Epidemiological Investigation of Feline Upper Respiratory Tract Infection Encourages a Geographically Specific FCV Vaccine
Abstract
Simple Summary
Abstract
1. Introduction
2. Materials and Methods
2.1. Source of Samples and Collection Area
2.2. Ethical Approval and Owner Consent
2.3. Viral DNA Extraction
2.4. PCR/RT-PCR Detection
2.5. Histopathological Analysis
2.6. Nucleotide (nt) and Amino Acids (AA) Homology Comparison Analysis
2.7. Amino Acid Site Mutation Analysis
2.8. Phylogenetic Tree Analysis
2.9. Statistical Analysis
3. Results
3.1. Epidemiological Investigation
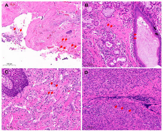
3.2. Histopathological Analysis
3.3. Comparison of Nucleotide and Amino-Acid Homology between FCV Strains
3.4. The Amino Acid Site Mutation Analysis
3.5. Phylogenetic Tree Analysis
4. Discussion
5. Conclusions
Author Contributions
Funding
Institutional Review Board Statement
Informed Consent Statement
Data Availability Statement
Acknowledgments
Conflicts of Interest
References
- Wheat, W.; Chow, L.; Coy, J.; Contreras, E.; Lappin, M.; Dow, S. Activation of Upper Respiratory Tract Mucosal Innate Immune Responses in Cats by Liposomal Toll-like Receptor Ligand Complexes Delivered Topically. J. Vet. Intern. Med. 2019, 33, 838–845. [Google Scholar] [CrossRef]
- Persico, P.; Roccabianca, P.; Corona, A.; Vercelli, A.; Cornegliani, L. Detection of Feline Herpes Virus 1 via Polymerase Chain Reaction and Immunohistochemistry in Cats with Ulcerative Facial Dermatitis, Eosinophilic Granuloma Complex Reaction Patterns and Mosquito Bite Hypersensitivity. Vet. Dermatol. 2011, 22, 521–527. [Google Scholar] [CrossRef] [PubMed]
- Thiry, E.; Addie, D.; Belák, S.; Boucraut-Baralon, C.; Egberink, H.; Frymus, T.; Gruffydd-Jones, T.; Hartmann, K.; Hosie, M.J.; Lloret, A.; et al. Feline Herpesvirus Infection ABCD Guidelines on Prevention and Management. J. Feline Med. Surg. 2009, 11, 547–555. [Google Scholar] [CrossRef] [PubMed]
- Wang, K.; Pei, Z.; Dong, H.; Yang, S.; Dong, G.; Hu, G. Isolation, Genomic Characterization and Pathogenicity of a Feline Calicivirus Strain Ch-Jl4 from Chinese Stray Cats. Pak. Vet. J. 2017, 37, 431–434. [Google Scholar]
- Gruffydd-Jones, T.; Addie, D.; Belák, S.; Boucraut-Baralon, C.; Egberink, H.; Frymus, T.; Hartmann, K.; Hosie, M.J.; Lloret, A.; Lutz, H.; et al. Chlamydophila Felis Infection ABCD Guidelines on Prevention and Management. J. Feline Med. Surg. 2009, 11, 605–609. [Google Scholar] [CrossRef]
- Waites, K.B.; Atkinson, T.P. The Role of Mycoplasma in Upper Respiratory Infections. Curr. Infect. Dis. Rep. 2009, 11, 198–206. [Google Scholar] [CrossRef]
- Sánchez-Vargas, F.M.; Gómez-Duarte, O.G. Mycoplasma Pneumoniae—An Emerging Extra-Pulmonary Pathogen. Clin. Microbiol. Infect. 2008, 14, 105–115. [Google Scholar] [CrossRef]
- Rao, M.; Agrawal, A.; Parikh, M.; Banayat, R.; Thomas, M.J.; Guo, T.; Lee, A. Mycoplasmal Upper Respiratory Infection Presenting as Leukocytoclastic Vasculitis. Infect. Dis. Rep. 2015, 7, 1–3. [Google Scholar] [CrossRef]
- Powell, C.C.; Gionfriddo, J. Clinical Techniques in Small Animal Practice: Foreword. Clin. Tech. Small Anim. Pract. 2003, 18. [Google Scholar] [CrossRef]
