Antitumor Profile of Combined Matricaria recutita Flower Extract and 5-Fluorouracil Chemotherapy in Sarcoma 180 In Vivo Model
Abstract
1. Introduction
2. Materials and Methods
2.1. Vegetable Material
2.2. Production of Matricaria recutita Aqueous Extract
2.3. Animals
2.4. Cells
2.5. In Vitro Antitumor Activity Assay
2.6. In Vivo Antitumor Activity Assay
2.7. Toxicological Analysis
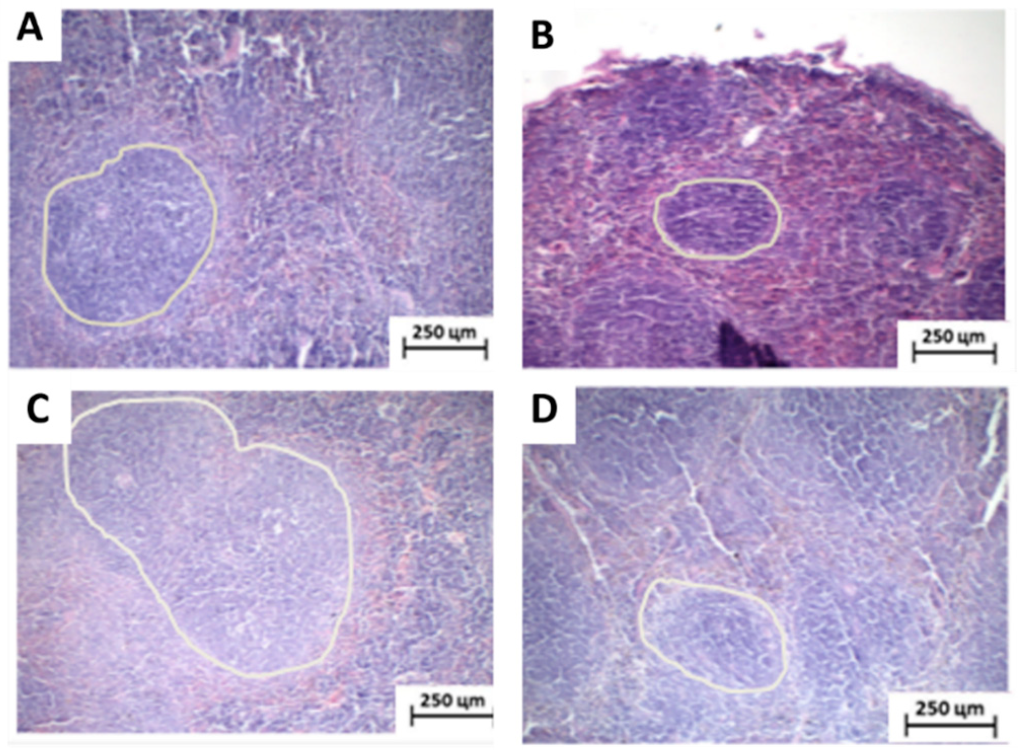
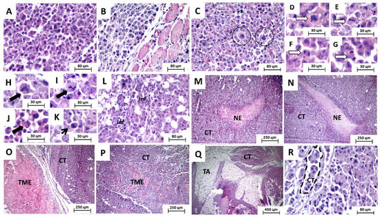
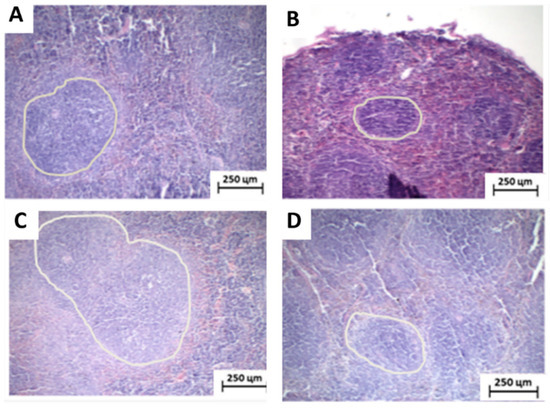
2.8. Anatomic-Pathological and Histomorphological Analysis
2.9. Tumor Cell Proliferative Index Analysis Using In Situ Ki67 Antigen Immunodetection
2.10. Statistical Analysis
3. Results and Discussion
4. Conclusions
Author Contributions
Funding
Institutional Review Board Statement
Informed Consent Statement
Data Availability Statement
Acknowledgments
Conflicts of Interest
References
- Łasińska, I.; Zielińska, A.; Mackiewicz, J.; Souto, E.B. Basal Cell Carcinoma: Pathology, Current Clinical Treatment, and Potential Use of Lipid Nanoparticles. Cancers 2022, 14, 2778. [Google Scholar] [CrossRef] [PubMed]
- Souto, E.B.; de Souza, A.L.R.; Dos Santos, F.K.; Sanchez-Lopez, E.; Cano, A.; Zielińska, A.; Staszewski, R.; Karczewski, J.; Gremião, M.P.D.; Chorilli, M. Lipid Nanocarriers for Hyperproliferative Skin Diseases. Cancers 2021, 13, 5619. [Google Scholar] [CrossRef]
- Epstein, R.S.; Basu Roy, U.K.; Aapro, M.; Salimi, T.; Moran, D.; Krenitsky, J.; Leone-Perkins, M.L.; Girman, C.; Schlusser, C.; Crawford, J. Cancer Patients’ Perspectives and Experiences of Chemotherapy-Induced Myelosuppression and Its Impact on Daily Life. Patient Prefer. Adherence 2021, 15, 453–465. [Google Scholar] [CrossRef] [PubMed]
- Talib, W.H.; Alsalahat, I.; Daoud, S.; Abutayeh, R.F.; Mahmod, A.I. Plant-Derived Natural Products in Cancer Research: Extraction, Mechanism of Action, and Drug Formulation. Molecules 2020, 25, 5319. [Google Scholar] [CrossRef] [PubMed]
- Amaral, R.G.; Gomes, S.V.F.; Andrade, L.N.; Dos Santos, S.A.; Severino, P.; de Albuquerque Junior, R.L.C.; Souto, E.B.; Brandao, G.C.; Santos, S.L.; David, J.M.; et al. Cytotoxic, Antitumor and Toxicological Profile of Passiflora alata Leaf Extract. Molecules 2020, 25, 4814. [Google Scholar] [CrossRef] [PubMed]
