Study on the Hepatoprotective Effect Mechanism of Polysaccharides from Charred Angelica sinensis on the Layer Chickens Based on the Detection of the Intestinal Floras and Short-Chain Fatty Acids of Cecal Contents and Association Analysis
Abstract
:Simple Summary
Abstract
1. Introduction
2. Materials and Methods
2.1. The Animal Experiment Program, Sampling, and Liver Histological Observation
2.2. Sequencing and Analysis of 16S rDNA Amplicon of Cecum Content Floras
2.2.1. DNA Extraction
2.2.2. PCR Amplification
2.2.3. Mixing and Purification of PCR Products
2.2.4. Library Construction and Computer Sequencing
2.2.5. Information Analysis Process
2.3. Short-Chain Fatty Acid Targeted Metabolomics Research Methods
2.3.1. Standards Preparation
2.3.2. Metabolite Extraction
2.3.3. QC Samples Preparation
2.3.4. GC-MS Analysis
2.3.5. Data Processing
2.4. Combined Analysis of Intestinal Floras and Short-Chain Fatty Acids
3. Results
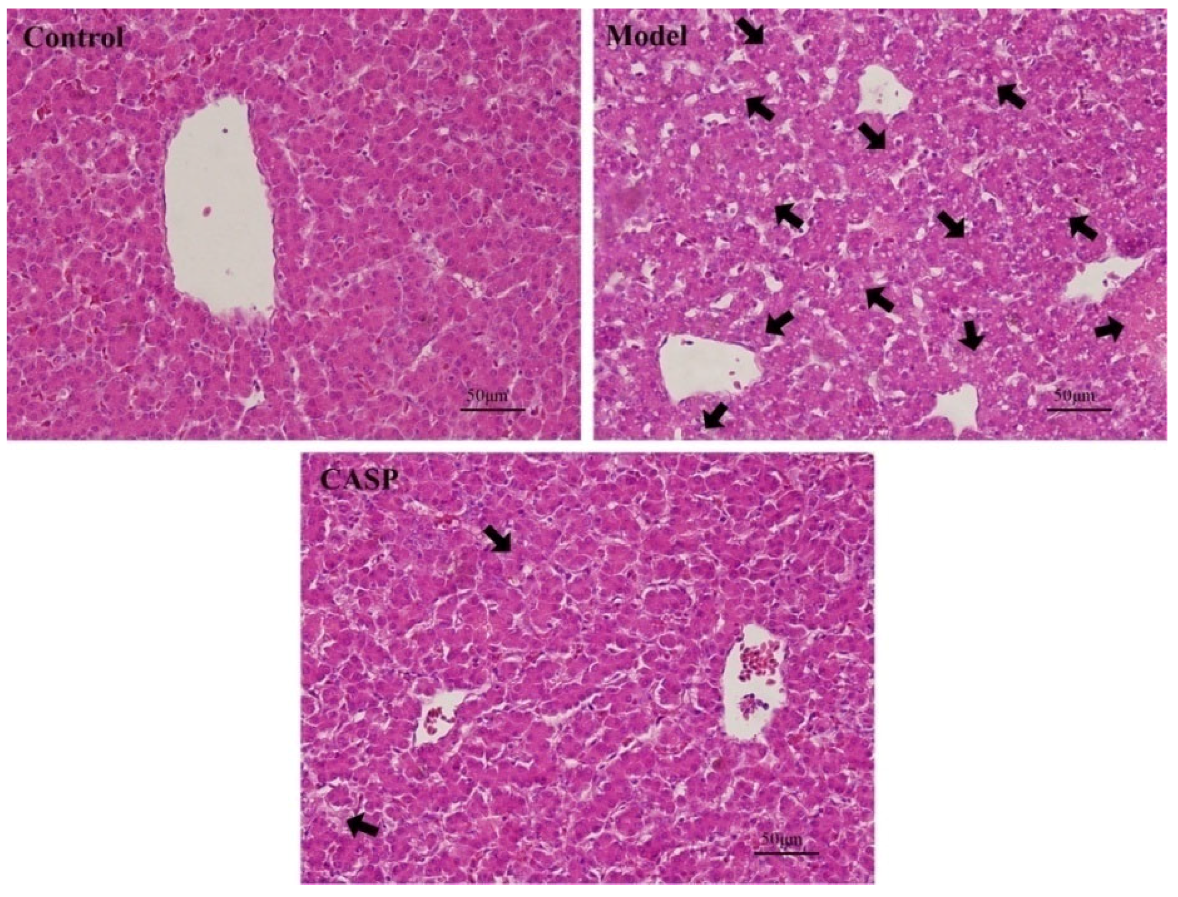
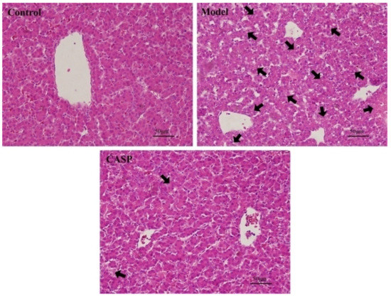
3.1. Liver Histological Observation
3.1.1. HE Staining
3.1.2. Transmission Electron Microscopy
3.2. Analysis Results of Intestinal Floras
3.2.1. 16S rDNA Amplicon Sequencing Data Preprocessing and Quality Control Statistics
3.2.2. Analysis Results of Richness and Uniformity of Samples in Each Group
3.2.3. Venn Analysis of OTUs Distribution in Cecum Content Floras
3.2.4. Relative Abundance Analysis Results of Cecum Content Floras
Relative Abundance of Floras Distribution at the Phylum Level
Relative Abundance of Floras Distribution at the Genus Level
3.2.5. The α Diversity Analysis of Cecum Content Floras in Each Group
3.2.6. PCoA Analysis of Cecum Content Floras in Each Group
3.2.7. Analysis of Differential Floras of Cecal Contents in Each Group
Anosim Analysis of Cecum Content Floras in Each Group
STAMP Difference Analysis of Cecum Content Floras in Each Group
3.2.8. KEGG Function Prediction
3.3. Analysis Results of Short-Chain Fatty Acids
3.3.1. The Detection of SCFAs in Cecal Contents of Chickens in Each Group
3.3.2. Heatmap Analysis between SCFAs and Different Intestinal Floras of Chicken Cecum Contents
3.4. Correlation Analysis of Intestinal Floras and SCFAs in Chicken Cecum Contents
3.4.1. Correlation Analysis of Intestinal Floras and SCFAs in Chicken Cecum Contents between the Normal Control Group and the Model Group
3.4.2. Correlation Analysis of Intestinal Floras and SCFAs in Chicken Cecum Contents between the Normal Control Group and the Intervention Group of CASP
3.4.3. Correlation Analysis of Intestinal Floras and SCFAs in Chicken Cecum Contents between the Model Group and the Intervention Group of CASP
4. Discussion
5. Conclusions
Author Contributions
Funding
Institutional Review Board Statement
Informed Consent Statement
Data Availability Statement
Acknowledgments
Conflicts of Interest
References
