Exploiting the Potential of Powdered Blends of Recovered Sunflower Seed Cake Phenolics and Whey—Development of Sustainable Food Additives
Abstract
1. Introduction
2. Materials and Methods
2.1. Materials
2.2. Methods
Spray Drying
2.3. Physical Properties
2.3.1. Viscosity
2.3.2. Dry Matter
2.3.3. Product Yield
2.3.4. Water Activity
2.3.5. Bulk Density, True Density, Porosity
2.3.6. Solubility
2.3.7. Colour
2.4. Chemical Properties
2.4.1. Total Phenolic Content by the Folin–Ciocalteu Method
2.4.2. Total Phenolic Content by Fast Blue BB method
2.4.3. Antioxidant Capacity In Vitro
2.4.4. Soluble Tryptophan
2.4.5. Determination of Available Amino Groups by o-phthaldialdehyde Method
2.4.6. Sodium Dodecyl Sulphate–Polyacrylamide Gel Electrophoresis (SDS–PAGE) Analysis
2.5. Sensory Analysis
2.6. Statistical Analysis
3. Results and Discussion
3.1. Physical Properties
3.2. Chemical Properties
3.3. Total Phenolic Content and Antioxidant Capacity
3.4. Tryptophan Fluorescence Intensity
3.5. Available Amino Groups by o-phthaldialdehyde Method
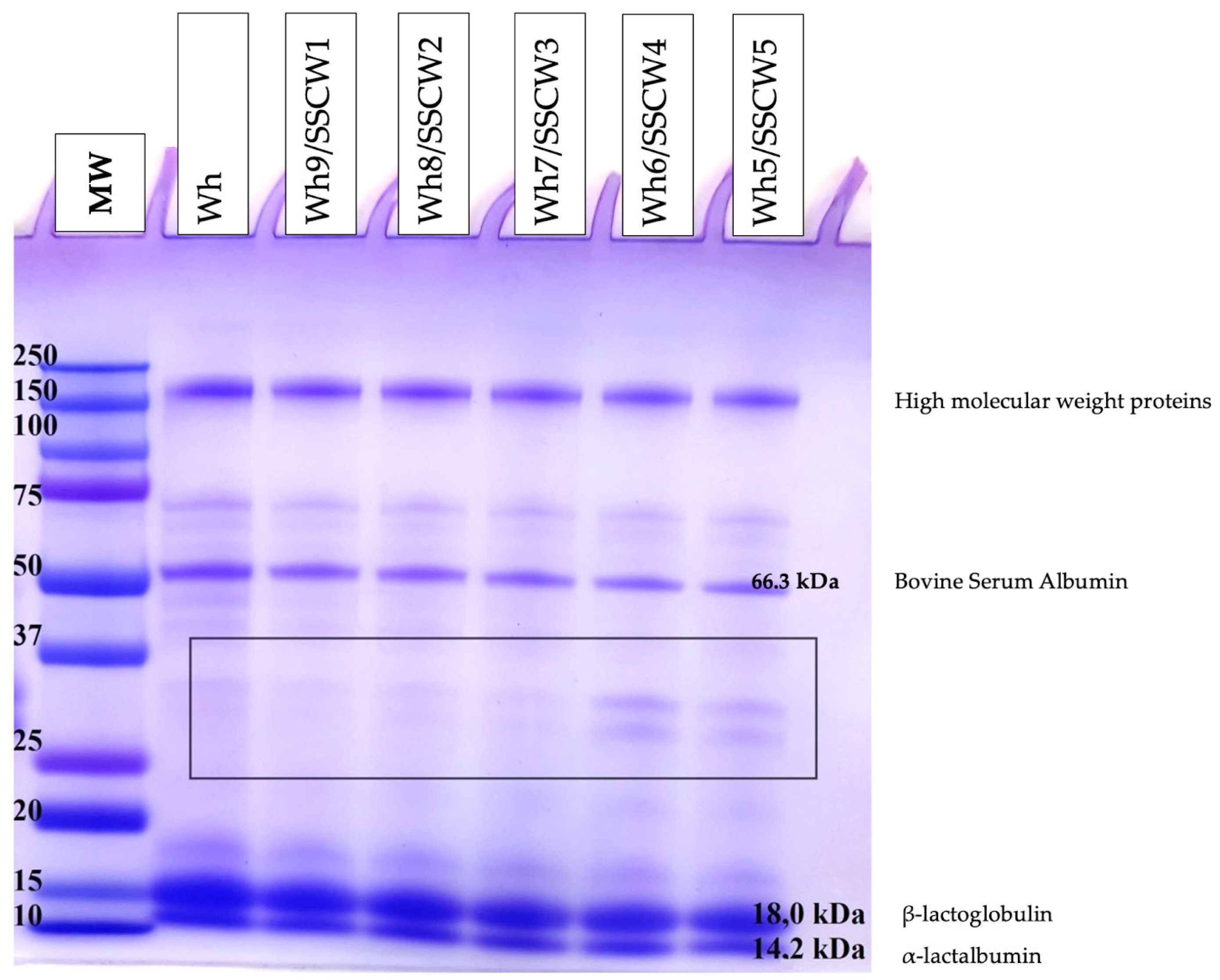
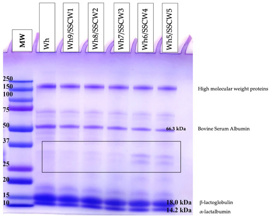
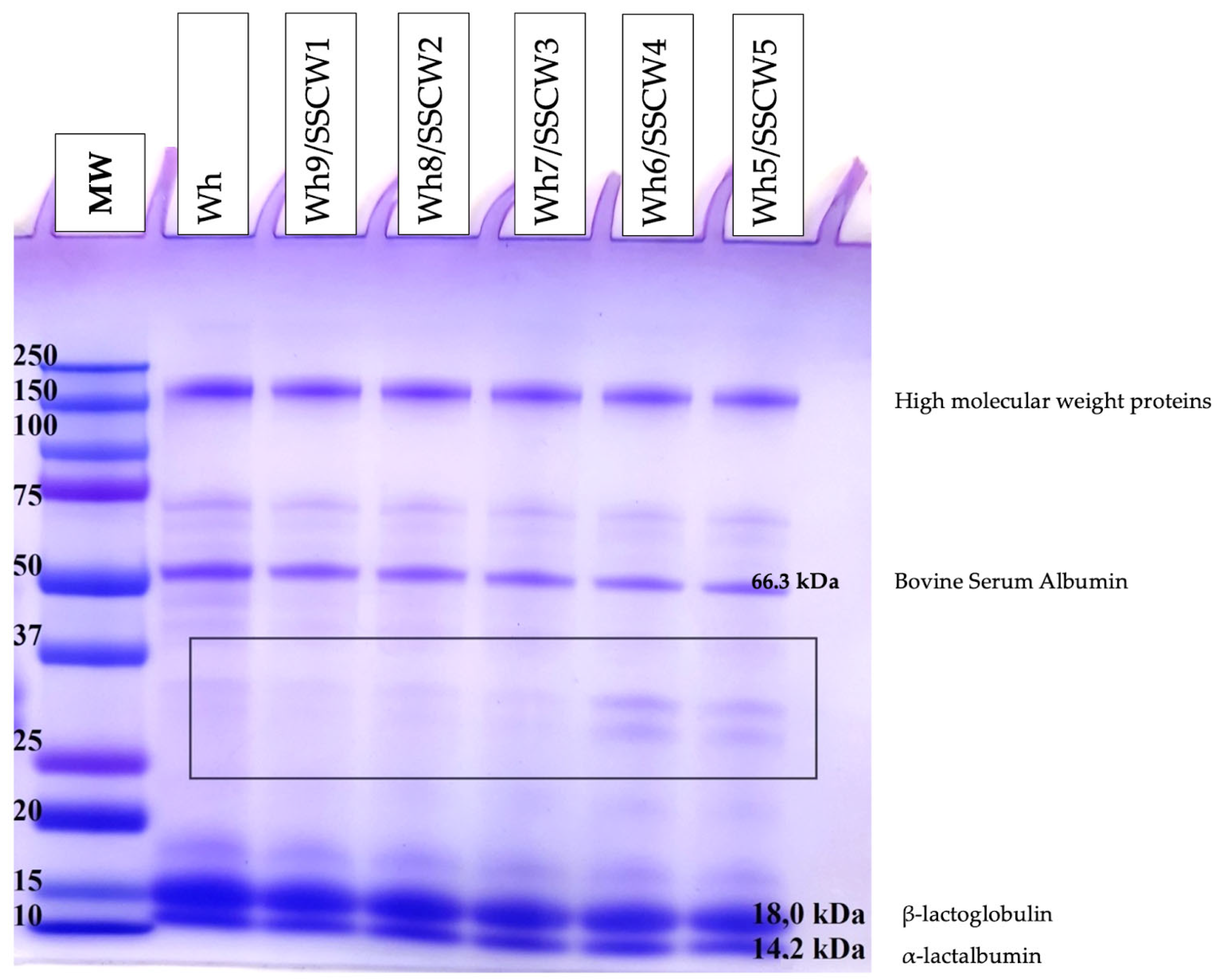
3.6. Sodium Dodecyl Sulphate–Polyacrylamide Gel Electrophoresis (SDS–PAGE) Analysis
3.7. Sensory Analysis of the Powders
4. Conclusions
Author Contributions
Funding
Institutional Review Board Statement
Informed Consent Statement
Data Availability Statement
Acknowledgments
Conflicts of Interest
References
- Rani, H.; Sharma, S.; Bala, M. Technologies for Extraction of Oil from Oilseeds and Other Plant Sources in Retrospect and Prospects: A Review. J. Food Process Eng. 2021, 44, e13851. [Google Scholar] [CrossRef]
- Hadidi, M.; Aghababaei, F.; McClements, D.J. Sunflower Meal/Cake as a Sustainable Protein Source for Global Food Demand: Towards a Zero-Hunger World. Food Hydrocoll. 2024, 147, 109329. [Google Scholar] [CrossRef]
- Dorrell, D.G.; Vick, B.A. Properties and Processing of Oilseed Sunflower. In Agronomy Monographs; Schneiter, A.A., Ed.; American Society of Agronomy, Crop Science Society of America, Soil Science Society of America: Madison, WI, USA, 2015; pp. 709–745. [Google Scholar] [CrossRef]
- Kaur, R.; Ghoshal, G. Sunflower Protein Isolates-Composition, Extraction and Functional Properties. Adv. Colloid Interface Sci. 2022, 306, 102725. [Google Scholar] [CrossRef]
