Integration of Ultrasound in Image-Guided Adaptive Brachytherapy in Cancer of the Uterine Cervix
Abstract
1. Introduction
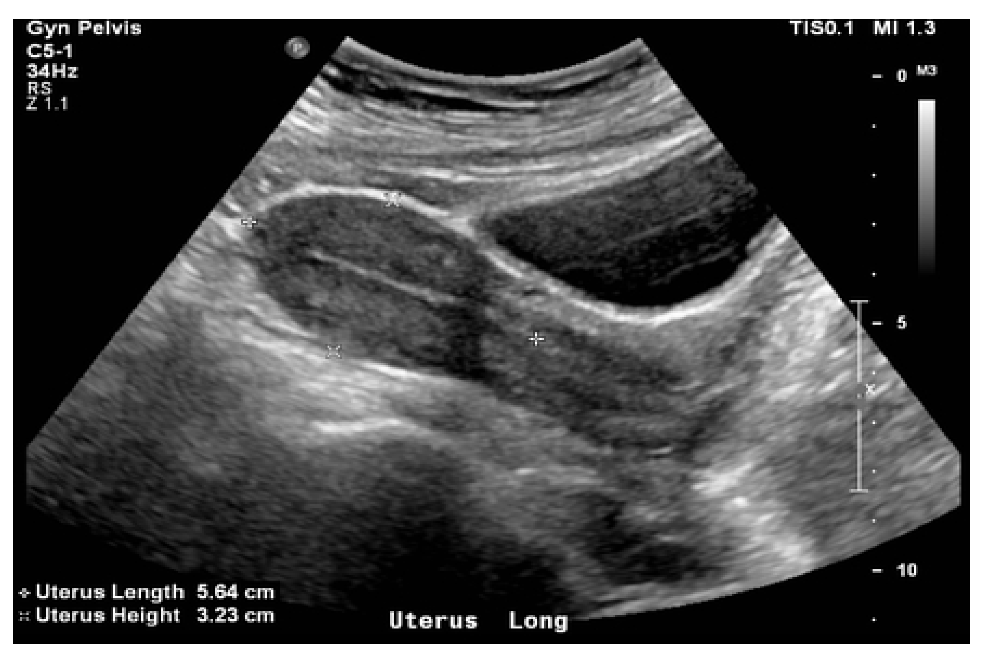
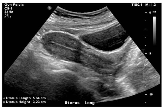
2. Materials and Methods
3. Results
4. Discussion
5. Conclusions
Author Contributions
Funding
Institutional Review Board Statement
Informed Consent Statement
Data Availability Statement
Acknowledgments
Conflicts of Interest
Abbreviations
| IGABT | Image-Guided Adaptive Brachytherapy |
| ESTRO | European Society for Radiology and Oncology |
| CTVHR | The computed tomography (CT)-based high-risk clinical target volume |
| D90 | A 90% target dose |
| 3DTVUS | Three-dimensional (3D) transvaginal (TV) ultrasound (US) |
| TAUS | Transabdominal ultrasound |
| TRUS | Transrectal ultrasound |
| GYN GEC-ESTRO | The Groupe Européen de Curiethérapie (GEC) ESTRO gynaecology (gyn) working group |
Appendix A
References
- Cervical Cancer. Available online: https://www.who.int/news-room/fact-sheets/detail/cervical-cancer (accessed on 13 April 2024).
- Wang, R.; Pan, W.; Jin, L.; Huang, W.; Li, Y.; Wu, D.; Gao, C.; Ma, D.; Liao, S. Human papillomavirus vaccine against cervical cancer: Opportunity and challenge. Cancer Lett. 2020, 471, 88–102. [Google Scholar] [CrossRef] [PubMed]
- Rosettie, K.L.; Joffe, J.N.; Sparks, G.W.; Aravkin, A.; Chen, S.; Compton, K.; Ewald, S.B.; Mathew, E.B.; Michael, D.; Velandia, P.P.; et al. Cost-effectiveness of HPV vaccination in 195 countries: A meta-regression analysis. PLoS ONE 2021, 16, e0260808. [Google Scholar] [CrossRef] [PubMed]
- Frianto, D.; Setiawan, D.; Diantini, A.; Suwantika, A.A. Economic Evaluations of HPV Vaccination in Targeted Regions of Low- and Middle-Income Countries: A Systematic Review of Modelling Studies. Int. J. Women’s Health 2022, 14, 1315–1322. [Google Scholar] [CrossRef] [PubMed]
- Ebrahimi, N.; Yousefi, Z.; Khosravi, G.; Malayeri, F.E.; Golabi, M.; Askarzadeh, M.; Shams, M.H.; Ghezelbash, B.; Eskandari, N. Human papillomavirus vaccination in low- and middle-income countries: Progression, barriers, and future prospective. Front. Immunol. 2023, 14, 1150238. [Google Scholar] [CrossRef] [PubMed]
- Non-Brachytherapy Alternatives in Cervical Cancer Radiotherapy: Why Not?|Applied Radiation Oncology. Available online: https://www.appliedradiationoncology.com/articles/non-brachytherapy-alternatives-in-cervical-cancer-radiotherapy-why-not (accessed on 1 May 2024).
- Cervical Cancer Chemotherapy|Chemo for Cervical|American Cancer Society. Available online: https://www.cancer.org/cancer/types/cervical-cancer/treating/chemotherapy.html (accessed on 2 May 2024).