- de Carvalho, F.M.A.; Schneider, J.K.; de Jesus, C.V.F.; de Andrade, L.N.; Amaral, R.G.; David, J.M.; Krause, L.C.; Severino, P.; Soares, C.M.F.; Bastos, E.C.; et al. Brazilian Red Propolis: Extracts Production, Physicochemical Characterization, and Cytotoxicity Profile for Antitumor Activity. Biomolecules 2020, 10, 726. [Google Scholar] [CrossRef]
- Atanasov, A.G.; Zotchev, S.B.; Dirsch, V.M.; Orhan, I.E.; Banach, M.; Rollinger, J.M.; Barreca, D.; Weckwerth, W.; Bauer, R.; Bayer, E.A.; et al. Natural products in drug discovery: Advances and opportunities. Nat. Rev. Drug Discov. 2021, 20, 200–216. [Google Scholar] [CrossRef]
- Marshall, A.C. Traditional Chinese Medicine and Clinical Pharmacology. In Drug Discovery and Evaluation: Methods in Clinical Pharmacology; Springer: Cham, Switzerland, 2020; pp. 455–482. [Google Scholar] [CrossRef]
- Miller, K.D.; Nogueira, L.; Mariotto, A.B.; Rowland, J.H.; Yabroff, K.R.; Alfano, C.M.; Jemal, A.; Kramer, J.L.; Siegel, R.L. Cancer treatment and survivorship statistics, 2019. CA Cancer J. Clin. 2019, 69, 363–385. [Google Scholar] [CrossRef] [PubMed]
- Zhang, Q.-Y.; Wang, F.-X.; Jia, K.-K.; Kong, L.-D. Natural Product Interventions for Chemotherapy and Radiotherapy-Induced Side Effects. Front. Pharmacol. 2018, 9, 1253. [Google Scholar] [CrossRef] [PubMed]
- Andrade, L.N.; Caetano, N.L.d.B.; Amaral, R.G.; Neo, G.G.d.A.; Santos, S.A.d.; Andrade, L.R.M.d.; Severino, P.; Carvalho, A.A. Uso de plantas medicinais e fitoterápicos por pacientes submetidos a tratamento antineoplásico no serviço de saúde privado no estado de Sergipe—Brasil. Cad. Grad.—Ciênc. Biol. Saúde—UNIT—SERGIPE 2018, 5, 163–176. [Google Scholar]
- El Mihyaoui, A.; Esteves da Silva, J.C.G.; Charfi, S.; Candela Castillo, M.E.; Lamarti, A.; Arnao, M.B. Chamomile (Matricaria chamomilla L.): A Review of Ethnomedicinal Use, Phytochemistry and Pharmacological Uses. Life 2022, 12, 479. [Google Scholar] [CrossRef]
- Al-Dabbagh, B.; Elhaty, I.A.; Elhaw, M.; Murali, C.; Al Mansoori, A.; Awad, B.; Amin, A. Antioxidant and anticancer activities of chamomile (Matricaria recutita L.). BMC Res. Notes 2019, 12, 3. [Google Scholar] [CrossRef] [PubMed]
- Sharifi-Rad, M.; Nazaruk, J.; Polito, L.; Morais-Braga, M.F.B.; Rocha, J.E.; Coutinho, H.D.M.; Salehi, B.; Tabanelli, G.; Montanari, C.; del Mar Contreras, M.; et al. Matricaria genus as a source of antimicrobial agents: From farm to pharmacy and food applications. Microbiol. Res. 2018, 215, 76–88. [Google Scholar] [CrossRef] [PubMed]
- Singh, O.; Khanam, Z.; Misra, N.; Srivastava, M.K. Chamomile (Matricaria chamomilla L.): An overview. Pharmacogn. Rev. 2011, 5, 82–95. [Google Scholar] [CrossRef] [PubMed]
