Ameliorative Effects of Raisin Polyphenol Extract on Oxidative Stress and Aging In Vitro and In Vivo via Regulation of Sirt1–Nrf2 Signaling Pathway
Abstract
1. Introduction
2. Materials and Methods
2.1. Chemicals and Reagents
2.2. Preparation of Raisin Polyphenols
2.3. Analysis of Raisin Polyphenols Compositions Using UPLC-MS/MS
2.4. Cell Viability Assay
2.5. Animals Treatment and Experimental Protocols
2.6. Preparation of Tissue and Serum Samples
2.7. Hematoxylin and Eosin (HE) Staining
2.8. Measurement of SOD, CAT, GSH, MDA, ROS and AGEs
2.9. Measurement of the Expression of Sirt1, Sirt3, Keap1, Nrf2, NQO1 and HO-1
2.10. Statistical Analysis
3. Results and Discussion
3.1. Analysis of Raisin Polyphenols (RP) via UPLC-MS/MS
3.2. Effect of RPs on HepG2 Cell Cytotoxicity
3.3. RP’s Amelioration of Oxidative Damage Induced by H2O2 in HepG2 Cells
3.4. Effect of RPs on Sirt1–Nrf2 Signaling Pathway in H2O2-Induced HepG2 Cells
3.5. Effects of RPs on Body Weight and the Organ Index in D-Gal-Induced Aging Mice
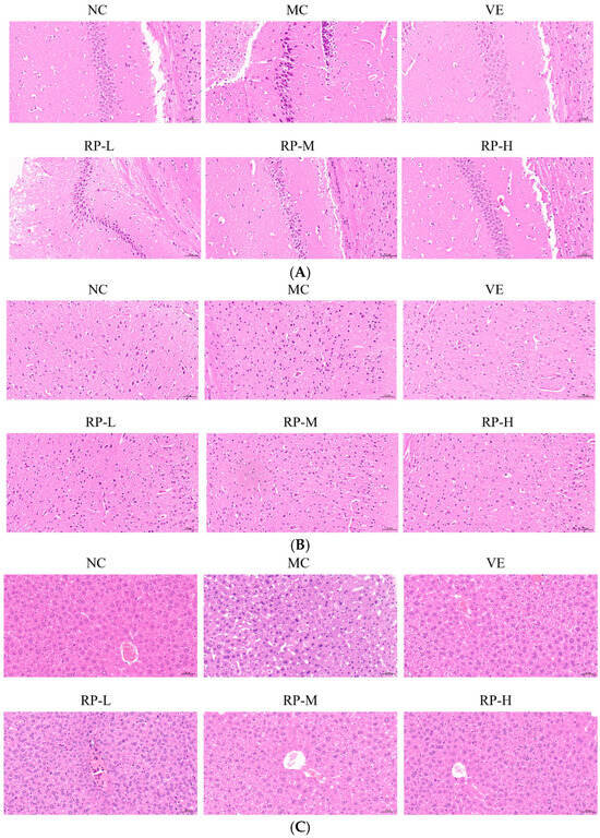
3.6. Histopathological Examination of Brain and Liver in Aging Mice
3.7. RPs Ameliorated Oxidative Stress in Aging Mice
3.8. RPs Delayed Aging in Mice by Regulating the Sirt1–Nrf2 Signaling Pathway
4. Conclusions
Supplementary Materials
Author Contributions
Funding
Institutional Review Board Statement
Informed Consent Statement
Data Availability Statement
Conflicts of Interest
References
- Wang, Z. The entropy perspective of human illness and aging. Engineering 2022, 9, 22–26. [Google Scholar] [CrossRef]
- Poulose, N. Aging and Injury: Alterations in Cellular Energetics and Organ Function. Aging Dis. 2014, 5, 101–108. [Google Scholar] [CrossRef] [PubMed]
- Bloom, D.E.; Canning, D.; Lubet, A. Global Population Aging: Facts, Challenges, Solutions & Perspectives. Daedalus 2015, 144, 80–92. [Google Scholar] [CrossRef]
- Wu, S.; Chen, Y.; Wei, F.; Chen, Z.; Fan, J.; Luo, Y.; Li, P.; Gu, Q. Lactiplantibacillus plantarum ZJ316 Alleviates the Oxidative Stress and Cellular Apoptosis via Modulating Nrf2/HO-1 Signaling Pathway. J. Funct. Foods 2024, 121, 106409. [Google Scholar] [CrossRef]
- Wong, S.Y.; Tang, B.L. SIRT1 as a Therapeutic Target for Alzheimer’s Disease. Rev. Neurosci. 2016, 27, 813–825. [Google Scholar] [CrossRef]
- Jayaprakasha, G.K.; Singh, R.P.; Sakariah, K.K. Antioxidant Activity of Grape Seed (Vitis Vinifera) Extracts on Peroxidation Models in Vitro. Food Chem. 2001, 73, 285–290. [Google Scholar] [CrossRef]
- Ares, G.; Barreiro, C.; Deliza, R.; Gámbaro, A. Alternatives to Reduce the Bitterness, Astringency and Characteristic Flavour of Antioxidant Extracts. Food Res. Int. 2009, 42, 871–878. [Google Scholar] [CrossRef]
- Zhang, Y.; Lu, J.; Liu, Y.; Zhao, C.; Yi, J.; Zhu, J.; Kang, Q.; Hao, L.; Shi, Y. Polyphenols of Brown (Brassica Juncea) and White (Sinapis Alba) Mustard Seeds: Extraction Optimization, Compositional Analysis, Antioxidant, and Immunomodulatory Activities. Food Biosci. 2024, 58, 103753. [Google Scholar] [CrossRef]
