Preparation of Antioxidant Peptides from Chicken Bone Proteins and the Influence of Their Compositional Characteristics on Antioxidant Activity
Abstract
1. Introduction
2. Materials and Methods
2.1. Materials
2.2. Preparation of Chicken Bone Powder
2.3. Preparation of Chicken Bone Hydrolysate and Determination of the Appropriate Proteases
2.3.1. Preparation of Chicken Bone Hydrolysate (CBH)
2.3.2. Determination of the Degree of Hydrolysis (DH)
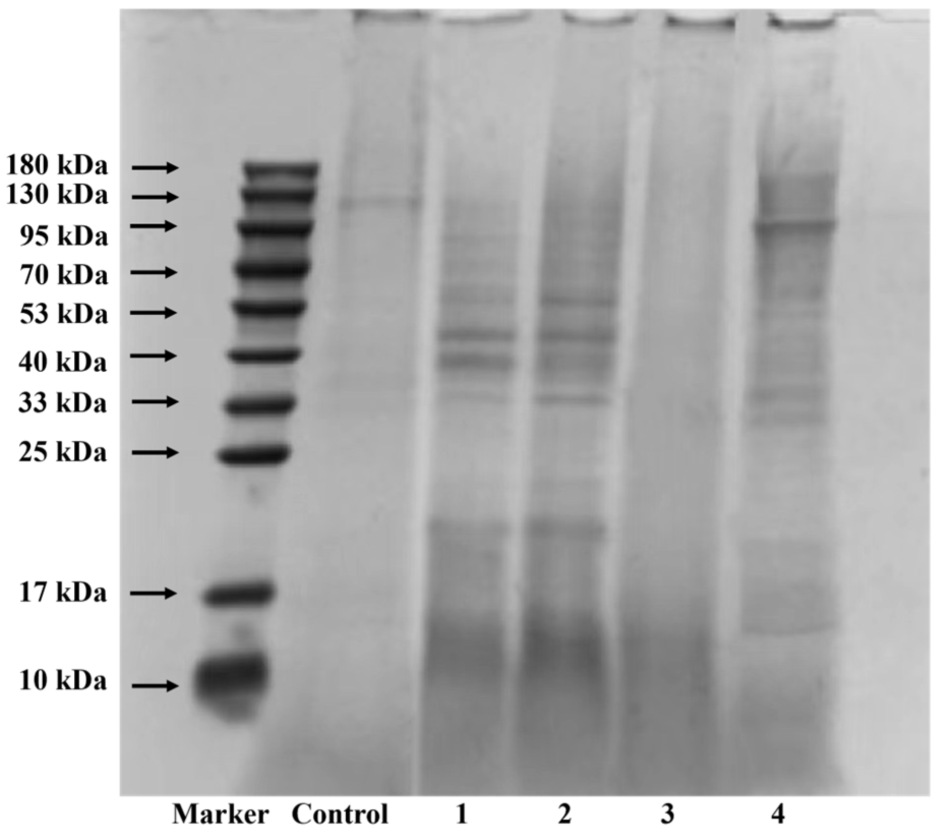
2.3.3. SDS-PAGE
2.4. Single-Factor Experiment
2.5. Response Surface Methodology Design
2.6. Antioxidant Activity Determination
2.7. Preparation and Separation of Chicken Bone Hydrolysate Under Optimal Enzymatic Hydrolysis Conditions
2.8. Determination of Amino Acid Composition and Molecular Weight Distribution of CBH-2
2.9. Statistical Analysis
3. Results and Discussion
3.1. Pretreatment of Chicken Bone and Determination of the Appropriate Proteases
3.2. Single-Factor Experiment
3.3. Optimization of the Hydrolysis Parameters Using RSM
3.4. Antioxidant Properties of Chicken Bone Hydrolysate Under Optimal Enzymatic Conditions
3.5. Characterization of CBH-2
3.5.1. Amino Acid Composition of CBH-2
3.5.2. Molecular Weight Distribution and Antioxidant Activity of CBH-2 with Different Molecular Weights
4. Conclusions
Supplementary Materials
Author Contributions
Funding
Institutional Review Board Statement
Informed Consent Statement
Data Availability Statement
Acknowledgments
Conflicts of Interest
References
- Wang, L.Y.; Zhu, B.H.; Deng, Y.T.; Li, T.T.; Tian, Q.Y.; Yuan, Z.G.; Ma, L.; Cheng, C.; Guo, Q.Y.; Qiu, L. Biocatalytic and Antioxidant Nanostructures for ROS Scavenging and Biotherapeutics. Adv. Funct. Mater. 2021, 31, 2101804. [Google Scholar] [CrossRef]
- Xiang, Z.D.; Xue, Q.; Gao, P.; Yu, H.T.; Wu, M.Z.; Zhao, Z.Z.; Li, Y.A.; Wang, S.P.; Zhang, J.Y.; Dai, L. Antioxidant peptides from edible aquatic animals: Preparation method, mechanism of action, and structure-activity relationships. Food Chem. 2023, 404, 134701. [Google Scholar] [CrossRef] [PubMed]
- Fan, Y.; Lu, J.; Yu, Z.L.; Qu, X.; Guan, S. 1,3-Dichloro-2-propanol-Induced Renal Tubular Cell Necroptosis through the ROS/RIPK3/MLKL Pathway. J. Agric. Food Chem. 2022, 70, 10847–10857. [Google Scholar] [CrossRef] [PubMed]
- Ren, L.K.; Fan, J.; Yang, Y.; Liu, X.F.; Wang, B.; Bian, X.; Wang, D.F.; Xu, Y.; Liu, B.X.; Zhu, P.Y.; et al. Identification, in silico selection, and mechanism study of novel antioxidant peptides derived from the rice bran protein hydrolysates. Food Chem. 2022, 408, 135230. [Google Scholar] [CrossRef]
