Effect of Emerging Contaminants (Sucralose) at Relevant Concentrations on Functional Properties in Fish Muscle of Common Carp (Cyprinus carpio)
Abstract
1. Introduction
2. Materials and Methods
2.1. Assayed Substance
2.2. Species Acquirement and Maintenance
2.3. Experimental Design
2.4. Quantification of Sucralose in Water Systems and Muscle Tissue Using HPLC
2.5. Common Carp Muscle Extraction
2.6. PCC Determination
2.7. LPX Determination
2.8. Total SH Content
2.9. Total Protein Content Determination
2.10. pH
2.11. Solubility
2.12. WHC
2.13. MP Extraction
2.14. Gelation of Proteins
2.15. TPA
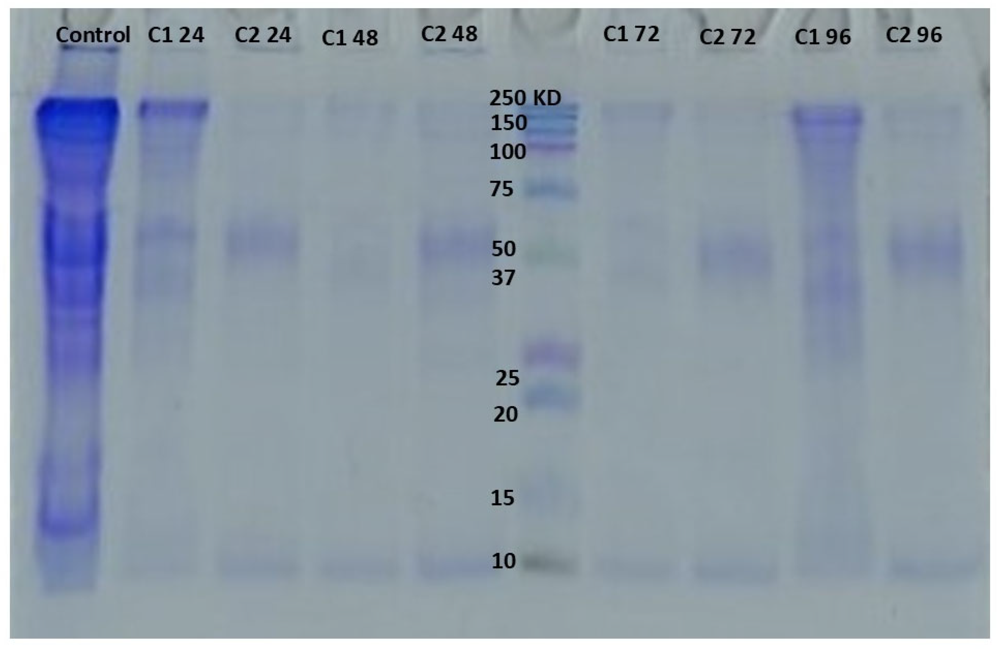
2.16. Electrophoresis
2.17. Statistical Analysis
3. Results
4. Discussion
4.1. Persistence and Bioaccumulation of Sucralose in Water Systems and Muscle Tissue of Common Carp Detected by HPLC
4.2. Physicochemical and Functional Properties
4.2.1. PCC and LPX
4.2.2. SH Groups
4.2.3. pH
4.2.4. Solubility
4.2.5. WHC
4.2.6. TPA
4.2.7. Electrophoresis
5. Conclusions
Author Contributions
Funding
Institutional Review Board Statement
Data Availability Statement
Acknowledgments
Conflicts of Interest
Abbreviations
| Ace-K | Acesulfame-K |
| CYC | Cyclamate |
| LPX | Lipid peroxidation |
| MDA | Malondialdehyde |
| MEC | Molar extinction coefficient |
| MP | Myofibrillar protein |
| PCC | Protein carbonyl content |
| SAC | Saccharin |
| SUC | Sucralose |
| SH | Sulfhydryl |
| TPA | Texture profile analysis |
| WHC | Water holding capacity. |
References
- Tran, N.H.M.; Reinhard, M.; Gin, K.Y.H. Occurrence and fate of emerging contaminants in municipal wastewater treatment plants from different geographical regions—A review. Water Res. 2018, 133, 182–207. [Google Scholar] [CrossRef]
- Naik, A.Q.; Zafar, T.; Shrivastava, V.K.J. Environmental impact of the presence, distribution, and use of artificial sweeteners as emerging sources of pollution. Environ. Public Health 2021, 2021, 6624569. [Google Scholar] [CrossRef]
- Carocho, M.; Barreiro, M.F.; Morales, P.; Ferreira, I.C.F.R. Adding molecules to food, pros and cons: A review on synthetic and natural food additives. Compr. Rev. Food Sci. Food Saf. 2014, 13, 377–399. [Google Scholar] [CrossRef]
- Lee, T.H.; Duangnamon, D.; Boontha, T.; Webster, R.D.; Ziegler, A.D. Emerging and Persistent Contaminants in a Remote Coastal Stream System: Five Priority Compounds in Southeast Asia. Sustainability 2025, 17, 581. [Google Scholar] [CrossRef]
- Magnuson, B.A.; Roberts, A.; Nestmann, E.R. Critical review of the current literature on the safety of sucralose. Food Chem. Toxicol. 2017, 106, 324–355. [Google Scholar] [CrossRef] [PubMed]
