Effect of Farming System on Grain Composition and Immunogenic Potential of Ancient and Modern Durum Wheat Varieties
Abstract
1. Introduction
2. Materials and Methods
2.1. Plant Material
2.2. Experimental Site
2.3. Analysis of Total Protein Content and Protein Fractions
2.4. Determination of Total Amino Acid (AA) Composition
2.5. Determination of Gluten Content
2.6. Determination of Starch Content
2.7. Immunochemical Reactivity Against Anti-Gliadin Antibodies
2.7.1. Production of Gluten Extracts
2.7.2. Sodium Dodecyl Sulfate Polyacrylamide Gel Electrophoresis (SDS-PAGE)
2.7.3. Western Blotting
2.8. Peptidomic Analysis
2.9. Mapping of Immunogenic Epitopes Against Identified Peptides
2.10. Statistical Analysis
3. Results and Discussion
3.1. Total Protein Content
3.2. Protein Composition
3.3. Quality Traits Related to Gluten
3.4. Amino Acid Composition
3.5. Starch, Amylose, and Amylopectin Contents
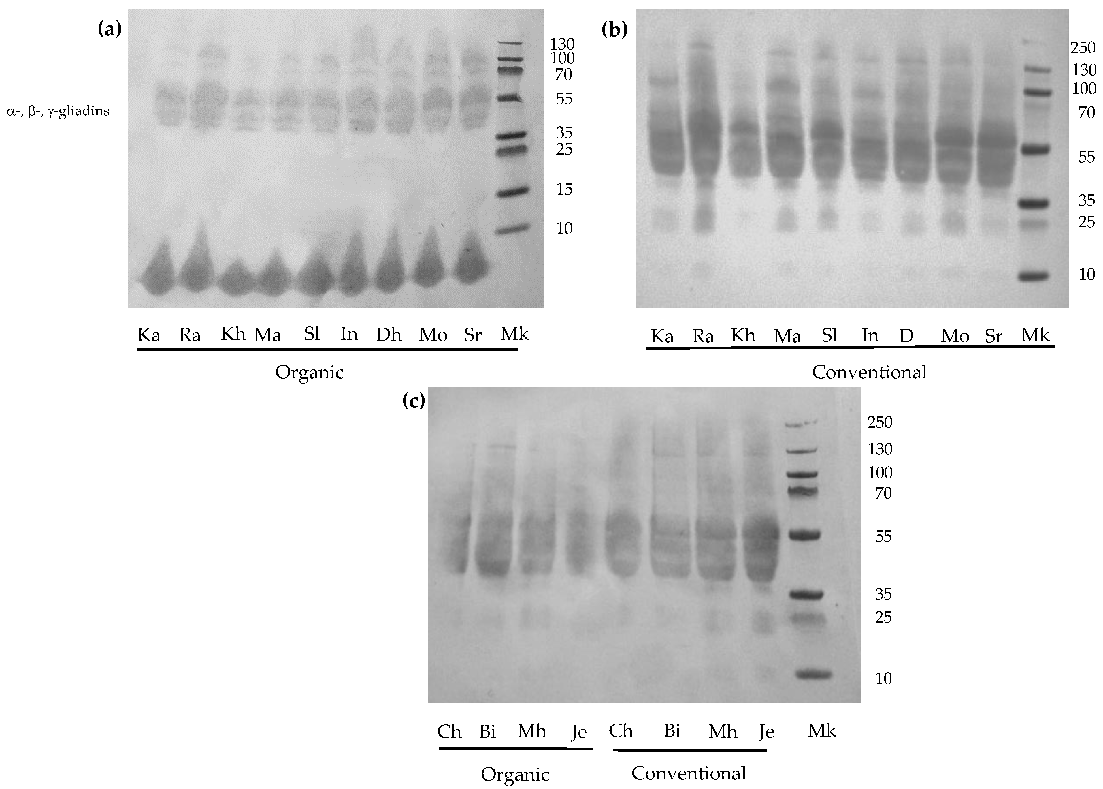
3.6. Protein Profile and Immunoreactivity of Wheat Varieties
3.7. Peptidomic Profile: UHPLC/ESI-MS/MS Analysis
4. Conclusions
Supplementary Materials
Author Contributions
Funding
Institutional Review Board Statement
Informed Consent Statement
Data Availability Statement
Acknowledgments
Conflicts of Interest
Abbreviations
| AA | Amino acids |
| HBr | Hydrogen bromide |
| HMW | High molecular weight glutenin |
| LMW | Low molecular weight glutenin |
| PVDF | Polyvinylidene Fluoride |
| PSMs | Peptide-spectrum matches |
Appendix A
| Source of Variation | df | Protein Content | Wet Gluten | Gluten Index | Dry Gluten | Albumin | Globulin | Gliadin | Glutenin | ω | αβ | γ |
|---|---|---|---|---|---|---|---|---|---|---|---|---|
| Corrected Model | 27 | 2.18 | 6.83 | 309.61 | 23.41 | 0.39 | 1.02 | 0.02 | 0.01 | 1.14 | 37.04 | 598.67 |
| Constant | 1 | 14,300.68 | 83,676.91 | 357,808.11 | 16,208.08 | 61,391.91 | 45,938.26 | 15.01 | 11.12 | 570.57 | 7665.78 | 256,613.73 |
| Replication | 2 | 0.00 | 0.16 | 4.08 | 0.16 | 0.56 | 0.12 | 0.00 | 0.00 | 0.06 | 0.32 | 4.52 |
| System | 1 | 1.44 *** | 9.74 *** | 449.76 *** | 0.05 ns | 0.51 ns | 1.58 ns | 0.06 *** | 0.04 *** | 0.71 *** | 13.39 *** | 355.88 *** |
| Variety | 12 | 3.01 *** | 7.40 *** | 488.27 *** | 32.00 *** | 0.38 ns | 1.20 * | 0.05 *** | 0.02 *** | 2.27 *** | 70.91 *** | 498.65 *** |
| System * Variety | 12 | 1.78 *** | 7.13 *** | 170.20 *** | 20.63 *** | 0.35 ns | 0.94 ns | 0.00 *** | 0.00 * | 0.22 *** | 11.25 *** | 817.95 *** |
| Error | 50 | 0.00 | 0.02 | 1.14 | 0.10 | 0.58 | 0.56 | 0.00 | 0.00 | 0.03 | 0.18 | 3.25 |
| Total | 78 | |||||||||||
| Corrected Total | 77 | |||||||||||
| CV | 6.45 | 4.63 | 15.12 | 20.10 | 2.55 | 3.46 | 0.00 | 0.00 | 15.70 | 36.49 | 25.27 | |
| R2 | 1.00 | 1.00 | 0.99 | 0.99 | 0.27 | 0.50 | 0.99 | 0.93 | 0.95 | 0.99 | 0.99 |
| Non-essential amino acid | |||||||||||
| df | Alanine | Glycine | Proline | Aspartic acid | Glutamic acid | Arginine | Tyrosine | Serine | Cysteine | Total | |
| Corrected Model | 27 | 0.01 | 0.01 | 0.11 | 0.02 | 2.07 | 0.02 | 0.01 | 0.02 | 0.01 | 5.07 |
| Constant | 1 | 16.04 | 20.50 | 120.90 | 33.78 | 1915.36 | 28.77 | 8.75 | 35.82 | 4.59 | 7319.83 |
| Replication | 2 | 0.00 | 0.00 | 0.00 | 0.00 | 0.00 | 0.00 | 0.00 | 0.00 | 0.00 | 0.00 |
| System | 1 | 0.00 *** | 0.00 *** | 0.00 ns | 0.00 ns | 1.53 *** | 0.00 *** | 0.00 ns | 0.00 * | 0.01 *** | 1.82 *** |
| Variety | 12 | 0.01 *** | 0.01 *** | 0.14 *** | 0.02 *** | 2.46 *** | 0.03 *** | 0.01 *** | 0.02 *** | 0.01 *** | 7.40 *** |
| System * Variety | 12 | 0.01 *** | 0.01 *** | 0.09 *** | 0.02 *** | 1.11 *** | 0.02 *** | 0.01 *** | 0.02 *** | 0.00 *** | 3.86 *** |
| Error | 50 | 0.00 | 0.00 | 0.00 | 0.00 | 0.00 | 0.00 | 0.00 | 0.00 | 0.00 | 0.00 |
| Total | 78 | ||||||||||
| Corrected Total | 77 | ||||||||||
| CV | 12.09 | 11.65 | 15.27 | 11.36 | 15.12 | 14.05 | 14.93 | 11.85 | 18.37 | 13.63 | |
| R2 | 0.97 | 0.98 | 1.00 | 0.98 | 1.00 | 0.98 | 0.95 | 0.98 | 0.91 | 1.00 | |
| Essential amino acid | |||||||||||
| df | Valine | Leucine | Isoleucine | Lysine | Histidine | Phenylalanine | Threonine | Methionine | Total | ||
| Corrected Model | 27 | 0.01 | 0.02 | 0.02 | 0.02 | 0.01 | 0.02 | 0.01 | 0.00 | 0.68 | |
| Constant | 1 | 23.73 | 56.36 | 13.53 | 10.09 | 9.51 | 27.29 | 11.13 | 1.88 | 1040.03 | |
| Replication | 2 | 0.00 | 0.00 | 0.00 | 0.00 | 0.00 | 0.00 | 0.00 | 0.00 | 0.01 | |
| System | 1 | 0.02 *** | 0.00 *** | 0.02 *** | 0.03 *** | 0.02 *** | 0.00 *** | 0.01 *** | 0.01 *** | 0.25 *** | |
| Variety | 12 | 0.02 *** | 0.02 *** | 0.02 *** | 0.02 *** | 0.01 *** | 0.02 *** | 0.01 *** | 0.00 *** | 0.75 *** | |
| System * Variety | 12 | 0.02 *** | 0.02 *** | 0.02 *** | 0.02 *** | 0.01 *** | 0.02 *** | 0.01 *** | 0.00 *** | 0.75 *** | |
| Error | 50 | 0.00 | 0.00 | 0.00 | 0.00 | 0.00 | 0.00 | 0.00 | 0.00 | 0.00 | |
| Total | 78 | ||||||||||
| Corrected Total | 77 | ||||||||||
| CV | 11.7 | 8.7 | 15.7 | 24.2 | 18.6 | 14.4 | 15.0 | 25.0 | 13.00 | ||
| R2 | 0.97 | 0.98 | 0.98 | 0.99 | 0.97 | 0.98 | 0.96 | 0.92 | 1.00 | ||
| Source of Variation | df | Total Starch | Amylose | Amylopectin |
|---|---|---|---|---|
| Corrected Model | 27 | 428.98 | 137.90 | 141.15 |
| Constant | 1 | 274,792.88 | 59,570.84 | 408,462.07 |
| Replication | 2 | 3.26 | 2.43 | 46.22 |
| System | 1 | 2687.99 *** | 752.31 *** | 752.37 *** |
| Variety | 12 | 573.66 *** | 156.37 *** | 156.34 *** |
| System * Variety | 12 | 167.02 *** | 90.80 *** | 90.85 *** |
| Error | 50 | 4.60 | 1.95 | 8.13 |
| Total | 78 | |||
| Corrected Total | 77 | |||
| CV | 7.75 | 7.06 | 11.23 | |
| R2 | 0.98 | 0.97 | 0.90 |
References