- Yang, J.; Huang, J.C.; Dong, X.L.; Zhang, Y.L.; Zhou, X.H.; Huang, M.; Zhou, G.H. Purification and identification of antioxidant peptides from duck plasma proteins. Food Chem. 2020, 319, 126534. [Google Scholar] [CrossRef]
- Shi, H.; Hu, X.Q.; Zheng, H.; Li, C.L.; Sun, L.L.; Guo, Z.Y.; Huang, W.J.; Yu, R.M.; Song, L.Y.; Zhu, J.H. Two novel antioxidant peptides derived from Arca subcrenata against oxidative stress and extend lifespan in Caenorhabditis elegans. J. Funct. Foods 2021, 81, 104462. [Google Scholar] [CrossRef]
- Lin, H.B.; Zhao, J.H.; Xie, Y.Q.; Tang, J.; Wang, Q.; Zhao, J.; Xu, M.; Liu, P. Identification and molecular mechanisms of novel antioxidant peptides from fermented broad bean paste: A combined in silico and in vitro study. Food Chem. 2024, 450, 139297. [Google Scholar] [CrossRef]
- Hsu, K.C. Purification of antioxidative peptides prepared from enzymatic hydrolysates of tuna dark muscle by-product. Food Chem. 2010, 122, 42–48. [Google Scholar] [CrossRef]
- Song, Y.H.; Fu, Y.S.; Huang, S.Y.; Liao, L.X.; Wu, Q.; Wang, Y.L.; Ge, F.C.; Fang, B.S. Identification and antioxidant activity of bovine bone collagen-derived novel peptides prepared by recombinant collagenase from Bacillus cereus. Food Chem. 2021, 349, 129143. [Google Scholar] [CrossRef]
- Shazly, A.B.; He, Z.; El-Aziz, M.A.; Zeng, M.; Zhang, S.; Qin, F.; Chen, J. Fractionation and identification of novel antioxidant peptides from buffalo and bovine casein hydrolysates. Food Chem. 2017, 232, 753–762. [Google Scholar] [CrossRef]
- Zheng, J.X.; Bu, T.T.; Liu, L.; He, G.Q.; Li, S.S.; Wu, J.P. Naturally occurring low molecular peptides identified in egg white show antioxidant activity. Food Res. Int. 2020, 138, 109766. [Google Scholar] [CrossRef] [PubMed]
- Wang, C.F.; Cui, C.X.; Li, N.; Sun, X.F.; Wen, L.D.; Gao, E.G.; Wang, F.Y. Antioxidant activity and protective effect of wheat germ peptides in an in vitro celiac disease model via Keap1/Nrf2 signaling pathway. Food Res. Int. 2022, 161, 111864. [Google Scholar] [CrossRef] [PubMed]
- Sarmadi, B.H.; Ismail, A. Antioxidative peptides from food proteins: A review. Peptides 2010, 31, 1949–1956. [Google Scholar] [CrossRef]
- Ibarz-Blanch, N.; Alcaide-Hidalgo, J.M.; Cortés-Espinar, A.J.; Albi-Puig, J.; Suárez, M.; Mulero, M.; Morales, D.; Bravo, F.I. Chicken slaughterhouse by-products: A source of protein hydrolysates to manage non-communicable diseases. Trends Food Sci. Technol. 2023, 139, 104125. [Google Scholar] [CrossRef]
- Santana, J.C.C.; Gardim, R.B.; Almeida, P.F.; Borini, G.B.; Quispe, A.P.B.; Llanos, S.A.V.; Heredia, J.A.; Zamuner, S.; Gamarra, F.M.C.; Farias, T.M.B.; et al. Valorization of Chicken Feet By-Product of the Poultry Industry: High Qualities of Gelatin and Biofilm from Extraction of Collagen. Polymers 2020, 12, 529. [Google Scholar] [CrossRef]
