Patellar Dislocation Patients Had Lower Bone Mineral Density and Hounsfield Unit Values in the Knee Joint Compared to Patients with Anterior Cruciate Ligament Ruptures: A Focus on Cortical Bone in the Tibia
Abstract
1. Introduction
2. Methods
2.1. Study Design
2.2. Participant Involvement
2.3. Participants
2.4. Sample Size
2.5. DXA Scan Protocol
2.6. CT Scan Protocol
2.6.1. Measurement of Femoral HU Values
- (1)
- Cortical Bone HU Value: We measured at the transitional area between the posterior femoral condyle and the shaft (within ± 1 cm above and below this region), taking three points along the anterior cortex of the femur parallel to the posterior femoral surface, as well as three evenly spaced points on the articular surface of the lateral femoral condyle (Figure 2A).
- (2)
- Lateral Condyle Cancellous Bone HU Value: We drew a 5 cm vertical line upward from the highest point of the intercondylar fossa, avoiding the cortical bone, and measured within the fixed region (Figure 2B).
- (1)
- Cortical Bone HU Value: We measured at the transitional area between the lateral femoral condyle and the shaft (within ± 1 cm above and below this region), taking three points along the medial cortex of the femur parallel to the lateral femoral surface as well as three evenly spaced points on the articular surfaces of both the medial and lateral femoral condyles (Figure 2C).
- (2)
- Lateral Condyle Cancellous Bone HU Value: We drew a 5 cm vertical line upward from the highest point of the intercondylar fossa, avoiding the cortical bone, and measured within the fixed region (Figure 2D).
2.6.2. Measurement of Tibial HU Values
- (1)
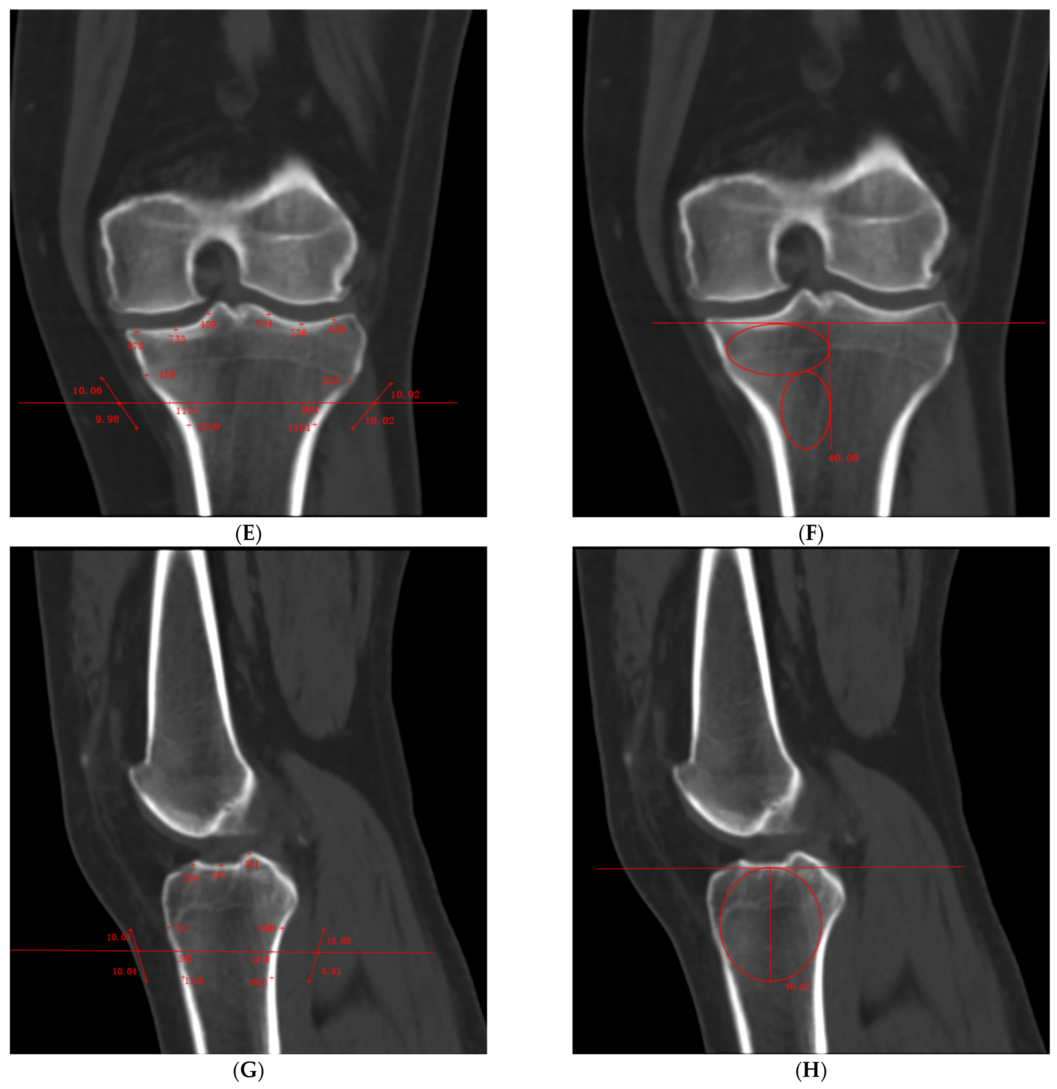
- Cortical Bone HU Value: We measured at the transitional area between the medial tibial condyle and the shaft (within ± 1 cm above and below this region), taking three points along the lateral tibial cortex parallel to the medial tibial surface as well as three evenly spaced points on both the medial and lateral tibial plateaus (Figure 2E).
- (2)
- Medial Condyle Cancellous Bone HU Value: We drew a 4 cm vertical line downward from the lateral intercondylar eminence, avoiding the cortical bone, and measured within the fixed region (Figure 2F).
- (1)
- Cortical Bone HU Value: We measured at the transitional area between the anterior tibial condyle and the shaft (within ± 1 cm above and below this region), taking three points along the posterior cortex of the tibia parallel to the anterior tibial surface as well as three evenly spaced points on the tibial plateau (Figure 2G).
- (2)