- Mattoli, L.; Fodaroni, G.; Proietti, G.; Flamini, E.; Paoli, B.; Massa, L.; Ferrara, G.C.; Giovagnoni, E.; Gianni, M.J. Biodegradability of dietary supplements: Advanced analytical methods to study the environmental fate of artificial sweeteners and dyes. J. Pharm. Biomed. Anal. 2025, 255, 116575. [Google Scholar] [CrossRef] [PubMed]
- Rogowska, J.; Cieszynska-Semenowicz, M.; Ratajczyk, W.; Wolska, L. Micropollutants in treated wastewater. Ambio 2020, 49, 487–503. [Google Scholar] [CrossRef]
- Arbeláez, P.; Borrull, F.; Pocurull, E.; Marcé, R.M.J. Determination of high-intensity sweeteners in river water and wastewater by solid-phase extraction and liquid chromatography–tandem mass spectrometry. J. Chromatogr. A 2015, 1393, 106–114. [Google Scholar] [CrossRef]
- Sang, Z.; Jiang, Y.; Tsoi, Y.K.; Leung, K.S.Y. Evaluating the environmental impact of artificial sweeteners: A study of their distributions, photodegradation and toxicities. Water Res. 2014, 52, 260–274. [Google Scholar] [CrossRef] [PubMed]
- Li, S.; Ren, Y.; Fu, Y.; Gao, X.; Jiang, C.; Wu, G.; Ren, H.; Geng, J. Fate of artificial sweeteners through wastewater treatment plants and water treatment processes. PLoS ONE 2018, 13, e0198958. [Google Scholar] [CrossRef]
- Saad, A.; Khan, F.A.; Hayee, A.; Nazir, M.S.J. A Review on potential toxicity of artificial sweetners vs safety of stevia: A natural bio-sweetner. J. Biol. Agric. Healthc. 2014, 4, 1–12. [Google Scholar]
- Colín-García, K.; Elizalde-Velázquez, G.A.; Gómez-Oliván, L.M.; Islas-Flores, H.; García-Medina, S.; Galar-Martínez, M. Acute exposure to environmentally relevant concentrations of sucralose disrupts embryonic development and leads to an oxidative stress response in Danio rerio. Sci. Total Environ. 2022, 829, 154689. [Google Scholar] [CrossRef] [PubMed]
- Liu, Y.; Tan, Y.; Luo, Y.; Li, X.; Hong, H. Evidence of myofibrillar protein oxidation and degradation induced by exudates during the thawing process of bighead carp fillets. Food Chem. 2024, 434, 137396. [Google Scholar] [CrossRef] [PubMed]
- Xiong, Y.L.; Guo, A. Animal and plant protein oxidation: Chemical and functional property significance. Foods 2020, 10, 40. [Google Scholar] [CrossRef]
- Saucedo-Vence, K.; Elizalde-Velázquez, A.; Dublán-García, O.; Galar-Martínez, M.; Islas-Flores, H.; SanJuan-Reyes, N.; García-Medina, S.; Hernández-Navarro, M.D.; Gómez-Oliván, L.M. Toxicological hazard induced by sucralose to environmentally relevant concentrations in common carp (Cyprinus carpio). Sci. Total Environ. 2017, 575, 347–357. [Google Scholar] [CrossRef] [PubMed]
