Synergistic Effects of Zinc Oxide Nanoparticles and Bacteria Reduce Heavy Metals Toxicity in Rice (Oryza sativa L.) Plant
Abstract
1. Introduction
2. Materials and Methods
2.1. Sampling
2.2. Bacterial Strains Collection and Cultivation
2.3. Heavy Metals Analysis in Polluted Water Samples
2.4. Heavy Metals Remediation Analysis/Batch Culture Experiment
2.4.1. Heavy Metals Remediation in Artificially Polluted Water
2.4.2. Heavy Metals Remediation of Hayatabad Industrial Estate (HIE) Polluted Water
2.4.3. Heavy Metals Remediation at Different pH and Contact Time
2.5. Heavy Metals Remediation in Plants
2.5.1. Heavy Metals in Water and Plant Tissue (Root, Shoot and Leaf) after Remediation
2.5.2. Heavy Metals Analysis in Polluted Water after Remediation Experiment
2.6. Quantification of Low Molecular Weight Polypeptide Metallothioneins (MTs)
2.7. Bioaccumulation Index and Tolerance Index (TI) Determination
2.8. Statistical Analysis
3. Results
3.1. ZnO NPs Interaction with Bacteria Improved the Removal Efficiency of HMs
3.2. ZnO NPs Interaction with Bacteria Improved the Removal Efficiency of HMs from Polluted Water
3.3. ZnO NPs Interaction with Bacteria Reduced HMs Uptake in Plant Tissues
3.3.1. Heavy Metals Contents in Plant Tissue (Leaf, Shoot and Root)
3.3.2. Total Heavy Metal Uptake, and Remediation Percentage in Polluted Water
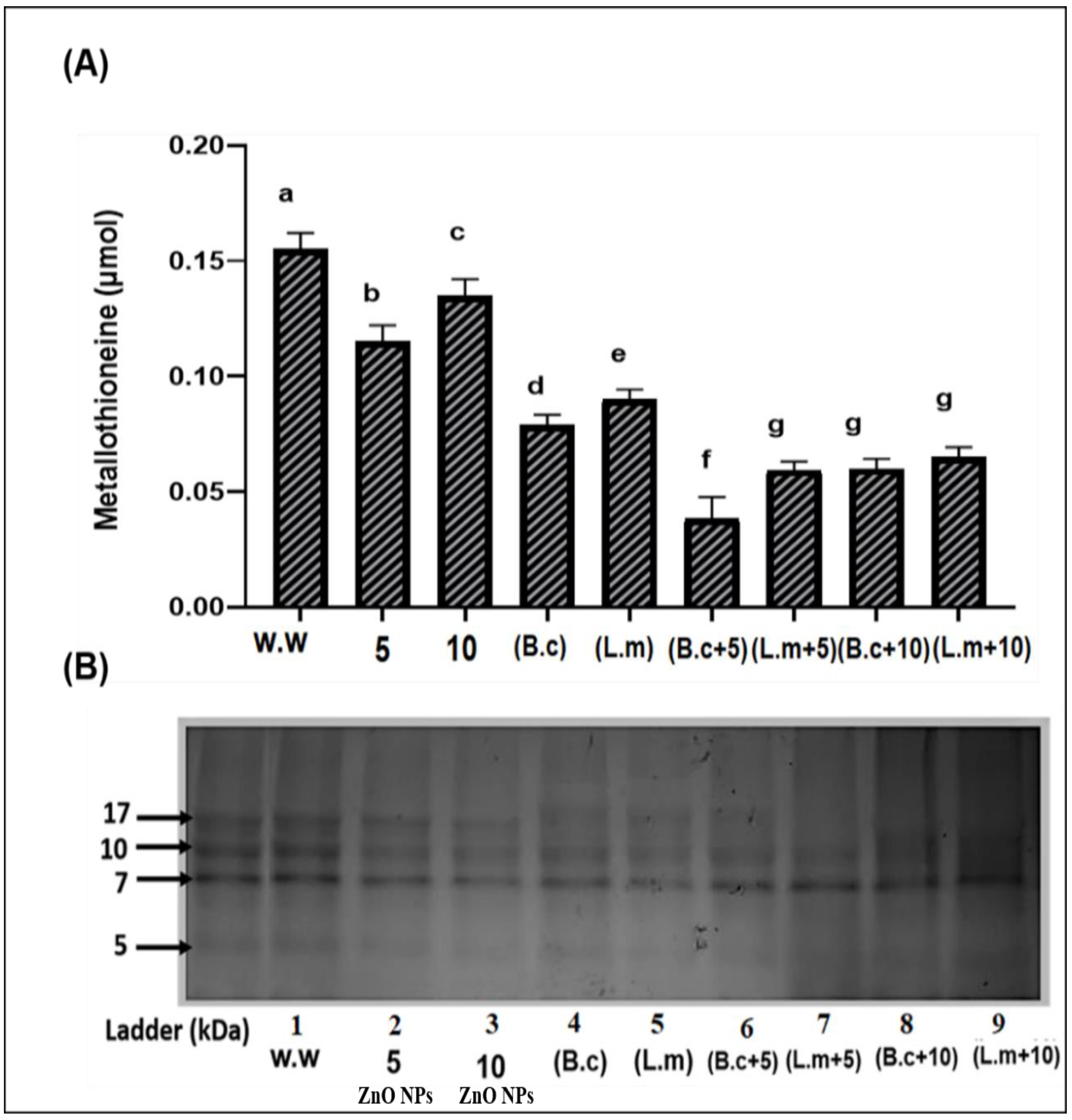
3.4. Concentrationof Low Molecular Weight Polypeptide Metallothioneins (MTs)
3.5. Bioaccumulation Index
3.6. Tolerance Index (TI)
4. Discussion
5. Conclusions
Author Contributions
Funding
Institutional Review Board Statement
Informed Consent Statement
Data Availability Statement
Acknowledgments
Conflicts of Interest
References
- Azimi, A.; Azari, A.; Rezakazemi, M.; Ansarpour, M. Removal of heavy metals from industrial wastewaters: A review. Chem. Biol. Eng. Rev. 2017, 4, 37–59. [Google Scholar] [CrossRef]
- Amin, N.; Ayaz, M.; Alam, S.; Gul, S. Heavy metals contamination through industrial effluent to irrigation water in GadoonAmazai (Swabi) and Hayatabad (Peshawar) Pakistan. J. Sci. Res. 2013, 6, 111–124. [Google Scholar] [CrossRef]
- Randhawa, M.A.; Ahmad, G.; Anjum, F.M.; Asghar, A.; Sajid, M.W. Heavy metal contents and their daily intake in vegetables under peri-urban farming system of Multan, Pakistan. Pak. J. Agric. Sci. 2014, 51, 1–20. [Google Scholar]
- Bangash, F.K.; Fida, M.; Fazeelat, T. Appraisal of effluents of some selected industries of Hayatabad industrial estate, Peshawar. J. Chem. Soc. Pak. 2006, 28, 16–19. [Google Scholar]