- Cao, C.W.; Xiao, Z.C.; Tong, H.Q.; Liu, Y.T.; Wu, Y.L.; Ge, C.R. Oral Intake of Chicken Bone Collagen Peptides Anti-Skin Aging in Mice by Regulating Collagen Degradation and Synthesis, Inhibiting Inflammation and Activating Lysosomes. Nutrients 2022, 14, 1622. [Google Scholar] [CrossRef]
- Zheng, Z.J.; Si, D.Y.; Ahmad, B.; Li, Z.X.; Zhang, R.J. A novel antioxidative peptide derived from chicken blood corpuscle hydrolysate. Food Res. Int. 2018, 106, 410–419. [Google Scholar] [CrossRef]
- Cao, C.W.; Xiao, Z.C.; Ge, C.R.; Wu, Y.L. Animal by-products collagen and derived peptide, as important components of innovative sustainable food systems—A comprehensive review. Crit. Rev. Food Sci. Nutr. 2021, 62, 8703–8727. [Google Scholar] [CrossRef]
- Suarez, M.L.; Fan, H.B.; Zapata, E.J.; Wu, J.P. Optimization of Enzymatic Hydrolysis for Preparing Cassava Leaf Hydrolysate with Antioxidant Activity. Food Bioprocess Technol. 2021, 14, 2181–2194. [Google Scholar] [CrossRef]
- Mattohti, W.; Rozi, P.; Ababakri, G.; Esmayil, Z.; Zhou, C.; Cao, B.; Yadikar, N.; Yang, X. Isolation and structural characterization of antioxidant peptides from horse bone marrow protein hydrolysates. J. Food Meas. Charact. 2022, 17, 732–750. [Google Scholar] [CrossRef]
- Zhang, Y.; Gui, M.; Fan, W.; Gao, L.; Bu, X. Response surface methodology optimization on extraction and antioxidant activity evaluation of antioxidant peptide from enzymatic hydrolysates of sturgeon bone. Lwt-Food Sci. Technol. 2024, 198, 116042. [Google Scholar] [CrossRef]
- Lopes Ribeiro, M.; da Silva Kefner, A.C.; de Oliveira Carvalho, A.L.; Magalhães, A.V.; Zingali, R.B.; Cicilini, M.A.; Costa Santos, A.M. Antioxidant Capacity and Angiotensin-I Converting Enzyme (ACE)-Inhibitory Activities of Peptide Fractions Obtained from Triggerfish (Balistes capriscus) Co-products. Food Bioprocess Tech. 2024, 24, 11947. [Google Scholar] [CrossRef]
- Daud, N.A.; Babji, A.S.; Yusop, S.M. Effects of enzymatic hydrolysis on the antioxidative and antihypertensive activities from red tilapia fish protein. J. Nutr. Food Sci. 2015, 5, 387. [Google Scholar]
- Shazly, A.B.; Mu, H.; Liu, Z.; El-Aziz, M.A.; Zeng, M.; Qin, F.; Zhang, S.; He, Z.; Chen, J. Release of antioxidant peptides from buffalo and bovine caseins: Influence of proteases on antioxidant capacities. Food Chem. 2018, 274, 261–267. [Google Scholar] [CrossRef]
- Tacias-Pascacio, V.G.; Morellon-Sterling, R.; Siar, E.-H.; Tavano, O.; Berenguer-Murcia, Á.; Fernandez-Lafuente, R. Use of Alcalase in the production of bioactive peptides: A review. Int.J. Biol. Macromol. 2020, 165, 2143–2196. [Google Scholar] [CrossRef]