- Guadalupe Martínez-Viveros, E.M.; Islas-Flores, H.; Dublán-García, O.; Galar-Martínez, M.; SanJuan-Reyes, N.; García-Medina, S.; Hernández-Navarro, M.D.; Gómez-Oliván, L.M. Environmentally relevant concentrations of glibenclamide induce oxidative stress in common carp (Cyprinus carpio). Chemosphere 2018, 197, 105–116. [Google Scholar] [CrossRef] [PubMed]
- Cruz-Rojas, C.; SanJuan-Reyes, N.; Fuentes-Benites, M.P.A.G.; Dublán-García, O.; Galar-Martínez, M.; Islas-Flores, H.; Gómez-Oliván, L.M. Acesulfame potassium: Its ecotoxicity measured through oxidative stress biomarkers in common carp (Cyprinus carpio). Sci. Total Environ. 2019, 647, 722–784. [Google Scholar] [CrossRef]
- Chen, M.; Zhao, H.; Wang, Y.; Bekele, T.G.; Liu, W.J. Uptake and depuration of eight fluoroquinolones (FQs) in common carp (Cyprinus carpio). Ecotoxicol. Environ. Saf. 2019, 180, 202–207. [Google Scholar] [CrossRef] [PubMed]
- OECD. An OECD learning framework 2030. In The Future of Education and Labor; Springer International Publishing: Cham, Switzerland, 2019; pp. 23–35. [Google Scholar] [CrossRef]
- Liu, J.; Wang, X.; Shigenaga, M.K.; Yeo, H.C.; Mori, A.; Ames, B.N. Immobilization stress causes oxidative damage to lipid, protein, and DNA in the brain of rats. FASEB J. 1996, 10, 1532–1538. [Google Scholar] [CrossRef] [PubMed]
- Parvez, S.; Raisuddin, S. Protein carbonyls: Novel biomarkers of exposure to oxidative stress-inducing pesticides in freshwater fish Channa punctata (Bloch). Environ. Toxicol. Pharmacol. 2005, 20, 112–117. [Google Scholar] [CrossRef]
- Burcham, P.C. Modified protein carbonyl assay detects oxidised membrane proteins: A new tool for assessing drug-and chemically-induced oxidative cell injury. J. Pharmacol. Toxicol. Methods 2007, 56, 18–22. [Google Scholar] [CrossRef]
- Büege, J.A.; Aust, S.D. [30] Microsomal lipid peroxidation. Methods Enzymol. 1978, 52, 302–310. [Google Scholar] [CrossRef] [PubMed]
- Ellman, G.L. Tissue sulfhydryl groups determination. Arch. Biochem. Biophys. 1959, 82, 70–77. [Google Scholar] [CrossRef]
- Fennema, O.R.; Damodaran, S.; Parkin, K.L. Fennema’s Food Chemistry, 5th ed.; CRC Press: Boca Raton, FL, USA, 2017. Available online: https://lccn.loc.gov/2016027062 (accessed on 10 September 2025).
- Wagner, J.R. Propiedades funcionales de proteínas alimentarias. In Caracterización Funcional y Estructural de Proteínas; Pilosof, A.M.R., Bartholomai, G.B., Eds.; CYTED-EUDEBA: Madrid, Spain, 2000; pp. 41–74. Available online: https://bibliotecadigital.exactas.uba.ar/download/tesis/tesis_n1679_Pilosof.pdf (accessed on 16 September 2025).