- Medial Condyle Cancellous Bone HU Value: We drew a 4 cm vertical line downward from the tibial plateau, avoiding the cortical bone, and measured within the fixed region (Figure 2H).
2.7. Statistical Analysis
3. Results
3.1. Patient Information
3.2. BMD of DXA
3.3. HU Value of CT
3.4. The Relationship Between BMD and HU Value
4. Discussion
5. Conclusions
Author Contributions
Funding
Institutional Review Board Statement
Informed Consent Statement
Data Availability Statement
Acknowledgments
Conflicts of Interest
References
- Liu, H.; Liu, J.; Wu, Y.W.; Ma, Y.H.; Gu, S.J.; Rui, Y.J. Changes in local bone mineral density can guide the treatment plan for patients with rupture of the anterior cruciate ligament. Ann. Palliat. Med. 2021, 10, 6388–6398. [Google Scholar] [CrossRef]
- Dai, R.; Wu, Y.; Jiang, Y.; Huang, H.; Meng, Q.; Shi, W.; Ren, S.; Ao, Y. Epidemiology of Lateral Patellar Dislocation Including Bone Bruise Incidence: Five Years of Data from a Trauma Center. Orthop. Surg. 2024, 16, 437–443. [Google Scholar] [CrossRef] [PubMed]
- Moses, B.; Orchard, J.; Orchard, J. Systematic Review: Annual Incidence of ACL Injury and Surgery in Various Populations. Res. Sports Med. 2012, 20, 157–179. [Google Scholar] [CrossRef]
- Jain, N.P.; Khan, N.; Fithian, D.C. A Treatment Algorithm for Primary Patellar Dislocations. Sports Health Multidiscip. Approach 2011, 3, 170–174. [Google Scholar] [CrossRef] [PubMed]
- Kejriwal, R.; Annear, P. Arthroscopic assessment of patella tracking correlates with recurrent patellar instability. Knee Surg. Sports Traumatol. Arthrosc. 2020, 28, 876–880. [Google Scholar] [CrossRef] [PubMed]
- Stropnik, D.; Sajovic, M.; Kacin, A.; Pavlič-Založnik, S.; Drobnič, M. Early clinical and neuromuscular properties in patients with normal or sub-normal subjective knee function after anterior cruciate ligament reconstruction. Arch. Orthop. Trauma Surg. 2020, 140, 1231–1239. [Google Scholar] [CrossRef]
- Forde, C.; Mortimer, C.; Haddad, M.; Hirani, S.P.; Williams, M.A.; Keene, D.J. Objectively quantified lower limb strength recovery in people treated surgically or non-surgically after patellar dislocation: A systematic review. Phys. Ther. Sport 2021, 51, 110–138. [Google Scholar] [CrossRef]
- Ejerhed, L.; Kartus, J.; Nilsen, R.; Nilsson, U.; Kullenberg, R.; Karlsson, J. The effect of anterior cruciate ligament surgery on bone mineral in the calcaneus: A prospective study with a 2-year follow-up evaluation. Arthroscopy 2004, 20, 352–359. [Google Scholar] [CrossRef] [PubMed]
- Coggan, A.R.; Coyle, E.F. Reversal of fatigue during prolonged exercise by carbohydrate infusion or ingestion. J. Appl. Physiol. 1987, 63, 2388–2395. [Google Scholar] [CrossRef] [PubMed]
