Sarcodon aspratus Polysaccharide Ameliorates Type 2 Diabetes Mellitus Symptoms by Regulating Intestinal Barrier and Intestinal Microbiota
Abstract
1. Introduction
2. Materials and Methods
2.1. Materials and Reagents
2.2. Animals and Treatment
2.3. Assessment of Glucose Tolerance and Insulin Sensitivity
2.4. Analysis of Biochemical Parameters in Serum and Liver
2.5. Histopathological Investigations
2.6. Immunohistochemistry (IHC) Analysis
2.7. Western Blotting
2.8. SCFAs Assay
2.9. Analysis of Intestinal Microbiota
2.10. Statistical Analysis
3. Results
3.1. SAFP Intervention Alleviates Metabolic Disturbance in T2DM Mice
3.2. SAFP Intervention Alleviates Insulin Resistance in T2DM Mice
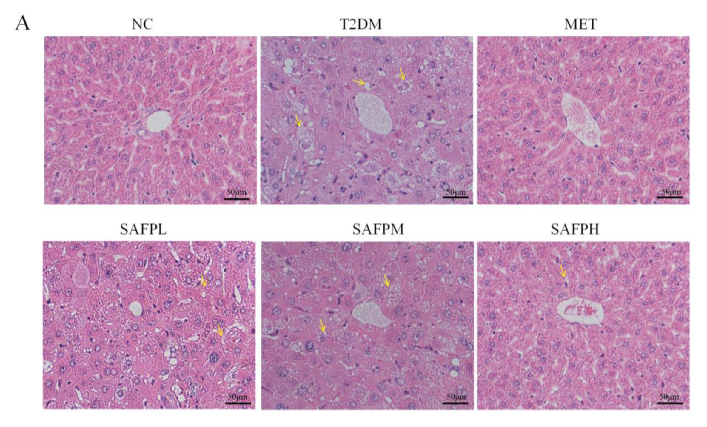
3.3. SAFP Intervention Alleviates Hepatic Steatosis and Dysfunction
3.4. SAFP Intervention Reduces Liver Oxidative Stress and Inflammation
3.5. Effects of SAFP on Hepatic AMPK Signaling Pathway
3.6. SAFP Intervention Enhanced the Intestinal Mechanical Barrier Function
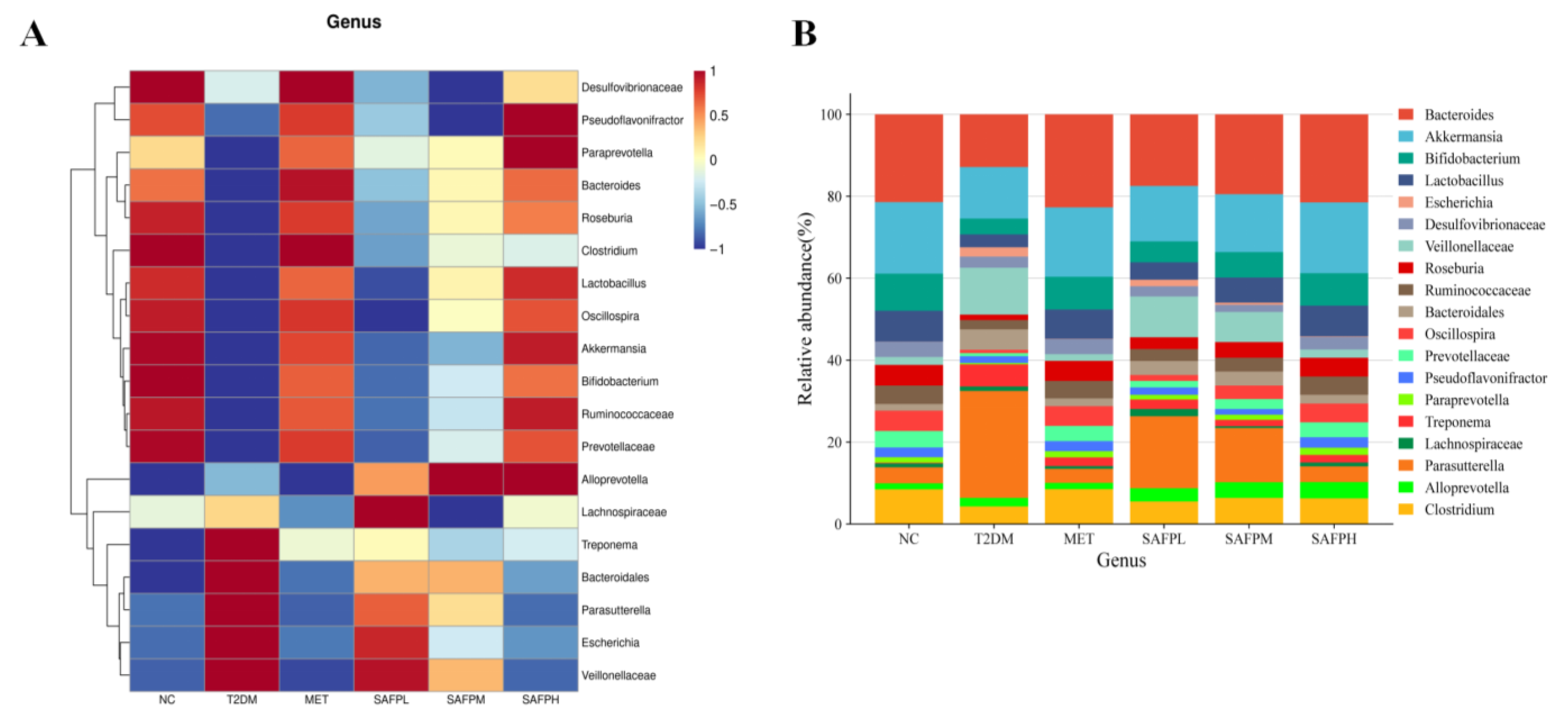
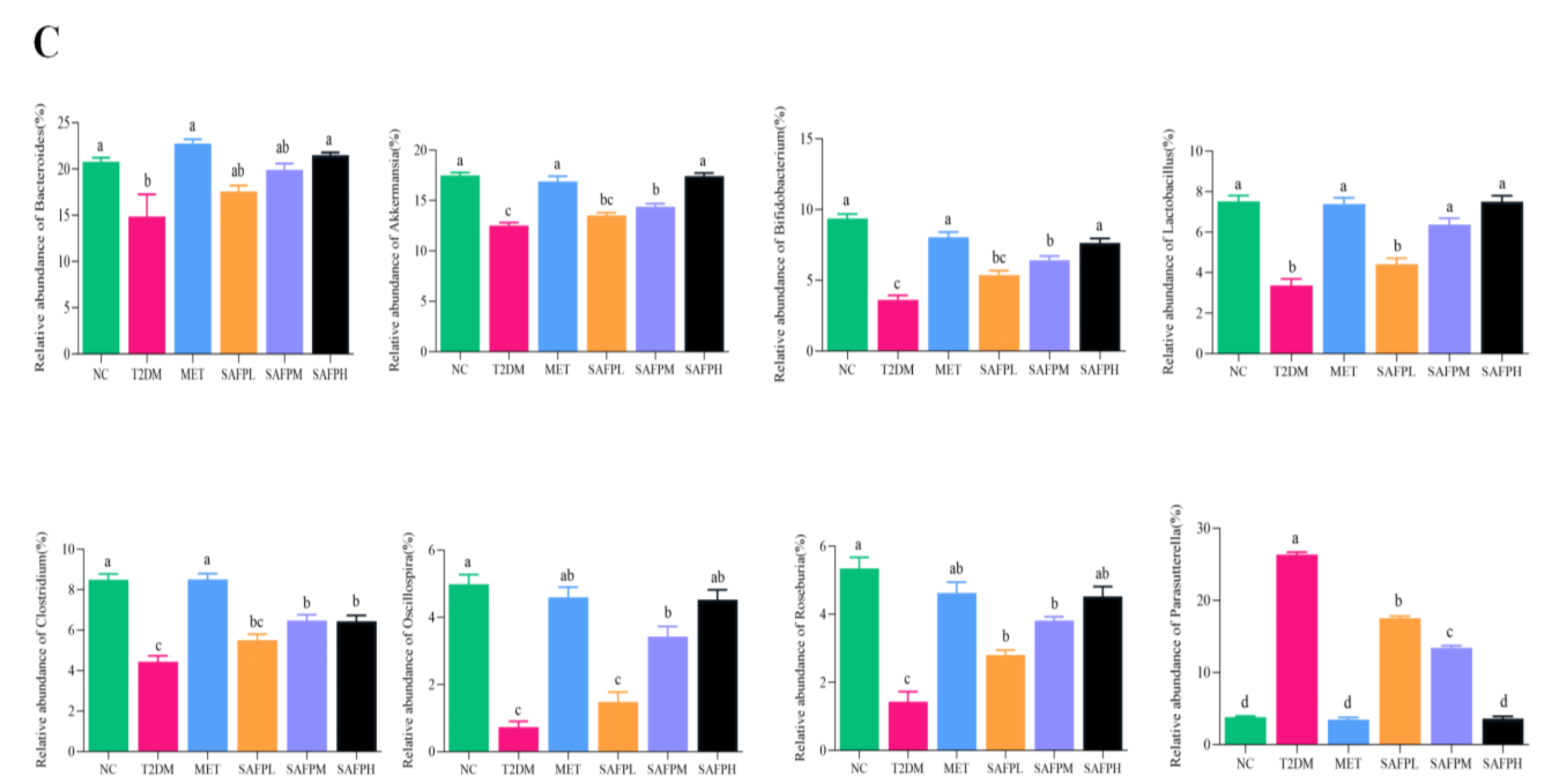
3.7. SAFP Intervention Reversed Fecal SCFAs Reduction and Microbial Community Imbalance
4. Discussion
5. Conclusions
Author Contributions
Funding
Institutional Review Board Statement
Data Availability Statement
Conflicts of Interest
Abbreviations
| ALT | Alanine aminotransferase |
| AMPK | Adenosine 5‘-monophosphate (AMP)-activated protein kinase |
| AMPKα | AMP-activated protein kinase α |
| p-AMPKα | Phosphorylated AMP-activated protein kinase α |
| AST | Aspartate aminotransferase |
| AUC | The area under the curve |
| DM | Diabetes mellitus |
| FBG | Fasting blood glucose |
| FINS | Fasting serum insulin levels |
| G6Pase | Glucose 6-phosphatase |
| HDL-C | High density lipoprotein cholesterol |
| HOMA | Homeostasis model assessment |
| H&E | Hematoxylin and eosin |
| IHC | Immunohistochemistry |
| IL-1β | Interleukin-1β |
