Enhancing Forensic Diagnostics: Structured Reporting of Post-Mortem CT versus Autopsy for Laryngohyoid Complex Fractures in Strangulation
Abstract
1. Introduction
2. Materials and Methods
2.1. Inclusion/Exclusion Criteria
2.2. Data Generation: Imaging
2.3. Structured Reporting: Imaging
2.4. Data Generation: Autopsy Reports
2.5. Study Cohort
2.6. Statistical Analysis
3. Results
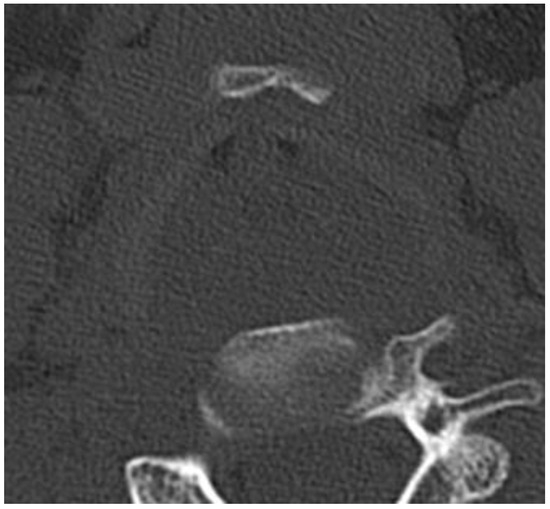
3.1. Detection of Fractures
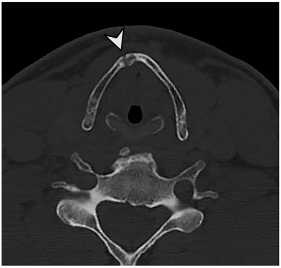
3.2. Detection of Normal Variants
3.3. Evaluation of Specific Cases
3.4. Detailed Findings
4. Discussion
5. Limitations
6. Future Directions
Recommendations for Routine Workflows in Forensic Imaging
- Complementary Use of Autopsy and pmCT: Both autopsy and pmCT provide valuable and complementary insights into the detection of fractures and anatomical variations in the laryngohyoid complex. The high correlation between the two methods supports their combined use in a comprehensive forensic evaluation.
- Superiority of pmCT in Detecting Anatomic Variations: pmCT has demonstrated superior sensitivity in identifying anatomical variations and non-fusions that can be confounding factors during autopsy. It is particularly effective in the detection of fracture dislocations and minor anatomical deviations that may be overlooked during manual examination.
- Standardized Reporting Template: Implementing a standardized reporting template is recommended for pmCT examinations of the laryngohyoid complex. This template should be used to document all relevant anatomical regions in a systematic manner, ensuring thorough examination and facilitating clear communication between radiologists and forensic pathologists.
- Pre-Autopsy pmCT Examination: Conducting pmCT examinations prior to autopsy is strongly recommended in suspected cases of strangulation. The non-invasive nature of pmCT allows for the preservation of the anatomical state, enabling detailed analysis and providing critical information that can guide the autopsy process.
