The Molecular Mechanism of Polysaccharides from Polygonatum cyrtonema Hua in Improving Hyperuricemia by Regulating Key Targets of Uric Acid Metabolism in Mice
Abstract
1. Introduction
2. Materials and Methods
2.1. Reagents and Materials
2.2. Extraction, Purification, and Content Determination of PCPs
2.3. Analysis of PCP Monosaccharide Composition by HPLC
2.4. Animals and Experimental Protocols
2.5. Biochemical Assays
2.6. Histological Assay
2.7. Western Blot Analysis
2.8. Molecular Docking Simulation
2.9. Statistical Analysis
3. Results
3.1. Preparation and Monosaccharide Composition Analysis of PCPs
3.2. PCPs Decreased the Level of Serum UA, CREA, and Urea in Mice
3.3. PCPs Effectively Inhibited Hepatic XOD Activity in Mice
3.4. PCPs Attenuated the Increased Inflammatory Cytokines Production in Mice
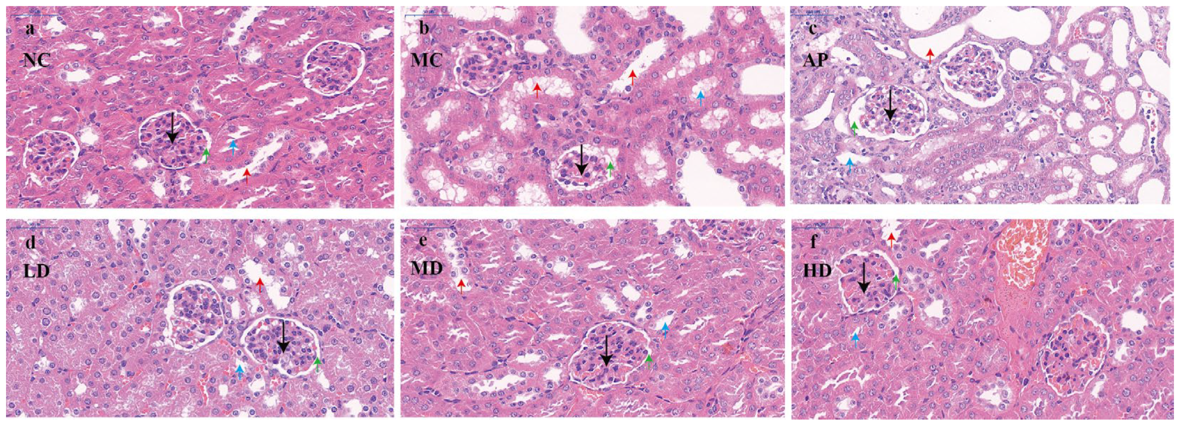
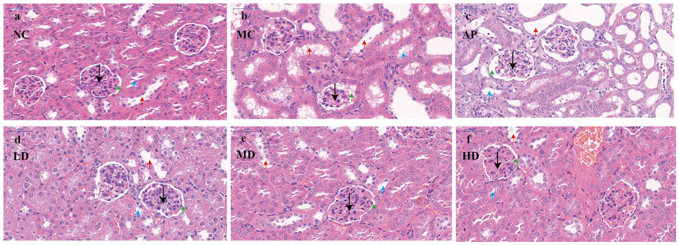
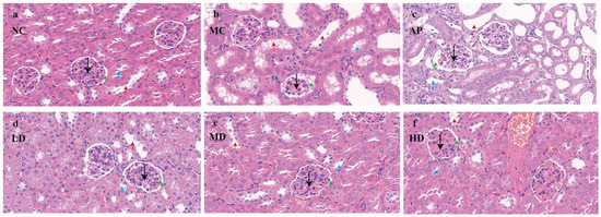
3.5. Renal Histopathological Features
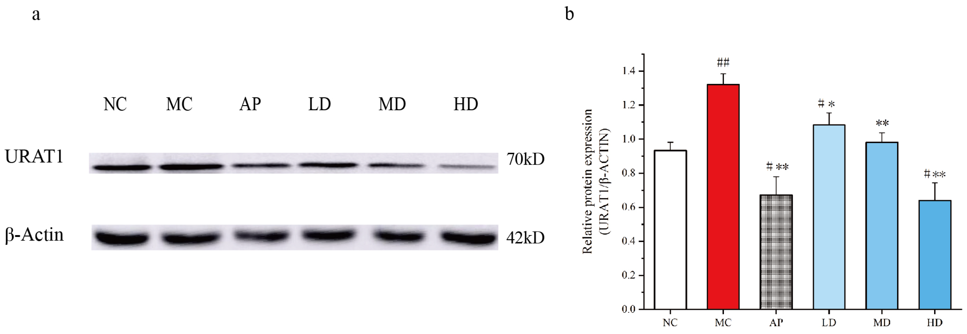
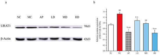
3.6. PCPs Downregulated Renal URAT1 Expression in Mice
3.7. Molecular Docking Simulation
4. Discussion
5. Conclusions
Author Contributions
Funding
Institutional Review Board Statement
Informed Consent Statement
Data Availability Statement
Conflicts of Interest
References
- Miao, Z.; Li, C.; Chen, Y.; Zhao, S.; Wang, Y.; Wang, Z.; Chen, X.; Xu, F.; Wang, F.; Sun, R.; et al. Dietary and lifestyle changes associated with high prevalence of hyperuricemia and gout in the Shandong coastal cities of Eastern China. J. Rheumatol. 2008, 35, 1859–1864. [Google Scholar]
- Liu, R.; Han, C.; Wu, D.; Xia, X.; Gu, J.; Guan, H.; Shan, Z.; Teng, W. Prevalence of Hyperuricemia and Gout in Mainland China from 2000 to 2014: A Systematic Review and Meta-Analysis. BioMed Res. Int. 2015, 2015, 762820. [Google Scholar] [CrossRef]
- Shan, R.; Ning, Y.; Ma, Y.; Gao, X.; Zhou, Z.; Jin, C.; Wu, J.; Lv, J.; Li, L. Incidence and Risk Factors of Hyperuricemia among 2.5 Million Chinese Adults during the Years 2017–2018. Int. J. Environ. Res. Public Health 2021, 18, 2360. [Google Scholar] [CrossRef] [PubMed]
- Asghari, K.M.; Zahmatyar, M.; Seyedi, F.; Motamedi, A.; Zolfi, M.; Alamdary, S.J.; Fazlollahi, A.; Shamekh, A.; Mousavi, S.E.; Nejadghaderi, S.A.; et al. Gout: Global epidemiology, risk factors, comorbidities and complications: A narrative review. BMC Musculoskelet. Disord. 2024, 25, 1047. [Google Scholar] [CrossRef] [PubMed]
- Nian, Y.; You, C. Susceptibility genes of hyperuricemia and gout. Hereditas 2022, 159, 30. [Google Scholar] [CrossRef] [PubMed]