| IL-6 | Interleukin-6 |
| IR | Insulin resistance |
| ISI | Insulin sensitivity index |
| LDL-C | Low density lipoprotein cholesterol |
| MET | Metformin |
| OGTT | The oral glucose tolerance test |
| OTUs | Operational Taxonomic Units |
| PAS | Periodic acid-Schiff |
| PCoA | Principal coordinate analysis |
| PEPCK | Phosphoenolpyruvate carboxykinase |
| ROS | Reactive oxygen species |
| SAFP | Sarcodon aspratus polysaccharides |
| SCFAs | Short-Chain Fatty Acids |
| T1DM | Type 1 diabetes |
| T2DM | Type 2 diabetes mellitus |
| TBST | Tris-buffered saline Tween-20 |
| TC | Total cholesterol |
| TG | Triglyceride |
| TNF-α | tumor necrosis factor-α |
References
- Toennies, W.; Rathmann, A.; Hoyer, R.; Brinks, O.; Kuss, O. Quantifying the underestimation of projected global diabetes prevalence by the International Diabetes Federation (IDF) Diabetes Atlas. BMJ Open Diabetes Res. Care 2021, 9, e002122. [Google Scholar] [CrossRef]
- Perreault, J.; Skyler, J.S.; Rosenstock, J. Novel therapies with precision mechanisms for type 2 diabetes mellitus. Nat. Rev. Endocrinol. 2021, 17, 364–377. [Google Scholar] [CrossRef]
- Liu, Y.; Xu, Z.; Huang, H.; Xue, Y.; Zhang, D.; Zhang, Y.; Li, W.; Li, X. Fucoidan ameliorates glucose metabolism by the improvement of intestinal barrier and inflammatory damage in type 2 diabetic rats. Int. J. Biol. Macromol. 2022, 201, 616–629. [Google Scholar] [CrossRef]
- Odenwald, M.A.; Turner, J.R. The intestinal epithelial barrier: A therapeutic target. Nat. Rev. Gastroenterol. Hepatol. 2017, 14, 9–21. [Google Scholar] [CrossRef]
- Macho-Gonzalez, A.; Garcimartin, A.; Redondo, N.; Cofrades, S.; Bastida, S.; Nova, E.; Benedi, J.; Sanchez-Muniz, F.J.; Marcos, A.; Lopez-Oliva, M.E. Carob fruit extract enriched meat, as preventive and curative treatments, improves gut microbiota and colonic barrier integrity in a late-stage T2DM model. Food Res. Int. 2021, 141, 110124. [Google Scholar] [CrossRef]
