Predicting Recurrence in Pancreatic Ductal Adenocarcinoma after Radical Surgery Using an AX-Unet Pancreas Segmentation Model and Dynamic Nomogram
Abstract
1. Introduction
2. Materials and Methods
2.1. Ethical Approval
2.2. Patient Participation
2.2.1. AX-Unet Model Training Patient Data Source Patient Description
2.2.2. Patient Recurrence Analysis
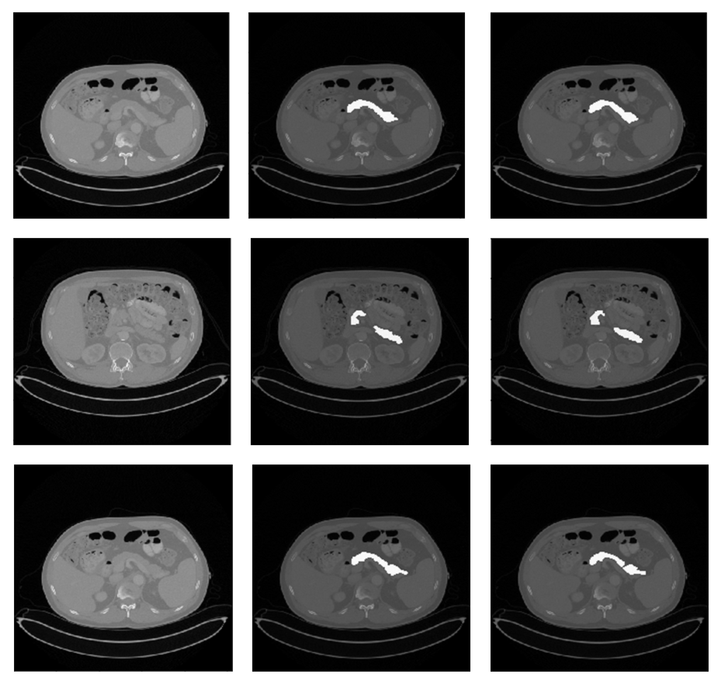
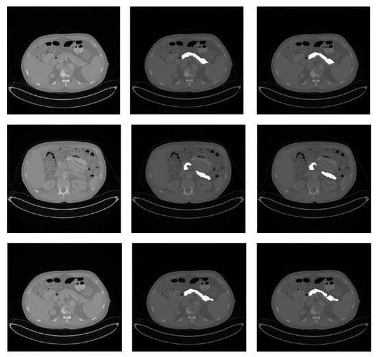
2.3. Establishment of the AX-Unet Pancreas Segmentation Model Based on Sequential Contrast-Enhanced CT Scans for Patients Diagnosed with PDAC
2.4. Assessment of the Effectiveness of the AX-Unet Segmentation Model
2.5. Statistical Methods
3. Results
3.1. The Effectiveness of the Segmentation Model
3.2. Model Training Details
3.3. General Clinical Features of the Subjects
3.4. Analysis of Image Features Extracted from the AX-Unet Model
3.5. Univariate Analysis
3.6. Multivariate Analysis
3.7. Logistic Regression Analysis
3.8. Development and Evaluation of a Post-Operative Recurrence Scoring System
4. Discussion
5. Conclusions
Author Contributions
Funding
Institutional Review Board Statement
Informed Consent Statement
Data Availability Statement
Acknowledgments
Conflicts of Interest
References
- Siegel, R.L.; Miller, K.D.; Fuchs, H.E.; Jemal, A. Cancer statistics, 2022. CA A Cancer J. Clin. 2022, 72, 7–33. [Google Scholar] [CrossRef] [PubMed]
- Lee, J.C.; Ahn, S.; Cho, I.K.; Lee, J.; Kim, J.; Hwang, J.H. Management of recurrent pancreatic cancer after surgical resection: A protocol for systematic review, evidence mapping and meta-analysis. BMJ Open 2018, 8, e017249. [Google Scholar] [CrossRef] [PubMed]
- Yoon, S.J.; Shin, S.H.; Yoon, S.K.; Jung, J.H.; You, Y.; Han, I.W.; Choi, D.W.; Heo, J.S. Appraisal of 5-year recurrence-free survival after surgery in pancreatic ductal adenocarcinoma. J. Hepato-Biliary Sci. 2021, 28, 287–296. [Google Scholar] [CrossRef] [PubMed]
- Konstantinidis, I.T.; Warshaw, A.L.; Allen, J.N.; Blaszkowsky, L.S.; Fernandez-del Castillo, C.; Deshpande, V.; Hong, T.S.; Kwak, E.L.; Lauwers, G.Y.; Ryan, D.P.; et al. Pancreatic ductal adenocarcinoma: Is there a survival difference for R1 resections versus locally advanced unresectable tumors? What is a “true” R0 resection? Ann. Surg. 2013, 257, 731–736. [Google Scholar] [CrossRef]
- Khadka, R.; Tian, W.; Hao, X.; Koirala, R. Risk factor, early diagnosis and overall survival on outcome of association between pancreatic cancer and diabetes mellitus: Changes and advances, a review. Int. J. Surg. 2018, 52, 342–346. [Google Scholar] [CrossRef]
- Einama, T.; Takihata, Y.; Aosasa, S.; Konno, F.; Kobayashi, K.; Yonamine, N.; Fujinuma, I.; Tsunenari, T.; Nakazawa, A.; Shinto, E.; et al. Prognosis of Pancreatic Cancer Based on Resectability: A Single Center Experience. Cancers 2023, 15, 1101. [Google Scholar] [CrossRef]
