Reighardia sternae Infection and Associated Lesions in a Yellow-Legged Gull (Larus michahellis) in Italy
Simple Summary
Abstract
1. Introduction
2. Materials and Methods
2.1. Case Description and Gross Lesions
2.2. Morphological Identification of Parasites
2.3. Molecular Analysis
2.4. Histopathological Analysis
3. Results
3.1. Morphological Identification of Parasites
3.2. Molecular Identification
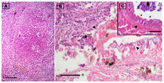
3.3. Histopathological Findings
4. Discussion
5. Conclusions
Author Contributions
Funding
Institutional Review Board Statement
Informed Consent Statement
Data Availability Statement
Conflicts of Interest
References
- Poore, G.C. The nomenclature of the recent Pentastomida (Crustacea), with a list of species and available names. Syst. Parasitol. 2012, 82, 211–240. [Google Scholar] [CrossRef] [PubMed]
- Literák, I.; Casero, M.; Koubková, B.; Těšínský, M.; Heneberg, P. Morphological and Molecular Assessment of Pentastomes from Gulls in Portugal. J. Parasitol. 2017, 103, 588–592. [Google Scholar] [CrossRef]
- Naupay, A.I.; Cribillero, N.G.; Lopez-Urbina, M.T.; Gonzalez, A.E.; Gomez-Puerta, L.A. Finding of pentastomes of genus Reighardia (Pentastomida) in the Belcher’s gull (Larus belcheri). Parasitol. Int. 2016, 65, 288–290. [Google Scholar] [CrossRef]
- Hajipour, N.; Ghorani, M.; Ketzis, J. Phylogenetic, molecular, and microscopic investigation of Linguatula serrata infection in stray and road-killed dogs in Northwest Iran. BMC Vet. Res. 2025, 21, 141. [Google Scholar] [CrossRef] [PubMed]
- Barton, D.P.; Shamsi, S. Diagnosis of Pentastome Infections and the Need for Increased Awareness Among Medical Practitioners and Diagnosticians in the Developed World. Curr. Clin. Microbiol. Rep. 2024, 11, 79–87. [Google Scholar] [CrossRef]
- Riley, J. The biology of pentastomids. Adv. Parasitol. 1986, 25, 45–128. [Google Scholar]
- Christoffersen, M.L.; De Assis, J.E. A systematic monograph of the recent Pentastomida, with a compilation of their hosts. Zool. Mededel. 2013, 87, 1–206. [Google Scholar]
- Martínez, J.; Criado-Fornelio, A.; Lanzarot, P.; Fernández-García, M.; Rodríguez-Caabeiro, F.; Merino, S. A new pentastomid from the black vulture. J. Parasitol. 2004, 90, 1103–1105. [Google Scholar] [CrossRef] [PubMed]
- Riley, J.; Oaks, J.L.; Gilbert, M. Raillietiella trachea n. sp., a pentastomid from the trachea of an oriental white-backed vulture Gyps bengalensis taken in Pakistan, with speculation about its life-cycle. Syst. Parasitol. 2003, 56, 155–161. [Google Scholar] [CrossRef]
- Riley, J. The structure of the buccal cavity and pharynx in relation to the method of feeding of Reighardia sternae Diesing 1864 (Pentastomida). Int. J. Parasitol. 1973, 3, 146–152. [Google Scholar] [CrossRef]
- Banaja, A.A.; James, J.L.; Riley, J. An experimental investigation of a direct lifecycle in Reighardia sternae (Diesing, 1864), a pentastomid parasite of the herring gull (Larus argentatus). Parasitology 1975, 71, 493–503. [Google Scholar] [CrossRef] [PubMed]
- Banaja, A.A.; James, J.L.; Riley, J. Some observations on egg production and autoreinfection of Reighardia sternae (Diesing, 1864), a pentastomid parasite of the herring gull. Parasitology 1976, 72, 81–91. [Google Scholar] [CrossRef]
- Wernery, U.; Zwart, P.; Schuster, R.; Krone, O.; Peirce, M.A.; Coutteel, P.; Wencel, P. Chapter 14—Infectious Diseases. In Avian Medicine, 3rd ed.; Samour, J., Ed.; Elsevier: St. Louis, MO, USA, 2016; pp. 434–521. ISBN 978-0-7234-3832-8. Available online: https://www.sciencedirect.com/science/article/pii/B9780723438328000146 (accessed on 24 November 2024).