- Liu, S.L.; Ji, P.; Wei, Y.M.; He, J.; Li, C.C.; Hua, Y.L.; Yao, W.L.; Zhang, X.S.; Yuan, Z.W. Establishment of liver injury model induced by ceftiofur sodium combined with Lipopolysaccharide. Prog. Vet. Sci. 2020, 41, 86–90. [Google Scholar]
- Wu, F.L.; Hu, Y.H.; Ji, P.; Li, C.C.; He, J. Metabonomics study on the hepatoprotective effect mechanism of polysaccharides from different processed products of Angelica sinensis on layer chickens based on UPLC-Q/TOF-MS/MS, multivariate statistical analysis and conjoint analysis. Biomed. Chromatogr. 2022, 36, e5362. [Google Scholar] [CrossRef] [PubMed]
- Zhao, J.H.; Mao, X.R. Mechanism of intestinal flora in the pathogenesis and treatment of nonalcoholic fatty liver disease. J. Lanzhou Univ. Med. Sci. 2019, 45, 79–85. [Google Scholar]
- Wang, L.; Cao, Z.M.; Zhang, L.L.; Li, J.M.; Lv, W.L. The Role of Gut Microbiota in Some Liver Diseases: From an Immunological Perspective. Front. Immunol. 2022, 13, 923599. [Google Scholar] [CrossRef]
- Liu, Q.; Tian, H.; Kang, Y.; Tian, Y.; Li, L.; Kang, X.; Yang, H.; Wang, Y.; Tian, J.; Zhang, F.; et al. Probiotics alleviate autoimmune hepatitis in mice through modulation of gut microbiota and intestinal permeability. J. Nutr. Biochem. 2021, 98, 108863. [Google Scholar] [CrossRef]
- Yin, R.; Liu, S.; Jiang, X.; Zhang, X.; Wei, F.; Hu, J. The Qingchangligan Formula Alleviates Acute Liver Failure by Regulating Galactose Metabolism and Gut Microbiota. Front. Cell. Infect. Microbiol. 2022, 11, 771483. [Google Scholar] [CrossRef]
- Wang, F.Z.; Cui, Q.R.; Zeng, Y.N.; Chen, P. Intestinal flora-an important participant in liver diseases. J. South Med. Univ. 2020, 40, 595–600. [Google Scholar]
- Zhao, M.Q.; Wang, J.; Cui, N.L.; Zhang, X.Q. Research progress on the relationship between SCFAs and intestinal diseases. Chin. J. Modern Med. 2020, 22, 105–108. [Google Scholar]
- Zhou, D.; Fan, J.G. Study on the effect of intestinal flora-SCFAs in metabolic diseases. Chin. J. Gastroenterol. Hepatol. 2016, 25, 330–332. [Google Scholar]
- Wu, J.X. Study on the Efficacy and Mechanism of Mussel Polysaccharide on NAFLD Based on “Intestinal Flora-Intestinal-Liver Axis”; Shandong University: Jinan, China, 2019. [Google Scholar]
- Jin, P.F. Effect and Mechanism of Probiotics on LPS Induced Liver Injury and Expression of Inflammatory Factors in Mice; Zhejiang University: Hangzhou, China, 2015. [Google Scholar]
- Yu, J.M.; Xie, Q.X.; Xu, H.; Qi, X.Y.; Chen, Z.; Xu, H.Y.; Gu, W. Effects of compound microecological preparations of Chinese herbal medicine on intestinal flora and liver function in Broilers. China Feed 2016, 11, 26–29. [Google Scholar]
- Zhang, J. Protective Effect of Okra on Liver and Moderating Effect of Intestinal Flora; Shaanxi Normal University: Xi’an, China, 2019. [Google Scholar]
- Zhu, Q.; Wang, X.G.; Wang, Q.; Yuan, D.S. Effect of Xiaozhi Decoction on main intestinal flora in mice with nonalcoholic steatohepatitis. Chin. J. Exp. Tradit. Med. Form. 2017, 23, 164–170. [Google Scholar]