- Huang, J.; Guan, B.; Lin, L.; Wang, Y. Improvement of intestinal barrier function, gut microbiota, and metabolic endotoxemia in type 2 diabetes rats by curcumin. Bioengineered 2021, 12, 11947–11958. [Google Scholar] [CrossRef]
- Zhang, L.; Zhang, Y.; Liu, J.; Li, Y.; Quan, J. Association of lipopolysaccharide-Toll like receptor 4 signaling and microalbuminuria in patients with type 2 diabetes mellitus. Diabetes Metab. Syndr. Obes. 2022, 15, 3143–3152. [Google Scholar] [CrossRef]
- Zhou, B.; Sun, D.; Yu, C.; Zhu, C. Gut microbiota: An important player in type 2 diabetes mellitus. Front. Cell. Infect. Microbiol. 2022, 12, 834485. [Google Scholar] [CrossRef]
- Pascale, A.; Marchesi, N.; Marelli, C.; Coppola, A.; Luzi, L.; Govoni, S.; Giustina, A.; Gazzaruso, C. Microbiota and metabolic diseases. Endocrine 2018, 61, 357–371. [Google Scholar] [CrossRef]
- Ma, Q.; Li, Y.; Li, P.; Wang, M.; Wang, J.; Tang, Z.; Wang, T.; Luo, L.; Wang, C.; Wang, T. Research progress in the relationship between type 2 diabetes mellitus and intestinal flora. Biomed. Pharmacother. 2019, 117, 109138. [Google Scholar] [CrossRef]
- Chen, Y.; Zhou, J.; Wang, L. Role and mechanism of gut microbiota in human disease. Front. Cell. Infect. Microbiol. 2021, 11, 625913. [Google Scholar] [CrossRef]
- Hu, Y.J.; Liu, J.; Wang, G. The Effects of Exenatide and Metformin on Endothelial Function in Newly Diagnosed Type 2 Diabetes Mellitus Patients: A Case-Control Study. Diabetes Ther. Res. Treat. Educ. Diabetes Relat. Disord. 2018, 9, 1295–1305. [Google Scholar] [CrossRef]
- Chen, J.; Liu, J.J.; Zhang, C.; Pan, W.J.; Zhang, W.N.; Lu, Y.M.; Chen, L.; Chen, Y. Sarcodon aspratus polysaccharides ameliorated obesity-induced metabolic disorders and modulated gut microbiota dysbiosis in mice fed a high-fat diet. Food Funct. 2020, 11, 2588–2602. [Google Scholar] [CrossRef]
