Hydrolysis of Beef Sarcoplasmic Protein by Dry-Aged Beef-Isolated Penicillium oxalicum and Its Associated Metabolic Pathways
Abstract
1. Introduction
2. Materials and Methods
2.1. Processing and Sampling of Dry-Aged Beef
2.2. Screening of Protease-Producing Fungi
2.2.1. Isolation and Preliminary Screening of Protease-Producing Fungi
2.2.2. Rescreening and Identification of Protease-Producing Fungi
2.3. Preparation of Sarcoplasmic Protein Extracts and Cell Suspensions
2.4. Gel Electrophoresis
2.5. Free Amino Acids and Volatile Flavor Compounds
2.5.1. Determination of Free Amino Acids
2.5.2. Extraction of Volatile Flavor Components
2.6. Metabolic Pathway Analysis of Penicillium oxalicum (D5) Fermentation Broth
2.7. Statistical Analysis
3. Results and Discussion
3.1. Identification of Protease-Producing Fungi
3.1.1. Determination of Protease Hydrolysis Activity
3.1.2. Strain Identification
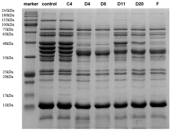
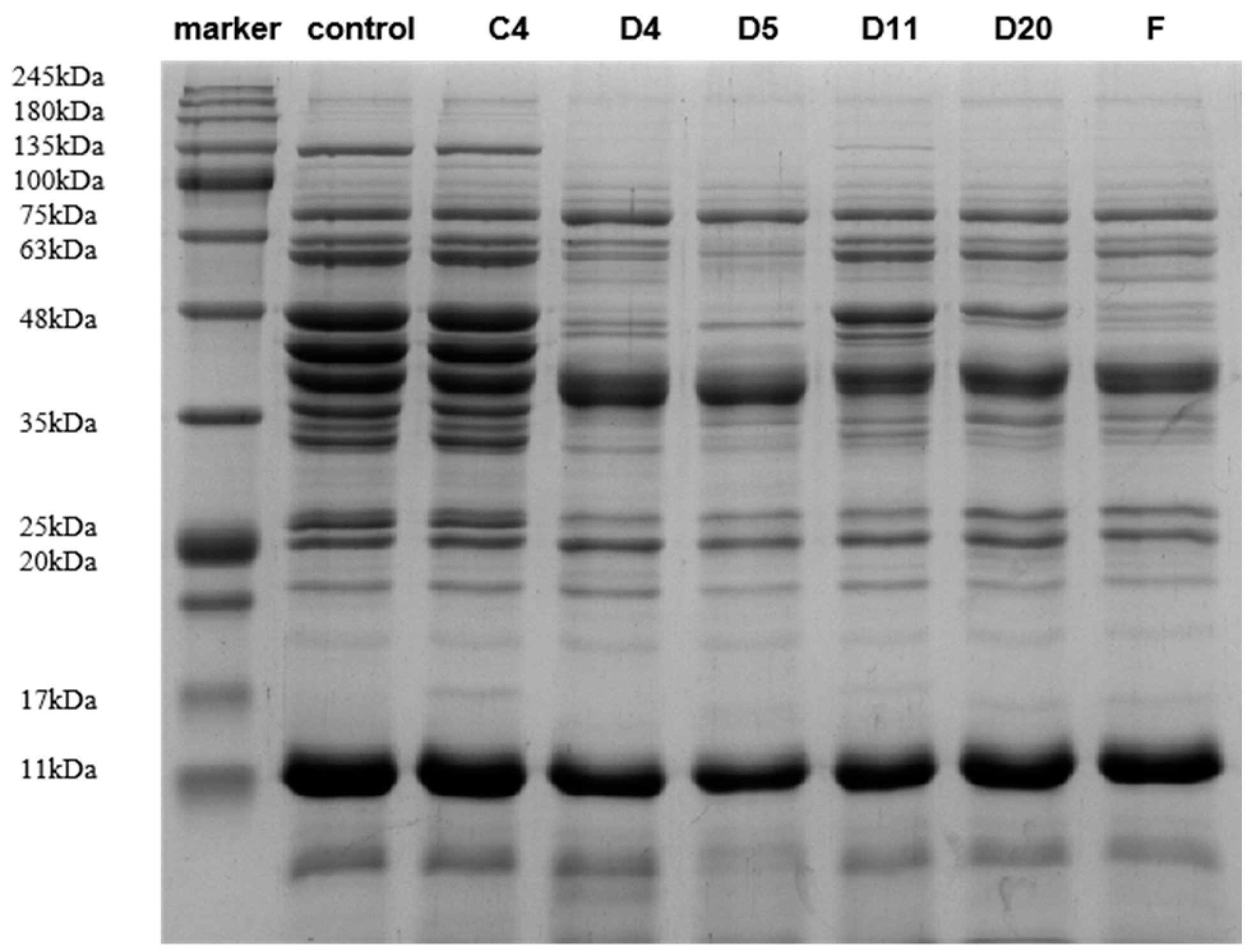
3.2. SDS-PAGE
3.3. Free Amino Acid Analysis
3.4. Changes in Volatile Flavor Components
3.5. Metabolic Pathway Analysis of Penicillium oxalicum (D5) Fermentation Broth
4. Conclusions
Author Contributions
Funding
Institutional Review Board Statement
Informed Consent Statement
Data Availability Statement
Conflicts of Interest
References
- Nicklas, T.A.; O’Neil, C.E.; Zanovec, M.; Keast, D.R.; Fulgoni, V.L. Contribution of beef consumption to nutrient intake, diet quality, and food patterns in the diets of the US population. Meat Sci. 2012, 90, 152–158. [Google Scholar] [CrossRef] [PubMed]
- Dalle Zotte, A.; Gleeson, E.; Franco, D.; Cullere, M.; Lorenzo, J.M. Proximate composition, amino acid profile, and oxidative stability of slow-growing indigenous chickens compared with commercial broiler chickens. Foods 2020, 9, 546. [Google Scholar] [CrossRef] [PubMed]
- Cheng, J.H.; Ockerman, H.W. Effect of phosphate with tumbling on lipid oxidation of precooked roast beef. Meat Sci. 2003, 65, 1353–1359. [Google Scholar] [CrossRef] [PubMed]
- Lee, H.J.; Choe, J.; Kim, K.T.; Oh, J.; Lee, D.G.; Kwon, K.M.; Choi, Y.I.; Jo, C. Analysis of low-marbled Hanwoo cow meat aged with different dry-aging methods. Asian-Australas. J. Anim. Sci. 2017, 30, 1733–1738. [Google Scholar] [CrossRef] [PubMed]
- Polkinghorne, R.J.; Thompson, J.M. Meat standards and grading: A world view. Meat Sci. 2010, 86, 227–235. [Google Scholar] [CrossRef] [PubMed]
- Stenström, H.; Li, X.; Hunt, M.C.; Lundström, K. Consumer preference and effect of correct or misleading information after aging beef longissimus muscle using vacuum, dry ageing, or a dry ageing bag. Meat Sci. 2014, 96, 661–666. [Google Scholar] [CrossRef]
- Khan, M.I.; Jung, S.; Nam, K.C.; Jo, C. Postmortem aging of beef with a special reference to the dry aging. Korean J. Food Sci. Anim. Resour. 2016, 36, 159–169. [Google Scholar] [CrossRef] [PubMed]