- Xiao, Y.; Dong, J.; Yin, Z.; Wu, Q.; Zhou, Y.; Zhou, X. Procyanidin B2 Protects against D-Galactose-Induced Mimetic Aging in Mice: Metabolites and Microbiome Analysis. Food Chem. Toxicol. 2018, 119, 141–149. [Google Scholar] [CrossRef] [PubMed]
- Moreno, J.J.; Cerpa-Calderón, F.; Cohen, S.D.; Fang, Y.; Qian, M.; Kennedy, J.A. Effect of Postharvest Dehydration on the Composition of Pinot Noir Grapes (Vitis vinifera L.) and Wine. Food Chem. 2008, 109, 755–762. [Google Scholar] [CrossRef]
- Meng, J.; Fang, Y.; Zhang, A.; Chen, S.; Xu, T.; Ren, Z.; Han, G.; Liu, J.; Li, H.; Zhang, Z.; et al. Phenolic Content and Antioxidant Capacity of Chinese Raisins Produced in Xinjiang Province. Food Res. Int. 2011, 44, 2830–2836. [Google Scholar] [CrossRef]
- Annunziata, G.; Jimenez-García, M.; Tejada, S.; Moranta, D.; Arnone, A.; Ciampaglia, R.; Tenore, G.C.; Sureda, A.; Novellino, E.; Capó, X. Grape Polyphenols Ameliorate Muscle Decline Reducing Oxidative Stress and Oxidative Damage in Aged Rats. Nutrients 2020, 12, 1280. [Google Scholar] [CrossRef] [PubMed]
- Williamson, G.; Carughi, A. Polyphenol Content and Health Benefits of Raisins. Nutr. Res. 2010, 30, 511–519. [Google Scholar] [CrossRef] [PubMed]
- Singh, V.; Ubaid, S. Role of Silent Information Regulator 1 (SIRT1) in Regulating Oxidative Stress and Inflammation. Inflammation 2020, 43, 1589–1598. [Google Scholar] [CrossRef]
- Zhu, J.; Yang, Q.; Li, H.; Wang, Y.; Jiang, Y.; Wang, H.; Cong, L.; Xu, J.; Shen, Z.; Chen, W.; et al. Sirt3 Deficiency Accelerates Ovarian Senescence without Affecting Spermatogenesis in Aging Mice. Free Radic. Biol. Med. 2022, 193, 511–525. [Google Scholar] [CrossRef] [PubMed]
- Kulkarni, S.R.; Donepudi, A.C.; Xu, J.; Wei, W.; Cheng, Q.C.; Driscoll, M.V.; Johnson, D.A.; Johnson, J.A.; Li, X.; Slitt, A.L. Fasting Induces Nuclear Factor E2-Related Factor 2 and ATP-Binding Cassette Transporters via Protein Kinase A and Sirtuin-1 in Mouse and Human. Antioxid. Redox Signal. 2014, 20, 15–30. [Google Scholar] [CrossRef] [PubMed]
- Huang, K.; Huang, J.; Xie, X.; Wang, S.; Chen, C.; Shen, X.; Liu, P.; Huang, H. Sirt1 Resists Advanced Glycation End Products-Induced Expressions of Fibronectin and TGF-Β1 by Activating the Nrf2/ARE Pathway in Glomerular Mesangial Cells. Free Radic. Biol. Med. 2013, 65, 528–540. [Google Scholar] [CrossRef]
- Gao, N.; Gao, X.; Du, M.; Xiang, Y.; Zuo, H.; Huang, R.; Wan, W.; Hu, K. Lutein Protects Senescent Ciliary Muscle against Oxidative Stress through the Keap1/Nrf2/ARE Pathway. Phytomedicine 2024, 134, 155982. [Google Scholar] [CrossRef]
- Li, H.; Zhang, Q.; Li, W.; Li, H.; Bao, J.; Yang, C.; Wang, A.; Wei, J.; Chen, S.; Jin, H. Role of Nrf2 in the Antioxidation and Oxidative Stress Induced Developmental Toxicity of Honokiol in Zebrafish. Toxicol. Appl. Pharm. 2019, 373, 48–61. [Google Scholar] [CrossRef] [PubMed]