7. Conclusions
Author Contributions
Funding
Institutional Review Board Statement
Informed Consent Statement
Data Availability Statement
Conflicts of Interest
References
- de Bakker, H.M.; Warmbrunn, M.V.; Biggelaar, P.v.D.; Soerdjbalie-Maikoe, V.; de Bakker, B.S. Fracture patterns of the hyoid-larynx complex after fatal trauma on the neck: Retrospective radiological postmortem analysis of 284 cases. Int. J. Leg. Med. 2020, 134, 1465–1473. [Google Scholar] [CrossRef] [PubMed]
- Decker, L.A.; Hatch, G.M.; Lathrop, S.L.; Nolte, K.B. The Role of Postmortem Computed Tomography in the Evaluation of Strangulation Deaths. J. Forensic Sci. 2018, 63, 1401–1405. [Google Scholar] [CrossRef] [PubMed]
- Kempter, M.; Ross, S.; Spendlove, D.; Flach, P.; Preiss, U.; Thali, M.; Bolliger, S. Post-mortem imaging of laryngohyoid fractures in strangulation incidents: First results. Leg. Med. 2009, 11, 267–271. [Google Scholar] [CrossRef] [PubMed]
- Maiese, A.; Gitto, L.; Dell’aquila, M.; Bolino, G. When the hidden features become evident: The usefulness of PMCT in a strangulation-related death. Leg. Med. 2014, 16, 364–366. [Google Scholar] [CrossRef] [PubMed]
- Kettner, M.; Potente, S.; Schulz, B.; Knauff, P.; Schmidt, P.H.; Ramsthaler, F. Analysis of laryngeal fractures in decomposed bodies using microfocus computed tomography (mfCT). Forensic Sci. Med. Pathol. 2014, 10, 607–612. [Google Scholar] [CrossRef] [PubMed]
- Thali, M.; Yen, K.; Schweitzer, W.; Vock, P.; Boesch, C.; Ozdoba, C.; Schroth, G.; Ith, M.; Sonnenschein, M.; Doernhoefer, T.; et al. Virtopsy, a New Imaging Horizon in Forensic Pathology: Virtual Autopsy by Postmortem Multislice Computed Tomography (MSCT) and Magnetic Resonance Imaging (MRI)—A Feasibility Study. J. Forensic Sci. 2003, 48, 386–403. [Google Scholar] [CrossRef] [PubMed]
- Schweitzer, W.; Bartsch, C.; Ruder, T.D.; Thali, M.J. Virtopsy approach: Structured reporting versus free reporting for PMCT findings. J. Forensic Radiol. Imaging 2014, 2, 28–33. [Google Scholar] [CrossRef]
- Leth, P.M. Computed Tomography in Forensic Medicine. Dan. Med. J. 2015, 62, 1–26. [Google Scholar]
- Norberti, N.; Tonelli, P.; Giaconi, C.; Nardi, C.; Focardi, M.; Nesi, G.; Miele, V.; Colagrande, S. State of the art in post-mortem computed tomography: A review of current literature. Virchows Arch. 2019, 475, 139–150. [Google Scholar] [CrossRef]
- Jalalzadeh, H.; Giannakopoulos, G.F.; Berger, F.H.; Fronczek, J.; van de Goot, F.R.; Reijnders, U.J.; Zuidema, W.P. Post-mortem imaging compared with autopsy in trauma victims—A systematic review. Forensic Sci. Int. 2015, 257, 29–48. [Google Scholar] [CrossRef]
- Bolliger, S.A.; Thali, M.J.; Ross, S.; Buck, U.; Naether, S.; Vock, P. Virtual autopsy using imaging: Bridging radiologic and forensic sciences. A review of the Virtopsy and similar projects. Eur. Radiol. 2008, 18, 273–282. [Google Scholar] [CrossRef] [PubMed]
- Burke, M.P. Forensic Pathology of Fractures and Mechanisms of Injury: Postmortem CT Scanning; CRC Press: Boca Raton, FL, USA, 2012. [Google Scholar] [CrossRef]