- Kanwal, S.; Joseph, T.P.; Aliya, S.; Song, S.; Saleem, M.Z.; Nisar, M.A.; Wang, Y.; Meyiah, A.; Ma, Y.; Xin, Y. Attenuation of DSS induced colitis by Dictyophora indusiata polysaccharide (DIP) via modulation of gut microbiota and inflammatory related signaling pathways. J. Funct. Foods 2019, 64, 103641. [Google Scholar] [CrossRef]
- Li, M.; Yue, H.; Wang, Y.; Guo, C.; Du, Z.; Jin, C.; Ding, K. Intestinal microbes derived butyrate is related to the immunomodulatory activities of Dendrobium officinale polysaccharide. Int. J. Biol. Macromol. 2020, 149, 717–723. [Google Scholar] [CrossRef]
- Wang, D.D.; Pan, W.J.; Mehmood, S.; Cheng, X.D.; Chen, Y. Polysaccharide isolated from Sarcodon aspratus induces RAW264. 7 activity via TLR4-mediated NF-κB and MAPK signaling pathways. Int. J. Biol. Macromol. 2018, 120, 1039–1047. [Google Scholar] [CrossRef]
- Liu, J.J.; Chen, J.; Wang, Y.; Yan, C.C.; Zhang, C.; Mehmood, S.; Pan, W.J.; Zhang, W.N.; Lu, Y.M.; Wu, Q.X.; et al. Reduction of 5-fluorouracil-induced toxicity by Sarcodon aspratus polysaccharides in Lewis tumor-bearing mice. Int. J. Biol. Macromol. 2020, 163, 232–239. [Google Scholar] [CrossRef]
- Dong, H.B.; Yang, J.L.; Wang, Y.; Jiang, Y.; Chen, J.; Zhang, W.N.; Lu, Y.M.; Chen, L.; Chen, Y. Polysaccharide SAFP from Sarcodon aspratus attenuates oxidative stress-induced cell damage and bleomycin-induced pulmonary fibrosis. Int. J. Biol. Macromol. 2020, 164, 1215–1236. [Google Scholar] [CrossRef]
- Zhang, D.J.; Xiang, M.; Jiang, Y.; Wu, F.; Sun, M.; Zhang, L.Z.; Du, X.F.; Chen, L. The protective effect of polysaccharide SAFP from Sarcodon aspratus on water-immersion and restraint stress induced gastric ulcer and modulatory effects on gut microbiota dysbiosis. Foods 2022, 11, 1567. [Google Scholar] [CrossRef]
- GB/T 35892—2018; Laboratory Animal-Guideline for Ethical Review of Animal Welfare. China National Institute of Standardization: Beijing, China, 2018.