- Riley, J. Some observations on the life-cycle of Reighardia sternae diesing 1864 (pentastomida). Z. Parasitenk. 1972, 40, 49–59. [Google Scholar] [CrossRef] [PubMed]
- Bockeler, W. Der Entwicklungszyklus von Reighardia sternae (Pentastomida) nach Untersuchungen an natürlich und experimental infestierten Möwen. Zool. Anz. 1984, 213, 374–394. [Google Scholar]
- Vanstreels, R.E.T.; Palma, R.L.; Mironov, S.V. Arthropod parasites of Antarctic and Subantarctic birds and pinnipeds: A review of host-parasite associations. Int. J. Parasitol. Parasites Wildl. 2020, 12, 275–290. [Google Scholar] [CrossRef]
- Riley, J.; James, J.L.; Banaja, A.A. The possible role of the frontal and sub-parietal gland systems of the pentastomid Reighardia sternae (Diesing, 1864) in the evasion of the host immune response. Parasitology 1979, 78, 53–66. [Google Scholar] [CrossRef] [PubMed]
- Brosens, L.; Jauniaux, T.; Siebert, U.; Benke, H.; Coignoul, F. Observations on the helminths of harbour porpoises (Phocoena phocoena) and common guillemots (Uria aalge) from the Belgian and German coasts. Vet Rec. 1996, 139, 254–257. [Google Scholar] [CrossRef]
- Jansson, D.S.; Bröjer, C.; Neimanis, A.; Mörner, T.; Murphy, C.L.; Otman, F.; Westermark, P. Post mortem findings and their relation to AA amyloidosis in free-ranging Herring gulls (Larus argentatus). PLoS ONE 2018, 13, e0193265. [Google Scholar] [CrossRef]
- Kanarek, G.; Rolbiecki, L.; Misztal, M. Reighardia sternae (Diesing, 1864) a pentastomid (Pentastomida) species new for the fauna of Poland. Fragm. Faun. 2005, 48, 101–106. [Google Scholar] [CrossRef]
- Brookins, M.D.; Wellehan, J.F.; Roberts, J.F.; Allison, K.; Curran, S.S.; Childress, A.L.; Greiner, E.C. Massive visceral pentastomiasis caused by Porocephalus crotali in a dog. Vet Pathol. 2009, 46, 460–463. [Google Scholar] [CrossRef]
- Riley, J. A redescription of Reighardia sternae Diesing 1864 (Pentastomida: Cephalobaenida) with some observations on the glandular systems of pentastomids. Z. Für Morphol. Tiere 1973, 76, 243–259. [Google Scholar] [CrossRef]
- Ooi, H.K.; Ohbayashi, M. Reighardia sternae, a pentastomid froma slaty-backed gull in Hokkaido, Japan. Jpn. J. Vet. Res. 1982, 30, 112–114. [Google Scholar]
- Pence, D.B. Reighardia sternae (Cephalobaenida: Reighardiidae), a pentastome from gulls and terns in Lousiana. Proc. Helminthol. Soc. Wash. 1973, 40, 164–165. [Google Scholar]
- Bakke, T.A. Reighardia sternae (Diesing, 1864), Ward, 1899 (Pentastomida: Cephalobaenida) from the common gull (Larus canus L.) in a Norwegian locality. Norw. J. Zool. 1972, 20, 273–277. [Google Scholar]
- Hoberg, E.P. Reighardia sternae (Diesing, 1864) (Pentastomida) from seabirds in Antarctica. Can. J. Zool. 1987, 65, 1289–1291. [Google Scholar] [CrossRef]
- Rego, A.A. Sinopse dos pentastomídeos da região neotropical. Garcia Orta Ser. Zool. 1984, 11, 45–56. [Google Scholar]
- Alonso, H.; Almeida, A.; Granadeiro, J.P.; Catry, P. Temporal and age-related dietary variations in a large population of yellow-legged gulls Larus michahellis: Implications for management and conservation. Eur. J. Wildl. Res. 2015, 61, 819–829. [Google Scholar] [CrossRef]
- Franceschi, A. Distribution and consistency of Yellow-legged Gull, Larus michahellis, along the coastal shore in continental Tuscany. Riv. Ital. Ornitol. 2013, 82, 223–226. [Google Scholar] [CrossRef][Green Version]
- Pemberton, R.T. Helminth parasites of three species of British gulls, Larus argentatus Pont., L. fuscus L. and L. ridibundus L. J. Helminthol. 1963, 37, 57–88. [Google Scholar] [CrossRef]
- Creutz, G.V.; Gottshalck, C. Endoparasitenbefall bei Lachmöwen in Abhängigkeit vom Alter. Angew. Parasitol. 1969, 10, 80–91. [Google Scholar]
