The Preparation of Black Goji Berry Enzyme and Its Therapeutic Effect on Alcoholic Liver Injury in Mice
Abstract
1. Introduction
2. Materials and Methods
2.1. Materials
2.2. Methods
2.2.1. Comparing Black Goji Berry Enzyme (FLRM) Samples Prepared by Different Fermentation Methods
2.2.2. Measurement of Anthocyanin Content and In Vitro Antioxidant Activity
2.2.3. Color Measurement
2.2.4. Animal Treatment and Experimental Design
2.2.5. Determination of Blood Biochemical Parameters
2.2.6. Determination of ADH, ALDH, and Hepatic Oxidative Stress Parameters
2.2.7. Histopathological Examination
2.3. Statistical Analysis
3. Results and Discussion
3.1. Optimal Fermentation Method
3.2. Changes in Color, Anthocyanins Content, and Antioxidant Activity of FLRM
3.3. Effects of Fermented Black Goji Berry on Serum Enzymes
3.4. Effects of Fermented Black Goji Berry on Hepatic Oxidative Stress Parameters
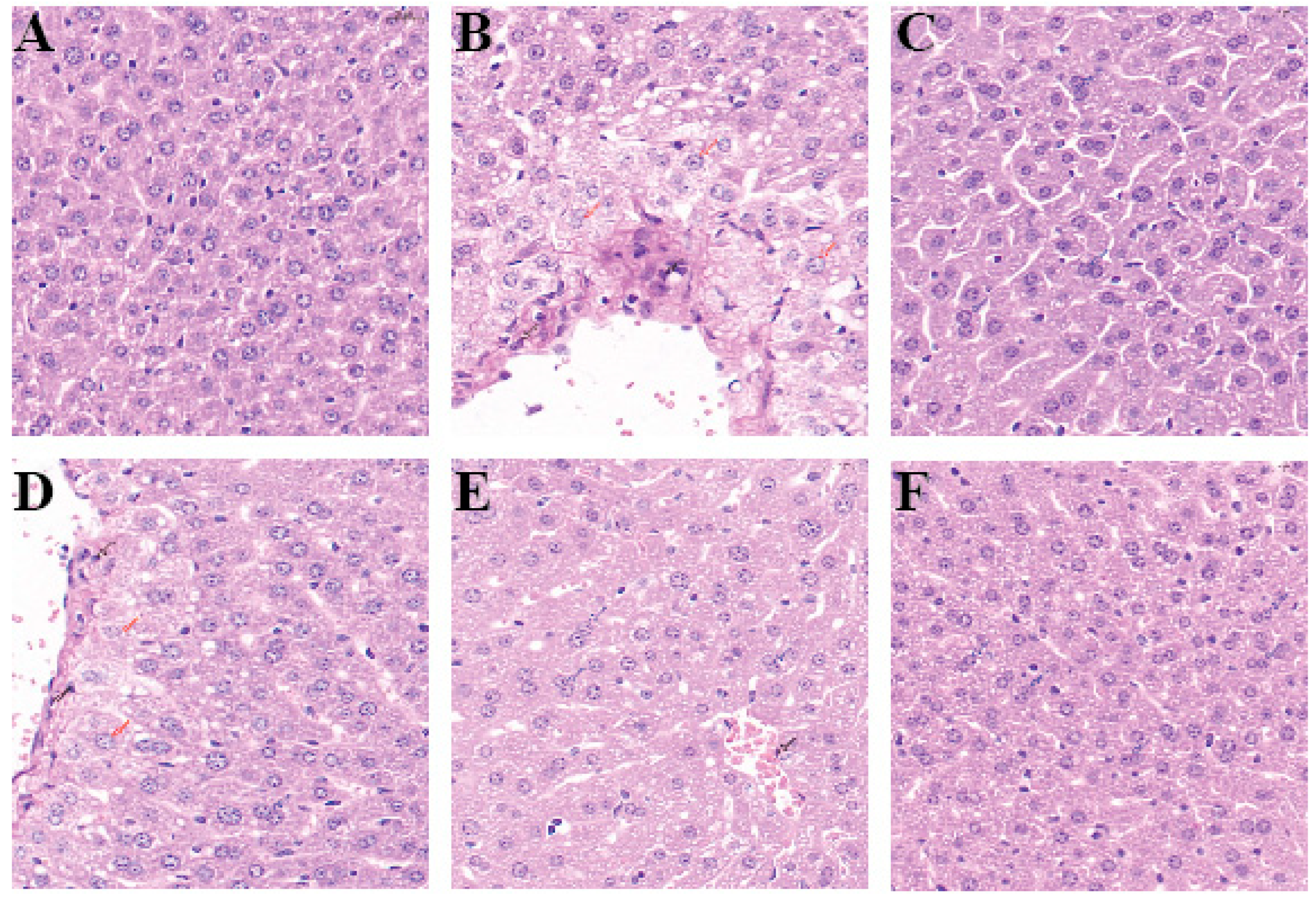
3.5. Hepatic Histopathological Analysis
4. Conclusions
Author Contributions
Funding
Institutional Review Board Statement
Informed Consent Statement
Data Availability Statement
Conflicts of Interest
References
- Ye, J.; Wu, D.; Wu, X.; Qin, L.; Yang, M.; Lu, Y.; Tan, D.; He, Y. Dendrobium officinale Aqueous Extract Regulates Bile Acid Synthesis to Improve Acute Alcoholic Liver Injury in Mice. Food Biosci. 2023, 55, 103087. [Google Scholar] [CrossRef]
- Bai, T.; Yang, Y.; Yao, Y.-L.; Sun, P.; Lian, L.-H.; Wu, Y.-L.; Nan, J.-X. Betulin Alleviated Ethanol-Induced Alcoholic Liver Injury via SIRT1/AMPK Signaling Pathway. Pharmacol. Res. 2016, 105, 1–12. [Google Scholar] [CrossRef]
- Lin, Z.; Li, Y.; Wang, M.; Li, H.; Wang, Y.; Li, X.; Zhang, Y.; Gong, D.; Fu, L.; Wang, S.; et al. Protective Effects of Yeast Extract against Alcohol-Induced Liver Injury in Rats. Front. Microbiol. 2023, 14, 1217449. [Google Scholar] [CrossRef]
- Tilg, H.; Moschen, A.R.; Kaneider, N.C. Pathways of Liver Injury in Alcoholic Liver Disease. J. Hepatol. 2011, 55, 1159–1161. [Google Scholar] [CrossRef] [PubMed]
- Yan, C.; Hu, W.; Tu, J.; Li, J.; Liang, Q.; Han, S. Pathogenic Mechanisms and Regulatory Factors Involved in Alcoholic Liver Disease. J. Transl. Med. 2023, 21, 300. [Google Scholar] [CrossRef]
