Enhancing Radiomics Reproducibility: Deep Learning-Based Harmonization of Abdominal Computed Tomography (CT) Images
Abstract
1. Introduction
2. Materials and Methods
2.1. Study Design
2.2. Study Population
2.3. Image Acquisition and Reconstruction
2.4. Deep Learning Architecture
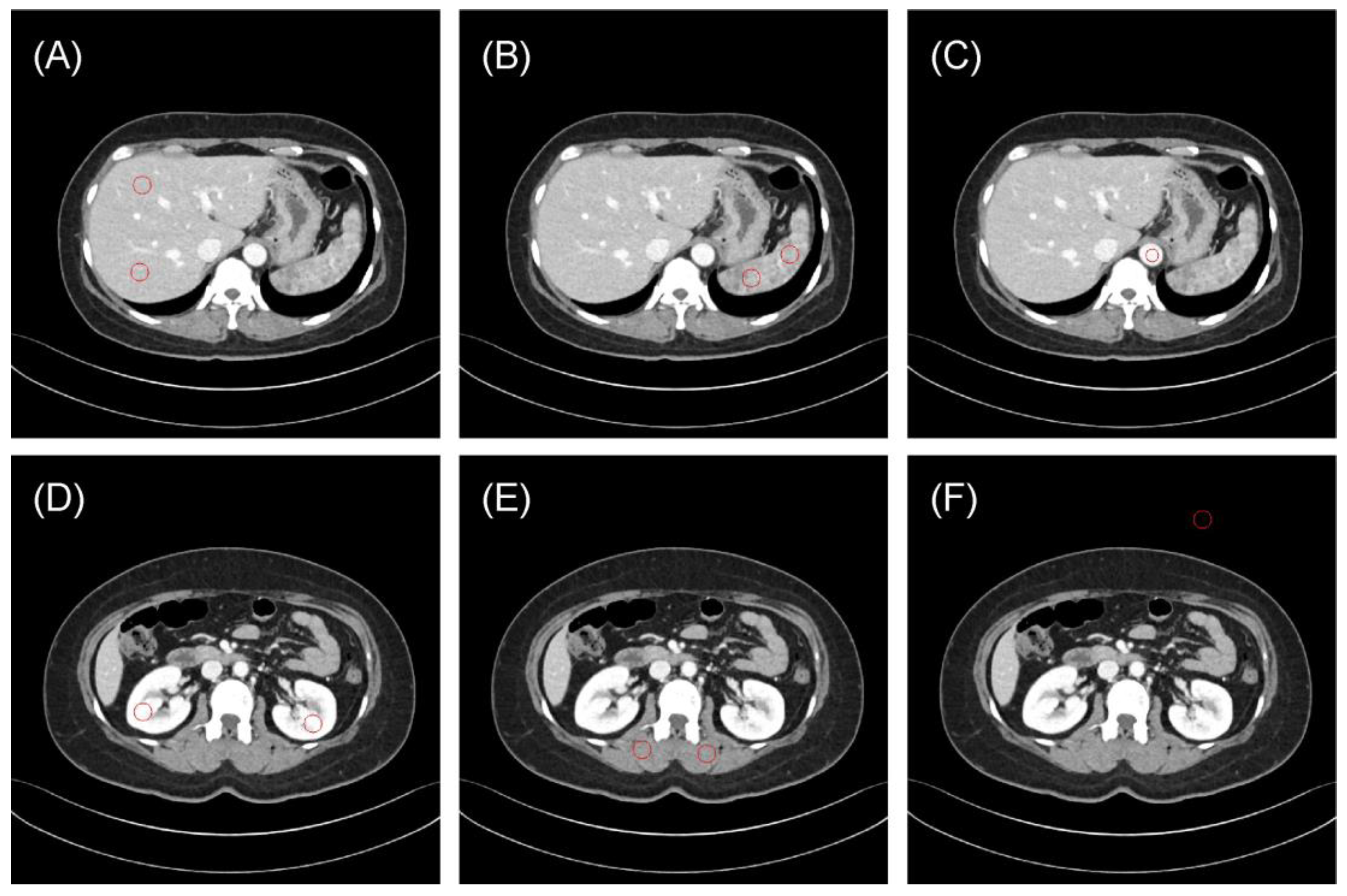
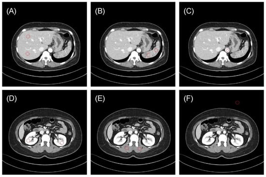
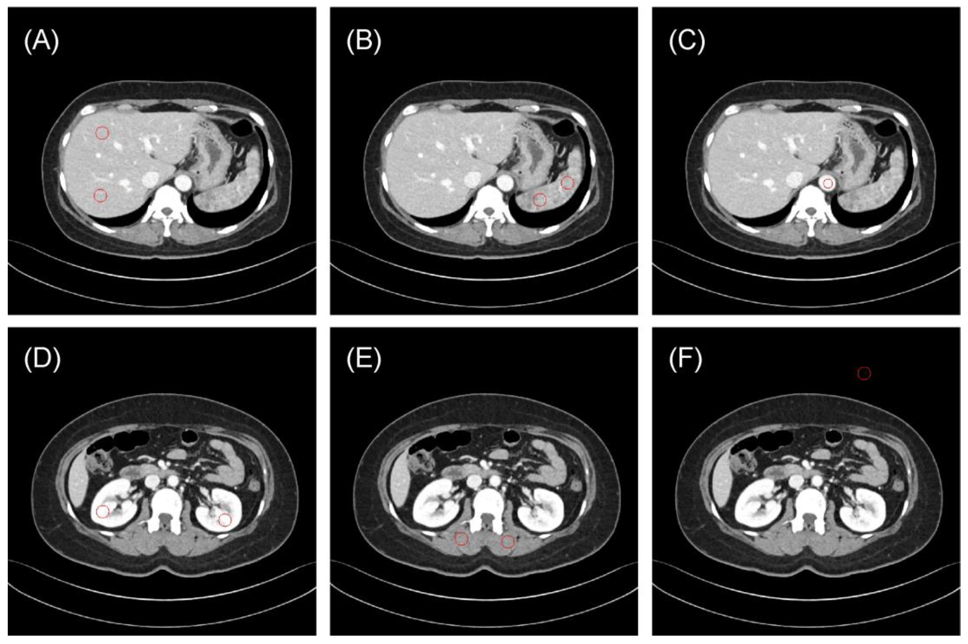
2.5. Radiomics Analysis
2.6. Redundancy Feature Exclusion
2.7. Statistical Analyses
3. Results
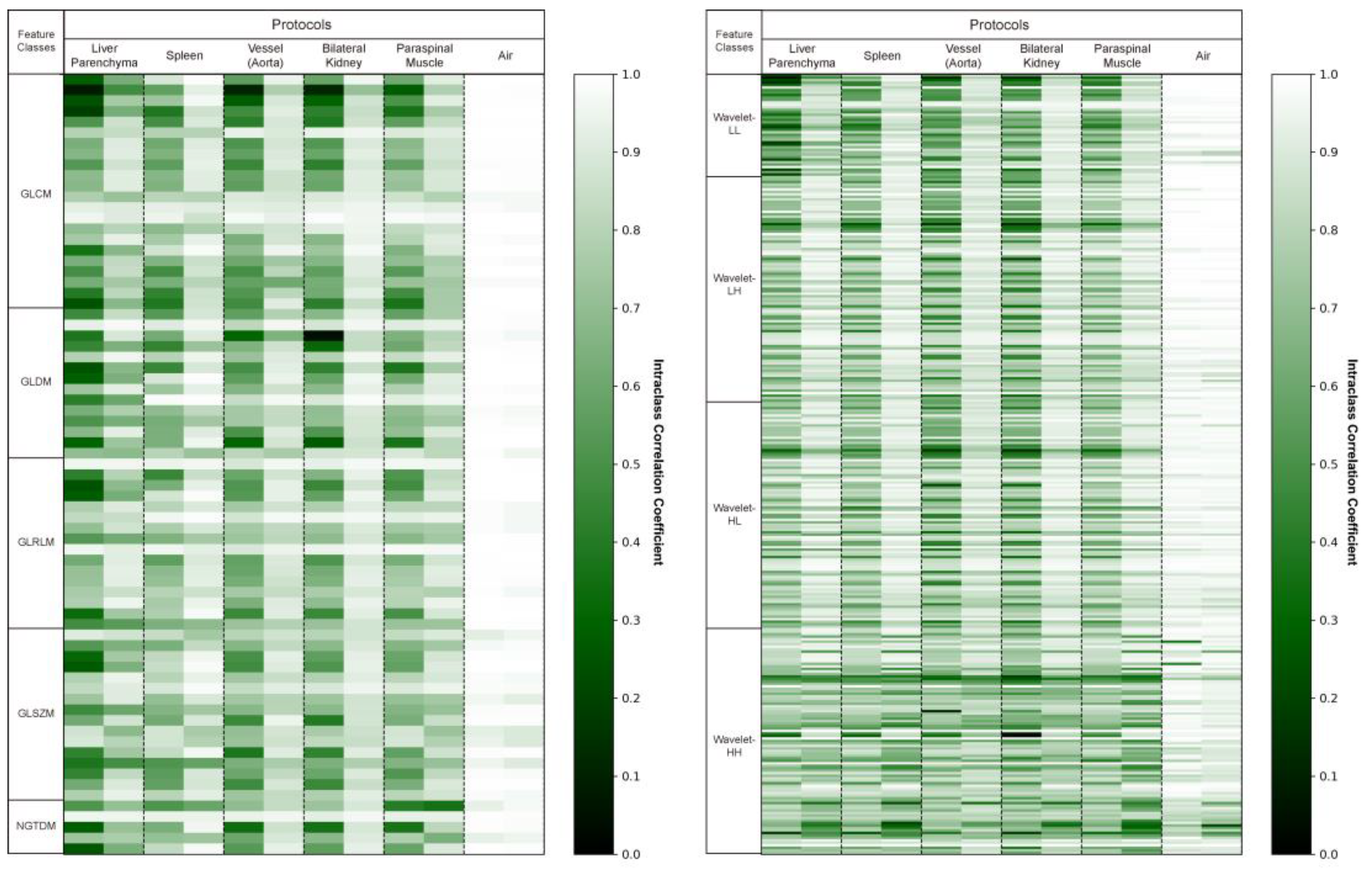
3.1. Region-Based Reproducibility Analysis
3.2. Patient-Based Reproducibility Analysis
3.3. Standard Deviation Map
4. Discussion
5. Conclusions
Supplementary Materials
Author Contributions
Funding
Institutional Review Board Statement
Informed Consent Statement
Data Availability Statement
Conflicts of Interest
References
- Gillies, R.J.; Kinahan, P.E.; Hricak, H. Radiomics: Images are more than pictures, they are data. Radiology 2016, 278, 563–577. [Google Scholar] [CrossRef] [PubMed]
- Lambin, P.; Rios-Velazquez, E.; Leijenaar, R.; Carvalho, S.; Van Stiphout, R.G.; Granton, P.; Zegers, C.M.; Gillies, R.; Boellard, R.; Dekker, A. Radiomics: Extracting more information from medical images using advanced feature analysis. Eur. J. Cancer 2012, 48, 441–446. [Google Scholar] [CrossRef] [PubMed]
- Sullivan, D.C.; Bresolin, L.; Seto, B.; Obuchowski, N.A.; Raunig, D.L.; Kessler, L.G. Introduction to metrology series. Stat. Methods Med Res. 2015, 24, 3–8. [Google Scholar] [CrossRef] [PubMed]
- Park, J.E.; Park, S.Y.; Kim, H.J.; Kim, H.S. Reproducibility and generalizability in radiomics modeling: Possible strategies in radiologic and statistical perspectives. Korean J. Radiol. 2019, 20, 1124. [Google Scholar] [CrossRef] [PubMed]
- Peng, X.; Yang, S.; Zhou, L.; Mei, Y.; Shi, L.; Zhang, R.; Shan, F.; Liu, L. Repeatability and reproducibility of computed tomography radiomics for pulmonary nodules: A multicenter phantom study. Investig. Radiol. 2022, 57, 242–253. [Google Scholar] [CrossRef]