- Nawaz, A.; Khurshid, K.; Arif, M.S.; Ranjha, A.M. Accumulation of heavy metals in soil and rice plant (Oryza sativa L.) irrigated with industrial effluents. Int. J. Agric. Biol. 2006, 8, 391–393. [Google Scholar]
- Khan, M.U.; Malik, R.N.; Muhammad, S. Human health risk from heavy metal via food crops consumption with wastewater irrigation practices in Pakistan. Chemosphere 2013, 93, 2230–2238. [Google Scholar] [CrossRef] [PubMed]
- Zheng, L.; Peer, T.; Seybold, V.; Lütz-Meindl, U. Pb-Induced ultrastructural alterations and subcellular localization of Pb in two species of Lespedeza by TEM-coupled electron energy loss spectroscopy. Environ. Exp. Bot. 2012, 77, 196–245. [Google Scholar] [CrossRef]
- Prasad, M.N.V.; Hagemeyer, J.; Poschenrieder, C.; Barceló, J. Water relations in heavy metal stressed plants. In Heavy Metal Stress in Plants; Springer: Berlin/Heidelberg, Germany, 1999; pp. 138–177. [Google Scholar]
- Amiard, J.C.; Amiard-Triquet, C.; Barka, S.; Pellerin, J.; Rainbow, P.S. Metallothioneins in aquatic invertebrates: Their role in metal detoxification and their use as biomarkers. Aquat. Toxicol. 2006, 76, 160–202. [Google Scholar] [CrossRef]
- Fu, F.; Wang, Q. Removal of heavy metal ions from wastewaters: A review. J. Environ. Manag. 2011, 92, 407–418. [Google Scholar] [CrossRef]
- Aruguete, D.M.; Hochella, M.F. Bacteria-nanoparticle interactions and their environmental implications. Environ. Chem. 2010, 7, 3–9. [Google Scholar] [CrossRef]
- Dixit, R.; Wasiullah, M.D.; Pandiyan, K.; Singh, U.B.; Sahu, A.; Paul, D. Bioremediation of heavy metals from soil and aquatic environment: An overview of principles and criteria of fundamental processes. Sustainability 2015, 7, 2189–2212. [Google Scholar] [CrossRef]
- Wang, Z.L. Zinc oxide nanostructures: Growth, properties and applications. J. Phys. Condens. Matter 2004, 16, 22–40. [Google Scholar] [CrossRef]
- Venkatachalam, P.; Jayaraj, M.; Manikandan, R.; Geetha, N.; Rene, E.R.; Sharma, N.C.; Sahi, S.V. Zinc oxide nanoparticles (ZnONPs) alleviate heavy metal-induced toxicity in Leucaena leucocephala seedlings: A physiochemical analysis. Plant Physiol. Biochem. 2017, 110, 59–69. [Google Scholar] [CrossRef] [PubMed]
- Maity, A.; Natarajan, N.; Vijay, D.; Srinivasan, R.; Pastor, M.; Malaviya, D.R. Influence of metal nanoparticles (NPs) on germination and yield of oat (Avena sativa) and Berseem (Trifolium alexandrinum). Proc. Natl. Acad. Sci. India Sect. B Biol. Sci. 2018, 88, 595–607. [Google Scholar] [CrossRef]