- Dublán-García, O.; Cruz-Camarillo, R.; Guerrero-Legarreta, I.; Ponce-Alquicira, J. Effect of refrigerated storage on proteolytic activity and physicochemical and microstructural properties of giant squid (Dosidicus gigas) mantle muscle. Muscle Foods 2006, 17, 291–310. [Google Scholar] [CrossRef]
- Ngapo, T.M.; Wilkinson, B.; Chong, R. 1, 5-glucono-δ-lactone-induced gelation of myofibrillar protein at chilled temperatures. Meat Sci. 1996, 42, 3–13. [Google Scholar] [CrossRef]
- Morachis-Valdez, A.G.; Gómez-Oliván, L.M.; García-Argueta, I.; Hernández-Navarro, M.D.; Díaz-Bandera, D.; Dublán-García, O. Effect of chitosan edible coating on the biochemical and physical characteristics of carp fillet (Cyprinus carpio) stored at −18 °C. Int. J. Food Sci. 2017, 2017, 2812483. [Google Scholar] [CrossRef] [PubMed]
- de Huidobro, F.R.; Miguel, E.; Blázquez, B.; Onega, E. A comparison between two methods (Warner–Bratzler and texture profile analysis) for testing either raw meat or cooked meat. Meat Sci. 2005, 69, 527–536. [Google Scholar] [CrossRef]
- García-Carreño, F.L.; Haard, N.F.J. Characterization of proteinase classes in langostilla (Pleuroncodes planipes) and crayfish (Pacifastacus astacus) extracts. Food Biochem. 1993, 17, 97–113. [Google Scholar] [CrossRef]
- Cai, L.; Zhang, W.; Cao, A.; Cao, M.; Li, J. Effects of ultrasonics combined with far infrared or microwave thawing on protein denaturation and moisture migration of Sciaenops ocellatus (red drum). Ultrason. Sonochem. 2019, 55, 96–104. [Google Scholar] [CrossRef]
- Saucedo-Vence, K.; Dublán-García, O.; López-Martínez, L.X.; Morachis-Valdes, G.; Galar-Martínez, M.; Islas-Flores, H.; Gómez-Oliván, L.M. Short and long-term exposure to diclofenac alter oxidative stress status in common carp Cyprinus carpio. Ecotoxicology 2015, 24, 527–539. [Google Scholar] [CrossRef]
- Srinivasan, S.; Hultin, H.O. Chemical, physical, and functional properties of cod proteins modified by a nonenzymic free-radical-generating system. J. Agric. Food Chem. 1997, 45, 310–320. [Google Scholar] [CrossRef]
- Lin, R.; Cheng, S.; Wang, S.; Tan, M.; Zhu, B. Influence of refrigerated storage on water status, protein oxidation, microstructure, and physicochemical qualities of Atlantic mackerel (Scomber scombrus). Foods 2021, 10, 214. [Google Scholar] [CrossRef]
- Veiga-Matos, J.; Morales, A.I.; Prieto, M.; Remião, F.; Silva, R. Study models of drug–drug interactions involving p-glycoprotein: The potential benefit of p-glycoprotein modulation at the kidney and intestinal levels. Molecules 2023, 28, 7532. [Google Scholar] [CrossRef] [PubMed]
- Elmeliegy, M.; Vourvahis, M.; Guo, C.; Wang, D.D. Effect of P-glycoprotein (P-gp) inducers on exposure of P-gp substrates: Review of clinical drug–drug interaction studies. Clin. Pharmacokinet. 2020, 59, 699–714. [Google Scholar] [CrossRef] [PubMed]
