Acute and Chronic Effects of Crude Oil Water-Accommodated Fractions on the Early Life Stages of Marine Medaka (Oryzias melastigma, McClelland, 1839)
Abstract
1. Introduction
2. Materials and Methods
2.1. Test Organism
2.2. Preparation of Water-Accommodated Fraction (WAF) of Crude Oil
2.3. Total Petroleum Hydrocarbon (TPH) and PAH Analyses
2.4. Acute Toxicity Test
2.5. Chronic Toxicity Test
2.6. Histopathological Analyses
2.7. Developmental Toxicities
2.8. Statistical Analyses
3. Results
3.1. Concentrations of TPHs and PAHs in Exposure Media
3.2. Acute Toxicity
3.3. Chronic Toxicity
3.3.1. Mortalities of Embryos and Larvae
3.3.2. NOECs and LOECs
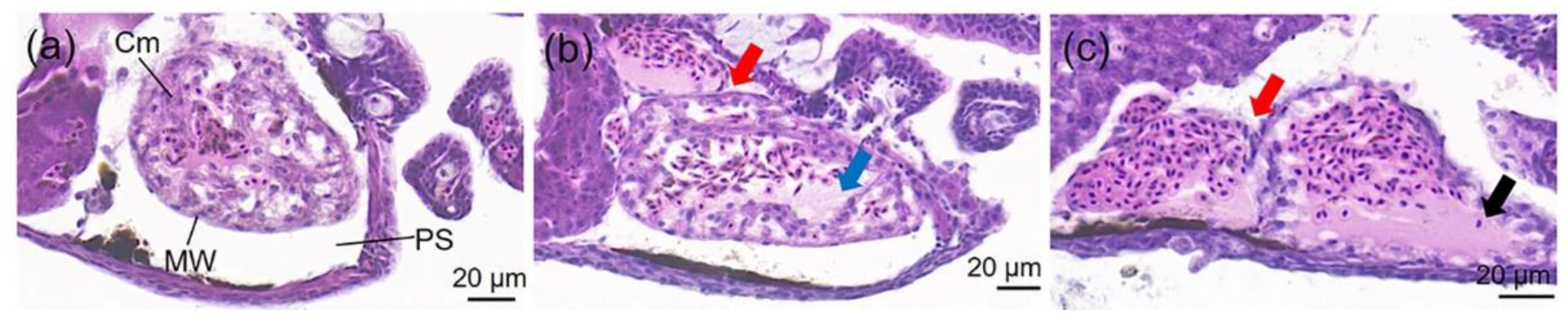
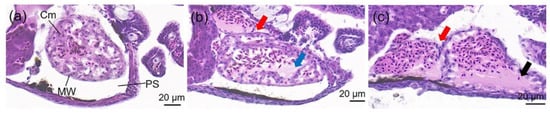
3.3.3. Histopathology
3.3.4. Developmental Indicators
4. Discussion
4.1. Acute and Chronic Lethal Toxicities of WAF
4.2. Histopathological Alterations
4.3. Developmental Toxicities
5. Conclusions
Author Contributions
Funding
Institutional Review Board Statement
Informed Consent Statement
Data Availability Statement
Acknowledgments
Conflicts of Interest
References
- Du, W.D.; Wan, Y.Y.; Zhong, N.N.; Fei, J.J.; Zhang, Z.H.; Chen, L.J.; Hao, J.M. Status quo of soil petroleum contamination and evolution of bioremediation. Pet. Sci. 2011, 8, 502–514. [Google Scholar] [CrossRef]
- Wassenaar, P.N.H.; Verbruggen, E.M.J. Persistence, bioaccumulation and toxicity-assessment of petroleum UVCBs: A case study on alkylated three-ring PAHs. Chemosphere 2021, 276, 130113. [Google Scholar] [CrossRef]
- Rodrigues, R.V.; Miranda-Filho, K.C.; Gusmao, E.P.; Moreira, C.B.; Romano, L.A.; Sampaio, L.A. Deleterious effects of water-soluble fraction of petroleum, diesel and gasoline on marine pejerrey Odontesthes argentinensis larvae. Sci. Total Environ. 2010, 408, 2054–2059. [Google Scholar] [CrossRef] [PubMed]
- Incardona, J.P.; Collier, T.K.; Scholz, N.L. Defects in cardiac function precede morphological abnormalities in fish embryos exposed to polycyclic aromatic hydrocarbons. Toxicol. Appl. Pharmacol. 2004, 196, 191–205. [Google Scholar] [CrossRef]
- Lee, R.F.; Anderson, J.W. Significance of cytochrome P450 system responses and levels of bile fluorescent aromatic compounds in marine wildlife following oil spills. Mar. Pollut. Bull. 2005, 50, 705–723. [Google Scholar] [CrossRef]
- Nahrgang, J.; Dubourg, P.; Frantzen, M.; Storch, D.; Dahlke, F.; Meador, J.P. Early life stages of an arctic keystone species (Boreogadus saida) show high sensitivity to a water-soluble fraction of crude oil. Environ. Pollut. 2016, 218, 605–614. [Google Scholar] [CrossRef] [PubMed]
- Petersen, G.I.; Kristensen, P. Bioaccumulation of lipophilic substances in fish early life stages. Environ. Toxicol. Chem. 1998, 17, 1385–1395. [Google Scholar] [CrossRef]