- Shu, G.; Wang, C.; Song, A.; Zheng, Z.; Zheng, S.; Song, Y.; Wang, X.; Yu, H.; Yin, S.; Deng, X. Water Extract of Earthworms Mitigates Kidney Injury Triggered by Oxidative Stress via Activating Intrarenal Sirt1/Nrf2 Cascade and Ameliorating Mitochondrial Damage. J. Ethnopharmacol. 2024, 335, 118648. [Google Scholar] [CrossRef]
- Liu, J.-X.; Shen, S.-N.; Tong, Q.; Wang, Y.-T.; Lin, L.-G. Honokiol Protects Hepatocytes from Oxidative Injury through Mitochondrial Deacetylase SIRT3. Eur. J. Pharmacol. 2018, 834, 176–187. [Google Scholar] [CrossRef]
- Chi, F.; Cheng, C.; Zhang, M.; Su, B.; Hou, Y.; Bai, G. Resveratrol Targeting NRF2 Disrupts the Binding between KEAP1 and NRF2-DLG Motif to Ameliorate Oxidative Stress Damage in Mice Pulmonary Infection. J. Ethnopharmacol. 2024, 332, 118353. [Google Scholar] [CrossRef]
- Liu, H.; An, Z.-Y.; Li, Z.-Y.; Yang, L.-H.; Zhang, X.-L.; Lv, Y.-T.; Yin, X.-J.; Quan, L.-H.; Kang, J.-D. The Ginsenoside Rh2 Protects Porcine Oocytes against Aging and Oxidative Stress by Regulating SIRT1 Expression and Mitochondrial Activity. Theriogenology 2023, 200, 125–135. [Google Scholar] [CrossRef]
- Zhou, K.; Xiao, S.; Cao, S.; Zhao, C.; Zhang, M.; Fu, Y. Improvement of Glucolipid Metabolism and Oxidative Stress via Modulating PI3K/Akt Pathway in Insulin Resistance HepG2 Cells by Chickpea Flavonoids. Food Chem. X 2024, 23, 101630. [Google Scholar] [CrossRef] [PubMed]
- Li, X.; Yi, L.; Liu, X.; Chen, X.; Chen, S.; Cai, S. Isoquercitrin Played a Neuroprotective Role in Rats After Cerebral Ischemia/Reperfusion Through Up-Regulating Neuroglobin and Anti-Oxidative Stress. Transplant. Proc. 2023, 55, 1751–1761. [Google Scholar] [CrossRef]
- Dinda, B.; Dinda, M.; Dinda, S.; Ghosh, P.S.; Das, S.K. Anti-SARS-CoV-2, Antioxidant and Immunomodulatory Potential of Dietary Flavonol Quercetin: Focus on Molecular Targets and Clinical Efficacy. Eur. J. Med. Chem. 2024, 10, 100125. [Google Scholar] [CrossRef]
- Lim, Y.J.; Park, H.; Kim, W.; Eom, S.H. Ultraviolet B-Induced Increase of Cyanidin-3-O-Galactoside, Quercetin-3-O-Galactoside, and Ursolic Acid Enhances Antioxidant and Anti-Inflammatory Activities in Apples. Postharvest Biol. Technol. 2023, 206, 112580. [Google Scholar] [CrossRef]
- Dueñas, M.; Surco-Laos, F.; González-Manzano, S.; González-Paramás, A.M.; Gómez-Orte, E.; Cabello, J.; Santos-Buelga, C. Deglycosylation Is a Key Step in Biotransformation and Lifespan Effects of Quercetin-3-O-Glucoside in Caenorhabditis Elegans. Pharmacol. Res. 2013, 76, 41–48. [Google Scholar] [CrossRef] [PubMed]
- Wang, X.; Liu, X.; Shi, N.; Zhang, Z.; Chen, Y.; Yan, M.; Li, Y. Response Surface Methodology Optimization and HPLC-ESI-QTOF-MS/MS Analysis on Ultrasonic-Assisted Extraction of Phenolic Compounds from Okra (Abelmoschus esculentus) and Their Antioxidant Activity. Food Chem. 2023, 405, 134966. [Google Scholar] [CrossRef]