- Rodriguez-Fragoso, L.; Reyes-Esparza, J.; Burchiel, S.W.; Herrera-Ruiz, D.; Torres, E. Risks and benefits of commonly used herbal medicines in Mexico. Toxicol. Appl. Pharmacol. 2008, 227, 125–135. [Google Scholar] [CrossRef] [PubMed]
- Shikov, A.N.; Pozharitskaya, O.N.; Makarov, V.G.; Wagner, H.; Verpoorte, R.; Heinrich, M. Medicinal Plants of the Russian Pharmacopoeia; their history and applications. J. Ethnopharmacol. 2014, 154, 481–536. [Google Scholar] [CrossRef] [PubMed]
- Gross, A.V.; Stolz, E.D.; Müller, L.G.; Maris, S.; Rates, K.; Ritter, M.R. Medicinal plants for the “nerves”: A review of ethnobotanical studies carried out in South Brazil. Acta Bot. Bras. 2019, 33, 269–282. [Google Scholar] [CrossRef]
- Kiraithe, M.N.; Nguta, J.M.; Mbaria, J.M.; Kiama, S.G. Evaluation of the use of Ocimum suave Willd. (Lamiaceae), Plectranthus barbatus Andrews (Lamiaceae) and Zanthoxylum chalybeum Engl. (Rutaceae) as antimalarial remedies in Kenyan folk medicine. J. Ethnopharmacol. 2016, 178, 266–271. [Google Scholar] [CrossRef]
- Rodrigues, T.S.; Guimarães, S.F.; Rodrigues-das-Dôres, R.G.; Gabriel, J.V. Métodos de secagem e rendimento dos extratos de folhas de Plectranthus barbatus (boldo-da-terra) e P. ornatus (boldo-miúdo). Rev. Bras. Plantas Med. 2011, 13, 587–590. [Google Scholar] [CrossRef]
- Amaral, R.G.; Andrade, L.N.; Dória, G.A.A.; Barbosa-Filho, J.M.; de Sousa, D.P.; Carvalho, A.A.; Thomazzi, S.M. Antitumour effects of the essential oil from Mentha x villosa combined with 5-fluorouracil in mice. Flavour Fragr. J. 2016, 31, 250–254. [Google Scholar] [CrossRef]
- Ferreira, P.M.P.; Bezerra, D.P.; Silva, J.D.N.; da Costa, M.P.; Ferreira, J.R.O.; Alencar, N.M.N.; Figueiredo, I.S.T.; Cavalheiro, A.J.; Machado, C.M.L.; Chammas, R.; et al. Preclinical anticancer effectiveness of a fraction from Casearia sylvestris and its component Casearin X: In vivo and ex vivo methods and microscopy examinations. J. Ethnopharmacol. 2016, 186, 270–279. [Google Scholar] [CrossRef]
- Bezerra, D.P.; Castro, F.O.; Alves, A.P.; Pessoa, C.; Moraes, M.O.; Silveira, E.R.; Lima, M.A.; Elmiro, F.J.; Costa-Lotufo, L.V. In vivo growth-inhibition of Sarcoma 180 by piplartine and piperine, two alkaloid amides from Piper. Braz. J. Med. Biol. Res. = Rev. Bras. Pesqui. Med. Biol. 2006, 39, 801–807. [Google Scholar] [CrossRef] [PubMed]
