Effect of Oxidation on Quality of Chiba Tofu Produced by Soy Isolate Protein When Subjected to Storage
Abstract
1. Introduction
2. Materials and Methods
2.1. Materials
2.2. Storage Experiment
2.3. Stepwise Method for Chiba Tofu Preparation
- (A)
- Preparation of slurry: The SPI stock dispersion was prepared with SPI (15 g), starch (5 g) and distilled water (80 mL) in a Braun mixer (K600, Braun, Hamburg, Germany) at a speed setting of 3 (~1000 r/min) for 3 min. Then MTGase at an enzyme concentration of 10 U g−1 of protein was added in SPI dispersion and stirred for 2 min until homogeneous at a setting of 9 (~3000 r/min). Then, the mixture was mixed with soy oil, starch and salt and stirred at setting 3. Finally, setting 9 was used for 5 min under low-temperature using an ice bath to obtain a uniform slurry without small bubbles.
- (B)
- Aging: The slurry was poured into a tray (26~36 cm) with a thickness of 3~4 cm. The slurry surface was covered with plastic wrap. Then, put the tray into the refrigerator (4 °C) for 10 h.
- (C)
- Steam: the tray was placed on a water bath at 80–85 °C to float for 40 min until the center temperature was >75 °C.
- (D)
- Pressing: After cooling down to room temperature, the samples were transferred to a plastic mold (3 × 3 × 3 cm3) and pressed with ion blocks. The pieces were put into a plastic food bag to store at (−18 ± 2 °C).
2.4. Carbonyl Analysis
2.5. SH and S-S Content Analysis
2.6. Turbidity Content Analysis
2.7. Raman Spectroscopy Analysis
2.8. Sodium Dodecyl Sulfate-Polyacrylamide Gel Electrophoresis (SDS–PAGE) Analysis
2.9. Rheology Analysis
2.10. Scanning Electron Microscopy (SEM) Analysis
2.11. Texture Analysis
2.12. Sensory Evaluations
2.13. Statistical Analysis
3. Results
3.1. Determination of Oxidation Degree in SPI during the Storage Period
3.1.1. Carbonyls Analysis
3.1.2. Disulfide Bond Analysis
3.1.3. Turbidity Analysis
3.2. Characterization of Structural Characteristics in SPI
3.2.1. The Secondary Structure of SPI Analysis
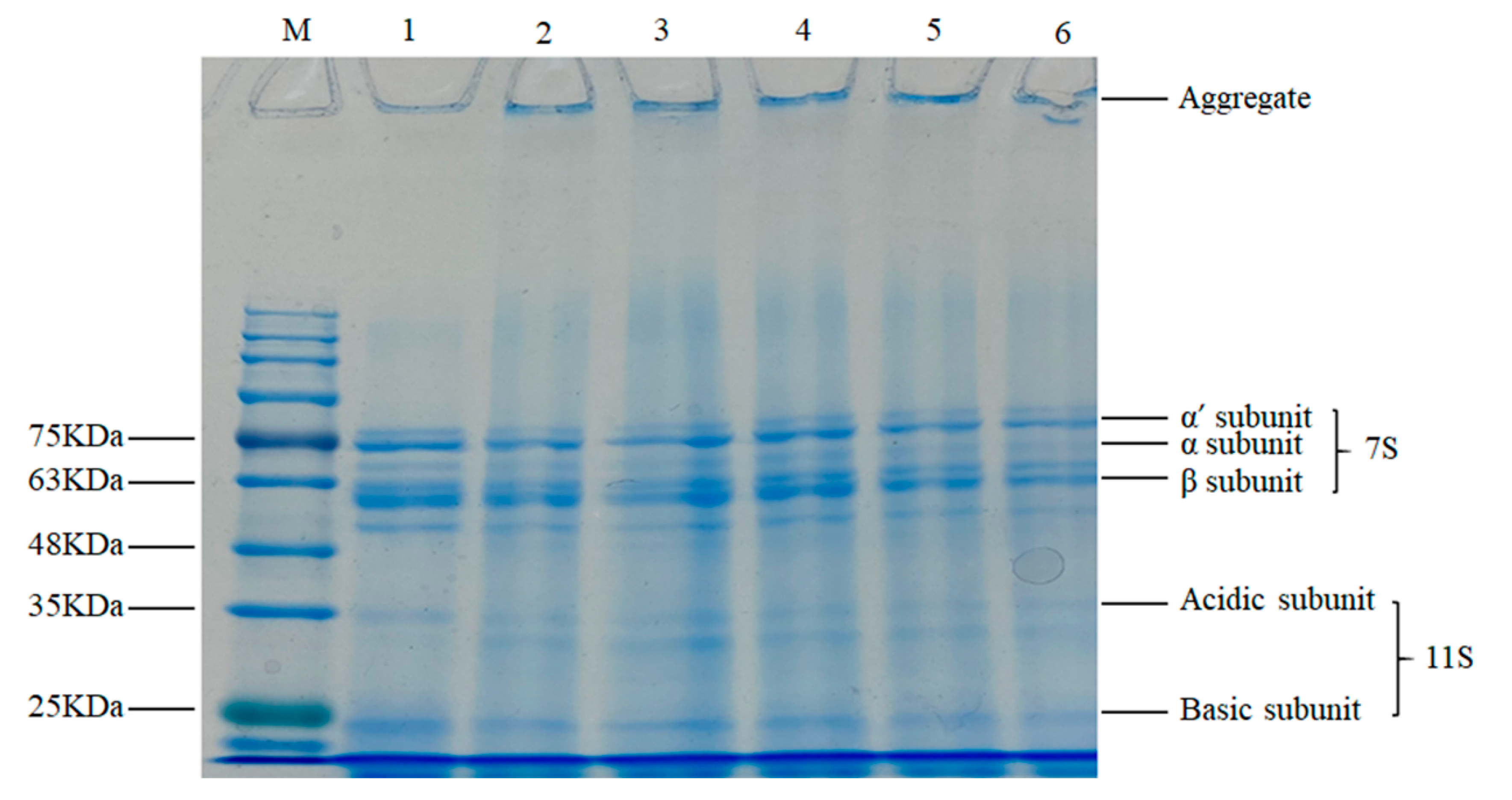
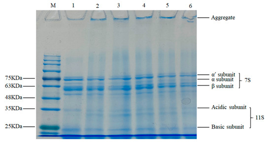
3.2.2. SDS–PAGE Analysis
3.3. Characterization of Quality of Chiba Tofu
3.3.1. Rheological Analysis
3.3.2. SEM Analysis
3.3.3. Texture Analysis
3.3.4. Sensory Evaluation
4. Conclusions
Author Contributions
Funding
Acknowledgments
Conflicts of Interest
References
- Wei, W.; Wu, X.; Hua, Y. Structural modification of soy protein by the lipid peroxidation product acrolein. J. Sci. Food Agric. 2010, 89, 1416–1423. [Google Scholar] [CrossRef]
