Oenological Potential of Autochthonous Saccharomyces cerevisiae Yeast Strains from the Greek Varieties of Agiorgitiko and Moschofilero
Abstract
1. Introduction
2. Materials and Methods
2.1. Growth Media, Yeast Storage and Industrial Inoculations
2.2. Isolation of Indigenous S. cerevisiae Yeast Strains from Spontaneous Fermentations of Agiorgitiko and Moschofilero Grape Musts
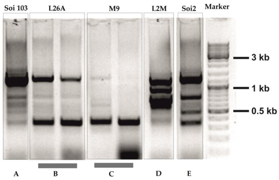
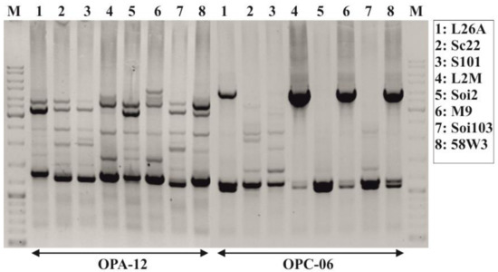
2.3. DNA Extraction, RAPD-PCR Genotyping, rDNA-ITS Sequencing and Genetic Analysis of Indigenous Yeasts
2.4. Sulphur Dioxide (SO2) and Ethanol Tolerance Tests
2.5. H2S Production Tests
2.6. Analytical Methods
2.7. Microvinifications
2.8. Industrial-Scale Vinifications
2.9. Sensory Evaluation
2.10. Statistical Analysis
3. Results
3.1. Molecular Characterization of Agiorgitiko and Moschofilero S. cerevisiae Strains
3.2. Microvinifications Trials with Indigenous S. cerevisiae Strains
3.3. Industrial Fermentations
3.4. Sensory Evaluation and Volatile Compound Identifications
4. Discussion
5. Conclusions
Supplementary Materials
Author Contributions
Funding
Acknowledgments
Conflicts of Interest
References
- Bisson, L.F. The biotechnology of wine yeast. Food Biotechnol. 2004, 18, 63–96. [Google Scholar] [CrossRef]
- Bisson, L.F.; Kunkee, R.E. Microbial interactions during wine production. In Mixed Cultures in Biotechnology; Zeikus, G., Johnson, E.A., Eds.; McGraw-Hill, Inc.: New York, NY, USA, 1991; pp. 37–68. [Google Scholar]
- Lachance, M.A.; Stramer, W.T. Ecology and yeasts. In The Yeasts: A Taxonomic Study; Kurtzman, C.P., Fell, J.W., Eds.; Elsevier Sciences: Amsterdam, The Netherlands, 1998; pp. 21–30. [Google Scholar]
- Mortimer, R.K.; Polsinelli, M. On the origins of wine yeast. Res. Microbiol. 1999, 150, 199–204. [Google Scholar] [CrossRef]
- Pretorius, I.S.; van der Westhuizen, T.J.; Augustyn, O.P.H. Yeast biodiversity in vineyards and wineries and its importance to the South African wine industry. A review. S. Afr. J. Enol. Vitic. 1999, 20, 61–74. [Google Scholar] [CrossRef]
- Stefanini, I.; Dapporto, L.; Legras, J.L.; Calabretta, A.; Di Paola, M.; De Filippo, C.; Viola, R.; Capretti, P.; Polsinelli, M.; Turillazzi, S.; et al. Role of social wasps in Saccharomyces cerevisiae ecology and evolution. Proc. Natl. Acad. Sci. USA 2012, 109, 13398–13403. [Google Scholar] [CrossRef] [PubMed]
- Legras, J.L.; Galeote, V.; Bigey, F.; Camarasa, C.; Marsit, S.; Nidelet, T.; Sanchez, I.; Couloux, A.; Guy, J.; Franco-Duarte, R.; et al. Adaptation of S. cerevisiae to fermented food environments reveals remarkable genome plasticity and the footprints of domestication. Mol. Biol. Evol. 2018, 35, 1712–1727. [Google Scholar] [PubMed]
- Vaughan, A.; Martini, A. Facts, myths and legends on the prime industrial microorganism. J. Indust. Microbiol. 1995, 14, 514–522. [Google Scholar] [CrossRef] [PubMed]
- Fleet, G.H. Wine yeasts for the future. FEMS Yeast Res. 2008, 8, 979–995. [Google Scholar] [CrossRef]
- Tempère, S.; Marchal, A.; Barbe, J.C.; Bely, M.; Masneuf-Pomarède, I.; Marullo, P.; Albertin, W. The complexity of wine: Clarifying the role of microorganisms. Appl. Microbiol. Biotechnol. 2018, 102, 3995–4007. [Google Scholar] [CrossRef]
- Lambrechts, M.G.; Pretorius, I.S. Yeast and its importance in wine aroma-a review. S. Afr. J. Enol. Vitic. 2000, 21, 97–129. [Google Scholar] [CrossRef]