- Li, L.; Zhang, Y.; Zeng, C. Update on the epidemiology, genetics, and therapeutic options of hyperuricemia. Am. J. Transl. Res. 2020, 12, 3167–3181. [Google Scholar]
- Mao, H.; Huang, S.; Lin, T.; Ding, Y.; Yang, Z. Exploring the relationship between circadian syndrome, serum uric acid levels, and hyperuricemia: Evidence from NHANES 2005–2018. Sci. Rep. 2025, 15, 28984. [Google Scholar] [CrossRef]
- Yip, K.; Cohen, R.E.; Pillinger, M.H. Asymptomatic hyperuricemia: Is it really asymptomatic? Curr. Opin. Rheumatol. 2020, 32, 71–79. [Google Scholar] [CrossRef]
- Shukla, V.; Fatima, J.; Varshney, A.R.; Joshi, P.; Kugashiya, R. Study of Endothelial Dysfunction by Flow Mediated Vasodilation in Individuals with Asymptomatic Hyperuricemia. J. Assoc. Physicians India 2021, 69, 39–42. [Google Scholar]
- Lee, J.; Kim, J.W.; Kim, Y.S.; Koo, B.S. A case of severe gouty tophi-induced carpal tunnel syndrome: Operative finding and its outcome. Handchir. Mikrochir. Plast. Chir. 2018, 50, 19–21. [Google Scholar] [CrossRef]
- Cunha, R.N.; Aguiar, R.; Farinha, F. Impact of pegloticase on patient outcomes in refractory gout: Current perspectives. Open Access Rheumatol. 2018, 10, 141–149. [Google Scholar] [CrossRef]
- Liu, Y.; Zheng, K.; Wang, H.; Liu, H.; Zheng, K.; Zhang, J.; Han, L.; Tu, S.; Wang, Y. Natural Bioactive Compounds: Emerging Therapies for Hyperuricemia. Am. J. Chin. Med. 2024, 52, 1863–1885. [Google Scholar] [CrossRef]
- Yang, L.; Wang, B.; Ma, L.; Fu, P. Traditional Chinese herbs and natural products in hyperuricemia-induced chronic kidney disease. Front. Pharmacol. 2022, 13, 971032. [Google Scholar] [CrossRef]
- Song, J.; Jin, C.; Shan, Z.; Teng, W.; Li, J. Prevalence and risk factors of hyperuricemia and gout: A cross-sectional survey from 31 provinces in mainland China. J. Transl. Intern. Med. 2022, 10, 134–145. [Google Scholar] [CrossRef]
- Chen, C.; Lu, J.; Yao, Q. Hyperuricemia-Related Diseases and Xanthine Oxidoreductase (XOR) Inhibitors: An Overview. Med. Sci. Monit. 2016, 22, 2501–2512. [Google Scholar] [CrossRef]
- Chen, W.; Wu, Y.; Zhao, X.; Liu, S.; Song, F.; Liu, Z.; Liu, Z. Screening the anti-gout traditional herbs from TCM using an in vitro method. Chin. Chem. Lett. 2016, 27, 1701–1707. [Google Scholar] [CrossRef]
- Furuhashi, M. New insights into purine metabolism in metabolic diseases: Role of xanthine oxidoreductase activity. Am. J. Physiol.-Endocrinol. Metab. 2020, 319, E827–E834. [Google Scholar] [CrossRef] [PubMed]