- Lim, B.T.; Deman, J.M.; Deman, L.; Buzzell, R.I. Yield and Quality of Tofu as Affected by Soybean and Soymilk Characteristics. Calcium Sulfate Coagulant. J. Food Sci. 2010, 55, 1088–1092. [Google Scholar] [CrossRef]
- Oboh, G. Coagulants modulate the hypocholesterolemic effect of tofu (coagulated soymilk). Afr. J. Biotechnol. 2006. [Google Scholar] [CrossRef] [PubMed]
- Zhang, M.; Wang, P.; Zou, M.; Yang, R.; Tian, M.; Gu, Z. Microbial transglutaminase-modified protein network and its importance in enhancing the quality of high-fiber tofu with okara. Food Chem. 2019, 289, 169–176. [Google Scholar] [CrossRef] [PubMed]
- Nonaka, M.; Sakamoto, H.; Toiguchi, S.; Yamagiwa, K.; Soeda, T.; Motoki, M. Retort-resistant tofu prepared by incubation with microbial transglutaminase. Food Hydrocoll. 1996, 10, 41–44. [Google Scholar] [CrossRef]
- Singh, P.; Kumar, R.; Sabapathy, S.N.; Bawa, A.S. Functional and Edible Uses of Soy Protein Products. Compr. Rev. Food Sci. Food Saf. 2010, 7, 14–28. [Google Scholar] [CrossRef]
- Refsgaard, H.H.F.; Tsai, L.; Stadtman, E.R. Modifications of proteins by polyunsaturated fatty acid peroxidation products. Proc. Natl. Acad. Sci. USA 2005, 97, 611–616. [Google Scholar] [CrossRef]
- Adams, A.; De Kimpe, N.; Van Boekel, M.A.J.S. Modification of Casein by the Lipid Oxidation Product Malondialdehyde. J. Agric. Food Chem. 2008, 56, 1713–1719. [Google Scholar] [CrossRef]
- Chanarat, S.; Benjakul, S.; Xiong, Y.L. Physicochemical changes of myosin and gelling properties of washed tilapia mince as influenced by oxidative stress and microbial transglutaminase. J. Food Sci. Technol. 2014, 52, 3824–3836. [Google Scholar] [CrossRef]
- Zhou, F.; Zhao, M.; Su, G.; Cui, C.; Sun, W. Gelation of salted myofibrillar protein under malondialdehyde-induced oxidative stress. Food Hydrocoll. 2014, 40, 153–162. [Google Scholar] [CrossRef]
- Lu, H.; Zhang, L.; Li, Q.; Luo, Y. Comparison of gel properties and biochemical characteristics of myofibrillar protein from bighead carp (Aristichthys nobilis) affected by frozen storage and a hydroxyl radical-generation oxidizing system. Food Chem. 2017, 223, 96–103. [Google Scholar] [CrossRef]
- Folk, J.E.; Cole, P.W. Structural requirements of specific substrates for guinea pig liver transglutaminase. J. Biol. Chem. 1965, 240, 2951–2960. [Google Scholar]
- Zheng, L.; Wang, Z.J.; Kong, Y.; Ma, Z.L.; Li, Y. Different commercial soy protein isolates and the characteristics of Chiba tofu. Food Hydrocoll. 2020, 110, 106–115. [Google Scholar] [CrossRef]
- Oliver, C.N.; Ahn, B.W.; Moerman, E.J.; Goldstein, S.; Stadtman, E.R. Age-related changes in oxidized proteins. J. Biol. Chem. 1987, 262, 5488–5491. [Google Scholar]
