Comparison of Batch and Continuous Wet-Processing of Coffee: Changes in the Main Compounds in Beans, By-Products and Wastewater
Abstract
1. Introduction
2. Materials and Methods
2.1. Materials
2.2. Methods
2.2.1. Batch Pilot and Continuous Pilot Configurations for Coffee Cherries Processing
2.2.2. Sample Preparation
2.2.3. Folin–Ciocalteu Method for the Analysis of Total Phenolic Content
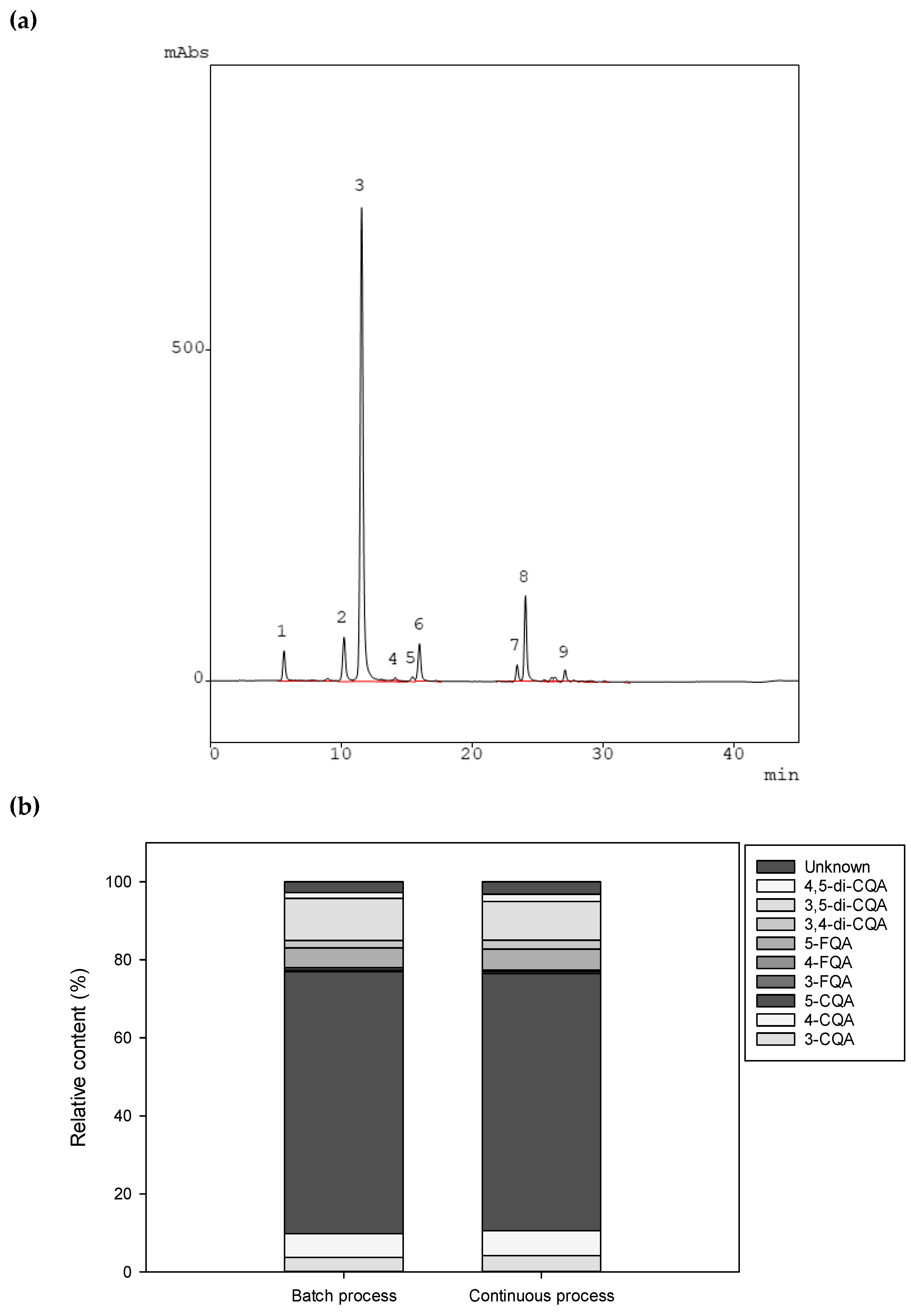
2.2.4. Determination of Caffeine Content and Composition of Major Phenolic Compounds by High-Performance Liquid Chromatography (HPLC)
2.2.5. Reducing Sugars
2.2.6. Determination of Organic Acids
2.2.7. Antioxidant Capacity
2.2.8. Proteins and Free Amino Groups
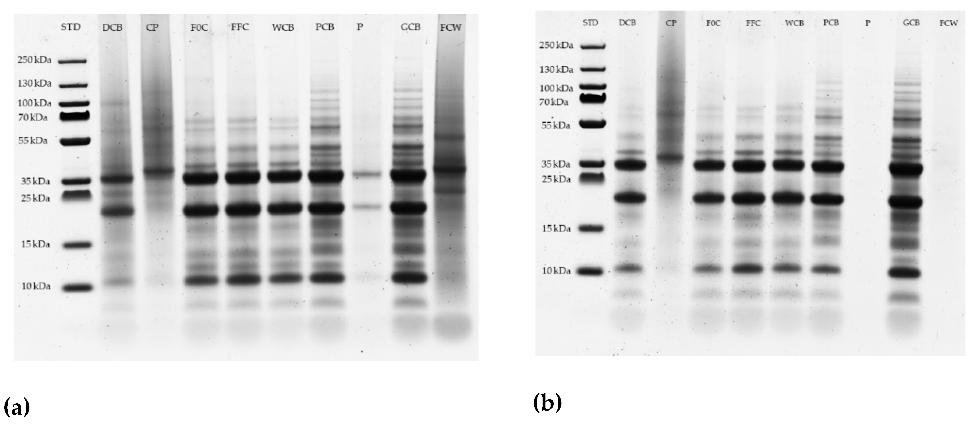
2.2.9. Sodium Dodecyl Sulfate-Polyacrylamide Gel Electrophoresis (SDS-PAGE)
2.2.10. Data Analysis
3. Results and Discussion
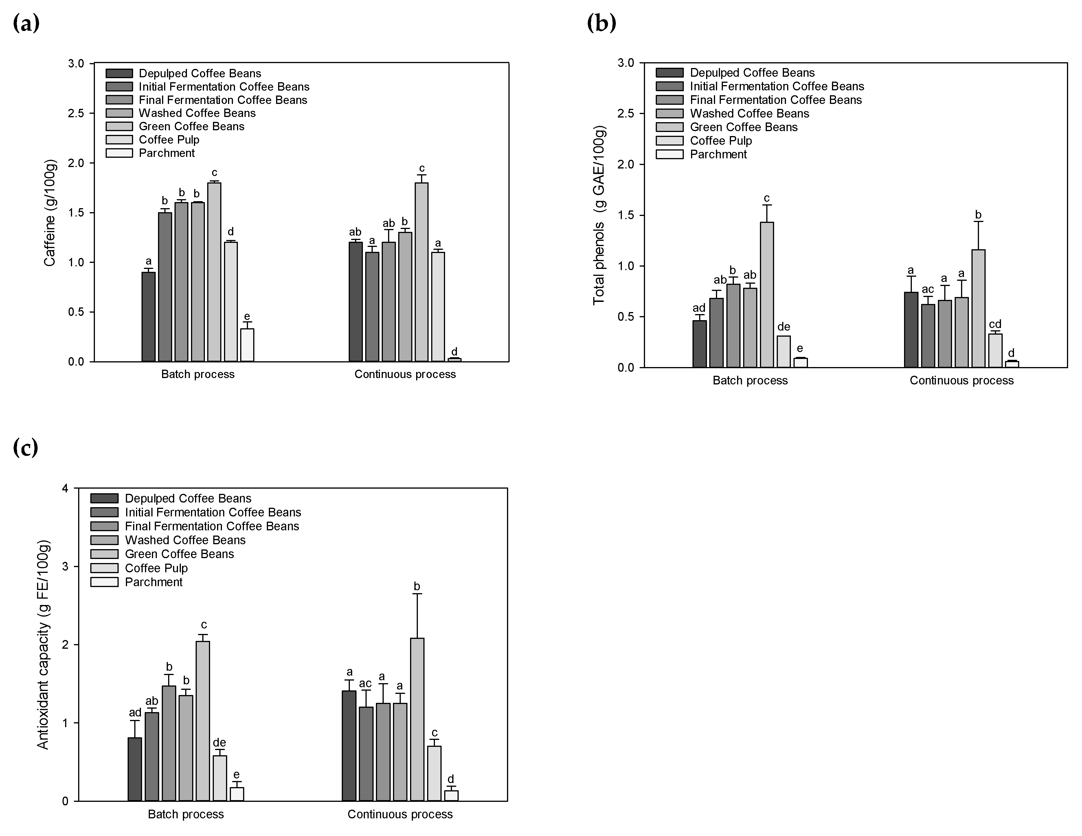
3.1. Caffeine, Total Phenols and Antioxidants Analysis
3.2. Organic Acids
3.3. Reducing Sugars
3.4. Soluble Proteins and Free Amino Groups
4. Conclusions
Author Contributions
Funding
Acknowledgments
Conflicts of Interest
References
- Favaro, C.P.; Baraldi, I.J.; Casciatori, F.P.; Farinas, C.S. Beta-mannanase production using coffee industry waste for application in soluble coffee processing. Biomolecules 2020, 10, 227. [Google Scholar] [CrossRef] [PubMed]
- Rattan, S.; Parande, A.K.; Nagaraju, V.D.; Ghiwari, G.K. A comprehensive review on utilization of wastewater from coffee processing. Environ. Sci. Pollut. Res. Int. 2015, 22, 6461–6472. [Google Scholar] [CrossRef] [PubMed]
- Rubayiza, A.B.; Meurens, M. Chemical discrimination of arabica and robusta coffees by fourier transform raman spectroscopy. J. Agric. Food Chem. 2005, 53, 4654–4659. [Google Scholar] [CrossRef] [PubMed]
- Dong, W.; Tan, L.; Zhao, J.; Hu, R.; Lu, M. Characterization of fatty acid, amino acid and volatile compound compositions and bioactive components of seven coffee (coffea robusta) cultivars grown in Hainan province, China. Molecules 2015, 20, 16687–16708. [Google Scholar] [CrossRef] [PubMed]
- Dong, W.; Cheng, K.; Hu, R.; Chu, Z.; Zhao, J.; Long, Y. Effect of microwave vacuum drying on the drying characteristics, color, microstructure, and antioxidant activity of green coffee beans. Molecules 2018, 23, 1146. [Google Scholar] [CrossRef] [PubMed]