- Escudero Sanchez, L.; Rundo, L.; Gill, A.B.; Hoare, M.; Mendes Serrao, E.; Sala, E. Robustness of radiomic features in CT images with different slice thickness, comparing liver tumour and muscle. Sci. Rep. 2021, 11, 8262. [Google Scholar] [CrossRef]
- Shafiq-ul-Hassan, M.; Zhang, G.G.; Latifi, K.; Ullah, G.; Hunt, D.C.; Balagurunathan, Y.; Abdalah, M.A.; Schabath, M.B.; Goldgof, D.G.; Mackin, D. Intrinsic dependencies of CT radiomic features on voxel size and number of gray levels. Med. Phys. 2017, 44, 1050–1062. [Google Scholar] [CrossRef]
- Berenguer, R.; Pastor-Juan, M.D.R.; Canales-Vázquez, J.; Castro-García, M.; Villas, M.V.; Mansilla Legorburo, F.; Sabater, S. Radiomics of CT features may be nonreproducible and redundant: Influence of CT acquisition parameters. Radiology 2018, 288, 407–415. [Google Scholar] [CrossRef]
- Choe, J.; Lee, S.M.; Do, K.-H.; Lee, G.; Lee, J.-G.; Lee, S.M.; Seo, J.B. Deep learning–based image conversion of CT reconstruction kernels improves radiomics reproducibility for pulmonary nodules or masses. Radiology 2019, 292, 365–373. [Google Scholar]
- Mackin, D.; Fave, X.; Zhang, L.; Fried, D.; Yang, J.; Taylor, B.; Rodriguez-Rivera, E.; Dodge, C.; Jones, A.K. Measuring computed tomography scanner variability of radiomics features. Investig. Radiol. 2015, 50, 757–765. [Google Scholar] [CrossRef]
- Meyer, M.; Ronald, J.; Vernuccio, F.; Nelson, R.C.; Ramirez-Giraldo, J.C.; Solomon, J.; Patel, B.N.; Samei, E.; Marin, D. Reproducibility of CT radiomic features within the same patient: Influence of radiation dose and CT reconstruction settings. Radiology 2019, 293, 583–591. [Google Scholar] [CrossRef] [PubMed]
- Rai, R.; Holloway, L.C.; Brink, C.; Field, M.; Christiansen, R.L.; Sun, Y.; Barton, M.B.; Liney, G.P. Multicenter evaluation of MRI-based radiomic features: A phantom study. Med. Phys. 2020, 47, 3054–3063. [Google Scholar] [CrossRef] [PubMed]