- Neuman, M.G.; Seitz, H.K.; Teschke, R.; Malnick, S.; Johnson-Davis, K.L.; Cohen, L.B.; German, A.; Hohmann, N.; Moreira, B.; Moussa, G.; et al. Molecular, Viral and Clinical Features of Alcohol- and Non-Alcohol-Induced Liver Injury. Curr. Issues Mol. Biol. 2022, 44, 1294–1315. [Google Scholar] [CrossRef] [PubMed]
- Su, Z.-W.; Yan, T.-Y.; Feng, J.; Zhang, M.-Y.; Han, L.; Zhang, H.-F.; Xiao, Y. Protective Effects and Mechanism of Polysaccharides from Edible Medicinal Plants in Alcoholic Liver Injury: A Review. Int. J. Mol. Sci. 2023, 24, 16530. [Google Scholar] [CrossRef] [PubMed]
- Jin, M.; Liu, H.; Hou, Y.; Chan, Z.; Di, W.; Li, L.; Zeng, R. Preparation, Characterization and Alcoholic Liver Injury Protective Effects of Algal Oligosaccharides from Gracilaria lemaneiformis. Food Res. Int. 2017, 100, 186–195. [Google Scholar] [CrossRef] [PubMed]
- Lyu, Y.; Zhong, L.; Liu, Y.; Lu, J.; LaPointe, G.; Lu, F.; Lu, Z. Protective Effects of Lactococcus lactis Expressing Alcohol Dehydrogenase and Acetaldehyde Dehydrogenase on Acute Alcoholic Liver Injury in Mice. J. Chem. Technol. Biotechnol. 2018, 93, 1502–1510. [Google Scholar] [CrossRef]
- Kong, L.-Z.; Chandimali, N.; Han, Y.-H.; Lee, D.-H.; Kim, J.-S.; Kim, S.-U.; Kim, T.-D.; Jeong, D.K.; Sun, H.-N.; Lee, D.S.; et al. Pathogenesis, Early Diagnosis, and Therapeutic Management of Alcoholic Liver Disease. Int. J. Mol. Sci. 2019, 20, 2712. [Google Scholar] [CrossRef] [PubMed]
- Cao, Y.-J.; Huang, Z.-R.; You, S.-Z.; Guo, W.-L.; Zhang, F.; Liu, B.; Lv, X.-C.; Lin, Z.-X.; Liu, P.-H. The Protective Effects of Ganoderic Acids from Ganoderma lucidum Fruiting Body on Alcoholic Liver Injury and Intestinal Microflora Disturbance in Mice with Excessive Alcohol Intake. Foods 2022, 11, 949. [Google Scholar] [CrossRef] [PubMed]
- Zulkawi, N.; Ng, K.H.; Zamberi, R.; Yeap, S.K.; Jaganath, I.B.; Satharasinghe, D.; Yeah Yong, C.; Jamaluddin, A.B.; Tan, S.W.; Ho, W.Y.; et al. The in Vivo Hepato-Recovery Effects of the Polyphenol-Rich Fermented Food XenijiTM on Ethanol-Induced Liver Damage. RSC Adv. 2017, 7, 38287–38299. [Google Scholar] [CrossRef]