- Mäder, P.; Fliessbach, A.; Dubois, D.; Gunst, L.; Fried, P.; Niggli, U. Soil fertility and biodiversity in organic farming. Science 2002, 296, 1694–1697. [Google Scholar] [CrossRef]
- Harasim, E.; Kwiatkowski, C.A.; Bielińska, J. The influence of the farming system and forecrop on the yield and quality of spring wheat grain. Agronomy 2025, 15, 39. [Google Scholar] [CrossRef]
- Reganold, J.P.; Wachter, J.M. Organic agriculture in the twenty-first century. Nat. Plants 2016, 2, 15221. [Google Scholar] [CrossRef] [PubMed]
- Rached, Z.; Chebil, A.; Thabet, C. Effect of farm size on sustainability dimensions: Case of durum wheat in Northern Tunisia. Sustainability 2023, 15, 779. [Google Scholar]
- Paull, J. Organic agriculture in Tunisia, Africa. Eur. J. Agric. Food Sci. 2024, 6, 38–42. [Google Scholar] [CrossRef]
- Boukid, F.; Vittadini, E.; Prandi, B.; Mattarozzi, M.; Marchini, M.; Sforza, S.; Sayar, R.; Seo, Y.W.; Yacoubi, I.; Mejri, M. Insights into a century of breeding of durum wheat in Tunisia: The properties of flours and starches isolated from landraces, old and modern genotypes. LWT 2018, 97, 743–751. [Google Scholar] [CrossRef]
- Stagnari, F.; Onofri, A.; Codianni, P.; Pisante, M. Durum wheat varieties in N-deficient environments and organic farming: A comparison of yield, quality and stability performances. Plant Breed. 2013, 132, 266–275. [Google Scholar] [CrossRef]
- Rempelos, L.; Kabourakis, E.; Leifert, C. Innovative organic and regenerative agricultural production. Agronomy 2023, 13, 1344. [Google Scholar] [CrossRef]
- Urbanavičiūtė, I.; Bonfiglioli, L.; Pagnotta, M.A. Selection of durum wheat and SSR markers for organic farming in central Italy using AMMI analysis. Agronomy 2024, 14, 458. [Google Scholar] [CrossRef]
- Bradauskiene, V.; Vaiciulyte-Funk, L.; Martinaitiene, D.; Andruskiene, J.; Verma, A.K.; Lima, J.P.M.; Serin, Y.; Catassi, C. Wheat consumption and prevalence of celiac disease: Correlation from a multilevel analysis. Crit. Rev. Food Sci. Nutr. 2023, 63, 18–32. [Google Scholar] [CrossRef]
- Grover, J.; Chhuneja, P.; Midha, V.; Ghia, J.E.; Deka, K.; Mukhopadhyay, C.S.; Sood, N.; Mahajan, R.; Singh, A.; Verma, R.; et al. Variable Immunogenic potential of wheat: Prospective for selection of innocuous varieties for celiac disease patients via in vitro approach. Front. Immunol. 2019, 10, 84. [Google Scholar] [CrossRef]
- Van den Broeck, H.C.; de Jong, H.C.; Salentijn, E.M.J.; Dekking, L.; Bosch, D.; Hamer, R.J.; Gilissen, L.J.W.J.; van de Meer, I.M.; Smulders, M.J.M. Presence of celiac disease epitopes in modern and old hexaploid wheat varieties: Wheat breeding may have contributed to increased prevalence of celiac disease. Theor. Appl. Genet. 2010, 121, 1527–1539. [Google Scholar] [CrossRef]
- Cebolla, A.; Moreno, M.L.; Coto, L.; Sousa, C. Gluten immunogenic peptides as standard for the evaluation of potential harmful prolamin content in food and human specimen. Nutrients 2018, 10, 1927. [Google Scholar] [CrossRef]
- Mamone, G.; Di Stasio, L.; Vitale, S.; Picascia, S.; Gianfrani, C. Analytical and functional approaches to assess the immunogenicity of gluten proteins. Front. Nutr. 2023, 10, 1049623. [Google Scholar] [CrossRef]
- Prandi, B.; Tedeschi, T.; Folloni, S.; Galaverna, G.; Sforza, S. Peptides from gluten digestion: A comparison between old and modern wheat varieties. Food Res. Int. 2017, 91, 92–102. [Google Scholar] [CrossRef]
- Bartos, A.; Malik, A.; Feledyn Szewczyk, B.; Jończyk, K.; Kazimierczak, R.; Hallmann, E.; Leszczyńska, J. Polyphenolic and immunometric profiling of wheat varieties: Impact of organic and conventional farming on allergenic and bioactive compounds. Molecules 2025, 30, 1313. [Google Scholar] [CrossRef]
- Fares, C.; Menga, V.; Codianni, P.; Russo, M.; Perrone, D.; Suriano, S.; Savino, M.; Rascio, A. Phenolic acids variability and grain quality oforganically and conventionally fertilised old wheats under a warm climate. J. Sci. Food Agric. 2019, 99, 4615–4623. [Google Scholar] [PubMed]
- Melios, S.; Ninou, E.; Irakli, M.; Tsivelika, N.; Sistanis, J.; Papathanasiou, F.; Didos, S.; Zinoviadou, K.; Karantonis, H.C.; Argiriou, A.; et al. Effect of genotype, environment, and their interaction on the antioxidant properties of durum wheat: Impact of nitrogen fertilization and sowing time. Agriculture 2024, 14, 328. [Google Scholar] [CrossRef]
- AFNOR NF V03-050. Available online: https://www.boutique.afnor.org/Store/Preview/DisplayExtract?ProductID=55141&VersionID=6 (accessed on 29 January 2026).
- Lookhart, G.; Bean, S. Separation and characterization of wheat protein fractions by high-performance capillary electrophoresis. Cereal Chem. 1995, 72, 527–532. [Google Scholar]
- Wieser, H.; Antes, S.; Seilmeier, W. Quantitative determination of gluten protein types in wheat flour by reversed-phase high-performance liquid chromatography. Cereal Chem. 1998, 75, 644–650. [Google Scholar] [CrossRef]
- Bradford, M.M. A rapid and sensitive method for the quantification of microgram quantities of protein utilizing the principle of protein-dye binding. Anal. Biochem. 1976, 72, 248–254. [Google Scholar] [CrossRef]
- Vigni, M.L.; Baschieri, C.; Marchetti, A.; Cocchi, M. RP-HPLC and chemometrics for wheat flour protein characterisation in an industrial bread-making process monitoring context. Food Chem. 2013, 139, 553–562. [Google Scholar] [CrossRef]
- ISO 21415-2:2015; Wheat and Wheat Flour—Gluten Content—Part 2: Determination of Wet Gluten and Gluten Index by Mechanical Means. International Organization for Standardization (ISO): Geneva, Switzerland.
