Development of Visual Loop-Mediated Isothermal Amplification Assays for Foodborne Hepatitis A Virus
Abstract
1. Introduction
2. Materials and Methods
2.1. Reagents and Materials
2.2. Bacterial Recovery Culture and DNA Extraction
2.3. Bivalve Molluscan Shellfish (BMS) Samples—RNA Extraction
2.4. Preparation of Artificially Contaminated Samples and RNA Extraction
2.5. LAMP Primer Design
2.6. LAMP Reaction System Optimization
2.7. Visual LAMP Reaction System
2.8. Sensitivity Experiment
2.9. LAMP-LFD Stability and Repeatability Experiments
2.10. Visual LAMP Detection of Actual Samples
2.11. RT-qPCR Standard Curve
2.12. RT-qPCR Detection of Actual Samples
3. Results and Discussion
3.1. Optimization of LAMP Reaction
3.2. Primer Screening
3.3. Establishment of Visual LAMP Reaction System
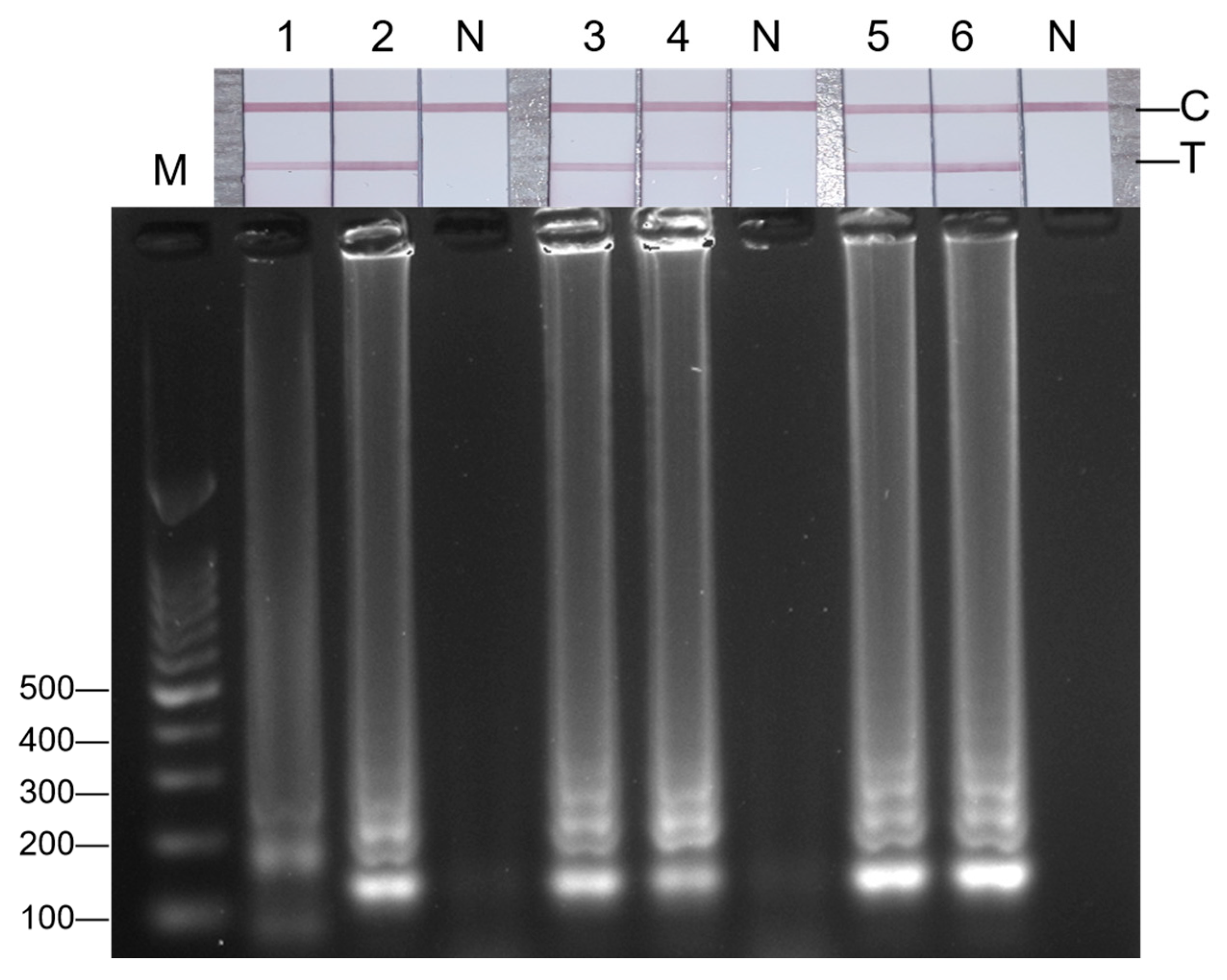
3.4. Sensitivity Experiment
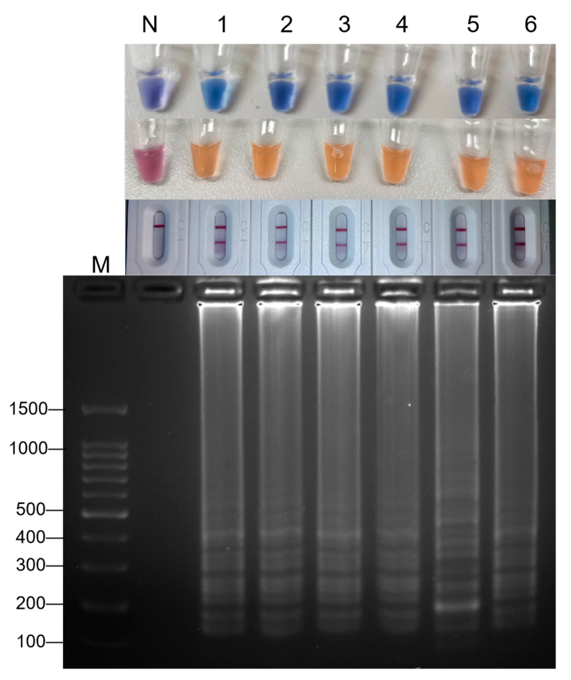
3.5. LAMP Specificity Experiment
3.6. LAMP-LFD Stability and Repeatability Experiments
3.7. Standard Curve of RT-qPCR
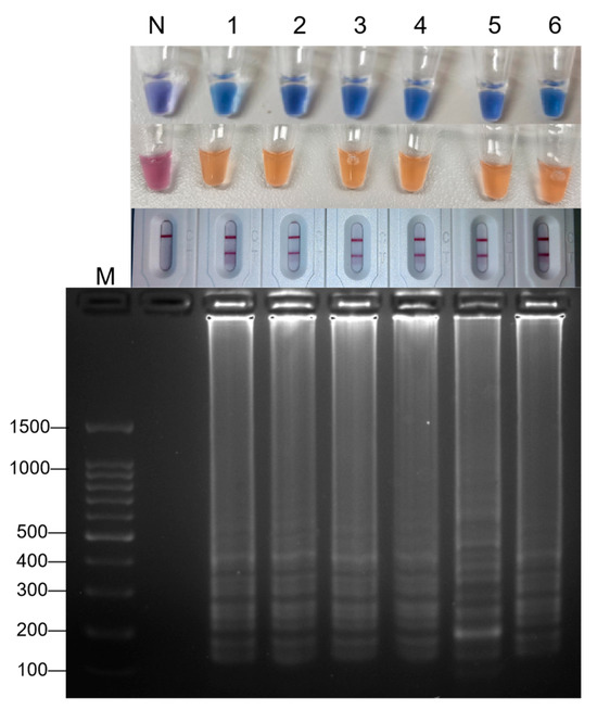
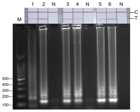
3.8. Artificial Simulation Pollution Experiment
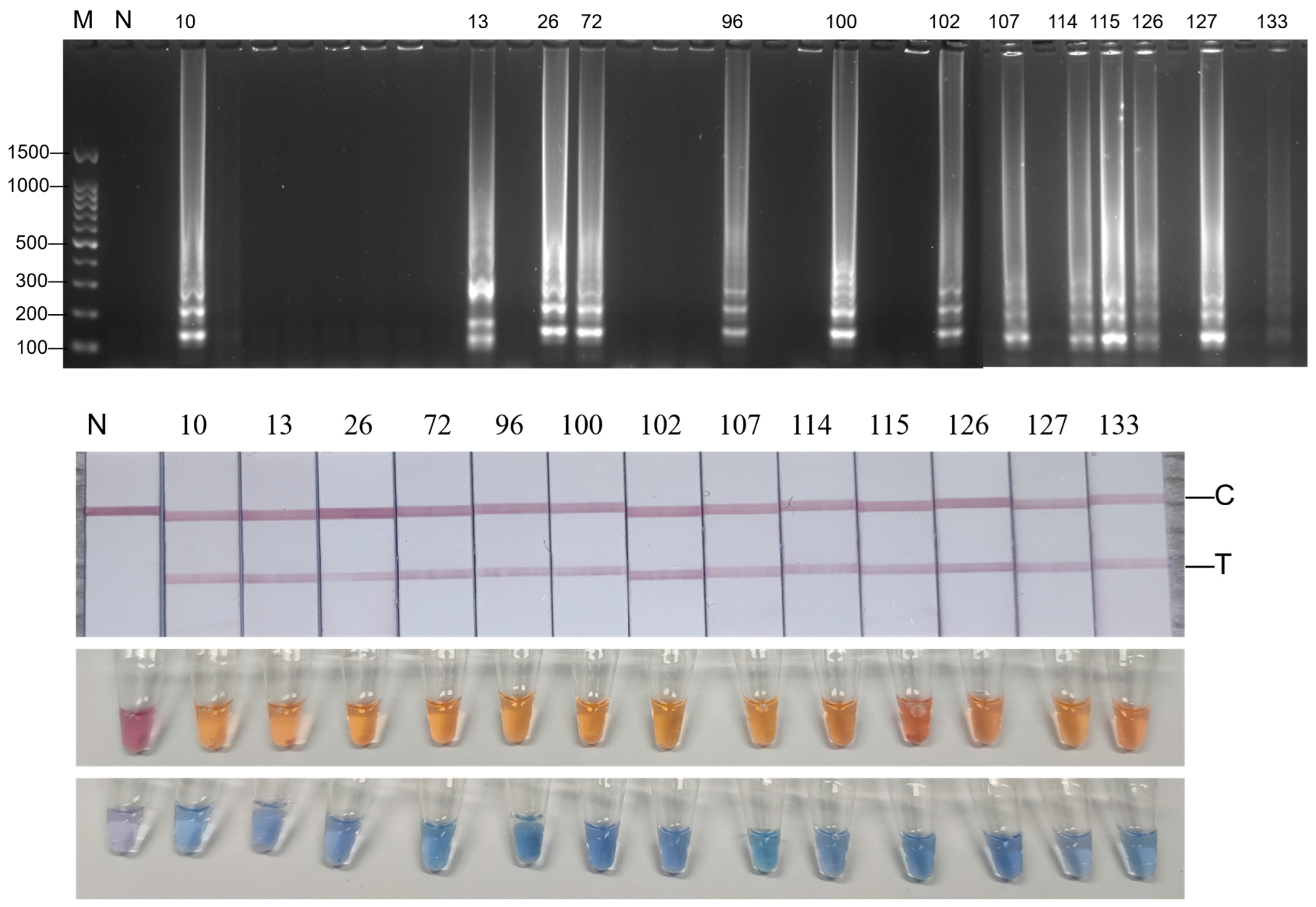
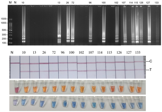
3.9. Visual LAMP Detection of Actual Samples
3.10. RT-qPCR Detection of Actual Samples
4. Conclusions
Author Contributions
Funding
Institutional Review Board Statement
