Terpinen-4-ol Improves Lipopolysaccharide-Induced Macrophage Inflammation by Regulating Glutamine Metabolism
Abstract
1. Introduction
2. Materials and Methods
2.1. Cell Lines
2.2. Reagents and Antibodies
2.3. Cytotoxicity Assay
2.4. RT-qPCR
2.5. Oxygen Consumption Rate and Extracellular Acidification Rate Measurements
2.6. Metabolomics Analysis
2.7. Western Blot
2.8. Statistical Analyses
3. Results
3.1. T-4-O Inhibits mRNA Expression of Inflammatory Factors in Mouse RAW264.7 Macrophages
3.2. Changes in Energy Metabolism in LPS-Induced Macrophages by T-4-O
3.3. Metabolomics PCA and OPLS-DA
3.4. Differentially Expressed Metabolite Screening and Enriched Pathway Analysis
3.5. Analysis of the Effects of T-4-O on Glutamine Metabolism-Regulated Genes
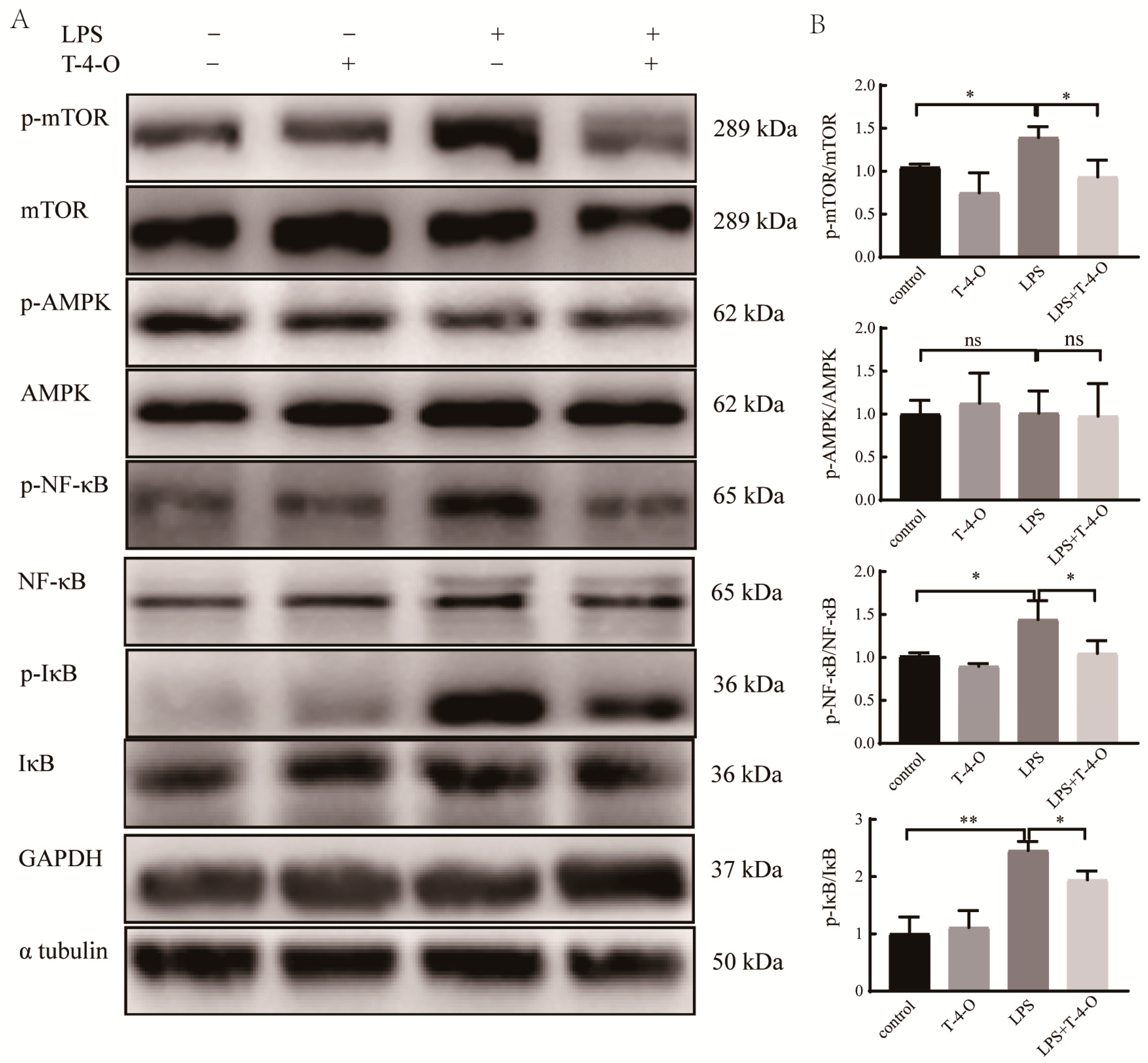
3.6. Effects of T-4-O on LPS-Regulated mTOR, AMPK, and NF-κB Signaling Pathway-Related Proteins
4. Discussion
5. Conclusions
Author Contributions
Funding
Institutional Review Board Statement
Informed Consent Statement
Data Availability Statement
Conflicts of Interest
References
- Bradford, B.J.; Yuan, K.; Farney, J.K.; Mamedova, L.K.; Carpenter, A.J. Invited review: Inflammation during the transition to lactation: New adventures with an old flame. J. Dairy Sci. 2015, 98, 6631–6650. [Google Scholar] [CrossRef] [PubMed]
- Barton, G.M. A calculated response: Control of inflammation by the innate immune system. J. Clin. Investig. 2008, 118, 413–420. [Google Scholar] [CrossRef] [PubMed]
- Nova, Z.; Skovierova, H.; Calkovska, A. Alveolar-Capillary Membrane-Related Pulmonary Cells as a Target in Endotoxin-Induced Acute Lung Injury. Int. J. Mol. Sci. 2019, 20, 831. [Google Scholar] [CrossRef] [PubMed]
- Huang, B.; You, J.; Qiao, Y.; Wu, Z.; Liu, D.; Yin, D.; He, H.; He, M. Tetramethylpyrazine attenuates lipopolysaccharide-induced cardiomyocyte injury via improving mitochondrial function mediated by 14-3-3gamma. Eur. J. Pharmacol. 2018, 832, 67–74. [Google Scholar] [CrossRef] [PubMed]
- Kovuru, N.; Raghuwanshi, S.; Sangeeth, A.; Malleswarapu, M.; Sharma, D.S.; Dahariya, S.; Pallepati, A.; Gutti, R.K. Co-stimulatory effect of TLR2 and TLR4 stimulation on megakaryocytic development is mediated through PI3K/NF-ĸB and XBP-1 loop. J. Cell. Signal. 2021, 80, 109924. [Google Scholar] [CrossRef] [PubMed]
- Silva, C.S.; Figueiredo, H.M.; Stamford, T.L.M.; Silva, L. Inhibition of Listeria monocytogenes by Melaleuca alternifolia (tea tree) essential oil in ground beef. Int. J. Food Microbiol. 2019, 293, 79–86. [Google Scholar] [CrossRef] [PubMed]
