An In Vitro Human Skin Test for Predicting Skin Sensitization and Adverse Immune Reactions to Biologics
Abstract
1. Introduction
2. Materials and Methods
2.1. Healthy Volunteers
2.2. Antibodies
2.3. Skin Explant Test
2.4. [3H]-Thymidine T Cell Proliferation Measurement
2.5. Analysis of Cytokine Concentration in Cell Culture Supernatants
2.6. Statistical Analysis
- (1)
- Skin Explant Data
- (2)
- T Cell Proliferation Responses
- (3)
- Cytokine Levels in Cell Culture Supernatants
3. Results
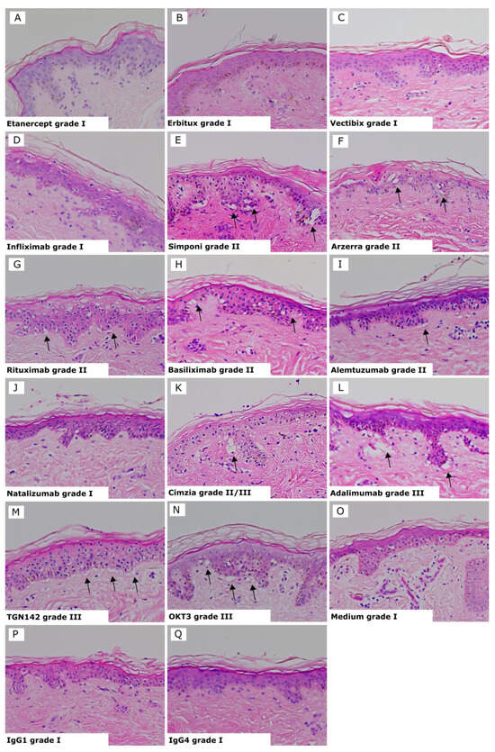
3.1. Skin Explant Test Demonstrates a Positive Correlation with Clinical Responses in 14/16 Therapeutic Antibodies
3.2. T Cell and IGNɣ Responses Correlated with Responses Induced by Therapeutic Biologics and Histopathological Damage Observed in Skin Explants
3.3. Cytokines were Increased in Cell Culture Supernatants from Positive Skin Explant Tests
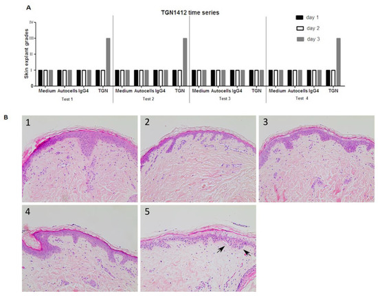
3.4. TGN1412 Showed a Delayed Time Response In Vitro
4. Discussion
5. Conclusions
6. Patents
| Case Code | Applicant | Country | Status | Official Number | Title |
| P131663CH | Alcyomics Limited | Switzerland | Granted | ‘EP2524227 | Skin Explant Assay |
| P131663DE | Alcyomics Limited | Germany | Granted | ‘602011004834 | Skin Explant Assay |
| P131663DK | Alcyomics Limited | Denmark | Granted | ‘EP2524227 | Skin Explant Assay |
| P131663ES | Alcyomics Limited | Spain | Granted | ‘EP2524227 | Skin Explant Assay |
| P131663FR | Alcyomics Limited | France | Granted | ‘EP2524227 | Skin Explant Assay |
| P131663GB1 | Alcyomics Limited | United Kingdom | Granted | ‘EP2524227 | Skin Explant Assay |
| P131663IT | Alcyomics Limited | Italy | Granted | ‘502014902254005 | Skin Explant Assay |
| P131663US | Alcyomics Limited | USA | Granted | ‘9,651,544 | Skin Explant Assay |
| P131663USD1 | Alcyomics Limited | USA | Granted | ‘10,073,084 | Skin Explant Assay |
Author Contributions
Funding
Institutional Review Board Statement
Informed Consent Statement
Data Availability Statement
Acknowledgments
Conflicts of Interest
References
- Kohler, G.; Milstein, C. Continuous cultures of fused cells secreting antibody of predefined specificity. Nature 1975, 256, 495–497. [Google Scholar] [CrossRef]
- Almagro, J.C.; Fransson, J. Humanization of antibodies. Front. Biosci. 2008, 13, 1619–1633. [Google Scholar] [PubMed]
- Lonberg, N. Fully human antibodies from transgenic mouse and phage display platforms. Curr. Opin. Immunol. 2008, 20, 450–459. [Google Scholar] [CrossRef] [PubMed]
- Hansel, T.T.; Kropshofer, H.; Singer, T.; Mitchell, J.A.; George, A.J.T. The safety and side effects of monoclonal antibodies. Nat. Rev. Drug Discov. 2010, 9, 325–338. [Google Scholar] [CrossRef] [PubMed]
- Gell, P.G.H.; Coombs, R.R.A. Clinical Aspects of Immunology, 1st ed.; Blackwell: Oxford, UK, 1963; p. 883. [Google Scholar] [CrossRef]