- Singh, S.A.; Singh, S.; Begum, R.F.; Vijayan, S.; Vellapandian, C. Unveiling the profound influence of sucralose on metabolism and its role in shaping obesity trends. Front. Nutr. 2024, 11, 1387646. [Google Scholar] [CrossRef]
- Elkrief, D.; Matusovsky, O.; Cheng, Y.S.; Rassier, D.E.J. Oxidation alters myosin-actin interaction and force generation in skeletal muscle filaments. Am. J. Physiol. Cell Physiol. 2022, 323, C1206–C1214. [Google Scholar] [CrossRef] [PubMed]
- Robinson, P.J.; Bulleid, N.J. Mechanisms of disulfide bond formation in nascent polypeptides entering the secretory pathway. Cells 2020, 9, 1994. [Google Scholar] [CrossRef]
- Pretto, A.; Loro, V.L.; Morsch, V.M.; Moraes, B.S.; Menezes, C.; Santi, A.; Toni, C. Alterations in carbohydrate and protein metabolism in silver catfish (Rhamdia quelen) exposed to cadmium. Ecotoxicol. Environ. Saf. 2014, 100, 188–192. [Google Scholar] [CrossRef]
- Morachis-Valdez, A.G.; Dublán-García, O.; López-Martínez, L.X.; Galar-Martínez, M.; Saucedo-Vence, K.; Gómez-Oliván, L.M. Chronic exposure to pollutants in Madín Reservoir (Mexico) alters oxidative stress status and flesh quality in the common carp Cyprinus carpio. Environ. Sci. Pollut. Res. 2015, 22, 9159–9172. [Google Scholar] [CrossRef]
- Ali, S.A.; Raju, H.M.; Parveen, N.; Kassab, G. Enzymological Analysis of Carps (Cyprinus carpio and Labeo rohita) Cultured in Tropical Domestic Sewage Oxidation Ponds. In Proceedings of the Zoological Society; Springer: New Delhi, India, 2023; Volume 76, pp. 91–101. [Google Scholar] [CrossRef]
- Lushchak, V.I. Contaminant-induced oxidative stress in fish: A mechanistic approach. Fish Physiol. Biochem. 2016, 42, 711–747. [Google Scholar] [CrossRef]
- Konno, K. Myosin denaturation study for the quality evaluation of fish muscle-based products. Food Sci. Technol. Res. 2017, 23, 9–21. [Google Scholar] [CrossRef]
- Sasidharan, A. Fish Structural Proteins. In Fish Structural Proteins and Its Derivatives: Functionality and Applications; Springer Nature: Singapore, 2024; pp. 19–34. [Google Scholar] [CrossRef]
- Gou, F.; Gao, S.; Li, B. Lipid-Induced Oxidative Modifications Decrease the Bioactivities of Collagen Hydrolysates from Fish Skin: The Underlying Mechanism Based on the Proteomic Strategy. Foods 2024, 13, 583. [Google Scholar] [CrossRef]
- Sun, Q.; Dong, X.; Zheng, O.; Liu, S.; Kong, B. Protein oxidation/aggregation during ultrasound thawing at different powers impair the gel properties of common carp (Cyprinus carpio) myofibrillar protein. LWT 2024, 191, 115592. [Google Scholar] [CrossRef]
- Hui, X.; Wan, Y.; Dong, H.; Peng, J.; Wu, W.; Yang, X.; He, Q. A promising insight into the inhibition of lipid oxidation, protein degradation and biogenic amine accumulation in postmortem fish: Functional glazing layers of modified bio-polymer. LWT 2023, 177, 114575. [Google Scholar] [CrossRef]
