Amantadine Toxicity in Apostichopus japonicus Revealed by Proteomics
Abstract
1. Introduction
2. Materials and Methods
2.1. Experimental Animals
2.2. Sample Preparation
2.3. Histological and Enzymatic Activity Analyses
2.4. TMT-Based Quantitative Proteomics Analysis
2.4.1. Total Protein Extraction
2.4.2. TMT Labeling of Peptides
2.4.3. Fraction Separation
2.4.4. Liquid Chromatography Tandem Mass Spectrometry (LC-MS/MS) Analysis
2.4.5. Metabolite Profiling
3. Results
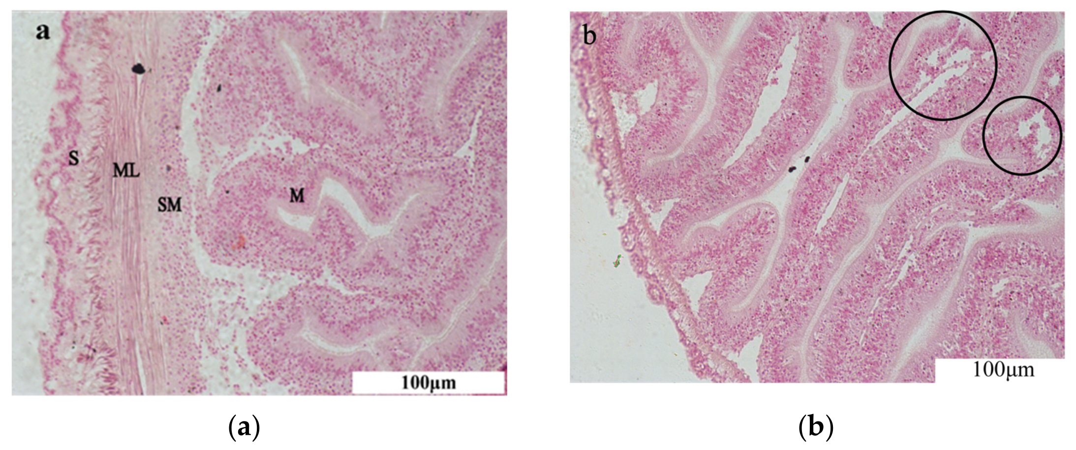
3.1. Effect of Amantadine on the Histomorphology of the A. japonicus Intestinal Tract
3.2. Effect of Amantadine on Intestine Oxidative Stress Response
3.3. Proteomic Response in the A. japonicus Intestinal Tract after Amantadine Exposure
3.3.1. Protein Data Reliability
3.3.2. Differential Protein Screen
3.3.3. Biological Pathway Analysis of DEPs
4. Discussion
5. Conclusions
Supplementary Materials
Author Contributions
Funding
Institutional Review Board Statement
Informed Consent Statement
Data Availability Statement
Acknowledgments
Conflicts of Interest
References
- Byrne, M.; Rowe, F.; Uthicke, S. Molecular taxonomy, phylogeny and evolution in the family Stichopodidae (Aspidochirotida: Holothuroidea) based on COI and 16S mitochondrial DNA. Mol. Phylogenetics Evol. 2010, 56, 1068–1081. [Google Scholar] [CrossRef] [PubMed]
- Li, Y.; Wang, R.; Xun, X.; Wang, J.; Bao, L.; Thimmappa, R.; Ding, J.; Jiang, J.; Zhang, L.; Li, T.; et al. Sea cucumber genome provides insights into saponin biosynthesis and aestivation regulation. Cell Discov. 2018, 4, 29. [Google Scholar] [CrossRef] [PubMed]
- Alves Galvão, M.G.; Rocha Crispino Santos, M.A.; Alves da Cunha, A.J.L. Amantadine and rimantadine for influenza A in children and the elderly. Cochrane Database Syst. Rev. 2014, 2014, CD002745. [Google Scholar] [CrossRef] [PubMed]
- Lang, G.; Narayan, O.; Rouse, B.T. Prevention of malignant avian influenza by 1-adamantanamine hydrochloride. Arch. Gesamte Virusforsch. 1970, 32, 171–184. [Google Scholar] [CrossRef]
- Peng, Q.; Song, J.; Li, X.; Yuan, H.; Li, N.; Duan, L.; Zhang, Q.; Liang, X. Biogeochemical characteristics and ecological risk assessment of pharmaceutically active compounds (PhACs) in the surface seawaters of Jiaozhou Bay, North China. Environ. Pollut. 2019, 255, 113247. [Google Scholar] [CrossRef]
- Zhang, R.; Du, J.; Dong, X.; Huang, Y.; Xie, H.; Chen, J.; Li, X.; Kadokami, K. Occurrence and ecological risks of 156 pharmaceuticals and 296 pesticides in seawater from mariculture areas of Northeast China. Sci. Total Environ. 2021, 792, 148375. [Google Scholar] [CrossRef]
- Xu, Y.; Ren, C.; Han, D.; Gong, X.; Zhang, X.; Huang, H.; Jiang, F.; Cui, Y.; Zheng, W.; Tian, X. Analysis of amantadine in Laminaria Japonica and seawater of Daqin Island by ultra high performance liquid chromatography with positive electrospray ionization tandem mass spectrometry. J. Chromatogr. B Anal. Technol. Biomed. Life Sci. 2019, 1126–1127, 121697. [Google Scholar] [CrossRef]
- Qi, G.; Zhang, X.; Liu, T.; Miao, C.; Liu, X. The amantadine and rimantadine detection from eggs with Ultra high performance liquid chromatography tandem mass spectrometry. Mod. Anim. Husb. Sci. Technol. 2017, 4–5+7. [Google Scholar] [CrossRef]