- Hazeem, L.J.; Bououdina, M.; Rashdan, S.; Brunet, L.; Slomianny, C.; Boukherroub, R. Cumulative effect of zinc oxide and titanium oxide nanoparticles on growth and chlorophyll a content of Picochlorumsp. Environ. Sci. Pollut. Res. 2016, 23, 2821–2830. [Google Scholar] [CrossRef] [PubMed]
- Manke, A.; Wang, L.; Rojanasakul, Y. Mechanisms of nanoparticle-inducedoxidative stress and toxicity. Bio. Med. Res. Int. 2013, 1, 216–942. [Google Scholar]
- Kumawat, N.; Kumar, R.; Kumar, S.; Meena, V.S. Nutrient Solubilizing Microbes (NSMs): Its role in sustainable crop production. In Agriculturally Important Microbes for Sustainable Agriculture; Springer: Singapore, 2017; pp. 25–61. [Google Scholar]
- Sharma, Y.C.; Srivastava, V.; Singh, V.K.; Kaul, S.N.; Weng, C.H. Nano-Adsorbents for the removal of metallic pollutants from water and wastewater. Environ. Technol. 2009, 30, 583–609. [Google Scholar] [CrossRef] [PubMed]
- Burman, U.; Saini, M.; Kumar, P. Effect of zinc oxide nanoparticles on growth and antioxidant system of chickpea seedlings. Toxicol. Environ. Chem. 2013, 95, 605–615. [Google Scholar] [CrossRef]
- Sharma, N.; Kumar, J.; Thakur, S.; Sharma, S.; Shrivastava, V. Antibacterial study of silver doped zinc oxide nanoparticles against Staphylococcus aureus and Bacillus subtilis. Drug Invent. Today 2013, 30, 583–609. [Google Scholar] [CrossRef]
- Hegazi, H.A. Removal of heavy metals from wastewater using agricultural and industrial wastes as adsorbents. HBRC J. 2013, 9, 272–286. [Google Scholar] [CrossRef]
- Hoseinzadeh, E.; Rezaee, A.; Khorramabadi, G.S.; Azizi, S.; Yousefzadeh, A. Evaluation of photocatalytic convertion of hexavalent chromium (Cr(VI)) to trivalent chromium (Cr(III)) in the presence of zinc oxide nanoparticle from aqueous solution. J. Maz. Univ. Med. Sci. 2014, 1, 115–132. [Google Scholar]
- Amara, U.; Shad, S.; Ilyas, N.; Manaf, A.; Raja, N.I. In vitro germination and biochemical profiling of Brassica napus in response to biosynthesised zinc nanoparticles. IET Nanobiotechnol. 2018, 13, 46–51. [Google Scholar]
- Khattak, M.R.; Shah, G.; Naeem, R.; Fayyaz, M.; Rehman, M.; Anees, M.; Rha, E.S.; Jamil, M. Assessment of heavy metal tolerance and reduction potential of bacillus sp. isolated from the soils contaminated with industrial effluents. Fresenius Environ. Bull. 2021, 30, 4391–4401. [Google Scholar]