- Fruton, J.S. Active site of pepsin. Accounts Chem. Res. 1974, 7, 241–246. [Google Scholar] [CrossRef]
- Wu, Q.; Zhong, C.Q.; Zeng, G.R.; Zhang, X.; Xiang, L.P.; Wan, C.; Yu, Y.G. Identification and characterization of a novel tetrapeptide from enzymatic hydrolysates of Baijiu byproduct. Food Sci. Hum. Wellness 2022, 11, 1641–1649. [Google Scholar] [CrossRef]
- Chang, S.K.; Ismail, A.; Yanagita, T.; Mohd Esa, N.; Baharuldin, M.T.H. Antioxidant peptides purified and identified from the oil palm (Elaeis guineensis Jacq.) kernel protein hydrolysate. J. Funct. Foods 2015, 11, 1641–1649. [Google Scholar] [CrossRef]
- Hanrahan, G.; Lu, K. Application of factorial and response surface methodology in modern experimental design and optimization. Crit. Rev. Anal. Chem. 2006, 36, 141–151. [Google Scholar] [CrossRef]
- Yang, J.; Huang, J.C.; Zhu, Z.S.; Huang, M. Investigation of optimal conditions for production of antioxidant peptides from duck blood plasma: Response surface methodology. Poult. Sci. 2020, 99, 7159–7168. [Google Scholar] [CrossRef]
- Rawdkuen, S.; Sai-Ut, S.; Benjakul, S. Optimizing the Tyrosinase Inhibitory and Antioxidant Activity of Mango Seed Kernels with a Response Surface Methodology. Food Anal. Method. 2016, 9, 3032–3043. [Google Scholar] [CrossRef]
- Hu, M.M.; Peng, W.; Liu, Y.J.; Wu, N.; Zhao, C.B.; Xie, D.S.; Yan, D.; Zhang, X.F.; Tao, X.; Wu, C.J. Optimum Extraction of Polysaccharide from Areca catechu Using Response Surface Methodology and its Antioxidant Activity. J. Food Process. Prese. 2016, 41, e12798. [Google Scholar] [CrossRef]
- Tai, A.; Ohno, A.; Ito, H. Isolation and Characterization of the 2,2′-Azinobis(3-ethylbenzothiazoline-6-sulfonic acid) (ABTS) Radical Cation-Scavenging Reaction Products of Arbutin. J. Agric. Food Chem. 2016, 64, 7285–7290. [Google Scholar] [CrossRef] [PubMed]
- Wang, J.N.; Yang, G.; Li, H.F.; Zhang, T.; Sun, D.; Peng Lu, W.P.; Zhang, W.J.; Wang, Y.H.; Ma, M.; Cao, X.F.; et al. Preparation and identification of novel antioxidant peptides from camel bone protein. Food Chem. 2023, 424, 136253. [Google Scholar] [CrossRef]
- Zhu, L.; Li, X.; Song, X.; Li, Q.; Zheng, F.; Li, H.; Sun, J.; Huang, M.; Sun, B. Characterization of prolamin recycled from the byproduct of the Baijiu brewing industry (Jiuzao) by SDS-PAGE, multispectral analysis, and morphological analysis. Food Biosci. 2022, 49, 101854. [Google Scholar] [CrossRef]
- Zhang, J.H.; Qi, X.; Shen, M.Y.; Yu, Q.; Chen, Y.; Xie, J.H. Antioxidant stability and in vitro digestion of β-carotene-loaded oil-in-water emulsions stabilized by whey protein isolate-Mesona chinensis polysaccharide conjugates. Food Res. Int. 2023, 174, 113584. [Google Scholar] [CrossRef]