- Oliva, A.; Costantini, S.; De Angelis, M.; Garzoli, S.; Bozovic, M.; Mascellino, M.T.; Vullo, V.; Ragno, R. High Potency of Melaleuca alternifolia Essential Oil against Multi-Drug Resistant Gram-Negative Bacteria and Methicillin-Resistant Staphylococcus aureus. Molecules 2018, 23, 2584. [Google Scholar] [CrossRef] [PubMed]
- Sharifi-Rad, J.; Salehi, B.; Varoni, E.M.; Sharopov, F.; Yousaf, Z.; Ayatollahi, S.A.; Kobarfard, F.; Sharifi-Rad, M.; Afdjei, M.H.; Sharifi-Rad, M. Plants of the Melaleuca Genus as Antimicrobial Agents: From Farm to Pharmacy. J. Phytother. Res. 2017, 31, 1475–1494. [Google Scholar] [CrossRef]
- Bordini, E.A.F.; Tonon, C.C.; Francisconi, R.S.; Magalhaes, F.A.C.; Huacho, P.M.M.; Bedran, T.L.; Pratavieira, S.; Spolidorio, L.C.; Spolidorio, D.P. Antimicrobial effects of terpinen-4-ol against oral pathogens and its capacity for the modulation of gene expression. Biofouling 2018, 34, 815–825. [Google Scholar] [CrossRef]
- Brun, P.; Bernabe, G.; Filippini, R.; Piovan, A. In Vitro Antimicrobial Activities of Commercially Available Tea Tree (Melaleuca alternifolia) Essential Oils. Curr. Microbiol. 2019, 76, 108–116. [Google Scholar] [CrossRef]
- Brand, C.; Ferrante, A.; Prager, R.H.; Riley, T.V.; Carson, C.F.; Finlay-Jones, J.J.; Hart, P.H. The water-soluble components of the essential oil of Melaleuca alternifolia (tea tree oil) suppress the production of superoxide by human monocytes, but not neutrophils, activated in vitro. Inflamm. Res. 2001, 50, 213–219. [Google Scholar] [CrossRef] [PubMed]
- Hart, P.H.; Brand, C.; Carson, C.F.; Riley, T.V.; Prager, R.H.; Finlay-Jones, J.J. Terpinen-4-ol, the main component of the essential oil of Melaleuca alternifolia (tea tree oil), suppresses inflammatory mediator production by activated human monocytes. Inflamm. Res. 2000, 49, 619–626. [Google Scholar] [CrossRef] [PubMed]
- Hou, Y.C.; Chiu, W.C.; Yeh, C.L.; Yeh, S.L. Glutamine modulates lipopolysaccharide-induced activation of NF-kappaB via the Akt/mTOR pathway in lung epithelial cells. Am. J. Physiol. Lung Cell Mol. Physiol. 2012, 302, L174–L183. [Google Scholar] [CrossRef] [PubMed]
- Lu, Y.C.; Chang, J.T.; Chan, E.C.; Chao, Y.K.; Yeh, T.S.; Chen, J.S.; Cheng, A.J. miR-196, an Emerging Cancer Biomarker for Digestive Tract Cancers. J. Cancer 2016, 7, 650–655. [Google Scholar] [CrossRef]
- Chen, Z.; Zhang, Y.; Zhou, J.; Lu, L.; Wang, X.; Liang, Y.; Loor, J.J.; Gou, D.; Xu, H.; Yang, Z. Tea Tree Oil Prevents Mastitis-Associated Inflammation in Lipopolysaccharide-Stimulated Bovine Mammary Epithelial Cells. Front. Vet. Sci. 2020, 7, 496. [Google Scholar] [CrossRef] [PubMed]