- Wang, J.-J.; Zhang, W.-W.; Guan, Z.-J.; Thakur, K.; Hu, F.; Zhang, J.-G.; Wei, Z.-J. Effect of Fermentation Methods on the Quality and in Vitro Antioxidant Properties of Lycium barbarum and Polygonatum cyrtonema Compound Wine. Food Chem. 2023, 409, 135277. [Google Scholar] [CrossRef]
- Fan, J.; Wang, Y.; You, Y.; Ai, Z.; Dai, W.; Piao, C.; Liu, J.; Wang, Y. Fermented Ginseng Improved Alcohol Liver Injury in Association with Changes in the Gut Microbiota of Mice. Food Funct. 2019, 10, 5566–5573. [Google Scholar] [CrossRef] [PubMed]
- Kamonsuwan, K.; Balmori, V.; Marnpae, M.; Chusak, C.; Thilavech, T.; Charoensiddhi, S.; Smid, S.; Adisakwattana, S. Black Goji Berry (Lycium ruthenicum) Juice Fermented with Lactobacillus rhamnosus GG Enhances Inhibitory Activity against Dipeptidyl Peptidase-IV and Key Steps of Lipid Digestion and Absorption. Antioxidants 2024, 13, 740. [Google Scholar] [CrossRef] [PubMed]
- Ma, R.-H.; Zhang, X.-X.; Ni, Z.-J.; Thakur, K.; Wang, W.; Yan, Y.-M.; Cao, Y.-L.; Zhang, J.-G.; Rengasamy, K.R.R.; Wei, Z.-J. Lycium barbarum (Goji) as Functional Food: A Review of Its Nutrition, Phytochemical Structure, Biological Features, and Food Industry Prospects. Crit. Rev. Food Sci. Nutr. 2023, 63, 10621–10635. [Google Scholar] [CrossRef] [PubMed]
- Wei, R.; Zhu, C.; Chen, S.; Wang, J.; Zeng, Z.; Lan, L.; Sun, Z.; Lei, J.; Li, Y. Preventive Therapeutic Effect of Lactobacillus -fermented Black Wolfberry Juice on Sodium Dextran Sulfate-induced Ulcerative Colitis in Mice. J. Food Sci. 2023, 88, 3102–3118. [Google Scholar] [CrossRef]
- Zhang, J.; Dong, Y.; Nisar, T.; Fang, Z.; Wang, Z.-C.; Guo, Y. Effect of Superfine-Grinding on the Physicochemical and Antioxidant Properties of Lycium ruthenicum Murray Powders. Powder Technol. 2020, 372, 68–75. [Google Scholar] [CrossRef]
- Vidana Gamage, G.C.; Lim, Y.Y.; Choo, W.S. Black Goji Berry Anthocyanins: Extraction, Stability, Health Benefits, and Applications. ACS Food Sci. Technol. 2021, 1, 1360–1370. [Google Scholar] [CrossRef]
- Zeng, S.; Lin, S.; Wang, Z.; Zong, Y.; Wang, Y. The Health-Promoting Anthocyanin Petanin in Lycium ruthenicum Fruit: A Promising Natural Colorant. Crit. Rev. Food Sci. Nutr. 2024, 64, 10484–10497. [Google Scholar] [CrossRef]
