Impacts of Environmental Concentrations of Nanoplastics on Zebrafish Neurobehavior and Reproductive Toxicity
Abstract
1. Introduction
2. Materials and Methods
2.1. Experimental Animals and Reagents
2.1.1. Experimental Animals
2.1.2. Reagents
2.2. Zebrafish Husbandry and Experimental Design
2.2.1. Behavioral Tracking and Quantification
2.2.2. Histopathology and Ultrastructure of Brain and Gonadal Tissues
2.2.3. Assessment of Oxidative Stress Parameters and Biochemical Indices
2.2.4. RT-qPCR
2.3. Statistical Analysis
3. Results
3.1. Neurobehavioral Changes in Zebrafish Induced by PS-NPs’ Exposure
3.1.1. Increased Bottom-Dwelling Behavior in Zebrafish
3.1.2. Decreased Average Speed and Exploratory Behavior
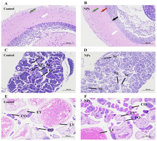
3.2. PS-NPs Induced Changes in Zebrafish Brain and Gonadal Tissues
3.3. NPs-Induced Changes in Oxidative Stress and Sex Hormone Levels in Zebrafish
3.4. NPs-Induced Changes in Reproductive Gene Expression in Zebrafish
4. Discussion

5. Conclusions
Supplementary Materials
Author Contributions
Funding
Institutional Review Board Statement
Informed Consent Statement
Data Availability Statement
Acknowledgments
Conflicts of Interest
Abbreviations
| PS | Polystyrene |
| NPs | Nanoplastics |
| PS-NPs | Nano-polystyrenes |
| PBA | Bisphenol A |
| MNPs | Microplastics and nanoplastics/Micro- and nanoplastics |
| ROS | Reactive oxygen species |
| BPG | Brain–Pituitary–Gonadal |
| NTT | The novel tank test |
| OFT | The open field test |
| HE | Hematoxylin and eosin |
| CAT | Catalase |
| MDA | Malondialdehyde |
| VTG | Vitellogenin |
| TNF-α | Tumor necrosis factor-alpha |
| AChE | Acetylcholinesterase |
| T | Testosterone |
| E2 | Estradiol |
| cDNA | Complementary DNA |
| Sg | Spermatogonia |
| Sc | Spermatocytes |
| St | Spermatids |
| Sz | Spermatozoa |
| POs | Perinucleolar oocytes |
| COs | Cortical alveolar oocytes |
| EVs | Early vitellogenic oocytes |
| LVs | Late vitellogenic oocytes |
| ARs | Androgen receptors |
| LH | Luteinizing hormone |
| ERα | Estrogen receptor α |
| FSH | Follicle-stimulating hormone receptor |
References
- dos Santos Silva, J.; Cidade, M.J.A.; Panero, F.d.S.; Ribeiro, L.B.; Campos da Rocha, F.O. Microplastic Pollution in the Amazon Basin: Current Scenario, Advances and Perspectives. Sci. Total Environ. 2024, 946, 174150. [Google Scholar] [CrossRef] [PubMed]
- Haward, M. Plastic Pollution of the World’s Seas and Oceans as a Contemporary Challenge in Ocean Governance. Nat. Commun. 2018, 9, 667. [Google Scholar] [CrossRef]
- Dissanayake, P.D.; Kim, S.; Sarkar, B.; Oleszczuk, P.; Sang, M.K.; Haque, M.N.; Ahn, J.H.; Bank, M.S.; Ok, Y.S. Effects of Microplastics on the Terrestrial Environment: A Critical Review. Environ. Res. 2022, 209, 112734. [Google Scholar] [CrossRef] [PubMed]
- Bradney, L.; Wijesekara, H.; Palansooriya, K.N.; Obadamudalige, N.; Bolan, N.S.; Ok, Y.S.; Rinklebe, J.; Kim, K.-H.; Kirkham, M.B. Particulate Plastics as a Vector for Toxic Trace-Element Uptake by Aquatic and Terrestrial Organisms and Human Health Risk. Environ. Int. 2019, 131, 104937. [Google Scholar] [CrossRef]