- Singhania, A.; Sathe, S.; Ranka, R.; Godbole, S. Individual and Synergistic Effects of Tea Tree Oil and Neem Extract on Candida albicans Adhesion to Denture Soft Liner. Cureus 2022, 14, e27869. [Google Scholar] [CrossRef]
- Shao, Q.; Huang, J.; Li, J. Intracellular Replication Inhibitory Effects of Tea Tree Oil on Vesicular Stomatitis Virus and Anti-inflammatory Activities in Vero Cells. Front. Vet. Sci. 2021, 8, 759812. [Google Scholar] [CrossRef] [PubMed]
- Brophy, J.J.; Davies, N.W.; Southwell, I.A.; Stiff, I.A.; Williams, L.R. Gas chromatographic quality control for oil of Melaleuca terpinen-4-ol type (Australian tea tree). J. Agric. Food Chem. 1989, 37, 1330–1335. [Google Scholar] [CrossRef]
- Ning, J.; Xu, L.; Zhao, Q.; Zhang, Y.Y.; Shen, C.Q. The Protective Effects of Terpinen-4-ol on LPS-Induced Acute Lung Injury via Activating PPAR-gamma. Inflammation 2018, 41, 2012–2017. [Google Scholar] [CrossRef]
- Martínez-Pulgarín, D.F.; Ávila, M.Y.; Rodríguez-Morales, A.J. Interventions for Demodex blepharitis and their effectiveness: A systematic review and meta-analysis. J. Contact Lens Anterior Eye 2021, 44, 101453. [Google Scholar]
- Rahman, M.A.; Sultana, A.; Khan, M.F.; Boonhok, R.; Afroz, S. Tea tree oil, a vibrant source of neuroprotection via neuroinflammation inhibition: A critical insight into repurposing Melaleuca alternifolia by unfolding its characteristics. J. Zhejiang Univ. Sci. B 2023, 24, 554–573. [Google Scholar] [CrossRef] [PubMed]
- English, B.C.; Savage, H.P.; Mahan, S.P.; Diaz-Ochoa, V.E.; Young, B.M.; Abuaita, B.H.; Sule, G.; Knight, J.S.; O’Riordan, M.X.; Baumler, A.J.; et al. The IRE1alpha-XBP1 Signaling Axis Promotes Glycolytic Reprogramming in Response to Inflammatory Stimuli. mBio 2023, 14, e0306822. [Google Scholar] [CrossRef] [PubMed]
- Hu, Y.; Cao, K.; Wang, F.; Wu, W.; Mai, W.; Qiu, L.; Luo, Y.; Ge, W.P.; Sun, B.; Shi, L.; et al. Dual roles of hexokinase 2 in shaping microglial function by gating glycolytic flux and mitochondrial activity. Nat. Metab. 2022, 4, 1756–1774. [Google Scholar] [CrossRef] [PubMed]
- Dang, B.; Gao, Q.; Zhang, L.; Zhang, J.; Cai, H.; Zhu, Y.; Zhong, Q.; Liu, J.; Niu, Y.; Mao, K.; et al. The glycolysis/HIF-1alpha axis defines the inflammatory role of IL-4-primed macrophages. Cell Rep. 2023, 42, 112471. [Google Scholar] [CrossRef] [PubMed]
- Miao, Y.; Geng, Y.; Yang, L.; Zheng, Y.; Dai, Y.; Wei, Z. Morin inhibits the transformation of fibroblasts towards myofibroblasts through regulating “PPAR-γ-glutaminolysis-DEPTOR” pathway in pulmonary fibrosis. J. Nutr. Biochem. 2022, 101, 108923. [Google Scholar] [CrossRef] [PubMed]