- Lee, S.B.; Cho, Y.J.; Hong, Y.; Jeong, D.; Lee, J.; Kim, S.-H.; Lee, S.; Choi, Y.H. Deep learning-based image conversion improves the reproducibility of computed tomography radiomics features: A phantom study. Investig. Radiol. 2022, 57, 308–317. [Google Scholar] [CrossRef] [PubMed]
- Lee, S.B.; Hong, Y.; Cho, Y.J.; Jeong, D.; Lee, J.; Yoon, S.H.; Lee, S.; Choi, Y.H.; Cheon, J.-E. Deep learning-based computed tomography image standardization to improve generalizability of deep learning-based hepatic segmentation. Korean J. Radiol. 2023, 24, 294. [Google Scholar] [CrossRef]
- Shi, W.; Caballero, J.; Huszár, F.; Totz, J.; Aitken, A.P.; Bishop, R.; Rueckert, D.; Wang, Z. Real-time single image and video super-resolution using an efficient sub-pixel convolutional neural network. In Proceedings of the IEEE Conference on Computer Vision and Pattern Recognition, Las Vegas, NV, USA, 27–30 June 2016; pp. 1874–1883. [Google Scholar]
- Schonfeld, E.; Schiele, B.; Khoreva, A. A u-net based discriminator for generative adversarial networks. In Proceedings of the IEEE/CVF Conference on Computer Vision and Pattern Recognition, Seattle, WA, USA, 13–19 June 2020; pp. 8207–8216. [Google Scholar]
- Jeong, D.; Hong, Y.; Lee, J.; Lee, S.B.; Cho, Y.J.; Shim, H.; Chang, H.-J. Improving the Reproducibility of Computed Tomography Radiomic Features Using an Enhanced Hierarchical Feature Synthesis Network. IEEE Access 2024, 12, 27648–27660. [Google Scholar] [CrossRef]
- van Griethuysen, J.J.M.; Fedorov, A.; Parmar, C.; Hosny, A.; Aucoin, N.; Narayan, V.; Beets-Tan, R.G.H.; Fillon-Robin, J.C.; Pieper, S.; Aerts, H.J.W.L. Computational Radiomics System to Decode the Radiographic Phenotype. Cancer Res. 2017, 77, e104–e107. [Google Scholar] [CrossRef]
- Zhao, B.; Tan, Y.; Tsai, W.-Y.; Qi, J.; Xie, C.; Lu, L.; Schwartz, L.H. Reproducibility of radiomics for deciphering tumor phenotype with imaging. Sci. Rep. 2016, 6, 23428. [Google Scholar] [CrossRef]
- Mali, S.A.; Ibrahim, A.; Woodruff, H.C.; Andrearczyk, V.; Müller, H.; Primakov, S.; Salahuddin, Z.; Chatterjee, A.; Lambin, P. Making radiomics more reproducible across scanner and imaging protocol variations: A review of harmonization methods. J. Pers. Med. 2021, 11, 842. [Google Scholar] [CrossRef]