- Bermúdez, J.R.; Swarzenski, P.W. A Microplastic Size Classification Scheme Aligned with Universal Plankton Survey Methods. MethodsX 2021, 8, 101516. [Google Scholar] [CrossRef] [PubMed]
- Cao, F.; Zhu, L.; Li, H.; Yu, S.; Wang, C.; Qiu, L. Reproductive Toxicity of Azoxystrobin to Adult Zebrafish (Danio rerio). Environ. Pollut. 2016, 219, 1109–1121. [Google Scholar] [CrossRef] [PubMed]
- Chen, J.; Liang, Q.; Zheng, Y.; Lei, Y.; Gan, X.; Mei, H.; Bai, C.; Wang, H.; Ju, J.; Dong, Q.; et al. Polystyrene Nanoplastics Induced Size-Dependent Developmental and Neurobehavioral Toxicities in Embryonic and Juvenile Zebrafish. Aquat. Toxicol. 2024, 267, 106842. [Google Scholar] [CrossRef] [PubMed]
- Yi, J.; Ma, Y.; Ma, J.; Yu, H.; Zhang, K.; Jin, L.; Yang, Q.; Sun, D.; Wu, D. Rapid Assessment of Ocular Toxicity from Environmental Contaminants Based on Visually Mediated Zebrafish Behavior Studies. Toxics 2023, 11, 706. [Google Scholar] [CrossRef] [PubMed]
- Ziajahromi, S.; Kumar, A.; Neale, P.A.; Leusch, F.D.L. Impact of Microplastic Beads and Fibers on Waterflea (Ceriodaphnia dubia) Survival, Growth, and Reproduction: Implications of Single and Mixture Exposures. Environ. Sci. Technol. 2017, 51, 13397–13406. [Google Scholar] [CrossRef] [PubMed]
- Li, J.; Liu, J.; Wang, X.; Zhang, T.; Wang, D.; Shan, E.; Teng, J.; Zhao, J.; Wang, Q. Vertical Transfer of Microplastics in Nearshore Water by Cultured Filter-Feeding Oysters. J. Hazard. Mater. 2024, 475, 134769. [Google Scholar] [CrossRef]
- Wu, B.; Yu, H.; Yi, J.; Lei, P.; He, J.; Ruan, J.; Xu, P.; Tao, R.; Jin, L.; Wu, W.; et al. Behavioral Studies of Zebrafish Reveal a New Perspective on the Reproductive Toxicity of Micro- and Nanoplastics. Toxics 2024, 12, 178. [Google Scholar] [CrossRef]
- Howe, K.; Clark, M.D.; Torroja, C.F.; Torrance, J.; Berthelot, C.; Muffato, M.; Collins, J.E.; Humphray, S.; McLaren, K.; Matthews, L.; et al. The Zebrafish Reference Genome Sequence and Its Relationship to the Human Genome. Nature 2013, 496, 498–503. [Google Scholar] [CrossRef] [PubMed]
- Wang, L.; Liu, F.; Fang, Y.; Ma, J.; Wang, J.; Qu, L.; Yang, Q.; Wu, W.; Jin, L.; Sun, D. Advances in Zebrafish as a Comprehensive Model of Mental Disorders. Depress. Anxiety 2023, 2023, e6663141. [Google Scholar] [CrossRef]
- Tsang, B.; Zahid, H.; Ansari, R.; Lee, R.C.-Y.; Partap, A.; Gerlai, R. Breeding Zebrafish: A Review of Different Methods and a Discussion on Standardization. Zebrafish 2017, 14, 561–573. [Google Scholar] [CrossRef]
- Martínez-Álvarez, I.; Le Menach, K.; Cajaraville, M.P.; Budzinski, H.; Orbea, A. Effects of Polystyrene Nano- and Microplastics and of Microplastics with Sorbed Polycyclic Aromatic Hydrocarbons in Adult Zebrafish. Sci. Total Environ. 2024, 927, 172380. [Google Scholar] [CrossRef]
- Shi, C.; Liu, Z.; Yu, B.; Zhang, Y.; Yang, H.; Han, Y.; Wang, B.; Liu, Z.; Zhang, H. Emergence of Nanoplastics in the Aquatic Environment and Possible Impacts on Aquatic Organisms. Sci. Total Environ. 2024, 906, 167404. [Google Scholar] [CrossRef] [PubMed]