- Böckeler, W.; Vauk-Hentzelt, E. Die Mantelmöve (Larus marinus) als neuer Wirt des Luftsackpiraten Reighardia sternae (Pentastomida). Zool. Anz. 1979, 203, 95–98. [Google Scholar]
- Barus, V.; Sitko, J.; Tenora, F. Nematoda and Pentastomida parasitizing gulls (Aves: Laridae) in Bohemia and Slovakia. Acta Univ. Agric. Fac. Agron. 1978, 26, 169–182. [Google Scholar]
- Kelehear, C.; Spratt, D.M.; O’Meally, D.; Shine, R. Pentastomids of wild snakes in the Australian tropics. Int. J. Parasitol. Parasites Wildl. 2013, 3, 20–31. [Google Scholar] [CrossRef] [PubMed]
- Ruffenach, G.; Hong, J.; Vaillancourt, M.; Medzikovic, L.; Eghbali, M. Pulmonary hypertension secondary to pulmonary fibrosis: Clinical data, histopathology and molecular insights. Respir. Res. 2020, 21, 303. [Google Scholar] [CrossRef]
- Ambrose, N.C.; Riley, J. Light microscope observations of granulomatous reactions against developing Porocephalus crotali (Pentastomida: Porocephalida) in mouse and rat. Parasitology 1988, 97, 27–42. [Google Scholar] [CrossRef]






| Parasite | Reighardia sternae Larus michahellis This Study | Reighardia sternae Larus michahellis and Larus fuscus Literák et al. [2] | Reighardia sternae Larus argentatus Kanarek et al. [20] | Reighardia sp. Larus belcheri Naupay et al. [3] | Reighardia sternae Larus argentatus Riley [22] |
|---|---|---|---|---|---|
| Body length (mm) | 44–49 (mean 46.6) | 51–54 (mean 52) | 43.7–53.9 | 33.3–34.8 (mean 33.9) | 30–46 |
| Body width (mm) | 1.9–2.7 (mean 2.4) | 2.8–3.1 (mean 2.9) | 1.89–2.53 | 1.9–2.2 (mean 2) | 2.5 |
| Eggs (µm) (Length and width) | 260–320 (mean 281) in length and 150–190 in width (mean 170) | 316.5–381.7 (mean 353.9) in length and 233.6–269.9 (mean 250.4) | 260–380 in length 140–290 in width | - | - |
| Oral apparatus (µm) (Length) | 285 | 295.4–303.4 (mean 298.7) | - | - | - |
| Anterior hooks (µm) (Length) | 90–110 (mean 97) | 94.6–109.5 (mean 102) | 111–125 | 97–105 (mean 102) | 87–100 |
| Posterior hooks (µm) (Length) | 95–110 (mean 105) | 100.5–109.1 (mean 104.3) | 87–108 | 100–105 (mean 103) | 92–106 |
Disclaimer/Publisher’s Note: The statements, opinions and data contained in all publications are solely those of the individual author(s) and contributor(s) and not of MDPI and/or the editor(s). MDPI and/or the editor(s) disclaim responsibility for any injury to people or property resulting from any ideas, methods, instructions or products referred to in the content. |
© 2025 by the authors. Licensee MDPI, Basel, Switzerland. This article is an open access article distributed under the terms and conditions of the Creative Commons Attribution (CC BY) license (https://creativecommons.org/licenses/by/4.0/).
Share and Cite
Ceccherelli, R.; Ebani, V.V.; Pesaro, S.; Rossi, G.; Perrucci, S. Reighardia sternae Infection and Associated Lesions in a Yellow-Legged Gull (Larus michahellis) in Italy. Vet. Sci. 2025, 12, 411. https://doi.org/10.3390/vetsci12050411
Ceccherelli R, Ebani VV, Pesaro S, Rossi G, Perrucci S. Reighardia sternae Infection and Associated Lesions in a Yellow-Legged Gull (Larus michahellis) in Italy. Veterinary Sciences. 2025; 12(5):411. https://doi.org/10.3390/vetsci12050411
Chicago/Turabian StyleCeccherelli, Renato, Valentina Virginia Ebani, Stefano Pesaro, Giacomo Rossi, and Stefania Perrucci. 2025. "Reighardia sternae Infection and Associated Lesions in a Yellow-Legged Gull (Larus michahellis) in Italy" Veterinary Sciences 12, no. 5: 411. https://doi.org/10.3390/vetsci12050411
APA StyleCeccherelli, R., Ebani, V. V., Pesaro, S., Rossi, G., & Perrucci, S. (2025). Reighardia sternae Infection and Associated Lesions in a Yellow-Legged Gull (Larus michahellis) in Italy. Veterinary Sciences, 12(5), 411. https://doi.org/10.3390/vetsci12050411

