Simple Summary
Virus infections pose significant threats to the health and survival of giant pandas, an endangered species, making rapid and accurate diagnosis crucial for effective management and conservation efforts. In this study, we developed a multiplex PCR (mPCR) method to detect canine parvovirus type 2 (CPV-2), canine distemper virus (CDV), and giant panda rotavirus (GPRV) in pandas. The mPCR approach was validated for its high sensitivity and specificity in identifying these viruses, including mixed infections. In a sample of 218 giant pandas, CPV-2, CDV, and GPRV were detected in 19.72%, 7.34%, and 6.42% of the cases, respectively, with over half of the positive samples showing mixed infections. The findings were further confirmed using sequencing and phylogenetic analysis. This method offers a valuable tool for clinical diagnosis and epidemiological studies, aiding in the protection of the giant panda population.
Abstract
The well-being and subsistence of giant pandas, an endangered species with a limited distribution, are currently threatened by a number of viruses, including canine parvovirus (CPV-2), canine distemper virus (CDV), and giant panda rotavirus (GPRV). To allow for timely intervention upon viral infection, it is necessary to execute rapid and accurate diagnosis of potential mixed viral infections. In the present study, we developed and validated a multiplex PCR (mPCR) approach for the detection of CPV-2, CDV, and GPRV infections. The results indicate that the method could selectively amplify the three viruses with high sensitivity and specificity, which are necessary attributes in clinical settings. Utilizing the established method, (sub)clinical giant panda samples were examined, and CPV-2, CDV, and GPRV were found in 19.72% (43 out of 218), 7.34% (16 out of 218), and 6.42% (14 out of 218) of the samples, respectively. Noticeably, mixed infections of two or three viruses were common, and this was generally observed in CDV- or GPRV-positive samples. Meanwhile, mPCR results were further validated with sequencing and the phylogenetic analysis of full-length sequences of viral genes. Taken together, our study provides an approachable assay which enables the quick detection of the three viruses mentioned above, which will benefit clinical diagnosis and laboratory epidemiological-based investigations of the giant panda population.
1. Introduction
Viruses are obligate intracellular parasites that can cause infectious diseases in different plant and animal species [1]. Unable to reproduce by themselves, their propagation is fully reliant on the metabolic and biosynthetic processes in living host cells [2,3]. To this end, viral infection often conveys detrimental consequences to their host and was even responsible for several major pandemics in human history. Meanwhile, viruses do not infect just one particular host; on the contrary, they tend to infect many host species within reach [4]. The host range expansion of viruses, mediated by cross-species transmission, provides a certain basis for the emergence of new diseases [5,6,7]. Such characteristics raise public health concerns and also pose an inevitable threat to a variety of endangered wild animals [8], such as giant pandas (Ailuropoda melanoleuca) [9,10].
As a vulnerable species listed by the International Union for the Conservation of Nature (IUCN), giant pandas appear as touristic icons and key representatives of biodiversity conservation. Today, giant pandas are facing many challenges, including habitat fragmentation, reproduction inconveniency, and numerous bacteria and virus infections [9,10,11,12,13]. Over the years, many viruses were confirmed to be able to infect giant panda, including canine parvovirus type 2 (CPV-2), canine adenovirus type 1 (CAV-1), canine distemper virus (CDV), giant panda rotavirus (GPRV), and influenza A virus (IAV). These lead to various and even fatal consequences [14,15,16,17,18]. Recently, with the advances in viromics research, traces of infection with more virus species were identified in giant pandas, as detailed in Figure 1 (Supplementary Table S1). Therefore, the etiological and epidemiological surveillance of viral infections that endanger the situation of giant pandas should be reinforced regularly to provide early warning for forthcoming threats.
Figure 1.
The Baltimore viral categorization system is used to show the various classes of viruses which infect giant pandas. I: Classes of double-stranded DNA viruses (dsDNA); II: classes of single-stranded DNA viruses (ssDNA); III: classes of double-stranded RNA viruses (dsRNA); IV: classes of positive-sense single-stranded RNA viruses (+ssRNA); V: classes of negative-sense single-stranded RNA viruses (-ssRNA); VI: classes of single-stranded RNA reverse transcription viruses (ssRNA-RT); VII: classes of double-stranded RNA reverse transcription viruses (dsRNA-RT).
In the present study, we confirmed the widespread infection and sporadic co-infection of CPV-2, CDV, and GPRV in giant pandas via the establishment and validation of a multiplex polymerase chain reaction (mPCR) assay. Our findings highlight the potential threat of these viruses to giant pandas, emphasize the importance of the timely and systematic surveillance of these viruses, and provide a fast and efficient method to achieve this goal.
2. Materials and Methods
2.1. Viruses and Cells
The CDV (strain A75/17, accession number: AF164967.1), CPV-2 (strain CPV-LZ2, accession number: JQ268284.1) and GPRV (strain CH-1, accession number: GU205762.1) samples used in this study were retrieved from the virus database in our laboratory. CDV and GPRV were propagated in porcine kidney epithelial cells (LLC-PK1), while CPV-2 was propagated in Crandell–Rees Feline Kidney (CRFK) cells. All cells were maintained in Dulbecco’s modified Eagle medium (DMEM, Gibco) supplemented with 10% fetal bovine serum (FCS), penicillin (100 IU/mL) and streptomycin (100 μg/mL). Porcine kidney epithelial (LLC-PK1) cells and Crandell–Rees Feline Kidney (CRFK) cells were purchased from ATCC (American Type Culture Collection, Rockefeller, Maryland, MD, USA).