- Duffy, T.A.; Childress, W.; Portier, R.; Chesney, E.J. Responses of bay anchovy (Anchoa mitchilli) larvae under lethal and sublethal scenarios of crude oil exposure. Ecotoxicol. Environ. Saf. 2016, 134P1, 264–272. [Google Scholar] [CrossRef] [PubMed]
- Kawaguchi, M.; Sugahara, Y.; Watanabe, T.; Irie, K.; Ishida, M.; Kurokawa, D.; Kitamura, S.; Takata, H.; Handoh, I.C.; Nakayama, K.; et al. Nervous system disruption and concomitant behavioral abnormality in early hatched pufferfish larvae exposed to heavy oil. Environ. Sci. Pollut. Res. Int. 2011, 19, 2488–2497. [Google Scholar] [CrossRef]
- Medeiros, L.C.C.; Delunardo, F.A.C.; Simoes, L.N.; Paulino, M.G.; Vargas, T.S.; Fernandes, M.N.; Scherer, R.; Chippari-Gomes, A.R. Water-soluble fraction of petroleum induces genotoxicity and morphological effects in fat snook (Centropomus parallelus). Ecotoxicol. Environ. Saf. 2017, 144, 275–282. [Google Scholar] [CrossRef] [PubMed]
- McGruer, V.; Pasparakis, C.; Grosell, M.; Stieglitz, J.D.; Benetti, D.D.; Greer, J.B.; Schlenk, D. Deepwater Horizon crude oil exposure alters cholesterol biosynthesis with implications for developmental cardiotoxicity in larval mahi-mahi (Coryphaena hippurus). Comp. Biochem. Physiol. C Toxicol. Pharmacol. 2019, 220, 31–35. [Google Scholar] [CrossRef] [PubMed]
- Spies, R.B.; Stegeman, J.J.; Hinton, D.E.; Woodin, B.; Smolowitz, R.; Okihiro, M.; Shea, D. Biomarkers of hydrocarbon exposure and sublethal effects in embiotocid fishes from a natural petroleum seep in the Santa Barbara Channel. Aquat. Toxicol. 1996, 34, 195–219. [Google Scholar] [CrossRef]
- Katsumiti, A.; Domingos, F.X.; Azevedo, M.; da Silva, M.D.; Damian, R.C.; Almeida, M.I.; de Assis, H.C.; Cestari, M.M.; Randi, M.A.; Ribeiro, C.A.; et al. An assessment of acute biomarker responses in the demersal catfish Cathorops spixii after the Vicuna oil spill in a harbour estuarine area in Southern Brazil. Environ. Monit. Assess. 2009, 152, 209–222. [Google Scholar] [CrossRef]
- Agamy, E. Histopathological liver alterations in juvenile rabbit fish (Siganus canaliculatus) exposed to light Arabian crude oil, dispersed oil and dispersant. Ecotoxicol. Environ. Saf. 2012, 75, 171–179. [Google Scholar] [CrossRef]
- Agamy, E. Sub chronic exposure to crude oil, dispersed oil and dispersant induces histopathological alterations in the gills of the juvenile rabbit fish (Siganus canaliculatus). Ecotoxicol. Environ. Saf. 2013, 92, 180–190. [Google Scholar] [CrossRef]
- Frantzen, M.; Falk-Petersen, I.B.; Nahrgang, J.; Smith, T.J.; Olsen, G.H.; Hangstad, T.A.; Camus, L. Toxicity of crude oil and pyrene to the embryos of beach spawning capelin (Mallotus villosus). Aquat. Toxicol. 2012, 108, 42–52. [Google Scholar] [CrossRef] [PubMed]