- Mullen, W.; Nemzer, B.; Stalmach, A.; Ali, S.; Combet, E. Polyphenolic and hydroxycinnamate contents of whole coffee fruits from China, India, and Mexico. J. Agric. Food Chem. 2013, 61, 5298–5309. [Google Scholar] [CrossRef]
- Napolitano, A.; Fogliano, V.; Tafuri, A.; Ritieni, A. Natural occurrence of ochratoxin a and antioxidant activities of green and roasted coffees and corresponding byproducts. J. Agric. Food Chem. 2007, 55, 10499–10504. [Google Scholar] [CrossRef]
- Ramalakshmi, K.; Raghavan, B. Caffeine in coffee: Its removal. Why and how? Crit. Rev. Food Sci. Nutr. 1999, 39, 441–456. [Google Scholar] [CrossRef]
- Poltronieri, P.; Rossi, F. Challenges in specialty coffee processing and quality assurance. Challenges 2016, 7, 19. [Google Scholar] [CrossRef]
- Montavon, P.; Mauron, A.F.; Duruz, E. Changes in green coffee protein profiles during roasting. J. Agric. Food Chem. 2003, 51, 2335–2343. [Google Scholar] [CrossRef]
- de Merlo Pereira, G.V.; Thomaz Soccol, V.; Kaur Brar, S.; Neto, E.; Soccol, C.R. Microbial ecology and starter culture technology in coffee processing. Crit. Rev. Food Sci. Nutr. 2015. [Google Scholar] [CrossRef]
- Avallone, S.; Guyot, B.; Brillouet, J.M.; Olguin, E.; Guiraud, J.P. Microbiological and Biochemical Study of Coffee Fermentation. Curr. Microbiol. 2001, 42, 252–256. [Google Scholar] [CrossRef] [PubMed]
- Payel, G.; Venkatachalapathy, N. Processing and drying of coffee—A review. Int. J. Eng. Res. Technol. 2014, 3, 784–794. [Google Scholar]
- Kleinwächter, M.; Bytof, G.; Selmar, D. Coffee beans and processing. In Coffee in Health and Disease Prevention; Preedy, V.R., Ed.; Academic Press: Cambridge, MA, USA, 2015; pp. 73–81. [Google Scholar] [CrossRef]
- Galanakis, C.M. Handbook of Coffee Processing By-Products Sustainable Applications; Elsevier: Amsterdam, The Netherlands, 2017. [Google Scholar]
- Chala, B.; Oechsner, H.; Müller, J. Introducing temperature as variable parameter into kinetic models for anaerobic fermentation of coffee husk, pulp and mucilage. Appl. Sci. 2019, 9, 412. [Google Scholar] [CrossRef]
