Natural Copper Ion Scavenger: Investigation of the Hepatoprotective Effects of Green Tea Extract in Toxic-Milk Mice with Wilson’s Disease Model
Abstract
1. Introduction
2. Materials and Methods
2.1. Chemicals and Reagents
2.2. Preparation of Green Tea Extract
2.3. Ultra Performance Liquid Chromatography (UPLC) Conditions
2.4. Experimental Animals Grouping and Handling
2.5. Sample Collection
2.6. Preparation of Solutions
2.7. Histopathology of the Liver
2.8. Determination of Serum and Liver Biochemical Parameters
2.9. Determination of Copper Content in Liver, Brain, Kidney, Urine, and Feces
2.10. Analysis of the Complexing Ability of the Compounds with Cu2+
2.11. Statistical Analysis
3. Results
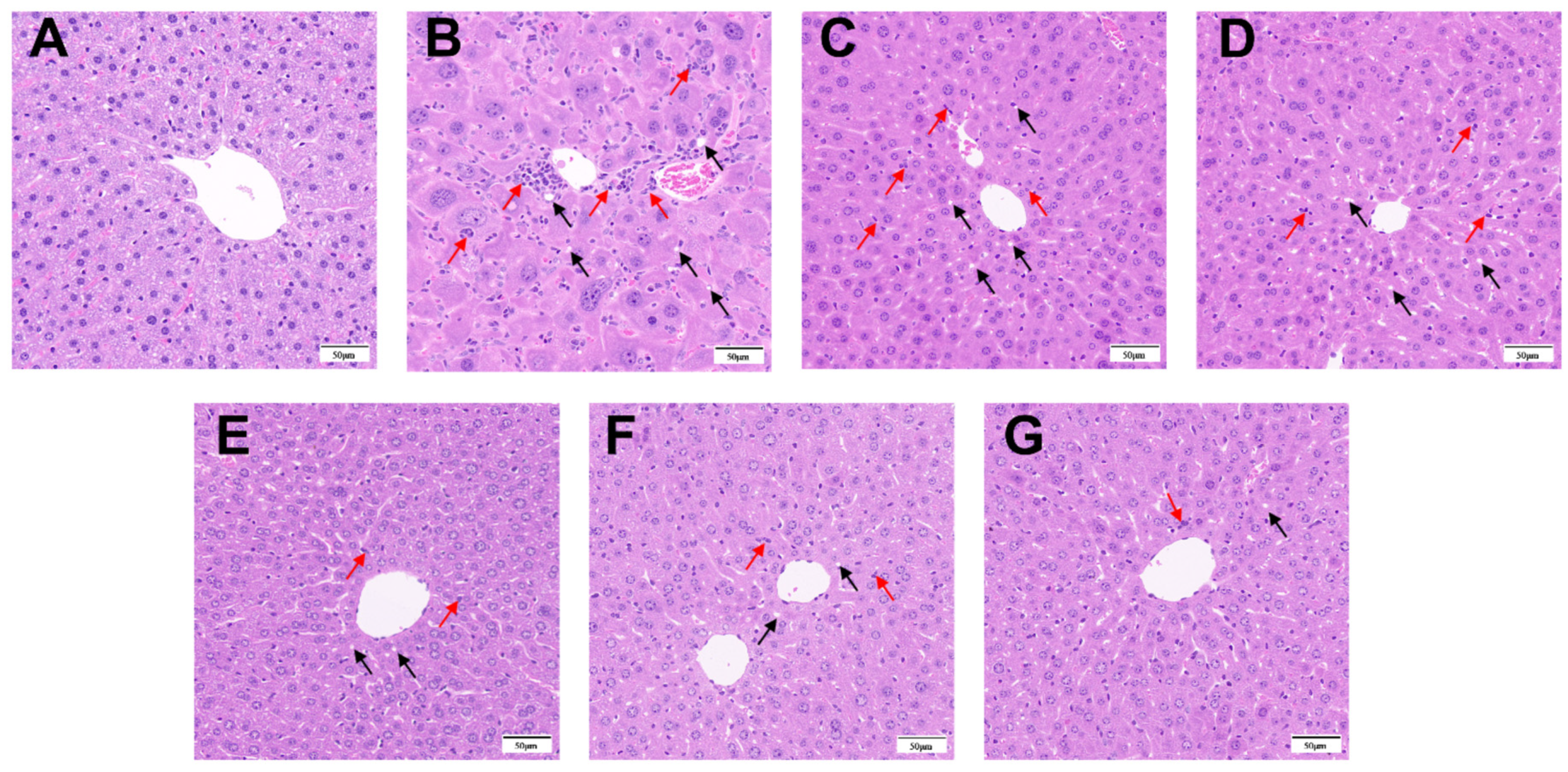
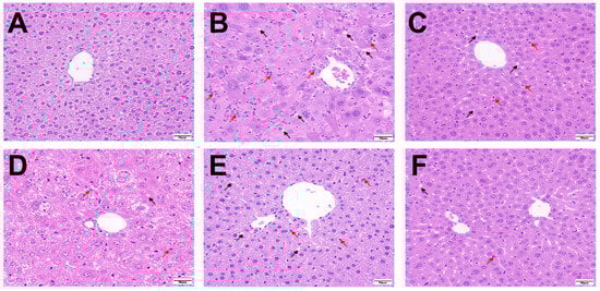
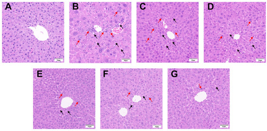
3.1. Green Tea Extract Attenuated the Pathological Changes in the Liver of TX Mice
3.2. Green Tea Extract Improved Liver Function and Reduced Oxidative Stress in TX Mice
3.3. Green Tea Extract Improved Copper Metabolism in TX Mice
3.4. The Content of GTP and L-TA in GTE Complexation and the Ability of Their Representative Fractions to Complex with Cu2+
3.5. GTP and L-TA Reduced Liver Pathology in TX Mice
3.6. GTP and L-TA Improved Liver Function and Reduced Oxidative Stress in TX Mice
3.7. Green Tea Polyphenols and L-Theanine Improved Copper Metabolism in TX Mice
4. Discussion
5. Conclusions
Author Contributions
Funding
Institutional Review Board Statement
Informed Consent Statement
Data Availability Statement
Conflicts of Interest
Abbreviations
| WD | Wilson’s disease |
| GTE | Green tea extract |
| GTP | Green tea polyphenol |
| L-TA | L-theanine |
| UPLC-DAD | Ultra performance liquid chromatography |
| ROS | Reactive oxygen species |
| PCA | D-penicillamine |
| TM | Tetrathiomolybdat |
| HE | Hematoxylin-eosin staining |
| AST | Aspartate aminotransferase |
| ALT | Alanine aminotransferase |
| AKP | Alkaline phosphatase |
| SOD | Superoxide dismutase |
| MDA | Malondialdehyde |
| GSH | Glutathione |
| TX | Toxic milk |
References
- Immergluck, J.; Anilkumar, A.C. Wilson Disease. In StatPearls; Disclosure: Arayamparambil Anilkumar declares no relevant financial relationships with ineligible companies; StatPearls Publishing: Tampa, FL, USA, 2025. [Google Scholar]
- Shribman, S.; Poujois, A.; Bandmann, O.; Czlonkowska, A.; Warner, T.T. Wilson’s disease: Update on pathogenesis, biomarkers and treatments. J. Neurol. Neurosurg. Psychiatry 2021, 92, 1053–1061. [Google Scholar] [CrossRef]
- Zhu, Q.; Zhu, K.; Wang, J.; Bian, W.; Lu, J. Relationship between genetic mutations and clinical phenotypes in patients with Wilson disease. Medicine 2019, 98, e18284. [Google Scholar] [CrossRef]