- Zhou, C.H.; Zhang, M.X.; Zhou, S.S.; Li, H.; Gao, J.; Du, L.; Yin, X.X. SIRT1 attenuates neuropathic pain by epigenetic regulation of mGluR1/5 expressions in type 2 diabetic rats. Pain 2017, 158, 130–139. [Google Scholar] [CrossRef]
- Bodineau, C.; Tome, M.; Courtois, S.; Costa, A.S.H.; Sciacovelli, M.; Rousseau, B.; Richard, E.; Vacher, P.; Parejo-Perez, C.; Bessede, E.; et al. Two parallel pathways connect glutamine metabolism and mTORC1 activity to regulate glutamoptosis. Nat. Commun. 2021, 12, 4814. [Google Scholar] [CrossRef] [PubMed]
- Kim, D.H.; Sarbassov, D.D.; Ali, S.M.; King, J.E.; Latek, R.R.; Erdjument-Bromage, H.; Tempst, P.; Sabatini, D.M. mTOR interacts with raptor to form a nutrient-sensitive complex that signals to the cell growth machinery. Cell 2002, 110, 163–175. [Google Scholar] [CrossRef]
- Barnabei, L.; Laplantine, E.; Mbongo, W.; Rieux-Laucat, F.; Weil, R. NF-κB: At the Borders of Autoimmunity and Inflammation. Front. Immunol. 2021, 12, 716469. [Google Scholar] [CrossRef]
- Zhu, Z.; Zhang, X.; Dong, W.; Wang, X.; He, S.; Zhang, H.; Wang, X.; Wei, R.; Chen, Y.; Liu, X.; et al. TREM2 suppresses the proinflammatory response to facilitate PRRSV infection via PI3K/NF-kappaB signaling. PLoS Pathog. 2020, 16, e1008543. [Google Scholar] [CrossRef]
- Zhao, Y.; Simon, M.; Seluanov, A.; Gorbunova, V. DNA damage and repair in age-related inflammation. Nat. Rev. Immunol. 2023, 23, 75–89. [Google Scholar] [CrossRef] [PubMed]
- Tanaka, K.; Sasayama, T.; Kohmura, E. Targeting glutaminase and mTOR. Oncotarget 2015, 6, 26544–26545. [Google Scholar] [CrossRef] [PubMed]
- Tanaka, K.; Sasayama, T.; Irino, Y.; Takata, K.; Nagashima, H.; Masui, K.; Gini, B.; Yang, H.; Mischel, P.S.; Kohmura, E. NT-39glutaminase-mediated metabolic pathway involves glioblastoma resistance to mtor-targeted therapies. Neuro-Oncology 2014, 16, v167. [Google Scholar] [CrossRef]
- Tanaka, K.; Sasayama, T.; Irino, Y.; Takata, K.; Nagashima, H.; Satoh, N.; Kyotani, K.; Mizowaki, T.; Imahori, T.; Ejima, Y.; et al. Compensatory glutamine metabolism promotes glioblastoma resistance to mTOR inhibitor treatment. J. Clin. Investig. 2015, 125, 1591–1602. [Google Scholar] [CrossRef] [PubMed]
- Csibi, A.; Lee, G.; Yoon, S.O.; Tong, H.; Ilter, D.; Elia, I.; Fendt, S.M.; Roberts, T.M.; Blenis, J. The mTORC1/S6K1 pathway regulates glutamine metabolism through the eIF4B-dependent control of c-Myc translation. Curr. Biol. 2014, 24, 2274–2280. [Google Scholar] [CrossRef]