- Pepys, J. IgE-mediated hypersensitivity. Clin. Sci. 1971, 41, 1P–2P. [Google Scholar] [CrossRef]
- Ring, J. Applied allergology. 12. Allergic blood disorders: Type II cytotoxic reactions. MMW Munch. Med. Wochenschr. 1982, 124, 78–82. [Google Scholar] [PubMed]
- Weston, W.L. Type IV reactions in the skin. Ann. Allergy 1976, 37, 346–352. [Google Scholar]
- Jankowitz, R.; Joyce, J.; Jacobs, S.A. Anaphylaxis after administration of ibritumomab tiuxetan for follicular non-hodgkin lymphoma. Clin. Nucl. Med. 2008, 33, 94–96. [Google Scholar] [CrossRef] [PubMed]
- Chung, C.H.; Mirakhur, B.; Chan, E.; Le, Q.-T.; Berlin, J.; Morse, M.; Murphy, B.A.; Satinover, S.M.; Hosen, J.; Mauro, D.; et al. Cetuximab-induced anaphylaxis and IgE specific for galactose-alpha-1,3-galactose. N. Engl. J. Med. 2008, 358, 1109–1117. [Google Scholar] [CrossRef]
- Bugelski, P.J.; Achuthanandam, R.; Capocasale, R.J.; Treacy, G.; Bouman-Thio, E. Monoclonal antibody-induced cytokine-release syndrome. Expert. Rev. Clin. Immunol. 2009, 5, 499–521. [Google Scholar] [CrossRef]
- Lynch, C.M.; Grewal, I.S. Preclinical safety evaluation of monoclonal antibodies. Handb. Exp. Pharmacol. 2008, 181, 19–44. [Google Scholar] [CrossRef] [PubMed]
- Pound, P.; Ebrahim, S.; Sandercock, P.; Bracken, M.B.; Roberts, I. Where is the evidence that animal research benefits humans? BMJ 2004, 328, 514–517. [Google Scholar] [CrossRef] [PubMed]
- van der Worp, H.B.; Howells, D.W.; Sena, E.S.; Porritt, M.J.; Rewell, S.; O’Collins, V.; Macleod, M.R. Can animal models of disease reliably inform human studies? PLoS Med. 2010, 7, e1000245. [Google Scholar] [CrossRef] [PubMed]
- Dowsing, T.; Kendall, M.J. The Northwick Park tragedy--protecting healthy volunteers in future first-in-man trials. J. Clin. Pharm. Ther. 2007, 32, 203–207. [Google Scholar] [CrossRef] [PubMed]
- Hanke, T. Lessons from TGN1412. Lancet 2006, 368, 1569–1570. [Google Scholar] [CrossRef]
- Ahmed, S.S.; Wang, X.N.; Fielding, M.; Kerry, A.; Dickinson, I.; Munuswamy, R.; Kimber, I.; Dickinson, A.M. An in vitro human skin test for assessing sensitization potential. J. Appl. Toxicol. 2016, 36, 669–684. [Google Scholar] [CrossRef] [PubMed]
- Ahmed, S.S.; Whritenour, J.; Ahmed, M.; Bibby, L.; Darby, L.; Wang, X.; Watson, J.; Dickinson, A. Evaluation of a human in vitro skin test for predicting drug hypersensitivity reactions. Toxicol. Appl. Pharmacol. 2019, 369, 39–48. [Google Scholar] [CrossRef] [PubMed]
- Glucksberg, H.; Storb, R.; Fefer, A.; Buckner, C.D.; Neiman, P.E.; Clift, R.A.; Lerner, K.G.; Thomas, E.D. Clinical manifestations of graft-versus-host disease in human recipients of marrow from HLA-matched sibling donors. Transplantation 1974, 18, 295–304. [Google Scholar] [CrossRef]