- Mao, C.; Yao, L.; Pan, Y.; Luo, Y.; Zeng, Z. Deep generative classifiers for thoracic disease diagnosis with chest X-ray images. In Proceedings of the 2018 IEEE International Conference on Bioinformatics and Biomedicine (BIBM), Madrid, Spain, 3–6 December 2018; pp. 1209–1214. [Google Scholar] [CrossRef]
- Mao, C.; Yao, L.; Luo, Y. Imagegcn: Multi-relational image graph convolutional networks for disease identification with chest X-rays. IEEE Trans. Med Imaging 2022, 41, 1990–2003. [Google Scholar] [CrossRef]
- Liu, K.L.; Wu, T.; Chen, P.T.; Tsai, Y.M.; Roth, H.; Wu, M.S.; Liao, W.C.; Wang, W. Deep learning to distinguish pancreatic cancer tissue from non-cancerous pancreatic tissue: A retrospective study with cross-racial external validation. Lancet Digit. Health 2020, 2, e303–e313. [Google Scholar] [CrossRef]
- Yao, J.; Shi, Y.; Cao, K.; Lu, L.; Lu, J.; Song, Q.; Jin, G.; Xiao, J.; Hou, Y.; Zhang, L. DeepPrognosis: Preoperative prediction of pancreatic cancer survival and surgical margin via comprehensive understanding of dynamic contrast-enhanced CT imaging and tumor-vascular contact parsing. Med. Image Anal. 2021, 73, 102150. [Google Scholar] [CrossRef]
- Mohamed, E.; Needham, A.; Carrol, M.; Sanghera, B.; Wong, W.; Ghaneh, P. Value of 18 FDG PET/CT volumetric parameters in the survival prediction of patients with pancreatic cancer. HPB 2020, 22, S207–S208. [Google Scholar] [CrossRef]
- Gillies, R.J.; Schabath, M.B. Radiomics Improves Cancer Screening and Early DetectionRadiomics of Early Detection. Cancer Epidemiol. Biomarkers Prev. 2020, 29, 2556–2567. [Google Scholar] [CrossRef]
- Zhang, T.; Dong, X.; Zhou, Y.; Liu, M.; Hang, J.; Wu, L. Development and validation of a radiomics nomogram to discriminate advanced pancreatic cancer with liver metastases or other metastatic patterns. Cancer Biomark. 2021, 32, 541–550. [Google Scholar] [CrossRef]
- Ansari, A.S.; Zamani, A.S.; Mohammadi, M.S.; Ritonga, M.; Ahmed, S.S.; Pounraj, D.; Kaliyaperumal, K. Detection of Pancreatic Cancer in CT Scan Images Using PSO SVM and Image Processing. BioMed Res. Int. 2022, 2022. [Google Scholar] [CrossRef]
- Dercle, L.; McGale, J.; Sun, S.; Marabelle, A.; Yeh, R.; Deutsch, E.; Mokrane, F.Z.; Farwell, M.; Ammari, S.; Schoder, H.; et al. Artificial intelligence and radiomics: Fundamentals, applications, and challenges in immunotherapy. J. Immunother. Cancer 2022, 10, e005292. [Google Scholar] [CrossRef]
- Farag, A.; Lu, L.; Roth, H.R.; Liu, J.; Turkbey, E.; Summers, R.M. A Bottom-Up Approach for Pancreas Segmentation Using Cascaded Superpixels and (Deep) Image Patch Labeling. IEEE Trans. Image Process. 2017, 26, 386–399. [Google Scholar] [CrossRef]
- Cai, J.; Lu, L.; Xing, F.; Yang, L. Pancreas segmentation in CT and MRI images via domain specific network designing and recurrent neural contextual learning. arXiv 2018, arXiv:1803.11303. [Google Scholar] [CrossRef]
