Ultrasound, Histomorphologic, and Immunohistochemical Analysis of a Cardiac Tumor with Increased Purkinje Cells Detected in a Canine Fetus 42 Days into Pregnancy
Abstract
Simple Summary
Abstract
1. Introduction
2. Case Description
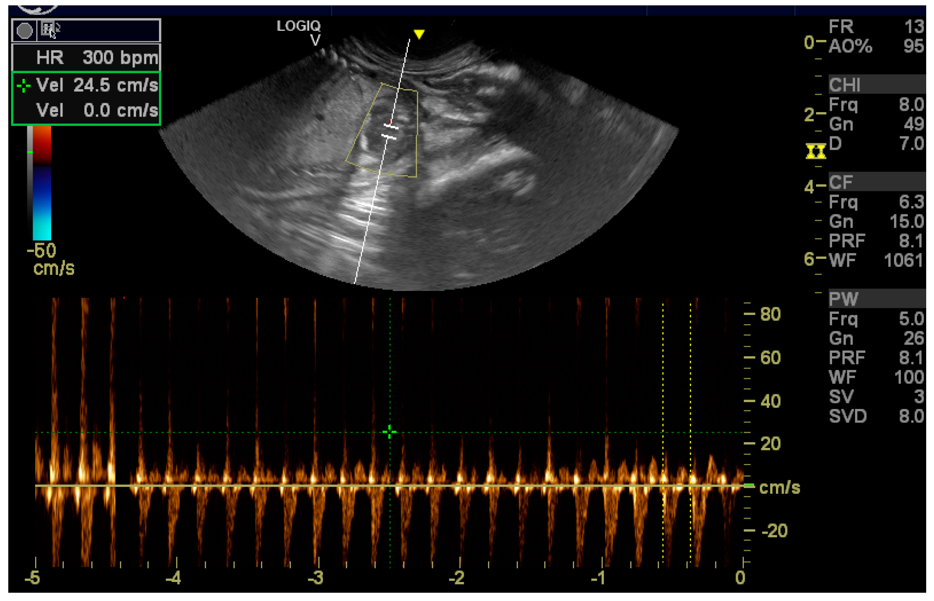
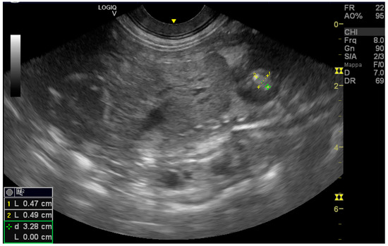
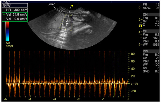
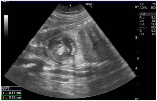
2.1. Clinical Findings
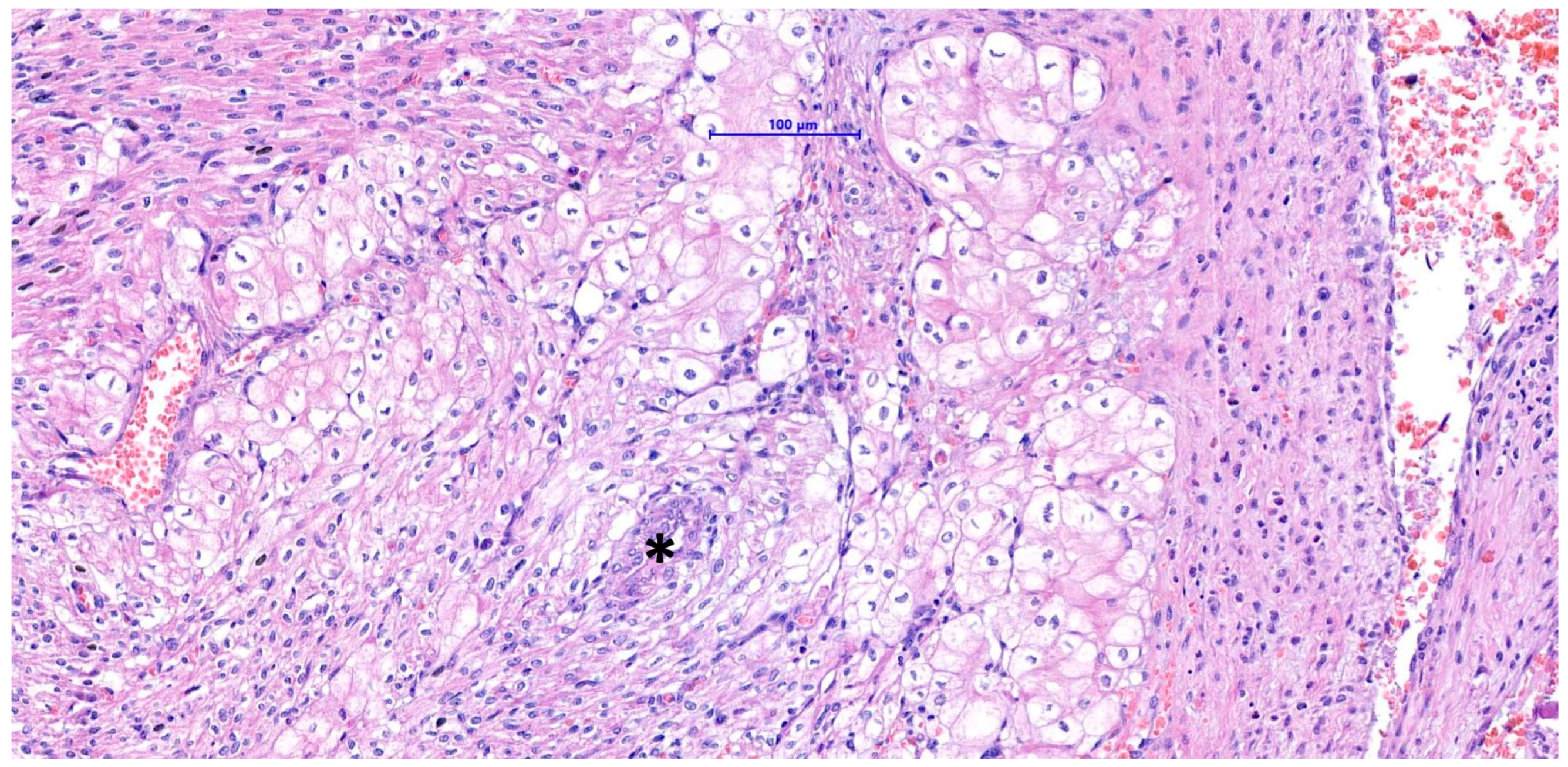
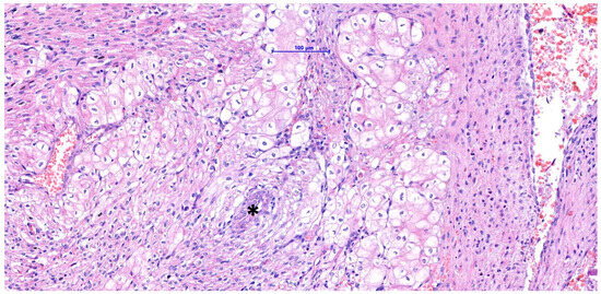
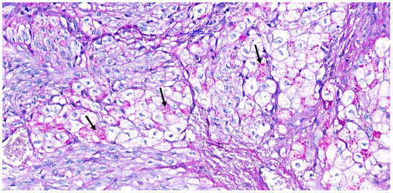
2.2. Histopathology, Histochemical, and Immunohistochemical Studies
3. Discussion
4. Conclusions
Author Contributions
Funding
Institutional Review Board Statement
Informed Consent Statement
Data Availability Statement
Conflicts of Interest
References
- Amano, J.; Nakayama, J.; Yoshimura, Y.; Ikeda, U. Clinical classification of cardiovascular tumors and tumor-like lesions, and its incidences. Gen. Thorac. Cardiovasc. Surg. 2013, 61, 435–447. [Google Scholar] [CrossRef] [PubMed]
- Chen, J.; Wang, J.; Sun, H.; Gu, X.; Hao, X.; Fu, Y.; Zhang, Y.; Liu, X.; Zhang, H.; Han, L.; et al. Fetal cardiac tumor: Echocardiography, clinical outcome and genetic analysis in 53 cases. Ultrasound Obstet. Gynecol. 2019, 54, 103–109. [Google Scholar] [CrossRef] [PubMed]
- Treggiari, E.; Pedro, B.; Dukes-McEwan, J.; Gelzer, A.R.; Blackwood, L. A descriptive review of cardiac tumours in dogs and 226 cats. Vet. Comp. Oncol. 2015, 15, 273–288. [Google Scholar]
- Sakurai, M.; Kuninaga, N.; Takeuchi, T.; Tsuka, T.; Morita, T. Congenital multifocal increase of Purkinje fibres in a calf with cardiac conduction delay. J Comp Pathol. 2014, 151, 234–237. [Google Scholar] [CrossRef] [PubMed]