- Zhang, Y.; Jin, L.; Li, J.; Wang, W.; Yu, H.; Li, J.; Chen, Q.; Wang, T. Effect and mechanism of dioscin from Dioscorea spongiosa on uric acid excretion in animal model of hyperuricemia. J. Ethnopharmacol. 2018, 214, 29–36. [Google Scholar] [CrossRef] [PubMed]
- Tamura, Y.; Morimoto, C.; Kuribayashi-Okuma, E.; Uchida, S.; Hosoyamada, M.; Nakagawa, T.; Shibata, S. Melinjo seed extract stimulates intestinal ABCG2 expression to reduce serum uric acid levels in hyperuricemic rats. J. Funct. Foods 2021, 87, 104849. [Google Scholar] [CrossRef]
- Zhu, H.; Song, D.; Zhao, X. Potential applications and preliminary mechanism of action of dietary polyphenols against hyperuricemia: A review. Food Biosci. 2021, 43, 101297. [Google Scholar] [CrossRef]
- Feng, S.; Wu, S.; Xie, F.; Yang, C.S.; Shao, P. Natural compounds lower uric acid levels and hyperuricemia: Molecular mechanisms and prospective. Trends Food Sci. Technol. 2022, 123, 87–102. [Google Scholar] [CrossRef]
- Ullah, Z.; Yue, P.; Mao, G.; Zhang, M.; Liu, P.; Wu, X.; Zhao, T.; Yang, L. A comprehensive review on recent xanthine oxidase inhibitors of dietary based bioactive substances for the treatment of hyperuricemia and gout: Molecular mechanisms and perspective. Int. J. Biol. Macromol. 2024, 278, 134832. [Google Scholar] [CrossRef] [PubMed]
- Wu, J.; Alhamoud, Y.; Lv, S.; Feng, F.; Wang, J. Beneficial properties and mechanisms of natural phytochemicals to combat and prevent hyperuricemia and gout. Trends Food Sci. Technol. 2023, 138, 355–369. [Google Scholar] [CrossRef]
- Chen, N.; Wang, W.; Xiang, J.; Li, T.; Wang, L.; Liang, R.; Yang, B. The anti-hyperuricemic effect of flavonoid extract of saffron by-product and its pharmacokinetics in rats after oral administration. J. Sep. Sci. 2022, 45, 856–873. [Google Scholar] [CrossRef]
- Sun, Z.; Liu, H.; Hu, D.; Fan, M.; Wang, M.; An, M.; Zhao, Y.; Xiang, Z.; Sheng, J. Ellagic Acid Exerts Beneficial Effects on Hyperuricemia by Inhibiting Xanthine Oxidase and NLRP3 Inflammasome Activation. J. Agric. Food. Chem. 2021, 69, 12741–12752. [Google Scholar] [CrossRef]
- Yang, Q.; Wang, Q.; Deng, W.; Sun, C.; Wei, Q.; Adu-Frimpong, M.; Shi, J.; Yu, J.; Xu, X. Anti-hyperuricemic and anti-gouty arthritis activities of polysaccharide purified from Lonicera japonica in model rats. Int. J. Biol. Macromol. 2019, 123, 801–809. [Google Scholar] [CrossRef]
- Yong, T.; Xie, Y.; Chen, S.; Chen, D.; Su, J.; Jiao, C.; Hu, H.; Xiao, C. Hypouricemic effect of Grifola frondosa on hyperuricemic mice and virtual screening of bioactives by 3D QSAR pharmacophore modeling. J. Funct. Foods 2018, 40, 582–588. [Google Scholar] [CrossRef]