- Dashmaa, D.; Vinay, K.T.; Soohyun, C.; Younghoon, K.; Inho, H. Dry aging of beef [Review]. J. Anim. Sci. Technol. 2016, 58, 20. [Google Scholar] [CrossRef]
- Li, H.; Zhu, Q.; Chen, X.; Zhou, J.; Wu, J.P. Isolation and characterization of coagulase negative staphylococci with high proteolytic activity from dry fermented sausages as a potential starter culture. Food Res. Int. 2022, 162, 111957. [Google Scholar] [CrossRef] [PubMed]
- Ryu, S.; Park, M.R.; Maburutse, B.E.; Lee, W.J.; Park, D.J.; Cho, S.; Hwang, I.; Oh, S.; Kim, Y. Diversity and characteristics of the meat microbiological community on dry aged beef. J. Microbiol. Biotechnol. 2018, 28, 105–108. [Google Scholar] [CrossRef] [PubMed]
- Álvarez, S.; Mullen, A.M.; Hamill, R.; O’Neill, E.; Alvarez, C. Dry-aging of beef as a tool to improve meat quality. Impact of processing conditions on the technical and organoleptic meat properties. Adv. Food Nutr. Res. 2021, 95, 97–130. [Google Scholar] [CrossRef] [PubMed]
- Setyabrata, D.; Vierck, K.; Sheets, T.R.; Legako, J.F.; Cooper, B.R.; Johnson, T.A.; Kim, Y.H.B. Characterizing the flavor precursors and liberation mechanisms of various dry-aging methods in cull beef loins using metabolomics and microbiome approaches. Metabolites 2022, 12, 472. [Google Scholar] [CrossRef] [PubMed]
- Noorolahi, Z.; Sahari, M.A.; Gavlighi, H.A.; Barzegar, M. Pistachio green hull extract as natural antioxidant incorporated to omega-3 rich kappa-carrageenan oleogel in dry fermented sausage. Food Biosci. 2022, 50, 101986. [Google Scholar] [CrossRef]
- Mozuriene, E.; Bartkiene, E.; Krungleviciute, V.; Zadeike, D.; Juodeikiene, G.; Damasius, J.; Baltusnikiene, A. Effect of natural marinade based on lactic acid bacteria on pork meat quality parameters and biogenic amine contents. LWT Food Sci. Technol. 2016, 69, 319–326. [Google Scholar] [CrossRef]
- Wang, Q.; Li, H.J.; Yang, L.; Liu, S.Y.; Shi, J.L.; Xie, Z.H.; He, Z.F. Effect of commercial direct vat set cultures on the quality of fermented sausages. Food Fermen Ind. 2023, 49, 103–111. [Google Scholar] [CrossRef]
- Leroy, F.; Verluyten, J.; De Vuyst, L. Functional meat starter cultures for improved sausage fermentation. Int. J. Food Microbiol. 2006, 106, 270–285. [Google Scholar] [CrossRef] [PubMed]
- Oh, H.; Lee, H.J.; Lee, J.; Jo, C.; Yoon, Y. Identification of microorganisms associated with the quality improvement of dry-aged beef through microbiome analysis and DNA sequencing, and evaluation of their effects on beef quality. J. Food Sci. 2019, 84, 2944–2954. [Google Scholar] [CrossRef] [PubMed]
- Kargozari, M.; Emam-Djomeh, Z.; Gandomi, H.; Partovi, R.; Ghasemlou, M.; Martin, I.R. Identification of selected Lactobacillus strains isolated from Siahmazgi cheese and study on their behavior after inoculation in fermented-sausage model medium. LWT Food Sci. Technol. 2015, 62, 1177–1183. [Google Scholar] [CrossRef]