- ISO 21415-3:2006; Wheat and Wheat Flour—Gluten Content—Part 3: Determination of Dry Gluten from Wet Gluten by an Oven Drying Method. International Organization for Standardization (ISO): Geneva, Switzerland.
- Chen, X.; He, X.; Fu, X.; Huang, Q. In vitro digestion and physicochemical properties of wheat starch/flour modified by heat-moisture treatment. J. Cereal Sci. 2015, 63, 109–115. [Google Scholar] [CrossRef]
- Blanco, A.; Colasuonno, P.; Gadaleta, A.; Mangini, G.; Schiavulli, A.; Simeone, R.; Digesù, A.M.; De Vita, P.; Mastrangelo, A.M.; Cattivelli, L. Quantitative trait loci for yellow pigment concentration and individual carotenoid compounds in durum wheat. J. Cereal Sci. 2011, 54, 255–264. [Google Scholar] [CrossRef]
- Brodkorb, A.; Egger, L.; Alminger, M.; Alvito, P.; Assunção, R.; Ballance, S.; Bohn, T.; Bourlieu-Lacanal, C.; Boutrou, R.; Carrière, F.; et al. INFOGEST static in vitro simulation of gastrointestinal food digestion. Nat. Protoc. 2019, 14, 991–1014. [Google Scholar] [CrossRef]
- Lavoignat, M.; Juhász, A.; Bose, U.; Sayd, T.; Chambon, C.; Ribeiro, M.; Igrejas, G.; Déjean, S.; Ravel, C.; Bancel, E. Peptidomics analysis of in vitro digested wheat breads: Effect of genotype and environment on protein digestibility and release of celiac disease and wheat allergy related epitopes. Food Chem. 2024, 448, 139148. [Google Scholar] [CrossRef] [PubMed]
- Ayadi, S.; Jallouli, S.; Chamekh, Z.; Zouari, I.; Landi, S.; Hammami, Z.; Ben Azaiez, F.E.; Baraket, M.; Esposito, S.; Trifa, Y. Variation of Grain Yield, Grain Protein Content and Nitrogen Use Efficiency Components under Different Nitrogen Rates in Mediterranean Durum Wheat Genotypes. Agriculture 2022, 12, 916. [Google Scholar] [CrossRef]
- Sułek, A.; Cacak-Pietrzak, G.; Różewicz, M.; Nieróbca, A.; Grabiński, J.; Studnicki, M.; Sujka, K.; Dziki, D. Effect of production technology intensity on the grain yield, protein content and amino acid profile in common and durum wheat grain. Plants 2023, 12, 364. [Google Scholar] [CrossRef]
- Siddiqi, R.A.; Singh, T.P.; Rani, M.; Sogi, D.S.; Bhat, M.A. Diversity in grain, flour, amino acid composition, protein profiling, and proportion of total flour proteins of different wheat cultivars of North India. Front. Nutr. 2020, 7, 141. [Google Scholar] [CrossRef]
- Anjun, F.M.; Warker, C.E. Grain, flour and bread-making properties of eightPakistani hard white spring wheat cultivars grown atthree different locations for 2 years. Int. J. Food Sci. Technol. 2000, 35, 407–416. [Google Scholar] [CrossRef]
- Ceseviciene, J.; Slepetiene, A.; Leistrumaite, A.; Ruzgas, V.; Slepetys, J. Effects of organic and conventional production systems and cultivars on the technological properties of winter wheat. J. Sci. Food Agric. 2012, 92, 2811–2818. [Google Scholar] [CrossRef] [PubMed]
- España-Fariñas, M.P.; Camba-Carrión, J.; García-Gómez, M.B.; Vázquez-Oderriz, M.L.; Lombardero-Fernanndez, M.; Pereira-Lorenzo, S.; Urquijo-Zamora, L.; Cobos, A.; Díaz, O.; Romero-Rodríguez, M.A. Influence of cultivation system and proportion of local cultivars ‘Caaveiro’ and ‘Callobre’ in flour mixtures on the nutritional quality of Galician bread. Foods 2025, 14, 1712. [Google Scholar] [CrossRef]
- Fernández-Canto, M.N.; García-Gómez, M.B.; Boado-Crego, S.; Vázquez-Odériz, M.L.; Muñoz-Ferreiro, M.N.; Lombardero Fernández, M.; Pereira-Lorenzo, S.; Romero-Rodríguez, M.Á. Element content in different wheat flours and bread varieties. Foods 2022, 11, 3176. [Google Scholar] [CrossRef] [PubMed]
- Vrček, I.V.; Čepo, D.V.; Rašić, D.; Peraica, M.; Žuntar, I.; Bojić, M.; Mendaš, G.; Medić-Šarić, M. A comparison of the nutritional value and food safety of organically and conventionally produced wheat flours. Food Chem. 2014, 143, 522–529. [Google Scholar] [CrossRef]
- Rembiałkowska, E. Quality of plant products from organic agriculture. J. Sci. Food Agric. 2007, 87, 2757–2762. [Google Scholar] [CrossRef]
- Le Gouis, J. Quels caractères et quels outils pour améliorer l’efficacité d’utilisation de l’azote par le blé tendre? Le Sélectionneur Français 2012, 63, 37–46. [Google Scholar]
- Cabas-Lühmann, P.; Arriagada, O.; Matus, I.; Marcotuli, I.; Gadaleta, A.; Schwember, A.R. Comparison of durum with ancient tetraploid wheats from an agronomical, chemical, nutritional, and genetic standpoints: A review. Euphytica 2023, 219, 13188. [Google Scholar] [CrossRef]
- Agapie, A.L.; Horablaga, M.N.; Gorinoiu, G.; Horablaga, A.; Herbei, M.V.; Sala, F. Variation of protein and protein fraction content in wheat in relation to NPK mineral fertilization. Agronomy 2025, 15, 2076. [Google Scholar] [CrossRef]
- Zhao, Z.; Li, Q.; Xia, F.; Zhang, P.; Hao, S.; Sun, S.; Cui, C.; Zhang, Y. Optimized water management strategies: Evaluating limited-irrigation effects on spring wheat productivity and grain nutritional composition in arid agroecosystems. Agriculture 2025, 15, 1038. [Google Scholar] [CrossRef]
- Cai, J.; Zang, F.; Xin, L.; Zhou, Q.; Wang, X.; Zhong, Y.; Huang, M.; Dai, T.; Jiang, D. Effects of cysteine and inorganic sulfur applications at different growth stages on grain protein and end-use quality in wheat. Foods 2022, 11, 3252. [Google Scholar] [CrossRef] [PubMed]
- Beshah, Y.B.; Pescactore, A.; Guerrini, L.; Vivoli, R. Sulphur and selenium foliar fertilization enhances the protein profile and reduces anti-nutritional compounds in common wheat. Field Crops Res. 2026, 336, 110229. [Google Scholar] [CrossRef]
- Punia, N.D.; Khetarpaul, N. Physico-chemical characteristics, nutrient composition and consumer acceptability of wheat varieties grown under organic and inorganic farming conditions. Int. J. Food Sci. Nutr. 2008, 59, 224–245. [Google Scholar] [CrossRef] [PubMed]