- Krafsur, G.; Ehrhart, E.J.; Ramos-Vara, J.; Mason, G.; Sarren, F.; Adams, B.; Hanns, C.; Spraker, T.; Duncan, C. Histomorphologic and Immunohistochemical Characterization of a Cardiac Purkinjeoma in a Bearded Seal (Erignathus barbatus). Case Rep. Vet. Med. 2014, 2014, 103279. [Google Scholar] [CrossRef][Green Version]
- Ottaviani, G.; Matturri, L.; Rossi, L.; Lavezzi, A.M.; James, T.N. Multifocal cardiac Purkinje cell tumor in infancy. Europace 2004, 6, 138–141. [Google Scholar] [CrossRef] [PubMed]
- Orlandi, A.; Hao, H.; Ferlosio, A.; Clément, S.; Hirota, S.; Spagnoli, L.G.; Gabbiani, G.; Chaponnier, C. Alpha actin isoform expression in human and rat adult cardiac conduction system. Differentiation 2009, 77, 360–368. [Google Scholar] [CrossRef] [PubMed]
- Ya, J.; Markman, M.W.; Wagenaar, G.T.; Blommaart, P.J.; Moorman, A.F.; Lamers, W.H. Expression of the smooth muscle proteins 223 alpha smooth muscle actin and calponin, and of the intermediate filament protein desmin are parameters of cardiomyocyte 224 maturation in the prenatal rat heart. Anat. Rec. 1997, 249, e495–e505. [Google Scholar] [CrossRef]
- Radi, Z.A.; Metz, A. Canine Cardiac Rhabdomyoma. Toxic Pat. 2009, 37, 348–350. [Google Scholar] [CrossRef] [PubMed]
- Tanimoto, T.; Ohtsuki, Y. The pathogenesis of so-colled cardiac rhabdomyoma in swine: A histological, immunohistochemical and ultrastructural study. Virchows Arch. 1995, 427, 213–221. [Google Scholar] [CrossRef] [PubMed]
- Amonkar, G.P.; Kandalkar, B.M.; Balasubramanian, M. Cardiac rhabdomyoma. Cardiovasc. Pathol. 2009, 18, 313–314. [Google Scholar] [CrossRef] [PubMed]
