Mao Jian Black Tea Ethanol Extract Alleviates Alcoholic Liver Injury in Mice via Regulation of the PI3K/Akt/NF-κB Signaling Pathway
Abstract
1. Introduction
2. Materials and Methods
2.1. Extraction of the Ethanol Extract of MJBT
2.2. Animal Grouping, Administration, and Sample Collection
2.3. Effects of MJBT_EE on Serum—Related Indicators
2.4. Effects of MJBT_EE on Hepatic Oxidative Factor Indicators
2.5. H&E Staining of Mouse Liver Tissue
2.6. Oil Red O Staining of Mouse Liver Tissue
2.7. Western Blotting
3. Data Analysis
4. Results
4.1. Preliminary Evaluation of the ALI Model

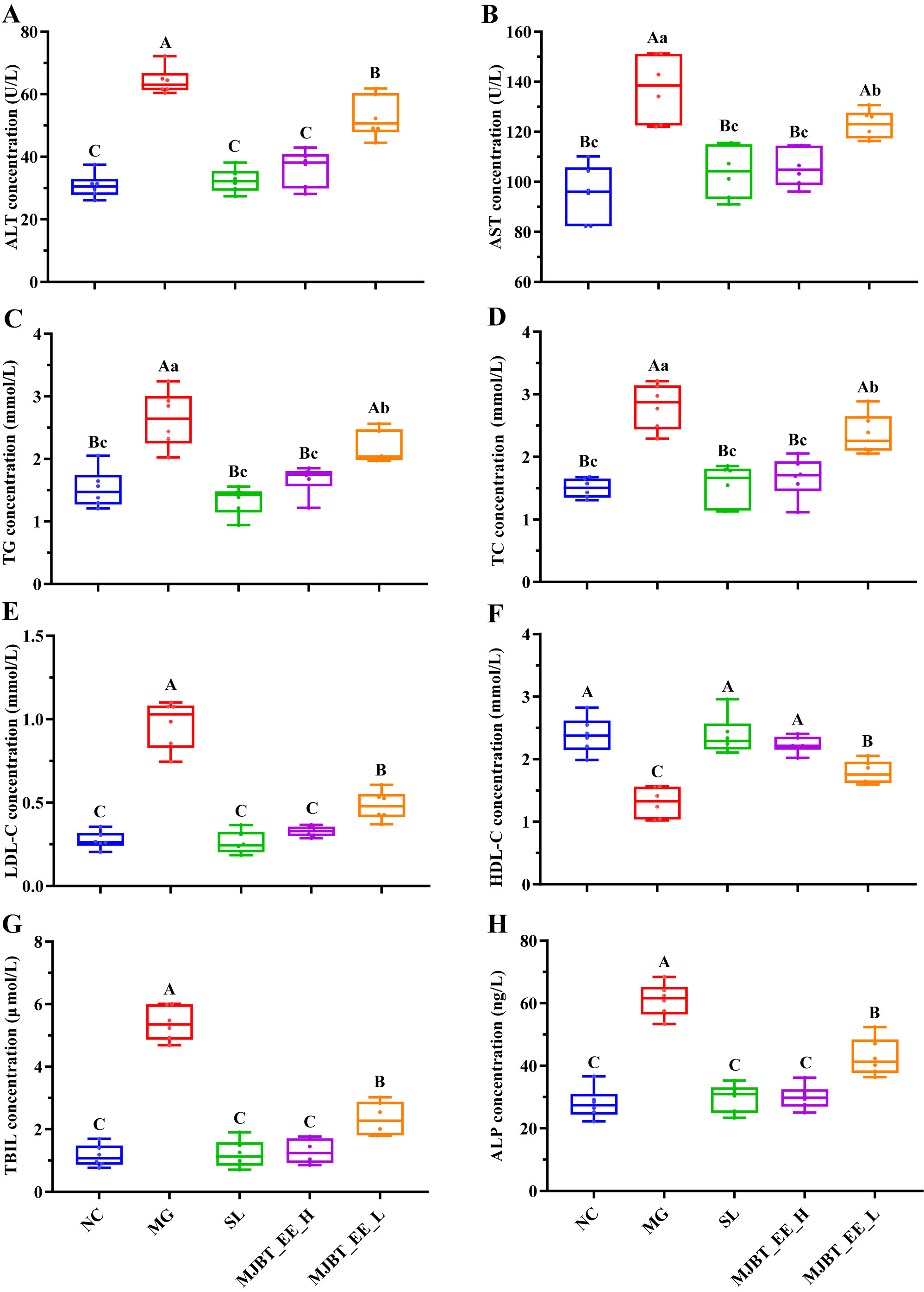
4.2. Effect of MJBT_EE on Liver Function in ALI Mice

4.3. Regulatory Effect of MJBT_EE on Hepatic Oxidative Factors in ALI Mice

4.4. Regulatory Effect of MJBT_EE on Inflammatory Factors in ALI Mice

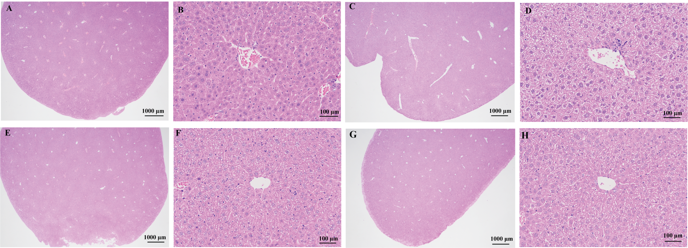
4.5. Effects of MJBT_EE on Mouse Liver Observed by H&E Staining

4.6. Effects of MJBT_EE on Mouse Liver Observed by Oil Red O Staining

4.7. Effect of MJBT_EE on the PI3K/Akt/NF-κB Signaling Pathway


5. Discussion
6. Conclusions
Author Contributions
Funding
Institutional Review Board Statement
Informed Consent Statement
Data Availability Statement
Conflicts of Interest
Abbreviations
| MJBT_EE | Mao Jian Black tea ethanol extract |
| ALI | alcohol-induced liver injury |
| WHO | World Health Organization |
| MJT | Mao Jian Tea |
| MJBT | Mao Jian Black Tea |
| NC | Negative Control |
| MG | Model Group |
| SL | silibinin positive control group |
| MJBT_EE_H | high-dose MJBT alcoholic extract group |
| MJBT_EE_L | low-dose MJBT alcoholic extract group |
| DMSO | dimethyl sulfoxide |
| ALT | alanine aminotransferase |
| AST | aspartate aminotransferase |
| HDL-C | high-density lipoprotein cholesterol |
| LDL-C | low-density lipoprotein cholesterol |
| TG | triglyceride |
| TC | total cholesterol |
| TBIL | total bilirubin |
| ALP | alkaline phosphatase |
| IL-6 | interleukin-6 |
| TNF-α | tumor necrosis factor-α |
| SOD | superoxide dismutase |
| IL-1β | interleukin-1β |
| GSH | glutathione |
| MDA | malondialdehyde |
| SDS-PAGE | sodium dodecyl sulfate-polyacrylamide gel electrophoresis |
| PVDF | polyvinylidene fluoride |
| ANOVA | analysis of variance |
| PPAR-α | peroxisome proliferator-activated receptor-α |
| PPAR-γ | peroxisome proliferator-activated receptor-γ |
| SREBP1 | sterol regulatory element-binding protein 1 |
| FASN | fatty acid synthetase |
| CPT1 | carnitine palmitoyl transferase 1 |
| ROS | reactive oxygen species |
| NOS | nitric oxide synthase |
| CAT | catalase |
| GSH-Px | glutathione peroxidase |
| HO-1 | Heme Oxygenase-1 |
