Utilizing the pH-Shift Method for Isolation and Nutritional Characterization of Mantis Shrimp (Oratosquilla nepa) Protein: A Strategy for Developing Value-Added Ingredients
Abstract
1. Introduction
2. Materials and Methods
2.1. Chemicals and Raw Materials
2.2. pH-Dependent Properties
2.3. pH-Shift Protein Isolation
2.4. Mass Yield
2.5. Color
2.6. Determination of Trichloroacetic Acid (TCA)-Soluble Peptides
2.7. Determination of Thiobarbituric Acid Reactive Substances (TBARS)
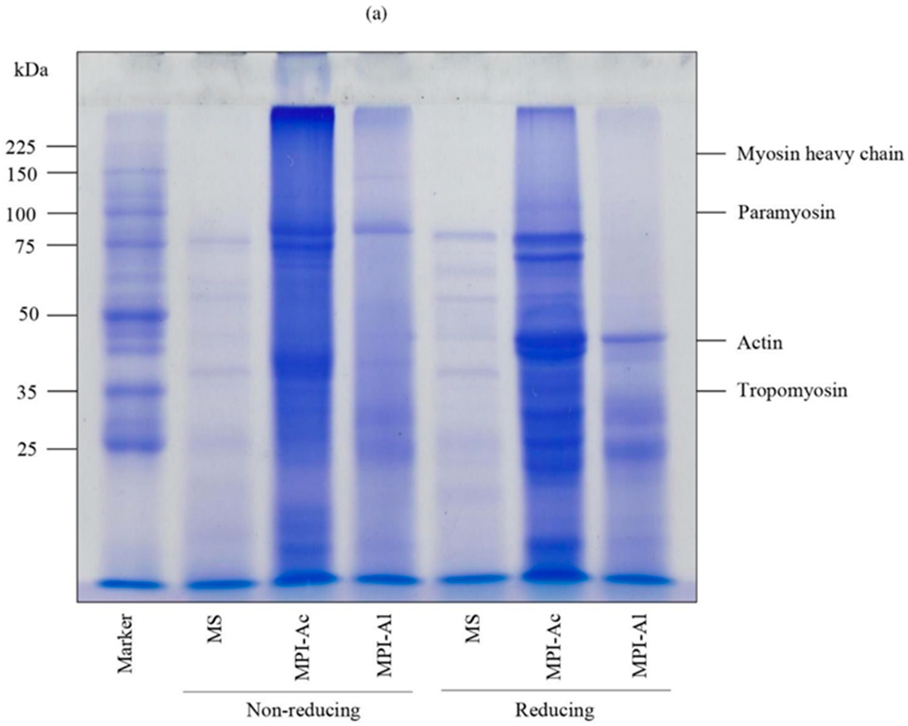
2.8. Sodium Dodecyl Sulfate-Polyacrylamide Gel Electrophoresis (SDS-PAGE)
2.9. Fourier Transform Infrared (FTIR) Spectra
2.10. Amino Acid Composition
2.11. Statistical Analysis
3. Results and Discussion
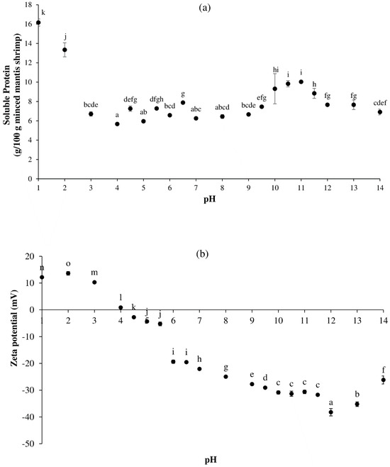
3.1. Effect of pH on Protein Solubility, Zeta Potential, Turbidity, and Discoloration
3.2. Characteristics of Mantis Shrimp Protein Isolates (MPI) Prepared at Different Solubilization pH
3.2.1. Mass Yield and Color
3.2.2. TCA-Soluble Peptide
3.2.3. TBARS
3.3. Molecular Properties and Amino Acid Composition of MPIs
3.3.1. SDS-PAGE
3.3.2. FTIR Spectroscopy
3.3.3. Amino Acid Composition
4. Conclusions
Author Contributions
Funding
Institutional Review Board Statement
Informed Consent Statement
Data Availability Statement
Acknowledgments
Conflicts of Interest
References
- Chaijan, M.; Panpipat, W. Basic composition, antioxidant activity and nanoemulsion behavior of oil from mantis shrimp (Oratosquilla nepa). Food Biosci. 2019, 31, 100448. [Google Scholar] [CrossRef]
- Hiransuchalert, R.; Oonwiset, N.; Imarom, Y.; Chindudsadeegul, P.; Laongmanee, P.; Arnupapboon, S. Extraction and characterization of pepsin-soluble collagen from different mantis shrimp species. Fish. Aquat. Sci. 2021, 24, 406–414. [Google Scholar] [CrossRef]
- Temdee, W.; Singh, A.; Benjakul, S. Rapid quality deterioration of harpiosquillid mantis shrimp (Harpiosquilla raphidea) during iced storage. J. Food Sci. Technol. 2022, 59, 1812–1822. [Google Scholar] [CrossRef] [PubMed]
- Du, L.; Chai, C.; Guo, M.; Lu, X. A model for discrimination freshness of shrimp. Sens. Bio-Sens. Res. 2015, 6, 28–32. [Google Scholar] [CrossRef][Green Version]
- Hou, J.; Aydemir, B.E.; Dumanli, A.G. Understanding the structural diversity of chitins as a versatile biomaterial. Philos. Trans. R. Soc. A 2021, 379, 20200331. [Google Scholar] [CrossRef] [PubMed]
- Yarnpakdee, S.; Kaewprachu, P.; Jaisan, C.; Senphan, T.; Nagarajan, M.; Wangtueai, S. Extraction and physico–chemical characterization of chitosan from mantis shrimp (Oratosquilla nepa) shell and the development of bio-composite film with agarose. Polymers 2022, 14, 3983. [Google Scholar] [CrossRef] [PubMed]
- Somjid, P.; Chaijan, M.; Rawdkuen, S.; Grossmann, L.; Panpipat, W. The effect of multistage refinement on the bio-physico-chemical properties and gel-forming ability of fish protein isolates from mackerel (Rastrelliger kanagurta). Foods 2023, 12, 3894. [Google Scholar] [CrossRef] [PubMed]