Informed Consent Statement
Data Availability Statement
Conflicts of Interest
References
- Feinstone, S.M.; Kapikian, A.Z.; Purceli, R.H. Hepatitis A: Detection by Immune Electron Microscopy of a Viruslike Antigen Associated with Acute Illness. Science 1973, 182, 1026–1028. [Google Scholar] [CrossRef]
- Wang, X.; Ren, J.; Gao, Q.; Hu, Z.; Sun, Y.; Li, X.; Rowlands, D.J.; Yin, W.; Wang, J.; Stuart, D.I.; et al. Hepatitis A Virus and the Origins of Picornaviruses. Nature 2015, 517, 85–88. [Google Scholar] [CrossRef] [PubMed]
- Randazzo, W.; Sánchez, G. Hepatitis A Infections from Food. J. Appl. Microbiol. 2020, 129, 1120–1132. [Google Scholar] [CrossRef] [PubMed]
- Wang, H.; Neyvaldt, J.; Enache, L.; Sikora, P.; Mattsson, A.; Johansson, A.; Lindh, M.; Bergstedt, O.; Norder, H. Variations among Viruses in Influent Water and Effluent Water at a Wastewater Plant over One Year as Assessed by Quantitative PCR and Metagenomics. Appl. Environ. Microbiol. 2020, 86, e02073-20. [Google Scholar] [CrossRef] [PubMed]
- Berger, C.N.; Sodha, S.V.; Shaw, R.K.; Griffin, P.M.; Pink, D.; Hand, P.; Frankel, G. Fresh Fruit and Vegetables as Vehicles for the Transmission of Human Pathogens. Environ. Microbiol. 2010, 12, 2385–2397. [Google Scholar] [CrossRef]
- Strawn, L.K.; Schneider, K.R.; Danyluk, M.D. Microbial Safety of Tropical Fruits. Crit. Rev. Food Sci. Nutr. 2011, 51, 132–145. [Google Scholar] [CrossRef]