- Chen, H.-Y.; Huang, S.-C.; Chen, S.-J. Congenital cardiac rhabdomyoma. J. Formos. Med. Assoc. 2016, 115, 678–679. [Google Scholar] [CrossRef] [PubMed][Green Version]
- Jacobsen, B.; Kreutzer, M.; Meemken, D.; Baumgärtner, W.; Herden, C. Proposing the Term Purkinjeoma: Protein 238 Gene Product 9.5 Expression in 2 Porcine Cardiac Rhabdomyomas Indicates Possible Purkinje Fiber Cell Origin. Vet. Pat. 2010, 47, 738–740. [Google Scholar]
- Kolly, C.; Bidaut, A.; Robert, N. Cardiac Rhabdomyoma in a Juvenile Fallow Deer (Dama dama). J. Wildl. Dis. 2004, 40, 603–606. [Google Scholar] [CrossRef] [PubMed][Green Version]
- Aupperle, H.; Marz, I.; Ellenberger, C.; Buschatz, S.; Reischauer, A.; Schoon, H.A. Primary and secondary heart tumours in 233 dogs and cats. J. Comp. Pathol. 2007, 136, 18–26. [Google Scholar] [CrossRef] [PubMed]
- Ware, W.A.; Hopper, D.L. Cardiac tumors in dogs: 1982–1995. J. Vet. Intern. Med. 1999, 13, 95–103. [Google Scholar] [CrossRef]
- Rossi, L.; Pilffer, R.; Turolla, E.; Frigerio, B.; Coumell, P.; James, T.N. Multifocal Purkinje-Like Tumor of the Heart Occurrence with Other Anatomic Abnormalities in the Atrioventricular Junction of an Infant with Junctional Tachycardia, Lown-Ganong-Levine Syndrome, and Sudden Death. Chest 1985, 87, 340–345. [Google Scholar] [CrossRef] [PubMed]
- Mansfield, C.S.; Callanan, J.J.; Mcallister, H. Intra-atrial rhabdomyoma causing chylopericardium and right-sided congestive heart failure in a dog. Vet. Rec. 2000, 147, 264–267. [Google Scholar] [CrossRef] [PubMed]









Disclaimer/Publisher’s Note: The statements, opinions and data contained in all publications are solely those of the individual author(s) and contributor(s) and not of MDPI and/or the editor(s). MDPI and/or the editor(s) disclaim responsibility for any injury to people or property resulting from any ideas, methods, instructions or products referred to in the content. |