- Abdollahi, M.; Undeland, I. Structural, functional, and sensorial properties of protein isolate produced from salmon, cod, and herring by-products. Food Bioprocess Technol. 2018, 11, 1733–1749. [Google Scholar] [CrossRef]
- Panpipat, W.; Chaijan, M. Biochemical and physicochemical characteristics of protein isolates from bigeye snapper (Priacanthus tayenus) head by-product using pH shift method. Turk. J. Fish. Aquat. Sci. 2016, 16, 041–050. [Google Scholar]
- Marmon, S.K.; Liljelind, P.; Undeland, I. Removal of lipids, dioxins, and polychlorinated biphenyls during production of protein isolates from Baltic herring (Clupea harengus) using pH-shift processes. J. Agric. Food Chem. 2009, 57, 7819–7825. [Google Scholar] [CrossRef]
- Chaijan, M.; Panpipat, W. Feasibility of a pH driven method for maximizing protein recovery of over-salted albumen. Food Biosci. 2018, 24, 89–94. [Google Scholar] [CrossRef]
- DeWitt, C.A.M.; Kleinholz, C.; Vann, D.; Bilby, C.; Thomas, S.; Schrader, K. Evaluation of acid and alkaline processing to remove muddy off-flavors in channel catfish (Ictalurus punctatus). J. Aquat. Food Prod. Technol. 2007, 16, 77–90. [Google Scholar] [CrossRef]
- Panpipat, W.; Chaijan, M. Physicochemical and techno-functional properties of acid-aided pH-shifted protein isolate from over-salted duck egg (Anas platyrhucus) albumen. Int. J. Food Sci. Technol. 2020, 55, 2619–2629. [Google Scholar] [CrossRef]
- Phetsang, H.; Panpipat, W.; Undeland, I.; Panya, A.; Phonsatta, N.; Chaijan, M. Comparative quality and volatilomic characterisation of unwashed mince, surimi, and pH-shift-processed protein isolates from farm-raised hybrid catfish (Clarias macrocephalus × Clarias gariepinus). Food Chem. 2021, 364, 130365. [Google Scholar] [CrossRef] [PubMed]
- Yarnpakdee, S.; Benjakul, S.; Penjamras, P.; Kristinsson, H.G. Chemical compositions and muddy flavour/odour of protein hydrolysate from Nile tilapia and broadhead catfish mince and protein isolate. Food Chem. 2014, 142, 210–216. [Google Scholar] [CrossRef] [PubMed]
- Jia, B.; Chen, J.; Yang, G.; Bi, J.; Guo, J.; Shang, K.; Wang, S.; Wu, Z.; Zhang, K. Improvement of solubility, gelation and emulsifying properties of myofibrillar protein from mantis shrimp (Oratosquilla oratoria) by phosphorylation modification under low ionic strength of KCl. Food Chem. 2023, 403, 134497. [Google Scholar] [CrossRef] [PubMed]
- The Association of Official Agricultural Chemists. Official Methods of Analysis of the Association of Analytical Chemists International; Official Methods: Gaithersburg, MD, USA, 2005. [Google Scholar]
- Harrysson, H.; Hayes, M.; Eimer, F.; Carlsson, N.-G.; Toth, G.B.; Undeland, I. Production of protein extracts from Swedish red, green, and brown seaweeds, Porphyra umbilicalis Kützing, Ulva lactuca Linnaeus, and Saccharina latissima (Linnaeus) JV Lamouroux using three different methods. J. Appl. Phycol. 2018, 30, 3565–3580. [Google Scholar] [CrossRef]
- Robinson, H.W.; Hogden, C.G. The biuret reaction in the determination of serum proteins. 1. A study of the conditions necessary for the production of a stable color which bears a quantitative relationship to the protein concentration. J. Biol. Chem. 1940, 135, 707–725. [Google Scholar] [CrossRef]