- Percie Du Sert, N.; Hurst, V.; Ahluwalia, A.; Alam, S.; Avey, M.T.; Baker, M.; Browne, W.J.; Clark, A.; Cuthill, I.C.; Dirnagl, U.; et al. The ARRIVE guidelines 2.0: Updated guidelines for reporting animal research. PLoS Biol. 2020, 18, e3000410. [Google Scholar]
- Yang, J.L.; Dong, H.B.; Wang, Y.; Jiang, Y.; Zhang, W.N.; Lu, Y.M.; Chen, Y.; Chen, L. Cordyceps cicadae polysaccharides ameliorated renal interstitial fibrosis in diabetic nephropathy rats by repressing inflammation and modulating gut microbiota dysbiosis. Int. J. Biol. Macromol. 2020, 163, 442–456. [Google Scholar] [CrossRef]
- Kiho, T.; Shiose, Y.; Ni, K.; Sakushima, M.; Ukai, S. Polysaccharides in fungi. XXIX. Structural features of two antitumor polysaccharides from the fruiting bodies of Armillariella tabescens. Chem. Pharm. Bull. 1992, 40, 2212–2214. [Google Scholar] [CrossRef]
- Liu, X.C.; Zhu, Z.Y.; Tang, Y.L.; Wang, M.F.; Wang, Z.; Liu, A.J.; Zhang, Y.M. Structural properties of polysaccharides from cultivated fruit bodies and mycelium of Cordyceps militaris. Carbohydr. Polym. 2016, 142, 63–72. [Google Scholar] [CrossRef]
- Liang, C.L.; Wu, J.B.; Lai, J.M.; Ye, S.F.; Lin, J.; Ouyang, H.; Zhan, J.Y.; Zhou, J.Y. Protection Effect of Zhen-Wu-Tang on Adriamycin-Induced Nephrotic Syndrome via Inhibiting Oxidative Lesions and Inflammation Damage. Evid. Based Complement. Alternat. Med. 2014, 2014, 131604. [Google Scholar] [CrossRef]
- Guo, C.; Zhang, C.; Li, L.; Wang, Z.; Xiao, W.; Yang, Z. Hypoglycemic and hypolipidemic effects of oxymatrine in high-fat diet and streptozotocin-induced diabetic rats. Phytomedicine 2014, 21, 807–814. [Google Scholar] [CrossRef]
- Wadström, B.N.; Pedersen, K.M.; Wulff, A.B.; Nordestgaard, B.G. Elevated remnant cholesterol, plasma triglycerides, and cardiovascular and non-cardiovascular mortality. Eur. Heart J. 2023, 44, 1432–1445. [Google Scholar] [CrossRef]
- Wu, K.T.; Kuo, P.L.; Su, S.B.; Chen, Y.Y.; Yeh, M.L.; Huang, C.I.; Yang, J.F.; Lin, C.I.; Hsieh, M.H.; Hsieh, M.Y. Nonalcoholic fatty liver disease severity is associated with the ratios of total cholesterol and triglycerides to high density lipoprotein cholesterol. J. Clin. Lipidol. 2016, 10, 504–510. [Google Scholar] [CrossRef]
- Horn, C.V.; Minor, T. Modern concepts for the dynamic preservation of the liver and kidneys in the context of transplantation. J. Pathologe. 2019, 40, 292–298. [Google Scholar] [CrossRef]
- Heo, Y.; Choi, S.E.; Jeon, J.Y.; Han, S.J.; Kim, D.J.; Kang, Y.; Lee, K.W.; Kim, H.J. Visfatin induces inflammation and insulin resistance via the NF-κB and STAT3 signaling pathways in hepatocytes. J. Diabetes Res. 2019, 2019, 4021623. [Google Scholar] [CrossRef]
- Su, Z.; Nie, Y.; Huang, X.; Zhu, Y.; Feng, B.; Tang, L.; Zheng, G. Mitophagy in hepatic insulin resistance: Therapeutic potential and concerns. Front. Pharmacol. 2019, 10, 1193. [Google Scholar] [CrossRef]
- Pories, W.J.; Dohm, G.L. Diabetes: Have we got it all wrong? Hyperinsulinism as the culprit: Surgery provides the evidence. Diabetes Care 2012, 35, 2438–2442. [Google Scholar] [CrossRef]