- Stebbings, R.; Findlay, L.; Edwards, C.; Eastwood, D.; Bird, C.; North, D.; Mistry, Y.; Dilger, P.; Liefooghe, E.; Cludts, I.; et al. “Cytokine storm” in the phase I trial of monoclonal antibody TGN1412: Better understanding the causes to improve preclinical testing of immunotherapeutics. J. Immunol. 2007, 179, 3325–3331. [Google Scholar] [CrossRef]
- Dickinson, A.M.; Sviland, L.; Carey, P.; Reid, M.M.; Hamilton, P.J.; Pearson, A.J.; Proctor, S.J. Skin explant culture as a model for cutaneous graft-versus-host disease in humans. Bone Marrow Transplant. 1988, 3, 323–329. [Google Scholar]
- Suntharalingam, G.; Perry, M.R.; Ward, S.; Brett, S.J.; Castello-Cortes, A.; Brunner, M.D.; Panoskaltsis, N. Cytokine storm in a phase 1 trial of the anti-CD28 monoclonal antibody TGN1412. N. Engl. J. Med. 2006, 355, 1018–1028. [Google Scholar] [CrossRef] [PubMed]
- Waibler, Z.; Sender, L.Y.; Kamp, C.; Müller-Berghaus, J.; Liedert, B.; Schneider, C.K.; Löwer, J.; Kalinke, U. Toward experimental assessment of receptor occupancy: TGN1412 revisited. J. Allergy Clin. Immunol. 2008, 122, 890–892. [Google Scholar] [CrossRef] [PubMed]
- Brennan, P.J.; Bouza, T.R.; Hsu, F.I.; Sloane, D.E.; Castells, M.C. Hypersensitivity reactions to mAbs: 105 desensitizations in 23 patients, from evaluation to treatment. J. Allergy Clin. Immunol. 2009, 124, 1259–1266. [Google Scholar] [CrossRef]
- O’Neil, B.H.; Allen, R.; Spigel, D.R.; Stinchcombe, T.E.; Moore, D.T.; Berlin, J.D.; Goldberg, R.M. High incidence of cetuximab-related infusion reactions in Tennessee and North Carolina and the association with atopic history. J. Clin. Oncol. 2007, 25, 3644–3648. [Google Scholar] [CrossRef]
- Torres, M.J.; Romano, A.; Mayorga, C.; Carmen, M.; Guzman, A.E.; Reche, M.; Juarez, C.; Blanca, M. Diagnostic evaluation of a large group of patients with immediate allergy to penicillins: The role of skin testing. Allergy 2001, 56, 850–856. [Google Scholar] [CrossRef] [PubMed]
- Torres, M.J.; Mayorga, C.; Cornejo-García, J.A.; Romano, A.; Blanca, M. IgE antibodies to penicillin in skin test negative patients. Allergy 2002, 57, 965. [Google Scholar] [CrossRef] [PubMed]
- Hjortlund, J.; Mortz, C.G.; Skov, P.S.; Bindslev-Jensen, C. Diagnosis of penicillin allergy revisited: The value of case history, skin testing, specific IgE and prolonged challenge. Allergy 2013, 68, 1057–1064. [Google Scholar] [CrossRef]
- van de Putte, L.B.; Atkins, C.; Malaise, M.; Sany, J.; Russell, A.S.; van Riel, P.L.C.M.; Settas, L.; Bijlsma, J.W.; Todesco, S.; Dougados, M.; et al. Efficacy and safety of adalimumab as monotherapy in patients with rheumatoid arthritis for whom previous disease modifying antirheumatic drug treatment has failed. Ann. Rheum. Dis. 2004, 63, 508–516. [Google Scholar] [CrossRef] [PubMed]