- Sun, D.; Peng, A.; Tan, J.; Piao, C.; Lü, A.; Mu, B.; Li, G. Effect of dry-aging process on the quality of rump beef from Yanbian cattle. Food Mach. 2023, 39, 159–165+172. [Google Scholar] [CrossRef]
- Cachaldora, A.; Fonseca, S.; Franco, I.; Carballo, J. Technological and safety characteristics of Staphylococcaceae isolated from Spanish traditional dry-cured sausages. Food Microbiol. 2013, 33, 61–68. [Google Scholar] [CrossRef] [PubMed]
- Yan, S.M.; Guo, Q.S.; Shi, H.Z.; Wu, B.; Shi, G.W.; Wu, M.J.; Wang, S.; Lu, X.; Liu, Y.Y. Different arousal modes of hibernating Whitmania pigra. China J. Chin. Mater. Medica 2018, 43, 3618–3623. [Google Scholar] [CrossRef]
- Yang, J.K.; Shih, I.L.; Tzeng, Y.M.; Wang, S. Production and purification of protease from a Bacillus subtilis that can deproteinize crustacean wastes. Enzyme Microb. Technol. 2000, 26, 406–413. [Google Scholar] [CrossRef] [PubMed]
- Bermúdez, R.; Franco, D.; Carballo, J.; Sentandreu, M.Á.; Lorenzo, J.M. Influence of muscle type on the evolution of free amino acids and sarcoplasmic and myofibrillar proteins through the manufacturing process of Celta dry-cured ham. Food Res. Int. 2014, 56, 226–235. [Google Scholar] [CrossRef]
- Benito, M.J.; Rodríguez, M.; Núnez, F.; Asensio, M.A.; Bermúdez, M.E.; Córdoba, J.J. Purification and characterization of an extracellular protease from Penicillium chrysogenum Pg222 active against meat proteins. Appl. Environ. Microbiol. 2002, 68, 3532–3536. [Google Scholar] [CrossRef] [PubMed]
- Petričević, S.; Marušić Radovčić, N.; Lukić, K.; Listeš, E.; Medić, H. Differentiation of dry-cured hams from different processing methods by means of volatile compounds, physico-chemical and sensory analysis. Meat Sci. 2018, 137, 217–227. [Google Scholar] [CrossRef] [PubMed]
- Watanabe, A.; Kamada, G.; Imanari, M.; Shiba, N.; Yonai, M.; Muramoto, T. Effect of aging on volatile compounds in cooked beef. Meat Sci. 2015, 107, 12–19. [Google Scholar] [CrossRef]
- Toldrá, F. The role of muscle enzymes in dry-cured meat products with different drying conditions. Trends Food Sci. Technol. 2006, 17, 164–168. [Google Scholar] [CrossRef]
- Chen, J.X.; Hu, Y.Y.; Wen, R.X.; Liu, Q.; Chen, Q.; Kong, B. Effect of NaCl substitutes on the physical, microbial and sensory characteristics of Harbin dry sausage. Meat Sci. 2019, 156, 205–213. [Google Scholar] [CrossRef] [PubMed]
- Ju, M.; Piao, C.X.; Zhang, J.; Mu, B.; Li, G.; Zhang, W. Hydrolysis of pork sarcoplasmic protein extracts by unique staphylococci isolated from low-salt dry-cured ham. LWT Food Sci. Technol. 2022, 164, 113639. [Google Scholar] [CrossRef]
- Lee, Y.E.; Lee, H.J.; Kim, C.H.; Ryu, S.; Kim, Y.; Jo, C. Effect of Penicillium candidum and Penicillium nalgiovense and their combination on the physicochemical and sensory quality of dry-aged beef. Food Microbiol. 2022, 107, 104083. [Google Scholar] [CrossRef]
- Ardö, Y. Flavour formation by amino acid catabolism. Biotechnol. Adv. 2006, 24, 238–242. [Google Scholar] [CrossRef] [PubMed]