- Gascho, D.R.; Schaerli, S.; Tuchtan-Torrents, L.; Thali, M.J.; Gorincour, G. Use of Postmortem Computed Tomography to Detect Bowel Obstruction and its Relationship to the Cause of Death. Am. J. Forensic Med. Pathol. 2018, 39, 30–37. [Google Scholar] [CrossRef] [PubMed]
- Jensen, N.D.; Arge, S.; Hansen, N.F.; Lynnerup, N. Post-mortem computed tomography as part of dental identification—A proposed guideline. Forensic Sci. Med. Pathol. 2019, 15, 574–579. [Google Scholar] [CrossRef] [PubMed]
- Treitl, K.M.; Aigner, L.I.; Gazov, E.; Fischer, F.; Schinner, R.; Schmid-Tannwald, C.; Kirchhoff, S.; Scherr, M.K. Injuries of the isolated larynx-hyoid complex in post-mortem computed tomography (PMCT) and post-mortem fine preparation (PMFP)—A comparison of 54 forensic cases. Eur. Radiol. 2020, 30, 4564–4572. [Google Scholar] [CrossRef]
- Saukko, P.; Knight, B. Suffocation and Asphyxia. In Knight’s Forensic Pathology; CRC Press: London, UK, 2015; pp. 333–399. [Google Scholar] [CrossRef]
- Payne-James, J.; Jones, R.; Karch, S.; Manlove, J. Regional Injuries. In Simpson’s Forensic Medicine; CRC Press: London, UK, 2012. [Google Scholar]
- DiMaio, V.J. Homicidal asphyxia. Am. J. Forensic Med. Pathol. 2000, 21, 1–4. [Google Scholar] [CrossRef] [PubMed]
- Pollanen, M.S. Subtle Fatal Manual Neck Compression. Med. Sci. Law 2001, 41, 135–140. [Google Scholar] [CrossRef] [PubMed]
- Zátopková, L.; Janík, M.; Urbanová, P.; Mottlová, J.; Hejna, P. Laryngohyoid fractures in suicidal hanging: A prospective autopsy study with an updated review and critical appraisal. Forensic Sci. Int. 2018, 290, 70–84. [Google Scholar] [CrossRef] [PubMed]
- Nikolic, S.; Micic, J.; Atanasijevic, T.; Djokic, V.; Djonic, D. Analysis of Neck Injuries in Hanging. Am. J. Forensic Med. Pathol. 2003, 24, 179–182. [Google Scholar] [CrossRef] [PubMed]
- Hejna, P. Amussat’s Sign in Hanging—A Prospective Autopsy Study. J. Forensic Sci. 2011, 56, 132–135. [Google Scholar] [CrossRef]
- de Bakker, B.S.; de Bakker, H.M.; Soerdjbalie-Maikoe, V.; Dikkers, F.G. Variants of the hyoid-larynx complex, with implications for forensic science and consequence for the diagnosis of Eagle’s syndrome. Sci. Rep. 2019, 9, 15950. [Google Scholar] [CrossRef]
- dos Santos, D.P.; Hempel, J.-M.; Mildenberger, P.; Klöckner, R.; Persigehl, T. Structured Reporting in Clinical Routine. RoFo 2019, 191, 33–39. [Google Scholar] [CrossRef] [PubMed]
- Persigehl, T.; Baumhauer, M.; Baeßler, B.; Beyer, L.P.; Bludau, M.; Bruns, C.; Bunck, A.C.; Germer, C.-T.; Grenacher, L.; Hackländer, T.; et al. Structured Reporting of Solid and Cystic Pancreatic Lesions in CT and MRI: Consensus-Based Structured Report Templates of the German Society of Radiology (DRG). RoFo 2020, 192, 641–655. [Google Scholar] [CrossRef] [PubMed]
- Di Nunno, N.; Lombardo, S.; Costantinides, F.; Di Nunno, C. Anomalies and Alterations of the Hyoid-Larynx Complex in Forensic Radiographic Studies. Am. J. Forensic Med. Pathol. 2004, 25, 14–19. [Google Scholar] [CrossRef] [PubMed]
- Cohen, J. A Coefficient of Agreement for Nominal Scales. Educ. Psychol. Meas. 1960, 20, 37–46. [Google Scholar] [CrossRef]