- Himoto, T.; Masaki, T. Current Trends of Essential Trace Elements in Patients with Chronic Liver Diseases. Nutrients 2020, 12, 2084. [Google Scholar] [CrossRef] [PubMed]
- Yu, C.H.; Dolgova, N.V.; Dmitriev, O.Y. Dynamics of the metal binding domains and regulation of the human copper transporters ATP7B and ATP7A. IUBMB Life 2017, 69, 226–235. [Google Scholar] [CrossRef] [PubMed]
- Zhang, W.; Zhao, X.Y.; Huang, J.; Ou, X.J.; Jia, J.D. Progress in drug therapy of Wilson’s disease. Chin. J. Hepatol. 2024, 32, 783–786. [Google Scholar] [CrossRef]
- Jomova, K.; Raptova, R.; Alomar, S.Y.; Alwasel, S.H.; Nepovimova, E.; Kuca, K.; Valko, M. Reactive oxygen species, toxicity, oxidative stress, and antioxidants: Chronic diseases and aging. Arch. Toxicol. 2023, 97, 2499–2574. [Google Scholar] [CrossRef] [PubMed]
- Schieber, M.; Chandel, N.S. ROS function in redox signaling and oxidative stress. Curr. Biol. 2014, 24, R453–R462. [Google Scholar] [CrossRef] [PubMed]
- Crosas-Molist, E.; Fabregat, I. Role of NADPH oxidases in the redox biology of liver fibrosis. Redox. Biol. 2015, 6, 106–111. [Google Scholar] [CrossRef]
- Hedera, P. Update on the clinical management of Wilson’s disease. Appl. Clin. Genet. 2017, 10, 9–19. [Google Scholar] [CrossRef]
- Liu, J.; Luan, J.; Zhou, X.; Cui, Y.; Han, J. Epidemiology, diagnosis, and treatment of Wilson.s disease. Intractable Rare Dis. Res. 2017, 6, 249–255. [Google Scholar] [CrossRef] [PubMed]
- Patel, N.; Masaratana, P.; Diaz-Castro, J.; Latunde-Dada, G.O.; Qureshi, A.; Lockyer, P.; Jacob, M.; Arno, M.; Matak, P.; Mitry, R.R.; et al. BMPER protein is a negative regulator of hepcidin and is up-regulated in hypotransferrinemic mice. J. Biol. Chem. 2012, 287, 4099–4106. [Google Scholar] [CrossRef]
- Saewong, T.; Ounjaijean, S.; Mundee, Y.; Pattanapanyasat, K.; Fucharoen, S.; Porter, J.B.; Srichairatanakool, S. Effects of green tea on iron accumulation and oxidative stress in livers of iron-challenged thalassemic mice. Med. Chem. 2010, 6, 57–64. [Google Scholar] [CrossRef] [PubMed]
- Mehana, E.E.; Meki, A.R.; Fazili, K.M. Ameliorated effects of green tea extract on lead induced liver toxicity in rats. Exp. Toxicol. Pathol. 2012, 64, 291–295. [Google Scholar] [CrossRef] [PubMed]
- Park, J.H.; Kim, Y.; Kim, S.H. Green tea extract (Camellia sinensis) fermented by Lactobacillus fermentum attenuates alcohol-induced liver damage. Biosci. Biotechnol. Biochem. 2012, 76, 2294–2300. [Google Scholar] [CrossRef]
- Cui, Y.; Yang, X.; Lu, X.; Chen, J.; Zhao, Y. Protective effects of polyphenols-enriched extract from Huangshan Maofeng green tea against CCl4-induced liver injury in mice. Chem. Biol. Interact. 2014, 220, 75–83. [Google Scholar] [CrossRef]