- von Enden, J.C.; Calvert, K.C. Review of Coffee Waste Water Characteristics and Aproaches to Treatment; PPP Project, “Improvement of Coffee Quality and Sustainability of Coffee Production in Vietnam”; German Technical Cooperation Agency (GTZ): Quang Tri, Vietnam; CEO Renertech Consulting: Invercargill, New Zealand, 2002; pp. 1–10. [Google Scholar]
- Tolessa, K.; Rademaker, M.; Baets, B.D.; Boeckx, P. Prediction of specialty coffee cup quality based on near infrared spectra of green coffee beans. Talanta 2016, 150, 367–374. [Google Scholar] [CrossRef] [PubMed]
- Rothfos, B. Coffee Production; Gordian-Max-Rieck: Hamburg, Germany, 1980. [Google Scholar]
- Singleton, V.L.; Orthofer, R.; Lamuela-Raventós, R.M. Analysis of total phenols and other oxidation substrates and antioxidants by means of folin-ciocalteu reagent. Methods Enzymol. 1999, 299, 152–178. [Google Scholar] [CrossRef]
- Lowry, O.H.; Rosebrough, N.J.; Farr, A.L.; Randall, R.J. Protein measurement with the Folin phenol reagent. J. Biol. Chem. 1951, 193, 265–275. [Google Scholar] [PubMed]
- Franca, A.S.; Oliveira, L.S.; Mendonça, J.C.F.; Silva, X.N.A. Physical and chemical attributes of defective crude and roasted coffee beans. Food Chem. 2005, 90, 89–94. [Google Scholar] [CrossRef]
- Ramalakshmi, K.; Kubra, I.R.; Rao, L.J.M. Physicochemical characteristics of green coffee: Comparison of graded and defective beans. J. Food Sci. 2007, 72, S333–S337. [Google Scholar] [CrossRef]
- dePaula, J.; Farah, A. Caffeine consumption through coffee: Content in the beverage, metabolism, health benefits and risks. Beverages 2019, 5, 37. [Google Scholar] [CrossRef]
- Rawel, H.M.; Rohn, S.; Kroll, J. Characterisation of 11s protein fractions and phenolic compounds from green coffee beans under special consideration of their interactions: A review. Dtsch. Lebensm. Rundsch. 2005, 101, 148–160. [Google Scholar]
- Ali, M.; Homann, T.; Kreisel, J.; Khalil, M.; Puhlmann, R.; Kruse, H.P.; Rawel, H. Characterization and modeling of the interactions between coffee storage proteins and phenolic compounds. J. Agric. Food Chem. 2012, 60, 11601–11608. [Google Scholar] [CrossRef] [PubMed]
- Rodriguez-Gomez, R.; Vanheuverzwjin, J.; Souard, F.; Delporte, C.; Stevigny, C.; Stoffelen, P.; De Braekeleer, K.; Kauffmann, J.M. Determination of three main chlorogenic acids in water extracts of coffee leaves by liquid chromatography coupled to an electrochemical detector. Antioxidants 2018, 7, 143. [Google Scholar] [CrossRef] [PubMed]