- Ren, C.; Wang, Q.; Gao, Y.; Xue, J.; Han, D.; Zhang, H.; Zheng, W.; Tian, X.; Xu, Y.; Gong, X. Optimization the detection of amantadine from Apostichopus japonicus by response surface methodology. J. Food Saf. Qual. 2019, 10, 2967–2975. [Google Scholar] [CrossRef]
- Scalzo, F.; Boisvert, M.; Wang, W. Amantadine-Induced Structural and Motor Effects in Developing Zebrafish. Neurotoxicol. Teratol. 2011, 33, 510. [Google Scholar] [CrossRef]
- Föller, M.; Geiger, C.; Mahmud, H.; Nicolay, J.; Lang, F. Stimulation of suicidal erythrocyte death by amantadine. Eur. J. Pharmacol. 2008, 581, 13–18. [Google Scholar] [CrossRef]
- Barrera, F.; Browning, J.C. Likely amantadine-induced livedo reticularis in a child. Pediatr. Dermatol. 2012, 29, 329–330. [Google Scholar] [CrossRef]
- Berg, K.J.; Sanchez-Migallon Guzman, D.; Knych, H.K.; Drazenovich, T.L.; Paul-Murphy, J.R. Pharmacokinetics of amantadine after oral administration of single and multiple doses to orange-winged Amazon parrots (Amazona amazonica). Am. J. Vet. Res. 2020, 81, 651–655. [Google Scholar] [CrossRef]
- Gros-Louis, P.; Charest, S.; Légaré, M.E. Late-onset bilateral epithelial ingrowth following rapid corneal decompensation owing to amantadine: A case report. Canadian journal of ophthalmology. J. Can. D’ophtalmologie 2021, 56, e137–e139. [Google Scholar] [CrossRef]
- Li, S.; Wang, Y.; Zhou, F.; Ke, Q.; Bei, Y.; Wang, D.; Zheng, C.; Wu, H.; Ding, X. Rapid and simultaneous determination of amantadine, rimantadine and memantine in Ophiocephalus argus Cantor meat by high performance liquid chromatography-tandem mass spectrometry. Chin. Fish. Qual. Stand. 2018, 8, 64–72. [Google Scholar] [CrossRef]
- Zheng, W.; Sun, L.; Tian, X.; Xu, Y. Rules of accumulation and elimination of amantadine residue in Gracilaria lichenoides. J. Food Saf. Qual. 2019, 10, 226–233. [Google Scholar] [CrossRef]
- Liu, Q.; Li, C.; Yang, X.; Wang, Y.; Wu, Y.; Ma, H. Tandem Mass Tag-based Quantitative Proteomics Revealed the Mechanism by Which Salt Stress Improves the Thermotolerance of Pichia kudriavzevii. Food Sci. 2022, 43, 102–110. [Google Scholar] [CrossRef]
- Van Houtven, J.; Agten, A.; Boonen, K.; Baggerman, G.; Hooyberghs, J.; Laukens, K.; Valkenborg, D. QCQuan: A Web Tool for the Automated Assessment of Protein Expression and Data Quality of Labeled Mass Spectrometry Experiments. J. Proteome Res. 2019, 18, 2221–2227. [Google Scholar] [CrossRef]
- Bielow, C.; Mastrobuoni, G.; Kempa, S. Proteomics Quality Control: Quality Control Software for MaxQuant Results. J. Proteome Res. 2016, 15, 777–787. [Google Scholar] [CrossRef]
- Tabb, D.L.; Wang, X.; Carr, S.A.; Clauser, K.R.; Mertins, P.; Chambers, M.C.; Holman, J.D.; Wang, J.; Zhang, B.; Zimmerman, L.J.; et al. Reproducibility of Differential Proteomic Technologies in CPTAC Fractionated Xenografts. J. Proteome Res. 2016, 15, 691–706. [Google Scholar] [CrossRef]
- Bittremieux, W.; Meysman, P.; Martens, L.; Valkenborg, D.; Laukens, K. Unsupervised Quality Assessment of Mass Spectrometry Proteomics Experiments by Multivariate Quality Control Metrics. J. Proteome Res. 2016, 15, 1300–1307. [Google Scholar] [CrossRef] [PubMed]
- Tian, X.; Xu, Y.; Zheng, W.; Cui, Y.; Jiang, F.; Gong, X. Semicarbazide Exposure Induces Histological Damage and Enzymatic Reactions in Apostichopus japonicas. Mod. Food Sci. Technol. 2020, 36, 35–42. [Google Scholar] [CrossRef]