- Morejón Caraballo, S.; Rohm, H.; Struck, S. Green Solvents for Deoiling Pumpkin and Sunflower Press Cakes: Impact on Composition and Technofunctional Properties. Int. J. Food Sci. Technol. 2023, 58, 1931–1939. [Google Scholar] [CrossRef]
- Saricaoglu, B.; Yılmaz, H.; Subaşı, B.G.; Capanoglu, E. Effect of De-Phenolization on Protein-Phenolic Interactions of Sunflower Protein Isolate. Food Res. Int. 2023, 164, 112345. [Google Scholar] [CrossRef] [PubMed]
- Malik, M.A.; Saini, C.S. Polyphenol Removal from Sunflower Seed and Kernel: Effect on Functional and Rheological Properties of Protein Isolates. Food Hydrocoll. 2017, 63, 705–715. [Google Scholar] [CrossRef]
- Martins, R.; Barbosa, A.; Advinha, B.; Sales, H.; Pontes, R.; Nunes, J. Green Extraction Techniques of Bioactive Compounds: A State-of-the-Art Review. Processes 2023, 11, 2255. [Google Scholar] [CrossRef]
- Raak, N.; Struck, S.; Jaros, D.; Hernando, I.; Gülseren, İ.; Michalska-Ciechanowska, A.; Foschino, R.; Corredig, M.; Rohm, H. Blending Side Streams. A Potential Solution to Reach a Resource Efficient, Circular, Zero-Waste Food System. Future Foods 2022, 6, 100207. [Google Scholar] [CrossRef]
- European Commission. Waste and Recycling. Available online: https://environment.ec.europa.eu/topics/waste-and-recycling_en (accessed on 21 January 2024).
- Banožić, M.; Vladić, J.; Banjari, I.; Velić, D.; Aladić, K.; Jokić, S. Spray Drying as a Method of Choice for Obtaining High Quality Products from Food Wastes—A Review. Food Rev. Int. 2023, 39, 1953–1985. [Google Scholar] [CrossRef]
- Michalska-Ciechanowska, A.; Brzezowska, J.; Wojdyło, A.; Gajewicz-Skretna, A.; Ciska, E.; Majerska, J. Chemometric Contribution for Deeper Understanding of Thermally-Induced Changes of Polyphenolics and the Formation of Hydroxymethyl-L-Furfural in Chokeberry Powders. Food Chem. 2021, 342, 128335. [Google Scholar] [CrossRef]
- Comunian, T.A.; Silva, M.P.; Souza, C.J.F. The Use of Food By-Products as a Novel for Functional Foods: Their Use as Ingredients and for the Encapsulation Process. Trends Food Sci. Technol. 2021, 108, 269–280. [Google Scholar] [CrossRef]
- Saadi, S.; Makhlouf, C.; Nacer, N.E.; Halima, B.; Faiza, A.; Kahina, H.; Wahiba, F.; Afaf, K.; Rabah, K.; Saoudi, Z. Whey Proteins as Multifunctional Food Materials: Recent Advancements in Hydrolysis, Separation, and Peptidomimetic Approaches. Compr. Rev. Food Sci. Food Saf. 2024, 23, e13288. [Google Scholar] [CrossRef] [PubMed]