© 2024 by the authors. Licensee MDPI, Basel, Switzerland. This article is an open access article distributed under the terms and conditions of the Creative Commons Attribution (CC BY) license (https://creativecommons.org/licenses/by/4.0/).
Share and Cite
Giordano, E.; Ponticelli, I.; Attard, S.; Pagano, T.B.; Pisu, M.C. Ultrasound, Histomorphologic, and Immunohistochemical Analysis of a Cardiac Tumor with Increased Purkinje Cells Detected in a Canine Fetus 42 Days into Pregnancy. Vet. Sci. 2024, 11, 216. https://doi.org/10.3390/vetsci11050216
Giordano E, Ponticelli I, Attard S, Pagano TB, Pisu MC. Ultrasound, Histomorphologic, and Immunohistochemical Analysis of a Cardiac Tumor with Increased Purkinje Cells Detected in a Canine Fetus 42 Days into Pregnancy. Veterinary Sciences. 2024; 11(5):216. https://doi.org/10.3390/vetsci11050216
Chicago/Turabian StyleGiordano, Enrico, Ignazio Ponticelli, Simona Attard, Teresa Bruna Pagano, and Maria Carmela Pisu. 2024. "Ultrasound, Histomorphologic, and Immunohistochemical Analysis of a Cardiac Tumor with Increased Purkinje Cells Detected in a Canine Fetus 42 Days into Pregnancy" Veterinary Sciences 11, no. 5: 216. https://doi.org/10.3390/vetsci11050216
APA StyleGiordano, E., Ponticelli, I., Attard, S., Pagano, T. B., & Pisu, M. C. (2024). Ultrasound, Histomorphologic, and Immunohistochemical Analysis of a Cardiac Tumor with Increased Purkinje Cells Detected in a Canine Fetus 42 Days into Pregnancy. Veterinary Sciences, 11(5), 216. https://doi.org/10.3390/vetsci11050216