- He, J. Intervention Effect of Polysaccharides from Different Processed Products of Angelica sinensis on Chicken Liver Injury Induced by Ceftiofur Sodium Combined with LPS; Gansu Agricultural University: Lanzhou, China, 2019. [Google Scholar]
- Qiu, J.L.; Zhang, G.F.; Chai, Y.N.; Han, X.Y.; Zheng, H.T.; Li, X.F.; Duan, F.; Chen, L.Y. Ligustrazine Attenuates Liver Fibrosis by Targeting miR-145 Mediated Transforming Growth Factor-β/Smad Signaling in an Animal Model of Biliary Atresia. J. Pharmacol. Exp. Ther. 2022, 381, 257–265. [Google Scholar] [CrossRef]
- Feng, S.; Tong, H.; Gao, J.H.; Tang, S.H.; Yang, W.J.; Wang, G.M.; Zhou, H.Y.; Wen, S.L. Anti-inflammation treatment for protection of hepatocytes and amelioration of hepatic fibrosis in rats. Exp. Ther. Med. 2021, 22, 1213. [Google Scholar] [CrossRef]
- Xu, Q.; Xu, J.; Zhang, K.; Zhong, M.; Cao, H.; Wei, R.; Jin, L.; Gao, Y. Study on the protective effect and mechanism of Dicliptera chinensis (L.) Juss (Acanthaceae) polysaccharide on immune liver injury induced by LPS. Biomed. Pharmacother. 2021, 134, 111159. [Google Scholar] [CrossRef]
- Li, F.; Huang, D.; Nie, S.; Xie, M. Polysaccharide from the Seeds of Plantago asiatica L. Protect Against Lipopolysaccharide-Induced Liver Injury. J. Med. Food. 2019, 22, 1058–1066. [Google Scholar] [CrossRef]
- Wu, L.; Zhou, K.; Yang, Z.; Li, J.; Chen, G.; Wu, Q.; Lv, X.; Hu, W.; Rao, P.; Ai, L.; et al. Monascuspiloin from Monascus-Fermented Red Mold Rice Alleviates Alcoholic Liver Injury and Modulates Intestinal Microbiota. Foods 2022, 30, 3048. [Google Scholar] [CrossRef]
- Shi, J.C.; Li, J.K.; Jia, L.; Lv, J.C.; Shang, Z.H.; Zhang, T. Effects of Fermented Traditional Chinese Medicine on the Growth Performance, Antibody Level and Intestinal Flora of Laying Hens. Chin. Anim. Husban Vet. Med. 2022, 6, 2145–2155. [Google Scholar]
- Zhang, R.J.; Pan, S.Y.; Bai, Y.Y.; Wang, G.Q.; Wang, S.Y. Regulation mechanism of microbial feed additive YiShengKang on nutritional metabolism and immune function of Broilers. J. China Agric. Univ. 2005, 10, 40–47. [Google Scholar]
- Zhang, Z.; Liu, C.H.; Zhang, J.H.; Lu, Y.; Zhang, Y.; Ma, W.; Wang, C.Q. Effects of dietary add to N-carbamoyl glutamic acid on intestinal morphological development and cecal microflora of roosters. China Feed 2021, 44, 52–56. [Google Scholar]
- Liu, B. Analysis of Nutrient Metabolic Rate, Immune Function and Intestinal Flora of Broilers with Different Production Performance; Jilin Agricultural University: Changchun, China, 2017. [Google Scholar]
- Xing, G.R. Effects of Bacillus coagulans on Performance, Immunity and Intestinal Health of Late Laying Period; Shihezi University: Shihezi, China, 2019. [Google Scholar]
- Li, W.Y. Study on Characteristic Changes of Intestinal Flora in Patients with Nonalcoholic Steatohepatitis Based on TCM Syndrome; Beijing University of Traditional Chinese Medicine: Beijing, China, 2018. [Google Scholar]