- Marmon, S.K.; Undeland, I. Protein isolation from gutted herring (Clupea harengus) using pH-shift processes. J. Agric. Food Chem. 2010, 58, 10480–10486. [Google Scholar] [CrossRef]
- Pezeshk, S.; Rezaei, M.; Hosseini, H.; Abdollahi, M. Impact of pH-shift processing combined with ultrasonication on structural and functional properties of proteins isolated from rainbow trout by-products. Food Hydrocoll. 2021, 118, 106768. [Google Scholar] [CrossRef]
- Lowry, O.; Rosebrough, N.; Farr, A.L.; Randall, R. Protein measurement with the Folin phenol reagent. J. Biol. Chem. 1951, 193, 265–275. [Google Scholar] [CrossRef] [PubMed]
- Panpipat, W.; Cheong, L.Z.; Chaijan, M. Impact of lecithin incorporation on gel properties of bigeye snapper (Priacanthus tayenus) surimi. Int. J. Food Sci. Technol. 2021, 56, 2481–2491. [Google Scholar] [CrossRef]
- Laemmli, U.K. Cleavage of structural proteins during the assembly of the head of bacteriophage T4. Nature 1970, 227, 680–685. [Google Scholar] [CrossRef] [PubMed]
- Chinarak, K.; Panpipat, W.; Summpunn, P.; Panya, A.; Phonsatta, N.; Cheong, L.-Z.; Chaijan, M. Insights into the effects of dietary supplements on the nutritional composition and growth performance of sago palm weevil (Rhynchophorus ferrugineus) larvae. Food Chem. 2021, 363, 130279. [Google Scholar] [CrossRef] [PubMed]
- Joint FAO/WHO/UNU Expert Consultation. Protein and Amino Acid Requirements in Human Nutrition: Report of a Joint WHO/FAO/UNU Expert Consultation; [Geneva, 9–16 April 2002]; WHO: Geneva, Switzerland, 2007. [Google Scholar]
- Chaijan, M.; Chumthong, K.; Kongchoosi, N.; Chinarak, K.; Panya, A.; Phonsatta, N.; Cheong, L.; Panpipat, W. Characterisation of pH-shift-produced protein isolates from sago palm weevil (Rhynchophorus ferrugineus) larvae. J. Insects Food Feed 2022, 8, 313–324. [Google Scholar] [CrossRef]
- Choi, Y.; Park, J.W. Acid-aided protein recovery from enzyme-rich Pacific whiting. J. Food Sci. 2002, 67, 2962–2967. [Google Scholar] [CrossRef]
- Chanted, J.; Panpipat, W.; Cheong, L.-Z.; Chaijan, M. Recovery of functional proteins from pig brain using pH-shift processes. Foods 2022, 11, 695. [Google Scholar] [CrossRef] [PubMed]
- Ferreira, F.d.A.; Freire, B.P.; Souza, J.T.A.d.; Cortez-Vega, W.R.; Hernandez, C.P. Evaluation of physicochemical and functional properties of protein recovered obtaining from whitemouth croaker (Micropogonias furnieri) byproducts. Food Nutr. Sci. 2013, 4, 580–585. [Google Scholar]
- Lopez-Enriquez, R.L.; Ocano-Higuera, V.M.; Torres-Arreola, W.; Ezquerra-Brauer, J.M.; Marquez-Rios, E. Chemical and functional characterization of sarcoplasmic proteins from giant squid (Dosidicus gigas) mantle. J. Chem. 2015, 2015, 538721. [Google Scholar] [CrossRef][Green Version]
- Rawdkuen, S.; Sai-Ut, S.; Khamsorn, S.; Chaijan, M.; Benjakul, S. Biochemical and gelling properties of tilapia surimi and protein recovered using an acid-alkaline process. Food Chem. 2009, 112, 112–119. [Google Scholar] [CrossRef]