- Harries, M.; Monazahian, M.; Wenzel, J.; Jilg, W.; Weber, M.; Ehlers, J.; Dreesman, J.; Mertens, E. Foodborne Hepatitis A Outbreak Associated with Bakery Products in Northern Germany, 2012. Eurosurveillance 2014, 19, 20992. [Google Scholar] [CrossRef]
- Gandhi, A.P.; AL-Mohaithef, M.; Aparnavi, P.; Bansal, M.; Satapathy, P.; Kukreti, N.; Rustagi, S.; Khatib, M.N.; Gaidhane, S.; Zahiruddin, Q.S. Global Outbreaks of Foodborne Hepatitis A: Systematic Review and Meta-Analysis. Heliyon 2024, 10, e28810. [Google Scholar] [CrossRef]
- Hofmeister, M.G.; Ly, K.N.; Yin, S.; Spradling, P.R. Evolving Characteristics of Decedents with Hepatitis A Listed as a Cause of Death, United States, 2011–2021. J. Viral. Hepat. 2024, 31, 783–794. [Google Scholar] [CrossRef]
- GB 4789.45-2023; National Food Safety Standard—General Rules for Verification of Microbial Test Methods. National Health and Family Planning Commission: Beijing, China, 2023.
- Mullis, K.; Faloona, F.; Scharf, S.; Saiki, R.; Horn, G.; Erlich, H. Specific Enzymatic Amplification of DNA in Vitro: The Polymerase Chain Reaction. Cold Spring Harb. Symp. Quant. Biol. 1986, 51 Pt 1, 263–273. [Google Scholar] [CrossRef]
- Hu, Y.; Wang, Y.; Wang, R.; Zhang, W.; Hua, R. Designing Stimuli-Responsive Upconversion Nanoparticles Based on an Inner Filter Effect Mimetic Immunoassay for Phenylketonuria Accuracy Diagnosis. Colloids Surf. B Biointerfaces 2022, 217, 112642. [Google Scholar] [CrossRef]