- Calle, V.H. Activadores bioquimicos para la fermentación del café. Cenicafé 1957, 8, 94–101. [Google Scholar]
- Frank, H.A.; De la Cruz, A.S. Role of incidental microgolora in natural decomposition of mucilage layer in kona coffee cherries. J. Food Sci. 1964, 29, 850–853. [Google Scholar] [CrossRef]
- Frank, H.A.; Lum, A.N.; De La Cruz, A.S. Bacteria responsible for mucilage layer decomposition in Kona cffee cherries. Appl. Microbiol. 1965, 13, 201–207. [Google Scholar] [CrossRef]
- Avallone, S.; Brillouet, J.M.; Guyot, B.; Olguin, E.; Guiraud, J.P. Involvemnt of pectolytic micro-organisms in coffee fermentation. Int. J. Food Sci. Technol. 2002, 37, 191–198. [Google Scholar] [CrossRef]
- Lopez, C.I.; Bautista, E.; Moreno, E.; Dentan, E. Factors related to the formation of ‘‘overfermented coffee beans’’ during the wet processing method and storage of coffee. In Proceedings of the 13th International Scientific Colloquium on Coffee ASIC, Paipa, Colombia, 21–25 August 1989; pp. 373–384. [Google Scholar]
- Sivetz, M. Coffee Processing Technology; AVIC: Westport, CT, USA, 1963; Volume 2. [Google Scholar]
- Jham, G.N.; Fernandes, S.A.; Garcia, C.F.; Silva, A.A.D. Comparison of GC and HPLC for the quantification of organic acids in coffee. Phytochem. Anal. 2002, 13, 99–104. [Google Scholar] [CrossRef]
- Silva, C.F.; Vilela, D.M.; de Souza Cordeiro, C.; Duarte, W.F.; Dias, D.R.; Schwan, R.F. Evaluation of a potencial starter culture for enhance quality of coffee fermentation. World J. Microbiol. Biotechnol. 2013, 29, 235–247. [Google Scholar] [CrossRef]
- Lee, L.W.; Cheong, M.W.; Curran, P.; Yu, B.; Liu, S.Q. Coffee fermentation and flavor—An intricate and delicate relationship. Food Chem. 2015, 185, 182–191. [Google Scholar] [CrossRef]
- Vásquez Morera, R. Influencia de la recirculación de las aguas del despulpado del cafe sobre su calidad. In Proceedings of the Seminario Regional sobre el Mejoramiento de la Calidad del Café, San Pedro Sula, Honduras, 22–24 September 1993. [Google Scholar]
- Jacquet, M. Alternativas Tecnológicas del Beneficiado Húmedo en Relación con la Conservación del Medio Ambiente; Boletín de Promecafé (IICA) No. 61; Promecafé (IICA): San Pedro Sula, Honduras, 1993; pp. 5–10. [Google Scholar]