- Swiegers, J.H.; Bartowsky, E.J.; Henschke, P.A.; Pretorius, I.S. Yeast and bacterial modulation of wine aroma and flavor. Aust. J. Grape Wine Res. 2005, 11, 139–173. [Google Scholar] [CrossRef]
- Belda, I.; Ruiz, J.; Esteban-Fernández, A.; Navascués, E.; Marquina, D.; Santos, A.; Moreno-Arribas, M.V. Microbial Contribution to Wine Aroma and Its Intended Use for Wine Quality Improvement. Molecules 2017, 22, 189. [Google Scholar] [CrossRef]
- Fia, G.; Giovani, G.; Rosi, I. Study of B-glucosidase production by wine-related yeasts during alcoholic fermentation. A new rapid fluorimetric method to determine enzyme activity. J. Appl. Microbiol. 2005, 99, 509–517. [Google Scholar] [CrossRef]
- Maicas, S.; Mateo, J.J. Hydrolysis of terpenyl glycosides in grape juice and other fruit juices: A review. Appl. Microbiol. Biotechnol. 2005, 67, 322–335. [Google Scholar] [CrossRef]
- Villena, M.A.; Iranzo, J.F.U.; Perez, A.I.B. B-Glucosidase activity in wine yeasts: Application in enology. Enzym. Microb. Technol. 2007, 40, 420–425. [Google Scholar] [CrossRef]
- Camarasa, C.; Sanchez, I.; Brial, P.; Bigey, F.; Dequin, S. Phenotypic landscape of Saccharomyces cerevisiae during wine fermentation: Evidence for origin-dependent metabolic traits. PLoS ONE 2011, 6, e25147. [Google Scholar] [CrossRef] [PubMed]
- Dubourdieu, D.; Tominaga, T.; Masneuf, I.; Peyrot des Gachons, C.; Murat, M.L. The role of yeasts in grape flavour development during fermentation: The example of Sauvignon blanc. Am. J. Enol. Vitic. 2006, 57, 81–88. [Google Scholar]
- Klis, F.M.; Boorsma, A.; de Groot, P.W. Cell wall construction in Saccharomyces cerevisiae. Yeast 2006, 23, 185–202. [Google Scholar] [CrossRef]
- Caridi, A. New perspectives in safety and quality enhancement of wine through selection of yeasts based on the parietal adsorption capacity. Int. J. Food Microbiol. 2007, 120, 167–172. [Google Scholar] [CrossRef]
- Hayasaka, Y.; Birse, M.; Eglinton, J.; Herderich, M. The effect of Saccharomyces bayanus yeast on colour properties and pigment profiles of a Cabernet Sauvignon red wine. Aust. J. Grape Wine Res. 2007, 13, 176–185. [Google Scholar] [CrossRef]
- Medina, K.; Boido, E.; Dellacassa, E.; Carrau, F. Yeast interactions with anthocyanins during red wine fermentation. Am. J. Enol. Vitic. 2005, 56, 104–108. [Google Scholar]
- Martínez, C.; Cosgaya, P.; Vásquez, C.; Gac, S.; Ganga, A. High degree of polymorphism and geographic origin of wine yeast strains. J. Appl. Microbiol. 2007, 103, 2185–2195. [Google Scholar] [CrossRef]
- Raspor, P.; Milek, D.M.; Polanc, J.; Mozina, S.S.; Nadez, N. Yeasts isolated from three varieties of grapes cultivated in different locations of the Dolenjska vine-growing region, Slovenia. Int. J. Food Microbiol. 2006, 109, 97–102. [Google Scholar] [CrossRef] [PubMed]
- Valero, E.; Cambon, B.; Schuller, D.; Casal, M.; Dequin, S. Biodiversity of Saccharomyces yeast strains from grape berries from wine producing areas using starter commercial yeasts. FEMS Yeast Res. 2007, 7, 317–329. [Google Scholar] [CrossRef] [PubMed]
- Vezinhet, F.; Hallet, J.; Valade, M.; Poulard, A. Ecological survey of wine yeast strains by molecular methods of identification. Am. J. Enol. Vitic. 1992, 43, 83–86. [Google Scholar]