- Xu, X.; Li, Y.; Fang, S.; Chen, J.; Yuan, Y.; Gan, J.; Tao, Z.; Meng, Y. Effects of Different Acyl Gellan Gums on the Rheological Properties and Colloidal Stability of Blueberry Cloudy Juice. J. Food Sci. 2018, 83, 1215–1220. [Google Scholar] [CrossRef]
- Liu, L.; Zhang, D.; Song, X.; Guo, M.; Wang, Z.; Geng, F.; Zhou, X.; Nie, S. Compound Hydrogels Derived from Gelatin and Gellan Gum Regulates the Release of Anthocyanins in Simulated Digestion. Food Hydrocoll. 2022, 127, 107487. [Google Scholar] [CrossRef]
- Xu, X.-J.; Fang, S.; Li, Y.-H.; Zhang, F.; Shao, Z.-P.; Zeng, Y.-T.; Chen, J.; Meng, Y.-C. Effects of Low Acyl and High Acyl Gellan Gum on the Thermal Stability of Purple Sweet Potato Anthocyanins in the Presence of Ascorbic Acid. Food Hydrocoll. 2019, 86, 116–123. [Google Scholar] [CrossRef]
- Vidana Gamage, G.C.; Goh, J.K.; Choo, W.S. Application of Anthocyanins from Black Goji Berry in Fermented Dairy Model Food Systems: An Alternate Natural Purple Color. LWT 2024, 198, 115975. [Google Scholar] [CrossRef]
- Madjirebaye, P.; Xiao, M.; Mahamat, B.; Xiong, S.; Mueed, A.; Wei, B.; Huang, T.; Peng, F.; Xiong, T.; Peng, Z. In Vitro Characteristics of Lactic Acid Bacteria Probiotics Performance and Antioxidant Effect of Fermented Soymilk. Food Biosci. 2022, 49, 101952. [Google Scholar] [CrossRef]
- Liu, Z.; Tian, X.; Dong, L.; Zhao, Y.; He, L.; Li, C.; Wang, X.; Zeng, X. Effects of Dual-Strain Fermentation on Physicochemical Properties of Rosa Roxburghii tratt and Coix Seed Beverage. LWT 2024, 194, 115813. [Google Scholar] [CrossRef]
- Gungor, G.; Akpinar, A.; Yerlikaya, O. Production of Plant-Based Fermented Beverages Using Probiotic Starter Cultures and Propionibacterium spp. Food Biosci. 2024, 59, 103840. [Google Scholar] [CrossRef]
- Ding, Y.; Niu, Y.; Chen, Z.; Dong, S.; Li, H. Discovery of Novel Lactobacillus Plantarum Co-Existence-Associated Influencing Factor(s) on Saccharomyces Cerevisiae Fermentation Performance. LWT 2021, 135, 110268. [Google Scholar] [CrossRef]
- Zeng, L.; Si, Z.; Zhao, X.; Feng, P.; Huang, J.; Long, X.; Yi, Y. Metabolome Analysis of the Response and Tolerance Mechanisms of Saccharomyces Cerevisiae to Formic Acid Stress. Int. J. Biochem. Cell Biol. 2022, 148, 106236. [Google Scholar] [CrossRef] [PubMed]