- Inclan, P.M.; Brophy, R.H. Revision anterior cruciate ligament reconstruction. Bone Jt. J. 2023, 105-b, 474–480. [Google Scholar] [CrossRef] [PubMed]
- Smith, T.O.; Gaukroger, A.; Metcalfe, A.; Hing, C.B. Surgical versus non-surgical interventions for treating patellar dislocation. Cochrane Database Syst. Rev. 2023, 1, Cd008106. [Google Scholar] [CrossRef] [PubMed]
- Lee, K.; Al Jumaily, K.; Lin, M.; Siminoski, K.; Ye, C. Dual-energy x-ray absorptiometry scanner mismatch in follow-up bone mineral density testing. Osteoporos. Int. 2022, 33, 1981–1988. [Google Scholar] [CrossRef] [PubMed]
- Deshpande, N.; Hadi, M.S.; Lillard, J.C.; Passias, P.G.; Linzey, J.R.; Saadeh, Y.S.; LaBagnara, M.; Park, P. Alternatives to DEXA for the assessment of bone density: A systematic review of the literature and future recommendations. J. Neurosurg. Spine 2023, 38, 436–445. [Google Scholar] [CrossRef]
- Hsu, J.T.; Chen, Y.J.; Ho, J.T.; Huang, H.L.; Wang, S.P.; Cheng, F.C.; Wu, J.; Tsai, M.T. A comparison of micro-CT and dental CT in assessing cortical bone morphology and trabecular bone microarchitecture. PLoS ONE 2014, 9, e107545. [Google Scholar] [CrossRef] [PubMed]
- Lee, H.; Park, S.; Kwack, K.-S.; Yun, J.S. CT and MR for bone mineral density and trabecular bone score assessment in osteoporosis evaluation. Sci. Rep. 2023, 13, 16574. [Google Scholar] [CrossRef] [PubMed]
- de Bakker, C.M.J.; Knowles, N.K.; Walker, R.E.A.; Manske, S.L.; Boyd, S.K. Independent changes in bone mineralized and marrow soft tissues following acute knee injury require dual-energy or high-resolution computed tomography for accurate assessment of bone mineral density and stiffness. J. Mech. Behav. Biomed. Mater. 2022, 127, 105091. [Google Scholar] [CrossRef] [PubMed]
- Failla, M.J.; Logerstedt, D.S.; Grindem, H.; Axe, M.J.; Risberg, M.A.; Engebretsen, L.; Huston, L.J.; Spindler, K.P.; Snyder-Mackler, L. Does Extended Preoperative Rehabilitation Influence Outcomes 2 Years After ACL Reconstruction? A Comparative Effectiveness Study Between the MOON and Delaware-Oslo ACL Cohorts. Am. J. Sports Med. 2016, 44, 2608–2614. [Google Scholar] [CrossRef] [PubMed]
- Grindem, H.; Granan, L.P.; Risberg, M.A.; Engebretsen, L.; Snyder-Mackler, L.; Eitzen, I. How does a combined preoperative and postoperative rehabilitation programme influence the outcome of ACL reconstruction 2 years after surgery? A comparison between patients in the Delaware-Oslo ACL Cohort and the Norwegian National Knee Ligament Registry. Br. J. Sports Med. 2015, 49, 385–389. [Google Scholar] [CrossRef] [PubMed]