- Ye, X.; Zhou, Q.; Matsumoto, Y.; Moriyama, M.; Kageyama, S.; Komatsu, M.; Satoh, S.; Tsuchida, M.; Saijo, Y. Inhibition of Glutaminolysis Inhibits Cell Growth via Down-regulating Mtorc1 Signaling in Lung Squamous Cell Carcinoma. Anticancer Res. 2016, 36, 6021–6029. [Google Scholar] [CrossRef]








| Gene | Forward Primer (5′–3′) | Reverse Primer (5′–3′) |
|---|---|---|
| GAPDH | CGTGCCGCCTGGAGAAACCTG | AGAGTGGGAGTTGCTGTTGAAGTCG |
| TNF-α | GTGGAACTGGCAGAAGAGGC | AGACAGAAGAGCGTGGTGGC |
| IL-6 | ACAGAAGGAGTGGCTAAGGAC | GCTTAGGCATAACGCACTAGG |
| GLS | CAGTCTGAACGAGAAAGTGGAGA | ATCCCAACCATGTCTGTGCC |
| GDH | TCAGTTGGAATCAGCCCCTT | GTGACTGACTGCTCCTGACT |
| ASNS | GAAACTCTTCCCAGGCTTTGAC | TTCAGCAGAGAGGCAGCAAC |
| GAD | GGCTCCGGCTTTTGGTCCTTC | TGCCAATTCCCAATTATACTCTTGA |
Disclaimer/Publisher’s Note: The statements, opinions and data contained in all publications are solely those of the individual author(s) and contributor(s) and not of MDPI and/or the editor(s). MDPI and/or the editor(s) disclaim responsibility for any injury to people or property resulting from any ideas, methods, instructions or products referred to in the content. |
© 2024 by the authors. Licensee MDPI, Basel, Switzerland. This article is an open access article distributed under the terms and conditions of the Creative Commons Attribution (CC BY) license (https://creativecommons.org/licenses/by/4.0/).
Share and Cite
Liu, Y.; Tang, X.; Zhang, H.; Zheng, L.; Lai, P.; Guo, C.; Ma, J.; Chen, H.; Qiu, L. Terpinen-4-ol Improves Lipopolysaccharide-Induced Macrophage Inflammation by Regulating Glutamine Metabolism. Foods 2024, 13, 1842. https://doi.org/10.3390/foods13121842
Liu Y, Tang X, Zhang H, Zheng L, Lai P, Guo C, Ma J, Chen H, Qiu L. Terpinen-4-ol Improves Lipopolysaccharide-Induced Macrophage Inflammation by Regulating Glutamine Metabolism. Foods. 2024; 13(12):1842. https://doi.org/10.3390/foods13121842
Chicago/Turabian StyleLiu, Yanhui, Xin Tang, Huazhen Zhang, Linyan Zheng, Ping Lai, Chang Guo, Jingfan Ma, Hongbo Chen, and Longxin Qiu. 2024. "Terpinen-4-ol Improves Lipopolysaccharide-Induced Macrophage Inflammation by Regulating Glutamine Metabolism" Foods 13, no. 12: 1842. https://doi.org/10.3390/foods13121842
APA StyleLiu, Y., Tang, X., Zhang, H., Zheng, L., Lai, P., Guo, C., Ma, J., Chen, H., & Qiu, L. (2024). Terpinen-4-ol Improves Lipopolysaccharide-Induced Macrophage Inflammation by Regulating Glutamine Metabolism. Foods, 13(12), 1842. https://doi.org/10.3390/foods13121842