- Man, Y.; Huang, Y.; Feng, J.; Li, X.; Wu, F. Deep Q learning driven CT pancreas segmentation with geometry-aware U-Net. IEEE Trans. Med. Imaging 2019, 38, 1971–1980. [Google Scholar] [CrossRef]
- Zhang, F.; Wang, Y.; Yang, H. Efficient context-aware network for abdominal multi-organ segmentation. arXiv 2021, arXiv:2109.10601. [Google Scholar] [CrossRef]
- Shi, Y.; Zhang, J.; Ling, T.; Lu, J.; Zheng, Y.; Yu, Q.; Qi, L.; Gao, Y. Inconsistency-aware uncertainty estimation for semi-supervised medical image segmentation. IEEE Trans. Med. Imaging 2021, 41, 608–620. [Google Scholar] [CrossRef]
- Alhichri, H.; Alswayed, A.S.; Bazi, Y.; Ammour, N.; Alajlan, N.A. Classification of remote sensing images using EfficientNet-B3 CNN model with attention. IEEE Access 2021, 9, 14078–14094. [Google Scholar] [CrossRef]
- Ashkani Chenarlogh, V.; Ghelich Oghli, M.; Shabanzadeh, A.; Sirjani, N.; Akhavan, A.; Shiri, I.; Arabi, H.; Sanei Taheri, M.; Tarzamni, M.K. Fast and accurate U-net model for fetal ultrasound image segmentation. Ultrason. Imaging 2022, 44, 25–38. [Google Scholar] [CrossRef] [PubMed]
- Su, R.; Zhang, D.; Liu, J.; Cheng, C. Msu-net: Multi-scale u-net for 2d medical image segmentation. Front. Genet. 2021, 12, 639930. [Google Scholar] [CrossRef]
- Oktay, O.; Schlemper, J.; Folgoc, L.L.; Lee, M.; Heinrich, M.; Misawa, K.; Mori, K.; McDonagh, S.; Hammerla, N.Y.; Kainz, B.; et al. Attention u-net: Learning where to look for the pancreas. arXiv 2018, arXiv:1804.03999. [Google Scholar] [CrossRef]
- Ribalta Lorenzo, P.; Marcinkiewicz, M.; Nalepa, J. Multi-modal U-Nets with boundary loss and pre-training for brain tumor segmentation. In Proceedings of the Brainlesion: Glioma, Multiple Sclerosis, Stroke and Traumatic Brain Injuries: 5th International Workshop, BrainLes 2019, Held in Conjunction with MICCAI 2019, Shenzhen, China, 17 October 2019; Springer: Berlin/Heidelberg, Germany, 2020; pp. 135–147. [Google Scholar] [CrossRef]
- Isensee, F.; Jaeger, P.F.; Kohl, S.A.; Petersen, J.; Maier-Hein, K.H. nnU-Net: A self-configuring method for deep learning-based biomedical image segmentation. Nat. Methods 2021, 18, 203–211. [Google Scholar] [CrossRef] [PubMed]
- Chen, L.C.; Papandreou, G.; Kokkinos, I.; Murphy, K.; Yuille, A.L. Deeplab: Semantic image segmentation with deep convolutional nets, atrous convolution, and fully connected crfs. IEEE Trans. Pattern Anal. Mach. Intell. 2017, 40, 834–848. [Google Scholar] [CrossRef]
- Chollet, F. Xception: Deep learning with depthwise separable convolutions. In Proceedings of the IEEE Conference on Computer Vision and Pattern Recognition, Honolulu, HI, USA, 21–26 July 2017; pp. 1251–1258. [Google Scholar] [CrossRef]