- Ström Holst, B.; Frössling, J. The Swedish Breeding Cat: Population Description, Infectious Diseases and Reproductive Performance Evaluated by a Questionnaire. J. Feline Med. Surg. 2009, 11, 793–802. [Google Scholar] [CrossRef]
- Helps, C.R.; Lait, P.; Damhuis, A.; Björnehammar, U.; Bolta, D.; Brovida, C.; Chabanne, L.; Egberink, H.; Ferrand, G.; Fontbonne, A.; et al. Factors Associated with Upper Respiratory Tract Disease Caused by Feline Herpesvirus, Feline Calicivirus, Chlamydophila Felis and Bordetella Bronchiseptica in Cats: Exerience from 218 European Catteries. Vet. Rec. 2005, 156, 669–673. [Google Scholar] [CrossRef] [PubMed]
- Holst, B.S.; Hanås, S.; Berndtsson, L.T.; Hansson, I.; Söderlund, R.; Aspán, A.; Sjödahl-Essén, T.; Bölske, G.; Greko, C. Infectious Causes for Feline Upper Respiratory Tract Disease—a Case-Control Study. J. Feline Med. Surg. 2010, 12, 783–789. [Google Scholar] [CrossRef] [PubMed]
- Binns, S.H.; Dawson, S.; Speakman, A.J.; Cuevas, L.E.; Hart, C.A.; Gaskell, C.J.; Morgan, K.L.; Gaskell, R.M. A Study of Feline Upper Respiratory Tract Disease with Reference to Prevalence and Risk Factors for Infection with Feline Calicivirus and Feline Herpesvirus. J. Feline Med. Surg. 2000, 2, 123–133. [Google Scholar] [CrossRef]
- Fernandez, M.; Manzanilla, E.G.; Lloret, A.; León, M.; Thibault, J.C. Prevalence of Feline Herpesvirus-1, Feline Calicivirus, Chlamydophila Felis and Mycoplasma Felis DNA and Associated Risk Factors in Cats in Spain with Upper Respiratory Tract Disease, Conjunctivitis and/or Gingivostomatitis. J. Feline Med. Surg. 2017, 19, 461–469. [Google Scholar] [CrossRef] [PubMed]
- Yi, S.; Niu, J.; Dong, H.; Hu, G.; Guo, Y.; Wang, K.; Zhang, S.; Zhao, Y. Rapid Detection of Feline Calicivirus and Feline Herpesvirus by Duplex Nested RT-PCR. Pak. Vet. J. 2018, 38, 346–352. [Google Scholar] [CrossRef]
- Bannasch, M.J.; Foley, J.E. Epidemiologic Evaluation of Multiple Respiratory Pathogens in Cats in Animal Shelters. J. Feline Med. Surg. 2005, 7, 109–119. [Google Scholar] [CrossRef]
- Ruch-Gallie, R.A.; Veir, J.K.; Spindel, M.E.; Lappin, M.R. Efficacy of Amoxycillin and Azithromycin for the Empirical Treatment of Shelter Cats with Suspected Bacterial Upper Respiratory Infections. J. Feline Med. Surg. 2008, 10, 542–550. [Google Scholar] [CrossRef]
- Kulyar, M.F.-A.; Yao, W.; Ding, Y.; Du, H.; Li, K.; Zhang, L.; Li, A.; Huachun, P.; Waqas, M.; Mehmood, K.; et al. Cluster of Differentiation 147 (CD147) Expression Is Linked with Thiram Induced Chondrocyte’s Apoptosis via Bcl-2/Bax/Caspase-3 Signalling in Tibial Growth Plate under Chlorogenic Acid Repercussion. Ecotoxicol. Environ. Saf. 2021, 213, 112059. [Google Scholar] [CrossRef]
- Liu, C.; Liu, Y.; Qian, P.; Cao, Y.; Wang, J.; Sun, C.Y.; Huang, B.; Cui, N.; Huo, N.; Wu, H.; et al. Molecular and Serological Investigation of Cat Viral Infectious Diseases in China from 2016 to 2019. Transbound. Emerg. Dis. 2020, 67, 2329–2335. [Google Scholar] [CrossRef]
- Schulz, B.S.; Richter, P.; Weber, K.; Mueller, R.S.; Wess, G.; Zenker, I.; Hartmann, K. Detection of Feline Mycoplasma Species in Cats with Feline Asthma and Chronic Bronchitis. J. Feline Med. Surg. 2014, 16, 943–949. [Google Scholar] [CrossRef]
- di Martino, B.; di Francesco, C.E.; Meridiani, I.; Marsilio, F. Etiological Investigation of Multiple Respiratory Infections in Cats. New Microbiol. 2007, 30, 455. [Google Scholar] [PubMed]
