Advances in Virtual Cutting Guide and Stereotactic Navigation for Complex Tumor Resections of the Sacrum and Pelvis: Case Series with Short-Term Follow-Up
Abstract
:1. Introduction
2. Methods
2.1. CAD Development
2.2. Intraoperative CAD Utilization
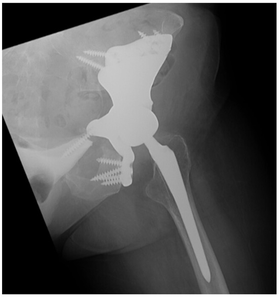
3. Results
4. Discussion
5. Conclusions
Author Contributions
Funding
Institutional Review Board Statement
Informed Consent Statement
Data Availability Statement
Acknowledgments
Conflicts of Interest
References
- Bederman, S.S.; Shah, K.N.; Hassan, J.M.; Hoang, B.H.; Kiester, P.D.; Bhatia, N.N. Surgical techniques for spinopelvic reconstruction following total sacrectomy: A systematic review. Eur. Spine J. 2014, 23, 305–319. [Google Scholar] [CrossRef]
- Fourney, D.R.; Rhines, L.D.; Hentschel, S.J.; Skibber, J.M.; Wolinsky, J.P.; Weber, K.L.; Suki, D.; Gallia, G.L.; Garonzik, I.; Gokaslan, Z.L. En bloc resection of primary sacral tumors: Classification of surgical approaches and outcome. J. Neurosurg. Spine 2005, 3, 111–122. [Google Scholar] [CrossRef]
- Fuchs, B.; Hoekzema, N.; Larson, D.R.; Inwards, C.Y.; Sim, F.H. Osteosarcoma of the pelvis: Outcome analysis of surgical treatment. Clin. Orthop. Relat. Res. 2009, 467, 510–518. [Google Scholar] [CrossRef]
- Ozaki, T.; Flege, S.; Kevric, M.; Lindner, N.; Maas, R.; Delling, G.; Schwarz, R.; Von Hochstetter, A.R.; Salzer-Kuntschik, M.; Berdel, W.E.; et al. Osteosarcoma of the pelvis: Experience of the Cooperative Osteosarcoma Study Group. J. Clin. Oncol. 2003, 21, 334–341. [Google Scholar] [CrossRef]
- Jackson, R.J.; Gokaslan, Z.L. Spinal-pelvic fixation in patients with lumbosacral neoplasms. J. Neurosurg. 2000, 92, 61–70. [Google Scholar] [CrossRef]
- Tomita, K.; Tsuchiya, H. Total sacrectomy and reconstruction for huge sacral tumors. Spine 1990, 15, 1223–1227. [Google Scholar] [CrossRef]
- Drazin, D.; Bhamb, N.; Al-Khouja, L.T.; Kappel, A.D.; Kim, T.T.; Johnson, J.P.; Brien, E. Image-guided resection of aggressive sacral tumors. Neurosurg. Focus 2017, 42, E15. [Google Scholar] [CrossRef]
- Abraham, J.A.; Kenneally, B.; Amer, K.; Geller, D.S. Can Navigation-assisted Surgery Help Achieve Negative Margins in Resection of Pelvic and Sacral Tumors? Clin. Orthop. Relat. Res. 2018, 476, 499–508. [Google Scholar] [CrossRef]
- Ieguchi, M.; Hoshi, M.; Takada, J.; Hidaka, N.; Nakamura, H. Navigation-assisted surgery for bone and soft tissue tumors with bony extension. Clin. Orthop. Relat. Res. 2012, 470, 275–283. [Google Scholar] [CrossRef]
- Cho, H.S.; Oh, J.H.; Han, I.; Kim, H.S. The outcomes of navigation-assisted bone tumour surgery: Minimum three-year follow-up. J. Bone Jt. Surg. Br. 2012, 94, 1414–1420. [Google Scholar] [CrossRef]
- Jeys, L.; Matharu, G.S.; Nandra, R.S.; Grimer, R.J. Can computer navigation-assisted surgery reduce the risk of an intralesional margin and reduce the rate of local recurrence in patients with a tumour of the pelvis or sacrum? Bone Jt. J. 2013, 95, 1417–1424. [Google Scholar] [CrossRef] [PubMed]