- Amaral, C.; Antunes, W.; Moe, E.; Duarte, A.G.; Lima, L.M.P.; Santos, C.; Gomes, I.L.; Afonso, G.S.; Vieira, R.; Teles, H.S.S.; et al. A Molecular Test Based on RT-LAMP for Rapid, Sensitive and Inexpensive Colorimetric Detection of SARS-CoV-2 in Clinical Samples. Sci. Rep. 2021, 11, 16430. [Google Scholar] [CrossRef] [PubMed]
- Regal, P.; Doval, A.; García-Ramos, I.; Cepeda, A.; Garrido-Maestu, A.; Lamas, A. Loop-Mediated Isothermal Amplification-Based Workflow for the Detection and Serotyping of Salmonella Spp. in Environmental Poultry Flock Samples. Foods 2024, 13, 4069. [Google Scholar] [CrossRef] [PubMed]
- Garg, N.; Ahmad, F.J.; Kar, S. Recent Advances in Loop-Mediated Isothermal Amplification (LAMP) for Rapid and Efficient Detection of Pathogens. Curr. Res. Microb. Sci. 2022, 3, 100120. [Google Scholar] [CrossRef] [PubMed]
- Ogodo, A.C.; Agwaranze, D.I.; Daji, M.; Aso, R.E. Chapter 13—Microbial Techniques and Methods: Basic Techniques and Microscopy. In Analytical Techniques in Biosciences; Egbuna, C., Patrick-Iwuanyanwu, K.C., Shah, M.A., Ifemeje, J.C., Rasul, A., Eds.; Academic Press: Cambridge, MA, USA, 2022; pp. 201–220. ISBN 978-0-12-822654-4. [Google Scholar]
- ISO 9308-2:2012; Water Quality—Enumeration of Escherichia coli and Coliform Bacteria—Part 2: Most Probable Number Method. ISO: Geneva, Switzerland, 2012.