| γ-GCS | γ-Glutamylcysteine Synthetase |
| NQO1 | Quinone Oxidoreductase 1 |
References
- World Health Organization. Global Status Report on Alcohol and Health 2018; World Health Organization: Geneva, Switzerland, 2018. [Google Scholar]
- Åberg, F.; Puukka, P.; Salomaa, V.; Männistö, S.; Lundqvist, A.; Valsta, L.; Perola, M.; Färkkilä, M.; Jula, A. Risks of Light and Moderate Alcohol Use in Fatty Liver Disease: Follow-up of Population Cohorts. Hepatology 2020, 71, 835–848. [Google Scholar] [CrossRef]
- Gao, B.; Bataller, R. Alcoholic Liver Disease: Pathogenesis and New Therapeutic Targets. Gastroenterology 2011, 14, 1572–1585. [Google Scholar] [CrossRef]
- Seitz, H.K.; Mueller, S.; Hellerbrand, C.; Liangpunsakul, S. Effect of Chronic Alcohol Consumption on the Development and Progression of Non-Alcoholic Fatty Liver Disease (Nafld). Hepatobiliary Surg. Nutr. 2015, 3, 147–151. [Google Scholar]
- Gao, H.; Jiang, Y.; Zeng, G.; Huda, N.; Thoudam, T.; Yang, Z.; Liangpunsakul, S.; Ma, J. Cell-to-Cell and Organ-to-Organ Crosstalk in the Pathogenesis of Alcohol-Associated Liver Disease. eGastroenterology 2024, 2, e100104. [Google Scholar] [CrossRef]
- Gao, J.; Wang, Z.; Chen, D.; Peng, J.; Xie, D.; Lin, Z.; Lin, Z.; Dai, W. Metabolomic characterization of the chemical compositions of Dracocephalum rupestre Hance. Food Res. Int. 2022, 161, 111871. [Google Scholar] [CrossRef]
- Mitscher, L.A.; Jung, M.; Shankel, D.; Dou, J.-H.; Steele, L.; Pillai, S.P. Chemoprotection: A review of the potential therapeutic antioxidant properties of green tea (Camellia sinensis) and certain of its constituents. Med. Res. Rev. 1997, 17, 327–365. [Google Scholar] [CrossRef]
- Korolkiewicz, P.K.; Salloum, A. Commentary on: Impact of drinking Chinese green tea on postoperative short outcomes for gastric cancer: A randomized controlled trial. Eur. J. Clin. Nutr. 2021, 75, 1679–1680. [Google Scholar] [CrossRef] [PubMed]
- Ma, K.; Liu, Y.K.; Shao, W.; Sun, J.H.; Li, J.; Wang, Z.Q. Brain Functional Interaction of Acupuncture Effects in Diarrhea-Dominant Irritable Bowel Syndrome. Front. Neurosci. 2020, 14, 608688. [Google Scholar] [CrossRef] [PubMed]
- Ye, J.H.; Ye, Y.; Yin, J.F.; Jin, J.; Liang, Y.R.; Liu, R.Y.; Tang, P.; Xu, Y.Q. Bitterness and astringency of tea leaves and products: Formation mechanism and reducing strategies. Trends Food Sci. Technol. 2022, 123, 130–143. [Google Scholar] [CrossRef]
- Liu, G.; Zhang, Y.; Liu, C.; Xu, D.; Zhang, R.; Cheng, Y.; Pan, Y.; Huang, C.; Chen, Y. Luteolin Alleviates Alcoholic Liver Disease Induced by Chronic and Binge Ethanol Feeding in Mice. J. Nutr. 2014, 144, 1009–1015. [Google Scholar] [CrossRef]