- Yiğit, A.; Bielska, P.; Cais-Sokolińska, D.; Samur, G. Whey Proteins as a Functional Food: Health Effects, Functional Properties, and Applications in Food. J. Am. Nutr. Assoc. 2023, 42, 758–768. [Google Scholar] [CrossRef]
- Mehra, R.; Kumar, H.; Kumar, N.; Ranvir, S.; Jana, A.; Buttar, H.S.; Telessy, I.G.; Awuchi, C.G.; Okpala, C.O.R.; Korzeniowska, M.; et al. Whey Proteins Processing and Emergent Derivatives: An Insight Perspective from Constituents, Bioactivities, Functionalities to Therapeutic Applications. J. Funct. Foods 2021, 87, 104760. [Google Scholar] [CrossRef]
- Jiang, J.; Zhang, Z.; Zhao, J.; Liu, Y. The Effect of Non-Covalent Interaction of Chlorogenic Acid with Whey Protein and Casein on Physicochemical and Radical-Scavenging Activity of in vitro Protein Digests. Food Chem. 2018, 268, 334–341. [Google Scholar] [CrossRef] [PubMed]
- Altin, G.; Nur Ayar, E.; Ozcelik, B. Phenolic-Protein Interaction: Effects on Functional Properties of Phenolics and Advantages on Delivery of Phenolics. Glob. J. Med. Res. 2019, 19, 1–11. [Google Scholar]
- Chung, C.; Rojanasasithara, T.; Mutilangi, W.; McClements, D.J. Enhanced Stability of Anthocyanin-Based Color in Model Beverage Systems through Whey Protein Isolate Complexation. Food Res. Int. 2015, 76, 761–768. [Google Scholar] [CrossRef] [PubMed]
- Jauregi, P.; Olatujoye, J.B.; Cabezudo, I.; Frazier, R.A.; Gordon, M.H. Astringency Reduction in Red Wine by Whey Proteins. Food Chem. 2016, 199, 547–555. [Google Scholar] [CrossRef] [PubMed]
- Schefer, S.; Oest, M.; Rohn, S. Interactions between Phenolic Acids, Proteins, and Carbohydrates—Influence on Dough and Bread Properties. Foods 2021, 10, 2798. [Google Scholar] [CrossRef] [PubMed]
- Shahidi, F.; Pan, Y. Influence of Food Matrix and Food Processing on the Chemical Interaction and Bioaccessibility of Dietary Phytochemicals: A Review. Crit. Rev. Food Sci. Nutr. 2022, 62, 6421–6445. [Google Scholar] [CrossRef]
- Jafari, S.M.; Samborska, K. Spray Drying for the Food Industry: Unit Operations and Processing Equipment in the Food Industry; Woodhead Publishing: Cambridge, UK, 2024. [Google Scholar]
- Michalska-Ciechanowska, A.; Majerska, J.; Brzezowska, J.; Wojdyło, A.; Figiel, A. The Influence of Maltodextrin and Inulin on the Physico-Chemical Properties of Cranberry Juice Powders. ChemEngineering 2020, 4, 12. [Google Scholar] [CrossRef]