- Kamran, S.C.; Manuel, M.M.; Cho, L.P.; Damato, A.L.; Schmidt, E.J.; Tempany, C.; Cormack, R.A.; Viswanathan, A.N. Comparison of outcomes for MR-guided versus CT-guided high-dose-rate interstitial brachytherapy in women with locally advanced carcinoma of the cervix. Gynecol. Oncol. 2017, 145, 284–290. [Google Scholar] [CrossRef] [PubMed]
- Tanderup, K.; Eifel, P.J.; Yashar, C.M.; Pötter, R.; Grigsby, P.W. Curative Radiation Therapy for Locally Advanced Cervical Cancer: Brachytherapy Is NOT Optional. Int. J. Radiat. Oncol. 2014, 88, 537–539. [Google Scholar] [CrossRef] [PubMed]
- Pötter, R.; Georg, P.; Dimopoulos, J.C.; Grimm, M.; Berger, D.; Nesvacil, N.; Georg, D.; Schmid, M.P.; Reinthaller, A.; Sturdza, A.; et al. Clinical outcome of protocol based image (MRI) guided adaptive brachytherapy combined with 3D conformal radiotherapy with or without chemotherapy in patients with locally advanced cervical cancer. Radiother. Oncol. 2011, 100, 116–123. [Google Scholar] [CrossRef]
- Haie-Meder, C.; Pötter, R.; Van Limbergen, E.; Briot, E.; De Brabandere, M.; Dimopoulos, J.; Dumas, I.; Hellebust, T.P.; Kirisits, C.; Lang, S.; et al. Recommendations from Gynaecological (GYN) GEC-ESTRO Working Group☆ (I): Concepts and terms in 3D image based 3D treatment planning in cervix cancer brachytherapy with emphasis on MRI assessment of GTV and CTV. Radiother. Oncol. 2005, 74, 235–245. [Google Scholar] [CrossRef]
- Hellebust, T.P.; Kirisits, C.; Berger, D.; Pérez-Calatayud, J.; De Brabandere, M.; De Leeuw, A.; Dumas, I.; Hudej, R.; Lowe, G.; Wills, R.; et al. Recommendations from Gynaecological (GYN) GEC-ESTRO Working Group: Considerations and pitfalls in commissioning and applicator reconstruction in 3D image-based treatment planning of cervix cancer brachytherapy. Radiother. Oncol. 2010, 96, 153–160. [Google Scholar] [CrossRef]
- Viswanathan, A.N.; Beriwal, S.; Santos, J.F.D.L.; Demanes, D.J.; Gaffney, D.; Hansen, J.; Jones, E.; Kirisits, C.; Thomadsen, B.; Erickson, B. American Brachytherapy Society consensus guidelines for locally advanced carcinoma of the cervix. Part II: High-dose-rate brachytherapy. Brachytherapy 2012, 11, 47–52. [Google Scholar] [CrossRef]
- Dimopoulos, J.C.; Petrow, P.; Tanderup, K.; Petric, P.; Berger, D.; Kirisits, C.; Pedersen, E.M.; van Limbergen, E.; Haie-Meder, C.; Pötter, R. Recommendations from Gynaecological (GYN) GEC-ESTRO Working Group (IV): Basic principles and parameters for MR imaging within the frame of image based adaptive cervix cancer brachytherapy. Radiother. Oncol. 2012, 103, 113–122. [Google Scholar] [CrossRef] [PubMed]
- Pötter, R.; Haie-Meder, C.; Van Limbergen, E.; Barillot, I.; De Brabandere, M.; Dimopoulos, J.; Dumas, I.; Erickson, B.; Lang, S.; Nulens, A.; et al. Recommendations from gynaecological (GYN) GEC ESTRO working group (II): Concepts and terms in 3D image-based treatment planning in cervix cancer brachytherapy—3D dose volume parameters and aspects of 3D image-based anatomy, radiation physics, radiobiology. Radiother. Oncol. 2006, 78, 67–77. [Google Scholar] [CrossRef] [PubMed]
- Tanderup, K.; Pötter, R.; Lindegaard, J.; Kirisits, C.; Juergenliemk-Schulz, I.; de Leeuw, A.; Fortin, I.; Kirchheiner, K.; Georg, D.; Nout, R.; et al. Image guided intensity modulated External beam radiochemotherapy and MRI based adaptive BRAchytherapy in locally advanced CErvical cancer EMBRACE-II. 2015. Available online: https://www.embracestudy.dk/UserUpload/PublicDocuments/EMBRACE%20II%20Protocol.pdf (accessed on 27 October 2022).
- Berger, T.; Seppenwoolde, Y.; Pötter, R.; Assenholt, M.S.; Lindegaard, J.C.; Nout, R.A.; de Leeuw, A.; Jürgenliemk-Schulz, I.; Tan, L.T.; Georg, D.; et al. Importance of Technique, Target Selection, Contouring, Dose Prescription, and Dose-Planning in External Beam Radiation Therapy for Cervical Cancer: Evolution of Practice From EMBRACE-I to II. Int. J. Radiat. Oncol. 2019, 104, 885–894. [Google Scholar] [CrossRef]
- Complete Cervical Cancer Profile Sets. Available online: https://www.who.int/publications/m/item/cervical-cancer-country-profiles (accessed on 13 April 2024).
- Van Elburg, D.; Meyer, T.; Martell, K.; Quirk, S.; Banerjee, R.; Phan, T.; Fenster, A.; Roumeliotis, M. Clinical implementation of 3D transvaginal ultrasound for intraoperative guidance of needle implant in template interstitial gynecologic high-dose-rate brachytherapy. Brachytherapy 2023, 22, 790–799. [Google Scholar] [CrossRef] [PubMed]
- World Health Organization. Cancer Today. Available online: https://gco.iarc.fr/today/home (accessed on 5 June 2023).