- Wong, K.C.; Kumta, S.M. Computer-assisted tumor surgery in malignant bone tumors. Clin. Orthop. Relat. Res. 2013, 471, 750–761. [Google Scholar] [CrossRef] [PubMed]
- Seruya, M.; Fisher, M.; Rodriguez, E.D. Computer-assisted versus conventional free fibula flap technique for craniofacial reconstruction: An outcome comparison. Plast. Reconstr. Surg. 2013, 132, 1219–1228. [Google Scholar] [CrossRef]
- Klein, M.; Glatzer, C. Individual CAD/CAM fabricated glass-bioceramic implants in reconstructive surgery of the bony orbital floor. Plast. Reconstr. Surg. 2006, 117, 565–570. [Google Scholar] [CrossRef]
- Pang, J.H.; Brooke, S.; Kubik, M.W.; Ferris, R.L.; Dhima, M.; Hanasono, M.M.; Wang, E.W.; Solari, M.G. Staged Reconstruction (Delayed-Immediate) of the Maxillectomy Defect Using CAD/CAM Technology. J. Reconstr. Microsurg. 2018, 34, 193–199. [Google Scholar] [CrossRef] [PubMed]
- Shirk, J.D.; Reiter, R.; Wallen, E.M. Effect of 3-Dimensional, Virtual Reality Models for Surgical Planning of Robotic Prostatectomy on Trifecta Outcomes: A Randomized Clinical Trial. J. Urol. 2022, 208, 618–625. [Google Scholar] [CrossRef] [PubMed]
- Nguyen, A.; Vanderbeek, C.; Herford, A.S.; Thakker, J.S. Use of Virtual Surgical Planning and Virtual Dataset With Intraoperative Navigation to Guide Revision of Complex Facial Fractures: A Case Report. J. Oral. Maxillofac. Surg. 2019, 77, 790.e1–790.e17. [Google Scholar] [CrossRef]
- Towner, J.E.; Piper, K.F.; Schoeniger, L.O.; Qureshi, S.H.; Li, Y.M. Use of image-guided bone scalpel for resection of spine tumors: Technical note. AME Case Rep. 2018, 2, 48. [Google Scholar] [CrossRef]
- von Elm, E.; Altman, D.G.; Egger, M.; Pocock, S.J.; Gøtzsche, P.C.; Vandenbroucke, J.P. The Strengthening the Reporting of Observational Studies in Epidemiology (STROBE) statement: Guidelines for reporting observational studies. PLoS Med. 2007, 4, e296. [Google Scholar] [CrossRef]
- He, F.; Zhang, W.; Shen, Y.; Yu, P.; Bao, Q.; Wen, J.; Hu, C.; Qiu, S. Effects of resection margins on local recurrence of osteosarcoma in extremity and pelvis: Systematic review and meta-analysis. Int. J. Surg. 2016, 36 Pt A, 283–292. [Google Scholar] [CrossRef]
- Cloyd, J.M.; Acosta, F.L., Jr.; Polley, M.Y.; Ames, C.P. En bloc resection for primary and metastatic tumors of the spine: A systematic review of the literature. Neurosurgery 2010, 67, 435–445. [Google Scholar] [CrossRef] [PubMed]
- Yamazaki, T.; McLoughlin, G.S.; Patel, S.; Rhines, L.D.; Fourney, D.R. Feasibility and safety of en bloc resection for primary spine tumors: A systematic review by the Spine Oncology Study Group. Spine 2009, 34 (Suppl. 22), S31–S38. [Google Scholar] [CrossRef] [PubMed]
- Houdek, M.T.; Rose, P.S.; Bakri, K.; Wagner, E.R.; Yaszemski, M.J.; Sim, F.H.; Moran, S.L. Outcomes and Complications of Reconstruction with Use of Free Vascularized Fibular Graft for Spinal and Pelvic Defects Following Resection of a Malignant Tumor. J. Bone Jt. Surg. Am. 2017, 99, e69. [Google Scholar] [CrossRef] [PubMed]