- Yang, B.W.; Sun, T.N.; Yang, C.Y.; Xiang, H.B.; Xiong, J.; Bao, S.T. Cholestatic liver disease induced by common bile duct ligation promotes the change of intestinal flora. Chin. J. Exp. Surg. 2022, 39, 451–454. [Google Scholar]
- Demirci, M.; Tokman., H.B.; Taner, Z.; Keskin, F.E.; Çağatay, P.; Ozturk, B.Y.; Özyazar, M.; Kiraz, N.; Kocazeybek, B.S. Bacteroidetes and Firmicutes levels in gut microbiota and effects of hosts TLR2/TLR4 gene expression levels in adult type 1 diabetes patients in Istanbul, Turkey. J. Diabetes Complicat. 2020, 34, 107449. [Google Scholar] [CrossRef] [PubMed]
- Cui, C.; Shen, C.J.; Jia, G.; Wang, K.N. Effect of dietary Bacillus subtilis on proportion of Bacteroidetes and Firmicutes in swine intestine and lipid metabolism. Genet. Mol. Res. 2013, 12, 1766–1776. [Google Scholar] [CrossRef] [PubMed]
- Kappler, K.; Yi, L.; Smith, D.F.; Opitz, L.; Hennet, T. Increased Antibody Response to Fucosylated Oligosaccharides and Fucose-Carrying Bacteroides Species in Crohn’s Disease. Front. Microbiol. 2020, 11, 1553. [Google Scholar] [CrossRef] [PubMed]
- Li, P. Geographical Differences of Intestinal Flora and Their Effects on Disease Models; Southern Medical University: Guangzhou, China, 2019. [Google Scholar]
- Li, Y.J. Effects of Bacillus amyloliquefaciens TL on Growth and Cecal flora in Broilers; Huazhong Agricultural University: Wuhan, China, 2016. [Google Scholar]
- Li, H.Y.; Wang, J.; Sheng, C.L.; Zhao, X.N. Analysis of chronic liver injury and Th1/Th2 cell function changes induced by Helicobacter hepaticus in different strains of mice. Chin. J. Lab. Diagn. 2015, 19, 2004–2008. [Google Scholar]
- Burich, A.; Hershberg, R.; Waggie, K.; Zeng, W.P.; Brabb, T.; Westrich, G.; Viney, J.L.; Maggio-Price, L. Helieobaeter-induced inflammatory bowel disease in IL-10 and T Cell-deficient mice. Am. J. Physiol. Gastrointest. Liver Physiol. 2001, 28, 764–778. [Google Scholar] [CrossRef] [PubMed]
- Jin, Y.Y.; Xu, B.; Wang, L.Y.; Sun, Q.Y.; Xi, Y.Y.; Yuan, Y.Z.; Wang, G.L.; Fu, C.; Li, S.Y. Effects of enzymatic hydrolysis of Artemisia annua combined with Bacillus licheniformis on growth performance and cecal flora of Broilers. J. Anim. Nutr. 2021, 33, 3810–3820. [Google Scholar]
- Wang, Y.F.; Lin, P.; Lu, J.M.; Zhang, M.; Li, L.; Yang, X.X.; Yu, J. Effects of Polygonum multiflorum and its main component stilbene glycoside on intestinal short chain fatty acid production in nonalcoholic fatty liver rats. Modern Chin. Med. 2017, 19, 1254–1261. [Google Scholar]
- Judith, A.W.; Chloé, V.; Julia, W.; Phuong, L.; Adriaan, G.; Holleboom, J.V.; Max, N.; Karine, C. Gut microbiota and human NAFLD: Disentangling microbial signatures from metabolic disorders. Nat. Rev. Gastroenterol. Hepatol. 2020, 17, 279–297. [Google Scholar]
- Wang, L.X.; Liu, Y.H.; Zhu, J.K.; Zhong, Y.; Li, L.S.; Xu, J.D. Research progress of short chain fatty acids in disease treatment. World Chin. J. Dig. 2017, 25, 1179–1186. [Google Scholar] [CrossRef]