- Henzel, A.; Sá e Silva, M.; Luo, S.; Lovato, L.T.; Weiblen, R. Genetic and Phylogenetic Analyses of Capsid Protein Gene in Feline Calicivirus Isolates from Rio Grande Do Sul in Southern Brazil. Virus Res. 2012, 163, 667–671. [Google Scholar] [CrossRef] [PubMed]
- Slaoui, M.; Fiette, L. Histopathology Procedures: From Tissue Sampling to Histopathological Evaluation. Methods Mol. Biol. 2011, 691, 69–82. [Google Scholar] [CrossRef] [PubMed]
- Janeway, C.A., Jr.; Travers, P.; Walport, M.; Shlomchik, M.J. Pathogens Have Evolved Various Means of Evading or Subverting Normal Host Defenses. In Immunology: The Immune system in Health and Disease; Garland Science: New York, NY, USA, 2001. [Google Scholar]
- Seal, B.S.; Ridpath, J.F.; Mengeling, W.L. Analysis of Feline Calicivirus Capsid Protein Genes: Identification of Variable Antigenic Determinant Regions of the Protein. J. Gen. Virol. 1993, 74, 2519–2524. [Google Scholar] [CrossRef] [PubMed]
- Gourkow, N.; Lawson, J.H.; Hamon, S.C.; Phillips, C.J.C. Descriptive Epidemiology of Upper Respiratory Disease and Associated Risk Factors in Cats in an Animal Shelter in Coastal Western Canada. Can. Vet. J. 2013, 54, 132–138. [Google Scholar] [PubMed]
- Sağlam, M. Assessment of novel strategies for the prevention and treatment of feline upper respiratory tract infections in shelters and feline herpesvirus-1 in laboratory settings. In Proceedings of the FLEPS 2019—IEEE International Conference on Flexible and Printable Sensors and Systems, Glasgow, UK, 7–10 July 2019; Volume 6. [Google Scholar]
- Spiri, A.M.; Riond, B.; Stirn, M.; Novacco, M.; Meli, M.L.; Boretti, F.S.; Herbert, I.; Hosie, M.J.; Hofmann-Lehmann, R. Modified-Live Feline Calicivirus Vaccination Reduces Viral Rna Loads, Duration of Rnaemia, and the Severity of Clinical Signs after Heterologous Feline Calicivirus Challenge. Viruses 2021, 13, 1505. [Google Scholar] [CrossRef]
- Foley, J.E. Calicivirus: Spectrum of Disease. Consult. Feline Intern. Med. 2006, 5, 3–9. [Google Scholar] [CrossRef]
- Low, H.C.; Powell, C.C.; Veir, J.K.; Hawley, J.R.; Lappin, M.R. Prevalence of Feline Herpesvirus 1, Chlamydophila Felis, and Mycoplasma Spp DNA in Conjunctival Cells Collected from Cats with and without Conjunctivitis. Am. J. Vet. Res. 2007, 68, 643–648. [Google Scholar] [CrossRef]
- Sjödahl-Essén, T.; Tidholm, A.; Thorén, P.; Persson-Wadman, A.; Bölske, G.; Aspán, A.; Berndtsson, L.T. Evaluation of Different Sampling Methods and Results of Real-Time PCR for Detection of Feline Herpes Virus-1, Chlamydophila Felis and Mycoplasma Felis in Cats. Vet. Ophthalmol. 2008, 11, 375–380. [Google Scholar] [CrossRef]
- Magouz, A.; Lokman, M.S.; Albrakati, A.; Elmahallawy, E.K. First Report of Isolation and Molecular Characterization of Felid Herpesvirus-1 from Symptomatic Domestic Cats in Egypt. Vet. Sci. 2022, 9, 81. [Google Scholar] [CrossRef]
- Dinnage, J.D.; Scarlett, J.M.; Richards, J.R. Descriptive Epidemiology of Feline Upper Respiratory Tract Disease in an Animal Shelter. J. Feline Med. Surg. 2009, 11, 816–825. [Google Scholar] [CrossRef] [PubMed]
- Loyd, K.A.T.; Hernandez, S.M.; Abernathy, K.J.; Shock, B.C.; Marshall, G.J. Risk Behaviours Exhibited by Free-Roaming Cats in a Suburban US Town. Vet. Rec. 2013, 173, 295. [Google Scholar] [CrossRef] [PubMed]