- Chomnawang, C.; Yongsawatdigul, J. Protein recovery of tilapia frame by-products by pH-shift method. J. Aquat. Food Prod. Technol. 2013, 22, 112–120. [Google Scholar] [CrossRef]
- Surasani, V.K.R.; Khatkar, S.K.; Singh, S. Effect of process variables on solubility and recovery yields of proteins from pangas (Pangasius pangasius) frames obtained by alkaline solubilization method: Characteristics of isolates. Food Bioprod. Process. 2017, 106, 137–146. [Google Scholar] [CrossRef]
- Vareltzis, P.K.; Evaggelia, P.; Ntoumas, D.; Adamopoulos, K.G. Process characteristics and functionality of sardine (Sardina pilchardus) muscle proteins extracted by a pH-shift method. Ann. Food Sci. Technol. 2012, 13, 132–143. [Google Scholar]
- Pan, J.; Xu, H.; Dabbour, M.; Kumah Mintah, B.; Chen, W.; Yang, F.; Zhang, Z.; Cheng, Y.; Dai, C.; He, R.; et al. Effect of alkaline pH-shifting process on extraction rate, structural, and functional properties of black soldier fly (Hermetia illucens) larvae protein. LWT 2023, 185, 115180. [Google Scholar] [CrossRef]
- Abreu, A.D.S.; De Souza, M.M.; Da Rocha, M.; Wasielesky, W.F.; Prentice, C. Functional properties of white shrimp (litopenaeus vannamei) by-products protein recovered by isoelectric solubilization/precipitation. J. Aquat. Food Prod. Technol. 2019, 28, 649–657. [Google Scholar] [CrossRef]
- Cremades, O.; Parrado, J.; Alvarez-Ossorio, M.-C.; Jover, M.; de Terán, L.C.; Gutierrez, J.F.; Bautista, J. Isolation and characterization of carotenoproteins from crayfish (Procambarus clarkii). Food Chem. 2003, 82, 559–566. [Google Scholar] [CrossRef]
- Vate, N.K.; Benjakul, S. Combined effect of squid ink tyrosinase and tannic acid on heat induced aggregation of natural actomyosin from sardine. Food Hydrocoll. 2016, 56, 62–70. [Google Scholar] [CrossRef]
- Faithong, N.; Benjakul, S. Changes in antioxidant activities and physicochemical properties of Kapi, a fermented shrimp paste, during fermentation. J. Food Sci. Technol. 2014, 51, 2463–2471. [Google Scholar] [CrossRef] [PubMed]
- Chantarasuwan, C.; Benjakul, S.; Visessanguan, W. Effects of sodium carbonate and sodium bicarbonate on yield and characteristics of Pacific white shrimp (Litopenaeus vannamei). Food Sci. Technol. Int. 2011, 17, 403–414. [Google Scholar] [CrossRef] [PubMed]
- Omondi, J.G.; Stark, J.R. Studies on digestive proteases from midgut glands of a shrimp, Penaeus indicus, and a lobster, Nephrops norvegicus: Part 1. Proteolytic activity. Appl. Biochem. Biotechnol. 2001, 90, 137–153. [Google Scholar] [CrossRef]
- Nasri, R.; Younes, I.; Lassoued, I.; Ghorbel, S.; Ghorbel-Bellaaj, O.; Nasri, M. Digestive alkaline proteases from Zosterisessor ophiocephalus, Raja clavata, and Scorpaena scrofa: Characteristics and application in chitin extraction. J. Amino Acids 2011, 2011, 913616. [Google Scholar] [CrossRef] [PubMed][Green Version]
- Takeungwongtrakul, S.; Benjakul, S. Astaxanthin degradation and lipid oxidation of Pacific white shrimp oil: Kinetics study and stability as affected by storage conditions. Int. Aquat. Res. 2016, 8, 15–27. [Google Scholar] [CrossRef]
