Juvenile Canine Leishmaniosis: A Systematic Literature Review and an Atypical Clinical Case
Simple Summary
Abstract
1. Introduction
2. Materials and Methods
2.1. Systematic Literature Review: Search Strategy
2.2. Systematic Literature Review: Inclusion and Exclusion Criteria
2.3. Systematic Literature Review: Selection Process
2.4. Systematic Literature Review: Data Extraction
2.5. Systematic Literature Review: Risk-of-Bias Assessment
3. Results
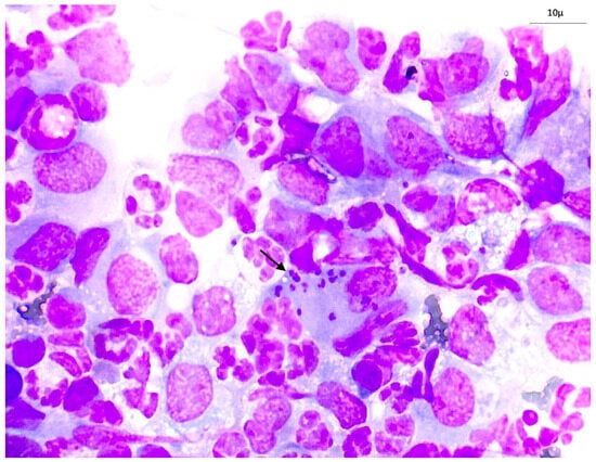
3.1. Case Presentation
3.2. Literature Search Results
4. Discussion
5. Conclusions
Author Contributions
Funding
Institutional Review Board Statement
Informed Consent Statement
Data Availability Statement
Conflicts of Interest
References
- Baneth, G.; Koutinas, A.F.; Solano-Gallego, L.; Bourdeau, P.; Ferrer, L. Canine leishmaniosis–new concepts and insights on an expanding zoonosis: Part one. Trends Parasitol. 2008, 24, 324–330. [Google Scholar] [CrossRef]
- Silveira, F.T.; Sousa Junior, E.C.; Silvestre, R.V.D.; Vasconcelos dos Santos, T.; Sosa-Ochoa, W.; Valeriano, C.Z.; Ramos, P.K.S.; Casseb, S.M.M.; Lima, L.V.d.R.; Campos, M.B.; et al. Comparative genomic analyses of New and Old World Viscerotropic Leishmanine Parasites: Further Insights into the Origins of Visceral Leishmaniasis Agents. Microorganisms 2023, 11, 25. [Google Scholar] [CrossRef] [PubMed]
- Zini, E.; Muscardin, L.; D’Anna, N.; Fondati, A.; Gradoni, L.; Lubas, G.; Paltrinieri, S.; Roura, X.; Zatelli, A.; Maroli, M. Preventive measures of canine leishmaniosis in Italy: Attitudes of veterinarians based on a questionnaire. Prev. Vet. Med. 2020, 183, 105148. [Google Scholar] [CrossRef] [PubMed]
- Sales, K.G.d.S.; de Oliveira Miranda, D.E.; Costa, P.L.; da Silva, F.J.; Figueredo, L.A.; Brandão-Filho, S.P.; Dantas-Torres, F. Home sweet home: Sand flies find a refuge in remote indigenous villages in north-eastern Brazil, where leishmaniasis is endemic. Parasites Vectors 2019, 12, 118. [Google Scholar] [CrossRef] [PubMed]
- Maia, C.; Cardoso, L. Spread of Leishmania infantum in Europe with dog travelling. Vet. Parasitol. 2015, 213, 2–11. [Google Scholar] [CrossRef]
- Italian Ministry of Health, 2021 Leishmania. Available online: https://www.salute.gov.it/portale/sanitaAnimale/dettaglioContenutiSanitaAnimale.jsp?id=220&lingua=italiano&tab=2 (accessed on 28 September 2023).