- Moon, S.H.; Cho, S.J. Evaluation of the antioxidant activity of Tetraselmis chuii after in vitro gastrointestinal digestion and investigation of its antioxidant peptides. Algal Res. 2023, 76, 103328. [Google Scholar] [CrossRef]
- Zhang, Q.Z.; Tong, X.H.; Sui, X.N.; Wang, Z.J.; Qi, B.K.; Li, Y.; Jiang, L.Z. Antioxidant activity and protective effects of Alcalase-hydrolyzed soybean hydrolysate in human intestinal epithelial Caco-2 cells. Food Res. Int. 2018, 111, 256–264. [Google Scholar] [CrossRef]
- Agrawal, H.; Joshi, R.; Gupta, M. Isolation, purification and characterization of antioxidative peptide of pearl millet (Pennisetum glaucum) protein hydrolysate. Food Chem. 2016, 204, 365–372. [Google Scholar] [CrossRef]
- Chen, B.B.; Xia, Z.; Ye, H.D.; Wang, Q.E.; Huang, W.; Zhang, L.Y.; Chen, W.H.; Liang, D.; Liang, X.T.; Yin, Y.Z.; et al. Response surface optimization of selenium-enriched Moringa oleifera seed peptides with antioxidant, ACEI and XOI activities. J. Food Meas. Charact. 2022, 17, 1289–1299. [Google Scholar] [CrossRef]
- Cao, M.; Li, W.; Li, H.; Zhang, J.; Liu, Y.; Liu, X. Antioxidant and ACE inhibitory activities of peptides prepared from adzuki bean by semi-solid enzymatic hydrolysis. Food Biosci. 2022, 47, 101620. [Google Scholar] [CrossRef]
- Zeng, Y.; Cheng, H.Y.; Shen, J.P.; Lao, L.H.; Zheng, R.Q.; Miao, J.Y. Response surface optimization of active peptides of Rana spinosa (Quasipaa spinosa) meat process and evaluation of immunomodulatory activity. J. Food Meas. Charact. 2024, 18, 2639–2650. [Google Scholar] [CrossRef]
- Liu, Q.; Xun, G.H.; Feng, Y. The state-of-the-art strategies of protein engineering for enzyme stabilization. Biotechnol. Adv. 2019, 37, 530–537. [Google Scholar] [CrossRef] [PubMed]
- Mohammadi, R.; Mohammadifar, M.A.; Mortazavian, A.M.; Rouhi, M.; Ghasemi, J.B.; Delshadian, Z. Extraction optimization of pepsin-soluble collagen from eggshell membrane by response surface methodology (RSM). Food Chem. 2016, 190, 186–193. [Google Scholar] [CrossRef]
- Tan, Y.L.; Wang, Y.L.; Wan, Y.; Liang, Y.; Liu, Q.C.; Wei, M.Y.; Hou, T. Preparation, Structural Identification, and Screening of Egg-Derived Peptides with Facilitating Alcohol Metabolism Activity. Foods 2024, 13, 745. [Google Scholar] [CrossRef]
- Tyagi, A.; Chelliah, R.; Banan-Mwine Daliri, E.; Sultan, G.; Madar, I.H.; Kim, N.; Shabbir, U.; Oh, D.H. Antioxidant activities of novel peptides from Limosilactobacillus reuteri fermented brown rice: A combined in vitro and in silico study. Food Chem. 2022, 404, 134747. [Google Scholar] [CrossRef]
- Li, H.Y.; Wu, J.P.; Wan, J.; Zhou, Y.; Zhu, Q.J. Extraction and identification of bioactive peptides from Panxian dry-cured ham with multifunctional activities. Lwt-food Sci. Technol. 2022, 160, 113326. [Google Scholar] [CrossRef]