- Horvat, D.; Šimić, G.; Dvojković, K.; Ivić, M.; Plavšin, I.; Novoselović, D. Gluten protein compositional changes in response to nitrogen application rate. Agronomy 2021, 11, 325. [Google Scholar] [CrossRef]
- Liu, D.; Yang, H.; Zhang, Z.; Chen, Q.; Guo, W.; Rossi, V.; Xin, M.; Du, J.; Hu, Z.; Liu, J.; et al. An elite γ-gliadin allele improves end-use quality in wheat. New Phytol. 2023, 239, 87–101. [Google Scholar] [CrossRef] [PubMed]
- Mitura, K.; Cacak-Pierzak, G.; Feledyn-Szewczyk, B.; Szablewski, T.; Studnicki, M. Yield and grain quality of common wheat (Triticum aestivum L.) depending on the different farming systems (organic vs. integrated vs. conventional). Plants 2023, 12, 1022. [Google Scholar] [CrossRef]
- Natale, C.; Galassi, E.; Nocente, F.; Taddei, F.; Folloni, S.; Visioli, G.; Ceccarelli, S.; Galaverna, G.; Gazza, L. Rheological, technological, and nutritional profile of sustainable crops: Bread wheat evolutionary populations. Foods 2025, 14, 3821. [Google Scholar] [CrossRef]
- Rani, M.; Siddiqi, R.A.; Singh, G.; Kumar, R.; Sogi, D.S.; Gill, B.S. Comparative evaluation of gliadins from four extraction protocols using advanced analytical techniques. Int. J. Biol. Macromol. 2012, 193, 1114–1123. [Google Scholar] [CrossRef]
- Singh, S.K.; Singhal, S.; Jaiswal, P.; Basu, U.; Sahi, A.N.; Singh, A.M. Physico-chemical and rheological trait-based identification of Indian wheat varieties suitable for different end-uses. Foods 2024, 13, 1125. [Google Scholar] [CrossRef]
- Takač, V.; Tóth, V.; Rakszegi, M.; Mikó, P.; Mikić, S.; Mirosavljević, M. The influence of farming systems, genotype and their interaction on bioactive compound, protein and starch content of bread and spelt wheat. Foods 2022, 11, 4028. [Google Scholar] [CrossRef]
- Day, L.; Augustin, M.A.; Batey, I.L.; Wrigley, C.W. Wheat-gluten uses and industry needs. Trends Food Sci. Technol. 2006, 17, 82–90. [Google Scholar] [CrossRef]
- Wang, B.; Kang, J.; Wang, S.; Haider, F.U.; Zhong, Y.; Zhang, P. Variations in the end-use quality of whole grain flour are closely related to the metabolites in the grains of pigmented wheat (Triticum aestivum L.). Plants 2025, 14, 171. [Google Scholar] [CrossRef]
- Zhang, R.; Yang, Y.; Liu, Q.; Xu, L.; Bao, H.; Ren, X.; Jin, Z.; Jiao, A. Effect of wheat gluten and peanut protein ratio on the moisture distribution and textural quality of high moisture extruded meat analogs from an extruder response perspective. Foods 2023, 12, 1696. [Google Scholar] [CrossRef]
- Šekularac, A.; Torbica, A.; Živančev, D.; Tomi’c, J.; Kneževi’c, D. The influence of wheat genotype and environmental factors on gluten index and the possibility of its use as bread quality predictor. Genetika 2018, 50, 85–93. [Google Scholar] [CrossRef]
- Kwiatkowski, C.A.; Haliniarz, M.; Tomczyńska-Mleko, M.; Mleko, S.; Kawecka-Radomska, M. The content of dietary fiber, amino acids, dihydroxyphenols and some macro- and micronutrients in grain of conventionally and organically grown common wheat, spelt wheat and proso millet. Agric. Food Sci. 2015, 24, 195–205. [Google Scholar] [CrossRef]
- Zhang, P.; Ma, G.; Wang, C.; Lu, H.; Li, S.; Xie, Y.; Ma, D.; Zhu, Y.; Guo, T. Effect of irrigation and nitrogen application on grain amino acid composition and protein quality in winter wheat. PLoS ONE 2017, 12, e0178494. [Google Scholar]
- Cormier, F.; Faure, S.; Dubreuil, P.; Heumez, E.; Beauchene, K.; Lafarge, S.; Praud, S.; Le Gouis, J. A multi-enviornmental study of recent breeding progress on nitrogen use efficiency in wheat (Triticum aestivum L.). Theor. Appl. Genet. 2013, 126, 3035–3048. [Google Scholar] [CrossRef]
- Yang, Q.; Zhao, D.; Liu, Q. Connections between amino acid metabolisms in plants: Lysine as an example. Front. Plant Sci. 2020, 11, 928. [Google Scholar] [CrossRef] [PubMed]
- Ran, J.; Tang, Y.; Zhang, Y.; Jiao, L.; Zhang, C.; Li, Y.; Zhao, R. Mixed fermentation of lactic acid bacteria and sourdough on quality and storage characteristics of steamed bun. Food Chem. X 2024, 24, 102035. [Google Scholar] [CrossRef]
- Gorinoiu, G.; Petolescu, C.; Agapie, A.L.; Buzna, C.; Rain, P.; Horablaga, N.M.; Horablaga, A.; Samfira, I.; Boldea, M.V.; Petrescu, I.; et al. Yeld, protein, and starch equilibrium of indigenous varieties: An open door for computational breeding in enhancing selection strategies. Agronomy 2025, 15, 1280. [Google Scholar] [CrossRef]
- Brandt, K.; Mølgaard, J.P. Organic agriculture, does it enhance or reduce thenutritional value of plant foods? J. Sci. Food Agric. 2001, 81, 924–931. [Google Scholar] [CrossRef]
- Wang, S.; Copeland, L. Molecular disassembly of starch granules during gelatinization and its effect on starch digestibility: A review. Food Funct. 2013, 4, 1564–1580. [Google Scholar] [CrossRef] [PubMed]
- Li, F.; Zhao, C.; Xu, D.; Cheng, D.; Liu, A.; Zhai, S.; Zi, Y.; Cao, X.; Liu, C.; Song, J.; et al. Understanding the formation of starch structure during grain development in two wheat cultivars with different filling rate. Carbohydr. Polym. 2025, 370, 124379. [Google Scholar] [CrossRef]
- Li, G.; Hu, Q.; Shi, Y.; Cui, K.; Nie, L.; Huang, J.; Peng, S. Low nitrogen application enhances starch-metabolizing enzyme activity and improves accumulation and translocation of non-structural carbohydrates in rice stems. Front. Plant Sci. 2018, 9, 1128. [Google Scholar] [CrossRef]
- Li, H.; Liu, Y. Effects of variety and growth location on the chain-length distribution of rice starches. J. Cereal Sci. 2019, 85, 77–83. [Google Scholar] [CrossRef]
- Nhan, M.T.; Copeland, L. Effect of variety and growing environment on pasting and thermal properties of wheat starch. Starch-Stärke 2016, 68, 436–445. [Google Scholar] [CrossRef]
- De Arcangelis, E.; Trivisonno, M.C.; Angelicola, M.; Quiquero, M.; Di Nardo, V.; Falasca, L.; Sestili, F.; Messia, M.C.; Marconi, E. Milling and rheological properties of high amylose wheat. J. Cereal Sci. 2021, 102, 103335. [Google Scholar] [CrossRef]