- Knopp, S.; Bytof, G.; Selmar, D. Influence of processing on the content of sugars in green arabica coffee beans. Eur. Food Res. Technol. 2006, 223, 195–201. [Google Scholar] [CrossRef]
- Borém, F.M.; Figueiredo, L.P.; Ribeiro, F.C.; Taveira, J.H.S.; Giomo, G.S.; Salva, T.J.G. The relationship between organic acids, sucrose and the quality of specialty coffees. Afr. J. Agric. Res. 2016, 11, 709–717. [Google Scholar]
- Acidri, R.; Sawai, Y.; Sugimoto, Y.; Handa, T.; Sasagawa, D.; Masunaga, T.; Yamamoto, S.; Nishihara, E. Phytochemical profile and antioxidant capacity of coffee plant organs compared to green and roasted coffee beans. Antioxidants 2020, 9, 93. [Google Scholar] [CrossRef] [PubMed]
- Kinyua, A.W.; Kpkorrir, R.; Mugendi, B.W.; Cecilia, K. Effect of different fermentation methods on physicochemical composition and sensory quality of coffee (coffea arabica). J. Environ. Sci. Toxicol. Food Technol. 2017, 11, 31–36. [Google Scholar]
- Jackels, S.C.J.; Charles, F. Characterization of the coffee mucilage fermentation process using chemical indicators: A field study in Nicaragua. J. Food Sci. 2005, 70, C321–C325. [Google Scholar] [CrossRef]
- Shimizu, M.M.; Mazzafera, P. Compositional changes of proteins and amino acids in germinating coffee seeds. Braz. Arch. Biol. Technol. 2000, 43, 259–265. [Google Scholar] [CrossRef][Green Version]
- Acuña, R.; Bassüner, R.; Beilinson, V.; Cortina, H.; Cadena-Gómez, G.; Montes, V.; Nielsen, N.C. Coffee seeds contain 11S storage proteins. Physiol. Plant. 1999, 105, 122–131. [Google Scholar] [CrossRef]
- Baú, S.M.T.; Mazzafera, P.; Santoro, L.G. Seed storage proteins in coffee. Rev. Bras. Fisiol. Veg. 2001, 13, 33–40. [Google Scholar] [CrossRef]
- Rogers, W.J.; Bézard, G.; Deshayes, A.; Meyer, I.; Pétiard, V.; Marraccini, P. Biochemical and molecular characterization and expression of the 11S-type storage protein from Coffea arabica endosperm. Plant. Physiol. Biochem. 1999, 37, 261–272. [Google Scholar] [CrossRef]
- Shutov, A.D.; Vaintraub, I.A. Degradation of storage proteins in germinating seeds. Phytochemistry 1987, 26, 1557–1566. [Google Scholar] [CrossRef]
- Fukushima, D. Structures of plant storage proteins and their functions. Food Rev. Int. 1991, 7, 353–381. [Google Scholar] [CrossRef]