- Tontul, I.; Topuz, A. Spray-Drying of Fruit and Vegetable Juices: Effect of Drying Conditions on the Product Yield and Physical Properties. Trends Food Sci. Technol. 2017, 63, 91–102. [Google Scholar] [CrossRef]
- Michalska, A.; Wojdyło, A.; Lech, K.; Łysiak, G.P.; Figiel, A. Physicochemical Properties of Whole Fruit Plum Powders Obtained Using Different Drying Technologies. Food Chem. 2016, 207, 223–232. [Google Scholar] [CrossRef]
- Cano-Chauca, M.; Stringheta, P.C.; Ramos, A.M.; Cal-Vidal, J. Effect of the Carriers on the Microstructure of Mango Powder Obtained by Spray Drying and Its Functional Characterization. Innov. Food Sci. Emerg. Technol. 2005, 6, 420–428. [Google Scholar] [CrossRef]
- Saikia, S.; Mahnot, N.K.; Mahanta, C.L. Effect of Spray Drying of Four Fruit Juices on Physicochemical, Phytochemical and Antioxidant Properties: Properties of Spray-Dried Fruit Juice. J. Food Process. Preserv. 2015, 39, 1656–1664. [Google Scholar] [CrossRef]
- Jedlińska, A.; Barańska, A.; Witrowa-Rajchert, D.; Ostrowska-Ligęza, E.; Samborska, K. Dehumidified Air-Assisted Spray-Drying of Cloudy Beetroot Juice at Low Temperature. Appl. Sci. 2021, 11, 6578. [Google Scholar] [CrossRef]
- Gao, X.; Ohlander, M.; Jeppsson, N.; Björk, L.; Trajkovski, V. Changes in Antioxidant Effects and Their Relationship to Phytonutrients in Fruits of Sea Buckthorn (Hippophae rhamnoides L.) during Maturation. J. Agric. Food Chem. 2000, 48, 1485–1490. [Google Scholar] [CrossRef]
- Medina, M.B. Determination of the Total Phenolics in Juices and Superfruits by a Novel Chemical Method. J. Funct. Foods 2011, 3, 79–87. [Google Scholar] [CrossRef]
- Michalska, A.; Amigo-Benavent, M.; Zielinski, H.; Del Castillo, M.D. Effect of Bread Making on Formation of Maillard Reaction Products Contributing to the Overall Antioxidant Activity of Rye Bread. J. Cereal Sci. 2008, 48, 123–132. [Google Scholar] [CrossRef]
- Laemmli, U.K. Cleavage of Structural Proteins during the Assembly of the Head of Bacteriophage T4. Nature 1970, 227, 680–685. [Google Scholar] [CrossRef]
- ISO 11136:2014/AMD 1:2020; Sensory Analysis–Methodology—General Guidance for Conducting Hedonic Tests with Consumers in a Controlled Area—Amendment 1. ISO (International Organization for Standardization): Geneva, Switzerland, 2014.