- Mercado, L.; Combina, M. Exploring the biodiversity of a wine region: Saccharomyces yeasts associated with wineries and vineyards. In Current Research, Technology and Education Topics in Applied Microbiology and Microbial Biotechnology; Méndez-Vilas, A., Ed.; Formatex Research Center SL: Badajos, Spain, 2010; pp. 1042–1053. [Google Scholar]
- Van Leeuwen, C.; Seguin, G. The concept of terroir in viticulture. J. Wine Res. 2006, 17, 1–10. [Google Scholar] [CrossRef]
- Gilbert, J.A.; van der Lelie, D.; Zarraonaindia, I. Microbial terroir for wine grapes. Proc. Natl. Acad. Sci. USA 2014, 111, 5–6. [Google Scholar] [CrossRef]
- Bokulich, N.A.; Thorngate, J.H.; Richardson, P.M.; Mills, D.A. Microbial biogeography of wine grapes is conditioned by cultivar, vintage, and climate. Proc. Natl. Acad. Sci. USA 2014, 111, E139–E148. [Google Scholar] [CrossRef]
- Aa, E.; Townsend, J.P.; Adams, R.I.; Nielsen, K.M.; Taylor, J.W. Population structure and gene evolution in Saccharomyces cerevisiae. FEMS Yeast Res. 2006, 6, 702–715. [Google Scholar] [CrossRef]
- Fay, J.C.; Benavides, J.A. Evidence for domesticated and wild populations of Saccharomyces cerevisiae. PLoS Genet. 2005, 1, e5. [Google Scholar] [CrossRef]
- Schacherer, J.; Ruderfer, D.M.; Gresham, D.; Dolinski, K.; Botstein, D.; Kruglyak, L. Genome-wide analysis of nucleotide-level variation in commonly used Saccharomyces cerevisiae strains. PLoS ONE 2007, 2, e322. [Google Scholar] [CrossRef]
- Schacherer, J.; Shapiro, J.A.; Ruderfer, D.M.; Kruglyak, L. Comprehensive polymorphism survey elucidates population structure of Saccharomyces cerevisiae. Nature 2009, 458, 342–345. [Google Scholar] [CrossRef] [PubMed]
- Winzeler, E.A.; Castillo-Davis, C.I.; Oshiro, G.; Liang, D.; Richards, D.R.; Zhou, Y.; Hartl, D.L. Genetic diversity in yeast assessed with whole-genome oligonucleotide arrays. Genetics 2003, 163, 79–89. [Google Scholar] [CrossRef] [PubMed]
- Fernàndez-Espinar, T.M.; Barrio, E.; Querol, A. Analysis of the genetic variability in the species of the Saccharomyces sensu stricto complex. Yeast 2003, 20, 1213–1226. [Google Scholar] [CrossRef] [PubMed]
- Guillamón, J.; Barrio, E.; Querol, A. Characterization of wine yeast strains of the Saccharomyces genus on the basis of molecular markers: Relationships between genetic distance and geographic or ecological origin. Syst. Appl. Microbiol. 1996, 19, 122–132. [Google Scholar] [CrossRef]
- Nadal, D.; Colomer, B.; Pinã, B. Molecular polymorphism distribution in phenotypically distinct populations of wine yeast strains. Appl. Environ. Microbiol. 1996, 62, 1944–1950. [Google Scholar] [CrossRef]
- Sabate, J.; Cano, J.; Querol, A.; Guillamón, J. Diversity of Saccharomyces strains in wine fermentations: Analysis for two consecutive years. Lett. Appl. Microbiol. 1998, 26, 452–455. [Google Scholar] [CrossRef]
- Schuller, D.; Valero, E.; Dequin, S.; Casal, M. Survey of molecular methods for the typing of wine yeast strains. FEMS Microbiol. Lett. 2004, 231, 19–26. [Google Scholar] [CrossRef]
- Versavaud, A.; Courcoux, P.; Rouland, L.; Hallet, J. Genetic diversity and geographical distribution of wild Saccharomyces cerevisiae strains from the wine-producing area of Charentes, France. Appl. Environ. Microbiol. 1995, 61, 3521–3529. [Google Scholar] [CrossRef] [PubMed]
- APIWEBTM. Available online: https://apiweb.biomerieux.com/ (accessed on 23 December 2013).