- Elia, A.C.; Galarini, R.; Taticchi, M.I.; Dörr, A.J.M.; Mantilacci, L. Antioxidant responses and bioaccumulation in Ictalurus melas under mercury exposure. Ecotoxicol. Environ. Saf. 2003, 55, 162–167. [Google Scholar] [CrossRef] [PubMed]
- Jemai, H.; Lachkar, H.A.; Messaoudi, I.; Kerkeni, A. Effects of zinc pre-treatment on blood glutathione, serum zinc and kidney histological organisation in male rats exposed to cadmium. J. Trace Elem. Med. Biol. 2010, 24, 277–282. [Google Scholar] [CrossRef]
- Qu, R.; Wang, X.; Wang, Z.; Wei, Z.; Wang, L. Metal accumulation and antioxidant defenses in the freshwater fish Carassius auratus in response to single and combined exposure to cadmium and hydroxylated multi-walled carbon nanotubes. J. Hazard. Mater. 2014, 275, 89–98. [Google Scholar] [CrossRef]
- Wang, T.; Wen, X.; Hu, Y.; Zhang, X.; Wang, D.; Yin, S. Copper nanoparticles induced oxidation stress, cell apoptosis and immune response in the liver of juvenile Takifugu fasciatus. Fish Shellfish Immunol. 2018, 84, 648–655. [Google Scholar] [CrossRef]
- Nguyen, T.V.; Alfaro, A.; Arroyo, B.B.; Leon, J.A.R.; Sonnenholzner, S. Metabolic responses of penaeid shrimp to acute hepatopancreatic necrosis disease caused by Vibrio parahaemolyticus. Aquaculture 2021, 533, 736174. [Google Scholar] [CrossRef]
- Zhang, Y.; Liu, Y.; Ma, H.; Sun, M.; Wang, X.; Jin, S.; Yuan, X. Insufficient or excessive dietary carbohydrates affect gut health through change in gut microbiota and regulation of gene expression of gut epithelial cells in grass carp (Ctenopharyngodon idella). Fish Shellfish Immunol. 2022, 108442. [Google Scholar] [CrossRef]
- Nørgaard, J.V.; Soumeh, E.A.; Curtasu, M.; Corrent, E.; van Milgen, J.; Hedemann, M.S. Use of metabolic profile in short-term studies for estimating optimum dietary isoleucine, leucine, and valine for pigs. Anim. Feed Sci. Technol. 2017, 228, 39–47. [Google Scholar] [CrossRef]
- Zeitz, J.O.; Käding, S.-C.; Niewalda, I.R.; Most, E.; Dorigam, J.C.d.P.; Eder, K. The influence of dietary leucine above recommendations and fixed ratios to isoleucine and valine on muscle protein synthesis and degradation pathways in broilers. Poult. Sci. 2019, 98, 6772–6786. [Google Scholar] [CrossRef]
- Kriseldi, R.; Silva, M.; Lee, J.; Adhikari, R.; Williams, C.; Corzo, A. Understanding the interactive effects of dietary leucine with isoleucine and valine in the modern commercial broiler. Poult. Sci. 2022, 101, 102140. [Google Scholar] [CrossRef]
- Guo, C.; Zhang, X.; Xie, S.; Luo, J.; Zhu, T.; Yang, Y.; Li, X.; Huang, C.; Dang, Y.; Zhou, Q.; et al. Dietary phenylalanine level could improve growth performance, glucose metabolism and insulin and mTOR signaling pathways of juvenile swimming crabs, Portunus trituberculatus. Aquac. Rep. 2022, 27, 101395. [Google Scholar] [CrossRef]
- Alharbi, K.S.; Afzal, O.; Almalki, W.H.; Kazmi, I.; Javed Shaikh, M.A.; Thangavelu, L.; Gulati, M.; Singh, S.K.; Jha, N.K.; Gupta, P.K.; et al. Nuclear factor-kappa B (NF-κB) inhibition as a therapeutic target for plant nutraceuticals in mitigating inflammatory lung diseases. Chem. Biol. Interact. 2022, 354, 109842. [Google Scholar] [CrossRef]