- Vidal, V.A.S.; Paglarini, C.S.; Lorenzo, J.M.; Munekata, P.E.S.; Pollonio, M.A.R. Salted Meat Products: Nutritional Characteristics, Processing and Strategies for Sodium Reduction. Food Rev. Int. 2023, 39, 2183–2202. [Google Scholar] [CrossRef]
- Siriangkanakun, S.; Li-Chan, E.C.Y.; Yongsawadigul, J. Identification and characterization of alpha-I-proteinase inhibitor from common carp sarcoplasmic proteins. Food Chem. 2016, 192, 1090–1097. [Google Scholar] [CrossRef] [PubMed]
- Przybylski, W.; Kaczor, D.; Żelechowska, E.; Jaworska, D.; Kajak-Siemaszko, K.; Boruszewska, K.; Jankiewicz, U. Sarcoplasmic protein profile from drip loss in relation to pork quality. J. Food Sci. 2016, 81, C2320–C2326. [Google Scholar] [CrossRef]
- Fadda, S.; Vildoza, M.J.; Vignolo, G. The acidogenic metabolism of Lactobacillus plantarum Crl 681 Improves sarcoplasmic protein hydrolysis during meat fermentation. J. Muscle Foods 2010, 21, 545–556. [Google Scholar] [CrossRef]
- Careri, M.; Mangia, A.; Barbieri, G.; Bouoni, L.; Virgili, R.; Parolari, G. Sensory property relationships to chemical data of Italian-type dry-cured ham. J. Food Sci. 1993, 58, 968–972. [Google Scholar] [CrossRef]
- Van, B.M. Formation of flavour compounds in the Maillard reaction. Biotechnol. Adv. 2006, 24, 230–233. [Google Scholar] [CrossRef]
- Di Cagno, R.; Lòpez, C.C.; Tofalo, R.; Gallo, G.; De Angelis, M.; Paparella, A.; Hammes, W.P.; Gobbetti, M. Comparison of the compositional, microbiological, biochemical and volatile profile characteristics of three Italian PDO fermented sausages. Meat Sci. 2008, 79, 224–235. [Google Scholar] [CrossRef] [PubMed]
- Park, J.N.; Fukumoto, Y.; Fujita, E.; Tanaka, T.; Washio, T.; Otsuka, S.; Shimizu, T.; Watanabe, K.; Abe, H. Chemical composition of fish sauces produced in Southeast and East Asian countries. J. Food Compos. Anal. 2001, 14, 113–125. [Google Scholar] [CrossRef]
- Iida, F.; Miyazaki, Y.; Tsuyuki, R.; Kato, K.; Egusa, A.; Ogoshi, H.; Nishimura, T. Changes in taste compounds, breaking properties, and sensory attributes during dry aging of beef from Japanese black cattle. Meat Sci. 2016, 112, 46–51. [Google Scholar] [CrossRef] [PubMed]
- Gutsche, K.A.; Tran, T.B.T.; Vogel, R.F. Production of volatile compounds by Lactobacillus sakei from branched chain α-keto acids. Food Microbiol. 2012, 29, 224–228. [Google Scholar] [CrossRef] [PubMed]
- Olesen, P.T.; Meyer, A.S.; Stahnke, L.H. Generation of flavour compounds in fermented sausages-the influence of curing ingredients, Staphylococcus starter culture and ripening time. Meat Sci. 2004, 66, 675–687. [Google Scholar] [CrossRef] [PubMed]
- Nierop, G.M.N.; De, B.J.A. Conversion of phenylalanine to benzaldehyde initiated by an aminotransferase in Lactobacillus plantarum. Appl. Environ. Microbiol. 1998, 64, 3009–3013. [Google Scholar] [CrossRef] [PubMed]