- Shi, H.; Ren, S.; Huang, H.; Liu, H.; Liang, Z.; Yu, Y.; Li, H.; Ao, Y. Bilateral Alterations in Isokinetic Strength and Knee Biomechanics During Side-Cutting 1 Year After Unilateral ACL Reconstruction. Am. J. Sports Med. 2022, 50, 2961–2971. [Google Scholar] [CrossRef]
- Dejour, H.; Walch, G.; Nove-Josserand, L.; Guier, C. Factors of patellar instability: An anatomic radiographic study. Knee Surg. Sports Traumatol. Arthrosc. 1994, 2, 19–26. [Google Scholar] [CrossRef]
- Tian, G.; Yang, G.; Zuo, L.; Li, F.; Wang, F. Femoral derotation osteotomy for recurrent patellar dislocation. Arch. Orthop. Trauma Surg. 2020, 140, 2077–2084. [Google Scholar] [CrossRef]
- Ihle, C.; Maurer, J.; Ziegler, P.; Stöckle, U.; Ateschrang, A.; Ahrend, M.D.; Schröter, S. Sporting activity is reduced following medial reefing performed for patellar dislocation. BMC Musculoskelet. Disord. 2019, 20, 34. [Google Scholar] [CrossRef] [PubMed]
- Blaty, T.; Krueger, D.; Illgen, R.; Squire, M.; Heiderscheit, B.; Binkley, N.; Anderson, P. DXA evaluation of femoral bone mineral density and cortical width in patients with prior total knee arthroplasty. Osteoporos. Int. 2019, 30, 383–390. [Google Scholar] [CrossRef] [PubMed]
- Choi, K.Y.; Lee, S.W.; In, Y.; Kim, M.S.; Kim, Y.D.; Lee, S.Y.; Lee, J.-W.; Koh, I.J. Dual-Energy CT-Based Bone Mineral Density Has Practical Value for Osteoporosis Screening around the Knee. Medicina 2022, 58, 1085. [Google Scholar] [CrossRef] [PubMed]
- Borchardt, G.; Nickel, B.; Andersen, L.; Hetzel, S.; Illgen, R.; Hennessy, D.; Anderson, P.A.; Binkley, N.; Krueger, D. Femur and Tibia BMD Measurement in Elective Total Knee Arthroplasty Candidates. J. Clin. Densitom. 2022, 25, 319–327. [Google Scholar] [CrossRef] [PubMed]
- Wohl, G.R.; Shymkiw, R.C.; Matyas, J.R.; Kloiber, R.; Zernicke, R.F. Periarticular cancellous bone changes following anterior cruciate ligament injury. J. Appl. Physiol. 2001, 91, 336–342. [Google Scholar] [CrossRef] [PubMed]
- Lui, P.P.; Ho, G.; Shum, W.T.; Lee, Y.W.; Ho, P.Y.; Lo, W.N.; Lo, C.K. Inferior tendon graft to bone tunnel healing at the tibia compared to that at the femur after anterior cruciate ligament reconstruction. J. Orthop. Sci. 2010, 15, 389–401. [Google Scholar] [CrossRef] [PubMed]
- Johnson, J.W.; von Stade, D.; Gadomski, B.; Easley, J.; Nelson, B.; Bisazza, K.; Regan, D.; Troyer, K.; Zhou, T.; McGilvray, K. Modified Alendronate Mitigates Mechanical Degradation of the Rotator Cuff in an Osteoporotic Ovine Model. Am. J. Sports Med. 2022, 50, 3649–3659. [Google Scholar] [CrossRef]
- Zhang, S.; Huang, X.; Zhao, X.; Li, B.; Cai, Y.; Liang, X.; Wan, Q. Effect of exercise on bone mineral density among patients with osteoporosis and osteopenia: A systematic review and network meta-analysis. J. Clin. Nurs. 2022, 31, 2100–2111. [Google Scholar] [CrossRef] [PubMed]