- Philibert, D.A.; Lyons, D.; Philibert, C.; Tierney, K.B. Field-collected crude oil, weathered oil and dispersants differentially affect the early life stages of freshwater and saltwater fishes. Sci. Total. Environ. 2019, 647, 1148–1157. [Google Scholar] [CrossRef] [PubMed]
- Incardona, J.P.; Linbo, T.L.; French, B.L.; Cameron, J.; Peck, K.A.; Laetz, C.A.; Hicks, M.B.; Hutchinson, G.; Allan, S.E.; Boyd, D.T.; et al. Low-level embryonic crude oil exposure disrupts ventricular ballooning and subsequent trabeculation in Pacific herring. Aquat. Toxicol. 2021, 235, 105810. [Google Scholar] [CrossRef]
- Kim, B.M.; Kim, J.; Choi, I.Y.; Raisuddin, S.; Au, D.W.; Leung, K.M.; Wu, R.S.; Rhee, J.S.; Lee, J.S. Omics of the marine medaka (Oryzias melastigma) and its relevance to marine environmental research. Mar. Environ. Res. 2016, 113, 141–152. [Google Scholar] [CrossRef]
- Chen, X.; Li, L.; Cheng, J.; Chan, L.L.; Wang, D.Z.; Wang, K.J.; Baker, M.E.; Hardiman, G.; Schlenk, D.; Cheng, S.H. Molecular staging of marine medaka: A model organism for marine ecotoxicity study. Mar. Pollut. Bull. 2011, 63, 309–317. [Google Scholar] [CrossRef]
- Barron, M.G.; Ka’aihue, L. Critical evaluation of CROSERF test methods for oil dispersant toxicity testing under subarctic conditions. Mar. Pollut. Bull. 2003, 46, 1191–1199. [Google Scholar] [CrossRef]
- Mu, J.; Jin, F.; Ma, X.; Lin, Z.; Wang, J. Comparative effects of biological and chemical dispersants on the bioavailability and toxicity of crude oil to early life stages of marine medaka (Oryzias melastigma). Environ. Toxicol. Chem. 2014, 33, 2576–2583. [Google Scholar] [CrossRef]
- Wang, R.F.; Zhu, L.M.; Zhang, J.; An, X.P.; Yang, Y.P.; Song, M.; Zhang, L. Developmental toxicity of copper in marine medaka (Oryzias melastigma) embryos and larvae. Chemosphere 2020, 247, 125923. [Google Scholar] [CrossRef] [PubMed]
- Duan, Z.; Duan, X.; Zhao, S.; Wang, X.; Wang, J.; Liu, Y.; Peng, Y.; Gong, Z.; Wang, L. Barrier Function of Zebrafish Embryonic Chorions Against Microplastics and Nanoplastics and Its Impact on Embryo Development. J. Hazard. Mater. 2020, 395, 122621. [Google Scholar] [CrossRef] [PubMed]
- Tran, C.M.; Lee, H.; Lee, B.; Ra, J.S.; Kim, K.T. Effects of the chorion on the developmental toxicity of organophosphate esters in zebrafish embryos. J. Hazard. Mater. 2021, 401, 123389. [Google Scholar] [CrossRef] [PubMed]
- Villalobos, S.A.; Hamm, J.T.; Teh, S.J.; Hinton, D.E. Thiobencarb-induced embryotoxicity in medaka (Oryzias latipes): Stage-specific toxicity and the protective role of chorion. Aquat. Toxicol. 2000, 48, 309–326. [Google Scholar] [CrossRef]