- Midya, A.; Chakraborty, J.; Gönen, M.; Do, R.K.; Simpson, A.L. Influence of CT acquisition and reconstruction parameters on radiomic feature reproducibility. J. Med. Imaging 2018, 5, 011020. [Google Scholar] [CrossRef]
- Chen, J.; Wee, L.; Dekker, A.; Bermejo, I. Improving reproducibility and performance of radiomics in low-dose CT using cycle GANs. J. Appl. Clin. Med. Phys. 2022, 23, e13739. [Google Scholar] [CrossRef]
- Chen, J.; Zhang, C.; Traverso, A.; Zhovannik, I.; Dekker, A.; Wee, L.; Bermejo, I. Generative models improve radiomics reproducibility in low dose CTs: A simulation study. Phys. Med. Biol. 2021, 66, 165002. [Google Scholar] [CrossRef] [PubMed]
- Lee, J.; Jeon, J.; Hong, Y.; Jeong, D.; Jang, Y.; Jeon, B.; Baek, H.J.; Cho, E.; Shim, H.; Chang, H.-J. Generative adversarial network with radiomic feature reproducibility analysis for computed tomography denoising. Comput. Biol. Med. 2023, 159, 106931. [Google Scholar] [CrossRef] [PubMed]
- Xue, C.; Zhang, J.; Shen, C.; Zhao, J.; Ming, J.; Chen, W.; Wang, Y.; Yang, J.; Cheng, J. Radiomics Feature Reliability Assessed by Intraclass Correlation Coefficient: A Systematic Review. Quant. Imaging Med. Surg. 2021, 11, 4431–4450. [Google Scholar] [CrossRef] [PubMed]
- Gillam, L.D.; Leipsic, J.; Weissman, N.J. Use of imaging endpoints in clinical trials. JACC Cardiovasc. Imaging 2017, 10, 296–303. [Google Scholar] [CrossRef] [PubMed]
- Boellaard, R.; Delgado-Bolton, R.; Oyen, W.J.; Giammarile, F.; Tatsch, K.; Eschner, W.; Verzijlbergen, F.J.; Barrington, S.F.; Pike, L.C.; Weber, W.A. FDG PET/CT: EANM procedure guidelines for tumour imaging: Version 2.0. Eur. J. Nucl. Med. Mol. Imaging 2015, 42, 328–354. [Google Scholar] [CrossRef]
- Pfaehler, E.; van Sluis, J.; Merema, B.B.; van Ooijen, P.; Berendsen, R.C.; van Velden, F.H.; Boellaard, R. Experimental multicenter and multivendor evaluation of the performance of PET radiomic features using 3-dimensionally printed phantom inserts. J. Nucl. Med. 2020, 61, 469–476. [Google Scholar] [CrossRef]