- ISO 15216-2:2019; Microbiology of the Food Chain—Horizontal Method for Determination of Hepatitis A Virus and Norovirus Using Real-Time RT-PCR. ISO: Geneva, Switzerland, 2019.
- Dirks, R.A.M.; Jansen, C.C.C.; Hägele, G.; Zwartkruis-Nahuis, A.J.T.; Tijsma, A.S.L.; Boxman, I.L.A. Quantitative Levels of Norovirus and Hepatitis A Virus in Bivalve Molluscs Collected along the Food Chain in the Netherlands, 2013–2017. Int. J. Food Microbiol. 2021, 344, 109089. [Google Scholar] [CrossRef]
- Wang, D.; Cao, J.; Tian, Z.; Fang, B.; Qi, X.; Lei, Z.; Liu, L.; Zhu, J.; Ma, L. Development of a New Concentration Method for Hepatitis A Virus Detection (ISO 15216-2:2019) in Manila Clams (Ruditapes philippinarum). LWT 2022, 172, 114172. [Google Scholar] [CrossRef]
- McMenemy, P.; Kleczkowski, A.; Lees, D.N.; Lowther, J.; Taylor, N. A Model for Estimating Pathogen Variability in Shellfish and Predicting Minimum Depuration Times. PLoS ONE 2018, 13, e0193865. [Google Scholar] [CrossRef]
- Terio, V.; Di Pinto, A.; Di Pinto, P.; Martella, V.; Tantillo, G. RNA Extraction Method for the PCR Detection of Hepatitis A Virus in Shellfish. Int. J. Food Microbiol. 2010, 142, 198–201. [Google Scholar] [CrossRef]
- Cao, Y.; Wang, L.; Duan, L.; Li, J.; Ma, J.; Xie, S.; Shi, L.; Li, H. Development of a Real-Time Fluorescence Loop-Mediated Isothermal Amplification Assay for Rapid and Quantitative Detection of Ustilago Maydis. Sci. Rep. 2017, 7, 13394. [Google Scholar] [CrossRef]
- Wu, C.; Zeng, Y.; He, Y. Rapid Visualization and Detection of Staphylococcus Aureus Based on Loop-Mediated Isothermal Amplification. World J. Microbiol. Biotechnol. 2021, 37, 209. [Google Scholar] [CrossRef]
- Zaczek-Moczydłowska, M.A.; Mohamed-Smith, L.; Toldrà, A.; Hooper, C.; Campàs, M.; Furones, M.D.; Bean, T.P.; Campbell, K. A Single-Tube HNB-Based Loop-Mediated Isothermal Amplification for the Robust Detection of the Ostreid Herpesvirus 1. Int. J. Mol. Sci. 2020, 21, 6605. [Google Scholar] [CrossRef] [PubMed]
- Tanner, N.A.; Zhang, Y.; Evans, T.C. Visual Detection of Isothermal Nucleic Acid Amplification Using pH-Sensitive Dyes. Biotechniques 2015, 58, 59–68. [Google Scholar] [CrossRef] [PubMed]
- Scott, A.T.; Layne, T.R.; O’Connell, K.C.; Tanner, N.A.; Landers, J.P. Comparative Evaluation and Quantitative Analysis of Loop-Mediated Isothermal Amplification Indicators. Anal. Chem. 2020, 92, 13343–13353. [Google Scholar] [CrossRef]
- Sadeghi, N.; Shirazi, N.; Dehbashi, M.; Maleki, B.; Cho, W.C.; Hojati, Z. Development of a Rapid LFA Test Based on Direct RT-LAMP for Diagnosis of SARS-CoV-2. Pract. Lab. Med. 2024, 42, e00437. [Google Scholar] [CrossRef]