- Duppeti, H.; Manjabhatta, S.N.; Kempaiah, B.B. Physicochemical, structural, functional and flavor adsorption properties of white shrimp (Penaeus vannamei) proteins as affected by processing methods. Food Res. Int. 2023, 163, 112296. [Google Scholar] [CrossRef] [PubMed]
- Singh, A.; Benjakul, S. Proteolysis and its control using protease inhibitors in fish and fish products: A review. Compr. Rev. Food Sci. Food Saf. 2018, 17, 496–509. [Google Scholar] [CrossRef] [PubMed]
- Chanchi Prashanthkumar, M.; Temdee, W.; Suyapoh, W.; Sornying, P.; Palamae, S.; Patil, U.; Ma, L.; Benjakul, S. Effects of proteases on textural softening and changes in physical property of harpiosquillid mantis shrimp (Harpiosquilla raphidea) during the iced storage. Int. J. Food Sci. Technol. 2023, 58, 6372–6385. [Google Scholar] [CrossRef]
- Scherbaum, S.; Ertas, B.; Gebauer, W.; Burmester, T. Characterization of hemocyanin from the peacock mantis shrimp Odontodactylus scyllarus (Malacostraca: Hoplocarida). J. Comp. Physiol. B 2010, 180, 1235–1245. [Google Scholar] [CrossRef]
- Kong, J.; Yu, S. Fourier transform infrared spectroscopic analysis of protein secondary structures. Acta Biochim. Biophys. Sin. 2007, 39, 549–559. [Google Scholar] [CrossRef]
- Quan, T.H.; Benjakul, S. Duck egg albumen hydrolysate-epigallocatechin gallate conjugates: Antioxidant, emulsifying properties and their use in fish oil emulsion. Colloids Surf. A Physicochem. Eng. Asp. 2019, 579, 123711. [Google Scholar] [CrossRef]
- Zhao, Y.-M.; Li, Y.; Ma, H.; He, R. Effects of ultrasonic-assisted pH shift treatment on physicochemical properties of electrospinning nanofibers made from rapeseed protein isolates. Ultrason. Sonochem. 2023, 94, 106336. [Google Scholar] [CrossRef] [PubMed]
- Gbenebor, O.; Adeosun, S.; Lawal, G.; Jun, S. Role of CaCO3 in the physicochemical properties of crustacean-sourced structural polysaccharides. Mater. Chem. Phys. 2016, 184, 203–209. [Google Scholar] [CrossRef]
- Nguyen, H.T.; Bao, H.N.D.; Dang, H.T.T.; Tómasson, T.; Arason, S.; Gudjónsdóttir, M. Protein recovery of tra catfish (Pangasius hypophthalmus) protein-rich side streams by the pH-shift method. Foods 2022, 11, 1531. [Google Scholar] [CrossRef] [PubMed]
- Zhang, F.; Sun, Z.; Li, X.; Kong, B.; Sun, F.; Cao, C.; Chen, Q.; Zhang, H.; Liu, Q. Ultrasound-assisted alkaline extraction of protein from Tenebrio molitor larvae: Extraction kinetics, physiochemical, and functional traits. Ultrason. Sonochem. 2023, 95, 106379. [Google Scholar] [CrossRef] [PubMed]
- Xu, J.-h.; Xiao, S.; Wang, J.-h.; Wang, B.; Cai, Y.-x.; Hu, W.-f. Comparative study of the effects of ultrasound-assisted alkaline extraction on black soldier fly (Hermetia illucens) larvae protein: Nutritional, structural, and functional properties. Ultrason. Sonochem. 2023, 101, 106662. [Google Scholar] [CrossRef] [PubMed]
- Diana, M.; Rafecas, M.; Arco, C.; Quílez, J. Free amino acid profile of Spanish artisanal cheeses: Importance of gamma-aminobutyric acid (GABA) and ornithine content. J. Food Compos. Anal. 2014, 35, 94–100. [Google Scholar] [CrossRef]