- Ellman, G.L. Tissue sulfhydryl groups. Arch Biochem. Biophys. 1959, 82, 70–77. [Google Scholar] [CrossRef]
- Zhu, Y.; Li, Y.; Wu, C.; Teng, F.; Qi, B.; Zhang, X.; Zhou, L.; Yu, G.; Wang, H.; Zhang, S.; et al. Stability Mechanism of Two Soybean Protein-Phosphatidylcholine Nanoemulsion Preparation Methods from a Structural Perspective: A Raman Spectroscopy Analysis. Sci. Rep. 2019, 9, 1–11. [Google Scholar] [CrossRef]
- Noh, E.J.; Park, S.Y.; Pak, J.I.; Hong, S.T.; Yun, S.E. Coagulation of soymilk and quality of tofu as affected by freeze treatment of soybeans. Food Chem. 2005, 91, 715–721. [Google Scholar] [CrossRef]
- Han-Sul, Y.; Sung-Gil, C.; Jin-Tae, J.; Gu-Boo, P.; Seon-Tea, J. Textural and sensory properties of low fat pork sausages with added hydrated oatmeal and tofu as texture-modifying agents. Meat Sci. 2007, 75, 283–289. [Google Scholar] [CrossRef]
- Meng, S.; Chang, S.; Gillen, A.M.; Zhang, Y. Protein and quality analyses of accessions from the USDA soybean germplasm collection for tofu production. Food Chem. 2016, 213, 31–39. [Google Scholar] [CrossRef]
- Fasoyiro, S.B. Physical, Chemical and Sensory Qualities of Roselle Water Extract-coagulated Tofu Compared with Tofu from Two Natural Coagulants. Niger. Food J. 2014, 32, 97–102. [Google Scholar] [CrossRef]
- Li, Q.; Zheng, J.; Ge, G.; Zhao, M.; Sun, W. Impact of heating treatments on physical stability and lipid-protein co-oxidation in oil-in-water emulsion prepared with soy protein isolates. Food Hydrocoll. 2020, 100. [Google Scholar] [CrossRef]
- Davies, M.J. The oxidative environment and protein damage. Biochim. Biophys. Acta Proteins Proteom. 2005, 1703, 93–109. [Google Scholar] [CrossRef]
- Stadtman, E.R.; Levine, R.L. Free radical-mediated oxidation of free amino acids and amino acid residues in proteins. Amino Acids 2003, 25, 207–218. [Google Scholar] [CrossRef]
- Estevez, M. Protein carbonyls in meat systems: A review. Meat Sci. 2011, 89, 259–279. [Google Scholar] [CrossRef]
- Headlam, H.A.; Davies, M.J. Markers of protein oxidation: Different oxidants give rise to variable yields of bound and released carbonyl products. Free Radic. Biol. Med. 2004, 36, 1175–1184. [Google Scholar] [CrossRef]
- Thomas, N.M. Role of oxidative carbonylation in protein quality control and senescence. EMBO J. 2014, 24, 1311–1317. [Google Scholar] [CrossRef]
- Liu, Z.; Xiong, Y.L.; Chen, J. Identification of Restricting Factors That Inhibit Swelling of Oxidized Myofibrils during Brine Irrigation. J. Agric. Food Chem. 2009, 57, 10999–11007. [Google Scholar] [CrossRef]