- Weinblatt, M.E.; Keystone, E.C.; Furst, D.E.; Moreland, L.W.; Weisman, M.H.; Birbara, C.A.; Teoh, L.A.; Fischkoff, S.A.; Chartash, E.K. Adalimumab, a fully human anti-tumor necrosis factor alpha monoclonal antibody, for the treatment of rheumatoid arthritis in patients taking concomitant methotrexate: The ARMADA trial. Arthritis Rheum. 2003, 48, 35–45. [Google Scholar] [CrossRef]
- Stebbings, R.; Eastwood, D.; Poole, S.; Thorpe, R. After TGN1412: Recent developments in cytokine release assays. J. Immunotoxicol. 2013, 10, 75–82. [Google Scholar] [CrossRef]
- Vidal, J.M.; Kawabata, T.T.; Thorpe, R.; Silva-Lima, B.; Cederbrant, K.; Poole, S.; Mueller-Berghaus, J.; Pallardy, M.; Van der Laan, J.-W. In vitro cytokine release assays for predicting cytokine release syndrome: The current state-of-the-science. Report of a European Medicines Agency Workshop. Cytokine 2010, 51, 213–215. [Google Scholar] [CrossRef]
- Nantasenamat, C.; Isarankura-Na-Ayudhya, C.; Prachayasittikul, V. Advances in computational methods to predict the biological activity of compounds. Expert. Opin. Drug Discov. 2010, 5, 633–654. [Google Scholar] [CrossRef]
- Valerio, L.G., Jr. In silico toxicology for the pharmaceutical sciences. Toxicol. Appl. Pharmacol. 2009, 241, 356–370. [Google Scholar] [CrossRef] [PubMed]
- Koren, E.; De Groot, A.; Jawa, V.; Beck, K.; Boone, T.; Rivera, D.; Li, L.; Mytych, D.; Koscec, M.; Weeraratne, D.; et al. Clinical validation of the “in silico” prediction of immunogenicity of a human recombinant therapeutic protein. Clin. Immunol. 2007, 124, 26–32. [Google Scholar] [CrossRef]
- Bian, H.; Hammer, J. Discovery of promiscuous HLA-II-restricted T cell epitopes with TEPITOPE. Methods 2004, 34, 468–475. [Google Scholar] [CrossRef]
- Mak, I.W.; Evaniew, N.; Ghert, M. Lost in translation: Animal models and clinical trials in cancer treatment. Am. J. Transl. Res. 2014, 6, 114–118. [Google Scholar] [PubMed]
- Bugelski, P.J.; Treacy, G. Predictive power of preclinical studies in animals for the immunogenicity of recombinant therapeutic proteins in humans. Curr. Opin. Mol. Ther. 2004, 6, 10–16. [Google Scholar] [PubMed]
- Baldo, B.A. Immune- and Non-Immune-Mediated Adverse Effects of Monoclonal Antibody Therapy: A Survey of 110 Approved Antibodies. Antibodies 2022, 11, 17. [Google Scholar] [CrossRef]
- Nwikue, G.; Olsson-Brown, A.; Aboheimed, N.; Yip, V.; Jolly, C.; Luchian, A.; Ressel, L.; Sharma, A.; Bergfeld, W.; Ahmed, S.; et al. TNF-α induced extracellular release of keratinocyte high-mobility group box 1 in Stevens-Johnson syndrome/toxic epidermal necrolysis: Biomarker and putative mechanism of pathogenesis. J. Dermatol. 2023, 50, 1129–1139. [Google Scholar] [CrossRef]