- Strickler, B.L.; Shull, E.A. An Owner Survey of Toys, Activities, and Behavior Problems in Indoor Cats. J. Vet. Behav. Clin. Appl. Res. 2013, 9, 207–214. [Google Scholar] [CrossRef]
- Tran, V.; Kelman, M.; Ward, M.; Westman, M. Risk of Feline Immunodeficiency Virus (FIV) Infection in Pet Cats in Australia Is Higher in Areas of Lower Socioeconomic Status. Animals 2019, 9, 592. [Google Scholar] [CrossRef] [PubMed]
- Sandøe, P.; Nørspang, A.P.; Forkman, B.; Bjørnvad, C.R.; Kondrup, S.V.; Lund, T.B. The Burden of Domestication: A Representative Study of Welfare in Privately Owned Cats in Denmark. Anim. Welf. 2017, 26, 1–10. [Google Scholar] [CrossRef]
- Berger, A.; Willi, B.; Meli, M.L.; Boretti, F.S.; Hartnack, S.; Dreyfus, A.; Lutz, H.; Hofmann-Lehmann, R. Feline Calicivirus and Other Respiratory Pathogens in Cats with Feline Calicivirusrelated Symptoms and in Clinically Healthy Cats in Switzerland. BMC Vet. Res. 2015, 11, 1–12. [Google Scholar] [CrossRef]
- Al Hafid, M.K.; Susetya, H.; Nugroho, W.S. Cat Viral Diseases Patern in Prof. Soeparwi Animal Hospital in 2017–2019. In Proceedings of the IOP Conference Series: Earth and Environmental Science, Banjarbaru City, Indonesia, 23–24 October 2021; Volume 976. [Google Scholar]
- Poland, G.A. Influenza Vaccine Failure: Failure to Protect or Failure to Understand? Expert Rev. Vaccines 2018, 17, 495–502. [Google Scholar] [CrossRef]
- Barbic, L.; Madic, J.; Turk, N.; Daly, J. Vaccine Failure Caused an Outbreak of Equine Influenza in Croatia. Vet. Microbiol. 2009, 133, 164–171. [Google Scholar] [CrossRef]
- Seal, B.S.; Neill, J.D. Capsid Protein Gene Sequence of Feline Calicivirus Isolates 255 and LLK: Further Evidence for Capsid Protein Configuration among Feline Caliciviruses. Virus Genes 1995, 9, 183–187. [Google Scholar] [CrossRef]
- Zhou, L.; Fu, N.; Ding, L.; Li, Y.; Huang, J.; Sha, X.; Zhou, Q.; Song, X.; Zhang, B. Molecular Characterization and Cross-Reactivity of Feline Calicivirus Circulating in Southwestern China. Viruses 2021, 13, 1812. [Google Scholar] [CrossRef]
- Xu, D.; Jiang, S.; He, Y.; Jin, X.; Zhao, G.; Wang, B. Development of a Therapeutic Vaccine Targeting Merkel Cell Polyomavirus Capsid Protein VP1 against Merkel Cell Carcinoma. NPJ Vaccines 2021, 6, 1–8. [Google Scholar] [CrossRef] [PubMed]
- Xu, J.; Qian, Y.; Wang, S.; Serrano, J.M.G.; Li, W.; Huang, Z.; Lu, S. EV71: An Emerging Infectious Disease Vaccine Target in the Far East? Vaccine 2010, 28, 3516–3521. [Google Scholar] [CrossRef]
- Brunet, S.; Sigoillot-Claude, C.; Pialot, D.; Poulet, H. Multiple Correspondence Analysis on Amino Acid Properties within the Variable Region of the Capsid Protein Shows Differences between Classical and Virulent Systemic Feline Calicivirus Strains. Viruses 2019, 11, 1090. [Google Scholar] [CrossRef] [PubMed]
- Zhao, Y.; Chen, X.; Ying, Y.; Wang, K.; Dong, H.; Gao, C.; Yang, S.; Hu, G. Isolation and Phylogenetic Analysis of Three Feline Calicivirus Strains from Domestic Cats in Jilin Province, China. Arch. Virol. 2017, 162, 2579–2589. [Google Scholar] [CrossRef] [PubMed]





| Primer | Sequence (5’ to 3’) | Size | References |
|---|---|---|---|
| FHV-1 TK gene | F:GACGTGGTGAATTATC | 288 bp | [19] |
| R:CAACTAGATTTCCACCAGGA | |||