- Simion, L.; Rotaru, V.; Cirimbei, C.; Gales, L.; Stefan, D.-C.; Ionescu, S.-O.; Luca, D.; Doran, H.; Chitoran, E. Inequities in Screening and HPV Vaccination Programs and Their Impact on Cervical Cancer Statistics in Romania. Diagnostics 2023, 13, 2776. [Google Scholar] [CrossRef] [PubMed]
- Simion, L.; Rotaru, V.; Cirimbei, C.; Stefan, D.-C.; Gherghe, M.; Ionescu, S.; Tanase, B.C.; Luca, D.C.; Gales, L.N.; Chitoran, E. Analysis of Efficacy-To-Safety Ratio of Angiogenesis-Inhibitors Based Therapies in Ovarian Cancer: A Systematic Review and Meta-Analysis. Diagnostics 2023, 13, 1040. [Google Scholar] [CrossRef] [PubMed]
- Condrat, C.E.; Filip, L.; Gherghe, M.; Cretoiu, D.; Suciu, N. Maternal HPV Infection: Effects on Pregnancy Outcome. Viruses 2021, 13, 2455. [Google Scholar] [CrossRef]
- Availability of CT and MRI Units in Hospitals—Products Eurostat News—Eurostat. Available online: https://ec.europa.eu/eurostat/web/products-eurostat-news/-/ddn-20210702-2 (accessed on 7 May 2024).
- Berger, D.; Van Dyk, S.; Beaulieu, L.; Major, T.; Kron, T. Modern Tools for Modern Brachytherapy. Clin. Oncol. 2023, 35, e453–e468. [Google Scholar] [CrossRef]
- Chakraborty, S. The Manchester System of Intracavitary Brachytherapy for Carcinoma Cervix A Primer for Radiation Oncology Students. Available online: https://www.aroiwb.org/pdf/ResidentCorner/GynaecologicalCancer/TheManchestersystemofcervicalbra.pdf (accessed on 2 May 2024).
- Suntharalingam, N.; Podgorsak, E.B.; Tolli, H. Chapter 13: Brachytherapy: Physical and Clinical Aspects. In IAEA International Atomic Energy Agency Set of 163 slides based on the chapter authored by of the IAEA publication: Radiation Oncology Physics: A Handbook for Teachers and Students; IAEA Publications: Vienna, Austria, 2006. [Google Scholar]
- Zwicker, R.D. Quimby-based Brachytherapy Systems. Available online: https://www.aapm.org/meetings/05SS/program/RZQuimby.pdf (accessed on 2 January 2024).
- Mourya, A.; Aggarwal, L.M.; Choudhary, S. Evolution of brachytherapy applicators for the treatment of cervical cancer. J. Med. Phys. 2021, 46, 231–243. [Google Scholar] [CrossRef]
- Basu, B.; Basu, S.; Chakraborti, B.; Ghorai, S.; Gupta, P.; Ghosh, S.; Ghosh, K.; Jayanti, J. Clinical Investigations A comparison of dose distribution from Manchester-style and Fletcher-style intracavitary brachytherapy applicator systems in cervical cancer. J. Contemp. Brachytherapy 2012, 4, 213–218. [Google Scholar] [CrossRef] [PubMed]
- Langmack, K.A.; Thomas, S.J. The application of dose–volume histograms to the Paris and Manchester systems of brachytherapy dosimetry. Br. J. Radiol. 1995, 68, 42–48. [Google Scholar] [CrossRef] [PubMed]
- Vojtíšek, R.; Mouryc, F.; Čechová, D.; Ciprová, R.; Ferda, J.; Fínek, J. MRI Based 3D Brachytherapy Planning of the Cervical Cancer—Our Experiences with the Use of the Uterovaginal Vienna Ring MR- CT Applicator. Klin. Onkol. 2014, 27, 45–51. [Google Scholar] [CrossRef]
- Onal, C.; Arslan, G.; Topkan, E.; Pehlivan, B.; Yavuz, M.; Oymak, E.; Yavuz, A. Comparison of conventional and CT-based planning for intracavitary brachytherapy for cervical cancer: Target volume coverage and organs at risk doses. J. Exp. Clin. Cancer Res. 2009, 28, 95. [Google Scholar] [CrossRef] [PubMed]
- Song, W.Y.; Robar, J.L.; Morén, B.; Larsson, T.; Tedgren, Å.C.; Jia, X. Emerging technologies in brachytherapy. Phys. Med. Biol. 2021, 66, 23TR01. [Google Scholar] [CrossRef]
- Hellebust, T. Place of modern imaging in brachytherapy planning. Cancer/Radiothérapie 2018, 22, 326–333. [Google Scholar] [CrossRef] [PubMed]
- Lee, C.D. Recent developments and best practice in brachytherapy treatment planning. Br. J. Radiol. 2014, 87, 20140146. [Google Scholar] [CrossRef] [PubMed]
- International Atomic Energy Agency. The Transition from 2-D Brachytherapy to 3-D High Dose Rate Brachytherapy, pp. 1–33. 2015. Available online: https://www.iaea.org/publications/10705/the-transition-from-2-d-brachytherapy-to-3-d-high-dose-rate-brachytherapy (accessed on 28 August 2023).