- Lee, H.; Huang, C.; Yune, S.; Tajmir, S.H.; Kim, M.; Do, S. Machine friendly machine learning: Interpretation of computed tomography without image reconstruction. Sci. Rep. 2019, 9, 15540. [Google Scholar] [CrossRef]
- Le, E.P.; Rundo, L.; Tarkin, J.M.; Evans, N.R.; Chowdhury, M.M.; Coughlin, P.A.; Pavey, H.; Wall, C.; Zaccagna, F.; Gallagher, F.A. Assessing robustness of carotid artery CT angiography radiomics in the identification of culprit lesions in cerebrovascular events. Sci. Rep. 2021, 11, 3499. [Google Scholar] [CrossRef]
- Prayer, F.; Hofmanninger, J.; Weber, M.; Kifjak, D.; Willenpart, A.; Pan, J.; Röhrich, S.; Langs, G.; Prosch, H. Variability of computed tomography radiomics features of fibrosing interstitial lung disease: A test-retest study. Methods 2021, 188, 98–104. [Google Scholar] [CrossRef]
- Shafiq-ul-Hassan, M.; Latifi, K.; Zhang, G.; Ullah, G.; Gillies, R.; Moros, E. Voxel size and gray level normalization of CT radiomic features in lung cancer. Sci. Rep. 2018, 8, 10545. [Google Scholar] [CrossRef] [PubMed]
- Shiri, I.; Rahmim, A.; Ghaffarian, P.; Geramifar, P.; Abdollahi, H.; Bitarafan-Rajabi, A. The impact of image reconstruction settings on 18F-FDG PET radiomic features: Multi-scanner phantom and patient studies. Eur. Radiol. 2017, 27, 4498–4509. [Google Scholar] [CrossRef] [PubMed]
- Zwanenburg, A.; Vallières, M.; Abdalah, M.A.; Aerts, H.J.; Andrearczyk, V.; Apte, A.; Ashrafinia, S.; Bakas, S.; Beukinga, R.J.; Boellaard, R. The image biomarker standardization initiative: Standardized quantitative radiomics for high-throughput image-based phenotyping. Radiology 2020, 295, 328–338. [Google Scholar] [CrossRef] [PubMed]
- Da-Ano, R.; Masson, I.; Lucia, F.; Doré, M.; Robin, P.; Alfieri, J.; Rousseau, C.; Mervoyer, A.; Reinhold, C.; Castelli, J. Performance comparison of modified ComBat for harmonization of radiomic features for multicenter studies. Sci. Rep. 2020, 10, 10248. [Google Scholar] [CrossRef] [PubMed]