- Zadeh, J.N.; Steenberg, C.D.; Bois, J.S.; Wolfe, B.R.; Pierce, M.B.; Khan, A.R.; Dirks, R.M.; Pierce, N.A. NUPACK: Analysis and Design of Nucleic Acid Systems. J. Comput. Chem. 2011, 32, 170–173. [Google Scholar] [CrossRef]









| Primer Name | Sequence (5′-3′) | |
|---|---|---|
| 1 | FIP | TCCCTCATGGTTGTTATGCCGTTTCAACAACAGTTTCTACAGAG |
| BIP | CCTAAAAGGGAAAGCCAATAGGGGATCCTCAATTGTTGTAATAGCT | |
| F3 | GAGACGATTCAGGGGGTT | |
| B3 | TCAGGCACTTTCTTTGCTAA | |
| LB | GATGGATGTTTCAGGAGTGCAG | |
| 14 | FIP | Biotin-TCCCTTTTAGGTCCCTCATGGTAGTTTCTACAGAGCAGAATGT |
| BIP | AGCCAATAGGGGGAAGATGGATTGCTAAAACTGGATCCTCAA | |
| F3 | CAGGGGGTTTTTCAACAAC | |
| B3 | GGAAATGTCTCAGGCACTT | |
| LB | AGTGCAGGCACCTGTGG | |
| LF | 6-FAM-GCCGATCTGAGGATCAGGA | |
| 97 | FIP | CCAATGGTCCTCTATACAACTGAAACTCCTCATGGTTTACCATCAA |
| BIP | GTGGATGGTATGGCCTGGTTATAGACAAAGCTGACTCCTT | |
| F3 | CCAATAACTTTGTCTTCAACTTCT | |
| B3 | TGAATCTAACAGCTCCAAGG | |
| LB | CTTGCTGTCGACACCCCT | |
| HAV68 | TCACCGCCGTTTGCCTAG | |
| HAV240 | GGAGAGCCCTGGAAGAAAG | |
| HAV150 | 6-FAM-CCTGAACCTGCAGGAATTAA-MGB |
Disclaimer/Publisher’s Note: The statements, opinions and data contained in all publications are solely those of the individual author(s) and contributor(s) and not of MDPI and/or the editor(s). MDPI and/or the editor(s) disclaim responsibility for any injury to people or property resulting from any ideas, methods, instructions or products referred to in the content. |
© 2025 by the authors. Licensee MDPI, Basel, Switzerland. This article is an open access article distributed under the terms and conditions of the Creative Commons Attribution (CC BY) license (https://creativecommons.org/licenses/by/4.0/).
Share and Cite
An, T.; Song, M.; Li, X.; Pan, Y.; Zhao, Y.; Liu, H. Development of Visual Loop-Mediated Isothermal Amplification Assays for Foodborne Hepatitis A Virus. Foods 2025, 14, 934. https://doi.org/10.3390/foods14060934
An T, Song M, Li X, Pan Y, Zhao Y, Liu H. Development of Visual Loop-Mediated Isothermal Amplification Assays for Foodborne Hepatitis A Virus. Foods. 2025; 14(6):934. https://doi.org/10.3390/foods14060934
Chicago/Turabian StyleAn, Tongcan, Mengyuan Song, Xiang Li, Yingjie Pan, Yong Zhao, and Haiquan Liu. 2025. "Development of Visual Loop-Mediated Isothermal Amplification Assays for Foodborne Hepatitis A Virus" Foods 14, no. 6: 934. https://doi.org/10.3390/foods14060934
APA StyleAn, T., Song, M., Li, X., Pan, Y., Zhao, Y., & Liu, H. (2025). Development of Visual Loop-Mediated Isothermal Amplification Assays for Foodborne Hepatitis A Virus. Foods, 14(6), 934. https://doi.org/10.3390/foods14060934