| Coffee and By-Product Samples (g/100 g) | Wastewater Samples (mg/L) | ||||||||||
|---|---|---|---|---|---|---|---|---|---|---|---|
| DCB | F0C | FFC | WCB | GCB | CP | P | DCW | FCW | WCW | ||
| Batch | Citric acid | 0.60 ± 0.03 a | 0.80 ± 0.05 b | 0.94 ± 0.01 c | 0.92 ± 0.02 cb | 1.03 ± 0.02 c | 1.25 ± 0.03 d | 0.16 ± 0.05 e | 72.0 ± 4.1 a | 847.0 ± 74.3 b | 68.8 ± 17.2 a |
| Malic acid | 1.02 ± 0.00 a | 0.21 ± 0.00 b | 0.26 ± 0.06 b | 0.28 ± 0.07 b | 0.38 ± 0.02 b | 1.64 ± 0.05 c | 0.13 ± 0.02 b | 111.9 ± 3.0 a | 483.0 ± 26.8 b | 35.2 ± 0.7 c | |
| Lactic acid | 0.79 ± 0.07 a | 0.17 ± 0.04 b | 0.23 ± 0.01 b | 0.20 ± 0.00 b | 0.48 ± 0.03 c | 0.96 ± 0.00 d | n.d | 1082.1 ± 32.9 a | 2687.1 ± 23.0 b | 182.6 ± 7.2 c | |
| Acetic acid | n.d | n.d | n.d | n.d | n.d | n.d | n.d | 241.4 ± 26.6 a | 839.8 ± 12.0 b | 63.7 ± 8.8 c | |
| Propionic acid | 0.77 ± 0.23 a | 0.77 ± 0.23 a | 0.11 ± 0.01 b | n.d | n.d | n.d | n.d | n.d | 1679.3 ± 67.9 | n.d | |
| Continuous | Citric acid | 0.74 ± 0.01 a | 0.87 ± 0.02 a | 0.69 ± 0.00 a | 0.71 ± 0.07 a | 0.99 ± 0.00 a | 1.20 ± 0.03 c | n.d | n.d | 8.0 ± 2.4 | n.d |
| Malic acid | 0.63 ± 0.02 ab | 0.72 ± 0.00 a | 0.44 ± 0.01 b | 0.52 ± 0.09 ab | 0.56 ± 0.04 ab | 3.42 ± 0.26 c | n.d | 14.5 ± 0.2 a | 18.4 ± 0.6 a | n.d | |
| Lactic acid | 0.36 ± 0.01 a | 0.36 ± 0.02 a | 0.13 ± 0.02 b | 0.16 ± 0.01 b | 0.49 ± 0.05 c | 0.69 ± 0.08 d | n.d | 330.1 ± 8.4 a | 373.5 ± 15.0 a | n.d | |
| Acetic acid | n.d | n.d | n.d | n.d | n.d | n.d | n.d | 92.4 ± 3.3 a | 81.7 ± 2.5 a | n.d | |
| Propionic acid | n.d | n.d | n.d | n.d | n.d | n.d | n.d | 10.6 ± 3.3 | n.d | n.d | |
| Coffee and By-Product Samples (g/100 g DW) | Wastewater Samples (mg/L) | ||||||||||
|---|---|---|---|---|---|---|---|---|---|---|---|
| DCB | F0C | FFC | WCB | GCB | CP | P | DCW | FCW | WCW | ||
| Batch | Arabinose | 0.22 ± 0.01 a | 0.13 ± 0.04 b | 0.11 ± 0.01 b | n.d | n.d | 0.18 ± 0.02 a | n.d | 25.0 ± 1.0 a | 610.3 ± 57.2 b | 24.7 ± 2.1 a |
| Fructose | 5.63 ± 0.15 a | 0.59 ± 0.04 b | 0.66 ± 0.04 b | 0.39 ± 0.03 b | n.d | 9.48 ± 0.43 c | n.d | 43.3 ± 0.6 a | 327.7 ± 30.4 b | 47.0 ± 2.6 a | |
| Mannose | 0.70 ± 0.02 a | 0.21 ± 0.02 b | 0.18 ± 0.02 b | 0.16 ± 0.01 b | n.d | 0.92 ± 0.08 c | 0.17 ± 0.01 b | 1308.0 ± 46.6 a | 1720.3 ± 65.5 b | 151.0 ± 7.9 c | |