- Zhang, H.; Donnelly, E.D.; Strauss, J.B.; Kang, Z.; Gopalakrishnan, M.; Lee, P.C.; Khelashvili, G.; Nair, C.K.; Lee, B.H.; Sathiaseelan, V. Clinical implementation, logistics and workflow guide for MRI image based interstitial HDR brachytherapy for gynecological cancers. J. Appl. Clin. Med. Phys. 2019, 20, 37–49. [Google Scholar] [CrossRef] [PubMed]
- Torresin, A.; Brambilla, M.G.; Monti, A.F.; Moscato, A.; Brockmann, M.A.; Schad, L.; Attenberger, U.I.; Lohr, F. Review of potential improvements using MRI in the radiotherapy workflow. Z. Med. Phys. 2015, 25, 210–220. [Google Scholar] [CrossRef] [PubMed]
- Kim, H.; Houser, C.J.; Kalash, R.; Maceil, C.A.; Palestra, B.; Malush, D.; Beriwal, S. Workflow and efficiency in MRI-based high-dose-rate brachytherapy for cervical cancer in a high-volume brachytherapy center. Brachytherapy 2018, 17, 753–760. [Google Scholar] [CrossRef]
- Arenas, M.; Sabater, S.; Sintas, A.; Arguís, M.; Hernández, V.; Árquez, M.; López, I.; Rovirosa, À.; Puig, D. Individualized 3D scanning and printing for non-melanoma skin cancer brachytherapy: A financial study for its integration into clinical workflow. J. Contemp. Brachytherapy 2017, 3, 270–276. [Google Scholar] [CrossRef]
- ICRU. Prescribing, Recording, and Reporting Brachytherapy for Cancer of the Cervix. J. ICRU 2013, 13, 1–10. [Google Scholar] [CrossRef]
- Vandecasteele, K.; Tummers, P.; Van Bockstal, M.; De Visschere, P.; Vercauteren, T.; De Gersem, W.; Denys, H.; Naert, E.; Makar, A.; De Neve, W. EXclusion of non-Involved uterus from the Target Volume (EXIT-trial): An individualized treatment for locally advanced cervical cancer using modern radiotherapy and imaging techniques. BMC Cancer 2018, 18, 898. [Google Scholar] [CrossRef]
- Abdel-Wahab, M.; Zubizarreta, E.; Polo, A.; Meghzifene, A. Improving Quality and Access to Radiation Therapy—An IAEA Perspective. Semin. Radiat. Oncol. 2017, 27, 109–117. [Google Scholar] [CrossRef] [PubMed]
- Eustace, N.; Liu, J.; Ladbury, C.; Tam, A.; Glaser, S.; Liu, A.; Chen, Y.-J. Current Status and Future Directions of Image-Guided Adaptive Brachytherapy for Locally Advanced Cervical Cancer. Cancers 2024, 16, 1031. [Google Scholar] [CrossRef]
- Small, W.; Strauss, J.B.; Hwang, C.S.; Cohen, L.; Lurain, J. Should Uterine Tandem Applicators Ever Be Placed Without Ultrasound Guidance? No. Int. J. Gynecol. Cancer 2011, 21, 941–944. [Google Scholar] [CrossRef]
- Jacobsen, M.C.; Beriwal, S.; Dyer, B.A.; Klopp, A.H.; Lee, S.I.; McGinnis, G.J.; Robbins, J.B.; Rauch, G.M.; Sadowski, E.A.; Simiele, S.J.; et al. Contemporary image-guided cervical cancer brachytherapy: Consensus imaging recommendations from the Society of Abdominal Radiology and the American Brachytherapy Society. Brachytherapy 2022, 21, 369–388. [Google Scholar] [CrossRef] [PubMed]
- Federico, M.; Hernandez-Socorro, C.R.; Ribeiro, I.; Martin, J.G.; Oramas, M.D.R.-B.; Saez-Bravo, M.L.; Jimenez, P.C.L. Prospective intra/inter-observer evaluation of pre-brachytherapy cervical cancer tumor width measured in TRUS and MR imaging. Radiat. Oncol. 2019, 14, 173. [Google Scholar] [CrossRef]
- van Dyk, S.; Narayan, K.; Bernshaw, D.; Kondalsamy-Chennakesavan, S.; Khaw, P.; Lin, M.Y.; Schneider, M. Clinical outcomes from an innovative protocol using serial ultrasound imaging and a single MR image to guide brachytherapy for locally advanced cervix cancer. Brachytherapy 2016, 15, 817–824. [Google Scholar] [CrossRef] [PubMed]
- Tharavichitkul, E.; Chakrabandhu, S.; Klunklin, P.; Onchan, W.; Jia-Mahasap, B.; Wanwilairat, S.; Tippanya, D.; Jayasvasti, R.; Sripan, P.; Galalae, R.M.; et al. Intermediate-term results of trans-abdominal ultrasound (TAUS)-guided brachytherapy in cervical cancer. Gynecol. Oncol. 2018, 148, 468–473. [Google Scholar] [CrossRef]
- van Dyk, S.; Kondalsamy-Chennakesavan, S.; Schneider, M.; Bernshaw, D.; Narayan, K. Assessing changes to the brachytherapy target for cervical cancer using a single MRI and serial ultrasound. Brachytherapy 2015, 14, 889–897. [Google Scholar] [CrossRef]
- Tharavichitkul, E.; Muangwong, P.; Chakrabandhu, S.; Klunklin, P.; Onchan, W.; Jia-Mahasap, B.; Nobnop, W.; Tippanya, D.; Galalae, R.M.; Chitapanarux, I. Comparison of clinical outcomes achieved with image-guided adaptive brachytherapy for cervix cancer using CT or transabdominal ultrasound. Brachytherapy 2021, 20, 543–549. [Google Scholar] [CrossRef] [PubMed]
- Smet, S.; Nesvacil, N.; Knoth, J.; Sturdza, A.; Najjari-Jamal, D.; Jelinek, F.; Kronreif, G.; Pötter, R.; Widder, J.; Kirisits, C.; et al. Hybrid TRUS/CT with optical tracking for target delineation in image-guided adaptive brachytherapy for cervical cancer. Strahlenther. Onkol. 2020, 196, 983–992. [Google Scholar] [CrossRef] [PubMed]