- Kim, R.O.; Kim, B.M.; Hwang, D.S.; Au, D.W.; Jung, J.H.; Shim, W.J.; Leung, K.M.; Wu, R.S.; Rhee, J.S.; Lee, J.S. Evaluation of biomarker potential of cytochrome P450 1A (CYP1A) gene in the marine medaka, Oryzias melastigma exposed to water-accommodated fractions (WAFs) of Iranian crude oil. Comp. Biochem. Physiol. C Toxicol. Pharmacol. 2013, 157, 172–182. [Google Scholar] [CrossRef]
- Liu, B.; Romaire, R.P.; Delaune, R.D.; Lindau, C.W. Field investigation on the toxicity of Alaska North Slope crude oil (ANSC) and dispersed ANSC crude to Gulf killifish, Eastern oyster and white shrimp. Chemosphere 2006, 62, 520–526. [Google Scholar] [CrossRef]
- Agamy, E. Impact of laboratory exposure to light Arabian crude oil, dispersed oil and dispersant on the gills of the juvenile brown spotted grouper (Epinephelus chlorostigma): A histopathological study. Mar. Environ. Res. 2013, 86, 46–55. [Google Scholar] [CrossRef]
- Moreira, C.B.; Rodrigues, R.V.; Romano, L.A.; Gusmao, E.P.; Seyffert, B.H.; Sampaio, L.A.; Miranda-Filho, K.C. Genotoxicity and histological alterations in grey mullet Mugil liza exposed to petroleum water-soluble fraction (PWSF). Environ. Sci. Pollut. Res. Int. 2014, 21, 5565–5574. [Google Scholar] [CrossRef]
- Jung, J.H.; Lee, E.H.; Choi, K.M.; Yim, U.H.; Ha, S.Y.; An, J.G.; Kim, M. Developmental toxicity in flounder embryos exposed to crude oils derived from different geographical regions. Comp. Biochem. Physiol. C Toxicol. Pharmacol. 2017, 196, 19–26. [Google Scholar] [CrossRef] [PubMed]
- Barron, M.G.; Bejarano, A.C.; Conmy, R.N.; Sundaravadivelu, D.; Meyer, P. Toxicity of oil spill response agents and crude oils to five aquatic test species. Mar. Pollut. Bull. 2020, 153, 110954. [Google Scholar] [CrossRef]
- Khursigara, A.J.; Perrichon, P.; Martinez Bautista, N.; Burggren, W.W.; Esbaugh, A.J. Cardiac function and survival are affected by crude oil in larval red drum, Sciaenops ocellatus. Sci. Total. Environ. 2017, 579, 797–804. [Google Scholar] [CrossRef] [PubMed]
- Beirao, J.; Baillon, L.; Litt, M.A.; Langlois, V.S.; Purchase, C.F. Impact of crude oil and the dispersant Corexit EC9500A on capelin (Mallotus villosus) embryo development. Mar. Environ. Res. 2019, 147, 90–100. [Google Scholar] [CrossRef]
- Perkins, R.A.; Rhoton, S.; Behr-Andres, C. Comparative marine toxicity testing: A cold-water species and standard warm-water test species exposed to crude oil and dispersant. Cold Reg. Sci. Technol. 2005, 42, 226–236. [Google Scholar] [CrossRef]
