Surgical Stabilisation of a Coxofemoral Luxation in a Northern Goshawk (Accipter gentilis) with Transarticular Pinning
Abstract
:Simple Summary
Abstract
1. Introduction
2. Case Presentation
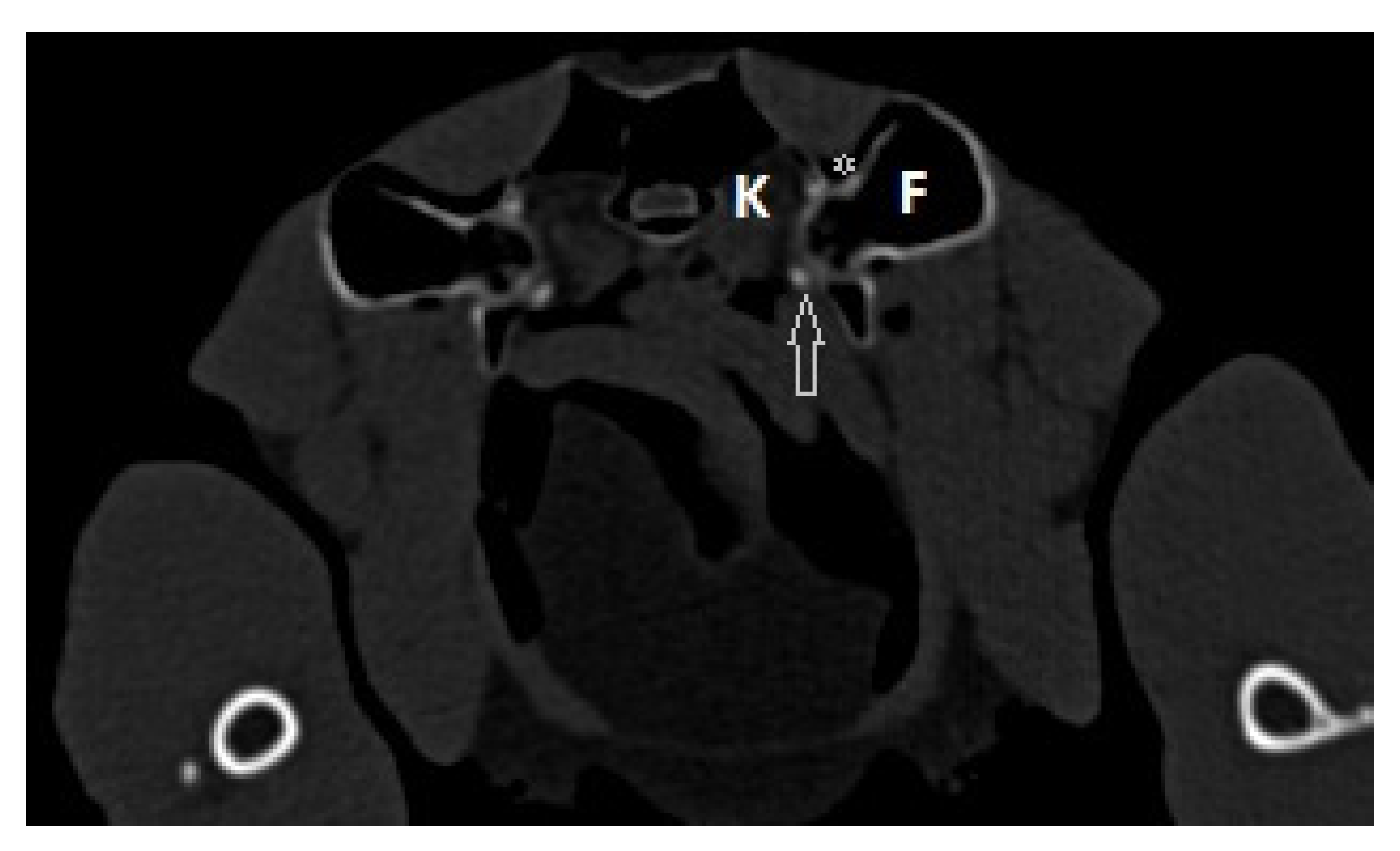
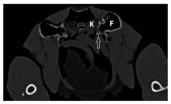
2.1. History and Clinical Examination
2.2. Surgical Procedure and Post-Surgery Management
3. Discussion
4. Conclusions
Author Contributions
Funding
Institutional Review Board Statement
Informed Consent Statement
Data Availability Statement
Conflicts of Interest
References
- McDermott, M. Accipitrine Behavioral Problems: Diagnosis & Treatment, 1st ed.; Mc Dermott: St. Louis, MO, USA, 2004. [Google Scholar]
- Azmanis, P.N.; Wernick, M.B.; Hatt, J.-M. Avian Luxations: Occurrence, diagnosis and treatment. Vet. Q. 2014, 34, 11–21. [Google Scholar] [CrossRef] [PubMed]
- Gonzales, M.S. Avian articular orthopedics. Vet. Clin. N. Am. Exot. Anim. Pract. 2019, 22, 239–251. [Google Scholar] [CrossRef] [PubMed]
- Martin, H.D.; Kabler, R.; Sealing, L. The avian coxofemoral joint: A review of regional anatomy and report of an open reduction technique for repair of a coxofemoral luxation. J. Assoc. Avian Vet. 1994, 8, 164–172. [Google Scholar] [CrossRef]
- Baumel, J.J.; Raikow, R.J. Arthrologia. In Handbook of Avian Anatomy: Nomina Anatomica Avium; Baumel, J.J., Ed.; Nuttall Ornithological Club: Cambridge, MA, USA, 1993; pp. 133–218. [Google Scholar]
- Roush, J.C. Avian orthopedics. In Current Veterinary Therapy, 7th ed.; Kirk, R.W., Ed.; Saunders WB: Philadelphia, PA, USA, 1980; pp. 662–673. [Google Scholar]
- Altman, R.B. Disorders of the skeletal system. In Diseases in Cage and Aviary Birds, 2nd ed.; Petrak, M.L., Ed.; Lea & Febiger: Philadelphia, PA, USA, 1982; pp. 141–142. [Google Scholar]
- Mac Coy, D.M. Excision arthroplasty for management of coxofemoral luxation in pet birds. J. Am. Vet. Med. Assoc. 1989, 194, 95–97. [Google Scholar] [PubMed]
- Stauber, E.; Mulholland, J.A.; Levine, E.W.; Suzuki, Y.; Hall, J. Succesfull rehabilitation of a severely injured peregrine falcon. J. Avian Med. Surg. 2008, 22, 346–350. [Google Scholar] [CrossRef] [PubMed]
- Risi, E.; Ordonneau, D.; Gauthier, O. Two cases femoral head luxations in cormorants (Phalacrocorax carbo) treated with modified Meij-Hazewinkel-Nap technique. In Proceedings of the European Association of Avian Veterinarians, Arles, France, 26–30 April 2005; pp. 190–195. [Google Scholar]
- Yazici, M.F. Surgical correction of a coxofenoral luxation in a European Honey buzzard (Pernis apivorus) by incorporating a toggle-pin technique: A case report. J. Exot. Pet. Med. 2020, 33, 7–9. [Google Scholar] [CrossRef]
- Ackermann, J.; Porter, S. Femoral head osteotomy in a red-shouldered hawk (Buteo lineatus). J. Avian Med. Surg. 1995, 9, 127–130. [Google Scholar]