- Li, H.; Shi, J.; Zhao, L.; Guan, J.Q.; Liu, F.; Huo, G.C.; Li, B.L. Lactobacillus plantarum KLDS1.0344 and Lactobacillus acidophilus KLDS1.0901 Mixture Prevents Chronic Alcoholic Liver Injury in Mice by Protecting the Intestinal Barrier and Regulating Gut Microbiota and Liver-Related Pathways. J. Agric. Food Chem. 2021, 69, 183–197. [Google Scholar] [CrossRef]
- Yang, L.; Zhang, B.; Guan, S.X.; Hou, L.L.; Cheng, J.; Jiang, J.H. Changes of serum short chain fatty acid levels in NAFLD rats. Acta Univ. Med. Anhui 2017, 52, 224–227. [Google Scholar]
- Li, M.; Liu, S.X.; Wang, M.Y.; Liu, M.; Hu, H.W.; Ding, Z.B.; Huang, Y.K. Levels of short-chain fatty acids in enterobacteria-related metabolites in the feces of infants with cholestatic hepatopathy. Chin. J. Contemp. Pediatr. 2019, 21, 676–679. [Google Scholar]
- Li, H.; Wang, X.H.; Ma, Z.Q.; Ma, W.X.; Yang, L.P. Clinical significance of the determination of fecal short-chain fatty acids in patients with nonalcoholic fatty liver disease. J. Clin. Hepatol. 2022, 38, 1299–1306. [Google Scholar]
- Li, Y.T. Effects of Phytosterol Esters on Intestinal Microflora in NAFLD Rats; Shanghai Jiaotong University: Shanghai, China, 2018. [Google Scholar]
- Wang, L.; Zou, L.; Li, J.; Yang, H.; Yin, Y. Effect of dietary folate level on organ weight, digesta pH, short-chain fatty acid concentration, and intestinal microbiota of weaned piglets. J. Anim. Sci. 2021, 99, skab015. [Google Scholar] [CrossRef]
- Peng, Y.; Chai, M.M.; Cui, X.P.; Wang, M.; Li, Y.Y.; Wang, Y.H. Effects of butyric acid additives and their combination with synbiotics on growth performance and intestinal health of Broilers. J. Anim. Nutr. 2020, 32, 5145–5157. [Google Scholar]
















| Sample | Reads | Bases | Q20 | Q20Rate | Q30 | Q30Rate | GC | N |
|---|---|---|---|---|---|---|---|---|
| ZTPSN20BW097-K13 | 219,822 | 54,405,945 | 53,095,006 | 97.59 | 51,009,017 | 93.76 | 28,653,280 | 369 |
| ZTPSN20BW098-K9 | 230,424 | 56,914,728 | 55,492,538 | 97.5 | 53,235,081 | 93.53 | 29,840,847 | 483 |
| ZTPSN20BW099-K10 | 241,658 | 59,568,697 | 58,033,670 | 97.42 | 55,591,097 | 93.32 | 31,056,569 | 568 |
| ZTPSN20BW100-K11 | 223,926 | 55,085,796 | 53,643,629 | 97.38 | 51,383,229 | 93.28 | 29,449,720 | 606 |
| ZTPSN20BW101-K12 | 256,786 | 63,554,535 | 61,918,471 | 97.43 | 59,329,503 | 93.35 | 33,954,429 | 709 |
| ZTPSN20BW102-K14 | 257,258 | 63,542,726 | 61,985,848 | 97.55 | 59,481,218 | 93.61 | 33,549,341 | 503 |
| ZTPSN20BW103-M8 | 207,452 | 51,136,918 | 49,870,028 | 97.52 | 47,847,271 | 93.57 | 26,914,916 | 375 |
| ZTPSN20BW104-M9 | 230,724 | 56,758,104 | 55,342,887 | 97.51 | 53,074,709 | 93.51 | 30,475,442 | 431 |
| ZTPSN20BW105-M10 | 244,884 | 60,608,790 | 59,146,038 | 97.59 | 56,800,744 | 93.72 | 31,486,693 | 410 |
| ZTPSN20BW106-M11 | 267,806 | 66,148,082 | 64,638,064 | 97.72 | 62,180,328 | 94 | 35,509,484 | 698 |