2.2. Fecal Samples from Giant Panda
Giant panda fecal samples (n = 218) were collected from giant pandas at Chengdu Research Base of Giant Panda Breeding, China, between the year 2015 and 2020. Most of the sampled pandas are healthy, with the exception of approximately 10% of them, which displayed signs such as mild diarrhea, anorexia, and vomiting.
2.3. Primer Design
Primers for the multiplex PCR assay were designed based on the CDV N gene, the GPRV NSP1 gene, and the CPV-2 NS1 gene. Representative viral sequences of each virus were first analyzed with multiple-sequence alignment using MEGA X, and primers were selected from the conservative regions within each gene. The selected primer candidates were then analyzed with a BLAST search (NCBI) and the DNASTAR Lasergene software 15.1 package to omit homology with the giant panda genome or other viral sequences. To allow for further analysis of positive samples, sets of primers were also designed to amplify the corresponding full-length coding sequences of the CDV N gene, the GPRV NSP1 gene, and the CPV-2 NS1 gene. All the primers were synthesized in Sangon Biotech Company (Shanghai, China), and full sequence information is detailed in Table 1 and Table 2.
Table 1.
Primers used for the mPCR method.
Table 2.
Primers used for the full-length gene sequences.
2.4. Preparation of Standard Plasmids
DNA sequences representing the ideal mPCR products of CDV (757 bp), GPRV (432 bp), and CPV-2 (293 bp) were synthesized and ligated into the pMD19-T Vector (TaKaRa). All standard plasmids were validated via conventional bidirectional sanger sequencing.
2.5. Establishment of the mPCR Method
The linearized standard plasmids (pMD-CDV-N, pMD-GPRV-NSP1, and pMD-CPV-2-NS) were utilized as architype templates to allow for the optimization of the PCR annealing temperature (Ta). The concentration of each primer was fixed at 100 nM, while each primer constituted 0.25 μL of the reaction volume (primer information is detailed in Table 1). The multiplex PCR assay was then conducted in a total volume of 20 μL per reaction, containing 10 μL of 2 × Taq Master Mix (Vazyme, P112-01), mixed template (pMD-CDV-N, pMD-GPRV-NSP1 and pMD-CPV-2-NS, 10 ng in total), primer mix, and ddH2O. The annealing temperatures for the mPCR reaction were optimized by ramping the temperature from 45 °C to 55 °C, while increasing by 1 °C in a sequential order. The procedure was as follows: 95 °C for 3 min, followed by 34 cycles of 95 °C for 15 s, the diversion Ta for 15 s, and cycles at 72 °C for 15 s, with a final extension at 72 °C for 5 min. After completion, 5 μL of the mPCR product was evaluated by 1.0% agarose gel electrophoresis.
2.6. Specificity and Sensitivity Analysis of the Optimized mPCR Assay
The optimized mPCR assay was used to examine the specificity of the multiplex PCR amplification of all possible combinations, namely, CDV, GPRV, CPV-2, CDV + GPRV, CDV + CPV-2, GPRV + CPV-2, and CDV + GPRV + CPV-2. The amplified target bands were then recovered, purified, and sequenced after ligation to pMD19-T Vector (TaKaRa) to confirm the specificity of the multiplex PCR. To further test the mPCR sensitivity, the concentrations of standard plasmids (pMD-CDV-N, pMD-GPRV-NSP1 and pMD-CPV-2-NS) were adjusted to 10 ng/μL as measured by a NanoDrop 2000 UV-vis spectrophotometer (Thermo Scientific, Waltham, MA, USA). The copy number was then calculated using the following formula: copies/μL= NA (copies/mol) × concentration (g/μL)/MW (g/mol). Moreover, each standard plasmid was serially diluted 10-fold, starting from 1 × 108 to 1 × 101 copies/μL with ddH2O. The plasmids of each dilution were then used as templates for the sensitivity testing of multiplex PCR.
2.7. Viral Nucleic Acid Extraction and Reverse Transcription
Total nucleic acid was extracted from giant panda fecal samples using a DNA/RNA extraction kit (Vazyme, RM201-02) and Stool DNA Isolation Kit (Foregene, DE-05713). This was performed according to the manufacturer’s protocol. The extracted total nucleic acids were divided into two portions; one was used for the amplification of the DNA viruses (CPV-2), and the other was used for the reverse transcription (RT) and amplification of the RNA viruses (CDV and GPRV). The RNA extracted from samples was reverse-transcribed to cDNA using the 2×RT OR-EasyTM Mix (Foregene, RT-01022) according to the manufacturer’s instructions. The cDNA and DNA were stored at −20 °C until PCR amplification, while the isolated RNA was stored at −80 °C.
2.8. Evaluation of Clinical Samples
A total of 218 panda fecal samples were collected and stored at −80 °C until use. The established multiplex PCR method was then used for virus detection using the isolated DNA and cDNA samples, which were obtained as described above. After mPCR amplification and 1.0% agarose gel electrophoresis, the infection rate was calculated and evaluated.