| Glucose | 4.91 ± 0.19 a | 0.91 ± 0.06 b | 1.13 ± 0.07 b | 0.80 ± 0.05 bd | 0.66 ± 0.04 bd | 8.72 ± 0.48 c | 0.23 ± 0.01 d | 253.3 ± 11.1 a | 1400.3 ± 88.6 b | 87.0 ± 5.6 c | |
| Sucrose | 0.49 ± 0.03 a | 1.69 ± 0.08 b | 2.10 ± 0.11 bc | 2.44 ± 0.17 c | 4.96 ± 0.25 d | n.d | 0.04 ± 0.01 e | n.d | n.d | n.d | |
| Continuous | Arabinose | n.d | n.d | n.d | n.d | n.d | n.d | n.d | 34.7 ± 1.2 a | 34.7 ± 2.1 a | n.d |
| Fructose | 1.68 ± 0.16 a | 1.81 ± 0.15 a | 0.20 ± 0.01 b | 0.27 ± 0.02 b | n.d | 9.74 ± 0.72 c | n.d | n.d | 29.0 ± 1.4 | n.d | |
| Mannose | 0.21 ± 0.01 a | 0.42 ± 0.04 b | 0.16 ± 0.00 a | 0.23 ± 0.02 a | 0.17 ± 0.01 a | 0.88 ± 0.08 c | n.d | 395.0 ± 14.2 a | 482.7 ± 22.2 b | n.d | |
| Glucose | 1.56 ± 0.12 a | 1.81 ± 0.15 a | 0.52 ± 0.04 b | 0.61 ± 0.04 b | 0.58 ± 0.05 b | 8.29 ± 0.59 c | n.d | 66.0 ± 3.6 a | 77.0 ± 2.6 a | n.d | |
| Sucrose | 2.66 ± 0.17 a | 2.05 ± 0.15 b | 2.29 ± 0.23 ab | 2.47 ± 0.18 a | 5.07 ± 0.39 c | n.d | n.d | n.d | n.d | n.d | |
© 2020 by the authors. Licensee MDPI, Basel, Switzerland. This article is an open access article distributed under the terms and conditions of the Creative Commons Attribution (CC BY) license (http://creativecommons.org/licenses/by/4.0/).
Share and Cite
Figueroa Campos, G.A.; Sagu, S.T.; Saravia Celis, P.; Rawel, H.M. Comparison of Batch and Continuous Wet-Processing of Coffee: Changes in the Main Compounds in Beans, By-Products and Wastewater. Foods 2020, 9, 1135. https://doi.org/10.3390/foods9081135
Figueroa Campos GA, Sagu ST, Saravia Celis P, Rawel HM. Comparison of Batch and Continuous Wet-Processing of Coffee: Changes in the Main Compounds in Beans, By-Products and Wastewater. Foods. 2020; 9(8):1135. https://doi.org/10.3390/foods9081135
Chicago/Turabian StyleFigueroa Campos, Gustavo A., Sorel Tchewonpi Sagu, Pedro Saravia Celis, and Harshadrai M. Rawel. 2020. "Comparison of Batch and Continuous Wet-Processing of Coffee: Changes in the Main Compounds in Beans, By-Products and Wastewater" Foods 9, no. 8: 1135. https://doi.org/10.3390/foods9081135
APA StyleFigueroa Campos, G. A., Sagu, S. T., Saravia Celis, P., & Rawel, H. M. (2020). Comparison of Batch and Continuous Wet-Processing of Coffee: Changes in the Main Compounds in Beans, By-Products and Wastewater. Foods, 9(8), 1135. https://doi.org/10.3390/foods9081135