- Sharma, N.; Phan, H.T.; Chikae, M.; Takamura, Y.; Azo-Oussou, A.F.; Vestergaard, M.C. Black tea polyphenol theaflavin as promising antioxidant and potential copper chelator. J. Sci. Food Agric. 2020, 100, 3126–3135. [Google Scholar] [CrossRef]
- García-Rodríguez, M.D.C.; Hernández-Cortés, L.M.; Mendoza-Núñez, V.M.; Arenas-Huertero, F. Effects of green tea polyphenols against metal-induced genotoxic damage: Underlying mechanistic pathways. J. Toxicol. Environ. Health B Crit. Rev. 2023, 26, 371–386. [Google Scholar] [CrossRef]
- Mandel, S.; Weinreb, O.; Reznichenko, L.; Kalfon, L.; Amit, T. Oxidative Stress and Neuroprotection. In Journal of Neural Transmission Supplementa; Springer: Berlin/Heidelberg, Germany, 2006; pp. 249–257. [Google Scholar] [CrossRef]
- Rajsekhar, A.; Vivekananda, M. L-theanine: A potential multifaceted natural bioactive amide as health supplement. Asian Pac. J. Trop. Biomed. 2017, 7, 842–848. [Google Scholar] [CrossRef]
- Lingli, S.; Shuai, W.; Qiuhua, L.; Xingfei, L.; Ruohong, C.; Zhenbiao, Z.; Dongli, L.; Shili, S. L-theanine relieves acute alcoholic liver injury by regulating the TNF-α/NF-κB signaling pathway in C57BL/6J mice. J. Funct. Foods 2021, 86, 104699. [Google Scholar] [CrossRef]
- Wang, D.; Gao, Q.; Zhao, G.; Kan, Z.; Wang, X.; Wang, H.; Huang, J.; Wang, T.; Qian, F.; Ho, C.T.; et al. Protective Effect and Mechanism of Theanine on Lipopolysaccharide-Induced Inflammation and Acute Liver Injury in Mice. J. Agric. Food Chem. 2018, 66, 7674–7683. [Google Scholar] [CrossRef] [PubMed]
- Jia, L.; Wang, F.; Zhang, K.; Wang, D.; Wang, X.; Li, X.; Zhang, J. L-Theanine Inhibits (−)-Epigallocatechin-3-gallate Oxidation via Chelating Copper. J. Agric. Food Chem. 2022, 70, 7751–7761. [Google Scholar] [CrossRef]
- Zhu, K.; Zeng, H.; Yue, L.; Huang, J.; Ouyang, J.; Liu, Z. The Protective Effects of L-Theanine against Epigallocatechin Gallate-Induced Acute Liver Injury in Mice. Foods 2024, 13, 1121. [Google Scholar] [CrossRef] [PubMed]
- Dong, T.; Wu, M.C.; Tang, L.L.; Jiang, H.L.; Zhou, P.; Kuang, C.J.; Tian, L.W.; Yang, W.M. GanDouLing promotes proliferation and differentiation of neural stem cells in the mouse model of Wilson’s disease. Biosci. Rep. 2021, 41, BSR20202717. [Google Scholar] [CrossRef] [PubMed]
- Krishnan, N.; Felice, C.; Rivera, K.; Pappin, D.J.; Tonks, N.K. DPM-1001 decreased copper levels and ameliorated deficits in a mouse model of Wilson’s disease. Genes Dev. 2018, 32, 944–952. [Google Scholar] [CrossRef] [PubMed]
- Braiterman, L.T.; Gupta, A.; Chaerkady, R.; Cole, R.N.; Hubbard, A.L. Communication between the N and C termini is required for copper-stimulated Ser/Thr phosphorylation of Cu(I)-ATPase (ATP7B). J. Biol. Chem. 2015, 290, 8803–8819. [Google Scholar] [CrossRef] [PubMed]
- Roberts, E.A.; Schilsky, M.L. Diagnosis and treatment of Wilson disease: An update. Hepatology 2008, 47, 2089–2111. [Google Scholar] [CrossRef] [PubMed]