- Muoio, D.M.; Newgard, C.B. Mechanisms of disease: Molecular and metabolic mechanisms of insulin resistance and beta-cell failure in type 2 diabetes. Nat. Rev. Mol. Cell Biol. 2008, 9, 193–205. [Google Scholar] [CrossRef]
- Ye, T.; Meng, X.; Zhai, Y.; Xie, W.; Wang, R.; Sun, G.; Sun, X. Gastrodin ameliorates cognitive dysfunction in diabetes rat model via the suppression of endoplasmic reticulum stress and NLRP3 inflammasome activation. Front. Pharmacol. 2018, 9, 1346. [Google Scholar] [CrossRef]
- Yu, S.; Li, J.X.; Chen, H.; Wang, S.Y.; Tian, M.H.; Wang, H.F.; Huang, H.P.; Li, M.Y. Association of the inflammatory burden index with the risk of pre-diabetes and diabetes mellitus: A cross-sectional study. BMC Endocr. Disord. 2025, 25, 82. [Google Scholar] [CrossRef]
- Chen, X.; Li, X.; Zhang, X.; You, L.; Cheung, P.C.; Huang, R.; Xiao, J. Antihyperglycemic and antihyperlipidemic activities of a polysaccharide from Physalis pubescens L. in streptozotocin (STZ)-induced diabetic mice. Food Funct. 2019, 10, 4868–4876. [Google Scholar] [CrossRef]
- Hou, C.Y.; Chen, L.L.; Yang, L.Z.; Ji, X.L. An insight into anti-inflammatory effects of natural polysaccharides. Int. J. Biol. Macromol. 2020, 153, 248–255. [Google Scholar] [CrossRef]
- Herzig, S.; Shaw, R.J. AMPK: Guardian of metabolism and mitochondrial homeostasis. Nat. Rev. Mol. Cell Biol. 2018, 19, 121–135. [Google Scholar] [CrossRef]
- Mottillo, E.P.; Desjardins, E.M.; Fritzen, A.M.; Zou, V.Z.; Crane, J.D.; Yabut, J.M.; Kiens, B.; Erion, D.M.; Lanba, A.; Granneman, J.G.; et al. R. FGF21 does not require adipocyte AMP-activated protein kinase (AMPK) or the phosphorylation of acetyl-CoA carboxylase (ACC) to mediate improvements in whole-body glucose homeostasis. Mol. Metab. 2017, 6, 471–481. [Google Scholar] [CrossRef]
- Chung, S.T.; Hsia, D.S.; Chacko, S.K.; Rodriguez, L.M.; Haymond, M.W. Increased gluconeogenesis in youth with newly diagnosed type 2 diabetes. Diabetologia 2015, 58, 596–603. [Google Scholar] [CrossRef]
- Ren, Z.; Xie, Z.; Cao, D.; Gong, M.; Yang, L.; Zhou, Z.; Ou, Y. C-Phycocyanin inhibits hepatic gluconeogenesis and increases glycogen synthesis via activating Akt and AMPK in insulin resistance hepatocytes. Food Funct. 2018, 9, 2829–2839. [Google Scholar] [CrossRef]
- Li, Y.; Liu, Y.; Liang, J.; Wang, T.; Sun, M.; Zhang, Z. Gymnemic acid ameliorates hyperglycemia through PI3K/AKT- and AMPK-mediated signaling pathways in type 2 diabetes mellitus rats. J. Agric. Food Chem. 2019, 67, 13051–13060. [Google Scholar] [CrossRef]
- Alkhalidy, H.; Moore, W.; Wang, A.; Luo, J.; Mcmillan, R.P.; Wang, Y.; Zhen, W.; Hulver, M.W.; Liu, D. Kaempferol ameliorates hyperglycemia through suppressing hepatic gluconeogenesis and enhancing hepatic insulin sensitivity in diet-induced obese mice. J. Nutr. Biochem. 2018, 58, 90–101. [Google Scholar] [CrossRef]
- Viollet, B.; Lantier, L.; Devin-Leclerc, J.; Hebrard, S.; Amouyal, C.; Mounier, R.; Foretz, M.; Andreelli, F. Targeting the AMPK pathway for the treatment of Type 2 diabetes. Front. Biosci. (Landmark Ed.) 2009, 14, 3380–3400. [Google Scholar] [CrossRef]