- Capozzi, A.; Dudoit, A.; Garcia, L.; Carnac, G.; Hugon, G.; Saucier, C.; Bisbal, C.; Lambert, K. Syrah Grape Polyphenol Extracts Protect Human Skeletal Muscle Cells from Oxidative and Metabolic Stress Induced by Excess of Palmitic Acid: Effect of Skin/Seed Ripening Stage. Antioxidants 2024, 13, 373. [Google Scholar] [CrossRef] [PubMed]
- Tate, P.S.; Marazita, M.C.; Marquioni-Ramella, M.D.; Suburo, A.M. Ilex Paraguariensis Extracts and Its Polyphenols Prevent Oxidative Damage and Senescence of Human Retinal Pigment Epithelium Cells. J. Funct. Foods 2020, 67, 103833. [Google Scholar] [CrossRef]
- Alfieri, A.; Srivastava, S.; Siow, R.C.M.; Modo, M.; Fraser, P.A.; Mann, G.E. Targeting the Nrf2–Keap1 Antioxidant Defence Pathway for Neurovascular Protection in Stroke. J. Physiol. 2011, 589, 4125–4136. [Google Scholar] [CrossRef] [PubMed]
- Stagos, D. Antioxidant Activity of Polyphenolic Plant Extracts. Antioxidants 2019, 9, 19. [Google Scholar] [CrossRef]
- Del Mar Rivas-Chacón, L.; Yanes-Díaz, J.; De Lucas, B.; Riestra-Ayora, J.I.; Madrid-García, R.; Sanz-Fernández, R.; Sánchez-Rodríguez, C. Preventive Effect of Cocoa Flavonoids via Suppression of Oxidative Stress-Induced Apoptosis in Auditory Senescent Cells. Antioxidants 2022, 11, 1450. [Google Scholar] [CrossRef] [PubMed]
- El Kebbaj, R.; Bouchab, H.; Tahri-Joutey, M.; Rabbaa, S.; Limami, Y.; Nasser, B.; Egbujor, M.C.; Tucci, P.; Andreoletti, P.; Saso, L.; et al. The Potential Role of Major Argan Oil Compounds as Nrf2 Regulators and Their Antioxidant Effects. Antioxidants 2024, 13, 344. [Google Scholar] [CrossRef] [PubMed]
- Wang, X.; Kang, J.; Li, X.; Wu, P.; Huang, Y.; Duan, Y.; Feng, J.; Wang, J. Codonopsis Pilosula Water Extract Delays D-Galactose-Induced Aging of the Brain in Mice by Activating Autophagy and Regulating Metabolism. J. Ethnopharmacol. 2024, 327, 118016. [Google Scholar] [CrossRef] [PubMed]
- Ezzat, M.I.; Issa, M.Y.; Sallam, I.E.; Zaafar, D.; Khalil, H.M.A.; Mousa, M.R.; Sabry, D.; Gawish, A.Y.; Elghandour, A.H.; Mohsen, E. Impact of Different Processing Methods on the Phenolics and Neuroprotective Activity of Fragaria Ananassa Duch. Extracts in a d -Galactose and Aluminum Chloride-Induced Rat Model of Aging. Food Funct. 2022, 13, 7794–7812. [Google Scholar] [CrossRef]
- Zhao, L.; Yang, H.; Xu, M.; Wang, X.; Wang, C.; Lian, Y.; Mehmood, A.; Dai, H. Stevia Residue Extract Ameliorates Oxidative Stress in D-Galactose-Induced Aging Mice via Akt/Nrf2/HO-1 Pathway. J. Funct. Foods 2019, 52, 587–595. [Google Scholar] [CrossRef]
- Song, E.-K.; Park, H.; Kim, H.-S. Additive Effect of Walnut and Chokeberry on Regulation of Antioxidant Enzyme Gene Expression and Attenuation of Lipid Peroxidation in D-Galactose-Induced Aging-Mouse Model. Nutr. Res. 2019, 70, 60–69. [Google Scholar] [CrossRef] [PubMed]
- Ramchandani, A.G.; Chettiyar, R.S.; Pakhale, S.S. Evaluation of Antioxidant and Anti-Initiating Activities of Crude Polyphenolic Extracts from Seedless and Seeded Indian Grapes. Food Chem. 2010, 119, 298–305. [Google Scholar] [CrossRef]