- Campbell, T.W. Excision arthroplasty in a Toco tucan (Ramphastos toco toco) for the correction of an osteoarthritis of the right coxofemoral joint. In Proceedings of the First Conference on Zoological and Avian Medicine of the Association of Avian Veterinarians and American Association of Zoo Veterinarians, Oahu, HI, USA, 6–11 September 1987; pp. 277–278. [Google Scholar]
- Moisuk-Burgdorf, A.; Whittington, J.K.; Bennett, R.A.; McFaden, M.; Mitchell, M.; Obrien, R. Successful management of simple fractures of the femoral neck withfemoral head and neck excision arthroplasty in two free-living avian species. J. Avian Med. Surg. 2011, 25, 210–215. [Google Scholar] [CrossRef] [PubMed]
- Sissener, T.R.; Whitelock, R.G.; Langley-Hobbs, S.J. Long-term results of transarticular pinning for surgical stabilization of coxofemoral luxation in 20 cats. J. Small Anim. Pract. 2009, 50, 112–117. [Google Scholar] [CrossRef] [PubMed]
- Bennett, R.A.; Altman, B.R. Orthopedic surgery. In Avian Medicine, 1st ed.; Altman, B.R., Clubb, L.S., Dorrestein, G.M., Quesenberry, K., Eds.; WB Saunders: Philadelphia, PA, USA, 1997; pp. 733–766. [Google Scholar]
- Hatt, J.-M. Hard tissue surgery. In BSAVA Manual of Raptors, Pigeons and Passerine Birds; Chitty, J., Lierz, M., Eds.; British Small Animal Veterinary Association: Gloucester, UK, 2008; pp. 157–175. [Google Scholar]
- Harcourt-Brown, N.H. Orthopedic conditions that affect the avian pelvic limb. Vet. Clin. N. Am. Exot. Anim. Pract. 2002, 5, 49–81. [Google Scholar] [CrossRef] [PubMed]







Disclaimer/Publisher’s Note: The statements, opinions and data contained in all publications are solely those of the individual author(s) and contributor(s) and not of MDPI and/or the editor(s). MDPI and/or the editor(s) disclaim responsibility for any injury to people or property resulting from any ideas, methods, instructions or products referred to in the content. |
© 2023 by the authors. Licensee MDPI, Basel, Switzerland. This article is an open access article distributed under the terms and conditions of the Creative Commons Attribution (CC BY) license (https://creativecommons.org/licenses/by/4.0/).
Share and Cite
Legler, M.; Guddorf, V.; Fehr, M. Surgical Stabilisation of a Coxofemoral Luxation in a Northern Goshawk (Accipter gentilis) with Transarticular Pinning. Vet. Sci. 2023, 10, 205. https://doi.org/10.3390/vetsci10030205
Legler M, Guddorf V, Fehr M. Surgical Stabilisation of a Coxofemoral Luxation in a Northern Goshawk (Accipter gentilis) with Transarticular Pinning. Veterinary Sciences. 2023; 10(3):205. https://doi.org/10.3390/vetsci10030205
Chicago/Turabian StyleLegler, Marko, Vanessa Guddorf, and Michael Fehr. 2023. "Surgical Stabilisation of a Coxofemoral Luxation in a Northern Goshawk (Accipter gentilis) with Transarticular Pinning" Veterinary Sciences 10, no. 3: 205. https://doi.org/10.3390/vetsci10030205
APA StyleLegler, M., Guddorf, V., & Fehr, M. (2023). Surgical Stabilisation of a Coxofemoral Luxation in a Northern Goshawk (Accipter gentilis) with Transarticular Pinning. Veterinary Sciences, 10(3), 205. https://doi.org/10.3390/vetsci10030205