- Li, J.; Chen, G.; Lu, Y.; Zhu, H.; Ji, C.; Wang, Z. Factors Influencing Osseous Union Following Surgical Treatment of Bone Tumors with Use of the Capanna Technique. J. Bone Jt. Surg. Am. 2019, 101, 2036–2043. [Google Scholar] [CrossRef] [PubMed]
- Ogura, K.; Sakuraba, M.; Miyamoto, S.; Fujiwara, T.; Chuman, H.; Kawai, A. Pelvic ring reconstruction with a double-barreled free vascularized fibula graft after resection of malignant pelvic bone tumor. Arch. Orthop. Trauma. Surg. 2015, 135, 619–625. [Google Scholar] [CrossRef] [PubMed]
- Woo, S.H.; Sung, M.J.; Park, K.S.; Yoon, T.R. Three-dimensional-printing Technology in Hip and Pelvic Surgery: Current Landscape. Hip Pelvis 2020, 32, 1–10. [Google Scholar] [CrossRef] [PubMed]
- Fang, C.; Cai, H.; Kuong, E.; Chui, E.; Siu, Y.C.; Ji, T.; Drstvenšek, I. Surgical applications of three-dimensional printing in the pelvis and acetabulum: From models and tools to implants. Unfallchirurg 2019, 122, 278–285. [Google Scholar] [CrossRef]
- Wong, K.C.; Kumta, S.M. Joint-preserving tumor resection and reconstruction using image-guided computer navigation. Clin. Orthop. Relat. Res. 2013, 471, 762–773. [Google Scholar] [CrossRef]
- So, T.Y.; Lam, Y.L.; Mak, K.L. Computer-assisted navigation in bone tumor surgery: Seamless workflow model and evolution of technique. Clin. Orthop. Relat. Res. 2010, 468, 2985–2991. [Google Scholar] [CrossRef]





| Case No. | 1 | 2 | 3 | 4 | 5 | 6 |
|---|---|---|---|---|---|---|
| Age (yrs), Sex | 53, F | 25, F | 60, F | 39, F | 61, M | 75, M |
| ASA Class | 3 | 3 | 3 | 3 | 3 | 3 |
| BMI (kg/m2) | 17.5 | 18.0 | 25.9 | 31.4 | 28.6 | 30.4 |
| Follow-Up (months) | 24.8 | 39.7 | 40.3 | 42.2 | 41.5 | 39.2 |
| Comorbidities | None | None | None | Asthma | Former smoker | Asthma |
| Diagnosis | Radiation-Induced Osteosarcoma | Primary Osteosarcoma | Primary Chondrosarcoma | MHE, Secondary Chondrosarcoma | Primary Chondrosarcoma | Primary Chondrosarcoma |
| Histologic Grade | High grade | High grade | High grade | De-differentiated | High grade | High grade |
| MSTS Stage | IIB | III | IIB | III | IIB | IIB |
| Location | Sacrum, Rt ilium | LS spine, Lt ilium | Lt acetabulum | Lt ilium | Sacrum, Lt ilium | Sacrum, Lt ilium |
| Procedures Performed | Stage 1: L5-S1 anterior discectomy, anterior sacral osteotomy, fibula flap harvest Stage 2: sacrectomy, L3-pelvis PSIF, L5-pelvis ASF with vascularized fibula flap, VRAM flap | Stage 1: Rt T12-pelvis PSIF, L3-5 laminectomy, fibula flap harvest; Stage 2: L4, L5 vertebrectomy, sacrectomy, Lt type I internal hemipelvectomy, Lt L3-pelvis PSIF Stage 3: L3-pelvis ASF with vascularized fibula flap | Lt type I-II internal hemipelvectomy, custom endoprosthetic pelvic and hip joint reconstruction | Lt Type I internal hemipelvectomy, vascularized fibula autograft reconstruction | Stage 1: L3-S3 laminectomy, L5 vertebrectomy, L3-pelvis PSIF; Stage 2: Lt type I internal hemipelvectomy, Lt partial sacrectomy, L5-pelvis ASF with vascularized fibula autograft | L5-S1 laminectomy, partial sacrectomy, Lt ilium osteotomy, pedicled Rt gluteus maximus flap |