- Abdullah, B.M.; Cullen, J.D.; Korostynska, O.; Mason, A.; Al-Shamma’a, A.I. Assessing water-holding capacity (WHC) of meat using microwave spectroscopy. Sens. Technol. Curr. Status Future Trends I. Cham Physiol. 2014, 7, 117–140. [Google Scholar] [CrossRef]
- Tao, Y.; Ma, L.; Li, D.; Tian, Y.T.; Liu, J.; Liu, D. Proteomics analysis to investigate the effect of oxidized protein on meat color and water holding capacity in Tan mutton under low temperature storage. LWT 2021, 146, 111429. [Google Scholar] [CrossRef]
- Tang, S.; Zheng, H.; Liu, P.; Kou, T.; Jiang, L.; Qi, B.; Xiang, X. Effects of pH shift and D-galactose on network structure of glycinin gel and diffusion behavior of non-network proteins. Food Chem. 2025, 468, 142526. [Google Scholar] [CrossRef]
- Sun, X.D.; Holley, R.A. Factors influencing gel formation by myofibrillar proteins in muscle foods. Compr. Rev. Food Sci. Food Saf. 2011, 10, 33–51. [Google Scholar] [CrossRef]
- Zhang, L.; Li, Q.; Bao, Y.; Tan, Y.; Lametsch, R.; Hong, H.; Luo, Y. Recent advances on characterization of protein oxidation in aquatic products: A comprehensive review. Crit. Rev. Food Sci. Nutr. 2022, 64, 1572–1591. [Google Scholar] [CrossRef]







| Exposure | Exposure Time | SUC in Water System | SUC in Muscle Carp |
|---|---|---|---|
| Concentration | (h) | (μg L−1) | (μg g−1) |
| Control group | 12 | ND | ND |
| 24 | ND | ND | |
| 48 | ND | ND | |
| 72 | ND | ND | |
| 96 | ND | ND | |
| 0.05 μg L−1 | 12 | 0.04 ± 0.008 | 0.0010 ± 0.0001 |
| 24 | 0.04 ± 0.007 | 0.0010 ± 0.0001 | |
| 48 | 0.03 ± 0.002 | 0.0023 ± 0.0002 | |
| 72 | 0.03 ± 0.001 | 0.0042 ± 0.0003 | |
| 96 | 0.02 ± 0.001 | 0.0041 ± 0.0001 | |
| 155 μg L−1 | 12 | 132.2 ± 3.1 | 6.2 ± 0.8 |
| 24 | 127.5 ± 1.8 | 5.8 ± 1.1 | |
| 48 | 118.6 ± 2.1 | 7.6 ± 1.2 | |
| 72 | 112.7 ± 1.5 | 8.3 ± 2.3 | |
| 96 | 98.3 ± 2.9 | 8.1 ± 1.5 |
| Exposure Time | ||||||
|---|---|---|---|---|---|---|
| 12 h | 24 h | 48 h | 72 h | 96 h | ||
| Hardness | Control | 1.22 ± 0.06 a | 1.22 ± 0.06 a | 1.22 ± 0.06 a | 1.22 ± 0.06 a | 1.22 ± 0.06 a |
| 0.05 µg/L | 1.15 ± 0.04 c | 1.13 ± 0.06 c | 1.11 ± 0.05 c | 1.19 ± 0.06 d | 1.33 ± 0.07 a | |
| 155 µg/L | 1.22 ± 0.04 c | 1.19 ± 0.05 c | 1.10 ± 0.06 d | 1.44 ± 0.07 b | 1.49 ± 0.09 a | |
| Cohesiveness | Control | 0.11 ± 0.06 a | 0.11 ± 0.06 a | 0.11 ± 0.06 a | 0.11 ± 0.06 a | 0.11 ± 0.06 a |
| 0.05 µg/L | 0.33 ± 0.01 c | 0.32 ± 0.02 c | 0.31 ± 0.01 c | 0.35 ± 0.03 b | 0.37 ± 0.02 a | |
| 155 µg/L | 0.34 ± 0.06 c | 0.36 ± 0.06 b | 0.37 ± 0.06 a | 0.37 ± 0.06 a | 0.36 ± 0.06 b | |
| Elasticity | Control | 0.46 ± 0.04 a | 0.46 ± 0.03 a | 0.46 ± 0.05 a | 0.46 ± 0.06 a | 0.46 ± 0.04 a |
| 0.05 µg/L | 0.42 ± 0.05 c | 0.41 ± 0.03 c | 0.39 ± 0.04 d | 0.47 ± 0.05 b | 0.51 ± 0.06 a | |
| 155 µg/L | 0.44 ± 0.06 c | 0.42 ± 0.06 d | 0.40 ± 0.06 e | 0.46 ± 0.06 b | 0.49 ± 0.06 a | |
| Chewiness | Control | 0.06 ± 0.06 a | 0.06 ± 0.06 a | 0.06 ± 0.06 a | 0.06 ± 0.06 a | 0.06 ± 0.06 a |