- Teng, D.; Wu, K.; Sun, Y.; Zhang, M.; Wang, D.; Wu, J.; Yin, T.; Gong, W.; Ding, Y.; Xiao, W.; et al. Significant increased CA199 levels in acute pancreatitis patients predicts the presence of pancreatic cancer. Oncotarget 2018, 9, 12745. [Google Scholar] [CrossRef]
- Yang, Z.; Peng, X.; Yin, Z. Deeplab_v3_plus-net for Image Semantic Segmentation with Channel Compression. In Proceedings of the 2020 IEEE 20th International Conference on Communication Technology (ICCT), Nanning, China, 28–31 October 2020; pp. 1320–1324. [Google Scholar] [CrossRef]
- Cai, J.; Lu, L.; Xie, Y.; Xing, F.; Yang, L. Improving deep pancreas segmentation in CT and MRI images via recurrent neural contextual learning and direct loss function. arXiv 2017, arXiv:1707.04912. [Google Scholar] [CrossRef]
- Yang, M.; Zhang, Y.; Chen, H.; Wang, W.; Ni, H.; Xinlong, C.; Li, Z.; Mao, C. AX-Unet: A Novel Deep Learning Framework for Image Segmentation to Assist Pancreatic Tumor Diagnosis. Front. Oncol. 2022, 12, 894970. [Google Scholar] [CrossRef]
- Roth, H.R.; Lu, L.; Farag, A.; Shin, H.C.; Liu, J.; Turkbey, E.B.; Summers, R.M. DeepOrgan: Multi-level Deep Convolutional Networks for Automated Pancreas Segmentation. In Proceedings of the Medical Image Computing and Computer-Assisted Intervention—MICCAI 2015, Munich, Germany, 5–9 October 2015; Navab, N., Hornegger, J., Wells, W.M., Frangi, A.F., Eds.; Springer International Publishing: Berlin/Heidelberg, Germany, 2015; Volume 9349, pp. 556–564. [Google Scholar] [CrossRef]
- Antonelli, M.; Reinke, A.; Bakas, S.; Farahani, K.; Kopp-Schneider, A.; Landman, B.A.; Litjens, G.; Menze, B.; Ronneberger, O.; Summers, R.M.; et al. The medical segmentation decathlon. Nat. Commun. 2022, 13, 4128. [Google Scholar] [CrossRef]
- Falk, T.; Mai, D.; Bensch, R.; Çiçek, Ö.; Abdulkadir, A.; Marrakchi, Y.; Böhm, A.; Deubner, J.; Jäckel, Z.; Seiwald, K.; et al. Author Correction: U-Net: Deep learning for cell counting, detection, and morphometry. Nat. Methods 2019, 16, 351. [Google Scholar] [CrossRef]
- Xu, Z.; Luo, J.; Yan, J.; Li, X.; Jayender, J. F3RNet: Full-resolution residual registration network for deformable image registration. Int. J. Comput. Assist. Radiol. Surg. 2021, 16, 923–932. [Google Scholar] [CrossRef]
- Qian, B.; Wang, Y.; Hong, R.; Wang, M.; Shao, L. Diversifying inference path selection: Moving-mobile-network for landmark recognition. IEEE Trans. Image Process. 2021, 30, 4894–4904. [Google Scholar] [CrossRef]
- Li, Z.; Zheng, J.; Zhu, Z.; Yao, W.; Wu, S. Weighted guided image filtering. IEEE Trans. Image Process. 2014, 24, 120–129. [Google Scholar] [CrossRef]
- Kaur, R.; Kaur, S. Comparison of contrast enhancement techniques for medical image. In Proceedings of the 2016 conference on emerging devices and smart systems (ICEDSS), Namakkal, India, 4–5 March 2016; pp. 155–159. [Google Scholar]