2.9. Extensive Full-Length Viral Gene Sequencing and Phylogenetic Analysis
To provide further detailed information about the positive samples, the DNA of the DNA virus (CPV-2) and the cDNA of the RNA viruses (CDV, GPRV) of mPCR-positive samples were extracted for PCR amplification. Sequence information about viral structural proteins, namely CDV-H, GPRV-VP3, and CPV-2-VP2, was obtained with the primer pairs listed in Table 2. The reaction was performed in a 20 μL volume that contained 10 μL of 2 × Taq Master Mix (Vazyme, P112-01), 1 μL each of the different templates described above, 2 μL primer sets (final concentration of each primer is 100μM), and 7 μL of ddH2O. The procedure was as follows: 95 °C for 3 min, followed by 34 cycles of 95 °C for 15 s, 47 °C for 15 s, and 72 °C for 15 s, with a final extension at 72 °C for 5 min. The PCR fragments obtained were cloned in pMD19-T Vector (TaKaRa), and different clones were analyzed by conventional bidirectional sanger sequencing. The sequencing results were then assembled by the DNASTAR Lasergene software 15.1 package and processed by the online tool Clustal Omega (https://www.ebi.ac.uk/Tools/msa/clustalo/, accessed on 15 January 2023). Multiple-alignment and phylogenetic analyses of the full-length CDV-H, GPRV-VP3, and CPV-2-VP2 genes were then conducted with representative viral sequences from Genbank using the neighbor-joining method in MEGA X, respectively.
3. Results
3.1. Establishment of a Multiplex PCR (mPCR) Method That Allows Detection of CDV, CPV-2 and GPRV
Through the cautious design of primers and the adjustment of PCR reaction conditions, the specific detection of the three viruses listed above could be achieved. Plasmid-based viral templates, alone or in combination, were first used to verify the mPCR setting, while the products were separated on a 1.0% agarose gel (Figure 2). The results indicated that specific PCR bands (757 bp for CDV, 432 bp for GPRV, and 293 bp for CPV-2) were clearly visible in each group without unspecific amplification. The authenticity of each PCR product was further confirmed by T-A cloning and sequencing analysis. Meanwhile, to test mPCR’s compatibility with different DNA polymerases, we tested the mPCR system at different annealing temperatures. As shown in Figure 3, clear PCR bands were equally visible with annealing temperatures ranging from 43 °C to 52 °C, and a temperature of 48 °C was used for further analysis.
Figure 2.
Specificity detection using the mPCR method. M: DL 2000 DNA Marker; 1: CDV + GPRV +CPV-2; 2: CDV + GPRV; 3: GPRV + CPV-2; 4: CDV +CPV-2; 5: CDV; 6: GPRV; 7: CPV-2; 8: negative control.
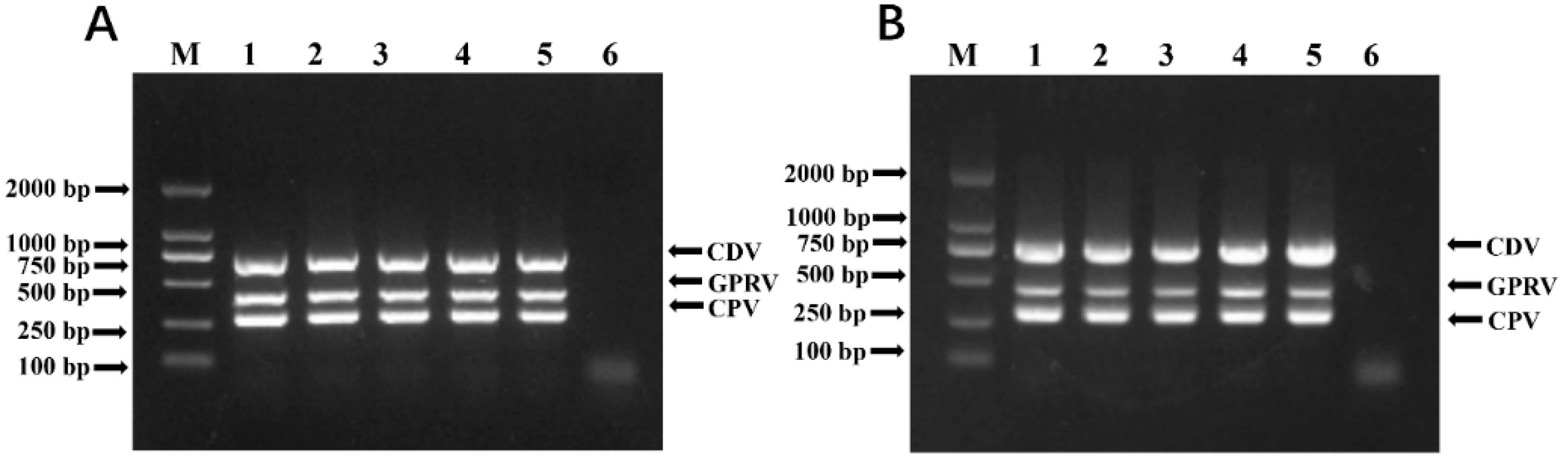
Figure 3.
Optimal annealing temperatures for mPCR method. (A) M: DL 2000 bp DNA Marker; 1–5: gradient annealing temperatures were 43 °C, 44 °C, 45 °C, 46 °C, and 47 °C, respectively; 6: negative control. (B) M: DL 2000 bp DNA Marker; 1–5: gradient annealing temperatures were 48 °C, 49 °C, 50 °C, 51 °C, and 52 °C, respectively; 6: negative control.