- Olsson-Brown, A.; Yip, V.; Ogiji, E.D.; Jolly, C.; Ressel, L.; Sharma, A.; Bergfeld, W.; Liu, X.; Khirwadkar, N.; Bellon, T.; et al. TNF-α-Mediated Keratinocyte Expression and Release of Matrix Metalloproteinase 9: Putative Mechanism of Pathogenesis in Stevens-Johnson Syndrome/Toxic Epidermal Necrolysis. J. Investig. Dermatol. 2023, 143, 1023–1030.e7. [Google Scholar] [CrossRef]





| Antibodies | Target | Mechanism of Action (MOA) | Box Warning | Clinical Classification | Most Common Adverse Reaction | % Positive Skin Explant Test | Skin Explant Test Classification | Percentage Group | Average Skin Explant Test Grade (10 Donors) | Aggregated Score (Grade * Percentage) |
|---|---|---|---|---|---|---|---|---|---|---|
| OKT3 (Muromonab) | CD3 | Blocks T cell activation | Anaphylaxis, Cytokine storm | Extreme (>10%) | Cytokine release syndrome, Pyrexia | 96% (√) | Strongly Positive | 71–100 | 2.8 | 2.7 |
| NIB1412 (TGN1412) | CD28 | Activation of regulatory T cells | Caused severe systemic immune reaction | Extreme (>10%) | Cytokine storm | 90% (√) | Strongly Positive | 71–100 | 2.3 | 2.1 |
| Campath® (Alemtuzumab) | CD52 | Binds CD52 protein on lymphocytes | Systemic immunogenicity, Rash, urticaria, erythema. | Common (6%) | Infusion reactions, fever | 70% (√) | Positive | 71–100 | 2.4 | 1.6 |
| Humira® (Adalimumab)* | TNFα | Prevents TNF receptor activation, down regulates inflammation | Skin reactivity and hypersensitivity | Common (7%) | Injection site reactions, Rash | 70% (√) | Positive | 71–100 | 2.5 | 1.8 |
| Simulect® (Basiliximab) | IL-2 | Saturates IL-2 receptors, prevents T cell + B cell activation | Immunogenicity, hypersensitivity, Rash | Uncommon 1/1000 | Fever, acne. Rash, skin ulceration | 54% (X) | Positive | 31–70 | 2.0 | 1.1 |
| Mabthera® (Rituximab) | B cell | Destroys normal & malignant CD20+ B cells | Fatal IRs, Hypersensitivity, anaphylaxis, Cutaneous SJS, TEN | Common (10%) | Fever, urticaria/rash | 50% (√) | Positive | 31–70 | 2.0 | 1.0 |
| Arzerra® (Ofatumumab) | CD-20 | Inhibits early B cell activation | Cutaneous: Rash, urticaria, | Common (10%) | Rash, pyrexia | 50% (√) | Positive | 31–70 | 1.7 | 0.9 |
| Erbitux® (Cetuximab) | EGFR | Targets EGFR expressing cells | Serious IR, dermatologic toxicity, rash, xeroderma, inflammation | Common (10%) | Urticaria, Rash, Pyrexia | 50% (√) | Positive | 31–70 | 1.7 | 0.8 |
| Avastin® (Bevacizumab) | VEGF | Binds to and inhibits VEGF | Hypersensitivity and infusion reactions: Rash, urticaria. | Common (8.4%) | Dry skin, exfoliative dermatitis | 50% (√) | Positive | 31–70 | N/A | N/A |
| Inflectra® (Infliximab) | TNFα | Neutralizing bind to TNFα | Anaphylaxis, IRs, vasculitis; SJS; EM; psoriasis | Common (3%) | Fever, chills, Anaphalaxis | 40% (√) | Positive | 31–70 | 1.6 | 0.6 |
| Simponi® (Golimumab) | TNFα | Targets soluble and transmembrane TNFα | Skin exfoliation, rash | Common (2%) | Injection site reactions, erythema, urticaria, induration, Psoriasis, Palmar/Plantar | 40% (√) | Positive | 31–70 | 1.7 | 0.7 |