- Yang, L.; Gu, D.; Wei, J.; Yang, C.; Rao, S.; Wang, W.; Chen, C.; Ding, Y.; Tian, J.; Zeng, M. A radiomics nomogram for preoperative prediction of microvascular invasion in hepatocellular carcinoma. Liver Cancer 2019, 8, 373–386. [Google Scholar] [CrossRef]
- Bezzi, C.; Mapelli, P.; Presotto, L.; Neri, I.; Scifo, P.; Savi, A.; Bettinardi, V.; Partelli, S.; Gianolli, L.; Falconi, M.; et al. Radiomics in pancreatic neuroendocrine tumors: Methodological issues and clinical significance. Eur. J. Nucl. Med. Mol. Imaging 2021, 48, 4002–4015. [Google Scholar] [CrossRef]
- Meng, J.; Luo, Z.; Chen, Z.; Zhou, J.; Chen, Z.; Lu, B.; Zhang, M.; Wang, Y.; Yuan, C.; Shen, X.; et al. Intestinal fibrosis classification in patients with Crohn’s disease using CT enterography–based deep learning: Comparisons with radiomics and radiologists. Eur. Radiol. 2022, 32, 8692–8705. [Google Scholar] [CrossRef]
- Li, X.; Liang, D.; Meng, J.; Zhou, J.; Chen, Z.; Huang, S.; Lu, B.; Qiu, Y.; Baker, M.E.; Ye, Z.; et al. Development and validation of a novel computed-tomography enterography radiomic approach for characterization of intestinal fibrosis in Crohn’s disease. Gastroenterology 2021, 160, 2303–2316. [Google Scholar] [CrossRef]
- Wang, A.; Sun, B.; Wang, M.; Shi, H.; Huang, Z.; He, T.; Li, Q.; Deng, J.; Fu, W.; Jiang, Y. Predictive value of CONUT score combined with serum CA199 levels in postoperative survival of patients with pancreatic ductal adenocarcinoma: A retrospective study. PeerJ 2020, 8, e8811. [Google Scholar] [CrossRef]
- Imamura, T.; Yamamoto, Y.; Sugiura, T.; Okamura, Y.; Ito, T.; Ashida, R.; Ohgi, K.; Uesaka, K. Reconsidering the optimal regional lymph node station according to tumor location for pancreatic cancer. Ann. Surg. Oncol. 2021, 28, 1602–1611. [Google Scholar] [CrossRef]
- Lee, J.W.; Park, S.H.; Ahn, H.; Lee, S.M.; Jang, S.J. Predicting survival in patients with pancreatic cancer by integrating bone marrow FDG uptake and radiomic features of primary tumor in PET/CT. Cancers 2021, 13, 3563. [Google Scholar] [CrossRef]
- Seo, S.; Uemura, K.; Sumiyoshi, T.; Kondo, N.; Okada, K.; Otsuka, H.; Murakami, Y.; Takahashi, S. Optimal lymph-node dissection for pancreatic tail cancer. Surg. Today 2022, 52, 1307–1312. [Google Scholar] [CrossRef] [PubMed]
- Nakao, A.; Kanzaki, A.; Fujii, T.; Kodera, Y.; Yamada, S.; Sugimoto, H.; Nomoto, S.; Nakamura, S.; Morita, S.; Takeda, S. Correlation between radiographic classification and pathological grade of portal vein wall invasion in pancreatic head cancer. Ann. Surg. 2012, 255, 103–108. [Google Scholar] [CrossRef] [PubMed]
- Ji, G.W.; Zhu, F.P.; Xu, Q.; Wang, K.; Wu, M.Y.; Tang, W.W.; Li, X.C.; Wang, X.H. Radiomic features at contrast-enhanced CT predict recurrence in early stage hepatocellular carcinoma: A multi-institutional study. Radiology 2020, 294, 568–579. [Google Scholar] [CrossRef] [PubMed]