3.2. Sensitivity of the Established mPCR Method
To explore the detection limit of the established mPCR method, different concentrations of plasmids, alone or in combination, were employed as templates for the mPCR reaction. The results showed that the minimum detection limit for the mPCR was 1 × 103 viral copies of each virus when the mixed plasmids were used as the template (Figure 4); however, when only one plasmid was used as template, the sensitivity of the method was higher with minimum detection limits for CDV of 1 × 101 viral copies, and for GPRV and CPV-2 of 1 × 102 viral copies, respectively (Figure 4).
Figure 4.
The sensitivity of the established mPCR method. The three single plasmids (pMD-CDV-N, pMD-GPRV-NSP1 and pMD-CPV-2-NS), diluted from 1 × 108 to 1 × 101 copies/μL, and the mixed plasmids (pMD-CDV-N/pMD-GPRV-NSP1/pMD-CPV-2-NS), diluted from 1 × 108 to 1 × 101 copies/μL, were used to determine the minimum detection limit of the mPCR method. (A) The sensitivity of pMD-CDV-N; (B) the sensitivity of pMD-GPRV-NSP1; (C) the sensitivity of pMD-CPV-2-NS; (D) the sensitivity of pMD-CDV-N/pMD-GPRV-NSP1/pMD-CPV-2-NS. M: DL 2000 DNA Marker; 1–9: 1 × 101–1 × 108 copies/μL; 10: negative control.
3.3. Detection of Viral Co-Infections in Giant Panda from Fecal Samples
Using the mPCR method established, a total of 218 hiant panda fecal samples were analyzed to detect viral infection. As indicated in Figure S1, the PCR electrophoresis pattern of the clinical samples was similar to that obtained with plasmid templates, where clear-cut bands were visible for each virus and each possible combination, and occurrences of bands with other sizes were unseen throughout the detection of all samples. The analysis of (sub)clinical samples indicated that 7.34% (16 out of 218), 6.42% (14 out of 218), and 19.72% (43 out of 218) of the samples were positive for CDV, GPRV, and CPV-2, respectively (Figure 5A). Venn analysis revealed the true complex nature of viral co-infections. As shown in Figure 5B, over half of CDV (n = 8)- or GPRV (n = 9)-positive samples were also positive for CPV-2, while one CP-2V-negative sample was positive for both CDV and GPRV. Noticeably, 1.38% of the total samples (3 out of 218) were positive for all three viruses, indicating that superinfections might have occurred in those pandas at the time of sampling.
Figure 5.
The evaluation of (sub)clinical samples. The detection of viral co-infection in giant panda fecal sample by mPCR (n = 218). (A) The number of positive samples is graphed for the mPCR method performed. (B) The overlap of viral infections is shown in a Venn diagram.
3.4. Consolidation and Validation of mPCR Results Through Regular PCR and Phylogenetic Analysis
To further verify the specificity of the mPCR results, we designed primers to amplify the full-length sequence of the CDV H gene, the GPRV VP3 gene, and the CPV-2 VP2 gene, while full sequence information is detailed in Table 2. Regular PCR analyses were performed on randomly selected positive samples (n = 10), with the exception of the samples (n = 3) that were positive for all three viruses in the mPCR analysis. The results of the mPCR analysis were well correlated with routine PCR regarding sample positivity, while the sequencing analysis of routine PCR products converged to one or two represented sequences per virus, namely, n = 1 for CDV, n = 1 for GPRV, and n = 2 for CPV-2. Next, phylogenetic analysis was performed with the complete gene sequences obtained. Figure 6 shows the viral sequence clades with major field isolates in dogs (CDV and CPV-2) or pigs (GPRV) that are prevalent in Chinese companion animals or the breeding industry.
Figure 6.
(A) Phylogenetic analysis of canine distemper virus (CDV) strains based on H gene sequences; (B) phylogenetic analysis of rotavirus (RV) strains based on VP3 gene sequences; (C) phylogenetic analysis of canine parvovirus (CPV-2) strains based on VP2 gene sequences. The sequences obtained in the present study are marked in red.
4. Discussion
Ever since it was first developed and optimized in the early 1980s [19,20], the PCR test has been a powerful tool in molecular biology [21,22]. The utilization of PCR in different ways permits the rapid and efficient recognition of DNA or RNA sequences of various origins, and benefits relevant fields of both fundamental research and practical application. Here, in the current study, we established a multiplex PCR (mPCR) method that allows the detection of three viruses, either DNA- or RNA-based, simultaneously in giant pandas. The results indicate that the mPCR method is steadfast, with matter-of-fact outcomes from clinical fecal samples that can easily be interpreted.
Conventionally, the mPCR method is considered to have relatively reduced sensitivity and specificity, as multiple PCR reactions occur at the same time, with an inherent risk of competing for polymerases within reactions, and because of the cross-reactivity of the primer pairs in use. Nevertheless, through the development of bioinformatic databases and reagents for molecular biology research, the reliability of mPCR can be largely improved in both areas [23]. The careful design of primers, including the use of homology analysis against pathogens and host sequences, could efficiently avoid the occurrence of cross-reactions or nonspecific reactions with other pathogens or host genetic materials [24]. In the meantime, the fast development of commercial polymerases also enables the robust competence of the PCR reaction, even if multiple primers are involved. In the present study, the established mPCR method ran smoothly across all clinical samples, with clear indications of positive or negative outcomes without the ambiguous amplification that results in unexplainable PCR bands. Meanwhile, the sensitivity of the results was 1 × 101 (CDV) or 1 × 102 (CPV-2 and GPRV) viral copies, which was already comparable to that of the traditional PCR. As such, our observations indicated that the established mPCR technique is reliable and can be reinforced in routine molecular diagnostics of viral infections in giant pandas.