- Bai, J.; Ge, J.; Zhang, W.; Liu, W.; Luo, J.; Xu, F.; Wu, D.; Xie, S. Physicochemical, morpho-structural, and biological characterization of polysaccharides from three Polygonatum spp. RSC Adv. 2021, 11, 37952–37965. [Google Scholar] [CrossRef]
- Chinese Pharmacopoeia Commission. Pharmacopoeia of the People’s Republic of China—Part I; China Medical Science and Technology Press: Beijing, China, 2020; ISBN 978-7-5067-4439-3. [Google Scholar]
- Zhao, P.; Zhao, C.; Li, X.; Gao, Q.; Huang, L.; Xiao, P.; Gao, W. The genus Polygonatum: A review of ethnopharmacology, phytochemistry and pharmacology. J. Ethnopharmacol. 2018, 214, 274–291. [Google Scholar] [CrossRef]
- Zhao, L.; Xu, C.; Zhou, W.; Li, Y.; Xie, Y.; Hu, H.; Wang, Z. Polygonati Rhizoma with the homology of medicine and food: A review of ethnopharmacology, botany, phytochemistry, pharmacology and applications. J. Ethnopharmacol. 2023, 309, 116296. [Google Scholar] [CrossRef]
- Shen, W.; Li, X.; Deng, Y.; Zha, X.; Pan, L.; Li, Q.; Luo, J. Polygonatum cyrtonema Hua polysaccharide exhibits anti-fatigue activity via regulating osteocalcin signaling. Int. J. Biol. Macromol. 2021, 175, 235–241. [Google Scholar] [CrossRef] [PubMed]
- Wang, Y.; Wang, Y. Preparation, analysis, biological activity of Polygonati Rhizoma polysaccharides: A review. J. Mol. Struct. 2025, 1328, 141368. [Google Scholar] [CrossRef]
- Li, L.; Thakur, K.; Liao, B.; Zhang, J.; Wei, Z. Antioxidant and antimicrobial potential of polysaccharides sequentially extracted from Polygonatum cyrtonema Hua. Int. J. Biol. Macromol. 2018, 114, 317–323. [Google Scholar] [CrossRef] [PubMed]
- Liang, J.; Xu, R.; Zong, K.; Yu, N.; Wu, Z.; Wu, H.; Zhou, A. Structural analysis and anti-obesity effect of Polygonatum cyrtonema polysaccharide against obesity induced by high-fat diet in mice. Int. J. Food Sci. Technol. 2021, 56, 4473–4483. [Google Scholar] [CrossRef]
- Zhang, X.; Chen, Q.; Chen, L.; Chen, X.; Ma, Z. Anti-Aging in Caenorhabditis elegans of Polysaccharides from Polygonatum cyrtonema Hua. Molecules 2024, 29, 1276. [Google Scholar] [CrossRef]
- Wen, R.; Luo, L.; Zhang, R.; Zhou, X.; Wang, W.; Gong, L. Structural Characterization of Polygonatum cyrtonema Polysaccharide and Its Immunomodulatory Effects on Macrophages. Molecules 2024, 29, 2076. [Google Scholar] [CrossRef]
- Zuo, J.; Liu, W.; Tian, L.; Wang, M.; Liu, C.; Wang, M.; Fang, Z.; Han, J.; Wang, G.; Yin, Q. Extraction optimization, antioxidants, and lipid-lowering activities of Polygonatum cyrtonema Hua polysaccharides. CYTA J. Food 2024, 22, 2310071. [Google Scholar] [CrossRef]