- Li, D.; Liu, F.; Wang, X.; Li, X. Apple polyphenol extract alleviates high fat-diet-induced hepatic steatosis in male C57BL/6 mice by targeting LKB1/AMPK pathway. J. Agric. Food Chem. 2019, 67, 12208–12218. [Google Scholar] [CrossRef]
- Joshi, T.; Singh, A.K.; Haratipour, P.; Sah, A.N.; Pandey, A.K.; Naseri, R.; Juyal, V.; Farzaei, M.H. Targeting AMPK signaling pathway by natural products for treatment of diabetes mellitus and its complications. J. Cell Physiol. 2019, 234, 17212–17231. [Google Scholar] [CrossRef]
- Yuan, J.H.; Xie, Q.S.; Chen, G.C.; Huang, C.L.; Yu, T.; Chen, Q.K.; Li, J.Y. Impaired intestinal barrier function in type 2 diabetic patients measured by serum LPS, zonulin, and IFABP. J. Diabetes Complicat. 2020, 35, 107766. [Google Scholar] [CrossRef]
- Pasini, E.; Corsetti, G.; Assanelli, D.; Testa, C.; Romano, C.; Dioguardi, F.S.; Aquilani, R. Effects of chronic exercise on gut microbiota and intestinal barrier in human with type 2 diabetes. Minerva Med. 2019, 110, 3–11. [Google Scholar] [CrossRef]
- Klüppelholz, B.; Thorand, B.; Koenig, W.; de Las Heras Gala, T.; Meisinger, C.; Huth, C.; Giani, G.; Franks, P.W.; Roden, M.; Rathmann, W.; et al. Association of subclinical inflammation with deterioration of glycaemia before the diagnosis of type 2 diabetes: The KORA S4/F4 study. Diabetologia 2015, 58, 2269–2277. [Google Scholar] [CrossRef]
- Thaiss, C.A.; Levy, M.; Grosheva, I.; Zheng, D.; Soffer, E.; Blacher, E.; Braverman, S.; Tengeler, A.C.; Barak, O.; Elazar, M.; et al. Hyperglycemia drives intestinal barrier dysfunction and risk for enteric infection. Science 2018, 359, 1376–1383. [Google Scholar] [CrossRef]
- Beyaz, S.; Mana, M.D.; Roper, J.; Kedrin, D.; Saadatpour, A.; Hong, S.J.; Bauer-Rowe, K.E.; Xifaras, M.E.; Akkad, A.; Arias, E.; et al. High-fat diet enhances stemness and tumorigenicity of intestinal progenitors. Nature 2016, 531, 53–58. [Google Scholar] [CrossRef]
- France, M.M.; Turner, J.R. The mucosal barrier at a glance. J. Cell Sci. 2017, 130, 307–314. [Google Scholar] [CrossRef]
- Bleau, C.; Karelis, A.D.; St-Pierre, D.H.; Lamontagne, L. Crosstalk between intestinal microbiota, adipose tissue and skeletal muscle as an early event in systemic low-grade inflammation and the development of obesity and diabetes. Diabetes Metab. Res. Rev. 2015, 31, 545–561. [Google Scholar] [CrossRef]
- Zhu, Z.; Zhu, B.; Sun, Y.; Ai, C.; Wang, L.; Wen, C.; Yang, J.; Song, S.; Liu, X. Sulfated polysaccharide from sea cucumber and its depolymerized derivative prevent obesity in association with modification of gut microbiota in high-fat diet-fed mice. Mol. Nutr. Food Res. 2018, 62, 1800446. [Google Scholar] [CrossRef]
- Xu, J.; Chen, H.B.; Li, S.L. Understanding the molecular mechanisms of the interplay between herbal medicines and gut microbiota. Med. Res. Rev. 2017, 37, 1140–1185. [Google Scholar] [CrossRef]
- Cani, P.D.; Possemiers, S.; Van de Wiele, T.; Guiot, Y.; Everard, A.; Rottier, O.; Geurts, L.; Naslain, D.; Neyrinck, A.; Lambert, D.M.; et al. Changes in gut microbiota control inflammation in obese mice through a mechanism involving GLP-2-driven improvement of gut permeability. Gut 2009, 58, 1091–1103. [Google Scholar] [CrossRef]