- Kurata, K.; Nagasawa, M.; Tomonaga, S.; Aoki, M.; Morishita, K.; Denbow, D.M.; Furuse, M. Orally administered L-ornithine elevates brain L-ornithine levels and has an anxiolytic-like effect in mice. Nutr. Neurosci. 2011, 14, 243–248. [Google Scholar] [CrossRef] [PubMed]
- Sugino, T.; Shirai, T.; Kajimoto, Y.; Kajimoto, O. L-ornithine supplementation attenuates physical fatigue in healthy volunteers by modulating lipid and amino acid metabolism. Nutr. Res. 2008, 28, 738–743. [Google Scholar] [CrossRef] [PubMed]
- Machado, M.; Machado, S.; Pimentel, F.B.; Freitas, V.; Alves, R.C.; Oliveira, M.B.P. Amino acid profile and protein quality assessment of macroalgae produced in an integrated multi-trophic aquaculture system. Foods 2020, 9, 1382. [Google Scholar] [CrossRef] [PubMed]
- Admassu, H.; Abera, T.; Abraha, B.; Yang, R.; Zhao, W. Proximate, mineral and amino acid composition of dried laver (Porphyra spp.) seaweed. J. Acad. Ind. Res. (JAIR) 2018, 6, 149. [Google Scholar]
- Chanted, J.; Panpipat, W.; Panya, A.; Phonsatta, N.; Cheong, L.-Z.; Chaijan, M. Compositional features and nutritional value of pig brain: Potential and challenges as a sustainable source of nutrients. Foods 2021, 10, 2943. [Google Scholar] [CrossRef]
- Mattila, P.; Mäkinen, S.; Eurola, M.; Jalava, T.; Pihlava, J.-M.; Hellström, J.; Pihlanto, A. Nutritional value of commercial protein-rich plant products. Plant Foods Hum. Nutr. 2018, 73, 108–115. [Google Scholar] [CrossRef]
- Bunda, M.G.; Tumbokon, B.L.; Serrano, A.E., Jr. Composition, chemical score (CS) and essential amino acid index (EAAI) of the crinkle grass Rhizoclonium sp. as ingredient for aquafeeds. Aquac. Aquar. Conserv. Legis. 2015, 8, 411–420. [Google Scholar]





| Characteristics | Solubilization pH | |||||
|---|---|---|---|---|---|---|
| pH 1.0 | pH 2.0 | pH 3.0 | pH 10.0 | pH 11.0 | pH 12.0 | |
| Mass yield (%) | 24.89 ± 1.87 c | 19.53 ± 3.41 b | 5.15 ± 1.80 a | 19.91 ± 1.06 b | 20.83 ± 1.03 b | 25.21 ± 1.52 c |
| Whiteness | 35.90 ± 0.03 f | 34.39 ± 0.11 d | 35.37 ± 0.06 e | 32.36 ± 0.10 c | 31.46 ± 0.23 b | 26.66 ± 0.13 a |
| Redness index | 0.96 ± 0.03 a | 1.04 ± 0.03 a | 0.88 ± 0.02 a | 0.92 ± 0.07 a | 1.13 ± 0.04 a | 9.24 ± 1.36 b |
| Appearance | ![]() | ![]() | ![]() | ![]() | ![]() | ![]() |
| Amino Acid (mg/g Sample) | Total Amino Acid | Free Amino Acid | ||||
|---|---|---|---|---|---|---|
| Raw Material | Acid-Aided Process | Alkaline-Aided Process | Raw Material | Acid-Aided Process | Alkaline-Aided Process | |
| Essential amino acids (EAA) | ||||||
| Valine (Val) 1 | 13.91 ± 1.33 a | 25.83 ± 0.67 b | 27.82 ± 0.71 c | 0.40 ± 0.02 c | 0.09 ± 0.01 b | 0.06 ± 0.00 a |
| Leucine (Leu) 1 | 20.95 ± 2.06 a | 36.06 ± 0.29 b | 42.02 ± 0.96 c | 1.08 ± 0.18 b | 0.18 ± 0.01 a | 0.14 ± 0.00 a |
| Isoleucine (Ile) 1 | 13.98 ± 1.84 a | 29.48 ± 0.60 b | 32.32 ± 0.68 c | 0.52 ± 0.02 b | 0.08 ± 0.00 a | 0.07 ± 0.00 a |