- Watanabe, D.; Takano, H.; Kimura, T.; Yamashita, A.; Minowa, T.; Mizushima, A. The relationship of diffuse idiopathic skeletal hyperostosis, visceral fat accumulation, and other age-related diseases with the prevalent vertebral fractures in elderly men with castration-naïve prostate cancer. Aging Male 2020, 23, 1512–1517. [Google Scholar] [CrossRef]
- Hayden, A.C.; Binkley, N.; Krueger, D.; Bernatz, J.T.; Kadri, A.; Anderson, P.A. Effect of degeneration on bone mineral density, trabecular bone score and CT Hounsfield unit measurements in a spine surgery patient population. Osteoporos. Int. 2022, 33, 1775–1782. [Google Scholar] [CrossRef]
- Pickhardt, P.J.; Pooler, B.D.; Lauder, T.; del Rio, A.M.; Bruce, R.J.; Binkley, N. Opportunistic screening for osteoporosis using abdominal computed tomography scans obtained for other indications. Ann. Intern. Med. 2013, 158, 588–595. [Google Scholar] [CrossRef] [PubMed]
- Berger-Groch, J.; Thiesen, D.M.; Ntalos, D.; Hennes, F.; Hartel, M.J. Assessment of bone quality at the lumbar and sacral spine using CT scans: A retrospective feasibility study in 50 comparing CT and DXA data. Eur. Spine J. 2020, 29, 1098–1104. [Google Scholar] [CrossRef]
- Michalski, A.S.; Besler, B.A.; Burt, L.A.; Boyd, S.K. Opportunistic CT screening predicts individuals at risk of major osteoporotic fracture. Osteoporos. Int. 2021, 32, 1639–1649. [Google Scholar] [CrossRef]
- Black, D.M.; Bouxsein, M.L.; Marshall, L.M.; Cummings, S.R.; Lang, T.F.; Cauley, J.A.; Ensrud, K.E.; Nielson, C.M.; Orwoll, E.S. Proximal femoral structure and the prediction of hip fracture in men: A large prospective study using QCT. J. Bone Miner. Res. 2008, 23, 1326–1333. [Google Scholar] [CrossRef]
- Cheng, X.; Zhao, K.; Zha, X.; Du, X.; Li, Y.; Chen, S.; Wu, Y.; Li, S.; Lu, Y.; Zhang, Y.; et al. Opportunistic Screening Using Low-Dose CT and the Prevalence of Osteoporosis in China: A Nationwide, Multicenter Study. J. Bone Miner. Res. 2021, 36, 427–435. [Google Scholar] [CrossRef] [PubMed]




| Characteristics | ACL (n = 32) Mean (SD) | PD (n = 32) Mean (SD) |
|---|---|---|
| Age (years) | 29.02 (7.59) | 26.46 (4.55) |
| Male/Female (n/n) | 17/15 | 12/20 |
| Height (cm) | 170.46 (9.37) | 169.38 (7.92) |
| Weight (Kg) | 69.99 (11.64) | 67.37 (9.59) |
| BMI (Kg/m2) | 23.55 (3.13) | 22.84 (3.26) |
| Time since injury (months) | 3.89 (1.66) ** | 12.37 (9.39) |
| Tegner score | 2.78 (0.55) | 3.03 (0.65) |
| Lysholm score | 68.67 (12.41) | 69.76(13.35) |
| IKDC score | 69.07 (11.00) * | 66.59 (9.82) |
| ACL Mean ± SD (n = 32) | PD Mean ± SD (n = 32) | p | |
|---|---|---|---|
| MCF | 1.24 ± 0.23 ** | 0.99 ± 0.16 | 0.000 |