- Mendoza, L.M.; De Nadra, M.C.M.; Farías, M.E. Antagonistic Interaction between Yeasts and Lactic Acid Bacteria of Oenological Relevance. Food Res. Int. 2010, 43, 1990–1998. [Google Scholar] [CrossRef]
- Li, Y.; Wang, W.; Deng, Y.; Gao, J.; Shi, J.; Cai, L. Antioxidant Properties and Changes in Vitro Digestion of the Fermented Kiwifruit Extract Prepared by Lactic Acid Bacteria and Yeasts. Food Chem. 2024, 442, 138416. [Google Scholar] [CrossRef]
- Xu, L.; Yu, Y.; Sang, R.; Li, J.; Ge, B.; Zhang, X. Protective Effects of Taraxasterol against Ethanol-Induced Liver Injury by Regulating CYP2E1/Nrf2/HO-1 and NF-κ B Signaling Pathways in Mice. Oxidative Med. Cell. Longev. 2018, 2018, 8284107. [Google Scholar] [CrossRef] [PubMed]
- Lamas-Paz, A.; Hao, F.; Nelson, L.J.; Vázquez, M.T.; Canals, S.; Moral, M.G.D.; Martínez-Naves, E.; Nevzorova, Y.A.; Cubero, F.J. Alcoholic Liver Disease: Utility of Animal Models. World J. Gastroenterol. 2018, 24, 5063–5075. [Google Scholar] [CrossRef] [PubMed]
- Chen, Y.; Ma, H.; Liang, J.; Sun, C.; Wang, D.; Chen, K.; Zhao, J.; Ji, S.; Ma, C.; Ye, X.; et al. Hepatoprotective Potential of Four Fruit Extracts Rich in Different Structural Flavonoids against Alcohol-Induced Liver Injury via Gut Microbiota-Liver Axis. Food Chem. 2024, 460, 140460. [Google Scholar] [CrossRef] [PubMed]
- Xiao, C.; Zhou, F.; Zhao, M.; Su, G.; Sun, B. Chicken Breast Muscle Hydrolysates Ameliorate Acute Alcohol-Induced Liver Injury in Mice through Alcohol Dehydrogenase (ADH) Activation and Oxidative Stress Reduction. Food Funct. 2018, 9, 774–784. [Google Scholar] [CrossRef] [PubMed]
- Duan, W.; Zhou, L.; Ren, Y.; Liu, F.; Xue, Y.; Wang, F.-Z.; Lu, R.; Zhang, X.-J.; Shi, J.-S.; Xu, Z.-H.; et al. Lactic Acid Fermentation of Goji Berries (Lycium barbarum) Prevents Acute Alcohol Liver Injury and Modulates Gut Microbiota and Metabolites in Mice. Food Funct. 2024, 15, 1612–1626. [Google Scholar] [CrossRef] [PubMed]

| Sample | ADH Activation Rate (%) | ALDH Activation Rate (%) | ||||||
|---|---|---|---|---|---|---|---|---|
| LP-SC | LP-PT-SC | SC-LP | SC-PT-LP | LP-SC | LP-PT-SC | SC-LP | SC-PT-LP | |