- Sak, K.; Nguyen, T.H.; Ho, V.D.; Do, T.T.; Raal, A. Cytotoxic effect of chamomile (Matricaria recutita) and marigold (Calendula officinalis) extracts on human melanoma SK-MEL-2 and epidermoid carcinoma KB cells. Cogent Med. 2017, 4, 1333218. [Google Scholar] [CrossRef]
- Nikseresht, M.; Kamali, A.M.; Rahimi, H.R.; Delaviz, H.; Toori, M.A.; Kashani, I.R.; Mahmoudi, R. The Hydroalcoholic Extract of Matricaria chamomilla Suppresses Migration and Invasion of Human Breast Cancer MDA-MB-468 and MCF-7 Cell Lines. Pharmacogn. Res. 2017, 9, 87–95. [Google Scholar] [CrossRef]
- Srivastava, J.K.; Gupta, S. Antiproliferative and apoptotic effects of chamomile extract in various human cancer cells. J. Agric. Food Chem. 2007, 55, 9470–9478. [Google Scholar] [CrossRef]
- Bijak, M.; Saluk, J.; Tsirigotis-Maniecka, M.; Komorowska, H.; Wachowicz, B.; Zaczyńska, E.; Czarny, A.; Czechowski, F.; Nowak, P.; Pawlaczyk, I. The influence of conjugates isolated from Matricaria chamomilla L. on platelets activity and cytotoxicity. Int. J. Biol. Macromol. 2013, 61, 218–229. [Google Scholar] [CrossRef]
- Ogata-Ikeda, I.; Seo, H.; Kawanai, T.; Hashimoto, E.; Oyama, Y. Cytotoxic action of bisabololoxide A of German chamomile on human leukemia K562 cells in combination with 5-fluorouracil. Phytomedicine 2011, 18, 362–365. [Google Scholar] [CrossRef]
- Falzone, L.; Salomone, S.; Libra, M. Evolution of Cancer Pharmacological Treatments at the Turn of the Third Millennium. Front. Pharmacol. 2018, 9, 1300. [Google Scholar] [CrossRef]
- Di Francia, R.; Crisci, S.; De Monaco, A.; Cafiero, C.; Re, A.; Iaccarino, G.; De Filippi, R.; Frigeri, F.; Corazzelli, G.; Micera, A.; et al. Response and Toxicity to Cytarabine Therapy in Leukemia and Lymphoma: From Dose Puzzle to Pharmacogenomic Biomarkers. Cancers 2021, 13, 966. [Google Scholar] [CrossRef] [PubMed]
- Li, W.J.; Nie, S.P.; Yao, Y.F.; Liu, X.Z.; Shao, D.Y.; Gong, D.M.; Cui, S.W.; Phillips, G.O.; He, M.; Xie, M.Y. Ganoderma atrum Polysaccharide Ameliorates Hyperglycemia-Induced Endothelial Cell Death via a Mitochondria-ROS Pathway. J. Agric. Food Chem. 2015, 63, 8182–8191. [Google Scholar] [CrossRef]
- Rezende, A.A.; Santos, R.S.; Andrade, L.N.; Amaral, R.G.; Pereira, M.M.; Bani, C.; Chen, M.; Priefer, R.; da Silva, C.F.; de Albuquerque Júnior, R.L.C.; et al. Anti-Tumor Efficiency of Perillylalcohol/β-Cyclodextrin Inclusion Complexes in a Sarcoma S180-Induced Mice Model. Pharmaceutics 2021, 13, 245. [Google Scholar] [CrossRef]