- Radulescu, C.; Stihi, C.; Ionita, I.; Dulama, I.D.; Chilian, A.; Necula, C.; Chelarescu, E.D. Determination of heavy metal levels in water and therapeutic mud by atomic absorption spectrometry. Rom. J. Phys. 2014, 59, 1057–1059. [Google Scholar]
- Bestawy, E.; Helmy, E.S.; Hussien, H.; Fahmy, M.; Amer, R. Bioremediation of heavy metal-contaminated effluent using optimized activated sludge bacteria. Appl. Water Sci. 2013, 3, 181–192. [Google Scholar] [CrossRef]
- Salam, O.E.A.; Reiad, N.A.; ElShafei, M.M. A study of the removal characteristics of heavymetals from wastewater by low-cost adsorbents. J. Adv. Res. 2011, 2, 297–303. [Google Scholar] [CrossRef]
- Kumar, K.Y.; Muralidhara, H.B.; Nayaka, Y.A.; Balasubramanyam, J.; Hanumanthappa, H. Hierarchically assembled mesoporous ZnO nanorods for the removal of lead and cadmium by using differential pulse anodic stripping voltammetric method. Powder Technol. 2013, 239, 208–216. [Google Scholar] [CrossRef]
- Retka, J.; Maksymowicz, A.; Karmasz, D. Determination of Cu, Ni, Zn, Pb, Cd by ICP-MS and Hg by AAS in Plant Samples; International Atomic Energy Agency (IAEA): Vienna, Austria, 2010. [Google Scholar]
- Palmiter, R.D. Protection against zinc toxicity by metallothionein and zinc transporter 1. Proc. Natl. Acad. Sci. USA 2004, 101, 4918–4923. [Google Scholar] [CrossRef] [PubMed]
- Tsugama, D.; Liu, S.; Takano, T. A rapid chemical method for lysing Arabidopsis cells for protein analysis. Plant Methods 2011, 7, 11–22. [Google Scholar] [CrossRef]
- Laemmli, U.K. Cleavage of structural proteins during the assembly of the head of bacteriophage T4. Nature 1970, 227, 680–685. [Google Scholar] [CrossRef]
- Antonkiewicz, J.; Jasiewicz, C.; Koncewicz-Baran, M.; Sendor, R. Nickel bioaccumulation by the chosen plant species. Acta Physiol. Plant. 2016, 3, 38–41. [Google Scholar] [CrossRef]
- Wu, L.; Li, Z.; Han, C.; Liu, L.; Teng, Y.; Sun, X.; Christie, P. Phytoremediation of soil contaminated with cadmium, copper and polychlorinated biphenyls. Int. J. Phytoremediat. 2012, 14, 570–584. [Google Scholar] [CrossRef]
- Verma, S.; Dubey, R.S. Lead toxicity induces lipid peroxidation and alters the activities of antioxidant enzymes in growing rice plants. Plant Sci. 2003, 6, 645–655. [Google Scholar] [CrossRef]
- Nagajyoti, P.C.; Lee, K.D.; Sreekanth, T.V.M. Heavy metals, occurrence and toxicity for plants: A review. Environ. Chem. Lett. 2010, 8, 199–216. [Google Scholar] [CrossRef]
- Karn, B.; Kuiken, T.; Otto, M. Nanotechnology and in situ remediation: A review of the benefits and potential risks. Environ. Health Perspect. 2009, 117, 1813–1819. [Google Scholar] [CrossRef]