- Kim, J.Y.; Park, J.E.; Jo, Y.; Shim, W.H.; Nam, S.J.; Kim, J.H.; Yoo, R.E.; Choi, S.H.; Kim, H.S. Incorporating diffusion-and perfusion-weighted MRI into a radiomics model improves diagnostic performance for pseudoprogression in glioblastoma patients. Neuro-Oncol. 2019, 21, 404–414. [Google Scholar] [CrossRef] [PubMed]
- Sun, R.; Limkin, E.J.; Vakalopoulou, M.; Dercle, L.; Champiat, S.; Han, S.R.; Verlingue, L.; Brandao, D.; Lancia, A.; Ammari, S.; et al. A radiomics approach to assess tumour-infiltrating CD8 cells and response to anti-PD-1 or anti-PD-L1 immunotherapy: An imaging biomarker, retrospective multicohort study. Lancet Oncol. 2018, 19, 1180–1191. [Google Scholar] [CrossRef]
- Nielsen, B.; Kleppe, A.; Hveem, T.S.; Pradhan, M.; Syvertsen, R.A.; Nesheim, J.A.; Kristensen, G.B.; Trovik, J.; Kerr, D.J.; Albregtsen, F.; et al. Association between proportion of nuclei with high chromatin entropy and prognosis in gynecological cancers. JNCI J. Natl. Cancer Inst. 2018, 110, 1400–1408. [Google Scholar] [CrossRef]
- Nakajo, M.; Kajiya, Y.; Tani, A.; Jinguji, M.; Nakajo, M.; Kitazono, M.; Yoshiura, T. A pilot study for texture analysis of 18 F-FDG and 18 F-FLT-PET/CT to predict tumor recurrence of patients with colorectal cancer who received surgery. Eur. J. Nucl. Med. Mol. Imaging 2017, 44, 2158–2168. [Google Scholar] [CrossRef]
- Zhang, W.; Ji, L.; Wang, X.; Zhu, S.; Luo, J.; Zhang, Y.; Tong, Y.; Feng, F.; Kang, Y.; Bi, Q. Nomogram predicts risk and prognostic factors for bone metastasis of pancreatic cancer: A population-based analysis. Front. Endocrinol. 2022, 12, 1980. [Google Scholar] [CrossRef]





| Method | DSC (%) | Jaccard (%) | Recall (%) | Precision (%) |
|---|---|---|---|---|
| Our Dataset | ||||
| Unet-64 | 70.5 ± 3.8 | 59.3 ± 2.7 | 72.7 ± 2.5 | 70.8 ± 3.5 |
| Unet-16 | 67.2 ± 2.6 | 54.8 ± 3.1 | 65.1 ± 1.7 | 69.3 ± 5.8 |
| Bootom-up | 70.8 ± 2.1 | 58.9 ± 1.8 | 73.3 ± 2.3 | 74.8 ± 2.5 |
| Attention Unet | 66.0 ± 3.2 | 52.6 ± 4.2 | 70.3 ± 2.1 | 71.5 ± 2.4 |
| nn-Unet | 80.7 ± 1.9 | 68.9 ± 3.5 | 83.3 ± 3.2 | 84.8 ± 4.7 |
| AX-Unet (Ours) | 85.9 ± 3.5 | 74.2 ± 4.4 | 87.6 ± 2.4 | 89.7 ± 6.5 |
| Characteristics | Univariate Analysis | Multivariate Analysis | ||
|---|---|---|---|---|
| mRFS | p Value | HR (95%Cl) | p Value | |
| Gender | 0.875 | |||
| Female (n = 23) | 9 (1–37) | |||
| Male (n = 41) | 7 (3–49) | |||
| Age | 0.442 | |||
| ≤65 (n = 48) | 7 (1–49) | |||
| >65 (n = 16) | 13 (3–27) | |||
| BMI | 0.949 | |||
| ≤24 (n = 44) | 8 (2–49) | |||
| >24 (n = 20) | 10 (1–49) | |||
| History of DM 1 | 0.007 | 1.16 (0.64∼2.24) | 0.65 | |
| Yes (n = 31) | 8 (1–36) | |||
| No (n = 33) | 15 (3–49) | |||
| Baseline CA19-9 2(/mL) | 0.001 | 5.13 (2.05∼12.84) | 0.01 | |
| ≤37 (n = 20) | 21 (4–49) | |||
| >37 (n = 44) | 6 (1–35) | |||
| Status of Resectability | 0.001 | 1.76 (0.90∼3.46) | 0.1 | |
| RPC 3 (n = 33) | 15 (3–49) | |||