| Phenylalanine (Phe) 1 | 11.66 ± 1.14 a | 27.40 ± 0.47 b | 32.13 ± 1.54 c | 1.29 ± 0.58 b | 0.16 ± 0.03 a | 0.15 ± 0.02 a |
| Methionine (Met) 1 | 6.38 ± 1.07 a | 13.43 ± 0.63 b | 15.46 ± 0.97 c | 0.44 ± 0.08 b | 0.07 ± 0.01 a | 0.06 ± 0.01 a |
| Lysine (Lys) 2 | 30.71 ± 2.10 a | 45.85 ± 3.39 b | 45.29 ± 3.05 b | 3.20 ± 0.39 b | 0.38 ± 0.07 a | 0.71 ± 0.11 a |
| Histidine (His) 2 | 20.78 ± 0.65 a | 25.84 ± 0.26 b | 25.94 ± 0.47 b | 0.24 ± 0.01 c | 0.08 ± 0.00 a | 0.11 ± 0.00 b |
| Tryptophan (Trp) 1 | 53.05 ± 1.05 a | 60.62 ± 5.80 a | 59.40 ± 8.55 a | 0.91 ± 0.12 b | 0.25 ± 0.01 a | 0.24 ± 0.00 a |
| Threonine (Thr) | 11.71 ± 0.84 a | 26.01 ± 5.67 b | 28.24 ± 4.62 b | 0.54 ± 0.12 b | 0.06 ± 0.01 a | 0.07 ± 0.01 a |
| Non-essential amino acids | ||||||
| Alanine (Ala) 1 | 21.24 ± 1.85 a | 30.34 ± 1.29 b | 32.70 ± 1.35 b | 1.54 ± 0.06 c | 0.46 ± 0.11 b | 0.25 ± 0.02 a |
| Glycine (Gly) 1 | 27.56 ± 1.73 a | 41.92 ± 1.48 b | 46.01 ± 2.86 b | 2.50 ± 0.05 c | 0.88 ± 0.09 b | 0.41 ± 0.01 a |
| Proline (Pro) 1 | 15.57 ± 1.46 a | 30.79 ± 2.21 b | 28.38 ± 5.79 b | 0.74 ± 0.02 c | 0.16 ± 0.02 b | 0.12 ± 0.00 a |
| Serine (Ser) | 8.96 ± 1.35 a | 20.42 ± 1.52 b | 22.66 ± 0.64 b | 0.34 ± 0.03 b | 0.07 ± 0.02 a | 0.07 ± 0.01 a |
| Aspartic acid (Asp) 3 | 22.25 ± 4.85 a | 79.76 ± 0.45 b | 85.99 ± 9.50 b | 0.26 ± 0.10 b | 0.03 ± 0.00 a | 0.06 ± 0.01 a |
| Cystine (Cys) | 5.91 ± 0.97 a | 10.78 ± 1.93 a | 11.11 ± 4.76 a | 0.33 ± 0.02 b | 0.28 ± 0.00 a | 0.31 ± 0.01 b |
| Glutamic acid (Glu) 3 | 36.69 ± 5.12 a | 87.45 ± 1.68 b | 95.71 ± 8.96 b | 0.56 ± 0.24 b | 0.06 ± 0.02 a | 0.12 ± 0.00 a |
| Glutamine (Gln) | ND | ND | ND | 5.70 ± 1.55 b | 0.19 ± 0.04 a | 0.40 ± 0.02 a |
| Tyrosine (Tyr) | 18.17 ± 1.24 a | 44.25 ± 0.47 b | 51.12 ± 0.33 c | 1.88 ± 0.32 b | 0.27 ± 0.06 a | 0.24 ± 0.04 a |
| Arginine (Arg) 2 | ND | ND | ND | ND | ND | ND |
| Ornithine (Orn) | 21.04 ± 0.89 a | 23.83 ± 0.54 b | 23.94 ± 0.52 b | 2.91 ± 0.63 b | 0.30 ± 0.02 a | 0.47 ± 0.03 a |
| Gamma-aminobutyric acid (GABA) | ND | ND | ND | 0.02 ± 0.00 a | 0.02 ± 0.00 a | ND |
| Sarcosine (Sar) | 3.18 ± 0.38 a | ND | ND | 1.34 ± 0.16 b | 0.40 ± 0.03 a | 0.21 ± 0.02 a |
| Total amino acids | 363.67 ± 31.94 a | 660.05 ± 18.84 b | 706.23 ± 7.38 c | 26.75 ± 2.05 b | 4.45 ± 0.20 a | 4.26 ± 0.14 a |
| Hydrophobic amino acids (% of total amino acid) | 50.71 ± 0.73 b | 44.83 ± 0.64 a | 44.77 ± 1.53 a | - * | - | - |
| Positively charged amino acids (% of total amino acid) | 14.18 ± 0.49 b | 10.86 ± 0.33 a | 10.09 ± 0.53 a | - | - | - |
| Negatively charged amino acids (% of total amino acid) | 16.15 ± 1.33 a | 25.35 ± 0.75 b | 25.75 ± 2.66 b | - | - | - |
| EAA (% of total amino acid) | 50.40 ± 1.10 b | 44.00 ± 0.71 a | 43.68 ± 1.99 a | - | - | - |
| EAAI (%) 4 | 111.43 ± 9.45 a | 107.01 ± 5.01 a | 107.06 ± 6.98 a | - | - | - |
| Amino Acid (mg Amino Acid/g Protein) | Raw Material | Acid-Aided Process | Alkaline-Aided Process | Reference Protein * |
|---|---|---|---|---|
| Valine | 38.24 ± 3.65 a | 39.13 ± 1.02 a | 39.39 ± 1.01 a | 40.00 |
| (0.96) | (0.98) | (0.98) | ||
| Leucine | 57.61 ± 5.67 a | 54.64 ± 0.44 a | 59.50 ± 1.36 a | 61.00 |