- Xie, Y.; He, Y.; Irwin, P.L.; Jin, T.; Shi, X. Antibacterial activity and mechanism of action of zinc oxide nanoparticles against Campylobacter jejuni. Appl. Environ. Microbiol. 2011, 77, 2325–2331. [Google Scholar] [CrossRef]
- Wang, D.; Guo, Y.; Wu, C.; Yang, G.; Li, Y.; Zheng, C. Genome-Wide analysis of CCCH zinc finger family in Arabidopsis and rice. BMC Genom. 2008, 99, 44. [Google Scholar] [CrossRef]
- Mahdavi, S.; Jalali, M.; Afkhami, A. Removal of heavy metals from aqueous solutions using Fe3 O4, ZnO, and CuO nanoparticles. In Nanotechnology for Sustainable Development; Springer: Cham, Switzerland, 2014; pp. 171–180. [Google Scholar]
- Munzuroglu, O.; Geckil, H. Effects of metals on seed germination, root elongation, and coleoptile and hypocotyl growth in Triticum aestivum and Cucumis sativus. Arch. Environ. Contam. Toxicol. 2002, 43, 202–213. [Google Scholar] [CrossRef]
- Ashraf, M.; Foolad, M.R. Roles of glycine betaine and proline in improving plant abiotic stress resistance. Environ. Exp. Bot. 2007, 59, 206–216. [Google Scholar] [CrossRef]
- Wątły, J.; Potocki, S.; Rowińska-Żyrek, M. Zinc homeostasis at the bacteria/host interface—From coordination chemistry to nutritional immunity. Chem. Eur. J. 2016, 22, 15992–16010. [Google Scholar] [CrossRef]
- Pandey, N.; Pathak, G.C.; Pandey, D.K.; Pandey, R. Heavy metals, Co, Ni, Cu, Zn and Cd, produce oxidative damage and evoke differential antioxidant responses in spinach. Braz. J. Plant. Physiol. 2009, 21, 103–111. [Google Scholar] [CrossRef]
- Abraham, K.; Sridevi, R.; Suresh, B.; Damodharam, T. Effect of heavy metals (Cd, Pb, Cu) on seed germination of Arachis hypogeae L. Asian J. Plant Sci. Res. 2013, 3, 10–12. [Google Scholar]
- Hooda, V. Phytoremediation of toxic metals from soil and wastewater. Environ. Biol. 2007, 28, 367–376. [Google Scholar]
- Sharifan, H.; Ma, X.; Moore, J.M.C.; Habib, M.R.; Evans, C. Zinc oxide nanoparticles alleviated the bioavailability of cadmium and lead and changed the uptake of iron in hydroponically grown lettuce (Lactuca sativa L. var. Longifolia). ACS Sustain. Chem. Eng. 2019, 7, 16401–16409. [Google Scholar] [CrossRef]
- Ahn, Y.O.; Kim, S.H.; Lee, J.; Ran Kim, H.; Lee, H.S.; Kwak, S.S. Three Brassica rapa metallothionein genes are differentially regulated under various stress conditions. Mol. Biol. Rep. 2012, 39, 2059–2070. [Google Scholar] [CrossRef]