- Sara, J.D.; Kaur, J.; Khodadadi, R.; Rehman, M.; Lobo, R.; Chakrabarti, S.; Herrmann, J.; Lerman, A.; Grothey, A. 5-fluorouracil and cardiotoxicity: A review. Ther. Adv. Med. Oncol. 2018, 10, 1758835918780140. [Google Scholar] [CrossRef] [PubMed]
- Bossi, P.; Delrio, P.; Mascheroni, A.; Zanetti, M. The Spectrum of Malnutrition/Cachexia/Sarcopenia in Oncology according to Different Cancer Types and Settings: A Narrative Review. Nutrients 2021, 13, 1980. [Google Scholar] [CrossRef] [PubMed]
- Fatease, A.A.; Shah, V.; Nguyen, D.X.; Cote, B.; LeBlanc, N.; Rao, D.A.; Alani, A.W.G. Chemosensitization and mitigation of Adriamycin-induced cardiotoxicity using combinational polymeric micelles for co-delivery of quercetin/resveratrol and resveratrol/curcumin in ovarian cancer. Nanomed. Nanotechnol. Biol. Med. 2019, 19, 39–48. [Google Scholar] [CrossRef] [PubMed]
- Razmaraii, N.; Babaei, H.; Mohajjel Nayebi, A.; Assadnassab, G.; Ashrafi Helan, J.; Azarmi, Y. Cardioprotective Effect of Grape Seed Extract on Chronic Doxorubicin-Induced Cardiac Toxicity in Wistar Rats. Adv. Pharm. Bull. 2016, 6, 423–433. [Google Scholar] [CrossRef]
- Sorrentino, M.F.; Kim, J.; Foderaro, A.E.; Truesdell, A.G. 5-fluorouracil induced cardiotoxicity: Review of the literature. Cardiol. J. 2012, 19, 453–458. [Google Scholar] [CrossRef]
- Yu, J.; Wang, C.; Kong, Q.; Wu, X.; Lu, J.J.; Chen, X. Recent progress in doxorubicin-induced cardiotoxicity and protective potential of natural products. Phytomedicine 2018, 40, 125–139. [Google Scholar] [CrossRef]
- Britto, A.C.; de Oliveira, A.C.; Henriques, R.M.; Cardoso, G.M.; Bomfim, D.S.; Carvalho, A.A.; Moraes, M.O.; Pessoa, C.; Pinheiro, M.L.; Costa, E.V.; et al. In vitro and in vivo antitumor effects of the essential oil from the leaves of Guatteria friesiana. Planta Med. 2012, 78, 409–414. [Google Scholar] [CrossRef]
- Salama, R.H. Matricaria chamomilla attenuates cisplatin nephrotoxicity. Saudi J. Kidney Dis. Transplant. 2012, 23, 765–772. [Google Scholar] [CrossRef]
- Sebai, H.; Jabri, M.A.; Souli, A.; Hosni, K.; Rtibi, K.; Tebourbi, O.; El-Benna, J.; Sakly, M. Chemical composition, antioxidant properties and hepatoprotective effects of chamomile (Matricaria recutita L.) decoction extract against alcohol-induced oxidative stress in rat. Gen. Physiol. Biophys. 2015, 34, 263–275. [Google Scholar] [CrossRef]