- Perrichon, P.; Donald, C.E.; Sorhus, E.; Harboe, T.; Meier, S. Differential developmental toxicity of crude oil in early life stages of Atlantic halibut (Hippoglossus hippoglossus). Sci. Total Environ. 2021, 770, 145349. [Google Scholar] [CrossRef] [PubMed]
- Cohen, A.; Gagnon, M.M.; Nugegoda, D. Alterations of metabolic enzymes in Australian bass, Macquaria novemaculeata, after exposure to petroleum hydrocarbons. Arch. Environ. Contam. Toxicol. 2005, 49, 200–205. [Google Scholar] [CrossRef] [PubMed]
- Gusmao, E.P.; Rodrigues, R.V.; Moreira, C.B.; Romano, L.A.; Sampaio, L.A.; Miranda-Filho, K.C. Growth and histopathological effects of chronic exposition of marine pejerrey Odontesthes argentinensis larvae to petroleum water-soluble fraction (WSF). Ambio 2012, 41, 456–466. [Google Scholar] [CrossRef]
- Hicken, C.E.; Linbo, T.L.; Baldwin, D.H.; Willis, M.L.; Myers, M.S.; Holland, L.; Larsen, M.; Stekoll, M.S.; Rice, S.D.; Collier, T.K.; et al. Sublethal exposure to crude oil during embryonic development alters cardiac morphology and reduces aerobic capacity in adult fish. Proc. Natl. Acad. Sci. USA 2011, 108, 7086–7090. [Google Scholar] [CrossRef] [PubMed]
- Miquerol, L.; Kelly, R.G. Organogenesis of the vertebrate heart. Wiley Interdiscip Rev. Dev. Biol. 2013, 2, 17–29. [Google Scholar] [CrossRef]
- Incardona, J.P.; Carls, M.G.; Holland, L.; Linbo, T.L.; Baldwin, D.H.; Myers, M.S.; Peck, K.A.; Tagal, M.; Rice, S.D.; Scholz, N.L. Very low embryonic crude oil exposures cause lasting cardiac defects in salmon and herring. Sci. Rep. 2015, 5, 13499. [Google Scholar] [CrossRef]
- Incardona, J.P.; Gardner, L.D.; Linbo, T.L.; Brown, T.L.; Esbaugh, A.J.; Mager, E.M.; Stieglitz, J.D.; French, B.L.; Labenia, J.S.; Laetz, C.A.; et al. Deepwater horizon crude oil impacts the developing hearts of large predatory pelagic fish. Proc. Natl. Acad. Sci. USA 2014, 111, E1510–E1518. [Google Scholar] [CrossRef]
- Gardner, L.D.; Peck, K.A.; Goetz, G.W.; Linbo, T.L.; Cameron, J.R.; Scholz, N.L.; Block, B.A.; Incardona, J.P. Cardiac remodeling in response to embryonic crude oil exposure involves unconventional NKX family members and innate immunity genes. J. Exp. Biol. 2019, 222, jeb205567. [Google Scholar] [CrossRef] [PubMed]
- Huang, Q.; Fang, C.; Wu, X.; Fan, J.; Dong, S. Perfluorooctane sulfonate impairs the cardiac development of a marine medaka (Oryzias melastigma). Aquat. Toxicol. 2011, 105, 71–77. [Google Scholar] [CrossRef]
- Li, Y.; Wang, J.; Yang, G.; Lu, L.; Zheng, Y.; Zhang, Q.; Zhang, X.; Tian, H.; Wang, W.; Ru, S. Low level of polystyrene microplastics decreases early developmental toxicity of phenanthrene on marine medaka (Oryzias melastigma). J. Hazard. Mater. 2020, 385, 121586. [Google Scholar] [CrossRef]