- Ma, Y.Y.; Zhang, D.D.; Liu, M.Q.; Li, Y.R.; Lv, R.; Li, X.; Wang, Q.K.; Ren, D.D.; Wu, L.; Zhou, H. Identification of Antioxidant Peptides Derived from Tilapia (Oreochromis niloticus) Skin and Their Mechanism of Action by Molecular Docking. Foods 2022, 11, 2576. [Google Scholar] [CrossRef]
- Fan, L.; Mao, X.; Wu, Q. Purification, Identification and Molecular Docking of Novel Antioxidant Peptides from Walnut (Juglans regia L.) Protein Hydrolysates. Molecules. 2022, 27, 8423. [Google Scholar] [CrossRef]
- Wen, C.T.; Zhang, J.X.; Zhang, H.H.; Duan, Y.Q.; Ma, H.L. Study on the structure–activity relationship of watermelon seed antioxidant peptides by using molecular simulations. Food Chem. 2021, 364, 130432. [Google Scholar] [CrossRef]
- Lee, C.H.; Hamdan, N.; Nyakuma, B.B.; Wong, S.L.; Wong, K.Y.; Tan, H.; Jamaluddin, H.; Lee, T.H. Purification, identification and molecular docking studies of antioxidant and anti-inflammatory peptides from Edible Bird’s Nest. Food Chem. 2024, 454, 139797. [Google Scholar] [CrossRef] [PubMed]
- Jiang, Y.S.; Yin, Z.T.; Zhao, J.W.; Sun, J.Y.; Zhao, D.R.; Zeng, X.-A.; Li, H.H.; Huang, M.Q.; Wu, J.H. Antioxidant mechanism exploration of the tripeptide Val-Asn-Pro generated from Jiuzao and its potential application in baijiu. Food Chem. Toxicol. 2021, 155, 112402. [Google Scholar] [CrossRef] [PubMed]
- Qian, Z.J.; Jung, W.K.; Kim, S.K. Free radical scavenging activity of a novel antioxidative peptide purified from hydrolysate of bullfrog skin, Rana catesbeiana Shaw. Bioresour. Technol. 2008, 99, 1690–1698. [Google Scholar] [CrossRef]
- Li, Y.X.; Kim, S.K. Utilization of seaweed derived ingredients as potential antioxidants and functional ingredients in the food industry: An overview. Food Sci. Biotechnol. 2011, 20, 1461–1466. [Google Scholar] [CrossRef]








| Composition (g/100 g Dry Biomass) | Raw Chicken Bone | Cooked Chicken Bone |
|---|---|---|
| Ash | 40.71 ± 0.20 b | 47.30 ± 0.10 a |
| Fat | 15.73 ± 0.10 a | 14.40 ± 0.10 b |
| Total protein | 43.56 ± 0.20 a | 38.30 ± 0.20 b |
| Collagen | 10.78 ± 0.10 a | 8.97 ± 0.10 b |
| Group | Code Level of Variables | Response Value (Y) | ||
|---|---|---|---|---|
| Enzyme-Substrate Ratio (U/g) | Temperature (°C) | Hydrolysis Time (min) | ABTS Radical Scavenging Activity (%) | |
| 1 | 1 | 0 | −1 | 68.01 |
| 2 | 0 | 1 | 1 | 53.11 |
| 3 | 1 | 0 | −1 | 63.01 |
| 4 | 0 | −1 | 1 | 72.91 |
| 5 | 0 | 0 | 0 | 79.33 |
| 6 | 0 | 1 | 1 | 50.11 |
| 7 | 1 | −1 | 0 | 67.40 |
| 8 | 0 | 0 | 0 | 79.01 |
| 9 | −1 | 0 | 1 | 76.10 |
| 10 | 1 | 0 | 1 | 75.07 |
| 11 | 0 | −1 | −1 | 62.25 |
| 12 | 1 | 1 | 0 | 55.21 |