- Zhang, Z.; Zhang, N.; Cheng, G. Application of three-dimensional multi-imaging combination in brachytherapy of cervical cancer. Radiol. Med. 2023, 128, 588–600. [Google Scholar] [CrossRef] [PubMed]
- Schuetz, M.; Schmid, M.P.; Pötter, R.; Kommata, S.; Georg, D.; Lukic, D.; Dudczak, R.; Kletter, K.; Dimopoulos, J.; Karanikas, G.; et al. Evaluating repetitive18F-fluoroazomycin-arabinoside (18FAZA) PET in the setting of MRI guided adaptive radiotherapy in cervical cancer. Acta Oncol. 2010, 49, 941–947. [Google Scholar] [CrossRef]
- Venselaar, J.; Perez-Calatayud, J. A Practical Guide to Quality Control of Brachytherapy Equipment; ESTRO Booklet No. 8; ESTRO: Brussels, Belgium, 2004. [Google Scholar]
- Kamrava, M.; Banerjee, R. Brachytherapy in the treatment of cervical cancer: A review. Int. J. Women’s Health 2014, 6, 555–564. [Google Scholar] [CrossRef] [PubMed]
- Van Dyk, S.; Narayan, K.; Fisher, R.; Bernshaw, D. Conformal Brachytherapy Planning for Cervical Cancer Using Transabdominal Ultrasound. Int. J. Radiat. Oncol. 2009, 75, 64–70. [Google Scholar] [CrossRef] [PubMed]
- Narayan, K.; van Dyk, S.; Bernshaw, D.; Khaw, P.; Mileshkin, L.; Kondalsamy-Chennakesavan, S. Ultrasound guided conformal brachytherapy of cervix cancer: Survival, patterns of failure, and late complications. J. Gynecol. Oncol. 2014, 25, 206–213. [Google Scholar] [CrossRef]
- Rao, P.B.; Ghosh, S. Routine use of ultrasound guided tandem placement in intracavitary brachytherapy for the treatment of cervical cancer—A South Indian institutional experience. J. Contemp. Brachytherapy 2015, 5, 352–356. [Google Scholar] [CrossRef] [PubMed]
- Verma, M.; Kukreja, D.; Ghosh, A.; Kumari, P.; Kv, A.; Srivastava, K. An audit of uterine perforation and its’ effect on the final outcome in an academic research medical center: An optimized balance between overall treatment time and medical crisis. J. Contemp. Brachytherapy 2023, 15, 130–133. [Google Scholar] [CrossRef]
- Sapienza, L.G.; Jhingran, A.; Kollmeier, M.A.; Lin, L.L.; Calsavara, V.F.; Gomes, M.J.L.; Baiocchi, G. Decrease in uterine perforations with ultrasound image-guided applicator insertion in intracavitary brachytherapy for cervical cancer: A systematic review and meta-analysis. Gynecol. Oncol. 2018, 151, 573–578. [Google Scholar] [CrossRef]
- Bayrak, M.; Abakay, C.D. Prevention of uterine perforation during intracavitary brachytherapy of cervical cancer. J. Contemp. Brachytherapy 2021, 13, 167–171. [Google Scholar] [CrossRef] [PubMed]
- Salas, J.C.P.; Véliz, D.G.A. Description of a novel technique for ultrasound-based planning for gynaecological 3D brachytherapy and comparison between plans of this technique and 2D with fluoroscopy. Ecancermedicalscience 2022, 16, 1415. [Google Scholar] [CrossRef] [PubMed]
- Can Brachytherapy for Cervical Cancer Continue after Uterine Perforation—The ASCO Post. Available online: https://ascopost.com/news/april-2021/can-brachytherapy-for-cervical-cancer-continue-after-uterine-perforation/ (accessed on 13 April 2024).
- Pareek, V.; Barthwal, M.; Giridhar, P.; Patil, P.A.; Upadhyay, A.D.; Mallick, S. A phase III randomised trial of trans-abdominal ultrasound in improving application quality and dosimetry of intra-cavitary brachytherapy in locally advanced cervical cancer. Gynecol. Oncol. 2020, 160, 375–378. [Google Scholar] [CrossRef] [PubMed]
- Martins, J.; Vaz, A.F.; Grion, R.C.; Costa-Paiva, L.; Baccaro, L.F. Topical estrogen, testosterone, and vaginal dilator in the prevention of vaginal stenosis after radiotherapy in women with cervical cancer: A randomized clinical trial. BMC Cancer 2021, 21, 682. [Google Scholar] [CrossRef]
- Addley, S.; Persic, M.; Kirke, R.; Abdul, S. Combined direct hysteroscopic and real-time ultrasound guidance facilitating safe insertion of intra-uterine brachytherapy applicator for locally advanced cervical cancer with significant endocervical stenosis: A novel collaborative approach. Gynecol. Oncol. Rep. 2023, 47, 101178. [Google Scholar] [CrossRef]
- Davidson, M.T.; Yuen, J.; D’Souza, D.P.; Radwan, J.S.; Hammond, J.A.; Batchelar, D.L. Optimization of high-dose-rate cervix brachytherapy applicator placement: The benefits of intraoperative ultrasound guidance. Brachytherapy 2008, 7, 248–253. [Google Scholar] [CrossRef] [PubMed]
- Viswanathan, A.N.; Erickson, B.A. Three-Dimensional Imaging in Gynecologic Brachytherapy: A Survey of the American Brachytherapy Society. Int. J. Radiat. Oncol. 2010, 76, 104–109. [Google Scholar] [CrossRef]
- Kim, R.Y.; Levy, D.S.; Brascho, D.J.; Hatch, K.D. Uterine perforation during intracavitary application. Prognostic significance in carcinoma of the cervix. Radiology 1983, 147, 249–251. [Google Scholar] [CrossRef]