- Jia, B.; Devkota, L.; Dhital, S. Protein structure and functional differentiation between high-amylose and wild-type wheat. Food Hydrocoll. 2025, 163, 111075. [Google Scholar] [CrossRef]
- Moon, Y.; Kweon, M. Processing Suitability of Physical Modified Non-GMO High-Amylose Wheat Flour as a Resistant Starch Ingredient in Cookies. Molecules 2025, 30, 2619. [Google Scholar] [CrossRef]
- Seyedain-Ardabili, M.; Azizi, M.H.; Salami, M. Evaluation of antioxidant, α-amylase-inhibitory and antimicrobial activities of wheat gluten hydrolysates produced by ficin protease. J. Food Meas. Charact. 2023, 17, 2892–2903. [Google Scholar] [CrossRef]
- Guo, R.; Liu, L.; Huang, Y.; Lv, M.; Zhu, Y.; Wang, Z.; Zhu, X.; Sun, B. Effect of Na+ and Ca2+ on the texture, structure and microstructure of composite protein gel of mung bean protein and wheat gluten. Food Res. Int. 2023, 172, 113124. [Google Scholar] [CrossRef] [PubMed]
- Žilić, S.; Barać, M.; Pešić, M.; Dodig, D.; Ignjatović-Micić, D. Characterization of proteins from grain of different bread and durum wheat genotypes. Int. J. Mol. Sci. 2011, 12, 5878–5894. [Google Scholar] [CrossRef]
- Mandal, S.; Verma, A.K. Wheat breeding, fertilizers, and pesticides: Do they contribute to the increasing immunogenic properties of modern wheat? Gastrointest. Disord. 2021, 2, 247–264. [Google Scholar] [CrossRef]
- Boukid, F.; Prandi, B.; Sforza, S.; Sayar, R.; Seo, Y.W.; Mejri, M.; Yacoubi, I. Understanding the effects of genotype, growing year, and breeding on Tunisian durum wheat allergenicity. 2. The celiac disease case. J. Agric. Food Chem. 2017, 65, 5837−5846. [Google Scholar] [CrossRef]
- Ronga, D.; Laviano, L.; Catellani, M.; Milc, J.; Prandi, B.; Boukid, F.; Sforza, S.; Dossena, A.; Graziano, S.; Gullì, M.; et al. Influence of environmental and genetic factors on content of toxic and immunogenic wheat gluten peptides. Eur. J. Agron. 2020, 118, 126091. [Google Scholar] [CrossRef]
- Larré, C.; Lupi, R.; Gombaud, G.; Brossard, C.; Branlard, G.; Moneret-Vautrin, D.A.; Rogniaux, H.; Denery-Papini, S. Assessment of allergenicity of diploid and hexaploid wheat genotypes: Identification of allergens in the albumin/globulin fraction. J. Proteom. 2011, 74, 1279–1289. [Google Scholar] [CrossRef] [PubMed]
- Lexhaller, B.; Colgrave, M.L.; Scherf, K.A. Characterization and relative quantitation of wheat, rye, and barley gluten protein types by liquid chromatography–tandem mass spectrometry. Front. Plant Sci. 2019, 10, 1530. [Google Scholar] [CrossRef] [PubMed]


| Varieties | Origin | Registration Date | Main Characteristics |
|---|---|---|---|
| Chili | France | 1932 | Medium performance (15–20 q/ha), resistance to septoria and yellow rust |
| Biskri | Algeria | 1909 | Medium performance (15–20 q/ha), drought tolerance and very high semolina quality |
| Mahmoudi | Tunisia | 1893 | Medium performance (15–20 q/ha), drought tolerance and very high semolina quality |
| Jenah Khotifa | Tunisia | 1915 | Medium performance (15–20 q/ha), resistance to septoria and yellow rust |
| Karim | INRAT/CIMMYT | 1980 | Fairly resistant to septoria and brown rust |
| Razzak | INRAT-Tunisia | 1987 | Very productive, resistant to powdery mildew and fairly resistant to septoria and brown rust |
| Khiar | INRAT/CIMMYT | 1992 | Productive and relatively susceptible to brown rust and septoria diseases |
| Maali | INRAT-Tunisia | 2007 | Resistant to powdery mildew and fairly resistant to septoria and brown rust |
| Salim | INRAT-Tunisia | 2009 | High yield, resistance to septoria, yellow rust, and brown rust |
| INRAT100 | CIMMYT/Tunisia | 2017 | Productive, resistance to septoria, yellow and brown rust, and drought tolerance |
| Dhahbi | INRAT-Tunisia | 2018 | Productive, resistance to powdery mildew and yellow rust and very high semolina quality |
| Monastir | SOSEM | 2012 | Productive, resistance to septoria and brown rust, and tolerant to drought |
| Saragolla | Italy | 2004 | High yield, resistance to septoria and rust |
| Wheat Variety | Farming System | |
|---|---|---|
| Conventional | Organic | |
| Karim | 15.50 ± 0.01 b | 13.42 ± 0.02 a |
| Razzak | 15.24 ± 0.04 b | 13.20 ± 0.05 a |
| Khiar | 12.47 ± 0.02 a | 12.22 ± 0.07 a |
| Maali | 12.66 ± 0.05 a | 12.31 ± 0.01 a |
| Salim | 13.31 ± 0.04 b | 12.75 ± 0.07 a |
| INRAT100 | 14.36 ± 0.05 a | 14.38 ± 0.02 a |
| Dhahbi | 14.75 ± 0.06 b | 13.59 ± 0.00 a |
| Monastir | 13.80 ± 0.03 b | 12.82 ± 0.02 a |
| Saragolla | 14.03 ± 0.03 a | 14.02 ± 0.02 a |
| Chili | 12.40 ± 0.00 a | 13.38 ± 0.03 b |
| Biskri | 13.00 ± 0.02 a | 14.09 ± 0.04 b |
| Mahmoudi | 13.24 ± 0.02 a | 14.40 ± 0.04 b |
| Jenah Khotifa | 13.04 ± 0.03 a | 13.68 ± 0.01 a |
| Wheat Variety | Farming System | Albumins | Globulins | Gliadins | Glutenins | |||
|---|---|---|---|---|---|---|---|---|
| ω | αβ | γ | HMW | LMW | ||||
| Karim | Conventional Organic | 28.25 ± 0.26 a 28.28 ± 0.20 a | 23.63 ± 0.86 a 24.36 ± 0.94 a | 2.19 ± 0.04 a 2.25 ± 0.04 a | 13.60 ± 0.15 b 10.23 ± 1.01 a | 68.15 ± 0.21 b 50.50 ± 4.98 a | 34.15 ± 0.20 a 33.94 ± 0.26 a | 63.24 ± 0.26 a 63.75 ± 0.11 a |
| Razzak | Conventional Organic | 28.26 ± 0.64 a 27.64 ± 0.47 a | 24.50 ± 0.77 a 24.50 ± 0.91 a | 1.90 ± 0.04 a 1.90 ± 0.02 a | 8.98 ± 0.04 a 10.99 ± 0.96 b | 84.07 ± 0.11 b 48.79 ± 0.04 a | 32.53 ± 1.28 a 31.91 ± 0.17 a | 38.54 ± 2.48 b 31.16 ± 0.11 a |
| Khiar | Conventional Organic | 28.44 ± 0.66 a 28.02 ± 0.61 a | 24.07 ± 0.70 a 24.52 ± 0.37 a | 3.71 ± 0.06 a 3.72 ± 0.03 a | 6.53 ± 0.08 a 6.54 ± 0.03 a | 35.54 ± 0.06 a 43.48 ± 0.04 a | 31.40 ± 0.15 a 31.16 ± 0.11 a | 53.96 ± 1.48 b 48.51 ± 0.20 a |