| 0.05 µg/L | 0.16 ± 0.06 c | 0.15 ± 0.06 c | 0.14 ± 0.06 c | 0.20 ± 0.06 b | 0.25 ± 0.06 a | |
| 155 µg/L | 0.18 ± 0.06 b | 0.18 ± 0.06 b | 0.16 ± 0.06 b | 0.25 ± 0.06 a | 0.25 ± 0.06 a | |
| Gumminess | Control | 0.13 ± 0.06 a | 0.13 ± 0.06 a | 0.13 ± 0.06 a | 0.13 ± 0.06 a | 0.13 ± 0.06 a |
| 0.05 µg/L | 0.38 ± 0.06 c | 0.36 ± 0.06 c | 0.35 ± 0.06 c | 0.42 ± 0.06 b | 0.49 ± 0.06 a | |
| 155 µg/L | 0.42 ± 0.06 b | 0.43 ± 0.06 b | 0.40 ± 0.06 b | 0.55 ± 0.06 a | 0.52 ± 0.06 a | |
Disclaimer/Publisher’s Note: The statements, opinions and data contained in all publications are solely those of the individual author(s) and contributor(s) and not of MDPI and/or the editor(s). MDPI and/or the editor(s) disclaim responsibility for any injury to people or property resulting from any ideas, methods, instructions or products referred to in the content. |
© 2025 by the authors. Licensee MDPI, Basel, Switzerland. This article is an open access article distributed under the terms and conditions of the Creative Commons Attribution (CC BY) license (https://creativecommons.org/licenses/by/4.0/).
Share and Cite
Saucedo-Vence, K.; Dublán-García, O.; Morachis-Valdez, A.G.; Díaz-Bandera, D.; López-Medina, F.A.; López-García, G.; Guadarrama-Lezama, A.Y.; Heredia-García, G.; Santillán-Álvarez, A.; Gómez-Oliván, L.M.; et al. Effect of Emerging Contaminants (Sucralose) at Relevant Concentrations on Functional Properties in Fish Muscle of Common Carp (Cyprinus carpio). Foods 2025, 14, 3387. https://doi.org/10.3390/foods14193387
Saucedo-Vence K, Dublán-García O, Morachis-Valdez AG, Díaz-Bandera D, López-Medina FA, López-García G, Guadarrama-Lezama AY, Heredia-García G, Santillán-Álvarez A, Gómez-Oliván LM, et al. Effect of Emerging Contaminants (Sucralose) at Relevant Concentrations on Functional Properties in Fish Muscle of Common Carp (Cyprinus carpio). Foods. 2025; 14(19):3387. https://doi.org/10.3390/foods14193387
Chicago/Turabian StyleSaucedo-Vence, Karinne, Octavio Dublán-García, Ana Gabriela Morachis-Valdez, Daniel Díaz-Bandera, Francisco Antonio López-Medina, Guadalupe López-García, Andrea Yazmín Guadarrama-Lezama, Gerardo Heredia-García, Angel Santillán-Álvarez, Leobardo Manuel Gómez-Oliván, and et al. 2025. "Effect of Emerging Contaminants (Sucralose) at Relevant Concentrations on Functional Properties in Fish Muscle of Common Carp (Cyprinus carpio)" Foods 14, no. 19: 3387. https://doi.org/10.3390/foods14193387
APA StyleSaucedo-Vence, K., Dublán-García, O., Morachis-Valdez, A. G., Díaz-Bandera, D., López-Medina, F. A., López-García, G., Guadarrama-Lezama, A. Y., Heredia-García, G., Santillán-Álvarez, A., Gómez-Oliván, L. M., & Alba-Rojas, E. (2025). Effect of Emerging Contaminants (Sucralose) at Relevant Concentrations on Functional Properties in Fish Muscle of Common Carp (Cyprinus carpio). Foods, 14(19), 3387. https://doi.org/10.3390/foods14193387