- Alix, M.; Kjesbu, O.S.; Anderson, K.C. From Gametogenesis to Spawning: How Climate-Driven Warming Affects Teleost Reproductive Biology. J. Fish Biol. 2020, 97, 607–632. [Google Scholar] [CrossRef]
- Servili, A.; Canario, A.V.M.; Mouchel, O.; Muñoz-Cueto, J.A. Climate Change Impacts on Fish Reproduction Are Mediated at Multiple Levels of the Brain-Pituitary-Gonad Axis. Gen. Comp. Endocrinol. 2020, 291, 113439. [Google Scholar] [CrossRef]
- Zohar, Y. Fish Reproductive Biology—Reflecting on Five Decades of Fundamental and Translational Research. Gen. Comp. Endocrinol. 2021, 300, 113544. [Google Scholar] [CrossRef] [PubMed]
- Borella, M.I.; Chehade, C.; Costa, F.G.; de Jesus, L.W.O.; Cassel, M.; Batlouni, S.R. Chapter 14—The Brain-Pituitary-Gonad Axis and the Gametogenesis. In Biology and Physiology of Freshwater Neotropical Fish; Baldisserotto, B., Urbinati, E.C., Cyrino, J.E.P., Eds.; Academic Press: Cambridge, MA, USA, 2020; pp. 315–341. ISBN 978-0-12-815872-2. [Google Scholar]
- Lu, X.; Yu, R.M.K.; Murphy, M.B.; Lau, K.; Wu, R.S.S. Hypoxia Disrupts Gene Modulation along the Brain-Pituitary-Gonad (BPG)-Liver Axis. Ecotoxicol. Environ. Saf. 2014, 102, 70–78. [Google Scholar] [CrossRef]
- Zhou, W.; Tong, D.; Tian, D.; Yu, Y.; Huang, L.; Zhang, W.; Yu, Y.; Lu, L.; Zhang, X.; Pan, W.; et al. Exposure to Polystyrene Nanoplastics Led to Learning and Memory Deficits in Zebrafish by Inducing Oxidative Damage and Aggravating Brain Aging. Adv. Health Mater. 2023, 12, e2301799. [Google Scholar] [CrossRef] [PubMed]
- Westerfield, M. The Zebrafish Book: A Guide for the Laboratory Use of Zebrafish (Danio rerio); University of Oregon Press: Eugene, OR, USA, 1995. [Google Scholar]
- Sarasamma, S.; Audira, G.; Siregar, P.; Malhotra, N.; Lai, Y.-H.; Liang, S.-T.; Chen, J.-R.; Chen, K.H.-C.; Hsiao, C.-D. Nanoplastics Cause Neurobehavioral Impairments, Reproductive and Oxidative Damages, and Biomarker Responses in Zebrafish: Throwing up Alarms of Wide Spread Health Risk of Exposure. Int. J. Mol. Sci. 2020, 21, 1410. [Google Scholar] [CrossRef] [PubMed]
- Qiang, L.; Cheng, J. Exposure to Polystyrene Microplastics Impairs Gonads of Zebrafish (Danio rerio). Chemosphere 2021, 263, 128161. [Google Scholar] [CrossRef]
- Chatterjee, A.; Maity, S.; Banerjee, S.; Dutta, S.; Adhikari, M.; Guchhait, R.; Biswas, C.; De, S.; Pramanick, K. Toxicological impacts of nanopolystyrene on zebrafish oocyte with insight into the mechanism of action Sci. Total Environ. 2022, 830, 154796. [Google Scholar] [CrossRef]
- Zhang, Y.; Yang, Y.; Tao, Y.; Guo, X.; Cui, Y.; Li, Z. Phthalates (PAEs) and Reproductive Toxicity: Hypothalamic-Pituitary-Gonadal (HPG) Axis Aspects. J. Hazard. Mater. 2023, 459, 132182. [Google Scholar] [CrossRef] [PubMed]
- Yan, Z.; Zhao, H.; Zhu, P.; Wang, Y.; Hou, J.; Lu, G.; He, C. Polystyrene Microplastics Alter the Trophic Transfer and Biotoxicity of Fluoxetine in an Aquatic Food Chain. J. Hazard. Mater. 2024, 470, 134179. [Google Scholar] [CrossRef]