| Maali | Conventional Organic | 27.96 ± 0.36 a 27.81 ± 0.77 a | 24.25 ± 0.42 a 23.80 ± 0.42 a | 1.80 ± 0.02 a 1.82 ± 0.03 a | 6.01 ± 0.04 a 6.03 ± 0.02 a | 45.11 ± 0.09 a 80.94 ± 6.84 b | 30.64 ± 0.10 a 30.73 ± 0.16 a | 54.00 ± 0.11 a 54.05 ± 0.08 a |
| Salim | Conventional Organic | 27.32 ± 0.75 a 27.95 ± 0.43 a | 24.26 ± 0.64 a 23.67 ± 0.62 a | 2.38 ± 0.04 a 2.39 ± 0.02 a | 5.71 ± 0.56 b 4.06 ± 0.57 a | 65.03 ± 0.08 b 46.15 ± 0.04 a | 31.82 ± 0.11 a 31.80 ± 0.14 a | 56.32 ± 0.13 a 56.37 ± 0.14 a |
| INRAT 100 | Conventional Organic | 27.77 ± 0.43 a 28.28 ± 0.66 a | 23.61 ± 0.49 a 23.79 ± 0.65 a | 2.80 ± 0.03 a 3.50 ± 0.53 b | 9.17 ± 0.03 a 9.20 ± 0.03 a | 41.48 ± 0.07 a 53.42 ± 1.94 b | 33.24 ± 0.10 a 33.16 ± 0.15 a | 56.59 ± 0.18 a 56.60 ± 0.11 a |
| Dhahbi | Conventional Organic | 27.86 ± 0.97 a 28.25 ± 0.41 a | 24.31 ± 0.13 a 24.28 ± 0.94 a | 2.50 ± 0.03 a 2.49 ± 0.04 a | 7.78 ± 0.03 a 12.12 ± 0.5 b | 78.96 ± 2.28 b 60.31 ± 0.12 a | 35.13 ± 0.98 b 32.14 ± 0.07 a | 51.66 ± 0.14 a 51.66 ± 0.08 a |
| Monastir | Conventional Organic | 27.71 ± 0.50 a 28.33 ± 1.25 a | 23.64 ± 0.48 a 24.12 ± 0.80 a | 2.88 ± 0.03 a 2.91 ± 0.02 a | 12.33 ± 0.60 a 14.99 ± 0.06 b | 45.14 ± 0.13 a 45.11 ± 0.08 a | 34.55 ± 0.22 a 34.57 ± 0.06 a | 51.34 ± 0.16 a 51.39 ± 0.13 a |
| Saragolla | Conventional Organic | 28.74 ± 1.26 a 28.24 ± 0.85 a | 23.84 ± 0.25 a 24.14 ± 1.12 a | 2.22 ± 0.03 a 2.20 ± 0.03 a | 7.63 ± 0.03 a 7.64 ± 0.02 a | 64.53 ± 0.08 a 64.47 ± 0.05 a | 33.84 ± 1.01 a 33.14 ± 0.07 a | 54.57 ± 0.09 a 54.51 ± 0.09 a |
| Chili | Conventional Organic | 27.93 ± 0.32 a 28.68 ± 0.66 a | 24.80 ± 0.71 a 25.86 ± 0.81 a | 2.45 ± 0.67 a 3.70 ± 0.02 b | 17.16 ± 0.07 a 17.20 ± 0.01 a | 57.96 ± 0.19 a 68.13 ± 0.22 b | 33.22 ± 0.08 a 36.60 ± 0.59 b | 50.46 ± 0.14 a 50.50 ± 0.08 a |
| Biskri | Conventional Organic | 28.30 ± 0.81 a 28.30 ± 0.69 a | 23.73 ± 0.90 a 26.04 ± 0.43 b | 2.26 ± 0.02 a 2.68 ± 0.38 b | 13.36 ± 0.04 a 13.36 ± 0.03 a | 46.13 ± 0.03 a 84.36 ± 0.34 b | 32.67 ± 2.14 a 32.35 ± 1.51 a | 52.17 ± 0.08 a 52.14 ± 0.07 a |
| Mahmoudi | Conventional Organic | 27.73 ± 0.72 a 27.81 ± 1.34 a | 24.81 ± 1,08 a 24.15 ± 0.43 a | 3.48 ± 0.03 a 3.47 ± 0.03 a | 6.22 ± 0.02 a 13.60 ± 0.17 b | 43.49 ± 0.07 a 74.06 ± 1.71 b | 33.32 ± 0.44 a 33.05 ± 0.15 a | 47.64 ± 0.66 a 49.23 ± 0.15 b |
| Jenah Khotifa | Conventional Organic | 27.39 ± 0.70 a 28.17 ± 0.36 a | 24.19 ± 0.19 a 24.12 ± 0.43 a | 3.35 ± 0.03 a 3.38 ± 0.02 a | 9.03 ± 0.99 a 8.32 ± 0.65 a | 48.78 ± 0.08 a 53.69 ± 1.37 b | 35.17 ± 1.34 a 34.64 ± 0.06 a | 50.64 ± 0.12 a 50.69 ± 0.09 a |
| Wheat Variety | Farming System | Wet Gluten | Dry Gluten | Gluten Index |
|---|---|---|---|---|
| Karim | Conventional Organic | 34.04 ± 0.03 b 30.86 ± 0.02 a | 14.83 ± 0.10 a 16.23 ± 0.32 b | 86.00 ± 2.79 b 66.00 ± 0.44 a |
| Razzak | Conventional Organic | 33.16 ± 0.25 b 31.95 ± 0.17 a | 12.87 ± 0.06 a 18.50 ± 0.50 b | 84.90 ± 0.36 b 65.03 ± 0.64 a |
| Khiar | Conventional Organic | 32.44 ± 0.23 b 29.30 ± 0.00 a | 10.72 ± 0.10 a 9.17 ± 0.06 a | 51.97 ± 1.85 a 45.03 ± 0.06 a |
| Maali | Conventional Organic | 34.72 ± 0.20 b 33.63 ± 0.00 a | 14.50 ± 0.40 b 11.60 ± 0.13 a | 55.77 ± 0.86 b 50.07 ± 0.31 a |
| Salim | Conventional Organic | 32.41 ± 0.10 b 28.21 ± 0.00 a | 14.27 ± 0.15 b 8.90 ± 0.10 a | 65.30 ± 0.90 b 56.13 ± 1.21 a |
| INRAT 100 | Conventional Organic | 33.82 ± 0.09 b 32.94 ± 0.23 a | 17.67 ± 0.25 b 13.10 ± 0.10 a | 68.63 ± 2.02 a 70.17 ± 1.00 a |
| Dhahbi | Conventional Organic | 34.97 ± 0.17 b 33.44 ± 0.18 a | 18.58 ± 0.20 b 17.10 ± 0.36 a | 83.60 ± 1.31 b 66.83 ± 0.85 a |
| Monastir | Conventional Organic | 33.14 ± 0.24 b 32.04 ± 0.22 a | 12.97 ± 0.12 b 10.83 ± 0.21 a | 68.60 ± 1.39 b 57.47 ± 0.84 a |
| Saragolla | Conventional Organic | 33.46 ± 0.21 b 32.34 ± 0.21 a | 13.93 ± 0.49 b 11.93 ± 0.67 a | 70.80 ± 0.60 a 69.93 ± 1.39 a |
| Chili | Conventional Organic | 32.04 ± 0.00 a 34.02 ± 0.01 b | 13.77 ± 0.25 a 16.03 ± 0.32 b | 72.10 ± 0.79 a 83.50 ± 0.50 b |
| Biskri | Conventional Organic | 32.15 ± 0.04 a 33.86 ± 0.10 b | 13.73 ± 0.31 a 19.13 ± 0.72 b | 69.37 ± 1.15 a 71.50 ± 0.20 a |
| Mahmoudi | Conventional Organic | 32.03 ± 0.12 a 34.77 ± 0.09 b | 16.30 ± 0.26 a 15.87 ± 0.42 a | 68.70 ± 0.72 a 71.53 ± 1.11 b |
| Jenah Khotifa | Conventional Organic | 32.00 ± 0.08 a 33.83 ± 0.03 b | 13.60 ± 0.26 a 18.67 ± 0.15 b | 65.17 ± 0.59 a 76.07 ± 0.87 b |
| Wheat Variety | Farming System | Val | Leu | Ile | Lys | His | Phe | Thr | Met | Total |
|---|---|---|---|---|---|---|---|---|---|---|
| Karim | Conventional | 0.68 ± 0.01 b | 0.95 ± 0.00 b | 0.66 ± 0.02 b | 0.70 ± 0.02 b | 0.48 ± 0.01 b | 0.74 ± 0.02 b | 0.58 ± 0.01 b | 0.26 ± 0.02 b | 5.05 ± 0.04 b |
| Organic | 0.53 ± 0.02 a | 0.85 ± 0.02 a | 0.40 ± 0.01 a | 0.35 ± 0.00 a | 0.36 ± 0.01 a | 0.58 ± 0.01 a | 0.36 ± 0.02 a | 0.14 ± 0.01 a | 3.57 ± 0.04 a | |
| Razzak | Conventional | 0.80 ± 0.02 b | 0.96 ± 0.02 b | 0.57 ± 0.02 a | 0.58 ± 0.00 b | 0.37 ± 0.02 a | 0.68 ± 0.02 b | 0.50 ± 0.01 b | 0.24 ± 0.02 b | 4.70 ± 0.04 b |
| Organic | 0.52 ± 0.01 a | 0.84 ± 0.02 a | 0.39 ± 0.01 b | 0.34 ± 0.00 a | 0.38 ± 0.02 a | 0.57 ± 0.00 a | 0.36 ± 0.01 a | 0.13 ± 0.01 a | 3.53 ± 0.03 a | |
| Khiar | Conventional | 0.52 ± 0.02 b | 0.82 ± 0.01 b | 0.37 ± 0.02 a | 0.32 ± 0.01 a | 0.29 ± 0.00 a | 0.53 ± 0.00 b | 0.34 ± 0.01 a | 0.13 ± 0.01 a | 3.32 ± 0.03 b |
| Organic | 0.47 ± 0.01 a | 0.76 ± 0.01 a | 0.34 ± 0.02 a | 0.30 ± 0.01 a | 0.28 ± 0.00 a | 0.48 ± 0.01 a | 0.32 ± 0.02 a | 0.11 ± 0.01 a | 3.06 ± 0.06 a | |
| Maali | Conventional | 0.48 ± 0.02 a | 0.78 ± 0.01 b | 0.36 ± 0.02 a | 0.31 ± 0.01 a | 0.30 ± 0.02 a | 0.52 ± 0.01 b | 0.38 ± 0.01 b | 0.16 ± 0.00 b | 3.29 ± 0.04 b |
| Organic | 0.47 ± 0.02 a | 0.72 ± 0.01 a | 0.34 ± 0.01 a | 0.30 ± 0.00 a | 0.29 ± 0.01 a | 0.46 ± 0.02 a | 0.31 ± 0.00 a | 0.11 ± 0.00 a | 3.00 ± 0.02 a | |