The fast development of viromics research and bioinformatics techniques benefited the field of epidemiology greatly, where viral host spectrums were identified via advanced sequencing [25,26]. Newly identified pathogens and their associated diseases demand effective molecular diagnostic methods, especially ones accessible to laboratories with fewer facilitaties. As a conventional technique, the mPCR method has the inherent advantage of being cost-effective, easily operated, and less time-consuming [27,28,29]. Therefore, mPCR at present could serve as a part of a fast-reacting system that allows for rapid detection under circumstances such as an acute outbreak and provides first-hand etiological information that could assist clinical treatment or epidemiological policy making.
The cross-species transmission of various pathogens poses a risk to endangered species such as giant pandas. Contact with humans or other animals, albeit often well protected, also leads to an inevitable consequence of reverse zoonosis or horizonal transmission, via which bacterial or viral infectious agents are introduced to the giant panda population [30,31,32]. Utilizing the established mPCR method, we showed that CDV, GPRV, and CPV-2 were detected in giant pandas, and that co-infection with two or three viruses was commonly observed. The observation was further consolidated with phylogenetic analysis of the matching full-length sequences of mPCR targets. No significant correlation was spotted between symptoms of sampled animals and virus detection in the present study, indicating that infection with these viruses was mostly subclinical, and that acute phases of infection might be neglected or wrongly interpreted. Among the three viruses evaluated, CPV-2 was the most frequently (19.72%) detected in Giant pandas during this investigation. CPV-2 and related viruses of species Protoparvovirus Carnivoran 1 can infect a wide range of domestic and wild carnivores, which leads to their worldwide distribution with a broad host spectrum [33,34]. Noticeably, due to the close genetic relationship between CPV and feline panleukopenia virus (FPV) in their VP2 sequences and the entire genome [35,36], our method (or any approach without DNA sequencing) cannot differentiate between infection with CPV-2 and FPV, the latter of which was recently reported as being able to infect giant pandas [37]. Further analysis of the full-length VP2 sequences indicated that all amplified parvoviral sequences belong to CPV-2, showing that CPV-2 is the main component of Protoparvovirus Carnivoran 1 in giant pandas, but the potential threats of FPV transmission in giant pandas should not be neglected. Meanwhile, a smaller but unneglectable number of samples are positive for CDV or GPRV, or both. To this point, recurrent epidemiological surveillance is essential to monitor possible increased transmission of the three virus’s infection in giant pandas and possibly other wild animal species.
In conclusion, we established and validated an mPCR method that allows the rapid and accurate detection of CPV-2, CDV, and GPRV infection. The complex nature of spatial viral infection in giant pandas was revealed via this method, and the key observations justify further investigation on the infection mechanisms of those viruses from both epidemiological and etiological perspectives.
Supplementary Materials
The following supporting information can be downloaded at: https://www.mdpi.com/article/10.3390/vetsci12020081/s1, Figure S1: Detection of PCR electrophoretograms of giant panda samples by mPCR.; Table S1: Viruses able to infect giant panda [38,39,40,41,42,43,44,45,46,47,48,49,50,51].
Author Contributions
Conceptualization, Y.L. and S.Z.; methodology, Y.L.; software, R.M.; validation, A.L., and W.Q.; formal analysis, A.L.; investigation, A.L.; resources, W.Q.; data curation, R.M.; writing—original draft preparation, A.L.; writing—review and editing, Y.L.; visualization, W.Q.; supervision, S.Z. and Q.Y.; project administration, Y.L.; funding acquisition, Y.L. All authors have read and agreed to the published version of the manuscript.
Funding
This work was supported by the Joint Funds of Science Technology and Education of Sichuan Province (2024NSFSC2063), and Local Financial Funds of National Agricultural Science and Technology Center, Chengdu (NASC2023ST11).
Institutional Review Board Statement
Not applicable.
Informed Consent Statement
Not applicable.
Data Availability Statement
Data are contained within the article and Supplementary Material.
Conflicts of Interest
The authors declare no conflicts of interest.