| FCV VP2 gene | F:TGGTGATGATGAATGGGCATC | 477 bp | This study. |
| R:ACACCAGAGCCAGAGATAGA | |||
| M. Felis 28S gene | F:CGCTAATAGGGAATGTGAGCTAGG | 121 bp | [20] |
| R:TGTCTGAACCTCCAGTTTCTCTGG | |||
| C. felis OMP2 gene | F:ATG TCC AAA CTC ATC AGA CGA G | 590 bp | [21] |
| R:CCT TCT TTA AGA GGT TTT ACC CA | |||
| FCV | F:TTCGGCCGTTTGTCTTCC | 679 bp | [22] |
| R:TTGTGAATTAAAGACATCAATAGACCT |
| Seasons * | No. of Positive Cats/Tested Cats% | NO. of Positive Cats/Tested Cats (%) | |||
|---|---|---|---|---|---|
| FCV | FHV-1 | M. felis | C. felis | ||
| Spring | 170/281 (60.5%) | 96/281 (34.2%) | 39/281 (13.9%) | 70/281 (24.9%) | 24/281 (8.5%) |
| Summer | 135/219 (61.6%) | 83/219 (37.9%) | 18/219 (8.2%) | 53/219 (24.2%) | 21/219 (9.6%) |
| Autumn | 200/299 (66.9%) | 136/299 (45.5%) | 41/299 (13.7%) | 90/299 (30.1%) | 23/299 (7.7%) |
| Winter | 239/359 (66.6%) | 150/359 (41.8%) | 82/359 (22.8%) | 98/359 (27.3%) | 17/359 (4.7%) |
| Total | 744/1158 (64.3%) | 465/1158 (40.2%) | 180/1158 (15.5%) | 311/1158 (26.9%) | 85/1158 (7.3%) |
| Reference Strain | F9 Vaccine | China | USA | UK | Japan | |
|---|---|---|---|---|---|---|
| Isolates | nt | 69.3–73.1 | 67.3–84.4 | 68.6–76.6 | 69.3–74.5 | 68.7–74.8 |
| AA | 91.8–93.8 | 90–96.7 | 90.3–94.8 | 90.9–93.9 | 90.5–94.7 |
Disclaimer/Publisher’s Note: The statements, opinions and data contained in all publications are solely those of the individual author(s) and contributor(s) and not of MDPI and/or the editor(s). MDPI and/or the editor(s) disclaim responsibility for any injury to people or property resulting from any ideas, methods, instructions or products referred to in the content. |
© 2023 by the authors. Licensee MDPI, Basel, Switzerland. This article is an open access article distributed under the terms and conditions of the Creative Commons Attribution (CC BY) license (https://creativecommons.org/licenses/by/4.0/).
Share and Cite
Gao, J.; Li, Y.; Xie, Q.; Al-zaban, M.I.; Al-Saeed, F.A.; Shati, A.A.; Al-Doaiss, A.A.; Ahmed, A.E.; Nawaz, S.; Ebrahem, H.; et al. Epidemiological Investigation of Feline Upper Respiratory Tract Infection Encourages a Geographically Specific FCV Vaccine. Vet. Sci. 2023, 10, 46. https://doi.org/10.3390/vetsci10010046
Gao J, Li Y, Xie Q, Al-zaban MI, Al-Saeed FA, Shati AA, Al-Doaiss AA, Ahmed AE, Nawaz S, Ebrahem H, et al. Epidemiological Investigation of Feline Upper Respiratory Tract Infection Encourages a Geographically Specific FCV Vaccine. Veterinary Sciences. 2023; 10(1):46. https://doi.org/10.3390/vetsci10010046
Chicago/Turabian StyleGao, Jindong, Yan Li, Qiyun Xie, Mayasar I. Al-zaban, Fatimah A. Al-Saeed, Ali A. Shati, Amin A. Al-Doaiss, Ahmed Ezzat Ahmed, Shah Nawaz, Hala Ebrahem, and et al. 2023. "Epidemiological Investigation of Feline Upper Respiratory Tract Infection Encourages a Geographically Specific FCV Vaccine" Veterinary Sciences 10, no. 1: 46. https://doi.org/10.3390/vetsci10010046
APA StyleGao, J., Li, Y., Xie, Q., Al-zaban, M. I., Al-Saeed, F. A., Shati, A. A., Al-Doaiss, A. A., Ahmed, A. E., Nawaz, S., Ebrahem, H., Irshad, I., Kulyar, M. F.-e.-A., & Li, J. (2023). Epidemiological Investigation of Feline Upper Respiratory Tract Infection Encourages a Geographically Specific FCV Vaccine. Veterinary Sciences, 10(1), 46. https://doi.org/10.3390/vetsci10010046