- Morison, K.R.; Mackay, F.M. Viscosity of Lactose and Whey Protein Solutions. Int. J. Food Prop. 2001, 4, 441–454. [Google Scholar] [CrossRef]
- Rawel, H.M.; Czajka, D.; Rohn, S.; Kroll, J. Interactions of Different Phenolic Acids and Flavonoids with Soy Proteins. Int. J. Biol. Macromol. 2002, 30, 137–150. [Google Scholar] [CrossRef]
- Da Silva, E.S.; Xiong, J.; Medeiros, F.G.M.D.; Grace, M.; Moncada, M.; Lila, M.A.; Hoskin, R.T. Spray Dried Insect Protein-Polyphenol Particles Deliver Health-Relevant Value-Added Food Ingredients. Future Foods 2024, 9, 100315. [Google Scholar] [CrossRef]
- Tapia, M.S.; Alzamora, S.M.; Chirife, J. Effects of Water Activity (aw) on Microbial Stability as a Hurdle in Food Preservation. In Water Activity in Foods; Barbosa-Cánovas, G.V., Fontana, A.J., Schmidt, S.J., Labuza, T.P., Eds.; Wiley: Hoboken, NJ, USA, 2020; pp. 323–355. [Google Scholar] [CrossRef]
- Rawel, H.M.; Kroll, J.; Hohl, U.C. Model Studies on Reactions of Plant Phenols with Whey Proteins. Nahrung/Food 2001, 45, 72–81. [Google Scholar] [CrossRef] [PubMed]
- Onwude, D.I.; Hashim, N.; Janius, R.; Nawi, N.M.; Ebdan, K. Color Change Kinetics and Total Carotenoid Content of Pumpkin as Affected by Drying Temperature. Ital. J. Food Sci. 2016, 29, 1–18. [Google Scholar] [CrossRef]
- Adekunte, A.O.; Tiwari, B.K.; Cullen, P.J.; Scannell, A.G.M.; O’Donnell, C.P. Effect of Sonication on Colour, Ascorbic Acid and Yeast Inactivation in Tomato Juice. Food Chem. 2010, 122, 500–507. [Google Scholar] [CrossRef]
- Lowry, O.H.; Rosebrough, N.J.; Farr, A.L.; Randall, R.J. Protein Measurement with the Folin Phenol Reagent. J. Biol. Chem. 1951, 193, 256–275. [Google Scholar] [CrossRef]
- Singleton, V.L.; Orthofer, R.; Lamuela-Raventós, R.M. Analysis of Total Phenols and Other Oxidation Substrates and Antioxidants by Means of Folin-Ciocalteu Reagent. In Methods in Enzymology; Elsevier: Amsterdam, The Netherlands, 1999; Volume 299, pp. 152–178. [Google Scholar] [CrossRef]
- Matsui, R.; Honda, R.; Kanome, M.; Hagiwara, A.; Matsuda, Y.; Togitani, T.; Ikemoto, N.; Terashima, M. Designing Antioxidant Peptides Based on the Antioxidant Properties of the Amino Acid Side-Chains. Food Chem. 2018, 245, 750–755. [Google Scholar] [CrossRef] [PubMed]
- Mann, B.; Kumari, A.; Kumar, R.; Sharma, R.; Prajapati, K.; Mahboob, S.; Athira, S. Antioxidant Activity of Whey Protein Hydrolysates in Milk Beverage System. J. Food Sci. Technol. 2014, 52, 3235–3241. [Google Scholar] [CrossRef] [PubMed]
- Kumar, N.; Raghavendra, M.; Tokas, J.; Singal, H.R. Milk Proteins: Precursors of Antioxidative Peptides and Their Health Benefits. In Dairy in Human Health and Disease Across the Lifespan; Elsevier: Amsterdam, The Netherlands, 2017; pp. 313–323. [Google Scholar] [CrossRef]
- Thongzai, H.; Matan, N.; Ganesan, P.; Aewsiri, T. Interfacial Properties and Antioxidant Activity of Whey Protein-Phenolic Complexes: Effect of Phenolic Type and Concentration. Appl. Sci. 2022, 12, 2916. [Google Scholar] [CrossRef]