- Rotmensch, J.; Waggoner, S.; Quiet, C. Ultrasound Guidance for Placement of Difficult Intracavitary Implants. Gynecol. Oncol. 1994, 54, 159–162. [Google Scholar] [CrossRef]
- Sahinler, I.; Cepni, I.; Oksuz, D.C.; Cepni, K.; Koksal, S.; Koca, A.; Atkovar, G.; Okkan, S. Tandem application with transvaginal ultrasound guidance. Int. J. Radiat. Oncol. 2004, 59, 190–196. [Google Scholar] [CrossRef]
- Stock, R.G.; Chan, K.; Terk, M.; Dewyngaert, J.; Stone, N.N.; Dottino, P. A new technique for performing syed-neblett template interstitial implants for gynecologic malignancies using transrectal-ultrasound guidance. Int. J. Radiat. Oncol. 1997, 37, 819–825. [Google Scholar] [CrossRef] [PubMed]
- Hayashi, K.; Isohashi, F.; Akino, Y.; Wakai, N.; Mabuchi, S.; Suzuki, O.; Seo, Y.; Ootani, Y.; Sumida, I.; Yoshioka, Y.; et al. Estimation of the total rectal dose of radical external beam and intracavitary radiotherapy for uterine cervical cancer using the deformable image registration method. J. Radiat. Res. 2015, 56, 546–552. [Google Scholar] [CrossRef] [PubMed]
- Marnitz, S.; Budach, V.; Weißer, F.; Burova, E.; Gebauer, B.; Vercellino, F.G.; Köhler, C. Rectum separation in patients with cervical cancer for treatment planning in primary chemo-radiation. Radiat. Oncol. 2012, 7, 109. [Google Scholar] [CrossRef] [PubMed]
- Sharma, D.N.; Rath, G.K.; Thulkar, S.; Kumar, S.; Subramani, V.; Julka, P.K. Use of transrectal ultrasound for high dose rate interstitial brachytherapy for patients of carcinoma of uterine cervix. J. Gynecol. Oncol. 2010, 21, 12–17. [Google Scholar] [CrossRef] [PubMed]
- Banerjee, S.; Kataria, T.; Gupta, D.; Goyal, S.; Bisht, S.S.; Basu, T.; Abhishek, A. Use of ultrasound in image-guided high-dose-rate brachytherapy: Enumerations and arguments. J. Contemp. Brachytherapy 2017, 2, 146–150. [Google Scholar] [CrossRef] [PubMed]
- Potter, R.; Tanderup, K.; Schmid, M.P.; Jurgenliemk-Schulz, I.; Haie-Meder, C.; Fokdal, L.U.; Sturdza, A.E.; Hoskin, P.; Mahantshetty, U.; Segedin, B.; et al. MRI-guided adaptive brachytherapy in locally advanced cervical cancer (EMBRACE-I): A multicentre prospective cohort study. Lancet Oncol. 2021, 22, 538–547. [Google Scholar] [CrossRef] [PubMed]
- Mahantshetty, U.; Khanna, N.; Swamidas, J.; Engineer, R.; Thakur, M.H.; Merchant, N.H.; Deshpande, D.D.; Shrivastava, S. Trans-abdominal ultrasound (US) and magnetic resonance imaging (MRI) correlation for conformal intracavitary brachytherapy in carcinoma of the uterine cervix. Radiother. Oncol. 2011, 102, 130–134. [Google Scholar] [CrossRef] [PubMed]
- Petric, P.; Kirisits, C. Potential role of TRAns Cervical Endosonography (TRACE) in brachytherapy of cervical cancer: Proof of concept. J. Contemp. Brachytherapy 2016, 3, 215–220. [Google Scholar] [CrossRef] [PubMed]
- Mayer, C.; Gasalberti, D.P.; Kumar, A. Brachytherapy. In Breast Cancer Radiation Therapy: A Practical Guide for Technical Applications; Springer: Berlin/Heidelberg, Germany, 2023; pp. 311–317. [Google Scholar] [CrossRef]
- Rezaeijo, S.M.; Hashemi, B.; Mofid, B.; Bakhshandeh, M.; Mahdavi, A.; Hashemi, M.S. The feasibility of a dose painting procedure to treat prostate cancer based on mpMR images and hierarchical clustering. Radiat. Oncol. 2021, 16, 1–16. [Google Scholar] [CrossRef]
- Nag, S. High dose rate brachytherapy: Its clinical applications and treatment guidelines. Technol. Cancer Res. Treat. 2004, 3, 269–287. [Google Scholar] [CrossRef]
- Navigating Challenges in Cervical Cancer Brachytherapy with TARGIT-FX. Available online: https://www.linkedin.com/pulse/navigating-challenges-cervical-cancer-brachytherapy-targit-fx-idn8c (accessed on 2 May 2024).
- Tramacere, F.; Lancellotta, V.; Casà, C.; Fionda, B.; Cornacchione, P.; Mazzarella, C.; De Vincenzo, R.P.; Macchia, G.; Ferioli, M.; Rovirosa, A.; et al. Assessment of Sexual Dysfunction in Cervical Cancer Patients after Different Treatment Modality: A Systematic Review. Medicina 2022, 58, 1223. [Google Scholar] [CrossRef]
- Kirchheiner, K.; Nout, R.A.; Czajka-Pepl, A.; Ponocny-Seliger, E.; Sturdza, A.E.; Dimopoulos, J.C.; Dörr, W.; Pötter, R. Health related quality of life and patient reported symptoms before and during definitive radio(chemo)therapy using image-guided adaptive brachytherapy for locally advanced cervical cancer and early recovery—A mono-institutional prospective study. Gynecol. Oncol. 2014, 136, 415–423. [Google Scholar] [CrossRef]
- Radiotherapy Evidence Update. 2017. Available online: https://www.hca.wa.gov/assets/program/SRS-SBRT-update-lit-search-20170125.pdf (accessed on 10 March 2024).