- Hwang, Y.J.; Lee, E.J.; Kim, H.R.; Hwang, K.A. Molecular Mechanisms of Luteolin-7-O-Glucoside-Induced Growth Inhibition on Human Liver Cancer Cells: G2/M Cell Cycle Arrest and Caspase-Independent Apoptotic Signaling Pathways. BMB Rep. 2013, 46, 611–616. [Google Scholar] [CrossRef]
- Park, C.M.; Song, Y.-S. Luteolin and Luteolin-7-O-Glucoside Protect against Acute Liver Injury through Regulation of Inflammatory Mediators and Antioxidative Enzymes in Galn/Lps-Induced Hepatitic Icr Mice. Nutr. Res. Pract. 2019, 13, 473–479. [Google Scholar] [CrossRef]
- Zheng, X.X.; Wu, Q.; Wen, H.; Tang, L.; Zhao, F.; Shi, Y.; Li, Z.; Yin, Y.; Zou, X.; Song, L.; et al. Eriodictyol Alleviated Lps/D-Galn-Induced Acute Liver Injury by Inhibiting Oxidative Stress and Cell Apoptosis Via Pi3k/Akt Signaling Pathway. Nutrients 2023, 20, 4349. [Google Scholar] [CrossRef]
- Cai, Y.; Yuan, L.; Wang, K.; Liu, Q.; Xing, H.; Zhong, P.; Lin, J.; Liang, Y.; Chen, G.; Li, W.; et al. Eriodictyol Downregulates Uba52 to Promote Autophagy and Upregulates Nrf2/Ho-1 to Inhibit Oxidative Stress to Ameliorate Non-Alcoholic Fatty Liver Disease. J. Funct. Foods 2024, 113, 106041. [Google Scholar] [CrossRef]
- Bertola, A.; Mathews, S.; Ki, S.H.; Wang, H.; Gao, B. Mouse Model of Chronic and Binge Ethanol Feeding (the Niaaa Model). Nutr. Res. Pract. 2013, 8, 627–637. [Google Scholar] [CrossRef] [PubMed]
- Brunt, E.M.; Tiniakos, D.G. Histopathology of nonalcoholic fatty liver disease. World J. Gastroenterol. 2010, 16, 5286–5296. [Google Scholar] [CrossRef] [PubMed]
- Hammerich, L.; Tacke, F. Hepatic Inflammatory Responses in Liver Fibrosis. Nat. Rev. Gastroenterol. Hepatol. 2023, 20, 633–646. [Google Scholar] [CrossRef] [PubMed]
- Ibrahim, E.; Sohail, S.K.; Ihunwo, A.; Eid, R.A.; Al-Shahrani, Y.; Rezigalla, A.A. Effect of high-altitude hypoxia on function and cytoarchitecture of rats’ liver. Sci Rep 2025, 15, 1–10. [Google Scholar] [CrossRef]
- Paquot, N. The Metabolism of Alcohol. Rev. Méd. Liège 2019, 74, 265–267. [Google Scholar]
- Levitt, M.D.; Hapak, S.M.; Levitt, D.G. Alkaline Phosphatase Pathophysiology with Emphasis on the Seldom-Discussed Role of Defective Elimination in Unexplained Elevations of Serum ALP—A Case Report and Literature Review. Clin. Exp. Gastroenterol. 2022, 15, 41–49. [Google Scholar] [CrossRef]
- Rothblat, G.H.; Phillips, M.C. High-Density Lipoprotein Heterogeneity and Function in Reverse Cholesterol Transport. Curr. Opin. Lipidol. 2010, 21, 229–238. [Google Scholar] [CrossRef]
- You, M.; Crabb, D.W. Recent Advances in Alcoholic Liver Disease Ii. Minireview: Molecular Mechanisms of Alcoholic Fatty Liver. Am. J. Physiol. Gastrointest. Liver Physiol. 2004, 287, G1–G6. [Google Scholar] [CrossRef] [PubMed]