- Lõoke, M.; Kristjuhan, K.; Kristjuhan, A. Extraction of genomic DNA from yeasts for PCR based applications. Biotechniques 2011, 50, 325–328. [Google Scholar] [CrossRef]
- Pavel, A.B.; Vasile, C.I. PyElph—A software tool for gel images analysis and phylogenetics. BMC Bioinform. 2012, 13, 9. [Google Scholar] [CrossRef]
- White, T.J.; Bruns, T.; Lee, S.; Taylor, J. Amplification and direct sequencing of fungal ribosomal RNA genes for phylogenetics. In PCR Protocols; Inns, M.A., Gelfand, D.H., Sninsky, J.J., White, T.J., Eds.; Academic Press: New York, NY, USA, 1990; pp. 315–322. [Google Scholar]
- GenBank Nucleotide Database. Available online: http://www.ncbi.nlm.nih.gov/ (accessed on 1 April 2013).
- Altschul, S.F.; Madden, T.L.; Schäffer, A.A.; Zhang, J.; Zhang, Z.; Miller, W.; Lipman, D.J. Gapped BLAST and PSI-BLAST: A new generation of protein database search programs. Nucleic Acids Res. 1997, 25, 3389–3402. [Google Scholar] [CrossRef]
- Thompson, J.D.; Gibson, T.J.; Plewniak, F.; Jeanmougin, F.; Higgins, D.G. The CLUSTAL_X windows interface: Flexible strategies for multiple sequence alignment aided by quality analysis tools. Nucleic Acids Res. 1997, 25, 4876–4882. [Google Scholar] [CrossRef]
- GeneDoc. Available online: http://www.nrbsc.org/gfx/genedoc/ (accessed on 1 April 2013).
- Page, R.D. Visualizing phylogenetic trees using TreeView. Curr. Protoc. Bioinform. 2002. [Google Scholar] [CrossRef]
- Hayashida, S.; Feng, D.D.; Hungo, M. Physiological properties of yeast cells grown in the proteolipid-supplementation media. Agric. Biol. Chem. 1975, 39, 1025–1031. [Google Scholar]
- Duan, W.; Roddick, F.A.; Higgins, V.J.; Rogers, P.J. A parallel analysis of H2S and SO2 formation by brewing yeast in response to sulfur-containing amino acids and ammonium ions. J. Am. Soc. Brew. Chem. 2004, 62, 35–41. [Google Scholar] [CrossRef]
- Jesús, M.; Palero, R.; Fierro-Risco, J.; Codón, A.C.; Benítez, T.; Valcárcel, M.J. Selection of an autochthonous Saccharomyces strain starter for alcoholic fermentation of Sherry base wines. J. Ind. Microbiol. Biotechnol. 2013, 40, 613–623. [Google Scholar]
- Kinga, S.; Gillette, M.; Titman, D.; Adams, J.; Ridgely, M. The Sensory Quality System: A global quality control solution. Food Qual. Prefer. 2002, 13, 385–395. [Google Scholar] [CrossRef]
- Torrens, J.; Urpi, P.; Riu-Aumatell, M.; Vichi, S.; López-Tamames, E.; Buxaderas, S. Different commercial yeast strains affecting the volatile and sensory profile of cava base wine. Int. J. Food Microbiol. 2008, 124, 48–55. [Google Scholar] [CrossRef]
- EL-Fiky, Z.A.; Hassan, G.M.; Emam, M. Quality parameters and RAPD-PCR differentiation of commercial baker’s yeast and hybrid strains. J. Food Sci. 2012, 77, M312–M317. [Google Scholar] [CrossRef]
- Gallego, F.J.; Pérez, M.A.; Núñez, Y.; Hidalgo, P. Comparison of RAPDs, AFLPs and SSR markers for the genetic analysis of yeast strains of Saccharomyces cerevisiae. Food Microbiol. 2005, 22, 561–568. [Google Scholar] [CrossRef]
- Lathar, P.K.; Sharma, A.; Thakur, I. Isolation and random amplified polymorphic DNA (RAPD) analysis of wild yeast species from 17 different fruits. J. Yeast Fungal Res. 2010, 1, 146–151. [Google Scholar]