- Khan, C. Identification of Compounds in Crude Oil that are Chronically Toxic to the Early Life Stages of Fish; Queen’s University: Kingston, ON, Canada, 2007. [Google Scholar]
- Jung, J.H.; Yim, U.H.; Han, G.M.; Shim, W.J. Biochemical changes in rockfish, Sebastes schlegeli, exposed to dispersed crude oil. Comp. Biochem. Physiol. C Toxicol. Pharmacol. 2009, 150, 218–223. [Google Scholar] [CrossRef] [PubMed]
- Mu, J.; Wang, J.; Jin, F.; Wang, X.; Hong, H. Comparative embryotoxicity of phenanthrene and alkyl-phenanthrene to marine medaka (Oryzias melastigma). Mar. Pollut. Bull. 2014, 85, 505–515. [Google Scholar] [CrossRef]
- Murakami, Y.; Kitamura, S.; Nakayama, K.; Matsuoka, S.; Sakaguchi, H. Effects of heavy oil in the developing spotted halibut, Verasper variegatus. Mar. Pollut. Bull. 2008, 57, 524–528. [Google Scholar] [CrossRef] [PubMed]
- Irie, K.; Kawaguchi, M.; Mizuno, K.; Song, J.Y.; Nakayama, K.; Kitamura, S.; Murakami, Y. Effect of heavy oil on the development of the nervous system of floating and sinking teleost eggs. Mar. Pollut. Bull. 2011, 63, 297–302. [Google Scholar] [CrossRef] [PubMed]
- Esbaugh, A.J.; Mager, E.M.; Stieglitz, J.D.; Hoenig, R.; Brown, T.L.; French, B.L.; Linbo, T.L.; Lay, C.; Forth, H.; Scholz, N.L.; et al. The effects of weathering and chemical dispersion on Deepwater Horizon crude oil toxicity to mahi-mahi (Coryphaena hippurus) early life stages. Sci. Total Environ. 2016, 543, 644–651. [Google Scholar] [CrossRef] [PubMed]
- Morris, J.M.; Gielazyn, M.; Krasnec, M.O.; Takeshita, R.; Forth, H.P.; Labenia, J.S.; Linbo, T.L.; French, B.L.; Gill, J.A.; Baldwin, D.H.; et al. Crude oil cardiotoxicity to red drum embryos is independent of oil dispersion energy. Chemosphere 2018, 213, 205–214. [Google Scholar] [CrossRef] [PubMed]




| Test Group | Nominal Concentrations of WAF, % | Measured Concentrations of TPHs, mg·L−1 |
|---|---|---|
| Acute test | Control | 0.00 ± 0.00 |
| 9.53 | 0.62 ± 0.01 | |
| 17.15 | 0.65 ± 0.02 | |
| 30.86 | 1.80 ± 0.07 | |
| 55.56 | 3.27 ± 0.07 | |
| 100.00 | 6.14 ± 0.04 | |
| Chronic test | Control | 0.00 ± 0.00 |
| 15.00 | 1.12 ± 0.14 | |
| 30.00 | 2.07 ± 0.21 | |
| 60.00 | 3.39 ± 0.16 |
| PAHs | CAS No. | Aromatic Rings | Concentration, mg·L−1 | Percentage, % |
|---|---|---|---|---|
| Naphthalene | 91-20-3 | 2 | 0.21 ± 0.03 | 12.12 |
| Acenaphthylene | 208-96-8 | 3 | 0.20 ± 0.04 | 11.49 |
| Acenaphthene | 83-32-9 | 2 | 0.02 ± 0.00 | 1.32 |
| Fluorene | 86-73-7 | 3 | 0.29 ± 0.05 | 16.53 |
| Phenathrene | 85-01-8 | 3 | 0.14 ± 0.06 | 7.57 |
| Anthracene | 120-12-7 | 3 | 0.31 ± 0.16 | 16.66 |
| Fluoranthene | 206-44-0 | 4 | 0.04 ± 0.01 | 2.32 |
| Pyrene | 129-00-0 | 4 | 0.20 ± 0.03 | 11.49 |
| Benzo(a)anthracene | 56-55-3 | 4 | n.d. | / |