- Osna, N.A.; Donohue, T.M.; Kharbanda, K.K., Jr. Alcoholic Liver Disease: Pathogenesis and Current Management. Alcohol Res. Curr. Rev. 2017, 38, 147–161. [Google Scholar] [CrossRef]
- Wu, X.; Fan, X.; Miyata, T.; Kim, A.; Ross, C.K.C.-D.; Ray, S.; Huang, E.; Taiwo, M.; Arya, R.; Wu, J.; et al. Recent Advances in Understanding of Pathogenesis of Alcohol-Associated Liver Disease. Annu. Rev. Pathol. 2023, 18, 411–438. [Google Scholar] [CrossRef] [PubMed]
- Koo, S.H. Nonalcoholic Fatty Liver Disease: Molecular Mechanisms for the Hepatic Steatosis. Clin. Mol. Hepatol. 2013, 19, 210–215. [Google Scholar] [CrossRef]
- Shin, M.R.; Shin, S.H.; Roh, S.S. Diospyros Kaki and Citrus Unshiu Mixture Improves Disorders of Lipid Metabolism in Nonalcoholic Fatty Liver Disease. Can. J. Gastroenterol. Hepatol. 2020, 2020, 8812634. [Google Scholar] [CrossRef]
- Reed, D. Microbial Signaling in Pathophysiology of Disorders of Gut-Brain Interaction. Gastroenterology 2022, 163, 1116–1117. [Google Scholar] [CrossRef]
- Leung, T.M.; Nieto, N. Cyp2e1 and Oxidant Stress in Alcoholic and Non-Alcoholic Fatty Liver Disease. J. Hepatol. 2013, 58, 395–398. [Google Scholar] [CrossRef]
- Akomeah, F.K.; Martin, G.P.; Muddle, A.G.; Brown, M.B. Effect of Abrasion Induced by a Rotating Brush on the Skin Permeation of Solutes with Varying Physicochemical Properties. Eur. J. Pharm. Biopharm. 2008, 68, 724–734. [Google Scholar] [CrossRef]
- Lai, W.; Zhang, J.; Sun, J.; Min, T.; Bai, Y.; He, J.; Cao, H.; Che, Q.; Guo, J.; Su, Z. Oxidative Stress in Alcoholic Liver Disease, Focusing on Proteins, Nucleic Acids, and Lipids: A Review. Int. J. Biol. Macromol. 2024, 278, 134809. [Google Scholar] [CrossRef]
- Ge, J.Y.; Li, X.; Xia, Y.T.; Chen, Z.T.; Xie, C.; Zhao, Y.; Chen, K.Q.; Shen, Y.; Tong, J.P. Recent advances in NLRP3 inflammasome in corneal diseases: Preclinical insights and therapeutic implications. Ocul. Surf. 2024, 34, 392–405. [Google Scholar] [CrossRef] [PubMed]
- Christian, F.; Smith, E.L.; Carmody, R.J. The Regulation of NF-κB Subunits by Phosphorylation. Cells 2016, 5, 12. [Google Scholar] [CrossRef]
- Park, C.M.; Song, Y.S. Luteolin and luteolin-7-O-glucoside inhibit lipopolysaccharide-induced inflammatory responses through modulation of NF-κB/AP-1/PI3K-Akt signaling cascades in RAW 264.7 cells. Nutr. Res. Pract. 2013, 7, 423–429. [Google Scholar] [CrossRef] [PubMed]
- Xia, F.; Wang, C.; Jin, Y.; Liu, Q.; Meng, Q.; Liu, K.; Sun, H. Luteolin protects HUVECs from TNF-α-induced oxidative stress and inflammation via its effects on the Nox4/ROS-NF-κB and MAPK pathways. J. Atheroscler. Thromb. 2014, 21, 768–783. [Google Scholar] [CrossRef]