| LCF | 1.56 ± 0.34 | 1.47 ± 0.29 | 0.244 |
| MCT | 1.03 ± 0.19 ** | 0.89 ± 0.13 | 0.003 |
| LCT | 1.07 ± 0.23 * | 0.96 ± 0.17 | 0.017 |
| ACL Mean ± SD (n = 32) | PD Mean ± SD (n = 32) | p | |||
|---|---|---|---|---|---|
| Femur | Cancellous bone in the CP | Lateral condyle | 192.96 ± 82.32 | 187.20 ± 59.28 | 0.749 |
| Cortical bone in the CP | Medial condyle articular surface | 524.34 ± 111.32 | 494.15 ± 80.84 | 0.219 | |
| Lateral condyle articular surface | 466.94 ± 90.41 * | 507.38 ± 63.69 | 0.043 | ||
| Medial condyle and shaft transition | 833.58 ± 151.27 | 823.94 ± 207.40 | 0.833 | ||
| Lateral condyle and shaft transition | 979.28 ± 152.22 | 929.18 ± 198.05 | 0.261 | ||
| Cancellous bone in the SP | Lateral condyle | 215.98 ± 72.42 | 200.15 ± 56.60 | 0.333 | |
| Cortical bone in the SP | Lateral condyle articular surface | 539.45 ± 107.14 | 560.52 ± 68.39 | 0.352 | |
| Anterior femur | 744.60 ± 132.84 | 733.23 ± 118.91 | 0.719 | ||
| Posterior femur | 987.99 ± 102.74 ** | 896.95 ± 123.98 | 0.002 | ||
| Tibia | Cancellous bone in the CP | Medial condyle | 128.85 ± 67.40 | 137.04 ± 47.98 | 0.577 |
| Cortical bone in the CP | Medial tibial plateau | 689.86 ± 141.23 * | 621.30 ± 91.34 | 0.024 | |
| Lateral tibial plateau | 447.11 ± 102.14 ** | 529.86 ± 93.88 | 0.001 | ||
| Medial condyle and shaft transition | 871.17 ± 113.65 ** | 745.16 ± 132.55 | 0.000 | ||
| Lateral condyle and shaft transition | 758.75 ± 161.59 ** | 632.65 ± 137.97 | 0.001 | ||
| Cancellous bone in the SP | Medial condyle | 116.45 ± 65.24 | 118.37 ± 50.28 | 0.896 | |
| Cortical bone in the SP | Tibial plateau | 554.13 ± 118.41 | 568.31 ± 92.34 | 0.595 | |
| Anterior tibia | 627.91 ± 105.42 | 598.45 ± 106.43 | 0.270 | ||
| Posterior tibia | 1030.18 ± 97.70 ** | 889.99 ± 104.18 | 0.000 |
| BMD Site | HU Value Site | β ± SD | p | |
|---|---|---|---|---|
| MCF | Cortical bone in the CP | Medial condyle articular surface | 0.000959 ± 0.000244 | <0.001 |
| Medial condyle and shaft transition | 0.0000517 ± 0.000131 | 0.694 | ||
| LCF | Cancellous bone in the CP | Lateral condyle | −0.000203 ± 0.000763 | 0.790 |
| Cortical bone in the CP | Lateral condyle articular surface | −0.000234 ± 0.000515 | 0.649 | |
| Lateral condyle and shaft transition | 0.000160 ± 0.000198 | 0.419 | ||
| Cancellous bone in the SP | Lateral condyle | 0.00293 ± 0.000807 | <0.001 | |
| Cortical bone in the SP | Lateral condyle articular surface | 0.00107 ± 0.000454 | 0.018 | |
| Anterior femur | −0.000589 ± 0.000300 | 0.049 | ||
| Posterior femur | 0.000599 ± 0.000297 | 0.043 | ||
| MCT | Cancellous bone in the CP | Medial condyle | 0.00141 ± 0.000452 | 0.002 |