- Pan, D.; Rao, X.; Gong, M.; Zhou, J. Polygonatum cyrtonema Hua Polysaccharides regulates NF-κB and Nrf2 pathways to alleviates oxidative stress and neuroinflammation in cerebral ischemia/reperfusion injury. Signa Vitae 2024, 20, 108. [Google Scholar] [CrossRef]
- Luo, L.; Lin, L.; Huang, S.; Zhou, Y.; Yang, S.; Zhu, Y.; Zhang, L.; Xiong, D.; Wu, Y.; Wu, M. Sensitive, precise fingerprint profiling for monosaccharide analysis of Bacillus Calmette-Guerin polysaccharide and nucleic acid isolates. Carbohydr. Res. 2024, 540, 109124. [Google Scholar] [CrossRef]
- Chau, Y.; Chen, H.; Lin, P.; Hsia, S. Preventive Effects of Fucoidan and Fucoxanthin on Hyperuricemic Rats Induced by Potassium Oxonate. Mar. Drugs 2019, 17, 343. [Google Scholar] [CrossRef]
- Zhang, Y.; Deng, L.; Wu, C.; Zheng, L.; Zhong, G. Konjac glucomannan improves hyperuricemia through regulating xanthine oxidase, adenosine deaminase and urate transporters in rats. J. Funct. Foods. 2018, 48, 566–575. [Google Scholar] [CrossRef]
- Li, X.; Gao, X.; Zhang, H.; Liu, Y.; Sarker, M.M.R.; Wu, Y.; Chen, X.; Zhao, C. The anti-hyperuricemic effects of green alga Enteromorpha prolifera polysaccharide via regulation of the uric acid transporters in vivo. Food Chem. Toxicol. 2021, 158, 112630. [Google Scholar] [CrossRef] [PubMed]
- Wang, X.; Yuan, L.; Bao, Z.; Fu, B.; Jiang, P.; Ma, T.; Lin, S. Screening of uric acid-lowering active components of corn silk polysaccharide and its targeted improvement on renal excretory dysfunction in hyperuricemia mice. J. Funct. Foods 2021, 86, 104698. [Google Scholar] [CrossRef]
- Yu, W.; Liu, J.; Baranenko, D.; Cifuentes, A.; Ibanez, E.; Zhang, Y.; Lu, W. The role of dietary polysaccharides in uric acid regulation: Mechanisms and benefits in managing hyperuricemia. Trends Food Sci. Technol. 2025, 157, 104902. [Google Scholar] [CrossRef]
- Ren, L.; Dang, L.; Wang, D.; Jiang, Y.; Wang, T.; Liu, Z.; Li, X.; Cui, F.; Li, T.; Li, J. Natural polysaccharides in the prevention of hyperuricemia: Source, classification, mechanism, application in food industry. Int. J. Biol. Macromol. 2025, 286, 138421. [Google Scholar] [CrossRef]
- Mahmoud, Y.A.G.; El-Naggar, M.E.; Abdel-Megeed, A.; El-Newehy, M. Recent Advancements in Microbial Polysaccharides: Synthesis and Applications. Polymers 2021, 13, 4136. [Google Scholar] [CrossRef]
- Liu, X.; Huang, L.; Zhang, X.; Xu, X. Polysaccharides with antioxidant activity: Extraction, beneficial roles, biological mechanisms, structure-function relationships, and future perspectives: A review. Int. J. Biol. Macromol. 2025, 300, 140221. [Google Scholar] [CrossRef]