| (0.94) | (0.90) | (0.98) | ||
| Isoleucine | 38.43 ± 5.07 a | 44.66 ± 0.91 b | 45.76 ± 0.97 b | 30.00 |
| (1.28) | (1.49) | (1.53) | ||
| Threonine | 32.21 ± 2.30 a | 39.41 ± 8.60 a | 39.98 ± 6.53 a | 25.00 |
| (1.29) | (1.58) | (1.60) | ||
| Lysine | 84.43 ± 5.79 b | 69.46 ± 5.13 a | 64.13 ± 4.32 a | 48.00 |
| (1.76) | (1.45) | (1.34) | ||
| Histidine | 57.13 ± 1.77 c | 39.15 ± 0.39 b | 36.73 ± 0.66 a | 16.00 |
| (3.57) | (2.45) | (2.30) | ||
| Tryptophan | 145.87 ± 2.90 b | 91.83 ± 8.79 a | 84.11 ± 12.11 a | 6.60 |
| (22.10) | (13.91) | (12.74) | ||
| Phenylalanine + Tyrosine | 82.03 ± 6.56 a | 108.55 ± 0.46 b | 117.89 ± 2.08 c | 41.00 |
| (2.00) | (2.65) | (2.88) | ||
| Methionine + Cysteine | 33.80 ± 5.62 a | 36.67 ± 3.43 a | 37.62 ± 8.11 a | 23.00 |
| (1.47) | (1.59) | (1.64) | ||
| Total EAA | 569.74 ± 39.32 a | 523.51 ± 22.85 a | 525.10 ± 31.38 a | 290.60 |
| (1.96) | (1.80) | (1.81) |
Disclaimer/Publisher’s Note: The statements, opinions and data contained in all publications are solely those of the individual author(s) and contributor(s) and not of MDPI and/or the editor(s). MDPI and/or the editor(s) disclaim responsibility for any injury to people or property resulting from any ideas, methods, instructions or products referred to in the content. |
© 2024 by the authors. Licensee MDPI, Basel, Switzerland. This article is an open access article distributed under the terms and conditions of the Creative Commons Attribution (CC BY) license (https://creativecommons.org/licenses/by/4.0/).
Share and Cite
Chumthong, K.; Saelee, N.; Panpipat, W.; Panya, A.; Phonsatta, N.; Thangvichien, S.; Mala-in, W.; Grossmann, L.; Chaijan, M. Utilizing the pH-Shift Method for Isolation and Nutritional Characterization of Mantis Shrimp (Oratosquilla nepa) Protein: A Strategy for Developing Value-Added Ingredients. Foods 2024, 13, 2312. https://doi.org/10.3390/foods13152312
Chumthong K, Saelee N, Panpipat W, Panya A, Phonsatta N, Thangvichien S, Mala-in W, Grossmann L, Chaijan M. Utilizing the pH-Shift Method for Isolation and Nutritional Characterization of Mantis Shrimp (Oratosquilla nepa) Protein: A Strategy for Developing Value-Added Ingredients. Foods. 2024; 13(15):2312. https://doi.org/10.3390/foods13152312
Chicago/Turabian StyleChumthong, Kanchanaphon, Nisa Saelee, Worawan Panpipat, Atikorn Panya, Natthaporn Phonsatta, Sujichon Thangvichien, Wannasa Mala-in, Lutz Grossmann, and Manat Chaijan. 2024. "Utilizing the pH-Shift Method for Isolation and Nutritional Characterization of Mantis Shrimp (Oratosquilla nepa) Protein: A Strategy for Developing Value-Added Ingredients" Foods 13, no. 15: 2312. https://doi.org/10.3390/foods13152312
APA StyleChumthong, K., Saelee, N., Panpipat, W., Panya, A., Phonsatta, N., Thangvichien, S., Mala-in, W., Grossmann, L., & Chaijan, M. (2024). Utilizing the pH-Shift Method for Isolation and Nutritional Characterization of Mantis Shrimp (Oratosquilla nepa) Protein: A Strategy for Developing Value-Added Ingredients. Foods, 13(15), 2312. https://doi.org/10.3390/foods13152312