| 12 h | 62.85 ± 0.65 f | 78.12 ± 0.58 c | 65.19 ± 0.58 f | 56.28 ± 0.74 f | 62.25 ± 0.40 f | 75.96 ± 0.52 c | 61.21 ± 0.51 g | 56.82 ± 0.41 f |
| 24 h | 75.21 ± 0.89 a | 83.12 ± 0.41 a | 68.80 ± 0.83 e | 65.68 ± 0.50 e | 76.74 ± 0.51 a | 80.53 ± 0.68 a | 65.95 ± 0.40 f | 63.79 ± 0.43 e |
| 36 h | 69.95 ± 0.73 c | 73.23 ± 0.43 d | 72.08 ± 0.50 c | 75.51 ± 0.74 d | 71.53 ± 0.51 c | 71.28 ± 0.45 d | 71.82 ± 0.63 c | 75.23 ± 0.68 d |
| 48 h | 71.77 ± 0.65 b | 79.73 ± 0.76 b | 78.25 ± 0.84 a | 88.52 ± 0.50 a | 74.65 ± 0.51 b | 77.71 ± 0.62 b | 79.35 ± 0.46 a | 88.52 ± 0.91 a |
| 60 h | 63.93 ± 0.65 ef | 67.15 ± 0.73 f | 74.97 ± 0.66 b | 83.33 ± 0.74 b | 63.52 ± 0.56 e | 62.43 ± 0.51 g | 74.85 ± 0.54 b | 83.37 ± 0.51 b |
| 72 h | 67.47 ± 0.40 d | 72.52 ± 0.67 d | 70.22 ± 0.50 d | 78.91 ± 0.74 c | 67.87 ± 0.30 d | 66.67 ± 0.51 e | 70.68 ± 0.80 d | 79.13 ± 0.80 c |
| 84 h | 64.68 ± 0.90 e | 68.55 ± 0.65 e | 65.96 ± 0.74 f | 75.08 ± 0.82 d | 61.39 ± 0.57 g | 64.72 ± 0.51 f | 68.11 ± 0.63 e | 74.62 ± 0.46 d |
| Sample | SC 48 h-PT-LP 48 h | |||
|---|---|---|---|---|
| NLRM–Water | FLRM–Water | NLRM-HA | FLRM-HA | |
| Anthocyanin (mg/mL) | 4.97 ± 0.08 | 6.33 ± 0.11 | 5.76 ± 0.09 | 7.34 ± 0.03 |
| DPPH (%) | 64.29 ± 0.57 d | 86.30 ± 0.49 b | 71.63 ± 0.41 c | 94.50 ± 0.16 a |
| ABTS+ (%) | 54.93 ± 0.83 d | 78.13 ± 0.46 b | 62.8 ± 0.40 c | 86.93 ± 0.46 a |
| OH (%) | 58.98 ± 0.29 d | 71.27 ± 0.54 b | 69.43 ± 0.53 c | 87.78 ± 0.36 a |
| L* | 27.00 ± 0.72 c | 24.95 ± 0.62 d | 30.28 ± 0.64 a | 28.62 ± 0.63 b |
| a* | 6.55 ± 0.38 c | 5.71 ± 0.21 d | 9.48 ± 0.29 a | 8.61 ± 0.22 b |
| b* | −5.14 ± 0.35 b | −3.51 ± 0.48 a | −9.42 ± 0.99 d | −7.87 ± 0.58 c |
| Group | ALT (U/L) | AST (U/L) | TG (mmol/L) | TC (mmol/L) |
|---|---|---|---|---|
| Normal control | 40.91 ± 3.48 | 143.90 ± 2.85 | 0.82 ± 0.15 | 2.31 ± 0.20 |
| Model | 68.07 ± 4.45 b | 261.76 ± 8.06 b | 1.58 ± 0.04 b | 2.88 ± 0.11 b |
| Positive control | 46.75 ± 5.34 d | 165.59 ± 8.57 bd | 1.04 ± 0.08 bd | 2.44 ± 0.13 d |
| L-LRM | 61.08 ± 4.87 bc | 246.96 ± 6.13 bc | 1.45 ± 0.10 bc | 2.72 ± 0.12 b |
| M-LRM | 53.97 ± 4.38 bd | 220.68 ± 8.68 bd | 1.29 ± 0.05 bd | 2.61 ± 0.11 bd |
| H-LRM | 48.46 ± 6.10 ad | 183.51 ± 13.48 bd | 1.16 ± 0.08 bd | 2.52 ± 0.14 ad |