- Philip, E. Protein thiol oxidation in health and disease: Techniques for measuring disulfides and related modifications in complex protein mixtures. Free Radic. Biol. Med. 2006, 40, 1889–1899. [Google Scholar] [CrossRef]
- Liu, B.; Hui, W.; Tan, H.; Zhang, P.; Zhuo, Z.; Pan, S.; Hao, H. Ball-milling changed the physicochemical properties of SPI and its cold-set gels. J. Food Eng. 2017, 195, 158–165. [Google Scholar] [CrossRef]
- Stoppini, M.; Bellotti, V. Systemic amyloidosis: Lessons from β2-microglobulin. J. Biol. Chem. 2015, 290, 9951–9958. [Google Scholar] [CrossRef]
- Mahler, H.C.; Friess, W.; Grauschopf, U.; Kiese, S. Protein aggregation: Pathways, induction factors and analysis. J. Pharm. Sci. 2010, 98, 2909–2934. [Google Scholar] [CrossRef]
- Hall, D.; Zhao, R.; Dehlsen, I.; Bloomfield, N.; Carver, J.A. Protein Aggregate Turbidity: Simulation of Turbidity Profiles for Mixed Aggregation Reactions. Anal. Biochem. 2016, 498, 78–94. [Google Scholar] [CrossRef]
- Farhad, A.; Zahra, E.-D.; Shima, M.; Mehdi, M.; Maryam, S.; Akbar, M.-M.A. Effect of free radical-induced aggregation on physicochemical and interface-related functionality of egg white protein. Food Hydrocoll. 2018, 87, 734–746. [Google Scholar] [CrossRef]
- Joshi, V.; Shivach, T.; Yadav, N.; Rathore, A.S. Circular Dichroism Spectroscopy as a Tool for Monitoring Aggregation in Monoclonal Antibody Therapeutics. Anal. Chem. 2014, 86, 11606–11613. [Google Scholar] [CrossRef]
- Shi, Y.G.; Sun, B.Y. Effect of High Temperature and Humidity in Storage on Component of Soy Protein Isolate. Adv. Mater. Res. 2011, 204, 724–727. [Google Scholar] [CrossRef]
- Sun, W.; Zhou, F.; Sun, D.W.; Zhao, M. Effect of Oxidation on the Emulsifying Properties of Myofibrillar Proteins. Food Bioprocess Technol. 2013, 6, 1703–1712. [Google Scholar] [CrossRef]
- Arrese, E.L.; Sorgentini, D.A.; Wagner, J.R.; Anon, M.C. Electrophoretic, solubility, and functional properties of commercial soy protein isolates. J. Agric. Food Chem. 2012, 39, 1029–1032. [Google Scholar] [CrossRef]
- Kong, F.; Chang, S.K.C. Changes in Protein Characteristics during Soybean Storage under Adverse Conditions As Related to Tofu Making. J. Agric. Food Chem. 2018, 61, 387–393. [Google Scholar] [CrossRef]
- Yoo, B.; Figueiredo, A.A.; Rao, M.A. Rheological Properties of Mesquite Seed Gum in Steady and Dynamic Shear. LWT Food Sci. Technol. 1994, 27, 151–157. [Google Scholar] [CrossRef]
- Klost, M.; Brzeski, C.; Drusch, S. Effect of protein aggregation on rheological properties of pea protein gels. Food Hydrocoll. 2020, 108, 106036. [Google Scholar] [CrossRef]