- Tavakol, H.S.; Farzad, K.; Fariba, M.; Abdolkarim, C.; Hassan, G.; Seyed-Mostafa, H.Z.; Akram, R. Hepatoprotective effect of Matricaria chamomilla. L in paraquat induced rat liver injury. Drug Res. 2015, 65, 61–64. [Google Scholar] [CrossRef]
- Werbrouck, B.F.; Pauwels, W.J.; De Bleecker, J.L. A case of 5-fluorouracil-induced peripheral neuropathy. Clin. Toxicol. 2008, 46, 264–266. [Google Scholar] [CrossRef] [PubMed][Green Version]







| Cell Line | IC50 µg/mL | ||
|---|---|---|---|
| MRFE | 5-FU | 5-FU+MRFE | |
| Sarcoma 180 | >50 | 1.5 ± 0.8 | 1.1 ± 0.6 |
| Vehicle | 5-FU (25 mg/kg/day) | MRFE (200 mg/kg/day) | 5-FU+MRFE (25 + 200 mg/kg/day) | |
|---|---|---|---|---|
| Variation in body mass (g) | 3.451 ± 0.5295 | −5.911 ± 0.7351 * | 4.799 ± 1.026 | −7.09 ± 0.5283 *# |
| Brain mass (g/100 g) | 1.11 ± 0.05 | 1.31 ± 0.07 | 1.12 ± 0.02 | 1.27 ± 0.06 |
| Heart mass (g/100 g) | 0.45 ± 0.03 | 0.40 ± 0.01 | 0.42 ± 0.02 | 0.48 ± 0.02 |
| Intestine mass (g/100 g) | 10.13 ± 0.49 | 11.71 ± 0.57 | 11.02 ± 0.41 | 9.99 ± 0.69 |
| Kidneys mass (g/100 g) | 1.27 ± 0.03 | 1.14 ± 0.01 | 1.43 ± 0.09 | 1.18 ± 0.07 |
| Lung mass (g/100 g) | 0.60 ± 0.03 | 0.60 ± 0.04 | 0.65 ± 0.05 | 0.59 ± 0.01 |
| Liver mass (g/100 g) | 4.92 ± 0.11 | 4.20 ± 0.19 | 4.78 ± 0.22 | 4.15 ± 0.19 |
| Spleen mass (g/100 g) | 0.69 ± 0.02 | 0.23 ± 0.02 * | 0.68 ± 0.02 | 0.21 ± 0.02 * |
| Stomach mass (g/100 g) | 1.06 ± 0.05 | 0.86 ± 0.03 | 0.91 ± 0.05 | 0.99 ± 0.06 |
| Vehicle | 5-FU (25 mg/kg/day) | MRFE (200 mg/kg/day) | 5-FU+MRFE (25 + 200 mg/kg/day) | |
|---|---|---|---|---|
| ALT (U/L) | 65.31 ± 5.9 | 61.5 ± 4.6 | 48.5 ± 4.6 | 67.0 ± 7.3 |
| AST (U/L) | 260.7 ± 25.1 | 168.8 ± 28.9 * | 224.4 ± 19.4 | 155.4 ± 17.6 * |
| AP (U/L) | 40.6 ± 3.2 | 30.2 ± 9.3 | 42.6 ± 5.3 | 35.8 ± 8.7 |
| Urea (mg/dL) | 36.7 ± 2.2 | 35.0 ± 4.6 | 33.4 ± 3.2 | 36.4 ± 4.0 |
| Creatinine (mg/dL) | 2.0 ± 0.1 | 2.1 ± 0.1 | 1.9 ± 0.07 | 2.2 ± 0.1 |
| CK-MB(U/L) | 8.8 ± 1.4 | 9.3 ± 2.9 | 8.1 ± 2.7 | 9.9 ± 3.7 |
| Vehicle | 5-FU (25 mg/kg/day) | MRFE (200 mg/kg/day) | 5-FU+MRFE (25 + 200 mg/kg/day) | |
|---|---|---|---|---|
| Hemoglobin g/dL | 11.6 ± 0.1 | 12.3 ± 0.3 | 12.0 ± 0.2 | 12.2 ± 0.5 |
| Erythrocite 106/UL | 6.5 ± 0.2 | 6.7 ± 0.3 | 5.7 ± 0.3 | 6.5 ± 0.1 |
| Hematocrit % | 31.3 ± 0.9 | 32.4 ± 1.5 | 29.9 ± 1.9 | 32.4 ± 0.8 |
| Plaquetas 103 /dL | 498.1 ± 16.5 | 221.0 ± 23.6 * | 446.7 ± 30.1 | 266.4 ± 30.4 * |
| Total Leukocytes (103 cels/µL) | 5.7 ± 0.2 | 0.9 ± 0.07 * | 5.8 ± 0.3 # | 0.7 ± 0.06 * |