| Group | SOD | MDA | ADH | ALDH |
|---|---|---|---|---|
| Normal control | 697.16 ± 19.22 | 1.52 ± 0.17 | 0.0135 ± 0.0012 | 19.89 ± 2.50 |
| Model | 626.35 ± 52.97 b | 2.17 ± 0.20 b | 0.0044 ± 0.0015 b | 14.46 ± 3.20 b |
| Positive control | 688.64 ± 25.11 d | 1.66 ± 0.11 d | 0.0125 ± 0.007 d | 18.70 ± 2.06 d |
| L-LRM | 640.30 ± 36.04 a | 1.96 ± 0.21 b | 0.0057 ± 0.0017 b | 15.86 ± 2.05 b |
| M-LRM | 657.06 ± 24.11 | 1.88 ± 0.13 bc | 0.0077 ± 0.0008 bd | 16.67 ± 0.96 a |
| H-LRM | 679.31 ± 16.72 c | 1.76 ± 0.17 ad | 0.104 ± 0.0014 bd | 17.55 ± 1.93 c |
Disclaimer/Publisher’s Note: The statements, opinions and data contained in all publications are solely those of the individual author(s) and contributor(s) and not of MDPI and/or the editor(s). MDPI and/or the editor(s) disclaim responsibility for any injury to people or property resulting from any ideas, methods, instructions or products referred to in the content. |
© 2025 by the authors. Licensee MDPI, Basel, Switzerland. This article is an open access article distributed under the terms and conditions of the Creative Commons Attribution (CC BY) license (https://creativecommons.org/licenses/by/4.0/).
Share and Cite
Wang, K.; Zhang, Z.; Xu, W.; Yang, S.; Zhao, J.; Wu, Z.; Zhang, W. The Preparation of Black Goji Berry Enzyme and Its Therapeutic Effect on Alcoholic Liver Injury in Mice. Foods 2025, 14, 523. https://doi.org/10.3390/foods14030523
Wang K, Zhang Z, Xu W, Yang S, Zhao J, Wu Z, Zhang W. The Preparation of Black Goji Berry Enzyme and Its Therapeutic Effect on Alcoholic Liver Injury in Mice. Foods. 2025; 14(3):523. https://doi.org/10.3390/foods14030523
Chicago/Turabian StyleWang, Keshan, Zhishan Zhang, Wenge Xu, Shuyuan Yang, Jing Zhao, Zeyu Wu, and Wencheng Zhang. 2025. "The Preparation of Black Goji Berry Enzyme and Its Therapeutic Effect on Alcoholic Liver Injury in Mice" Foods 14, no. 3: 523. https://doi.org/10.3390/foods14030523
APA StyleWang, K., Zhang, Z., Xu, W., Yang, S., Zhao, J., Wu, Z., & Zhang, W. (2025). The Preparation of Black Goji Berry Enzyme and Its Therapeutic Effect on Alcoholic Liver Injury in Mice. Foods, 14(3), 523. https://doi.org/10.3390/foods14030523