| Salim | Conventional | 0.54 ± 0.02 a | 0.85 ± 0.00 b | 0.42 ± 0.00 b | 0.34 ± 0.02 a | 0.33 ± 0.00 a | 0.59 ± 0.01 b | 0.37 ± 0.01 b | 0.15 ± 0.02 a | 3.59 ± 0.04 b |
| Organic | 0.49 ± 0.01 b | 0.77 ± 0.02 a | 0.34 ± 0.01 a | 0.32 ± 0.01 a | 0.35 ± 0.02 b | 0.51 ± 0.02 a | 0.33 ± 0.02 a | 0.11 ± 0.02 a | 3.22 ± 0.02 a | |
| INRAT 100 | Conventional | 0.58 ± 0.02 a | 0.92 ± 0.02 a | 0.45 ± 0.02 a | 0.36 ± 0.01 a | 0.35 ± 0.02 a | 0.61 ± 0.01 a | 0.40 ± 0.01 a | 0.16 ± 0.01 a | 3.83 ± 0.05 a |
| Organic | 0.61 ± 0.00 b | 0.93 ± 0.00 a | 0.46 ± 0.01 a | 0.38 ± 0.02 a | 0.46 ± 0.00 b | 0.67 ± 0.01 b | 0.41 ± 0.02 a | 0.17 ± 0.01 a | 4.09 ± 0.01 b | |
| Dhahbi | Conventional | 0.59 ± 0.02 b | 0.98 ± 0.01 a | 0.50 ± 0.01 b | 0.37 ± 0.01 b | 0.36 ± 0.01 b | 0.66 ± 0.00 a | 0.41 ± 0.01 b | 0.17 ± 0.02 a | 4.04 ± 0.05 b |
| Organic | 0.55 ± 0.00 a | 0.87 ± 0.02 a | 0.42 ± 0.02 a | 0.34 ± 0.01 a | 0.31 ± 0.00 a | 0.65 ± 0.01 a | 0.39 ± 0.00 a | 0.19 ± 0.01 a | 3.72 ± 0.01 a | |
| Monastir | Conventional | 0.57 ± 0.01 b | 0.91 ± 0.01 b | 0.44 ± 0.02 b | 0.35 ± 0.00 b | 0.33 ± 0.02 a | 0.60 ± 0.02 b | 0.38 ± 0.01 a | 0.16 ± 0.01 b | 3.74 ± 0.04 b |
| Organic | 0.51 ± 0.00 a | 0.79 ± 0.01 a | 0.36 ± 0.01 a | 0.33 ± 0.00 a | 0.30 ± 0.02 a | 0.52 ± 0.00 a | 0.34 ± 0.01 b | 0.12 ± 0.01 a | 3.27 ± 0.01 a | |
| Saragolla | Conventional | 0.60 ± 0.01 b | 0.90 ± 0.01 a | 0.42 ± 0.00 a | 0.36 ± 0.00 a | 0.35 ± 0.02 a | 0.62 ± 0.02 a | 0.40 ± 0.02 a | 0.19 ± 0.02 a | 3.84 ± 0.01 a |
| Organic | 0.57 ± 0.01 a | 0.89 ± 0.00 a | 0.44 ± 0.02 b | 0.36 ± 0.00 a | 0.34 ± 0.01 a | 0.62 ± 0.00 a | 0.40 ± 0.02 a | 0.17 ± 0.00 a | 3.79 ± 0.06 a | |
| Chili | Conventional | 0.49 ± 0.02 a | 0.75 ± 0.01 a | 0.33 ± 0.02 a | 0.29 ± 0.00 a | 0.30 ± 0.01 a | 0.46 ± 0.00 a | 0.30 ± 0.02 a | 0.11 ± 0.02 a | 3.03 ± 0.01 a |
| Organic | 0.56 ± 0.02 b | 0.87 ± 0.00 b | 0.43 ± 0.01 b | 0.35 ± 0.02 b | 0.33 ± 0.01 b | 0.70 ± 0.01 b | 0.38 ± 0.02 b | 0.15 ± 0.01 b | 3.77 ± 0.07 b | |
| Biskri | Conventional | 0.55 ± 0.02 a | 0.78 ± 0.02 a | 0.41 ± 0.01 a | 0.33 ± 0.01 a | 0.30 ± 0.01 a | 0.55 ± 0.01 a | 0.34 ± 0.01 a | 0.18 ± 0.02 b | 3.44 ± 0.00 a |
| Organic | 0.56 ± 0.01 a | 0.89 ± 0.01 b | 0.43 ± 0.01 a | 0.35 ± 0.00 b | 0.54 ± 0.00 b | 0.76 ± 0.02 b | 0.38 ± 0.01 b | 0.15 ± 0.00 a | 4.06 ± 0.05 b | |
| Mahmoudi | Conventional | 0.48 ± 0.01 a | 0.77 ± 0.02 a | 0.35 ± 0.00 a | 0.30 ± 0.01 a | 0.28 ± 0.02 a | 0.49 ± 0.01 a | 0.32 ± 0.01 a | 0.12 ± 0.01 a | 3.11 ± 0.01 a |
| Organic | 0.60 ± 0.01 b | 0.94 ± 0.00 b | 0.46 ± 0.00 b | 0.37 ± 0.02 b | 0.47 ± 0.01 b | 0.62 ± 0.02 b | 0.41 ± 0.02 b | 0.16 ± 0.02 b | 4.03 ± 0.23 b | |
| Jenah | Conventional | 0.49 ± 0.02 a | 0.76 ± 0.01 a | 0.34 ± 0.02 a | 0.32 ± 0.02 a | 0.31 ± 0.01 a | 0.55 ± 0.02 a | 0.33 ± 0.01 a | 0.12 ±0.01 a | 3.22 ± 0.05 a |
| Khotifa | Organic | 0.53 ± 0.02 b | 0.85 ± 0.02 b | 0.40 ± 0.00 b | 0.33 ± 0.02 a | 0.32 ± 0.00 a | 0.64 ± 0.00 b | 0.38 ± 0.01 b | 0.18 ± 0.00 b | 3.63 ± 0.07 b |
| Wheat Variety | Farming System | Ala | Gly | Pro | Asp | Glu | Arg | Tyr | Ser | Cys | Total |
|---|---|---|---|---|---|---|---|---|---|---|---|
| Karim | Conventional | 0.61 ± 0.01 b | 0.58 ± 0.01 b | 1.53 ± 0.02 b | 0.76 ± 0.00 b | 6.15 ± 0.02 b | 0.74 ± 0.01 b | 0.42 ± 0.01 b | 0.80 ± 0.00 b | 0.30 ± 0.00 a | 11.89 ± 0.02 b |
| Organic | 0.44 ± 0.01 a | 0.50 ± 0.01 a | 1.32 ± 0.01 a | 0.66 ± 0.01 a | 4.60 ± 0.02 a | 0.58 ± 0.02 a | 0.32 ± 0.02 a | 0.66 ± 0.02 a | 0.33 ± 0.00 b | 9.41 ± 0.04 a | |
| Razzak | Conventional | 0.58 ± 0.01 b | 0.75 ± 0.00 b | 1.49 ± 0.01 b | 0.85 ± 0.00 b | 6.22 ± 0.02 b | 0.83 ± 0.02 b | 0.41 ± 0.01 b | 0.82 ± 0.01 b | 0.25 ± 0.02 a | 12.20 ± 0.04 b |
| Organic | 0.43 ± 0.01 a | 0.48 ± 0.01 a | 1.27 ± 0.01 a | 0.64 ± 0.02 a | 4.65 ± 0.02 a | 0.59 ± 0.02 a | 0.33 ± 0.01 a | 0.67 ± 0.01 a | 0.26 ± 0.02 a | 9.32 ± 0.00 a | |
| Khiar | Conventional | 0.41 ± 0.00 b | 0.46 ± 0.01 a | 1.00 ± 0.02 a | 0.59 ± 0.01 b | 4.10 ± 0.00 b | 0.51 ± 0.00 a | 0.27 ± 0.01 a | 0.59 ± 0.01 b | 0.17 ± 0.02 a | 8.10 ± 0.02 b |
| Organic | 0.39 ± 0.01 a | 0.44 ± 0.02 a | 0.98 ± 0.01 a | 0.53 ± 0.02 a | 3.95 ± 0.01 a | 0.51 ± 0.02 a | 0.27 ± 0.02 a | 0.57 ± 0.00 a | 0.20 ± 0.01 b | 7.84 ± 0.05 a | |
| Maali | Conventional | 0.39 ± 0.01 a | 0.44 ± 0.01 a | 1.02 ± 0.01 a | 0.57 ± 0.02 a | 4.15 ± 0.01 b | 0.52 ± 0.02 a | 0.28 ± 0.00 b | 0.58 ± 0.00 a | 0.21 ± 0.01 a | 8.16 ± 0.07 b |
| Organic | 0.39 ± 0.00 a | 0.45 ± 0.00 a | 1.03 ± 0.01 a | 0.58 ± 0.01 a | 4.00 ± 0.02 a | 0.49 ± 0.01 a | 0.26 ± 0.01 a | 0.57 ± 0.00 a | 0.23 ± 0.02 a | 8.00 ± 0.03 a | |
| Salim | Conventional | 0.44 ± 0.02 a | 0.50 ± 0.02 b | 1.18 ± 0.02 b | 0.63 ± 0.01 a | 4.55 ± 0.01 b | 0.61 ± 0.01 b | 0.34 ± 0.00 b | 0.69 ± 0.02 b | 0.24 ± 0.01 a | 9.18 ± 0.01 b |
| Organic | 0.42 ± 0.02 a | 0.47 ± 0.01 a | 1.12 ± 0.02 a | 0.60 ± 0.02 a | 4.25 ± 0.02 a | 0.57 ± 0.02 a | 0.31 ± 0.01 a | 0.64 ± 0.00 a | 0.26 ± 0.02 a | 8.64 ± 0.02 a | |
| INRAT 100 | Conventional | 0.49 ± 0.01 a | 0.55 ± 0.01 a | 1.47 ± 0.01 a | 0.72 ± 0.02 a | 5.90 ± 0.01 a | 0.70 ± 0.02 a | 0.39 ± 0.01 a | 0.76 ± 0.01 a | 0.28 ± 0.02 a | 11.26 ± 0.07 a |
| Organic | 0.52 ± 0.02 b | 0.59 ± 0.00 b | 1.48 ± 0.02 a | 0.76 ± 0.00 b | 6.00 ± 0.00 b | 0.71 ± 0.01 a | 0.40 ± 0.02 a | 0.78 ± 0.01 a | 0.29 ± 0.02 a | 11.53 ± 0.06 b | |
| Dhahbi | Conventional | 0.50 ± 0.02 b | 0.57 ± 0.01 b | 1.52 ± 0.01 b | 0.74 ± 0.02 b | 6.05 ± 0.01 b | 0.72 ± 0.01 b | 0.41 ± 0.02 b | 0.79 ± 0.02 b | 0.29 ± 0.00 a | 11.59 ± 0.01 b |
| Organic | 0.46 ± 0.01 a | 0.52 ± 0.01 a | 1.22 ± 0.01 a | 0.69 ± 0.01 a | 4.80 ± 0.01 a | 0.61 ± 0.02 a | 0.35 ± 0.02 a | 0.68 ± 0.01 a | 0.29 ± 0.02 a | 9.62 ± 0.03 a | |
| Monastir | Conventional | 0.47 ± 0.02 b | 0.54 ± 0.01 b | 1.36 ± 0.00 b | 0.70 ± 0.01 b | 5.40 ± 0.01 b | 0.63 ± 0.01 b | 0.36 ± 0.01 b | 0.72 ± 0.02 b | 0.22 ± 0.02 a | 10.40 ± 0.07 b |