- Wang, B.; Hu, S.; Yu, X.; Jin, L.; Zhu, Y.; Jin, F. Studies of Cellulose and Starch Utilization and the Regulatory Mechanisms of Related Enzymes in Fungi. Polymers 2020, 12, 530. [Google Scholar] [CrossRef]
- Tan, G.; Wang, L.; Pan, W.; Chen, K. Polysaccharide Electrospun Nanofibers for Wound Healing Applications. Int. J. Nanomed. 2022, 17, 3913–3931. [Google Scholar] [CrossRef] [PubMed]
- Wang, B.; Yan, L.; Guo, S.; Wen, L.; Yu, M.; Feng, L.; Jia, X. Structural Elucidation, Modification, and Structure-Activity Relationship of Polysaccharides in Chinese Herbs: A Review. Front. Nutr. 2022, 9, 908175. [Google Scholar] [CrossRef]
- Li, J.; Xu, D.; Cui, D.; Fu, R.; Niu, Z.; Liu, W.; Tang, Y. Exploring the structure-activity relationship of Safflower polysaccharides: From the structural characteristics to biological function and therapeutic applications. J. Ethnopharmacol. 2025, 339, 119131. [Google Scholar] [CrossRef] [PubMed]
- Yi, X.; Liu, C.; Yang, S.; Zhu, H.; Zhang, Y.; Lv, G.; Huang, H. Decoding the difference of four species of Cordyceps based on polysaccharides and immunomodulation activity. Int. J. Biol. Macromol. 2025, 294, 139424. [Google Scholar] [CrossRef] [PubMed]
- Ferreira, S.S.; Passos, C.P.; Madureira, P.; Vilanova, M.; Coimbra, M.A. Structure function relationships of immunostimulatory polysaccharides: A review. Carbohydr. Polym. 2015, 132, 378–396. [Google Scholar] [CrossRef] [PubMed]
- Shui, J.; Yang, S.; Zhao, Y.; Qi, D.; Su, Y.; Bai, J.; Zhang, S. Advances and prospects of targeting research for polysaccharide based drugs: A review. Carbohydr. Polym. Technol. Appl. 2025, 9, 100735. [Google Scholar] [CrossRef]
- Feng, Y.; Jin, C.; Lv, S.; Zhang, H.; Ren, F.; Wang, J. Molecular Mechanisms and Applications of Polyphenol-Protein Complexes with Antioxidant Properties: A Review. Antioxidants 2023, 12, 1577. [Google Scholar] [CrossRef]
- Chen, R.; Xu, J.; Wu, W.; Wen, Y.; Lu, S.; El-Seedi, H.R.; Zhao, C. Structure-immunomodulatory activity relationships of dietary polysaccharides. Curr. Res. Food Sci. 2022, 5, 1330–1341. [Google Scholar] [CrossRef]
- Lu, C.; Zhang, L.; Cui, Y.; Jin, G.; Bao, Y.; Shi, W. Proteome and transcriptome explore the mechanism of Salvia miltiorrhiza polysaccharides to relieve florfenicol-induced kidney injury in broilers. Environ. Sci. Pollut. Res. 2022, 29, 45872–45884. [Google Scholar] [CrossRef]
- Wang, Z.; Zhang, Z.; Lu, C.; Zhou, J.; Wang, Z.; Han, J.; Su, X. Effects of Sporisorium reiliana polysaccharides and Phoenix dactylifera monosaccharides on the gut microbiota and serum metabolism in mice with fructose-induced hyperuricemia. Arch. Microbiol. 2022, 204, 436. [Google Scholar] [CrossRef]