- Mendoza-Roldan, J.; Benelli, G.; Panarese, R.; Iatta, R.; Furlanello, T.; Beugnet, F.; Zatelli, A.; Otranto, D. Leishmania infantum and Dirofilaria immitis infections in Italy, 2009–2019: Changing distribution patterns. Parasit Vectors 2020, 13, 193. [Google Scholar] [CrossRef]
- Boggiatto, P.M.; Gibson-Corley, K.N.; Metz, K.; Gallup, J.M.; Hostetter, J.M.; Mullin, K.; Petersen, C.A. Transplacental transmission of Leishmania infantum as a means for continued disease incidence in North America. PLoS Neglected Trop. Dis. 2011, 5, e1019. [Google Scholar] [CrossRef]
- Naucke, T.J.; Lorentz, S. First report of venereal and vertical transmission of canine leishmaniosis from naturally infected dogs in Germany. Parasites Vectors 2012, 5, 67. [Google Scholar] [CrossRef]
- Rosypal, A.C.; Lindsay, D.S. Non-sand fly transmission of a North American isolate of Leishmania Infantum in experimentally infected BALB/C MICE. J. Parasitol. 2005, 91, 1113–1115. [Google Scholar] [CrossRef]
- Pagliano, P.; Carannante, N.; Rossi, M.; Gramiccia, M.; Gradoni, L.; Faella, F.S.; Gaeta, G.B. Visceral leishmaniasis in pregnancy: A case series and a systematic review of the literature. J. Antimicrob. Chemother. 2005, 55, 229–233. [Google Scholar] [CrossRef]
- Meinecke, C.K.; Schottelius, J.; Oskam, L.; Fleischer, B. Congenital transmission of visceral leishmaniasis (Kala Azar) from an asymptomatic mother to her child. Pediatrics 1999, 104, e65. [Google Scholar] [CrossRef] [PubMed]
- Riera, C.; Valladares, J.E. Viable Leishmania infantum in urine and semen in experimentally infected dogs. Parasitol. Today 1996, 12, 412. [Google Scholar] [CrossRef] [PubMed]
- Rosypal, A.C.; Troy, G.C.; Zajac, A.M.; Frank, G.; Lindsay, D.S. Transplacental transmission of a North American isolate of Leishmania infantum in an experimentally infected Beagle. J. Parasitol. 2005, 91, 970–972. [Google Scholar] [CrossRef] [PubMed]
- Silva, F.L.; Oliveira, R.G.; Silva, T.M.A.; Xavier, M.N.; Nascimento, E.F.; Santos, R.L. Venereal transmission of canine visceral leishmaniasis. Vet. Parasitol. 2009, 160, 55–59. [Google Scholar] [CrossRef]
- Gibson-Corley, K.N.; Hostetter, J.M.; Hostetter, S.J.; Mullin, K.; Ramer-Tait, A.E.; Boggiatto, P.M.; Petersen, C.A. Disseminated Leishmania infantum infection in two sibling foxhounds due to possible vertical transmission. Can. Vet. J. 2008, 49, 1005–1008. [Google Scholar]
- Freeman, K.S.; Miller, M.D.; Breitschwerdt, E.B.; Lappin, M.R. Leishmaniasis in a dog native to Colorado. J. Am. Vet. Med. Assoc. 2010, 237, 1288–1291. Available online: https://avmajournals.avma.org/view/journals/javma/237/11/javma.237.11.1288.xml (accessed on 6 March 2025). [CrossRef]
- Masucci, M.; De Majo, M.; Contarino, R.B.; Borruto, G.; Vitale, F.; Pennisi, M.G. Canine leishmaniasis in the newborn puppy. Vet. Res. Commun. 2003, 27 (Suppl. S1), 771–774. [Google Scholar] [CrossRef]
- Pangrazio, K.K.; Costa, E.A.; Amarilla, S.P.; Cino, A.G.; Silva, T.M.A.; Paixão, T.A.; Costa, L.F.; Dengues, E.G.; Diaz, A.A.R.; Santos, R.L. Tissue distribution of Leishmania chagasi and lesions in transplacentally infected fetuses from symptomatic and asymptomatic naturally infected bitches. Vet. Parasitol. 2009, 165, 327–331. [Google Scholar] [CrossRef]
- Hosein, S.; Blake, D.P.; Solano-Gallego, L. Insights on adaptive and innate immunity in canine leishmaniosis. Parasitology 2017, 144, 95–115. [Google Scholar] [CrossRef]
- Solano-Gallego, L.; Miró, G.; Koutinas, A.; Cardoso, L.; Pennisi, M.G.; Ferrer, L.; Bourdeau, P.; Oliva, G.; Baneth, G. LeishVet guidelines for the practical management of canine leishmaniosis. Parasites Vectors 2011, 4, 86. [Google Scholar] [CrossRef]
- Paltrinieri, S.; Solano-Gallego, L.; Fondati, A.; Lubas, G.; Gradoni, L.; Castagnaro, M.; Crotti, A.; Maroli, M.; Oliva, G.; Roura, X.; et al. Guidelines for diagnosis and clinical classification of leishmaniasis in dogs. J. Am. Vet. Med. Assoc. 2010, 236, 1184–1191. Available online: https://avmajournals.avma.org/view/journals/javma/236/11/javma.236.11.1184.xml (accessed on 9 April 2025). [CrossRef]