- Jang, Y.J.; Kim, W.K.; Han, D.H.; Lee, K.; Ko, G. Lactobacillus fermentum species ameliorate dextran sulfate sodium-induced colitis by regulating the immune response and altering gut microbiota. Gut Microbes. 2019, 10, 696–711. [Google Scholar] [CrossRef]
- Yue, S.J.; Zhao, D.; Peng, C.; Tan, C.; Wang, Q.; Gong, J. Effects of theabrownin on serum metabolites and gut microbiome in rats with a high-sugar diet. J. Food Funct. 2019, 10, 7063–7080. [Google Scholar] [CrossRef]
- Tan, J.; Mckenzie, C.; Potamitis, M.; Thorburn, A.N.; Mackay, C.R.; Macia, L. The role of short-chain fatty acids in health and disease. Adv. Immunol. 2014, 121, 91–119. [Google Scholar] [CrossRef]
- Liu, H.; Wang, J.; He, T.; Becker, S.; Zhang, G.; Li, D.; Ma, X. Butyrate: A double-edged sword for health? Adv. Nutr. 2018, 9, 21–29. [Google Scholar] [CrossRef]
- Ejtahed, H.S.; Angoorani, P.; Soroush, A.R.; Atlasi, R.; Hasani-Ranjbar, S.; Mortazavian, A.M.; Larijani, B. Probiotics supplementation for the obesity management; a systematic review of animal studies and clinical trials. J. Funct. Foods 2019, 52, 228–242. [Google Scholar] [CrossRef]

















| SCFAs | Standard Curve Equation | R2 | Retention Time |
|---|---|---|---|
| Acetic acid | y = 2.7219x + 1.3281 | 0.9990 | 6.733 |
| Propionic acid | y = 7.0841x − 43.743 | 0.9906 | 8.508 |
| Butyric acid | y = 10.455x − 64.461 | 0.9905 | 10.187 |
| Valeric acid | y = 13.039x − 20.315 | 0.9960 | 11.738 |
Disclaimer/Publisher’s Note: The statements, opinions and data contained in all publications are solely those of the individual author(s) and contributor(s) and not of MDPI and/or the editor(s). MDPI and/or the editor(s) disclaim responsibility for any injury to people or property resulting from any ideas, methods, instructions or products referred to in the content. |
© 2025 by the authors. Licensee MDPI, Basel, Switzerland. This article is an open access article distributed under the terms and conditions of the Creative Commons Attribution (CC BY) license (https://creativecommons.org/licenses/by/4.0/).
Share and Cite
Zhang, D.; Sun, X.; Wang, H.; Chen, L. Sarcodon aspratus Polysaccharide Ameliorates Type 2 Diabetes Mellitus Symptoms by Regulating Intestinal Barrier and Intestinal Microbiota. Foods 2025, 14, 3871. https://doi.org/10.3390/foods14223871
Zhang D, Sun X, Wang H, Chen L. Sarcodon aspratus Polysaccharide Ameliorates Type 2 Diabetes Mellitus Symptoms by Regulating Intestinal Barrier and Intestinal Microbiota. Foods. 2025; 14(22):3871. https://doi.org/10.3390/foods14223871
Chicago/Turabian StyleZhang, Dongjing, Xiuying Sun, Haichao Wang, and Lei Chen. 2025. "Sarcodon aspratus Polysaccharide Ameliorates Type 2 Diabetes Mellitus Symptoms by Regulating Intestinal Barrier and Intestinal Microbiota" Foods 14, no. 22: 3871. https://doi.org/10.3390/foods14223871
APA StyleZhang, D., Sun, X., Wang, H., & Chen, L. (2025). Sarcodon aspratus Polysaccharide Ameliorates Type 2 Diabetes Mellitus Symptoms by Regulating Intestinal Barrier and Intestinal Microbiota. Foods, 14(22), 3871. https://doi.org/10.3390/foods14223871