- Tjener, K.; Stahnke, L.H.; Andersen, L.; Martinussen, J. Growth and production of volatiles by Staphylococcus carnosus in dry sausages: Influence of inoculation level and ripening time. Meat Sci. 2004, 67, 447–452. [Google Scholar] [CrossRef] [PubMed]
- Liu, Y.P.; Fang, S.T.; Shi, Z.Z.; Wang, B.G.; Li, X.N.; Ji, N.Y. Phenylhydrazone and quinazoline derivatives from the cold-seep-derived fungus Penicillium oxalicum. Mar. Drugs 2020, 19, 9. [Google Scholar] [CrossRef] [PubMed]
- Flores, M.; Grimm, C.C.; Toldrá, F.; Spanier, A.M. Correlations of sensory and volatile compounds of Spanish “Serrano” dry-cured ham as a function of two processing times. J. Agric. Food Chem. 1997, 45, 2178–2186. [Google Scholar] [CrossRef]
- Gianelli, M.P.; Olivares, A.; Flores, M. Key aroma components of a dry-cured sausage with high fat content (Sobrassada). Food Sci. Technol. Int. 2011, 17, 63–71. [Google Scholar] [CrossRef] [PubMed]
- Mikami, N.; Toyotome, T.; Yamashiro, Y.; Sugo, K.; Yoshitomi, K.; Takaya, M.; Han, K.H.; Fukushima, M.; Shimada, K. Dry-aged beef manufactured in Japan: Microbiota identification and their effects on product characteristics. Food Res. Int. 2021, 140, 110020. [Google Scholar] [CrossRef] [PubMed]
- Timón, M.L.; Ventanas, J.; Carrapiso, A.I.; Jurado, A.; Garcia, C. Subcutaneous and intermuscular fat characterisation of dry-cured Iberian hams. Meat Sci. 2001, 58, 85–91. [Google Scholar] [CrossRef] [PubMed]
- Bulthuis, B.A.; Rommens, C.; Koningstein, G.M.; Stouthamer, A.H.; van Verseveld, H.W. Formation of fermentation products and extracellular protease during anaerobic growth of Bacillus licheniformis in chemostat and batch-culture. Antonie Leeuwenhoek 1991, 60, 355–371. [Google Scholar] [CrossRef]
- Ruiz, J.; Ventanas, J.; Cava, R. New device for direct extraction of volatiles in solid samples using SPME. J. Agr. Food Chem. 2001, 49, 5115–5121. [Google Scholar] [CrossRef] [PubMed]
- Nakano, M.M.; Dailly, Y.P.; Zuber, P.; Clark, D.P. Characterization of anaerobic fermentative growth of Bacillus subtilis: Identification of fermentation end products and genes required for growth. J. Bacteriol. 1997, 179, 6749–6755. [Google Scholar] [CrossRef] [PubMed]
- Tian, X.; Gao, P.; Xu, Y.; Xia, W.; Jiang, Q. Reduction of biogenic amines accumulation with improved flavor of low-salt fermented bream (Parabramis pekinensis) by two-stage fermentation with different temperature. Food Biosci. 2021, 44, 101438. [Google Scholar] [CrossRef]
- Chen, Q.; Kong, B.H.; Sun, Q.X.; Dong, F.J.; Liu, Q. Antioxidant potential of a unique LAB culture isolated from Harbin dry sausage: In vitro and in a sausage model. Meat Sci. 2015, 110, 180–188. [Google Scholar] [CrossRef] [PubMed]
- Yang, L.; Dai, B.; Ayed, C.; Liu, Y. Comparing the metabolic profiles of raw and cooked pufferfish (Takifugu flavidus) meat by NMR assessment. Food Chem. 2019, 290, 107–113. [Google Scholar] [CrossRef] [PubMed]