References
- Simmonds, P.; Adams, M.J.; Benko, M.; Breitbart, M.; Brister, J.R.; Carstens, E.B.; Davison, A.J.; Delwart, E.; Gorbalenya, A.E.; Harrach, B.; et al. Consensus statement: Virus taxonomy in the age of metagenomics. Nat. Rev. Microbiol. 2017, 15, 161–168. [Google Scholar] [CrossRef] [PubMed]
- Goodwin, C.M.; Xu, S.; Munger, J. Stealing the Keys to the Kitchen: Viral Manipulation of the Host Cell Metabolic Network. Trends Microbiol. 2015, 23, 789–798. [Google Scholar] [CrossRef] [PubMed]
- Walsh, D.; Mohr, I. Viral subversion of the host protein synthesis machinery. Nat. Rev. Microbiol. 2011, 9, 860–875. [Google Scholar] [CrossRef] [PubMed]
- Hao, P.; Pang, Z.; Qu, Q.; Cui, C.; Jiang, Y.; Chen, J.; Gao, Z.; Xu, Z.; Li, L.; Jin, N.; et al. A G3P[3] bat rotavirus can infect cultured human cholangiocytes and cause biliary atresia symptom in suckling mice. Virol. Sin. 2024, 39, 974–976. [Google Scholar] [CrossRef]
- Li, J.; Peng, J.; Zeng, Y.; Wang, Y.; Li, L.; Cao, Y.; Cao, L.; Chen, Q.; Ye, Z.; Zhou, D.; et al. Isolation of a feline-derived feline panleukopenia virus with an A300P substitution in the VP2 protein and confirmation of its pathogenicity in dogs. Anim. Dis. 2024, 4, 5. [Google Scholar] [CrossRef]
- Zhou, Z.; Qiu, Y.; Ge, X. The taxonomy, host range and pathogenicity of coronaviruses and other viruses in the Nidovirales order. Anim. Dis. 2021, 1, 5. [Google Scholar] [CrossRef]
- Parrish, C.R.; Holmes, E.C.; Morens, D.M.; Park, E.C.; Burke, D.S.; Calisher, C.H.; Laughlin, C.A.; Saif, L.J.; Daszak, P. Cross-species virus transmission and the emergence of new epidemic diseases. Microbiol. Mol. Biol. Rev. 2008, 72, 457–470. [Google Scholar] [CrossRef]
- Dobson, A.; Foufopoulos, J. Emerging infectious pathogens of wildlife. Philos. Trans. R. Soc. Lond. B Biol. Sci. 2001, 356, 1001–1012. [Google Scholar] [CrossRef] [PubMed]
- Zhang, W.; Yang, S.; Shan, T.; Hou, R.; Liu, Z.; Li, W.; Guo, L.; Wang, Y.; Chen, P.; Wang, X.; et al. Virome comparisons in wild-diseased and healthy captive giant pandas. Microbiome 2017, 5, 90. [Google Scholar] [CrossRef] [PubMed]
- Ning, S.; Lu, X.; Zhao, M.; Wang, X.; Yang, S.; Shen, Q.; Wang, H.; Zhang, W. Virome in Fecal Samples From Wild Giant Pandas (Ailuropoda melanoleuca). Front. Vet. Sci. 2021, 8, 767494. [Google Scholar] [CrossRef] [PubMed]
- Shi, X.; Song, G.; Li, Z. The effect of diffusion on giant pandas that live in complex patchy environments. Nonlinear Anal. Model. Control. 2015, 20, 56–71. [Google Scholar] [CrossRef]
- Ran, M.X.; Li, Y.; Zhang, Y.; Liang, K.; Ren, Y.N.; Zhang, M.; Zhou, G.B.; Zhou, Y.M.; Wu, K.; Wang, C.D.; et al. Transcriptome Sequencing Reveals the Differentially Expressed lncRNAs and mRNAs Involved in Cryoinjuries in Frozen-Thawed Giant Panda (Ailuropoda melanoleuca) Sperm. Int. J. Mol. Sci. 2018, 19, 3066. [Google Scholar] [CrossRef] [PubMed]
- Wang, T.; Xie, Y.; Zheng, Y.; Wang, C.; Li, D.; Koehler, A.V.; Gasser, R.B. Parasites of the Giant Panda: A Risk Factor in the Conservation of a Species. Adv. Parasitol. 2018, 99, 1–33. [Google Scholar] [CrossRef] [PubMed]
- Mainka, S.A.; Qiu, X.; He, T.; Appel, M.J. Serologic survey of giant pandas (Ailuropoda melanoleuca), and domestic dogs and cats in the Wolong Reserve, China. J. Wildl. Dis. 1994, 30, 86–89. [Google Scholar] [CrossRef]
- Qin, Q.; Li, D.; Zhang, H.; Hou, R.; Zhang, Z.; Zhang, C.; Zhang, J.; Wei, F. Serosurvey of selected viruses in captive giant pandas (Ailuropoda melanoleuca) in China. Vet. Microbiol. 2010, 142, 199–204. [Google Scholar] [CrossRef] [PubMed]
- Guo, L.; Yan, Q.; Yang, S.; Wang, C.; Chen, S.; Yang, X.; Hou, R.; Quan, Z.; Hao, Z. Full Genome Sequence of Giant Panda Rotavirus Strain CH-1. Genome Announc. 2013, 1, e00241-12. [Google Scholar] [CrossRef] [PubMed]
- Li, D.; Zhu, L.; Cui, H.; Ling, S.; Fan, S.; Yu, Z.; Zhou, Y.; Wang, T.; Qian, J.; Xia, X.; et al. Influenza A(H1N1)pdm09 virus infection in giant pandas, China. Emerg. Infect. Dis. 2014, 20, 480–483. [Google Scholar] [CrossRef] [PubMed]
- Zhao, M.; Yue, C.; Yang, Z.; Li, Y.; Zhang, D.; Zhang, J.; Yang, S.; Shen, Q.; Su, X.; Qi, D.; et al. Viral metagenomics unveiled extensive communications of viruses within giant pandas and their associated organisms in the same ecosystem. Sci. Total Environ. 2022, 820, 153317. [Google Scholar] [CrossRef]