- Lin, X.; Wang, Y.; Yang, X.; Watson, P.; Yang, F.; Liu, H. Endocrine Disrupting Effect and Reproductive Toxicity of the Separate Exposure and Co-Exposure of Nano-Polystyrene and Diethylstilbestrol to Zebrafish. Sci. Total Environ. 2023, 865, 161100. [Google Scholar] [CrossRef]
- Shi, X.; Xu, T.; Gao, M.; Bi, Y.; Wang, J.; Yin, Y.; Xu, S. Combined Exposure of Emamectin Benzoate and Microplastics Induces Tight Junction Disorder, Immune Disorder and Inflammation in Carp Midgut via Lysosome/ROS/Ferroptosis Pathway. Water Res. 2024, 257, 121660. [Google Scholar] [CrossRef] [PubMed]
- Lei, P.; Zhang, W.; Ma, J.; Xia, Y.; Yu, H.; Du, J.; Fang, Y.; Wang, L.; Zhang, K.; Jin, L.; et al. Advances in the Utilization of Zebrafish for Assessing and Understanding the Mechanisms of Nano-/Microparticles Toxicity in Water. Toxics 2023, 11, 380. [Google Scholar] [CrossRef] [PubMed]
- Gou, X.; Fu, Y.; Li, J.; Xiang, J.; Yang, M.; Zhang, Y. Impact of Nanoplastics on Alzheimer’s Disease: Enhanced Amyloid-β Peptide Aggregation and Augmented Neurotoxicity. J. Hazard. Mater. 2024, 465, 133518. [Google Scholar] [CrossRef]
- Wang, Y.; Li, Y.; Chen, Q.; Liu, Z. Long-Term Exposure of Xenoestrogens with Environmental Relevant Concentrations Disrupted Spermatogenesis of Zebrafish through Altering Sex Hormone Balance, Stimulating Germ Cell Proliferation, Meiosis and Enhancing Apoptosis. Environ. Pollut. 2019, 244, 486–494. [Google Scholar] [CrossRef] [PubMed]
- Wang, Y.; Li, Y.; Chen, Q.; Liu, Z. Diethylstilbestrol Impaired Oogenesis of Yellow Catfish Juveniles through Disrupting Hypothalamic-Pituitary-Gonadal Axis and Germ Cell Development. J. Appl. Toxicol. 2018, 38, 308–317. [Google Scholar] [CrossRef] [PubMed]
- Prüst, M.; Meijer, J.; Westerink, R.H.S. The Plastic Brain: Neurotoxicity of Micro- and Nanoplastics. Part. Fibre Toxicol. 2020, 17, 24. [Google Scholar] [CrossRef] [PubMed]
- Gupta, P.; Mahapatra, A.; Suman, A.; Ray, S.S.; Malafaia, G.; Singh, R.K. Polystyrene Microplastics Disrupt Female Reproductive Health and Fertility via Sirt1 Modulation in Zebrafish (Danio rerio). J. Hazard. Mater. 2023, 460, 132359. [Google Scholar] [CrossRef]
- Larsen, M.G.; Baatrup, E. Functional Behavior and Reproduction in Androgenic Sex Reversed Zebrafish (Danio rerio). Environ. Toxicol. Chem. 2010, 29, 1828–1833. [Google Scholar] [CrossRef]
- Ullah, S.; Ahmad, S.; Guo, X.; Ullah, S.; Ullah, S.; Nabi, G.; Wanghe, K. A Review of the Endocrine Disrupting Effects of Micro and Nano Plastic and Their Associated Chemicals in Mammals. Front. Endocrinol. 2023, 13, 1084236. [Google Scholar] [CrossRef]
- Liu, S.; Liu, X.; Guo, J.; Yang, R.; Wang, H.; Sun, Y.; Chen, B.; Dong, R. The Association between Microplastics and Microbiota in Placentas and Meconium: The First Evidence in Humans. Environ. Sci Technol. 2023, 57, 17774–17785. [Google Scholar] [CrossRef] [PubMed]
- Liu, S.; Guo, J.; Liu, X.; Yang, R.; Wang, H.; Sun, Y.; Chen, B.; Dong, R. Detection of Various Microplastics in Placentas, Meconium, Infant Feces, Breastmilk and Infant Formula: A Pilot Prospective Study. Sci. Total Environ. 2023, 854, 158699. [Google Scholar] [CrossRef]