- Ahmed, J.; Ramaswamy, H.S.; Alli, I. Thermorheological Characteristics of Soybean Protein Isolate. J. Food Sci. 2006, 71, 158–163. [Google Scholar] [CrossRef]
- Li, Y.; Li, X.; Wang, J.Z.; Zhang, C.H.; Xie, X.L. Effects of Oxidation on Water Distribution and Physicochemical Properties of Porcine Myofibrillar Protein Gel. Food Biophys. 2014, 9, 169–178. [Google Scholar] [CrossRef]
- Smyth, A.B.; Smith, D.M.; O’Neill, E. Disulfide Bonds Influence the Heat-induced Gel Properties of Chicken Breast Muscle Myosin. J. Food Sci. 2006, 63, 584–587. [Google Scholar] [CrossRef]
- Wang, Y.; Xiong, Y.L.; Rentfrow, G.K.; Newman, M.C. Oxidation promotes cross-linking but impairs film-forming properties of whey proteins. J. Food Eng. 2013, 115, 11–19. [Google Scholar] [CrossRef]
- Li, Y.; Kong, B.; Xia, X.; Liu, Q.; Diao, X. Structural changes of the myofibrillar proteins in common carp (Cyprinus carpio) muscle exposed to a hydroxyl radical-generating system. Process. Biochem. 2013, 48, 863–870. [Google Scholar] [CrossRef]
- Kamizake, N.K.K.; Silva, L.C.P.; Prudencio, S.H. Impact of soybean aging conditions on tofu sensory characteristics and acceptance. J. Sci. Food Agric. 2018, 98, 1132–1139. [Google Scholar] [CrossRef]





| Storage Time (Day) | Protein Carbonyl (mmol/g) | Free SH (mmol/g) | S-S Content (mmol/g) |
|---|---|---|---|
| 0 | 4.14 ± 0.15 f | 1.86 ± 0.01 a | 1.31 ± 0.02 b |
| 6 | 5.25 ± 0.09 e | 1.83 ± 0.03 b | 1.79 ± 0.02 a |
| 12 | 6.87 ± 0.17 d | 1.63 ± 0.03 c | 1.25 ± 0.10 b |
| 18 | 7.24 ± 0.19 c | 1.51 ±.0.01 d | 1.12 ± 0.10 c |
| 24 | 8.17 ± 0.17 b | 1.41 ± 0.03 f | 0.89 ± 0.01 d |
| 30 | 9.14 ± 0.11 a | 1.40 ± 0.01 e | 0.79 ± 0.05 d |
| Storage Time (day) | The Relative Content of Secondary Structures (%) | |||
|---|---|---|---|---|
| α-Helix | β-Sheet | β-Turn | Random Coil | |
| 0 | 37.28 ± 0.14 a | 11.99 ± 0.12 e | 15.18 ± 0.11 a | 36.55 ± 0.14 f |
| 6 | 36.06 ± 0.15 b | 12.02 ± 0.15 de | 14.87 ± 0.12 b | 37.03 ± 0.17 e |
| 12 | 36.91 ± 0.20 b | 12.30 ± 0.13 d | 14.32 ± 0.18 c | 37.47 ± 0.15 d |
| 18 | 35.25 ± 0.12 c | 13.41 ± 0.17 c | 13.35 ± 0.15 d | 37.99 ± 0.08 c |
| 24 | 34.07 ± 0.02 d | 14.56 ± 0.06 b | 12.37 ± 0.20 e | 38.97 ± 0.11 b |
| 30 | 33.65 ± 0.05 d | 15.27 ± 0.16 a | 11.61 ± 0.14 f | 39.47 ± 0.11 a |
| Storage Time (day) | Hardness (g) | Cohesiveness | Springiness (mm) | Gumminess (g) | Chewiness (g mm) |
|---|---|---|---|---|---|
| 0 | 223.64 ± 1.81 f | 0.93 ± 0.01 ab | 1.01 ± 0.01 c | 309.08 ± 0.88 a | 340.57 ± 0.02 a |
| 6 | 234.61 ± 1.48 d | 0.92 ± 0.01 b | 1.07 ± 0.02 b | 286.81 ± 0.61 b | 287.77 ± 0.02 b |
| 12 | 237.81 ± 1.55 e | 0.94 ± 0.01 ab | 1.13 ± 0.01 a | 239.84 ± 0.87 c | 230.36 ± 0.02 c |