- Xu, Y.Y.; Howes, T.; Adhikari, B.; Bhandari, B. Investigation of Relationship between Surface Tension of Feed Solution Containing Various Proteins and Surface Composition and Morphology of Powder Particles. Dry. Technol. 2012, 30, 1548–1562. [Google Scholar] [CrossRef]
- Akdeniz, B.; Sumnu, G.; Sahin, S. Microencapsulation of Phenolic Compounds Extracted from Onion (Allium cepa) Skin. J. Food Process. Preserv. 2018, 42, e13648. [Google Scholar] [CrossRef]
- Pico, J.; Pismag, R.Y.; Laudouze, M.; Martinez, M.M. Systematic Evaluation of the Folin–Ciocalteu and Fast Blue BB Reactions during the Analysis of Total Phenolics in Legumes, Nuts and Plant Seeds. Food Funct. 2020, 11, 9868–9880. [Google Scholar] [CrossRef]
- Prigent, S.V.; Voragen, A.G.; Li, F.; Visser, A.J.; Van Koningsveld, G.A.; Gruppen, H. Covalent Interactions between Amino Acid Side Chains and Oxidation Products of Caffeoylquinic Acid (Chlorogenic Acid). J. Sci. Food Agric. 2008, 88, 1748–1754. [Google Scholar] [CrossRef]
- Cao, Y.; Xiong, Y.L. Interaction of Whey Proteins with Phenolic Derivatives Under Neutral and Acidic pH Conditions. J. Food Sci. 2017, 82, 409–419. [Google Scholar] [CrossRef]
- Ajmera, A.; Scherließ, R. Stabilisation of Proteins via Mixtures of Amino Acids during Spray Drying. Int. J. Pharm. 2014, 463, 98–107. [Google Scholar] [CrossRef]
- Gültekin Subaşı, B.; Vahapoğlu, B.; Capanoglu, E.; Mohammadifar, M.A. A Review on Protein Extracts from Sunflower Cake: Techno-Functional Properties and Promising Modification Methods. Crit. Rev. Food Sci. Nutr. 2021, 62, 6682–6697. [Google Scholar] [CrossRef]
- Liu, X.; Song, Q.; Li, X.; Chen, Y.; Liu, C.; Zhu, X.; Liu, J.; Granato, D.; Wang, Y.; Huang, J. Effects of Different Dietary Polyphenols on Conformational Changes and Functional Properties of Protein–Polyphenol Covalent Complexes. Food Chem. 2021, 361, 130071. [Google Scholar] [CrossRef]
- Zheng, J.; Xiao, N.; Li, Y.; Xie, X.; Li, L. Free Radical Grafting of Whey Protein Isolate with Tea Polyphenol: Synthesis and Changes in Structural and Functional Properties. LWT-Food Sci. Technol. 2022, 153, 112438. [Google Scholar] [CrossRef]






| Sample | Wh (%; v/v) | SSCW (%; v/v) |
|---|---|---|
| Wh (control) | 100 | 0 |
| Wh9/SSCW1 | 90 | 10 |
| Wh8/SSCW2 | 80 | 20 |
| Wh7/SSCW3 | 70 | 30 |
| Wh6/SSCW4 | 60 | 40 |
| Wh5/SSCW5 | 50 | 50 |
| Sample | Dry Matter [%] | Viscosity [mPa·s] | Product Yield [%] |
|---|---|---|---|
| SSCW100% | 0.420 ± 0.090 a* | 0.940 ± 0.014 a | - |
| Wh (control) | 7.379 ± 0.007 e | 1.330 ± 0.014 d | 39.36 ± 0.23 a |
| Wh9/SSCW1 | 6.852 ± 0.251 de | 1.240 ± 0.014 c | 38.29 ± 1.40 a |
| Wh8/SSCW2 | 5.867 ± 0.137 cd | 1.290 ± 0.016 cd | 40.66 ± 0.95 a |
| Wh7/SSCW3 | 5.516 ± 0.053 cd | 1.315 ± 0.021 e | 40.12 ± 0.39 a |
| Wh6/SSCW4 | 4.972 ± 0.288 bc | 1.105 ± 0.021 b | 41.72 ± 2.42 a |
| Wh5/SSCW5 | 3.845 ± 0.233 b | 1.090 ± 0.014 b | 43.51 ± 2.63 a |
| Sample | Dry Matter [%] | Water Activity [–] | True Density [g/cm3] | Bulk Density [g/cm3] | Porosity [%] | Solubility [%] |
|---|---|---|---|---|---|---|