| ZTPSN20BW107-M12 | 239,984 | 59,156,056 | 57,663,073 | 97.48 | 55,255,279 | 93.41 | 31,245,292 | 514 |
| ZTPSN20BW108-M14 | 250,800 | 61,696,800 | 60,124,246 | 97.45 | 57,626,784 | 93.4 | 31,966,576 | 276 |
| ZTPSN20BW109-CH9 | 232,454 | 57,532,365 | 56,130,840 | 97.56 | 53,912,004 | 93.71 | 30,513,417 | 569 |
| ZTPSN20BW110-CH16 | 232,930 | 57,533,710 | 56,085,840 | 97.48 | 53,781,860 | 93.48 | 30,340,874 | 418 |
| ZTPSN20BW111-CH11 | 248,776 | 61,323,284 | 59,739,475 | 97.42 | 57,195,183 | 93.27 | 32,461,557 | 524 |
| ZTPSN20BW112-CH12 | 228,298 | 56,161,308 | 54,682,599 | 97.37 | 52,362,377 | 93.24 | 29,843,898 | 543 |
| ZTPSN20BW113-CH13 | 210,354 | 52,062,615 | 50,702,981 | 97.39 | 48,587,756 | 93.33 | 27,086,986 | 571 |
| ZTPSN20BW114-CH15 | 237,158 | 58,578,026 | 57,125,402 | 97.52 | 54,829,483 | 93.6 | 30,437,818 | 341 |
Disclaimer/Publisher’s Note: The statements, opinions and data contained in all publications are solely those of the individual author(s) and contributor(s) and not of MDPI and/or the editor(s). MDPI and/or the editor(s) disclaim responsibility for any injury to people or property resulting from any ideas, methods, instructions or products referred to in the content. |
© 2023 by the authors. Licensee MDPI, Basel, Switzerland. This article is an open access article distributed under the terms and conditions of the Creative Commons Attribution (CC BY) license (https://creativecommons.org/licenses/by/4.0/).
Share and Cite
Wu, F.; Ji, P.; Hu, Y.; Li, C.; He, J. Study on the Hepatoprotective Effect Mechanism of Polysaccharides from Charred Angelica sinensis on the Layer Chickens Based on the Detection of the Intestinal Floras and Short-Chain Fatty Acids of Cecal Contents and Association Analysis. Vet. Sci. 2023, 10, 224. https://doi.org/10.3390/vetsci10030224
Wu F, Ji P, Hu Y, Li C, He J. Study on the Hepatoprotective Effect Mechanism of Polysaccharides from Charred Angelica sinensis on the Layer Chickens Based on the Detection of the Intestinal Floras and Short-Chain Fatty Acids of Cecal Contents and Association Analysis. Veterinary Sciences. 2023; 10(3):224. https://doi.org/10.3390/vetsci10030224
Chicago/Turabian StyleWu, Fanlin, Peng Ji, Yonghao Hu, Chenchen Li, and Jian He. 2023. "Study on the Hepatoprotective Effect Mechanism of Polysaccharides from Charred Angelica sinensis on the Layer Chickens Based on the Detection of the Intestinal Floras and Short-Chain Fatty Acids of Cecal Contents and Association Analysis" Veterinary Sciences 10, no. 3: 224. https://doi.org/10.3390/vetsci10030224
APA StyleWu, F., Ji, P., Hu, Y., Li, C., & He, J. (2023). Study on the Hepatoprotective Effect Mechanism of Polysaccharides from Charred Angelica sinensis on the Layer Chickens Based on the Detection of the Intestinal Floras and Short-Chain Fatty Acids of Cecal Contents and Association Analysis. Veterinary Sciences, 10(3), 224. https://doi.org/10.3390/vetsci10030224