- Uppot, R.N. Technical challenges of imaging & image-guided interventions in obese patients. Br. J. Radiol. 2018, 91, 20170931. [Google Scholar] [CrossRef]
- Hsiao, Y.-H.; Yang, S.-F.; Chen, Y.-H.; Chen, T.-H.; Tsai, H.-D.; Chou, M.-C.; Chou, P.-H. Updated applications of Ultrasound in Uterine Cervical Cancer. J. Cancer 2021, 12, 2181–2189. [Google Scholar] [CrossRef] [PubMed]
- Nesvacil, N.; Schmid, M.P.; Pötter, R.; Kronreif, G.; Kirisits, C. Combining transrectal ultrasound and CT for image-guided adaptive brachytherapy of cervical cancer: Proof of concept. Brachytherapy 2016, 15, 839–844. [Google Scholar] [CrossRef] [PubMed]
- van Dyk, S.; Khaw, P.; Lin, M.-Y.; Chang, D.; Bernshaw, D. Ultrasound-guided Brachytherapy for Cervix Cancer. Clin. Oncol. 2021, 33, e403–e411. [Google Scholar] [CrossRef] [PubMed]
- Hu, Y.M.; Jin, Y.M.; Wang, D.M.; Luo, Y. Observation of hemostatic effectiveness and safety of ultrasound-CT guided 3D intracavitary and interstitial brachytherapy in the treatment of larger cervical cancer with bleeding: A retrospective study. Medicine 2023, 102, e34904. [Google Scholar] [CrossRef] [PubMed]
- Pintakham, C.; Tharavichitkul, E.; Wanwilairat, S.; Nobnop, W. Comparative dosimetry of brachytherapy treatment planning between a volume-based plan by CT and a point-based plan by TAUS in CT datasets for brachytherapy. J. Radiother. Pr. 2021, 22, 1–8. [Google Scholar] [CrossRef]
- Huang, Q.; Zeng, Z. A Review on Real-Time 3D Ultrasound Imaging Technology. BioMed Res. Int. 2017, 2017, 6027029. [Google Scholar] [CrossRef]
- Hsieh, K.; Bloom, J.R.; Dickstein, D.R.; Hsieh, C.; Marshall, D.; Ghiassi-Nejad, Z.; Raince, J.; Lymberis, S.; Chadha, M.; Gupta, V. Dose and fractionation regimen for brachytherapy boost in cervical cancer in the US. Gynecol. Oncol. 2024, 180, 55–62. [Google Scholar] [CrossRef]
- Lee, W. Implementation of 3D Printing in Photon, Electron Radiotherapy and Brachytherapy. 2023. Available online: http://hub.hku.hk/handle/10722/335584 (accessed on 15 December 2023).
- Kumar, R.; Sherwani, Z.; Lopez, M.; Vergalasova, I.; Zhang, X.; Eckroate, B.; Hollingsworth, J.; Girda, E.; Hathout, L. Disparities in brachytherapy utilization in cervical cancer in the United States: A comprehensive literature review. Gynecol. Oncol. 2023, 179, 79–84. [Google Scholar] [CrossRef]
- Lőcsei, Z.; Sebestyén, K.; Sebestyén, Z.; Fehér, E.; Soltész, D.; Musch, Z.; Mangel, L.C. IMAT-IGRT Treatment with Simultaneous Integrated Boost as Dose Escalation for Patients with Cervical Cancer: A Single Institution, Prospective Pilot Study. Pathol. Oncol. Res. 2021, 27, 608446. [Google Scholar] [CrossRef]
- Study Details|Clinical Trial of Molecular Biomarkers in Women With Uterine Cervix Cancer|ClinicalTrials.gov. Available online: https://www.clinicaltrials.gov/study/NCT05462951?cond=Cervical%20Cancer&intr=brachytherapy&rank=1 (accessed on 15 December 2023).
- Knoth, J.; Sturdza, A.; Zaharie, A.; Dick, V.; Kronreif, G.; Nesvacil, N.; Widder, J.; Kirisits, C.; Schmid, M.P. Transrectal ultrasound for intraoperative interstitial needle guidance in cervical cancer brachytherapy. Strahlenther. Onkol. 2024, 1–7. [Google Scholar] [CrossRef]
- Wang, K.; Wang, J.; Jiang, P. High-Dose-Rate Three-Dimensional Image-Guided Adaptive Brachytherapy (3D IGABT) for Locally Advanced Cervical Cancer (LACC): A Narrative Review on Imaging Modality and Clinical Evidence. Curr. Oncol. 2023, 31, 50–65. [Google Scholar] [CrossRef]
- Venkatesulu, B.P.; Mallick, S.; Rath, G.K. Patterns of care of cervical cancer in the elderly: A qualitative literature review. J. Geriatr. Oncol. 2017, 8, 108–116. [Google Scholar] [CrossRef]
- Hata, M.; Koike, I.; Miyagi, E.; Numazaki, R.; Asai-Sato, M.; Kasuya, T.; Kaizu, H.; Matsui, T.; Hirahara, F.; Inoue, T. Radiation Therapy for Very Elderly Patients Aged 80 Years and Older with Squamous Cell Carcinoma of the Uterine Cervix. Am. J. Clin. Oncol. 2017, 40, 178–182. [Google Scholar] [CrossRef] [PubMed]
- Chopra, S.; Engineer, R.; Shah, S.; Shukla, R.; Dora, T.; Gupta, P.; Paul, S.N.; Popat, P.; Swamidas, J.; Mahantshetty, U.; et al. MRI- and PET-Guided Interstitial Brachytherapy for Postsurgical Vaginal Recurrences of Cervical Cancer: Results of Phase II Study. Int. J. Radiat. Oncol. 2020, 106, 310–319. [Google Scholar] [CrossRef] [PubMed]
- De Ieso, P.B.; Mullassery, V.; Shrimali, R.; Lowe, G.; Bryant, L.; Hoskin, P.J. Image-guided vulvovaginal interstitial brachytherapy in the treatment of primary and recurrent gynecological malignancies. Brachytherapy 2012, 11, 306–310. [Google Scholar] [CrossRef] [PubMed]
- Mahantshetty, U.; Kashid, S.R.; Mulye, G.; Gurram, L.; Engineer, R.; Chopra, S.; Ghosh, J.; Gulia, S.; Gupta, S.; Ghadi, Y.; et al. Reirradiation with advanced brachytherapy techniques in recurrent GYN cancers. Brachytherapy 2023, 22, 753–760. [Google Scholar] [CrossRef]