- Zischka, H.; Lichtmannegger, J.; Schmitt, S.; Jägemann, N.; Schulz, S.; Wartini, D.; Jennen, L.; Rust, C.; Larochette, N.; Galluzzi, L.; et al. Liver mitochondrial membrane crosslinking and destruction in a rat model of Wilson disease. J. Clin. Invest. 2011, 121, 1508–1518. [Google Scholar] [CrossRef]
- Rodriguez-Castro, K.I.; Hevia-Urrutia, F.J.; Sturniolo, G.C. Wilson’s disease: A review of what we have learned. World J. Hepatol. 2015, 7, 2859–2870. [Google Scholar] [CrossRef] [PubMed]
- Winiarska-Mieczan, A. Protective effect of tea against lead and cadmium-induced oxidative stress-a review. Biometals 2018, 31, 909–926. [Google Scholar] [CrossRef]
- Goodman, B.A.; Ferreira Severino, J.; Pirker, K.F. Reactions of green and black teas with Cu(II). Food Funct. 2012, 3, 399–409. [Google Scholar] [CrossRef] [PubMed]
- Chang, Y.; Li, H.; Ren, H.; Xu, H.; Hu, P. Misclassification of chronic hepatitis B natural history phase: Insight from new ALT, AST, AKP, and GGT reference intervals in Chinese children. Clin. Chim. Acta 2019, 489, 61–67. [Google Scholar] [CrossRef]
- Afonso, V.; Champy, R.; Mitrovic, D.; Collin, P.; Lomri, A. Reactive oxygen species and superoxide dismutases: Role in joint diseases. Jt. Bone Spine 2007, 74, 324–329. [Google Scholar] [CrossRef] [PubMed]
- Ding, R.B.; Tian, K.; Cao, Y.W.; Bao, J.L.; Wang, M.; He, C.; Hu, Y.; Su, H.; Wan, J.B. Protective effect of panax notoginseng saponins on acute ethanol-induced liver injury is associated with ameliorating hepatic lipid accumulation and reducing ethanol-mediated oxidative stress. J. Agric. Food Chem. 2015, 63, 2413–2422. [Google Scholar] [CrossRef]
- Mahmoodi, M.; Hosseini, R.; Kazemi, A.; Ofori-Asenso, R.; Mazidi, M.; Mazloomi, S.M. Effects of green tea or green tea catechin on liver enzymes in healthy individuals and people with nonalcoholic fatty liver disease: A systematic review and meta-analysis of randomized clinical trials. Phytother. Res. 2020, 34, 1587–1598. [Google Scholar] [CrossRef]
- Wang, D.; Gao, Q.; Wang, T.; Kan, Z.; Li, X.; Hu, L.; Peng, C.Y.; Qian, F.; Wang, Y.; Granato, D. Green tea polyphenols and epigallocatechin-3-gallate protect against perfluorodecanoic acid induced liver damage and inflammation in mice by inhibiting NLRP3 inflammasome activation. Food Res. Int. 2020, 127, 108628. [Google Scholar] [CrossRef] [PubMed]
- Türközü, D.; Şanlier, N. L-theanine, unique amino acid of tea, and its metabolism, health effects, and safety. Crit. Rev. Food Sci. Nutr. 2017, 57, 1681–1687. [Google Scholar] [CrossRef] [PubMed]
- Cao, J.; Han, J.; Xiao, H.; Qiao, J.; Han, M. Effect of Tea Polyphenol Compounds on Anticancer Drugs in Terms of Anti-Tumor Activity, Toxicology, and Pharmacokinetics. Nutrients 2016, 8, 762. [Google Scholar] [CrossRef] [PubMed]