| BRPC 4 (n = 31) | 7 (1–36) | |||
| N stage | 0.001 | 0.63 (0.32∼1.24) | 0.18 | |
| N0 (n = 34) | 15 (3–49) | |||
| N1 (n = 30) | 7 (1–36) | |||
| Histologic Grade | 0.124 | |||
| G1 (n = 7) | 24 (6–49) | |||
| G2 (n = 21) | 14 (2–49) | |||
| G3 (n = 36) | 8 (1–33) | |||
| P53 | 0.49 | |||
| ≤50% (n = 45) | 12 (2–49) | |||
| >50% (n = 19) | 13 (1–29) | |||
| Ki-67 | 0.945 | |||
| ≤50% (n = 47) | 8 (2–49) | |||
| >50% (n = 17) | 14.77 ± 2.23 | |||
| Characteristics | Significant Texture Features | ||||
|---|---|---|---|---|---|
| Hu | Contrast | Entropy | Variance | Average | |
| Gender | p = 0.32 | p = 0.008 | p= 0.30 | p = 0.52 | p= 0.01 |
| Female (n = 23) | 42.57 (31.24–57.81) | 6.24 (4.81–9.09) | 8.46 (8.37–8.96) | 15.47 (10.42–22.55) | 0.40 (0.33–0.58) |
| Male (n = 41) | 39.35 (29.59–62.95) | 7.28 (4.16–12.69) | 8.54 (8.35–8.95) | 19.38 (9.36–26.69) | 0.47 (0.30–0.68) |
| Age | p = 0.11 | p = 0.86 | p = 0.53 | p = 0.10 | p = 0.12 |
| ≤65 (n = 48) | 39.35 (29.59–62.95) | 240.57 (205.67–269.61) | 8.49 (8.35–8.96) | 17.09 (9.37–22.68) | 0.41 (0.30–0.67) |
| 65 (n = 16) | 48.62 (36.03–53.45) | 7.10 (5.47–9.02) | 8.57 (8.43–8.95) | 19.93 (13.65–26.69) | 0.52 (0.37–0.64) |
| BMI | p = 0.86 | p = 0.04 | p = 0.74 | p = 0.01 | p = 0.03 |
| ≤24 (n = 44) | 41.75 (29.59–60.37) | 6.59 (4.81–9.02) | 8.50 (8.35–8.96) | 19.45 (10.42–26.69) | 0.45 (0.33–0.68) |
| 24 (n = 20) | 39.43 (31.10–62.95) | 7.52 (4.16–12.69) | 8.56 (8.37–8.95) | 14.58 (9.36–22.16) | 0.40 (0.31–0.58) |
| History of DM | p = 0.01 | p = 0.83 | p = 0.11 | p = 0.01 | p = 0.35 |
| Yes (n = 31) | 37.29 (29.59–53.18) | 6.77 (4.16–12.69) | 8.49 (8.35–8.95) | 15.31 (9.36–22.16) | 0.40 (0.30–0.63) |
| No (n = 33) | 39.43 (31.10–62.95) | 7.52 (4.16–12.69) | 8.56 (8.37–8.95) | 14.58 (9.36–22.16) | 0.40 (0.31–0.58) |
| Baseline CA19-9(μ/mL) | p = 0.04 | p = 0.85 | p = 0.01 | p = 0.01 | p = 0.21 |
| ≤37 (n = 20) | 42.96 (39.35–62.95) | 7.39 (4.16–9.65) | 8.82 (8.57–8.95) | 20.89 (12.01–26.69) | 0.44 (0.40–0.64) |
| 37 (n = 44) | 40.21 (29.59–60.37) | 6.68 (5.35–12.69) | 8.48 (8.35–8.96) | 14.81 (9.36–22.68) | 0.41 (0.30–0.68) |
| Status of Resectability | p = 0.74 | p = 0.95 | p = 0.02 | p = 0.60 | p = 0.35 |
| RPC (n = 33) | 40.21 (29.59–62.95) | 6.60 (4.81–10.94) | 8.56 (8.35–8.95) | 19.45 (9.36–22.55) | 0.41 (0.30–0.63) |
| BRPC (n = 31) | 41.07 (31.25–60.37) | 6.78 (4.16–12.69) | 8.49 (8.37–8.96) | 16.45 (10.42–26.69) | 0.47 (0.33–0.68) |
| N stage | p = 0.96 | p = 0.14 | p = 0.02 | p = 0.16 | p = 0.79 |
| N0 (n = 34) | 41.61 (31.10–62.95) | 6.61 (4.81–9.65) | 8.54 (8.37–8.96) | 19.72 (11.04–26.69) | 0.41 (0.30–0.64) |
| N1 (n = 30) | 41.08 (29.59–60.37) | 6.78 (4.16–12.69) | 8.51 (8.36–8.95) | 16.45 (9.37–22.68) | 0.44 (0.33–0.67) |
| Histologic grade | p = 0.04 | p = 0.33 | p = 0.49 | p = 0.61 | p = 0.69 |