| Chrysene | 218-01-9 | 4 | 0.36 ± 0.03 | 20.48 |
| Benzo(b)fluoranthene | 205-99-2 | 5 | n.d. | / |
| Benzo(k)fluoranthene | 207-08-9 | 5 | n.d. | / |
| Benzo(a)pyrene | 50-32-8 | 5 | n.d. | / |
| Dibenzo(a,h)anthracene | 53-70-3 | 5 | n.d. | / |
| Indeno(1,2,3-cd)pyrene | 193-39-5 | 6 | n.d. | / |
| Benzo(g,h,i)perylene | 191-24-2 | 6 | n.d. | / |
| Σ16PAHs | / | 1.77 | / |
| Group | Control | WAF Concentration, % | ||
|---|---|---|---|---|
| 15.00 | 30.00 | 60.00 | ||
| Mortality, % | 10.00 ± 10.00 | 23.33 ± 15.28 | 26.67 ± 28.87 | 26.67 ± 20.82 |
| Life Stage | Endpoints | NOECs | LOECs |
|---|---|---|---|
| (WAF, %) | |||
| Embryo | Mortality | 60 1 | — |
| Heart rate | 30 2 | 60 1 | |
| Hatching time | 60 1 | — | |
| Percent hatching success (%) | 60 1 | — | |
| Larvae | Mortality | 30 2 | 60 1 |
| Malformation percent (%) | 60 1 | — | |
Disclaimer/Publisher’s Note: The statements, opinions and data contained in all publications are solely those of the individual author(s) and contributor(s) and not of MDPI and/or the editor(s). MDPI and/or the editor(s) disclaim responsibility for any injury to people or property resulting from any ideas, methods, instructions or products referred to in the content. |
© 2023 by the authors. Licensee MDPI, Basel, Switzerland. This article is an open access article distributed under the terms and conditions of the Creative Commons Attribution (CC BY) license (https://creativecommons.org/licenses/by/4.0/).
Share and Cite
Jin, F.; Wang, Y.; Yu, F.; Liu, X.; Zhang, M.; Li, Z.; Yao, Z.; Cong, Y.; Wang, J. Acute and Chronic Effects of Crude Oil Water-Accommodated Fractions on the Early Life Stages of Marine Medaka (Oryzias melastigma, McClelland, 1839). Toxics 2023, 11, 236. https://doi.org/10.3390/toxics11030236
Jin F, Wang Y, Yu F, Liu X, Zhang M, Li Z, Yao Z, Cong Y, Wang J. Acute and Chronic Effects of Crude Oil Water-Accommodated Fractions on the Early Life Stages of Marine Medaka (Oryzias melastigma, McClelland, 1839). Toxics. 2023; 11(3):236. https://doi.org/10.3390/toxics11030236
Chicago/Turabian StyleJin, Fei, Ying Wang, Fuwei Yu, Xing Liu, Mingxing Zhang, Zhaochuan Li, Ziwei Yao, Yi Cong, and Juying Wang. 2023. "Acute and Chronic Effects of Crude Oil Water-Accommodated Fractions on the Early Life Stages of Marine Medaka (Oryzias melastigma, McClelland, 1839)" Toxics 11, no. 3: 236. https://doi.org/10.3390/toxics11030236
APA StyleJin, F., Wang, Y., Yu, F., Liu, X., Zhang, M., Li, Z., Yao, Z., Cong, Y., & Wang, J. (2023). Acute and Chronic Effects of Crude Oil Water-Accommodated Fractions on the Early Life Stages of Marine Medaka (Oryzias melastigma, McClelland, 1839). Toxics, 11(3), 236. https://doi.org/10.3390/toxics11030236