| Wh (control) | 97.55 ± 0.07 a * | 0.176 ± 0.001 c | 1.378 ± 0.004 a | 0.656 ± 0.076 a | 52.4 ± 4.5 a | 78.41 ± 0.4 a |
| Wh9/SSCW1 | 98.08 ± 0.28 a | 0.183 ± 0.007 d | 1.380 ± 0.003 a | 0.605 ± 0.043 a | 56.2 ± 2.5 ab | 80.69 ± 1.2 ab |
| Wh8/SSCW2 | 98.02 ± 0.10 a | 0.152 ± 0.004 bc | 1.404 ± 0.042 a | 0.632 ± 0.027 a | 55.0 ± 1.9 ab | 81.75 ± 0.7 b |
| Wh7/SSCW3 | 97.41 ± 0.30 a | 0.165 ± 0.002 c | 1.400 ± 0.017 a | 0.585 ± 0.001 a | 58.3 ± 0.4 bc | 82.43 ± 1.1 b |
| Wh6/SSCW4 | 97.69 ± 0.17 a | 0.144 ± 0.011 b | 1.395 ± 0.009 a | 0.651 ± 0.041 a | 53.3 ± 2.4 ab | 82.46 ± 1.0 b |
| Wh5/SSCW5 | 97.32 ± 0.21 a | 0.127 ± 0.014 a | 1.413 ± 0.005 a | 0.539 ± 0.003 a | 61.9 ± 0.2 c | 83.17 ± 0.9 b |
| Sample | L* (D65) | a* (D65) | b* (D65) | C* (D65) | H (D65) | dE |
|---|---|---|---|---|---|---|
| Wh (control) | 90.81 ± 0.19 f * | −3.56 ± 0.05 b | 16.32 ± 0.29 d | 16.70 ± 0.30 d | 102.33 ± 0.05 c | - |
| Wh9/SSCW1 | 90.01 ± 0.03 e | −2.95 ± 0.06 d | 15.16 ± 0.23 b | 15.45 ± 0.24 b | 101.03 ± 0.05 a | 1.54 ± 0.19 a |
| Wh8/SSCW2 | 88.84 ± 0.05 d | −3.04 ± 0.03 a | 15.26 ± 0.09 b | 15.56 ± 0.09 b | 101.27 ± 0.07 b | 2.30 ± 0.09 b |
| Wh7/SSCW3 | 88.15 ± 0.03 c | −3.10 ± 0.03 a | 12.58 ± 0.19 a | 12.95 ± 0.20 a | 103.84 ± 0.05 f | 4.62 ± 0.18 c |
| Wh6/SSCW4 | 86.22 ± 0.20 b | −3.21 ± 0.04 c | 13.38 ± 0.10 c | 13.76 ± 0.10 c | 103.51 ± 0.08 d | 5.47 ± 0.22 d |
| Wh5/SSCW5 | 84.82 ± 0.03 a | −3.07 ± 0.01 a | 12.57 ± 0.06 a | 12.94 ± 0.06 a | 103.71 ± 0.04 e | 7.09 ± 0.06 e |
| TPC (Folin–Ciocalteu) [mg GAE/100 g dm] | TEAC ABTS [mmol Trolox/100 g dm] | FRAP [mmol Trolox/100 g dm] | ||
|---|---|---|---|---|
| Liquid feeds | Wh (control) | 75.48 ± 6.56 a | 0.11 ± 0.01 a | 0.15 ± 0.01 a |
| Wh9/SSCW1 | 88.75 ± 3.60 b | 0.33 ± 0.05 b | 0.37 ± 0.01 b | |
| Wh8/SSCW2 | 113.33 ± 1.51 c | 0.50 ± 0.04 c | 0.62 ± 0.08 c | |
| Wh7/SSCW3 | 132.31 ± 1.38 d | 0.62 ± 0.03 cd | 0.72 ± 0.00 c | |
| Wh6/SSCW4 | 158.85 ± 0.13 e | 0.76 ± 0.06 d | 0.90 ± 0.01 d | |
| Wh5/SSCW5 | 213.05 ± 1.66 f | 1.19 ± 0.04 e | 1.28 ± 0.02 e | |
| Powders | Wh (control) | 24.39 ± 0.85 a | 0.20 ± 0.02 a | 0.17 ± 0.00 a |
| Wh9/SSCW1 | 40.56 ± 2.88 b | 0.42 ± 0.07 ab | 0.27 ± 0.02 b | |
| Wh8/SSCW2 | 51.77 ± 1.11 c | 0.59 ± 0.02 bc | 0.38 ± 0.00 c | |
| Wh7/SSCW3 | 73.90 ± 1.45 d | 0.72 ± 0.04 cd | 0.52 ± 0.02 d | |
| Wh6/SSCW4 | 96.37 ± 3.06 e | 0.89 ± 0.05 de | 0.65 ± 0.02 e | |
| Wh5/SSCW5 | 126.29 ± 1.65 f | 1.08 ± 0.10 e | 0.88 ± 0.00 f |
| Sample | Appearance | Colour | Smell | Taste | Texture | Mouthfeel | Stickiness | Overall Acceptability |
|---|---|---|---|---|---|---|---|---|
| Wh9/SSCW1 | 5.64 ± 1.29 | 6.00 ± 1.26 | 5.27 ± 1.10 | 4.73 ± 1.62 | 5.36 ± 1.80 | 5.36 ± 1.57 | 5.64 ± 1.50 | 5.18 ± 0.87 |
| Wh8/SSCW2 | 6.00 ± 1.26 | 6.18 ± 1.25 * | 5.18 ± 1.40 | 4.73 ± 1.49 | 5.36 ± 1.43 | 5.00 ± 2.10 | 5.36 ± 1.75 | 4.82 ± 1.40 |
| Wh7/SSCW3 | 5.82 ± 1.33 | 5.64 ± 1.43 | 5.73 ± 1.01 | 4.45 ± 1.51 | 5.55 ± 1.63 | 5.09 ± 2.12 | 5.27 ± 1.90 | 5.00 ± 1.26 |
| Wh6/SSCW4 | 5.00 ± 0.89 | 4.82 ± 0.98 * | 5.18 ± 0.87 | 4.91 ± 2.17 | 6.00 ± 1.61 | 5.91 ± 1.76 | 5.36 ± 1.75 | 5.00 ± 1.34 |