| Cortical bone in the CP | Medial tibial plateau | 0.000173 ± 0.000105 | 0.098 | |
| Medial condyle and shaft transition | −0.000109 ± 0.0000913 | 0.232 | ||
| Cancellous bone in the SP | Medial condyle | 0.000617 ± 0.000453 | 0.173 | |
| Cortical bone in the SP | Tibial plateau | 0.000273 ± 0.000117 | 0.020 | |
| Anterior tibia | 0.000108 ± 0.000109 | 0.321 | ||
| Posterior tibia | 0.000244 ± 0.000119 | 0.040 | ||
| LCT | Cortical bone in the CP | Lateral tibial plateau | 0.00121 ± 0.000213 | 0.016 |
| Lateral condyle and shaft transition | 0.0000144 ± 0.000139 | 0.917 | ||
Disclaimer/Publisher’s Note: The statements, opinions and data contained in all publications are solely those of the individual author(s) and contributor(s) and not of MDPI and/or the editor(s). MDPI and/or the editor(s) disclaim responsibility for any injury to people or property resulting from any ideas, methods, instructions or products referred to in the content. |
© 2025 by the authors. Licensee MDPI, Basel, Switzerland. This article is an open access article distributed under the terms and conditions of the Creative Commons Attribution (CC BY) license (https://creativecommons.org/licenses/by/4.0/).
Share and Cite
Wu, Y.; Wang, Y.; Wang, H.; Jia, S.; Ao, Y.; Gong, X.; Liu, Z. Patellar Dislocation Patients Had Lower Bone Mineral Density and Hounsfield Unit Values in the Knee Joint Compared to Patients with Anterior Cruciate Ligament Ruptures: A Focus on Cortical Bone in the Tibia. Bioengineering 2025, 12, 165. https://doi.org/10.3390/bioengineering12020165
Wu Y, Wang Y, Wang H, Jia S, Ao Y, Gong X, Liu Z. Patellar Dislocation Patients Had Lower Bone Mineral Density and Hounsfield Unit Values in the Knee Joint Compared to Patients with Anterior Cruciate Ligament Ruptures: A Focus on Cortical Bone in the Tibia. Bioengineering. 2025; 12(2):165. https://doi.org/10.3390/bioengineering12020165
Chicago/Turabian StyleWu, Yue, Yiting Wang, Haijun Wang, Shaowei Jia, Yingfang Ao, Xi Gong, and Zhenlong Liu. 2025. "Patellar Dislocation Patients Had Lower Bone Mineral Density and Hounsfield Unit Values in the Knee Joint Compared to Patients with Anterior Cruciate Ligament Ruptures: A Focus on Cortical Bone in the Tibia" Bioengineering 12, no. 2: 165. https://doi.org/10.3390/bioengineering12020165
APA StyleWu, Y., Wang, Y., Wang, H., Jia, S., Ao, Y., Gong, X., & Liu, Z. (2025). Patellar Dislocation Patients Had Lower Bone Mineral Density and Hounsfield Unit Values in the Knee Joint Compared to Patients with Anterior Cruciate Ligament Ruptures: A Focus on Cortical Bone in the Tibia. Bioengineering, 12(2), 165. https://doi.org/10.3390/bioengineering12020165