- Khati, W.; Ouali, K.; Mouneyrac, C.; Banaoui, A. Metallothioneins in aquatic invertebrates: Their role in metal detoxification and their use in biomonitoring. Energy Procedia 2012, 18, 784–794. [Google Scholar] [CrossRef]
- Jaskulak, M.; Rorat, A.; Grobelak, A.; Chaabene, Z.; Kacprzak, M.; Vandenbulcke, F. Bioaccumulation, antioxidative response, and metallothionein expression in Lupinus luteus L. exposed to heavy metals and silver nanoparticles. Environ. Sci. Pollut. 2019, 26, 16040–16052. [Google Scholar] [CrossRef]
- Amin, N.U.; Hussain, A.; Alamzeb, S.; Begum, S. Accumulation of heavy metals in edible parts of vegetables irrigated with wastewater and their daily intake to adults and children, District Mardan, Pakistan. Food Chem. 2013, 136, 1515–1523. [Google Scholar] [CrossRef]
- Dubchak, S.; Ogar, A.; Mietelski, J.W.; Turnau, K. Influence of silver and titanium nanoparticles on arbuscular mycorrhiza colonization and accumulation of radiocaesium in Helianthus annuus. Span. J. Agric. Res. 2010, 8, 103–108. [Google Scholar] [CrossRef]








| Treatments | Lead (0.24 mg/L) | Cadmium (1.40 mg/L) | Chromium (1.26 mg/L)) | Copper (2.02 mg/L) | ||||
|---|---|---|---|---|---|---|---|---|
| ZnO NPs | B. cereus | L. macroides | B. cereus | L. macroides | B. cereus | L. macroides | B. cereus | L. macroides |
| 0 mg/L | 0.20 + 0.1 ab | 0.21 + 0.3 ef | 1.33 + 0.2 ab | 1.35 + 0.3 bc | 1.23 + 0.2 cd | 1.19 + 0.3 fg | 1.18 + 0.21 bc | 1.17 + 0.21 c |
| 5 mg/L | 0.11 + 0.2 bc | 0.14 + 0.4 fg | 1.22 + 0.3 cd | 1.25 + 0.1 cd | 1.11 + 0.3 fg | 1.10 + 0.4 ef | 1.11 + 0.21 cd | 1.12 + 0.21 cde |
| 10 mg/L | 0.12 + 0.3 c | 0.15 + 0.2 gh | 1.25 + 0.1 cde | 1.26 + 0.2 cd | 1.15 + 0.4 efg | 1.16 + 0.3 gh | 1.08 + 0.21 cde | 1.09 + 0.21 cd |
| 15 mg/L | 0.15 + 0.1 cd | 0.18 + 0.1 efg | 1.27 + 0.2 cd | 1.28 + 0.3 c | 1.17 + 0.5 bcd | 1.18 + 0.2 fg | 1.12 + 0.21 bc | 1.13 + 0.21 bcd |
| 20 mg/L | 0.18 + 0.2 bc | 0.19 + 0.2 fg | 1.29 + 0.3 ab | 1.30 + 0.4 bc | 1.21 + 0.3 bc | 1.22 + 0.1 c | 1.15 + 0.21 a | 1.16 + 0.21 abc |
| 25 mg/L | 0.18 + 0.1 abc | 0.20 + 0.3 cd | 1.29 + 0.4 ac | 1.32 + 0.2 ab | 1.22 + 0.3 ab | 1.23 + 0.2 cd | 1.19 + 0.21 ab | 1.21 + 0.21 ab |
| Treatments | Lead (1.738 mg/L) | Cadmium (0.298 mg/L) | Chromium (0.187 mg/L) | Copper (0.581 mg/L) | ||||||||
|---|---|---|---|---|---|---|---|---|---|---|---|---|
| Water Analysis (mg/L) | Plant Uptake (mg/L) | Remediation (%) | Water Analysis (mg/L) | Plant Uptake (mg/L) | Remediation (%) | Water Analysis (mg/L) | Plant Uptake (mg/L) | Remediation (%) | Water Analysis (mg/L) | Plant Uptake (mg/L) | Remediation (%) | |
