes |
| 3 | NA | NA | 320 | 2 | A | U | Skin 1 Skin 2 Skin 3 | No | Yes |
| 4 | R | 1 | 213.9 | 1 | A | F | Skin | Yes | Yes |
| 5 | F | 3 | 174.5 | 2 | J | F | NA | Yes | No |
| 6 | R | 2 | 275.6 | 1 | A | M | Skin | Yes | Yes |
| 7 | F | 2 | 212.8 | 1 | A | M | Skin | Yes | Yes |
| 8 | NA | NA | 310 | 2 | U | U | Skin | No | Yes |
| Case Code | Gross Findings | Histopathology | ||||||||||||||
|---|---|---|---|---|---|---|---|---|---|---|---|---|---|---|---|---|
| L | NI | S | TS | BB | HP | HQ | BD | II | N | E | U | H | KP | F | B | |
| 1 | T | 2 | Mild | Skin | + | + | - | + | + | + | - | - | - | - | + | - |
| 2 | TM Beak | 2 1 | Mild | Skin | + | + | + | + | + | + | + | + | + | + | + | + |
| Skin | NA | NA | NA | NA | NA | NA | NA | NA | NA | NA | NA | NA | ||||
| 3 | TM | 2 | Mild | Skin | NA | NA | NA | NA | NA | NA | NA | NA | NA | NA | NA | NA |
| 4 | TM, PH | +3 | Severe | Skin | + | + | + | + | + | + | + | + | + | + | + | + |
| 5 | TM, PH | +3 | Severe | Skin | + | + | - | + | + | + | + | + | + | - | - | + |
| 6 | PH | 2 | Moderate | Skin | + | + | + | - | + | + | - | - | - | - | + | - |
| 7 | TM, PH | +3 | Severe | Skin | + | + | - | + | + | + | + | + | + | - | + | + |
| 8 | TM | 2 | Mild | Skin | NA | NA | NA | NA | NA | NA | NA | NA | NA | NA | NA | NA |
| Case Code | Source for DNA Extraction | Sq-RT-PCR (123 bp) | Ct | Conventional PCR (587 bp) | Sq | Sq-RT-PCR Aspergillus fumigatus Results/Ct |
|---|---|---|---|---|---|---|
| 1 | Skin | NA | NA | NA | NA | NA |
| 2 | Beak | - | NA | - | NA | - |
| Skin 1 | + | 30.03 | + | Yes | - | |
| Skin 2 | + | 20.90 | + | Yes | - 30.80 | |
| 3 | Skin 1 | - | NA | - | NA | - |
| Skin 2 | + | 28.25 | + | Yes | + 31.13 | |
| Skin 3 | + | 24.98 | + | Yes | + 31.73 | |
| 4 | Skin | + | 30.32 | + | Yes | + 36.44 |
| 5 | NA | NA | NA | NA | NA | NA |
| 6 | Skin | + | 29.53 | - | NA | + 32.06 |
| 7 | Skin | - | NA | + | Yes | - |
| Pool * | NA | NA | NA | NA | + 33.28 | |
| 8 | Skin | + | 23.48 | + | Yes | - |
Disclaimer/Publisher’s Note: The statements, opinions and data contained in all publications are solely those of the individual author(s) and contributor(s) and not of MDPI and/or the editor(s). MDPI and/or the editor(s) disclaim responsibility for any injury to people or property resulting from any ideas, methods, instructions or products referred to in the content. |
© 2025 by the authors. Licensee MDPI, Basel, Switzerland. This article is an open access article distributed under the terms and conditions of the Creative Commons Attribution (CC BY) license (https://creativecommons.org/licenses/by/4.0/).
Share and Cite
Colom-Rivero, A.; Fernández, A.; Marrero-Ponce, L.; Padrón-Ramírez, D.; Caballero-Hernández, L.; Rivero-Herrera, C.; Suárez-Santana, C.M.; Sierra, E. Pathological and Molecular Characterization of Avipoxvirus Infection in Burhinus oedicnemus in the Canary Islands. Vet. Sci. 2025, 12, 849. https://doi.org/10.3390/vetsci12090849
Colom-Rivero A, Fernández A, Marrero-Ponce L, Padrón-Ramírez D, Caballero-Hernández L, Rivero-Herrera C, Suárez-Santana CM, Sierra E. Pathological and Molecular Characterization of Avipoxvirus Infection in Burhinus oedicnemus in the Canary Islands. Veterinary Sciences. 2025; 12(9):849. https://doi.org/10.3390/vetsci12090849
Chicago/Turabian StyleColom-Rivero, Ana, Antonio Fernández, Lucía Marrero-Ponce, Derke Padrón-Ramírez, Lucía Caballero-Hernández, Candela Rivero-Herrera, Cristian M. Suárez-Santana, and Eva Sierra. 2025. "Pathological and Molecular Characterization of Avipoxvirus Infection in Burhinus oedicnemus in the Canary Islands" Veterinary Sciences 12, no. 9: 849. https://doi.org/10.3390/vetsci12090849
APA StyleColom-Rivero, A., Fernández, A., Marrero-Ponce, L., Padrón-Ramírez, D., Caballero-Hernández, L., Rivero-Herrera, C., Suárez-Santana, C. M., & Sierra, E. (2025). Pathological and Molecular Characterization of Avipoxvirus Infection in Burhinus oedicnemus in the Canary Islands. Veterinary Sciences, 12(9), 849. https://doi.org/10.3390/vetsci12090849