| Remicade® (Infliximab) | TNFα | Neutralizing bind to TNFα | Anaphylaxis, IRs, vasculitis, SJS; EM; psoriasis | Common (3%) | Urticaria, anaphylaxis | 35% (√) | Positive | 31–70 | 1.5 | 0.6 |
| erythematous rash | ||||||||||
| Vectibix® (Panitumumab) | EGFR | Blocks signals on EGFR expressing cancer cells | Dermatologic toxicity, IR | Uncommon <1% | Severe skin toxicity (16%) | 30% (√) | Weak Positive | 10–30 | 1.3 | 0.4 |
| Cimzia® (Certolizumab) | TNFα | Binds free TNFα preventing its action | Allergic reactions, Dermatitis | Common (1 to 2.5%) | Pyrexia, Rash (0.3%) | 30% (X) | Weak Positive | 10–30 | 1.4 | 0.4 |
| Tysabri® (Natalizumab) | α4-integrin | Prevents immune cells crossing blood vessel walls | Hypersensitivity, Rash | Uncommon <1% | Hypersensitivity, anaphylaxis | 20% (√) | Weak positive | 10–30 | 1.6 | 0.3 |
| Enbrel® (Etanercept) | TNFα | Binds TNF prevents its binding to WBCs | Psoriasis, allergic reactions, autoimmune reactions | Common (4%) | Rash, Pyrexia | 10% (X) | Weak positive | 10–30 | 1.8 | 0.2 |
Disclaimer/Publisher’s Note: The statements, opinions and data contained in all publications are solely those of the individual author(s) and contributor(s) and not of MDPI and/or the editor(s). MDPI and/or the editor(s) disclaim responsibility for any injury to people or property resulting from any ideas, methods, instructions or products referred to in the content. |
© 2024 by the authors. Licensee MDPI, Basel, Switzerland. This article is an open access article distributed under the terms and conditions of the Creative Commons Attribution (CC BY) license (https://creativecommons.org/licenses/by/4.0/).
Share and Cite
Ahmed, S.S.; Ahmed, M.M.; Ishaq, A.; Freer, M.; Stebbings, R.; Dickinson, A.M. An In Vitro Human Skin Test for Predicting Skin Sensitization and Adverse Immune Reactions to Biologics. Toxics 2024, 12, 401. https://doi.org/10.3390/toxics12060401
Ahmed SS, Ahmed MM, Ishaq A, Freer M, Stebbings R, Dickinson AM. An In Vitro Human Skin Test for Predicting Skin Sensitization and Adverse Immune Reactions to Biologics. Toxics. 2024; 12(6):401. https://doi.org/10.3390/toxics12060401
Chicago/Turabian StyleAhmed, Shaheda Sameena, Mohammed Mahid Ahmed, Abbas Ishaq, Matthew Freer, Richard Stebbings, and Anne Mary Dickinson. 2024. "An In Vitro Human Skin Test for Predicting Skin Sensitization and Adverse Immune Reactions to Biologics" Toxics 12, no. 6: 401. https://doi.org/10.3390/toxics12060401
APA StyleAhmed, S. S., Ahmed, M. M., Ishaq, A., Freer, M., Stebbings, R., & Dickinson, A. M. (2024). An In Vitro Human Skin Test for Predicting Skin Sensitization and Adverse Immune Reactions to Biologics. Toxics, 12(6), 401. https://doi.org/10.3390/toxics12060401