- Solano-Gallego, L.; Koutinas, A.; Miró, G.; Cardoso, L.; Pennisi, M.G.; Ferrer, L.; Bourdeau, P.; Oliva, G.; Baneth, G. Directions for the diagnosis, clinical staging, treatment and prevention of canine leishmaniosis. Vet. Parasitol. 2009, 165, 1–18. [Google Scholar] [CrossRef] [PubMed]
- Paltrinieri, S.; Gradoni, L.; Roura, X.; Zatelli, A.; Zini, E. Laboratory tests for diagnosing and monitoring canine leishmaniasis. Vet. Clin. Pathol. 2016, 45, 552–578. [Google Scholar] [CrossRef] [PubMed]
- Day, M.J. Immune system development in the dog and cat. J. Comp. Pathol. 2007, 137 (Suppl. S1), S10–S15. [Google Scholar] [CrossRef]
- Creevy, K.E.; Grady, J.; Little, S.E.; Moore, G.E.; Strickler, B.G.; Thompson, S.; Webb, J.A. 2019 AAHA Canine Life Stage Guidelines. J. Am. Anim. Hosp. Assoc. 2019, 55, 267–290. [Google Scholar] [CrossRef]
- Page, M.J.; McKenzie, J.E.; Bossuyt, P.M.; Boutron, I.; Hoffmann, T.C.; Mulrow, C.D.; Shamseer, L.; Tetzlaff, J.M.; Akl, E.A.; Brennan, S.E.; et al. The PRISMA 2020 statement: An updated guideline for reporting systematic reviews. BMJ 2021, 372, n71. [Google Scholar] [CrossRef] [PubMed]
- Munn, Z.; Barker, T.H.; Moola, S.; Tufanaru, C.; Stern, C.; McArthur, A.; Stephenson, M.; Aromataris, E. Methodological quality of case series studies: An introduction to the JBI critical appraisal tool. JBI Evid. Synth. 2020, 18, 2127–2133. [Google Scholar] [CrossRef]
- WSAVA Muscle Condition Score 2013. Available online: https://wsava.org/wp-content/uploads/2020/01/Muscle-Condition-Score-Chart-for-Dogs.pdf (accessed on 18 June 2025).
- WSAVA Body Condition Score 2013. Available online: https://wsava.org/wp-content/uploads/2020/01/Body-Condition-Score-Dog.pdf (accessed on 18 June 2025).
- Naucke, T.J.; Lorentz, S. Non-sandfly transmission of canine leishmaniasis. Tierarztl. Umsch. 2013, 68, 121–125. [Google Scholar]
- Lombardo, G.; Pennisi, M.G.; Lupo, T.; Chicharro, C.; Solano-Gallego, L. Papular dermatitis due to Leishmania infantum infection in seventeen dogs: Diagnostic features, extent of the infection and treatment outcome. Parasites Vectors 2014, 7, 120. [Google Scholar] [CrossRef]
- Salant, H.; Nachum-Biala, Y.; Feinmesser, B.; Perelmutter, M.; Baneth, G. Early onset of clinical leishmaniosis in a litter of pups with evidence of in utero transmission. Parasites Vectors 2021, 14, 326. [Google Scholar] [CrossRef]
- Oliva, G.; Scalone, A.; Foglia Manzillo, V.; Gramiccia, M.; Pagano, A.; Di Muccio, T.; Gradoni, L. Incidence and time course of Leishmania infantum infections examined by parasitological, serologic, and Nested-PCR techniques in a cohort of naïve dogs exposed to three consecutive transmission seasons. J. Clin. Microbiol. 2006, 44, 1318–1322. [Google Scholar] [CrossRef] [PubMed]
- Miranda, S.; Roura, X.; Picado, A.; Ferrer, L.; Ramis, A. Characterization of sex, age, and breed for a population of canine leishmaniosis diseased dogs. Res. Vet. Sci. 2008, 85, 35–38. [Google Scholar] [CrossRef]
- Manzillo, V.F.; Muccio, T.D.; Cappiello, S.; Scalone, A.; Paparcone, R.; Fiorentino, E.; Gizzarelli, M.; Gramiccia, M.; Gradoni, L.; Oliva, G. Prospective study on the incidence and progression of clinical signs in naïve dogs naturally infected by Leishmania infantum. PLoS Neglected Trop. Dis. 2013, 7, e2225. [Google Scholar]
- Sanz, C.R.; Sarquis, J.; Daza, M.Á.; Miró, G. Exploring the impact of epidemiological and clinical factors on the progression of canine leishmaniosis by statistical and whole genome analyses: From breed predisposition to comorbidities. Int. J. Parasitol. 2024, 54, 401–414. [Google Scholar] [CrossRef] [PubMed]
- Santos, M.; Marcos, R.; Assunção, M.; Matos, A.J.F. Polyarthritis associated with visceral leishmaniasis in a juvenile dog. Vet. Parasitol. 2006, 141, 340–344. [Google Scholar] [CrossRef]
- Edo, M.; Marín-García, P.J.; Llobat, L. Is the prevalence of Leishmania infantum linked to breeds in dogs? Characterization of seropositive dogs in Ibiza. Animals 2021, 11, 2579. [Google Scholar] [CrossRef]
- Ordeix, L. The Spectrum of Cutaneous Manifestation in Canine Leishmaniosis: Insights into Diagnosis and Immune Responses. 2018. Available online: https://www.tdx.cat/bitstream/handle/10803/665463/loie1de1.pdf?sequence=1&isAllowed=y (accessed on 8 May 2025).