- Saitou, N.; Masatoshi, N. The Neighbor-joining method: A new method for reconstructing phylogenetic trees. Mol. Biol. Evol. 1987, 4, 406–425. [Google Scholar]
- Monagas, M.; Gómez-Cordovés, C.; Bartolomé, B. Evaluation of different Saccharomyces cerevisiae strains for red winemaking. Influence on the anthocyanin, pyranoanthocyanin and non-anthocyanin phenolic content and colour characteristics of wines. Food Chem. 2007, 104, 814–823. [Google Scholar] [CrossRef]
- Tofalo, R.; Perpetuini, G.; Fasoli, G.; Schirone, M.; Corsetti, A.; Suzzi, G. Biodiversity study of wine yeasts belonging to the ‘terroir’ of Montepulciano d’Abruzzo ‘Colline Teramane’ revealed Saccharomyces cerevisiae strains exhibiting atypical and unique 5.8S-ITS restriction patterns. Food Microbiol. 2014, 39, 7–12. [Google Scholar] [CrossRef] [PubMed]
- Lopandic, K.; Gangl, H.; Wallner, E.; Tscheik, G.; Leitner, G.; Querol, A.; Borth, N.; Breitenbach, M.; Prillinger, H.; Tiefenbrunner, W. Genetically different wine yeasts isolated from Austrian vine-growing regions influence wine aroma differently and contain putative hybrids between Saccharomyces cerevisiae and Saccharomyces kudriavzevii. FEMS Yeast Res. 2007, 7, 953–965. [Google Scholar] [CrossRef] [PubMed]
- Choi, G.W.; Um, H.J.; Kang, H.W.; Kim, Y.; Kim, M.; Kim, Y.H. Bioethanol production by a flocculent hybrid, CHFY0321 obtained by protoplast fusion between Saccharomyces cerevisiae and Saccharomyces bayanus. Biomass Bioenergy 2010, 34, 1232–1242. [Google Scholar] [CrossRef]
- Albertin, W.; Masneuf-Pomarède, I.; Galeote, V.; Legras, J.L. New Insights into Wine Yeast Diversities. In Yeasts in the Production of Wine; Romano, P., Ciani, M., Fleet, G.H., Eds.; Springer: New York, NY, USA, 2019; pp. 117–163. [Google Scholar]
- Pretorius, I.S. Tasting the terroir of wine yeast innovation. FEMS Yeast. Res. 2020, 20, foz084. [Google Scholar] [CrossRef]
- Domizio, P.; Romani, C.; Lencioni, L.; Comitini, F.; Gobbi, M.; Mannazzu, I.; Ciani, M. Outlining a future for non-Saccharomyces yeasts: Selection of putative spoilage wine strains to be used in association with Saccharomyces cerevisiae for grape juice fermentation. Int. J. Food Microbiol. 2011, 147, 170–180. [Google Scholar] [CrossRef]
- Romano, P.; Fiore, C.; Paraggio, M.; Caruso, M.; Capece, A. Function of yeast species and strains in wine flavour. Int. J. Food Microbiol. 2003, 86, 169–180. [Google Scholar] [CrossRef]
- Dimopoulou, M.; Troianou, V.; Toumpeki, C.; Gosselin, Y.; Dorignac, É.; Kotseridis, Y. Effect of strains from different Saccharomyces species used in different inoculation schemes on chemical composition and sensory characteristics of Sauvignon blanc wine. OENO ONE 2020, 54, 4. [Google Scholar] [CrossRef]
- Rainieri, S.; Pretorius, I.S. Selection and improvement of wine yeasts. Ann. Microbiol. 2000, 50, 15–31. [Google Scholar]
- König, H.; Claus, H. A future place for Saccharomyces mixtures and hybrids in wine making. Fermentation 2018, 4, 67. [Google Scholar] [CrossRef]
- Ashworth, A.J.; DeBruyn, J.M.; Allen, F.L.; Radosevich, M.; Owens, P.R. Microbial community structure is affected by cropping sequences and poultry litter under long-term no-tillage. Soil Biol. Biochem. 2017, 114, 210–219. [Google Scholar] [CrossRef]