| Neutrophils % | 36.1 ± 3.5 | 24.6 ± 2.0 * | 39.4 ± 2.1 # | 22.7 ± 1.7 * |
| Eosinophils % | 1.1 ± 0.3 | 0.6 ± 0.2 | 0.6 ± 0.2 | 0.3 ± 0.2 |
| Lymphocytes % | 56.0 ± 3.8 | 81.2 ± 2.7 * | 50.9 ± 2.9 # | 75.5 ± 2.8 * |
| Monocytes % | 1.9 ± 0.4 | 1.9 ± 0.7 | 1.3 ± 0.4 | 2.5 ± 0.5 |
Disclaimer/Publisher’s Note: The statements, opinions and data contained in all publications are solely those of the individual author(s) and contributor(s) and not of MDPI and/or the editor(s). MDPI and/or the editor(s) disclaim responsibility for any injury to people or property resulting from any ideas, methods, instructions or products referred to in the content. |
© 2023 by the authors. Licensee MDPI, Basel, Switzerland. This article is an open access article distributed under the terms and conditions of the Creative Commons Attribution (CC BY) license (https://creativecommons.org/licenses/by/4.0/).
Share and Cite
Santos, S.A.; Amaral, R.G.; Graça, A.S.; Gomes, S.V.F.; Santana, F.P.; de Oliveira, I.B.; Andrade, L.N.; Severino, P.; de Albuquerque-Júnior, R.L.C.; Santos, S.L.; et al. Antitumor Profile of Combined Matricaria recutita Flower Extract and 5-Fluorouracil Chemotherapy in Sarcoma 180 In Vivo Model. Toxics 2023, 11, 375. https://doi.org/10.3390/toxics11040375
Santos SA, Amaral RG, Graça AS, Gomes SVF, Santana FP, de Oliveira IB, Andrade LN, Severino P, de Albuquerque-Júnior RLC, Santos SL, et al. Antitumor Profile of Combined Matricaria recutita Flower Extract and 5-Fluorouracil Chemotherapy in Sarcoma 180 In Vivo Model. Toxics. 2023; 11(4):375. https://doi.org/10.3390/toxics11040375
Chicago/Turabian StyleSantos, Sara A., Ricardo G. Amaral, Ariel S. Graça, Silvana V. F. Gomes, Fabrício P. Santana, Iza B. de Oliveira, Luciana N. Andrade, Patrícia Severino, Ricardo L. C. de Albuquerque-Júnior, Sandra L. Santos, and et al. 2023. "Antitumor Profile of Combined Matricaria recutita Flower Extract and 5-Fluorouracil Chemotherapy in Sarcoma 180 In Vivo Model" Toxics 11, no. 4: 375. https://doi.org/10.3390/toxics11040375
APA StyleSantos, S. A., Amaral, R. G., Graça, A. S., Gomes, S. V. F., Santana, F. P., de Oliveira, I. B., Andrade, L. N., Severino, P., de Albuquerque-Júnior, R. L. C., Santos, S. L., Souto, E. B., & Carvalho, A. A. (2023). Antitumor Profile of Combined Matricaria recutita Flower Extract and 5-Fluorouracil Chemotherapy in Sarcoma 180 In Vivo Model. Toxics, 11(4), 375. https://doi.org/10.3390/toxics11040375