| Organic | 0.43 ± 0.01 a | 0.49 ± 0.02 a | 1.08 ± 0.01 a | 0.62 ± 0.01 a | 4.20 ± 0.01 a | 0.56 ± 0.00 a | 0.30 ± 0.01 a | 0.63 ± 0.01 a | 0.25 ± 0.01 b | 8.56 ± 0.01 a | |
| Saragolla | Conventional | 0.47 ± 0.00 a | 0.52 ± 0.00 a | 1.37 ± 0.00 b | 0.69 ± 0.02 a | 5.55 ± 0.02 b | 0.66 ± 0.02 a | 0.38 ± 0.02 a | 0.75 ± 0.02 a | 0.26 ± 0.02 a | 10.65 ± 0.06 b |
| Organic | 0.48 ± 0.02 a | 0.53 ± 0.01 a | 1.34 ± 0.01 a | 0.71 ± 0.01 a | 5.50 ± 0.01 a | 0.65 ± 0.01 a | 0.37 ± 0.00 a | 0.74 ± 0.02 a | 0.27 ± 0.01 a | 10.59 ± 0.00 a | |
| Chili | Conventional | 0.38 ± 0.01 a | 0.44 ± 0.01 a | 1.05 ± 0.02 a | 0.56 ± 0.00 a | 4.05 ± 0.01 a | 0.48 ± 0.02 a | 0.27 ± 0.01 a | 0.56 ± 0.00 a | 0.21 ± 0.02 a | 8.00 ± 0.08 a |
| Organic | 0.45 ± 0.00 b | 0.51 ± 0.01 b | 1.15 ± 0.01 b | 0.65 ± 0.01 b | 4.50 ± 0.00 b | 0.60 ± 0.02 b | 0.33 ± 0.01 b | 0.68 ± 0.02 b | 0.22 ± 0.01 a | 9.09 ± 0.03 b | |
| Biskri | Conventional | 0.42 ± 0.01 a | 0.48 ± 0.00 a | 1.10 ± 0.00 a | 0.62 ± 0.01 a | 4.35 ± 0.02 a | 0.54 ± 0.01 a | 0.29 ± 0.02 a | 0.61 ± 0.01 a | 0.18 ± 0.01 a | 8.59 ± 0.06 a |
| Organic | 0.46 ± 0.00 b | 0.53 ± 0.01 b | 1.39 ± 0.00 b | 0.68 ± 0.02 b | 5.45 ± 0.01 b | 0.64 ± 0.02 b | 0.37 ± 0.01 b | 0.73 ± 0.00 b | 0.26 ± 0.01 b | 10.51 ± 0.05 b | |
| Mahmoudi | Conventional | 0.40 ± 0.01 a | 0.45 ± 0.01 a | 0.95 ± 0.02 a | 0.55 ± 0.02 a | 5.37 ± 0.02 a | 0.50 ± 0.00 a | 0.26 ± 0.02 a | 0.56 ± 0.02 a | 0.16 ± 0.02 a | 9.20 ± 0.03 a |
| Organic | 0.50 ± 0.01 b | 0.57 ± 0.00 b | 1.55 ± 0.00 b | 0.74 ± 0.02 b | 5.85 ± 0.02 b | 0.69 ± 0.02 b | 0.38 ± 0.02 b | 0.75 ± 0.00 b | 0.23 ± 0.02 b | 11.26 ± 0.00 b | |
| Jenah | Conventional | 0.41 ± 0.00 a | 0.46 ± 0.02 a | 1.14 ± 0.02 a | 0.60 ± 0.01 a | 4.40 ± 0.01 a | 0.55 ± 0.02 a | 0.30 ± 0.01 a | 0.62 ± 0.01 a | 0.22 ± 0.01 a | 8.70 ± 0.00 a |
| Khotifa | Organic | 0.45 ± 0.01 a | 0.51 ± 0.02 b | 1.26 ± 0.01 b | 0.67 ± 0.00 b | 4.85 ± 0.01 b | 0.60 ± 0.01 b | 0.34 ± 0.01 b | 0.67 ± 0.02 b | 0.23 ± 0.01 a | 9.58 ± 0.02 b |
| Wheat Variety | Farming System | Total Starch | Amylose | Amylopectin |
|---|---|---|---|---|
| Karim | Conventional Organic | 87.39 ± 2.32 b 52.51 ± 2.43 a | 23.91 ± 1.45 a 27.80 ± 1.68 b | 76.09 ± 4.63 a 72.20 ± 4.61 a |
| Razzak | Conventional Organic | 62.00 ± 2.18 b 56.67 ± 2.17 a | 22.76 ± 1.50 a 30.56 ± 1.14 b | 77.24 ± 2.68 b 69.44 ± 4.62 a |
| Khiar | Conventional Organic | 52.95 ± 1.77 a 51.27 ± 1.94 a | 30.31 ± 0.83 a 33.61 ± 0.78 b | 69.69 ± 3.53 a 66.39 ± 3.99 a |
| Maali | Conventional Organic | 63.23 ± 2.86 b 51.97 ± 1.34 a | 26.09 ± 1.82 a 38.50 ± 0.89 b | 73.91 ± 3.65 b 61.50 ± 3.07 a |
| Salim | Conventional Organic | 76.56 ± 2.64 b 54.85 ± 1.79 a | 29.28 ± 0.75 b 26.45 ± 1.80 a | 70.72 ± 3.24 a 73.55 ± 3.26 a |
| INRAT 100 | Conventional Organic | 70.64± 1.39 b 54.20 ± 3.31 a | 22.72 ± 1.15 a 30.83 ± 1.36 b | 77.28 ± 2.82 b 69.17 ± 1.84 a |
| Dhahbi | Conventional Organic | 84.67 ± 3.00 b 68.15 ± 3.33 a | 23.93 ± 2.94 a 40.81 ± 1.20 b | 76.07 ± 2.50 b 59.19 ± 4.31 a |
| Monastir | Conventional Organic | 87.53 ± 3.85 b 62.20 ± 2.61 a | 35.62 ± 2.54 a 30.69 ± 1.21 a | 64.38 ± 3.87 a 69.31 ± 2.29 b |
| Saragolla | Conventional Organic | 57.86 ± 1.45 b 50.67 ± 1.70 a | 23.23 ± 0.77 a 46.99 ± 1.24 b | 76.77 ± 2.40 b 53.01 ± 2.15 a |
| Chili | Conventional Organic | 50.46 ± 0.79 b 47.25 ± 1.31 a | 22.34 ± 0.98 a 26.11 ± 1.22 b | 77.66 ± 1.29 b 73.89 ± 2.94 a |
| Biskri | Conventional Organic | 52.59 ± 1.13 b 49.23 ± 1.90 a | 21.76 ± 2.03 a 24.06 ± 0.54 b | 78.24 ± 2.57 a 75.94 ± 2.19 a |
| Mahmoudi | Conventional Organic | 51.75 ± 1.54 b 46.92 ± 1.55 a | 16.03 ± 1.37 a 19.76 ± 0.55 b | 83.97 ± 1.79 b 80.24 ± 1.87 a |
| Jenah Khotifa | Conventional Organic | 50.29 ± 2.02 a 49.40 ± 0.78 a | 20.90 ± 1.38 a 23.46 ± 1.06 b | 79.10 ± 2.62 a 76.54 ± 3.31 a |
| Chili C | Chili O | INRAT100 C | INRAT100 O | |
|---|---|---|---|---|
| Total peptides | 1665 | 998 | 851 | 622 |
| Immunogenic peptides | 139 | 47 | 57 | 33 |
| Total PSMs | 16,317 | 4101 | 3939 | 3145 |
| Immunogenic PSMs | 2841 | 192 | 298 | 175 |
| Immunogenic peptides (%) | 8.35 | 4.71 | 6.70 | 5.31 |
| Immunogenic abundance (%) | 17.41 | 4.68 | 7.57 | 5.56 |
Disclaimer/Publisher’s Note: The statements, opinions and data contained in all publications are solely those of the individual author(s) and contributor(s) and not of MDPI and/or the editor(s). MDPI and/or the editor(s) disclaim responsibility for any injury to people or property resulting from any ideas, methods, instructions or products referred to in the content. |
© 2026 by the authors. Licensee MDPI, Basel, Switzerland. This article is an open access article distributed under the terms and conditions of the Creative Commons Attribution (CC BY) license.
Share and Cite
Boukrain, A.; Martínez-Villaluenga, C.; Frias, J.; Mejri, M.; Peñas, E. Effect of Farming System on Grain Composition and Immunogenic Potential of Ancient and Modern Durum Wheat Varieties. Foods 2026, 15, 1121. https://doi.org/10.3390/foods15071121
Boukrain A, Martínez-Villaluenga C, Frias J, Mejri M, Peñas E. Effect of Farming System on Grain Composition and Immunogenic Potential of Ancient and Modern Durum Wheat Varieties. Foods. 2026; 15(7):1121. https://doi.org/10.3390/foods15071121
Chicago/Turabian StyleBoukrain, Anis, Cristina Martínez-Villaluenga, Juana Frias, Mondher Mejri, and Elena Peñas. 2026. "Effect of Farming System on Grain Composition and Immunogenic Potential of Ancient and Modern Durum Wheat Varieties" Foods 15, no. 7: 1121. https://doi.org/10.3390/foods15071121
APA StyleBoukrain, A., Martínez-Villaluenga, C., Frias, J., Mejri, M., & Peñas, E. (2026). Effect of Farming System on Grain Composition and Immunogenic Potential of Ancient and Modern Durum Wheat Varieties. Foods, 15(7), 1121. https://doi.org/10.3390/foods15071121