- Saiki, R.K.; Gelfand, D.H.; Stoffel, S.; Scharf, S.J.; Higuchi, R.; Horn, G.T.; Mullis, K.B.; Erlich, H.A. Primer-directed enzymatic amplification of DNA with a thermostable DNA polymerase. Science 1988, 239, 487–491. [Google Scholar] [CrossRef]
- Sanger, F.; Coulson, A.R. A rapid method for determining sequences in DNA by primed synthesis with DNA polymerase. J. Mol. Biol. 1975, 94, 441–448. [Google Scholar] [CrossRef] [PubMed]
- McDowell, D. The polymerase chain reaction patents: Going, going,... still going. J. R. Soc. Med. 2006, 99, 62–64. [Google Scholar] [CrossRef] [PubMed]
- Cavé, H. The polymerase chain reaction, so simple, so clever: The discovery that made minimal residual disease come true. Haematologica 2022, 107, 1737–1738. [Google Scholar] [CrossRef]
- Elnifro, E.M.; Ashshi, A.M.; Cooper, R.J.; Klapper, P.E. Multiplex PCR: Optimization and application in diagnostic virology. Clin. Microbiol. Rev. 2000, 13, 559–570. [Google Scholar] [CrossRef] [PubMed]
- Brownie, J.; Shawcross, S.; Theaker, J.; Whitcombe, D.; Ferrie, R.; Newton, C.; Little, S. The elimination of primer-dimer accumulation in PCR. Nucleic Acids Res. 1997, 25, 3235–3241. [Google Scholar] [CrossRef]
- Schulz, F.; Roux, S.; Paez-Espino, D.; Jungbluth, S.; Walsh, D.A.; Denef, V.J.; McMahon, K.D.; Konstantinidis, K.T.; Eloe-Fadrosh, E.A.; Kyrpides, N.C.; et al. Giant virus diversity and host interactions through global metagenomics. Nature 2020, 578, 432–436. [Google Scholar] [CrossRef]
- Visser, M.; Bester, R.; Burger, J.T.; Maree, H.J. Next-generation sequencing for virus detection: Covering all the bases. Virol. J. 2016, 13, 85. [Google Scholar] [CrossRef] [PubMed]
- Rajkhowa, S.; Choudhury, M.; Pegu, S.R.; Sarma, D.K.; Gupta, V.K. Development of a novel one-step triplex PCR assay for the simultaneous detection of porcine circovirus type 2, porcine parvovirus and classical swine fever virus in a single tube. Lett. Appl. Microbiol. 2022, 75, 338–344. [Google Scholar] [CrossRef]
- Hao, X.; Liu, R.; He, Y.; Xiao, X.; Xiao, W.; Zheng, Q.; Lin, X.; Tao, P.; Zhou, P.; Li, S. Multiplex PCR methods for detection of several viruses associated with canine respiratory and enteric diseases. PLoS ONE 2019, 14, e0213295. [Google Scholar] [CrossRef]
- Xiao, X.; Hao, X.; Chen, B.; Zhou, P.; Li, S. Two Multiplex PCR Methods for Detecting Several Pathogens Associated with Feline Respiratory and Intestinal Tracts. Vet. Sci. 2022, 10, 14. [Google Scholar] [CrossRef] [PubMed]
- Mertz, G.J. Zoonoses: Infectious Diseases Transmissible From Animals to Humans, Fourth Edition. Clin. Infect. Dis. 2011, 63, 148–149. [Google Scholar] [CrossRef]
- Allen, T.; Murray, K.A.; Zambrana-Torrelio, C.; Morse, S.S.; Rondinini, C.; Di Marco, M.; Breit, N.; Olival, K.J.; Daszak, P. Global hotspots and correlates of emerging zoonotic diseases. Nat. Commun. 2017, 8, 1124. [Google Scholar] [CrossRef]
- Allocati, N.; Petrucci, A.G.; Di Giovanni, P.; Masulli, M.; Di Ilio, C.; De Laurenzi, V. Bat-man disease transmission: Zoonotic pathogens from wildlife reservoirs to human populations. Cell Death Discov. 2016, 2, 16048. [Google Scholar] [CrossRef] [PubMed]
- Ndiana, L.A.; Lanave, G.; Desario, C.; Berjaoui, S.; Alfano, F.; Puglia, I.; Fusco, G.; Colaianni, M.L.; Vincifori, G.; Camarda, A.; et al. Circulation of diverse protoparvoviruses in wild carnivores, Italy. Transbound. Emerg. Dis. 2021, 68, 2489–2502. [Google Scholar] [CrossRef] [PubMed]
- Qi, S.; Zhao, J.; Guo, D.; Sun, D. A Mini-Review on the Epidemiology of Canine Parvovirus in China. Front. Vet. Sci. 2020, 7, 5. [Google Scholar] [CrossRef] [PubMed]
- Leopardi, S.; Milani, A.; Cocchi, M.; Bregoli, M.; Schivo, A.; Leardini, S.; Festa, F.; Pastori, A.; de Zan, G.; Gobbo, F.; et al. Carnivore protoparvovirus 1 (CPV-2 and FPV) Circulating in Wild Carnivores and in Puppies Illegally Imported into North-Eastern Italy. Viruses 2022, 14, 2612. [Google Scholar] [CrossRef] [PubMed]