- Aslan, H.; Oliveira, F.; Meneses, C.; Castrovinci, P.; Gomes, R.; Teixeira, C.; Derenge, C.A.; Orandle, M.; Gradoni, L.; Oliva, G.; et al. New insights into the transmissibility of Leishmania infantum from dogs to sand flies: Experimental vector-transmission reveals persistent parasite depots at bite sites. J. Infect. Dis. 2016, 213, 1752–1761. [Google Scholar] [CrossRef]
- Bottero, E.; Poggi, M.; Viglione, M. Lesioni Papulari Indotte da Leishmania spp. in 8 Cani Giovani. 2006. Available online: https://www.researchgate.net/profile/M-Poggi/publication/284148403_Lesioni_papulari_indotte_da_Leishmania_spp_in_8_cani_giovani/links/5dc49044299bf1a47b1f80de/Lesioni-papulari-indotte-da-Leishmania-spp-in-8-cani-giovani.pdf (accessed on 8 May 2025).
- Ordeix, L.; Solano-Gallego, L.; Fondevila, D.; Ferrer, L.; Fondati, A. Papular dermatitis due to Leishmania spp. infection in dogs with parasite-specific cellular immune responses. Vet. Dermatol. 2005, 16, 187–191. [Google Scholar] [CrossRef]
- Decaro, N.; Buonavoglia, C. Canine parvovirus—A review of epidemiological and diagnostic aspects, with emphasis on type 2c. Vet. Microbiol. 2012, 155, 1–12. [Google Scholar] [CrossRef]
- Belloli, C.; Ceci, L.; Carli, S.; Tassi, P.; Montesissa, C.; De Natale, G.; Marcotrigiano, G.; Ormas, P. Disposition of antimony and aminosidine in dogs after administration separately and together: Implications for therapy of leishmaniasis. Res. Vet. Sci. 1995, 58, 123–127. [Google Scholar] [CrossRef]
- Spada, E.; Proverbio, D.; Groppetti, D.; Perego, R.; Grieco, V.; Ferro, E. First report of the use of meglumine antimoniate for treatment of canine leishmaniasis in a pregnant dog. J. Am. Anim. Hosp. Assoc. 2011, 47, 67–71. [Google Scholar] [CrossRef] [PubMed]
- Oliva, G.; Roura, X.; Crotti, A.; Maroli, M.; Castagnaro, M.; Gradoni, L.; Lubas, G.; Paltrinieri, S.; Zatelli, A.; Zini, E. Guidelines for treatment of leishmaniasis in dogs. J. Am. Vet. Med. Assoc. 2010, 236, 1192–1198. Available online: https://avmajournals.avma.org/view/journals/javma/236/11/javma.236.11.1192.xml (accessed on 10 April 2025).