- Gu, L.; Tao, X.; Xu, Y.; Han, X.; Qi, Y.; Xu, L.; Yin, L.; Peng, J. Dioscin Alleviates BDL- and DMN-Induced Hepatic Fibrosis via Sirt1/Nrf2-Mediated Inhibition of P38 MAPK Pathway. Toxicol. Appl. Pharmacol. 2016, 292, 19–29. [Google Scholar] [CrossRef]
- Huang, K.; Chen, C.; Hao, J.; Huang, J.; Wang, S.; Liu, P.; Huang, H. Polydatin Promotes Nrf2-ARE Anti-Oxidative Pathway through Activating Sirt1 to Resist AGEs-Induced Upregulation of Fibronetin and Transforming Growth Factor-Β1 in Rat Glomerular Messangial Cells. Mol. Cell. Endocrinol. 2015, 399, 178–189. [Google Scholar] [CrossRef]
- Li, M.; Yang, L.; Gao, L.; Du, G.; Qin, X.; Zhou, Y. The Leaves of Scutellaria Baicalensis Georgi Attenuate Brain Aging in D-Galactose-Induced Rats via Regulating Glutamate Metabolism and Nrf2 Signaling Pathway. Exp. Gerontol. 2022, 170, 111978. [Google Scholar] [CrossRef] [PubMed]
- Wang, A.; Li, D.; Wang, S.; Zhou, F.; Li, P.; Wang, Y.; Lin, L. γ-Mangostin, a Xanthone from Mangosteen, Attenuates Oxidative Injury in Liver via NRF2 and SIRT1 Induction. J. Funct. Foods 2018, 40, 544–553. [Google Scholar] [CrossRef]









Disclaimer/Publisher’s Note: The statements, opinions and data contained in all publications are solely those of the individual author(s) and contributor(s) and not of MDPI and/or the editor(s). MDPI and/or the editor(s) disclaim responsibility for any injury to people or property resulting from any ideas, methods, instructions or products referred to in the content. |
© 2024 by the authors. Licensee MDPI, Basel, Switzerland. This article is an open access article distributed under the terms and conditions of the Creative Commons Attribution (CC BY) license (https://creativecommons.org/licenses/by/4.0/).
Share and Cite
Gao, W.; Zhao, C.; Shang, X.; Li, B.; Guo, J.; Wang, J.; Wu, B.; Fu, Y. Ameliorative Effects of Raisin Polyphenol Extract on Oxidative Stress and Aging In Vitro and In Vivo via Regulation of Sirt1–Nrf2 Signaling Pathway. Foods 2025, 14, 71. https://doi.org/10.3390/foods14010071
Gao W, Zhao C, Shang X, Li B, Guo J, Wang J, Wu B, Fu Y. Ameliorative Effects of Raisin Polyphenol Extract on Oxidative Stress and Aging In Vitro and In Vivo via Regulation of Sirt1–Nrf2 Signaling Pathway. Foods. 2025; 14(1):71. https://doi.org/10.3390/foods14010071
Chicago/Turabian StyleGao, Wenjing, Caiyun Zhao, Xin Shang, Bin Li, Jintian Guo, Jingteng Wang, Bin Wu, and Yinghua Fu. 2025. "Ameliorative Effects of Raisin Polyphenol Extract on Oxidative Stress and Aging In Vitro and In Vivo via Regulation of Sirt1–Nrf2 Signaling Pathway" Foods 14, no. 1: 71. https://doi.org/10.3390/foods14010071
APA StyleGao, W., Zhao, C., Shang, X., Li, B., Guo, J., Wang, J., Wu, B., & Fu, Y. (2025). Ameliorative Effects of Raisin Polyphenol Extract on Oxidative Stress and Aging In Vitro and In Vivo via Regulation of Sirt1–Nrf2 Signaling Pathway. Foods, 14(1), 71. https://doi.org/10.3390/foods14010071