- ElMahdy, M.K.; Zaki, M.O.; Al-Karmalawy, A.A.; Abdo, W.; Alnasser, S.M.; Antar, S.A. Glimepiride ameliorates renal toxicity induced by cadmium in mice: Modulation of Jun N terminal kinase (JNK)/nuclear factor kappa B (NF-κB) and phosphatidylinositol 3-kinases (PI3K)/protein kinase (AKT) pathways. Life Sci. 2022, 311, 121184. [Google Scholar] [CrossRef]
- Gu, Z.; Zhu, Y.; Mei, F.; Dong, X.; Xia, G.; Shen, X. Tilapia head glycolipids protect mice against dextran sulfate sodium-induced colitis by ameliorating the gut barrier and suppressing NF-kappa B signaling pathway. Int. Immunopharmacol. 2021, 96, 107802. [Google Scholar] [CrossRef]
- Festjens, N.; Vanden Berghe, T.; Cornelis, S.; Vandenabeele, P. RIP1, a kinase on the crossroads of a cell’s decision to live or die. Cell Death Differ. 2007, 14, 400–410. [Google Scholar] [CrossRef]
- Qu, F.; Gao, H.; Zhu, S.; Shi, P.; Zhang, Y.; Liu, Y.; Jallal, B.; Yao, Y.; Shi, Y.; Qian, Y. TRAF6-dependent Act1 phosphorylation by the IκB kinase-related kinases suppresses interleukin-17-induced NF-κB activation. Mol. Cell. Biol. 2012, 32, 3925–3937. [Google Scholar] [CrossRef]
- Priya Dharshini, L.C.; Vishnupriya, S.; Sakthivel, K.M.; Rasmi, R.R. Oxidative stress responsive transcription factors in cellular signalling transduction mechanisms. Cell. Signal. 2020, 72, 109670. [Google Scholar] [CrossRef]










| Serial Number | Sample Name | Protein Concentration (μg/μL) | Total Protein |
|---|---|---|---|
| 1 | CGP-1 | 3.84 | 7660.80 |
| 2 | CGP-2 | 3.82 | 7620.90 |
| 3 | CGP-3 | 4.38 | 8738.10 |
| 4 | CGP-4 | 4.05 | 12,129.75 |
| 5 | TGP-1 | 4.10 | 8179.50 |
| 6 | TGP-2 | 3.13 | 6228.70 |
| 7 | TGP-3 | 3.00 | 5970.00 |
| 8 | TGP-4 | 4.25 | 8478.75 |
Disclaimer/Publisher’s Note: The statements, opinions and data contained in all publications are solely those of the individual author(s) and contributor(s) and not of MDPI and/or the editor(s). MDPI and/or the editor(s) disclaim responsibility for any injury to people or property resulting from any ideas, methods, instructions or products referred to in the content. |
© 2023 by the authors. Licensee MDPI, Basel, Switzerland. This article is an open access article distributed under the terms and conditions of the Creative Commons Attribution (CC BY) license (https://creativecommons.org/licenses/by/4.0/).
Share and Cite
Zhao, J.; Chen, J.; Tian, X.; Jiang, L.; Cui, Q.; Sun, Y.; Wu, N.; Liu, G.; Ding, Y.; Wang, J.; et al. Amantadine Toxicity in Apostichopus japonicus Revealed by Proteomics. Toxics 2023, 11, 226. https://doi.org/10.3390/toxics11030226
Zhao J, Chen J, Tian X, Jiang L, Cui Q, Sun Y, Wu N, Liu G, Ding Y, Wang J, et al. Amantadine Toxicity in Apostichopus japonicus Revealed by Proteomics. Toxics. 2023; 11(3):226. https://doi.org/10.3390/toxics11030226
Chicago/Turabian StyleZhao, Junqiang, Jianqiang Chen, Xiuhui Tian, Lisheng Jiang, Qingkui Cui, Yanqing Sun, Ningning Wu, Ge Liu, Yuzhu Ding, Jing Wang, and et al. 2023. "Amantadine Toxicity in Apostichopus japonicus Revealed by Proteomics" Toxics 11, no. 3: 226. https://doi.org/10.3390/toxics11030226
APA StyleZhao, J., Chen, J., Tian, X., Jiang, L., Cui, Q., Sun, Y., Wu, N., Liu, G., Ding, Y., Wang, J., Liu, Y., Han, D., & Xu, Y. (2023). Amantadine Toxicity in Apostichopus japonicus Revealed by Proteomics. Toxics, 11(3), 226. https://doi.org/10.3390/toxics11030226