- Lv, L.; Xu, C.; Mo, X.; Sun, H.Y.; Bi, H. Green Tea Polyphenols Protect against Acetaminophen-Induced Liver Injury by Regulating the Drug Metabolizing Enzymes and Transporters. Evid. Based Complement. Alternat. Med. 2020, 2020, 2696432. [Google Scholar] [CrossRef] [PubMed]
- Sadzuka, Y.; Inoue, C.; Hirooka, S.; Sugiyama, T.; Umegaki, K.; Sonobe, T. Effects of theanine on alcohol metabolism and hepatic toxicity. Biol. Pharm. Bull. 2005, 28, 1702–1706. [Google Scholar] [CrossRef]








| Samples | Potentiometric Value (Mv) | Complexation Ratio (%) |
|---|---|---|
| PCA | −201.5 ± 1.32 | 60.36 |
| TM | −227.2 ± 2.76 | 96.98 |
| L-TA | −223.1 ± 1.66 | 95.44 |
| GA | −219.4 ± 2.41 | 93.40 |
| GC | −210.4 ± 3.10 | 83.75 |
| EGC | −210.7 ± 1.56 | 84.23 |
| C | −215.8 ± 1.78 | 90.54 |
| EC | −214.3 ± 1.34 | 89.00 |
| EGCG | −217.2 ± 2.46 | 91.77 |
| ECG | −212.9 ± 1.40 | 87.35 |
| GTE | −214.8 ± 2.31 | 89.54 |
| GTP | −218.7 ± 1.82 | 92.92 |
Disclaimer/Publisher’s Note: The statements, opinions and data contained in all publications are solely those of the individual author(s) and contributor(s) and not of MDPI and/or the editor(s). MDPI and/or the editor(s) disclaim responsibility for any injury to people or property resulting from any ideas, methods, instructions or products referred to in the content. |
© 2025 by the authors. Licensee MDPI, Basel, Switzerland. This article is an open access article distributed under the terms and conditions of the Creative Commons Attribution (CC BY) license (https://creativecommons.org/licenses/by/4.0/).
Share and Cite
Yang, D.; Xuan, S.; Zhang, W.; Wu, H.; Jiang, Y.; Zhou, A. Natural Copper Ion Scavenger: Investigation of the Hepatoprotective Effects of Green Tea Extract in Toxic-Milk Mice with Wilson’s Disease Model. Foods 2025, 14, 679. https://doi.org/10.3390/foods14040679
Yang D, Xuan S, Zhang W, Wu H, Jiang Y, Zhou A. Natural Copper Ion Scavenger: Investigation of the Hepatoprotective Effects of Green Tea Extract in Toxic-Milk Mice with Wilson’s Disease Model. Foods. 2025; 14(4):679. https://doi.org/10.3390/foods14040679
Chicago/Turabian StyleYang, Delai, Shujuan Xuan, Wang Zhang, Huan Wu, Yuge Jiang, and An Zhou. 2025. "Natural Copper Ion Scavenger: Investigation of the Hepatoprotective Effects of Green Tea Extract in Toxic-Milk Mice with Wilson’s Disease Model" Foods 14, no. 4: 679. https://doi.org/10.3390/foods14040679
APA StyleYang, D., Xuan, S., Zhang, W., Wu, H., Jiang, Y., & Zhou, A. (2025). Natural Copper Ion Scavenger: Investigation of the Hepatoprotective Effects of Green Tea Extract in Toxic-Milk Mice with Wilson’s Disease Model. Foods, 14(4), 679. https://doi.org/10.3390/foods14040679