| Wh5/SSCW5 | 5.18 ± 1.60 | 5.09 ± 1.81 | 5.09 ± 1.70 | 4.82 ± 2.32 | 5.82 ± 1.72 | 4.45 ± 2.21 | 4.18 ± 2.14 | 5.18 ± 1.78 |
| sem | 0.18 | 0.19 | 0.16 | 0.24 | 0.22 | 0.26 | 0.25 | 0.18 |
| p | 0.33 | 0.11 | 0.77 | 0.98 | 0.86 | 0.53 | 0.38 | 0.97 |
| Sample | Sourness | Bitterness | Sweetness | Saltiness | Off-Flavour | Plant Taste | Earthy Taste |
|---|---|---|---|---|---|---|---|
| Wh9/SSCW1 | 5.09 ± 1.76 | 2.55 ± 1.21 | 4.18 ± 1.47 | 3.91 ± 1.45 | 2.36 ± 1.21 | 1.82 ± 0.75 | 1.82 ± 1.17 |
| Wh8/SSCW2 | 5.64 ± 1.91 | 2.73 ± 1.10 | 4.09 ± 1.64 | 4.36 ± 2.29 | 2.00 ± 0.89 | 1.82 ± 0.60 | 1.91 ± 1.14 |
| Wh7/SSCW3 | 5.00 ± 1.73 | 3.00 ± 1.34 | 3.45 ± 1.37 | 4.00 ± 1.67 | 2.82 ± 1.83 | 2.00 ± 0.89 | 1.82 ± 1.08 |
| Wh6/SSCW4 | 4.91 ± 1.58 | 3.73 ± 2.28 | 3.91 ± 1.58 | 4.09 ± 1.22 | 3.09 ± 1.58 | 2.73 ± 1.56 | 2.09 ± 1.04 |
| Wh5/SSCW5 | 4.55 ± 1.57 | 3.36 ± 1.50 | 3.36 ± 1.75 | 4.36 ± 1.63 | 3.00 ± 1.34 | 2.27 ± 1.10 | 2.36 ± 1.36 |
| sem | 0.23 | 0.21 | 0.21 | 0.22 | 0.19 | 0.14 | 0.15 |
| p | 0.68 | 0.39 | 0.65 | 0.95 | 0.33 | 0.21 | 0.78 |
Disclaimer/Publisher’s Note: The statements, opinions and data contained in all publications are solely those of the individual author(s) and contributor(s) and not of MDPI and/or the editor(s). MDPI and/or the editor(s) disclaim responsibility for any injury to people or property resulting from any ideas, methods, instructions or products referred to in the content. |
© 2024 by the authors. Licensee MDPI, Basel, Switzerland. This article is an open access article distributed under the terms and conditions of the Creative Commons Attribution (CC BY) license (https://creativecommons.org/licenses/by/4.0/).
Share and Cite
Michalska-Ciechanowska, A.; Brzezowska, J.; Lech, K.; Masztalerz, K.; Korzeniowska, M.; Zambrowicz, A.; Szoltysik, M. Exploiting the Potential of Powdered Blends of Recovered Sunflower Seed Cake Phenolics and Whey—Development of Sustainable Food Additives. Foods 2024, 13, 1433. https://doi.org/10.3390/foods13101433
Michalska-Ciechanowska A, Brzezowska J, Lech K, Masztalerz K, Korzeniowska M, Zambrowicz A, Szoltysik M. Exploiting the Potential of Powdered Blends of Recovered Sunflower Seed Cake Phenolics and Whey—Development of Sustainable Food Additives. Foods. 2024; 13(10):1433. https://doi.org/10.3390/foods13101433
Chicago/Turabian StyleMichalska-Ciechanowska, Anna, Jessica Brzezowska, Krzysztof Lech, Klaudia Masztalerz, Malgorzata Korzeniowska, Aleksandra Zambrowicz, and Marek Szoltysik. 2024. "Exploiting the Potential of Powdered Blends of Recovered Sunflower Seed Cake Phenolics and Whey—Development of Sustainable Food Additives" Foods 13, no. 10: 1433. https://doi.org/10.3390/foods13101433
APA StyleMichalska-Ciechanowska, A., Brzezowska, J., Lech, K., Masztalerz, K., Korzeniowska, M., Zambrowicz, A., & Szoltysik, M. (2024). Exploiting the Potential of Powdered Blends of Recovered Sunflower Seed Cake Phenolics and Whey—Development of Sustainable Food Additives. Foods, 13(10), 1433. https://doi.org/10.3390/foods13101433