- Wang, J.; Hou, J.N.; Zhang, X.; Hu, J.R.; Yu, Z.H.; Zhu, Y.C. Improving the flavor of fermented sausage by increasing its bacterial quality via inoculation with Lactobacillus plantarum MSZ2 and Staphylococcus xylosus YCC3. Foods 2022, 11, 736. [Google Scholar] [CrossRef] [PubMed]
- Liu, X.; Piao, C.X.; Ju, M.; Zhang, J.; Zhang, W.A.; Cui, F.S.; Li, G.H.; Cui, M.X. Effects of low salt on lipid oxidation and hydrolysis, fatty acids composition and volatiles flavor compounds of dry-cured ham during ripening. LWT Food Sci. Technol. 2023, 187, 115347. [Google Scholar] [CrossRef]







| Strain Number | Strain Diameter (cm) | Hydrolysis Circle Diameter (cm) | Strain Diameter and Diameter of Hydrolysis Circle (cm) |
|---|---|---|---|
| D1 | 1.00 ± 0.10 c | 0.47 ± 0.12 e | 1.47 ± 0.06 c |
| D4 | 0.57 ± 0.21 d | 1.90 ± 0.20 a | 2.47 ± 0.25 b |
| D5 | 2.57 ± 0.21 a | 1.63 ± 0.22 bc | 4.20 ± 0.36 a |
| D7 | 2.40 ± 0.10 a | 1.57 ± 0.06 bc | 3.97 ± 0.12 a |
| D11 | 2.27 ± 0.31 a | 1.63 ± 0.23 bc | 3.90 ± 0.20 a |
| D12 | 2.30 ± 0.20 a | 1.77 ± 0.21 b | 4.07 ± 0.15 a |
| D13 | 2.47 ± 0.15 a | 1.63 ± 0.21 bc | 4.10 ± 0.20 a |
| D15 | 1.40 ± 0.10 b | 0.80 ± 0.17 d | 2.20 ± 0.26 b |
| D19 | 1.10 ± 0.17 bc | 1.23 ± 0.45 c | 2.33 ± 0.47 b |
| D20 | 1.07 ± 0.21 bc | 1.40 ± 0.40 bc | 2.47 ± 0.21 b |
| Strain Number | D1 | D4 | D5 | D7 | D11 | D12 | D13 | D15 | D19 | D20 |
|---|---|---|---|---|---|---|---|---|---|---|
| Enzyme Activity U/mg | 14.73 ± 3.43 f | 53.33 ± 0.76 a | 43.05 ± 3.43 b | 20.19 ± 3.43 de | 27.43 ± 1.52 c | 20.95 ± 3.43 de | 21.71 ± 1.14 d | 6.10 ± 3.05 g | 16.76 ± 2.29 ef | 39.24 ± 0.38 b |
| FAA (mg/100 mL) | Control * | D4 | D5 | D11 | D20 | F |
|---|---|---|---|---|---|---|
| Asp | 42.2 ± 1.7 f | 80.5 ± 0.4 d | 99.0 ± 1.7 c | 65.3 ± 0.1 e | 112.3 ± 1.4 b | 115.7 ± 1.2 a |
| Glu | 18.3 ± 0.9 a | 9.5 ± 0.3 bc | 5.3 ± 0.2 d | 4.4 ± 0.2 e | 10.0 ± 0.1 d | 8.7 ± 0.1 c |
| Ser | 18.1 ± 0.3 b | 14.8 ± 0.6 cd | 16.1 ± 0.1 c | 29.2 ± 1.9 a | 13.6 ± 0.7 d | 7.9 ± 0.2 e |
| Gly | 23.2 ± 0.2 c | 13.7 ± 0.1 e | 18.6 ± 0.6 d | 25.3 ± 2.0 b | 29.7 ± 0.4 a | 20.5 ± 0.5 d |
| His | 8.3 ± 0.6 b | 7.1 ± 0.5 b | 5.2 ± 0.1 c | 18.9 ± 0.6 a | 4.9 ± 0.6 c | 4.9 ± 0.3 c |
| Thr | 10.0 ± 1.2 a | 4.1 ± 0.0 c | 4.3 ± 0.2 bc | 5.2 ± 0.2 b | 2.8 ± 0.3 d | 2.9 ± 0.1 d |
| Ala | 65.3 ± 0.1 a | 3.2 ± 0.2 d | 2.7 ± 0.2 d | 9.3 ± 1.0 b | 5.7 ± 0.1 c | 5.7 ± 0.0 c |
| Pro | 6.1 ± 0.5 b | 4.6 ± 0.1 cd | 7.0 ± 0.2 b | 12.2 ± 1.7 a | 4.1 ± 0.3 d | 5.9 ± 0.1 bc |
| Tyr | 4.2 ± 0.1 e | 7.8 ± 0.2 d | 50.3 ± 0.2 a | 10.2 ± 0.1 c | 23.1 ± 0.1 b | 4.2 ± 0.1 e |
| Val | 10.6 ± 0.7 a | 3.5 ± 0.2 e | 4.8 ± 0.1 d | 5.7 ± 0.2 b c | 5.2 ± 0.2 cd | 6.0 ± 0.5 b |
| Ile | 5.7 ± 0.3 e | 96.7 ± 2.5 c | 166.5 ± 3.5 a | 100.0 ± 9.2 c | 132.5 ± 1.6 b | 52.5 ± 1.0 d |
| Leu | 8.0 ± 0.7 f | 41.9 ± 0.1 d | 67.2 ± 1.8 a | 44.7 ± 0.1 c | 53.8 ± 0.7 b | 25.1 ± 1.2 e |