- Qi, X.; Li, Z.; Wang, X.; Fang, K.; Shi, J.; Sun, R. Concurrent computed tomography-guided radioactive iodine-125 seeds percutaneous interstitial implantation and chemotherapy for treatment of cervical lymph node metastases. J. Cancer Res. Ther. 2018, 14, S1163–S1169. [Google Scholar] [CrossRef]
- Castelnau-Marchand, P.; Chargari, C.; Haie-Meder, C.; Mazeron, R. Image-guided adaptive brachytherapy in locally advanced cervical cancer: Recent advances and perspectives. Curr. Opin. Oncol. 2016, 28, 419–428. [Google Scholar] [CrossRef] [PubMed]






| Imaging Modality | X-ray | Ultrasound | Tomography (CT-SCAN) | Magnetic Resonance | Positron Emission Tomography |
|---|---|---|---|---|---|
| Soft-tissue resolution | Poor | Good | Good @ | Excellent | Good |
| Geometric accuracy | Good | Good | Good * | Good # | Excellent |
| Image quality | Protocol dependent | Operator and protocol dependent | Sequence and protocol dependent | Sequence and protocol dependent & | Sequence and protocol dependent & |
| Artefacts | Metal | Multiple types and causes | Multiple types and causes | Multiple types and causes | Multiple types and causes |
| Slice orientation | Single planar | Multi-planar | Trans-axial | Multi-planar | Trans-axial |
| Usage in cervical cancer | Yes | Yes | Yes | Yes | Rarely used |
| Accurate visualisation and reconstruction of brachytherapy applicators | Yes | Yes | Yes | Yes | Yes |
| Types of applicators | Metal or plastic with metal X-ray guides | Metal, plastic | Metal, Plastic | Metal %, Plastic | Metal, Plastic |
| Possibility of radiation dose calculation | No | NA | Yes | NA | Yes |
| Portability (potential for intraoperative use) | Yes | Yes | Sometimes available | Sometimes available | No |
| Time to obtain image | Seconds | Minutes | Seconds | Hour | Hours |
| Availability | Low | Low | Medium | High | High |
| Cost of equipment | Low | Low | High | High | High |
| Cost of scan | Low | Low | High | High | High |
| CT versus MRI for Treatment Planning: Advantages and Limitations | |
|---|---|
| CT advantages | CT limitations |
| Since CT was the first 3D imaging modality, most treatment-planning algorithms were created for it. | Suboptimal tissue contrast. |
| More people utilise CT scanners than MR. | Lack of functional information. |
| CT has superior geometric fidelity than MR, which may distort the image. | Difficulty to see minuscule cancer cell groupings from the gross tumour. |
| Identifying the mass attenuation coefficient (μ/ρ (m2/Kg)) or attenuation characteristics for high-energy photons, X-rays, and gamma rays is crucial for accurate dosage estimation using CT. | |
| MRI advantages | MRI limitations |
| Better soft-tissue contrast than CT. | Image artefacts. |
| Enhances the ability to differentiate between tissue that requires treatment and tissue that does not. | Lack of tissue density information. |
| Nonionising radiation. | Relatively small field of view. |
Disclaimer/Publisher’s Note: The statements, opinions and data contained in all publications are solely those of the individual author(s) and contributor(s) and not of MDPI and/or the editor(s). MDPI and/or the editor(s) disclaim responsibility for any injury to people or property resulting from any ideas, methods, instructions or products referred to in the content. |
© 2024 by the authors. Licensee MDPI, Basel, Switzerland. This article is an open access article distributed under the terms and conditions of the Creative Commons Attribution (CC BY) license (https://creativecommons.org/licenses/by/4.0/).
Share and Cite
Manea, E.; Chitoran, E.; Rotaru, V.; Ionescu, S.; Luca, D.; Cirimbei, C.; Alecu, M.; Capsa, C.; Gafton, B.; Prutianu, I.; et al. Integration of Ultrasound in Image-Guided Adaptive Brachytherapy in Cancer of the Uterine Cervix. Bioengineering 2024, 11, 506. https://doi.org/10.3390/bioengineering11050506
Manea E, Chitoran E, Rotaru V, Ionescu S, Luca D, Cirimbei C, Alecu M, Capsa C, Gafton B, Prutianu I, et al. Integration of Ultrasound in Image-Guided Adaptive Brachytherapy in Cancer of the Uterine Cervix. Bioengineering. 2024; 11(5):506. https://doi.org/10.3390/bioengineering11050506
Chicago/Turabian StyleManea, Elena, Elena Chitoran, Vlad Rotaru, Sinziana Ionescu, Dan Luca, Ciprian Cirimbei, Mihnea Alecu, Cristina Capsa, Bogdan Gafton, Iulian Prutianu, and et al. 2024. "Integration of Ultrasound in Image-Guided Adaptive Brachytherapy in Cancer of the Uterine Cervix" Bioengineering 11, no. 5: 506. https://doi.org/10.3390/bioengineering11050506
APA StyleManea, E., Chitoran, E., Rotaru, V., Ionescu, S., Luca, D., Cirimbei, C., Alecu, M., Capsa, C., Gafton, B., Prutianu, I., Serban, D., & Simion, L. (2024). Integration of Ultrasound in Image-Guided Adaptive Brachytherapy in Cancer of the Uterine Cervix. Bioengineering, 11(5), 506. https://doi.org/10.3390/bioengineering11050506