| G1 (n = 7) | 54.73 (39.35–57.81) | 8.47 (4.81–9.66) | 8.57 (8.38–8.96) | 14.45 (12.02–22.55) | 0.41 (0.38–0.50) |
| G2 (n = 21) | 42.96 (31.10–62.95) | 6.68 (4.16–12.69) | 8.53 (8.41–8.92) | 18.73 (10.42–26.69) | 0.43 (0.34–0.64) |
| G3 (n = 36) | 38.69 (29.59–53.45) | 6.78 (5.41–10.93) | 8.49 (8.35–8.95) | 18.22 (9.37–22.68) | 0.44 (0.30–0.68) |
| Recurrence | p = 0.18 | p = 0.53 | p = 0.01 | p = 0.01 | p = 0.89 |
| Yes (n = 46) | 41.08 (29.59–60.37) | 6.78 (5.41–12.69) | 8.49 (8.36–8.63) | 15.31 (9.36–26.69) | 0.43 (0.31–0.68) |
| No (n = 18) | 45.35 (31.10–62.95) | 6.60 (4.16–9.09) | 8.88 (8.38–8.96) | 20.74 (12.37–22.55) | 0.44 (0.33–0.59) |
| Characteristics | OR | 95% Cl |
|---|---|---|
| Gender | ||
| Male | 9.45 | 1.01–88.71 |
| Female | 1 | |
| Status of Resectability | ||
| RPC | 1 | |
| BRPC | 19.88 | 1.52–260.35 |
| Entropy | ||
| ≤8.59 | 1 | |
| >8.59 | 0.01 | 0.002–0.03 |
Disclaimer/Publisher’s Note: The statements, opinions and data contained in all publications are solely those of the individual author(s) and contributor(s) and not of MDPI and/or the editor(s). MDPI and/or the editor(s) disclaim responsibility for any injury to people or property resulting from any ideas, methods, instructions or products referred to in the content. |
© 2023 by the authors. Licensee MDPI, Basel, Switzerland. This article is an open access article distributed under the terms and conditions of the Creative Commons Attribution (CC BY) license (https://creativecommons.org/licenses/by/4.0/).
Share and Cite
Ni, H.; Zhou, G.; Chen, X.; Ren, J.; Yang, M.; Zhang, Y.; Zhang, Q.; Zhang, L.; Mao, C.; Li, X. Predicting Recurrence in Pancreatic Ductal Adenocarcinoma after Radical Surgery Using an AX-Unet Pancreas Segmentation Model and Dynamic Nomogram. Bioengineering 2023, 10, 828. https://doi.org/10.3390/bioengineering10070828
Ni H, Zhou G, Chen X, Ren J, Yang M, Zhang Y, Zhang Q, Zhang L, Mao C, Li X. Predicting Recurrence in Pancreatic Ductal Adenocarcinoma after Radical Surgery Using an AX-Unet Pancreas Segmentation Model and Dynamic Nomogram. Bioengineering. 2023; 10(7):828. https://doi.org/10.3390/bioengineering10070828
Chicago/Turabian StyleNi, Haixu, Gonghai Zhou, Xinlong Chen, Jing Ren, Minqiang Yang, Yuhong Zhang, Qiyu Zhang, Lei Zhang, Chengsheng Mao, and Xun Li. 2023. "Predicting Recurrence in Pancreatic Ductal Adenocarcinoma after Radical Surgery Using an AX-Unet Pancreas Segmentation Model and Dynamic Nomogram" Bioengineering 10, no. 7: 828. https://doi.org/10.3390/bioengineering10070828
APA StyleNi, H., Zhou, G., Chen, X., Ren, J., Yang, M., Zhang, Y., Zhang, Q., Zhang, L., Mao, C., & Li, X. (2023). Predicting Recurrence in Pancreatic Ductal Adenocarcinoma after Radical Surgery Using an AX-Unet Pancreas Segmentation Model and Dynamic Nomogram. Bioengineering, 10(7), 828. https://doi.org/10.3390/bioengineering10070828