| Polluted water | 1.645 | 0.234 | 9.3 | 0.296 | 0.028 | 2.84 | 0.161 | 0.025 | 2.59 | 0.498 | 0.288 | 8.3 |
| Bacillus cereus (B.C.) | 1.623 | 0.184 | 11.5 | 0.219 | 0.0218 | 7.9 | 0.154 | 0.022 | 3.3 | 0.465 | 0.263 | 11.6 |
| Lysinibacillus macroides (L.M.) | 1.633 | 0.201 | 10.5 | 0.221 | 0.0236 | 7.7 | 0.156 | 0.025 | 3.1 | 0.476 | 0.255 | 10.5 |
| 5 mg/L ZnO NPs | 1.564 | 0.12 | 17.4 | 0.165 | 0.0165 | 13.3 | 0.112 | 0.016 | 7.5 | 0.421 | 0.228 | 16 |
| 10 mg/L ZnO NPs | 1.587 | 0.142 | 15.1 | 0.154 | 0.0188 | 14.4 | 0.123 | 0.019 | 6.4 | 0.425 | 0.25 | 15.6 |
| (5 + B.C.) | 1.32 | 0.046 | 41.8 | 0.09 | 0.0066 | 20.8 | 0.057 | 0.005 | 13 | 0.321 | 0.167 | 26 |
| (5 + L.M.) | 1.35 | 0.049 | 38.8 | 0.12 | 0.0054 | 17.8 | 0.059 | 0.0027 | 12.8 | 0.356 | 0.17 | 22.5 |
| (10 + B.C.) | 1.38 | 0.064 | 35.8 | 0.112 | 0.0128 | 18.6 | 0.078 | 0.012 | 10.9 | 0.376 | 0.189 | 20.5 |
| (10 + L.M.) | 1.39 | 0.068 | 34.8 | 0.125 | 0.0131 | 17.3 | 0.089 | 0.01 | 9.8 | 0.399 | 0.192 | 18.2 |
Publisher’s Note: MDPI stays neutral with regard to jurisdictional claims in published maps and institutional affiliations. |
© 2021 by the authors. Licensee MDPI, Basel, Switzerland. This article is an open access article distributed under the terms and conditions of the Creative Commons Attribution (CC BY) license (https://creativecommons.org/licenses/by/4.0/).
Share and Cite
Akhtar, N.; Khan, S.; Rehman, S.U.; Rehman, Z.U.; Khatoon, A.; Rha, E.S.; Jamil, M. Synergistic Effects of Zinc Oxide Nanoparticles and Bacteria Reduce Heavy Metals Toxicity in Rice (Oryza sativa L.) Plant. Toxics 2021, 9, 113. https://doi.org/10.3390/toxics9050113
Akhtar N, Khan S, Rehman SU, Rehman ZU, Khatoon A, Rha ES, Jamil M. Synergistic Effects of Zinc Oxide Nanoparticles and Bacteria Reduce Heavy Metals Toxicity in Rice (Oryza sativa L.) Plant. Toxics. 2021; 9(5):113. https://doi.org/10.3390/toxics9050113
Chicago/Turabian StyleAkhtar, Nazneen, Sehresh Khan, Shafiq Ur Rehman, Zia Ur Rehman, Amana Khatoon, Eui Shik Rha, and Muhammad Jamil. 2021. "Synergistic Effects of Zinc Oxide Nanoparticles and Bacteria Reduce Heavy Metals Toxicity in Rice (Oryza sativa L.) Plant" Toxics 9, no. 5: 113. https://doi.org/10.3390/toxics9050113
APA StyleAkhtar, N., Khan, S., Rehman, S. U., Rehman, Z. U., Khatoon, A., Rha, E. S., & Jamil, M. (2021). Synergistic Effects of Zinc Oxide Nanoparticles and Bacteria Reduce Heavy Metals Toxicity in Rice (Oryza sativa L.) Plant. Toxics, 9(5), 113. https://doi.org/10.3390/toxics9050113