- Wang, X.; Xie, L.; Dong, C.; Shan, Y. Real-esrgan: Training real-world blind super-resolution with pure synthetic data. In Proceedings of the IEEE/CVF International Conference on Computer Vision 2021, Montreal, BC, Canada, 11–17 October 2021. [Google Scholar]




| Dataset | Training and Internal Validation Set (N = 117) | External Validation (N = 63) |
|---|---|---|
| M:F | 57:60 | 38:25 |
| Age (mean ± standard deviation, range) | 8.7 ± 5.5 years (2 months–19 years) | 12.8 ± 6.8 (2–39 years) |
| Underlying disease | Abdominal pain (n = 15, 12.8%) Tumor follow-up (n = 69, 59.0%), others (n = 33, 28.2%) | Abdominal pain (n = 30, 47.6%) Tumor follow-up (n = 69, 33.3%), others (n = 12, 19.0%) |
| Dataset | Training and Internal Validation (N = 142 Exams) | External Validation (N = 63 Exams) |
|---|---|---|
| Vendor | Siemens | Siemens |
| Machine | Somatom Force | Somatom Definition Flash |
| Acquisition type | Helical, dual energy | Helical, dual energy |
| Tube voltage | 70 kVp and Sn150 kVp | 80 kV and Sn140 kV |
| Reference tube current | 370 mAs for the 70 kVp tube 93 mAs for the Sn150 kVp tube | 270 mAs for the 80 kVp tube 104 mAs for the Sn140 kVp tube |
| Field of view (mm) | 152–355 | 250–350 |
| Slice thickness | 3 mm | 3 mm |
| Pixel | 512 × 512 | 512 × 512 |
| Rotation time (s) | 0.25 | 0.28 |
| Pitch | 1.2 | 1.2 |
| Reconstruction methods | FBP, IR, M40, M60, M80, OPT † | FBP, IR, M40, M70 † |
| Scan timing | Portal phase | Portal phase |
| Internal Validation | ||||||
| Region of Interest | Liver Parenchyma | Spleen | Vessel | Kidney | Muscle | Air |
| Original | 92 (24%) | 80 (21%) | 139 (36%) | 84 (22%) | 163 (42%) | 365 (94%) |
| Synthetic | 222 (57%) | 233 (60%) | 298 (77%) | 245 (63%) | 264 (68%) | 343 (89%) |
| Increase (%) | 33% | 39% | 41% | 41% | 26% | −5% |
| External Validation | ||||||
| Original | 75 (19%) | 68 (18%) | 55 (14%) | 59 (15%) | 92 (24%) | 369 (95%) |