- Huang, L.; Kim, M.-Y.; Cho, J.Y. Immunopharmacological Activities of Luteolin in Chronic Diseases. Int. J. Mol. Sci. 2023, 24, 2136. [Google Scholar] [CrossRef]
- He, P.; Yan, S.; Zheng, J.; Gao, Y.; Zhang, S.; Liu, Z.; Liu, X.; Xiao, C. Eriodictyol attenuates LPS-induced neuroinflammation, amyloidogenesis, and cognitive impairments via the inhibition of NF-κB in male C57BL/6J mice and BV2 microglial cells. J. Agric. Food Chem. 2018, 66, 10205–10214. [Google Scholar] [CrossRef]
- Kang, W.; Xu, Q.; Dong, H. Eriodictyol attenuates osteoarthritis progression through inhibiting inflammation via the PI3K/AKT/NF-κB signaling pathway. Sci. Rep. 2024, 14, 18853. [Google Scholar]
Disclaimer/Publisher’s Note: The statements, opinions and data contained in all publications are solely those of the individual author(s) and contributor(s) and not of MDPI and/or the editor(s). MDPI and/or the editor(s) disclaim responsibility for any injury to people or property resulting from any ideas, methods, instructions or products referred to in the content. |
© 2025 by the authors. Licensee MDPI, Basel, Switzerland. This article is an open access article distributed under the terms and conditions of the Creative Commons Attribution (CC BY) license (https://creativecommons.org/licenses/by/4.0/).
Share and Cite
Wu, L.; Guo, X.; Niu, Y.; Li, S.; Jiang, S.; Wang, X.; Gao, Y.; Zhang, S.; Zhou, L.; Yang, L.; et al. Mao Jian Black Tea Ethanol Extract Alleviates Alcoholic Liver Injury in Mice via Regulation of the PI3K/Akt/NF-κB Signaling Pathway. Foods 2025, 14, 3492. https://doi.org/10.3390/foods14203492
Wu L, Guo X, Niu Y, Li S, Jiang S, Wang X, Gao Y, Zhang S, Zhou L, Yang L, et al. Mao Jian Black Tea Ethanol Extract Alleviates Alcoholic Liver Injury in Mice via Regulation of the PI3K/Akt/NF-κB Signaling Pathway. Foods. 2025; 14(20):3492. https://doi.org/10.3390/foods14203492
Chicago/Turabian StyleWu, Lei, Xiaomeng Guo, Yao Niu, Siyu Li, Shiyu Jiang, Xinyuan Wang, Yukang Gao, Shan Zhang, Litao Zhou, Lingdan Yang, and et al. 2025. "Mao Jian Black Tea Ethanol Extract Alleviates Alcoholic Liver Injury in Mice via Regulation of the PI3K/Akt/NF-κB Signaling Pathway" Foods 14, no. 20: 3492. https://doi.org/10.3390/foods14203492
APA StyleWu, L., Guo, X., Niu, Y., Li, S., Jiang, S., Wang, X., Gao, Y., Zhang, S., Zhou, L., Yang, L., Gao, Z., & Yang, Y. (2025). Mao Jian Black Tea Ethanol Extract Alleviates Alcoholic Liver Injury in Mice via Regulation of the PI3K/Akt/NF-κB Signaling Pathway. Foods, 14(20), 3492. https://doi.org/10.3390/foods14203492