| EBL (mL) | 12,150 | 5500 | 1400 | 400 | 6800 | 300 |
| OR Time (min) | 2063 | 1739 | 522 | 543 | 1994 | 515 |
| Margins | Negative | Negative | Negative | Negative | Negative | Negative |
| Intraoperative Complications | None | None | None | None | None | None |
| LOS (days) | 19 | 47 | 16 | 12 | 11 | 7 |
| Discharge Disposition | Rehab facility | Rehab facility | Rehab facility | Rehab facility | Rehab facility | Rehab facility |
| 30-Day Readmission | No | No | No | No | No | No |
| 30-Day Reoperation | No | No | No | No | No | No |
| 2-Year Mortality | No | No | No | No | No | No |
| Postoperative Complications | None | Flap necrosis | None | None | None | None |
| Local Recurrence | Yes | No | No | No | No | No |
| Metastatic Disease | Yes | No | No | Yes, left groin, left shoulder s/p resection | No | No |
Disclaimer/Publisher’s Note: The statements, opinions and data contained in all publications are solely those of the individual author(s) and contributor(s) and not of MDPI and/or the editor(s). MDPI and/or the editor(s) disclaim responsibility for any injury to people or property resulting from any ideas, methods, instructions or products referred to in the content. |
© 2023 by the authors. Licensee MDPI, Basel, Switzerland. This article is an open access article distributed under the terms and conditions of the Creative Commons Attribution (CC BY) license (https://creativecommons.org/licenses/by/4.0/).
Share and Cite
Hirase, T.; McChesney, G.R.; Garvin, L., II; Tappa, K.; Satcher, R.L.; Mericli, A.F.; Rhines, L.D.; Bird, J.E. Advances in Virtual Cutting Guide and Stereotactic Navigation for Complex Tumor Resections of the Sacrum and Pelvis: Case Series with Short-Term Follow-Up. Bioengineering 2023, 10, 1342. https://doi.org/10.3390/bioengineering10121342
Hirase T, McChesney GR, Garvin L II, Tappa K, Satcher RL, Mericli AF, Rhines LD, Bird JE. Advances in Virtual Cutting Guide and Stereotactic Navigation for Complex Tumor Resections of the Sacrum and Pelvis: Case Series with Short-Term Follow-Up. Bioengineering. 2023; 10(12):1342. https://doi.org/10.3390/bioengineering10121342
Chicago/Turabian StyleHirase, Takashi, Grant R. McChesney, Lawrence Garvin, II, Karthik Tappa, Robert L. Satcher, Alexander F. Mericli, Laurence D. Rhines, and Justin E. Bird. 2023. "Advances in Virtual Cutting Guide and Stereotactic Navigation for Complex Tumor Resections of the Sacrum and Pelvis: Case Series with Short-Term Follow-Up" Bioengineering 10, no. 12: 1342. https://doi.org/10.3390/bioengineering10121342
APA StyleHirase, T., McChesney, G. R., Garvin, L., II, Tappa, K., Satcher, R. L., Mericli, A. F., Rhines, L. D., & Bird, J. E. (2023). Advances in Virtual Cutting Guide and Stereotactic Navigation for Complex Tumor Resections of the Sacrum and Pelvis: Case Series with Short-Term Follow-Up. Bioengineering, 10(12), 1342. https://doi.org/10.3390/bioengineering10121342