- Denerolle, P.; Bourdoiseau, G. Combination allopurinol and antimony treatment versus antimony alone and allopurinol alone in the treatment of canine leishmaniasis (96 Cases). J. Vet. Intern. Med. 1999, 13, 413–415. [Google Scholar] [CrossRef] [PubMed]
- Baneth, G.; Shaw, S.E. Chemotherapy of canine leishmaniosis. Vet. Parasitol. 2002, 106, 315–324. [Google Scholar] [CrossRef] [PubMed]




| Author/Year | Puppy #/ Gender (M/F)/ Age (Months) | Clinical Signs | Serological Tests | PCR Positive Results (Tissue) | Cytology Positive Results (Tissue) | Laboratory Abnormalities | |
|---|---|---|---|---|---|---|---|
| IFAT (Pos/Neg) | ELISA (Pos/Neg) | ||||||
| Masucci et al., 2003 [18] | #1/NA/17 #,* | LAP | NA | NA | PB, LN | LN | NA |
| #2/NA/17 #,* | LAP | NA | NA | PB, LN | LN | NA | |
| Lombardo et al., 2014 [32] | #1/M/6 | Nose papules | Neg | NA | NA | SL | NA |
| #2/M/6 | Abdomen papules | Neg | NA | SL | SL | NA | |
| #3/M/8 | Inner surface of the pinna papules | Pos 1:80 | NA | CS, SL | NA | ||
| #4/M/8 | Inner surface of the pinna papules | Neg | NA | CS, SL | NA | ||
| #5/M/3.5 | Eyelid and abdomen papules | Neg | NA | SL | NA | ||
| #6/F/4 | Abdomen papules; popliteal LAP | Neg | NA | CS, OS | SL | NA | |
| #7/M/4 | Abdomen papules | Neg | NA | CS, SL | NA | ||
| #8/F/6 | Inner surface of the pinna and nose papules | Neg | NA | SL | SL | NA | |
| #9/F/7 | Abdomen papules | Pos 1:320 | NA | SL | SL | NA | |
| #10/M/7 | Abdomen papules | Pos 1:320 | NA | SL | SL | NA | |
| Salant et al., 2021 [33] | #1/F/2 | Nasal, truncal and pinnal crusty ED; peripheral LAP; KCS; fever; right hind limb lameness | NA | Pos | NA | NA | Normochromic normocytic anemia; leukocytosis; hyperproteinemia; hypergammaglobulinemia; increased liver enzymes |
| #2/F/2.5 | Nasal alopecia; mild periocular ED | NA | Pos | LN, PB, CS | NA | No abnormalities | |
| #3/M/2.5 | Pinnal and periocular ED | NA | Pos | PB, CS | NA | No abnormalities | |
| #4/F/2.5 | Localized alopecia of nasal planum | NA | Neg | CS | NA | No abnormalities | |
| #5/M/2.5 | Localized nasal ulcer; diarrhea and vomiting; conjunctivitis | NA | Pos | LN, CS | NA | Hypergammaglobulinemia | |
| #6/M/3.5 | Pinnal alopecia | NA | Pos | LN, PB, CS | NA | Hyperproteinemia; hypergammaglobulinemia | |
| #7/M/6 | Cutaneous nasal planum ulcer | NA | Neg | Skin | NA | No abnormalities | |
| Case report | Puppy/F/4.5 | Generalized LAP; papulo-nodular SL; anorexia | Pos 1:640 | Pos | LN, PB, SL | LN, PB, SL | Mild normocytic normochromic anemia |
Disclaimer/Publisher’s Note: The statements, opinions and data contained in all publications are solely those of the individual author(s) and contributor(s) and not of MDPI and/or the editor(s). MDPI and/or the editor(s) disclaim responsibility for any injury to people or property resulting from any ideas, methods, instructions or products referred to in the content. |
© 2025 by the authors. Licensee MDPI, Basel, Switzerland. This article is an open access article distributed under the terms and conditions of the Creative Commons Attribution (CC BY) license (https://creativecommons.org/licenses/by/4.0/).
Share and Cite
Dizonno, R.; Gusatoaia, O.; Uva, A.; Gernone, F.; Lia, R.P.; Zatelli, A.; Cavalera, M.A. Juvenile Canine Leishmaniosis: A Systematic Literature Review and an Atypical Clinical Case. Vet. Sci. 2025, 12, 653. https://doi.org/10.3390/vetsci12070653
Dizonno R, Gusatoaia O, Uva A, Gernone F, Lia RP, Zatelli A, Cavalera MA. Juvenile Canine Leishmaniosis: A Systematic Literature Review and an Atypical Clinical Case. Veterinary Sciences. 2025; 12(7):653. https://doi.org/10.3390/vetsci12070653
Chicago/Turabian StyleDizonno, Rosanna, Oana Gusatoaia, Annamaria Uva, Floriana Gernone, Riccardo Paolo Lia, Andrea Zatelli, and Maria Alfonsa Cavalera. 2025. "Juvenile Canine Leishmaniosis: A Systematic Literature Review and an Atypical Clinical Case" Veterinary Sciences 12, no. 7: 653. https://doi.org/10.3390/vetsci12070653
APA StyleDizonno, R., Gusatoaia, O., Uva, A., Gernone, F., Lia, R. P., Zatelli, A., & Cavalera, M. A. (2025). Juvenile Canine Leishmaniosis: A Systematic Literature Review and an Atypical Clinical Case. Veterinary Sciences, 12(7), 653. https://doi.org/10.3390/vetsci12070653