- De Celis, M.; Ruiz, J.; Martín-Santamaría, M.; Alonso, A.; Marquina, D.; Navascués, E.; Gómez-Flechoso, M.Á.; Belda, I.; Santos, A. Diversity of Saccharomyces cerevisiae yeasts associated to spontaneous and inoculated fermenting grapes from Spanish vineyards. Lett. Appl. Microbiol. 2019, 68, 580–588. [Google Scholar] [CrossRef] [PubMed]
- Legrand, F.; Picot, A.; Cobo-Diaz, J.F.; Carof, M.; Chen, W.; Le Floch, G. Effect of tillage and static abiotic soil properties on microbial diversity. Appl. Soil Ecol. 2018, 132, 135–145. [Google Scholar] [CrossRef]
- Cordero-Bueso, G.; Arroyo, T.; Serrano, A.; Valero, E. Remanence and survival of commercial yeast in different ecological niches of the vineyard. FEMS Microbiol. Ecol. 2011, 77, 429–437. [Google Scholar] [CrossRef]
- Grangeteau, C.; Gerhards, D.; von Wallbrunn, C.; Alexandre, H.; Guilloux-Benatier, M. Persistence of two non-Saccharomyces yeasts (Hanseniaspora and Starmerella) in the cellar. Front. Microbiol. 2016, 7, 268. [Google Scholar] [CrossRef]
- Remize, F.; Roustan, J.L.; Sablayrolles, J.M.; Barre, P.; Dequin, S. Glycerol overproduction by engineered Saccharomyces cerevisiae wine yeast strains leads to substantial changes in byproduct formation and to a stimulation of fermentation rate in stationary phase. Appl. Environ. Microbiol. 1999, 65, 143–149. [Google Scholar] [CrossRef]
- Delfini, C.; Cervetti, F. Metabolic and technological factors affecting acetic acid production by yeasts during alcoholic fermentation. Vitic Enol. Sci. 1991, 46, 142–150. [Google Scholar]
- Erasmus, D.J.; Cliff, M.; van Vuuren, H.J.J. Impact of Yeast Strain on the Production of Acetic Acid, Glycerol, and the Sensory Attributes of Icewine. Am. J. Enol. Vitic. 2004, 55, 4. [Google Scholar]
- Zhao, X.; Procopio, S.; Becker, T. Flavor impacts of glycerol in the processing of yeast fermented beverages: A review. J. Food Sci. Technol. 2015, 52, 7588–7598. [Google Scholar] [CrossRef] [PubMed]
- Spor, A.; Wang, S.; Dillmann, C.; de Vienne, D.; Sicard, D. “Ant” and “grasshopper” life-history strategies in Saccharomyces cerevisiae. PLoS ONE 2008, 3, e1579. [Google Scholar] [CrossRef] [PubMed]
- Guzzon, R.; Roman, T.; Larcher, R.; Francesca, N.; Guarcello, R.; Moschetti, G. Biodiversity and oenological attitude of Saccharomyces cerevisiae strains isolated in the Montalcino district: Biodiversity of S. cerevisiae strains of Montalcino wines. FEMS Microbiol. Lett. 2021, 368. [Google Scholar] [CrossRef]
- Wang, Y.; Li, C.; Tu, C.; Hoyt, G.D.; DeForest, J.L.; Hu, S. Long-term no-tillage and organic input management enhanced the diversity and stability of soil microbial community. Sci. Total Environ. 2017, 609, 341–347. [Google Scholar] [CrossRef]





| Yeast Strain | Average Score Tasting ± SD |
|---|---|
| 58W3 | 5.8 ± 0.1 |
| L2M | 7.0 ± 0.2 * |
| L26A | 5.5 ± 0.4 |
| M9 | 4.3 ± 1 |
| Soi2 | 6.5 ± 0.2 * |
| Soi103 | 5.7 ± 0.5 |
| Yeast Strain | SC22 | Soi2 | L2M | |||
|---|---|---|---|---|---|---|
| Concentration | mg/L | ±SD | mg/L | ±SD | mg/L | ±SD |