- Paul, I.; Mondal, P.; Haldar, D.; Halder, G. Beyond the Cradle—Amidst Microplastics and the Ongoing Peril during Pregnancy and Neonatal Stages: A Holistic Review. J. Hazard. Mater. 2024, 469, 133963. [Google Scholar] [CrossRef] [PubMed]
- Lomonaco, T.; Manco, E.; Corti, A.; La Nasa, J.; Ghimenti, S.; Biagini, D.; Di Francesco, F.; Modugno, F.; Ceccarini, A.; Fuoco, R.; et al. Release of Harmful Volatile Organic Compounds (VOCs) from Photo-Degraded Plastic Debris: A Neglected Source of Environmental Pollution. J. Hazard. Mater. 2020, 394, 122596. [Google Scholar] [CrossRef]







| Gene | Forward Sequence | Reverse Sequence | GenBank No. |
|---|---|---|---|
| vtg1 | TTTGGTGTGAGAACTGGAGG | TGCTAGTGGTTTATCGGTTGG | NM_001044897 |
| vtg2 | TTGTGGAAAGGCTGATGGAG | CAGATTCAAGTTTCATGCGGC | NM_001044913 |
| erα | GTGGGTTTGGTGAGATGTTTTG | CAGTCATTTTCCCCAGTTTTCC | NM_152959 |
| lhb | ATACCAACAGAACTACGAAAATTGAC | ATACCAACAGAACTACGAAAATTGAC | NM_205622 |
| fshr | TGCGTTTCCCATCTTCAGTC | TGCGTTTCCCATCTTCAGTC | NM_001001812 |
| cyp19a | CTACTTCAGATTGGACTGGCTG | TGGTCAAGTTTCTCTGCGTG | NM_131154 |
| cyp19b | GACTACATTGATGGCTACCGG | ATGGCTGGAAGTAACGACTG | NM_131642 |
| cyp17 | CCTGACATTCTTATCCTACCCATC | TCGCCCTAACCTATCTAATCCC | NM_212806 |
| ar | CCAAAGGTCGAAAAGGTTGTG | CTGAGCGATGCCTATAACCTG | XM_005171775 |
Disclaimer/Publisher’s Note: The statements, opinions and data contained in all publications are solely those of the individual author(s) and contributor(s) and not of MDPI and/or the editor(s). MDPI and/or the editor(s) disclaim responsibility for any injury to people or property resulting from any ideas, methods, instructions or products referred to in the content. |
© 2024 by the authors. Licensee MDPI, Basel, Switzerland. This article is an open access article distributed under the terms and conditions of the Creative Commons Attribution (CC BY) license (https://creativecommons.org/licenses/by/4.0/).
Share and Cite
Sun, Z.; Wu, B.; Yi, J.; Yu, H.; He, J.; Teng, F.; Xi, T.; Zhao, J.; Ruan, J.; Xu, P.; et al. Impacts of Environmental Concentrations of Nanoplastics on Zebrafish Neurobehavior and Reproductive Toxicity. Toxics 2024, 12, 617. https://doi.org/10.3390/toxics12080617
Sun Z, Wu B, Yi J, Yu H, He J, Teng F, Xi T, Zhao J, Ruan J, Xu P, et al. Impacts of Environmental Concentrations of Nanoplastics on Zebrafish Neurobehavior and Reproductive Toxicity. Toxics. 2024; 12(8):617. https://doi.org/10.3390/toxics12080617
Chicago/Turabian StyleSun, Ziqing, Baihui Wu, Jia Yi, Haiyang Yu, Jiaxuan He, Fei Teng, Tong Xi, Jinlong Zhao, Jing Ruan, Peiye Xu, and et al. 2024. "Impacts of Environmental Concentrations of Nanoplastics on Zebrafish Neurobehavior and Reproductive Toxicity" Toxics 12, no. 8: 617. https://doi.org/10.3390/toxics12080617
APA StyleSun, Z., Wu, B., Yi, J., Yu, H., He, J., Teng, F., Xi, T., Zhao, J., Ruan, J., Xu, P., Tao, R., Jia, L., & Ji, H. (2024). Impacts of Environmental Concentrations of Nanoplastics on Zebrafish Neurobehavior and Reproductive Toxicity. Toxics, 12(8), 617. https://doi.org/10.3390/toxics12080617