| 13 | −1 | 1 | 0 | 55.11 |
| 14 | 0 | 0 | 0 | 78.01 |
| 15 | −1 | −1 | 0 | 69.33 |
| 16 | 0 | 0 | 0 | 77.11 |
| 17 | 0 | 0 | 0 | 80.01 |
| Source | Sum of Squares | df | Mean Square | F-Value | p-Value | Significance |
|---|---|---|---|---|---|---|
| Model | 1630.03 | 9 | 181.11 | 76.86 | <0.0001 | significant |
| X1 | 7.72 | 1 | 7.72 | 3.28 | 0.1132 | NS |
| X2 | 425.60 | 1 | 425.60 | 180.61 | <0.0001 | *** |
| X3 | 142.82 | 1 | 142.82 | 60.61 | 0.0001 | *** |
| X1X2 | 1.03 | 1 | 1.03 | 0.4385 | 0.5290 | |
| X1X3 | 3.92 | 1 | 3.92 | 1.66 | 0.2381 | |
| X2X3 | 14.66 | 1 | 14.66 | 6.22 | 0.0413 | * |
| X12 | 37.61 | 1 | 37.61 | 15.96 | 0.0052 | ** |
| X22 | 818.31 | 1 | 818.31 | 347.27 | <0.0001 | *** |
| X32 | 111.97 | 1 | 111.97 | 47.52 | 0.0002 | *** |
| Residual | 16.49 | 7 | 2.36 | |||
| Lack of fit | 11.31 | 3 | 3.77 | 2.91 | 0.1647 | NS |
| Pure error | 5.19 | 4 | 1.30 | |||
| Cor total | 1646.53 | 16 | ||||
| R2 | 0.9900 | |||||
| R2Adj | 0.9771 | |||||
| CV/% | 2.25 |
Disclaimer/Publisher’s Note: The statements, opinions and data contained in all publications are solely those of the individual author(s) and contributor(s) and not of MDPI and/or the editor(s). MDPI and/or the editor(s) disclaim responsibility for any injury to people or property resulting from any ideas, methods, instructions or products referred to in the content. |
© 2024 by the authors. Licensee MDPI, Basel, Switzerland. This article is an open access article distributed under the terms and conditions of the Creative Commons Attribution (CC BY) license (https://creativecommons.org/licenses/by/4.0/).
Share and Cite
Jin, Y.; Zhou, P.; Zhu, C.; Liu, Y.; Zhao, Z. Preparation of Antioxidant Peptides from Chicken Bone Proteins and the Influence of Their Compositional Characteristics on Antioxidant Activity. Foods 2024, 13, 4171. https://doi.org/10.3390/foods13244171
Jin Y, Zhou P, Zhu C, Liu Y, Zhao Z. Preparation of Antioxidant Peptides from Chicken Bone Proteins and the Influence of Their Compositional Characteristics on Antioxidant Activity. Foods. 2024; 13(24):4171. https://doi.org/10.3390/foods13244171
Chicago/Turabian StyleJin, Yitong, Peng Zhou, Chengzhi Zhu, Yanan Liu, and Zhijun Zhao. 2024. "Preparation of Antioxidant Peptides from Chicken Bone Proteins and the Influence of Their Compositional Characteristics on Antioxidant Activity" Foods 13, no. 24: 4171. https://doi.org/10.3390/foods13244171
APA StyleJin, Y., Zhou, P., Zhu, C., Liu, Y., & Zhao, Z. (2024). Preparation of Antioxidant Peptides from Chicken Bone Proteins and the Influence of Their Compositional Characteristics on Antioxidant Activity. Foods, 13(24), 4171. https://doi.org/10.3390/foods13244171