| Phe | 6.0 ± 0.7 b | 4.7 ± 0.0 c | 6.3 ± 0.2 b | 8.4 ± 0.5 a | 4.7 ± 0.0 c | 4.8 ± 0.1 c |
| Total | 225.7 ± 0.7 f | 291.8 ± 2.2 d | 453.1 ± 8.8 a | 338.7 ± 2.1 c | 402.0 ± 0.3 b | 264.6 ± 5.3 e |
| Component | Control * | D4 | D5 | D11 | D20 | F |
|---|---|---|---|---|---|---|
| Aldehydes | ||||||
| Hexanal | N.D. | N.D. | 0.86 ± 0.02 b | N.D. | 1.35 ± 0.18 a | 0.36 ± 0.07 c |
| Heptanal | N.D. | N.D. | 0.99 ± 0.03 b | N.D. | 1.64 ± 0.72 a | N.D. |
| Octanal | 0.70 ± 0.03 b | 0.91 ± 0.02 ab | 1.05 ± 0.31 a | 0.86 ± 0.16 ab | 1.01 ± 0.13 ab | 1.14 ± 0.20 a |
| Nonanal | 1.82 ± 0.66 d | 6.96 ± 0.24 b | 4.24 ± 0.27 c | 1.79 ± 0.88 d | 11.63 ± 1.82 a | 11.74 ± 1.08 a |
| Decanal | N.D. | 0.28 ± 0.10 c | 1.54 ± 0.40 b | 9.20 ± 1.34 a | 1.65 ± 0.29 b | 2.04 ± 0.60 b |
| Undecanal | N.D. | N.D. | N.D. | N.D. | 0.49 ± 0.07 b | 0.68 ± 0.06 a |
| Dodecanal | N.D. | 0.96 ± 0.38 b | 1.23 ± 0.21 b | 0.25 ± 0.01 a | 1.09 ± 0.12 b | 1.33 ± 0.13 b |
| Hexadecanal | N.D. | N.D. | N.D. | 0.83 ± 0.05 a | 0.82 ± 0.03 a | N.D. |
| Alcohols | ||||||
| 1-Pentanol | N.D. | 0.17 ± 0.02 b | N.D. | 0.68 ± 0.49 a | N.D. | N.D. |
| 1-Heptanol | N.D. | N.D. | N.D. | 0.65 ± 0.21 a | 0.43 ± 0.03 b | 0.47 ± 0.11 b |
| 1-Octen-3-ol | N.D. | N.D. | 16.86 ± 1.82 | N.D. | N.D. | N.D. |
| Isooctanol | 1.51 ± 0.39 a | 1.29 ± 0.18 ab | 0.68 ± 0.16 cd | 0.54 ± 0.26 d | 1.04 ± 0.08 bc | 0.83 ± 0.03 cd |
| 1-Octanol | N.D. | N.D. | 0.98 ± 0.13 a | 1.01 ± 0.09 a | 0.59 ± 0.10 b | 0.95 ± 0.18 a |
| 1-Nonanol | N.D. | 1.60 ± 0.05 a | N.D. | 1.05 ± 0.01 b | 0.53 ± 0.15 c | 1.79 ± 0.42 a |
| 1-Dodecanol | 1.07 ± 0.40 b | N.D. | 1.42 ± 0.38 b | 2.02 ± 0.04 a | 0.46 ± 0.06 c | N.D. |
| 2-Tetradecanol | N.D. | N.D. | 0.98 ± 0.40 | N.D. | N.D. | N.D. |
| Ketones | ||||||
| 2,3-Butanedione | N.D. | N.D. | N.D. | N.D. | N.D. | 0.38 ± 0.01 |
| 4-Methyl-2-heptanone | 1.67 ± 0.12 a | 0.60 ± 0.36 b | 0.59 ± 0.06 b | 1.31 ± 0.31 a | 0.85 ± 0.30 b | 0.55 ± 0.24 b |
| Cyclohexanone | 3.72 ± 0.24 b | 2.45 ± 0.60 c | 2.29 ± 0.36 c | 6.20 ± 0.73 a | 3.34 ± 0.34 b | 2.89 ± 0.08 bc |
| 4,6-Dimethyl-2-heptanone | 0.94 ± 0.39 a | N.D. | N.D. | 0.18 ± 0.01 c | 0.78 ± 0.03 ab | 0.56 ± 0.15 b |
| 6-Methyl-5-heptene-2-one | N.D. | N.D. | N.D. | N.D. | 0.47 ± 0.02 a | 0.38 ± 0.09 b |
| Alkanes | ||||||
| 2,4,4-Trimethylhexane | N.D. | N.D. | N.D. | N.D. | 0.18 ± 0.03 a | 0.15 ± 0.07 a |
| 3,7-Dimethylnonane | N.D. | N.D. | N.D. | N.D. | 0.14 ± 0.01 b | 0.21 ± 0.02 a |
| 3,7-Dimethyldecane | 0.54 ± 0.05 b | 0.30 ± 0.05 c | N.D. | 1.31 ± 0.06 a | 0.34 ± 0.11 c | N.D. |
| 3,8-Dimethylundecane | 0.95 ± 0.06 a | 0.12 ± 0.01 c | 0.34 ± 0.07 bc | 1.21 ± 0.44 a | 0.51 ± 0.04 b | 0.25 ± 0.12 bc |
| 4,6-Dimethyldodecane | 0.23 ± 0.08 c | 0.51 ± 0.06 b | 0.92 ± 0.13 a | 0.05 ± 0.02 d | 0.47 ± 0.07 b | 0.63 ± 0.17 b |
| Tridecane | 0.57 ± 0.09 a | 0.58 ± 0.24 a | N.D. | N.D. | 0.46 ± 0.05 b | 0.43 ± 0.05 b |
| Tetradecane | 0.92 ± 0.16 b | 1.53 ± 0.35 b | 2.59 ± 1.04 a | N.D. | 2.28 ± 0.17 a | 2.44 ± 0.99 a |