| Synthetic | 199 (51%) | 239 (62%) | 266 (69%) | 244 (63%) | 212 (55%) | 365 (94%) |
| Increase (%) | 32% | 44% | 55% | 48% | 31% | −1% |
Disclaimer/Publisher’s Note: The statements, opinions and data contained in all publications are solely those of the individual author(s) and contributor(s) and not of MDPI and/or the editor(s). MDPI and/or the editor(s) disclaim responsibility for any injury to people or property resulting from any ideas, methods, instructions or products referred to in the content. |
© 2024 by the authors. Licensee MDPI, Basel, Switzerland. This article is an open access article distributed under the terms and conditions of the Creative Commons Attribution (CC BY) license (https://creativecommons.org/licenses/by/4.0/).
Share and Cite
Lee, S.B.; Hong, Y.; Cho, Y.J.; Jeong, D.; Lee, J.; Choi, J.W.; Hwang, J.Y.; Lee, S.; Choi, Y.H.; Cheon, J.-E. Enhancing Radiomics Reproducibility: Deep Learning-Based Harmonization of Abdominal Computed Tomography (CT) Images. Bioengineering 2024, 11, 1212. https://doi.org/10.3390/bioengineering11121212
Lee SB, Hong Y, Cho YJ, Jeong D, Lee J, Choi JW, Hwang JY, Lee S, Choi YH, Cheon J-E. Enhancing Radiomics Reproducibility: Deep Learning-Based Harmonization of Abdominal Computed Tomography (CT) Images. Bioengineering. 2024; 11(12):1212. https://doi.org/10.3390/bioengineering11121212
Chicago/Turabian StyleLee, Seul Bi, Youngtaek Hong, Yeon Jin Cho, Dawun Jeong, Jina Lee, Jae Won Choi, Jae Yeon Hwang, Seunghyun Lee, Young Hun Choi, and Jung-Eun Cheon. 2024. "Enhancing Radiomics Reproducibility: Deep Learning-Based Harmonization of Abdominal Computed Tomography (CT) Images" Bioengineering 11, no. 12: 1212. https://doi.org/10.3390/bioengineering11121212
APA StyleLee, S. B., Hong, Y., Cho, Y. J., Jeong, D., Lee, J., Choi, J. W., Hwang, J. Y., Lee, S., Choi, Y. H., & Cheon, J.-E. (2024). Enhancing Radiomics Reproducibility: Deep Learning-Based Harmonization of Abdominal Computed Tomography (CT) Images. Bioengineering, 11(12), 1212. https://doi.org/10.3390/bioengineering11121212