- Altman, D.G. Practical Statistics for Medical Research; Chapman & Hall/CRC: London, UK, 1991. [Google Scholar]
- Deininger-Czermak, E.; Heimer, J.; Tappero, C.; Thali, M.J.; Gascho, D. The added value of postmortem magnetic resonance imaging in cases of hanging compared to postmortem computed tomography and autopsy. Forensic Sci. Med. Pathol. 2020, 16, 234–242. [Google Scholar] [CrossRef] [PubMed]
- Le Blanc-Louvry, I.; Thureau, S.; Duval, C.; Papin-Lefebvre, F.; Thiebot, J.; Dacher, J.N.; Gricourt, C.; Touré, E.; Proust, B. Post-mortem computed tomography compared to forensic autopsy findings: A French experience. Eur. Radiol. 2013, 23, 1829–1835. [Google Scholar] [CrossRef] [PubMed]
- Yen, K.; Thali, M.J.; Aghayev, E.; Jackowski, C.; Schweitzer, W.; Boesch, C.; Vock, P.; Dirnhofer, R.; Sonnenschein, M. Strangulation signs: Initial correlation of MRI, MSCT, and forensic neck findings. J. Magn. Reson. Imaging 2005, 22, 501–510. [Google Scholar] [CrossRef] [PubMed]
- Gascho, D.; Heimer, J.; Tappero, C.; Schaerli, S. Relevant findings on postmortem CT and postmortem MRI in hanging, ligature strangulation and manual strangulation and their additional value compared to autopsy—A systematic review. Forensic Sci. Med. Pathol. 2019, 15, 84–92. [Google Scholar] [CrossRef]
- Wilson, I.; Stevens, J.; Gnananandan, J.; Nabeebaccus, A.; Sandison, A.; Hunter, A. Triticeal cartilage: The forgotten cartilage. Surg. Radiol. Anat. 2017, 39, 1135–1141. [Google Scholar] [CrossRef]
- Watanabe, H.; Kurihara, K.; Murai, T. A Morphometrical Study of Laryngeal Cartilages. Med. Sci. Law 1982, 22, 255–260. [Google Scholar] [CrossRef]
- Ajmani, M. A Metrical Study of the Laryngeal Skeleton in Adult Nigerians. J. Anat. 1990, 171, 187–191. [Google Scholar] [PubMed]
- Balseven-Odabasi, A.; Yalcinozan, E.; Keten, A.; Akçan, R.; Tumer, A.R.; Onan, A.; Canturk, N.; Odabasi, O.; Dinc, A.H. Age and sex estimation by metric measurements and fusion of hyoid bone in a Turkish population. J. Forensic Leg. Med. 2013, 20, 496–501. [Google Scholar] [CrossRef] [PubMed]






| Parameter | Value |
|---|---|
| Slice thickness | 1 mm |
| Increment | 0.8 mm |
| Orientation | Z-axis parallel to tracheal axis |
| Sections | axial, coronal, sagittal |
| Kernel | Br69, H40 |
| Score | Interpretation |
|---|---|
| 0 | No Fracture |
| 1 | Fracture present |
| 2 | Fracture suspected but not clearly visible on the pmCT or not unambiguously described on the autopsy report |
| Autopsy n (%) | pmCT n (%) | |||||
|---|---|---|---|---|---|---|
| Right | Middle | Left | Right | Middle | Left | |
| Cornua superiores | 10 (23.8%) | - | 12 (28.6%) | 10 (23.8%) | - | 10 (23.8%) |
| Corpus cartilago thyroidea | - | 6 (14.3%) | - | - | 5 (11.9%) | - |
| Cartilago cricoidea | - | 1 (2.4%) | - | - | 2 (4.8%) | - |
| Os hyoideum | 4 (9.5%) | 1 (2.4%) | 3 (7.1%) | 4 (9.5%) | 1 (2.4%) | 3 (7.1%) |
| Result | SE | 95% CI | p | |
|---|---|---|---|---|
| Cohen’s κ | 0.905 | 0.04384 | 0.829 to 0.980 | N/A |
| McNemar | 0.70% | N/A | −1.16 to 1.92 | 0.6875 |