- Calatayud, O.; Esperón, F.; Velarde, R.; Oleaga, Á.; Llaneza, L.; Ribas, A.; Negre, N.; de la Torre, A.; Rodríguez, A.; Millán, J. Genetic characterization of Carnivore Parvoviruses in Spanish wildlife reveals domestic dog and cat-related sequences. Transbound. Emerg. Dis. 2020, 67, 626–634. [Google Scholar] [CrossRef] [PubMed]
- Yi, S.; Liu, S.; Meng, X.; Huang, P.; Cao, Z.; Jin, H.; Wang, J.; Hu, G.; Lan, J.; Zhang, D.; et al. Feline Panleukopenia Virus With G299E Substitution in the VP2 Protein First Identified From a Captive Giant Panda in China. Front. Cell. Infect. Microbiol. 2022, 11, 820144. [Google Scholar] [CrossRef] [PubMed]
- Guo, L.; Yang, S.L.; Chen, S.J.; Zhang, Z.; Wang, C.; Hou, R.; Ren, Y.; Wen, X.; Cao, S.; Guo, W.; et al. Identification of canine parvovirus with the Q370R point mutation in the VP2 gene from a giant panda (Ailuropoda melanoleuca). Virol. J. 2013, 10, 163. [Google Scholar] [CrossRef] [PubMed]
- Dai, Z.; Wang, H.; Feng, Z.; Ma, L.; Yang, S.; Shen, Q.; Wang, X.; Zhou, T.; Zhang, W. Identification of a novel circovirus in blood sample of giant pandas (Ailuropoda melanoleuca). Infect. Genet. Evol. 2021, 95, 105077. [Google Scholar] [CrossRef]
- Qi, D.; Shan, T.; Liu, Z.; Deng, X.; Zhang, Z.; Bi, W.; Owens, J.R.; Feng, F.; Zheng, L.; Huang, F.; et al. A novel polyomavirus from the nasal cavity of a giant panda (Ailuropoda melanoleuca). Virol. J. 2017, 14, 207. [Google Scholar] [CrossRef] [PubMed]
- Yang, R.; Wang, C.; Yan, Q. Research progress of giant panda rotavirus strain CH-1. Chin. J. Zoonoses 2018, 34, 1040–1043. (In Chinese) [Google Scholar]
- Su, X.; Li, L.; Yan, X.; Zhang, D.; Hou, R.; Liu, S. Establishment and application of giant panda rotavirus PCR detection method. Acta Theriol. Sin. 2021, 41, 254–260. (In Chinese) [Google Scholar]
- Wang, C.; Yan, Q.; Zhang, Z.; Luo, L.; Fan, W.; Yang, Z.; Lan, J.; Huang, X.; Li, M. Isolation and identification of rotavirus from giant panda cubs. Acta Theriol. Sin. 2008, 1, 87–91. (In Chinese) [Google Scholar]
- Gao, F.S.; Hu, G.X.; Xia, X.Z.; Gao, Y.W.; Bai, Y.D.; Zou, X.H. Isolation and identification of a canine coronavirus strain from giant pandas (Ailuropoda melanoleuca). J. Vet. Sci. 2009, 10, 261–263. [Google Scholar] [CrossRef] [PubMed]
- Qiao, J.; Xia, X.; Yang, S.; Li, D.; Hu, G.; Gao, Y.; Sun, H.; Zhao, Z.; Xie, Z.; Yan, F.; et al. Serological survey on canine coronavirus antibodies in giant pandas by virus neutralization test. J. For. Res. 2004, 15, 295–297. [Google Scholar]
- Zhang, C.; Ding, Y.; Yan, H.; Pu, T.; She, R.; Yin, J.; Yang, M.; Zhang, J. Survey of Hepatitis E Virus Infection in Giant Panda. Chin. J. Wildl. 2013, 323–326. (In Chinese) [Google Scholar] [CrossRef]
- Feng, N.; Yu, Y.; Wang, T.; Wilker, P.; Wang, J.; Li, Y.; Sun, Z.; Gao, Y.; Xia, X. Fatal canine distemper virus infection of giant pandas in China. Sci. Rep. 2016, 6, 27518. [Google Scholar] [CrossRef] [PubMed]
- Zhao, N.; Li, M.; Luo, J.; Wang, S.; Liu, S.; Wang, S.; Lyu, W.; Chen, L.; Su, W.; Ding, H.; et al. Impacts of canine distemper virus infection on the giant panda population from the perspective of gut microbiota. Sci. Rep. 2017, 7, 39954. [Google Scholar] [CrossRef]
- Geng, Y.; Shen, F.; Wu, W.; Zhang, L.; Luo, L.; Fan, Z.; Hou, R.; Yue, B.; Zhang, X. First demonstration of giant panda’s immune response to canine distemper vaccine. Dev. Comp. Immunol. 2020, 102, 103489. [Google Scholar] [CrossRef]
- Hvistendahl, M. Captive pandas succumb to killer virus. Science 2015, 347, 700–701. [Google Scholar] [CrossRef]
- Guo, L.; Li, Z.; Yang, S. Primary research and establishment of Rabies virus RT-PCR detection method. Proc. Annu. Conf. Sichuan Anim. Husb. Vet. Soc. 2012, 387–391. (In Chinese) [Google Scholar]
Disclaimer/Publisher’s Note: The statements, opinions and data contained in all publications are solely those of the individual author(s) and contributor(s) and not of MDPI and/or the editor(s). MDPI and/or the editor(s) disclaim responsibility for any injury to people or property resulting from any ideas, methods, instructions or products referred to in the content. |
© 2025 by the authors. Licensee MDPI, Basel, Switzerland. This article is an open access article distributed under the terms and conditions of the Creative Commons Attribution (CC BY) license (https://creativecommons.org/licenses/by/4.0/).