| 2-Methyl-n-tridecane | 0.19 ± 0.03 b | N.D. | 0.42 ± 0.02 a | N.D. | N.D. | N.D. |
| 4-Methyltetradecane | 0.37 ± 0.12 c | N.D. | 0.72 ± 0.02 b | 0.86 ± 0.02 a | N.D. | N.D. |
| Pentadecane | 0.88 ± 0.06 a | N.D. | 0.50 ± 0.04 c | 0.91 ± 0.01 a | N.D. | 0.71 ± 0.14 b |
| 3-Methylpentadecane | N.D. | 0.16 ± 0.04 b | 0.60 ± 0.09 a | N.D. | N.D. | N.D. |
| Hexadecane | 1.27 ± 0.40 c | 1.53 ± 0.19 c | 2.31 ± 0.17 b | 6.06 ± 0.80 a | 1.49 ± 0.15 c | 1.17 ± 0.09 c |
| Heptadecane | N.D. | N.D. | 1.36 ± 0.06 | N.D. | N.D. | N.D. |
| Octadecane | 0.83 ± 0.06 a | 0.13 ± 0.02 c | 0.56 ± 0.05 b | 0.72 ± 0.21 ab | N.D. | N.D. |
| Nonadecane | N.D. | N.D. | 0.37 ± 0.05 a | N.D. | N.D. | 0.30 ± 0.08 b |
| Eicosane | 0.33 ± 0.05 b | 1.56 ± 0.03 a | 0.78 ± 0.30 b | 1.54 ± 0.35 a | N.D. | 1.32 ± 0.48 ab |
| Heneicosane | N.D. | N.D. | 0.30 ± 0.01 | N.D. | N.D. | N.D. |
| Others | ||||||
| Phenylethyl Alcohol | N.D. | N.D. | N.D. | 4.72 ± 1.05 a | N.D. | 0.32 ± 0.04 b |
| Total | 18.49 ± 1.60 c | 21.62 ± 0.72 c | 45.47 ± 0.63 a | 43.94 ± 0.87 a | 34.01 ± 2.51 b | 33.80 ± 3.06 b |
Disclaimer/Publisher’s Note: The statements, opinions and data contained in all publications are solely those of the individual author(s) and contributor(s) and not of MDPI and/or the editor(s). MDPI and/or the editor(s) disclaim responsibility for any injury to people or property resulting from any ideas, methods, instructions or products referred to in the content. |
© 2024 by the authors. Licensee MDPI, Basel, Switzerland. This article is an open access article distributed under the terms and conditions of the Creative Commons Attribution (CC BY) license (https://creativecommons.org/licenses/by/4.0/).
Share and Cite
Liu, Y.; Sun, D.; Peng, A.; Li, T.; Li, H.; Mu, B.; Wang, J.; Cui, M.; Piao, C.; Li, G. Hydrolysis of Beef Sarcoplasmic Protein by Dry-Aged Beef-Isolated Penicillium oxalicum and Its Associated Metabolic Pathways. Foods 2024, 13, 1038. https://doi.org/10.3390/foods13071038
Liu Y, Sun D, Peng A, Li T, Li H, Mu B, Wang J, Cui M, Piao C, Li G. Hydrolysis of Beef Sarcoplasmic Protein by Dry-Aged Beef-Isolated Penicillium oxalicum and Its Associated Metabolic Pathways. Foods. 2024; 13(7):1038. https://doi.org/10.3390/foods13071038
Chicago/Turabian StyleLiu, Yujia, Depeng Sun, Anqi Peng, Tingyu Li, Hongmei Li, Baide Mu, Juan Wang, Mingxun Cui, Chunxiang Piao, and Guanhao Li. 2024. "Hydrolysis of Beef Sarcoplasmic Protein by Dry-Aged Beef-Isolated Penicillium oxalicum and Its Associated Metabolic Pathways" Foods 13, no. 7: 1038. https://doi.org/10.3390/foods13071038
APA StyleLiu, Y., Sun, D., Peng, A., Li, T., Li, H., Mu, B., Wang, J., Cui, M., Piao, C., & Li, G. (2024). Hydrolysis of Beef Sarcoplasmic Protein by Dry-Aged Beef-Isolated Penicillium oxalicum and Its Associated Metabolic Pathways. Foods, 13(7), 1038. https://doi.org/10.3390/foods13071038