| Ethyl isobutyrate | n.d | - | 0.076 | 0.066 | 0.054 | 0.047 |
| Ethyl butyrate | 0.150 | 0.043 | 0.206 | 0.007 a | 0.189 | 0.014 |
| Ethyl-2-methyl-butyrate | 0.113 | 0.098 | 0.144 | 0.055 | 0.147 | 0.065 |
| Ethyl isovalerate | 0.120 | 0.004 | 0.135 | 0.009 a | 0.117 | 0.001 |
| Isoamyl acetate | 0.237 | 0.164 | 0.590 | 0.685 | 0.236 | 0.169 |
| Isoamyl alcohol | 325.963 | 17.377 | 608.241 | 11.514 a | 371.814 | 10.033 b |
| Ethyl caproate | 0.119 | 0.103 | 0.139 | 0.083 | 0.117 | 0.102 |
| Hexyl acetate | n.d. | - | 0.074 | 0.064 | n.d | - |
| Ethyl caprylate | 0.272 | 0.350 | 0.214 | 0.112 | 0.220 | 0.381 |
| 2-phenyl-ethyl acetate | 0.041 | 0.071 | 0.338 | 0.225 a | 0.046 | 0.079 |
| Phenethyl alcohol | 30.419 | 2.311 | 109.168 | 4.732 a | 35.920 | 4.701 |
| Yeast Strain | S101 | Soi2 | L2M | |||
|---|---|---|---|---|---|---|
| Concentration | mg/L | ±SD | mg/L | ±SD | mg/L | ±SD |
| Ethyl butyrate | 0.983 | 0.852 | 0.289 | 0.253 | 0.192 | 0.166 |
| Ethyl-2-methyl-butyrate | 0.128 | 0.111 | 0.156 | 0.070 | 0.157 | 0.074 |
| Ethyl isovalerate | n.d | - | 0.069 | 0.062 | 0.137 | 0.057 b |
| Isoamyl acetate | 0.208 | 0.116 | 0.226 | 0.141 | 0.303 | 0.144 |
| Isoamyl alcohol | 303.672 | 15.314 | 363.476 | 15.395 a | 201.006 | 19.637 b |
| Ethyl caproate | 0.100 | 0.087 | 0.101 | 0.087 | 0.101 | 0.087 |
| Hexyl acetate | 0.047 | 0.041 | 0.053 | 0.046 | 0.045 | 0.039 |
| Ethyl caprylate | 0.198 | 0.090 | 0.173 | 0.059 | 0.165 | 0.036 |
| 2-phenyl-ethyl acetate | 0.624 | 0.765 | 0.497 | 0.460 | 0.329 | 0.269 |
| Phenethyl alcohol | 98.756 | 36.505 | 53.631 | 6.642 | 31.813 | 10.669 b |
Publisher’s Note: MDPI stays neutral with regard to jurisdictional claims in published maps and institutional affiliations. |
© 2021 by the authors. Licensee MDPI, Basel, Switzerland. This article is an open access article distributed under the terms and conditions of the Creative Commons Attribution (CC BY) license (https://creativecommons.org/licenses/by/4.0/).
Share and Cite
Kontogiannatos, D.; Troianou, V.; Dimopoulou, M.; Hatzopoulos, P.; Kotseridis, Y. Oenological Potential of Autochthonous Saccharomyces cerevisiae Yeast Strains from the Greek Varieties of Agiorgitiko and Moschofilero. Beverages 2021, 7, 27. https://doi.org/10.3390/beverages7020027
Kontogiannatos D, Troianou V, Dimopoulou M, Hatzopoulos P, Kotseridis Y. Oenological Potential of Autochthonous Saccharomyces cerevisiae Yeast Strains from the Greek Varieties of Agiorgitiko and Moschofilero. Beverages. 2021; 7(2):27. https://doi.org/10.3390/beverages7020027
Chicago/Turabian StyleKontogiannatos, Dimitrios, Vicky Troianou, Maria Dimopoulou, Polydefkis Hatzopoulos, and Yorgos Kotseridis. 2021. "Oenological Potential of Autochthonous Saccharomyces cerevisiae Yeast Strains from the Greek Varieties of Agiorgitiko and Moschofilero" Beverages 7, no. 2: 27. https://doi.org/10.3390/beverages7020027
APA StyleKontogiannatos, D., Troianou, V., Dimopoulou, M., Hatzopoulos, P., & Kotseridis, Y. (2021). Oenological Potential of Autochthonous Saccharomyces cerevisiae Yeast Strains from the Greek Varieties of Agiorgitiko and Moschofilero. Beverages, 7(2), 27. https://doi.org/10.3390/beverages7020027