| 18 | 257.20 ± 2.01 c | 0.93 ± 0.01 ab | 1.09 ± 0.01 b | 221.17 ± 0.75 d | 219.38 ± 0.03 d |
| 24 | 292.84 ± 1.33 b | 0.94 ± 0.02 a | 0.99 ± 0.01 d | 214.81 ± 0.43 e | 222.56 ± 0.06 e |
| 30 | 329.05 ± 0.44 a | 0.93 ± 0.01 ab | 0.96 ± 0.01 d | 203.87 ± 0.95 f | 202.85 ± 0.04 f |
| Storage Time (day) | Continuous Linear-Scale | Nine-Point Hedonic Scale | |||||
|---|---|---|---|---|---|---|---|
| Firmness | Elasticity | Smoothness | Taste | Flavor | Color | Overall, Quality | |
| 0 | 3.1 ± 0.12 d | 4.7 ± 0.42 f | 7.6 ± 0.53 b | 6.1 ± 0.02 a | 7.2 ± 0.02 a | 7.0 ± 0.14 a | 6.9 ± 0.09 c |
| 6 | 3.7 ± 0.23 d | 5.1 ± 1.20 e | 7.5 ± 1.01 b | 6.6 ± 0.04 b | 6.9 ± 0.05 b | 7.0 ± 0.16 a | 7.8 ± 0.07 b |
| 12 | 5.4 ± 0.74 d | 7.5 ± 0.78 a | 7.9 ± 1.15 b | 7.9 ± 0.01 c | 6.7 ± 0.02 c | 6.9 ± 0.13 a | 8.2 ± 0.05 a |
| 18 | 6.3 ± 0.24 c | 7.2 ± 0.17 b | 8.5 ± 0.90 ab | 5.7 ± 0.06 d | 6.5 ± 0.01 d | 6.9 ± 0.16 a | 6.5 ± 0.01 d |
| 24 | 7.5 ± 0.79 b | 6.9 ± 0.87 c | 9.7 ± 1.12 a | 4.9 ± 0.03 e | 5.7 ± 0.04 e | 7.0 ± 0.11 a | 6.1 ± 0.04 e |
| 30 | 9.7 ± 1.03 a | 6.3 ± 1.21 d | 9.9 ± 0.85 a | 4.0 ± 0.03 f | 4.4 ± 0.01 f | 6.9 ± 0.15 a | 5.2 ± 0.03 f |
| Soft Chiba tofu | 2 | 2 | 12 | - | - | - | - |
| Firm Chiba tofu | 14 | 14 | 5 | - | - | - | - |
Publisher’s Note: MDPI stays neutral with regard to jurisdictional claims in published maps and institutional affiliations. |
© 2020 by the authors. Licensee MDPI, Basel, Switzerland. This article is an open access article distributed under the terms and conditions of the Creative Commons Attribution (CC BY) license (http://creativecommons.org/licenses/by/4.0/).
Share and Cite
Xu, Y.; Wang, Z.; Qi, B.; Ran, A.; Guo, Z.; Jiang, L. Effect of Oxidation on Quality of Chiba Tofu Produced by Soy Isolate Protein When Subjected to Storage. Foods 2020, 9, 1877. https://doi.org/10.3390/foods9121877
Xu Y, Wang Z, Qi B, Ran A, Guo Z, Jiang L. Effect of Oxidation on Quality of Chiba Tofu Produced by Soy Isolate Protein When Subjected to Storage. Foods. 2020; 9(12):1877. https://doi.org/10.3390/foods9121877
Chicago/Turabian StyleXu, Yue, Zhongjiang Wang, Baokun Qi, Anqi Ran, Zengwang Guo, and Lianzhou Jiang. 2020. "Effect of Oxidation on Quality of Chiba Tofu Produced by Soy Isolate Protein When Subjected to Storage" Foods 9, no. 12: 1877. https://doi.org/10.3390/foods9121877
APA StyleXu, Y., Wang, Z., Qi, B., Ran, A., Guo, Z., & Jiang, L. (2020). Effect of Oxidation on Quality of Chiba Tofu Produced by Soy Isolate Protein When Subjected to Storage. Foods, 9(12), 1877. https://doi.org/10.3390/foods9121877