| Right | Left | Bilateral Localization in Tissue Sample | Unilateral Localization in Tissue Sample | Tissue Samples with Anatomic Variants | |
|---|---|---|---|---|---|
| Os Sesamoideum | 35.7% (n = 15/42) | 31% (n = 13/42) | 23.8% (n = 10/42) | 19% (n = 8/42) | 42.9% (n = 18/42) |
| Non-fusion cornua majores | 52.4% (n = 22/42) | 54.8% (n = 23/42) | 45.2% (n = 19/42) | 16.7% (n = 7/42) | 61.9% (n = 26/42) |
| Non-fusion cornua minores | 59.5% (n = 22/37) | 65.7% (n = 25/38) | 50% (n = 19/38) | 23.7% (n = 9/38) | 73.7% (n = 28/38 1) |
| Count (pmCT) | Count (Autopsy) | Correlation (κ) | Correlation (McNemar) | |
|---|---|---|---|---|
| Os Sesamoideum | 33.3% (n = 28/84) | 4.8% (n = 4/84) | 0.173 (95% CI: 20.43 to 28.57) | 28.57% (p < 0.0001) |
| Non-fusion cornua majores | 53.6% (n = 45/84) | 7.1% (n = 6/84) | 0.158 (95% CI: 0.0382 to 0.278) | 42.1% (p < 0.0001) |
| Non-fusion cornua minores | 62.7% (n = 47/75) | 0.0% (n = 0/75) | 0.0 (95% CI: 0.0 to 0.0) | 64.4% (p < 0.0001) |
Disclaimer/Publisher’s Note: The statements, opinions and data contained in all publications are solely those of the individual author(s) and contributor(s) and not of MDPI and/or the editor(s). MDPI and/or the editor(s) disclaim responsibility for any injury to people or property resulting from any ideas, methods, instructions or products referred to in the content. |
© 2024 by the authors. Licensee MDPI, Basel, Switzerland. This article is an open access article distributed under the terms and conditions of the Creative Commons Attribution (CC BY) license (https://creativecommons.org/licenses/by/4.0/).
Share and Cite
Bucher, A.M.; Koppold, A.; Kettner, M.; Kölzer, S.; Dietz, J.; Frodl, E.; Surov, A.; Pinto dos Santos, D.; Vogl, T.J.; Verhoff, M.A.; et al. Enhancing Forensic Diagnostics: Structured Reporting of Post-Mortem CT versus Autopsy for Laryngohyoid Complex Fractures in Strangulation. Bioengineering 2024, 11, 807. https://doi.org/10.3390/bioengineering11080807
Bucher AM, Koppold A, Kettner M, Kölzer S, Dietz J, Frodl E, Surov A, Pinto dos Santos D, Vogl TJ, Verhoff MA, et al. Enhancing Forensic Diagnostics: Structured Reporting of Post-Mortem CT versus Autopsy for Laryngohyoid Complex Fractures in Strangulation. Bioengineering. 2024; 11(8):807. https://doi.org/10.3390/bioengineering11080807
Chicago/Turabian StyleBucher, Andreas M., Adrian Koppold, Mattias Kettner, Sarah Kölzer, Julia Dietz, Eric Frodl, Alexey Surov, Daniel Pinto dos Santos, Thomas J. Vogl, Marcel A. Verhoff, and et al. 2024. "Enhancing Forensic Diagnostics: Structured Reporting of Post-Mortem CT versus Autopsy for Laryngohyoid Complex Fractures in Strangulation" Bioengineering 11, no. 8: 807. https://doi.org/10.3390/bioengineering11080807
APA StyleBucher, A. M., Koppold, A., Kettner, M., Kölzer, S., Dietz, J., Frodl, E., Surov, A., Pinto dos Santos, D., Vogl, T. J., Verhoff, M. A., Beeres, M., Lux, C., & Heinbuch, S. (2024). Enhancing Forensic Diagnostics: Structured Reporting of Post-Mortem CT versus Autopsy for Laryngohyoid Complex Fractures in Strangulation. Bioengineering, 11(8), 807. https://doi.org/10.3390/bioengineering11080807