- Yu, W.; Wang, J.; Xiong, Y.; Liu, J.; Baranenko, D.; Zhang, Y.; Lu, W. In vivo absorption, in vitro simulated digestion, and fecal fermentation properties of Imperata cylindrica polysaccharides and their effects on gut microbiota. Food Chem. 2024, 461, 140773. [Google Scholar] [CrossRef]








| Group | Treatment | |
|---|---|---|
| NC | 0.5% CMC-Na + 0.5% CMC-Na | 0.5% CMC-Na |
| MC | PO (300 mg/kg/d) + HX (300 mg/kg/d) | 0.5% CMC-Na |
| AP | PO (300 mg/kg/d) + HX (300 mg/kg/d) | AP (5 mg/kg/d) |
| LD | PO (300 mg/kg/d) + HX (300 mg/kg/d) | PCPs (125 mg/kg/d) |
| MD | PO (300 mg/kg/d) + HX (300 mg/kg/d) | PCPs (250 mg/kg/d) |
| HD | PO (300 mg/kg/d) + HX (300 mg/kg/d) | PCPs (500 mg/kg/d) |
Disclaimer/Publisher’s Note: The statements, opinions and data contained in all publications are solely those of the individual author(s) and contributor(s) and not of MDPI and/or the editor(s). MDPI and/or the editor(s) disclaim responsibility for any injury to people or property resulting from any ideas, methods, instructions or products referred to in the content. |
© 2025 by the authors. Licensee MDPI, Basel, Switzerland. This article is an open access article distributed under the terms and conditions of the Creative Commons Attribution (CC BY) license (https://creativecommons.org/licenses/by/4.0/).
Share and Cite
Pu, S.; Gong, J.; Sun, M.; Hu, Z.; Wu, Z. The Molecular Mechanism of Polysaccharides from Polygonatum cyrtonema Hua in Improving Hyperuricemia by Regulating Key Targets of Uric Acid Metabolism in Mice. Foods 2025, 14, 3396. https://doi.org/10.3390/foods14193396
Pu S, Gong J, Sun M, Hu Z, Wu Z. The Molecular Mechanism of Polysaccharides from Polygonatum cyrtonema Hua in Improving Hyperuricemia by Regulating Key Targets of Uric Acid Metabolism in Mice. Foods. 2025; 14(19):3396. https://doi.org/10.3390/foods14193396
Chicago/Turabian StylePu, Shoucheng, Jufang Gong, Meihao Sun, Zunhong Hu, and Zhihua Wu. 2025. "The Molecular Mechanism of Polysaccharides from Polygonatum cyrtonema Hua in Improving Hyperuricemia by Regulating Key Targets of Uric Acid Metabolism in Mice" Foods 14, no. 19: 3396. https://doi.org/10.3390/foods14193396
APA StylePu, S., Gong, J., Sun, M., Hu, Z., & Wu, Z. (2025). The Molecular Mechanism of Polysaccharides from Polygonatum cyrtonema Hua in Improving Hyperuricemia by Regulating Key Targets of Uric Acid Metabolism in Mice. Foods, 14(19), 3396. https://doi.org/10.3390/foods14193396

