You are currently viewing a new version of our website. To view the old version click .
Foods
  • Article
  • Open Access

23 December 2023

Flammutoxin, a Degradation Product of Transepithelial Electrical Resistance-Decreasing Protein, Induces Reactive Oxygen Species and Apoptosis in HepG2 Cells

,
,
,
,
,
,
and
1
Mycological Research Center, College of Life Sciences, Fujian Agriculture and Forestry University, Fuzhou 350002, China
2
College of Food Science, Fujian Agriculture and Forestry University, Fuzhou 350002, China
3
College of Horticulture, Fujian Agriculture and Forestry University, Fuzhou 350002, China
*
Author to whom correspondence should be addressed.
This article belongs to the Section Food Nutrition

Abstract

Proteins from Flammulina filiformis were prepared by sodium chloride extraction and fractionated by ammonium sulfate precipitation with increasing saturation degrees to obtain the protein fractions Ffsp-30, Ffsp-50, Ffsp-70, Ffsp-90, and Ffp-90. Among these protein fractions, Ffsp-50 possessed the most significant cytotoxic effect against three human gastrointestinal cancer cell lines, viz. HT-29, SGC-7901, and HepG2. SDS-PAGE and MALDI-TOF/TOF MS/MS analyses revealed that flammutoxin (FTX) was present as a dominating protein in Ffsp-50, which was further evidenced by HPLC-MS/MS determination. Furthermore, native FTX was purified from Ffsp-50 with a molecular weight of 26.78 kDa, exhibiting notable cytotoxicity against gastrointestinal cancer cell lines. Both Ffsp-50 and FTX exposure could enhance intercellular reactive oxygen species (ROS) generation and induce significant apoptosis in HepG2 cells. FTX was identified to be relatively conserved in basidiomycetes according to phylogenetic analysis, and its expression was highly upregulated in the primordium as well as the pileus of the fruiting body from the elongation and maturation stages, as compared with that in mycelium. Taken together, FTX could remarkably inhibit cell growth and induce ROS and apoptosis in HepG2 cells, potentially participating in the growth and development of the fruiting body. These findings from our investigation provided insight into the antigastrointestinal cancer activity of FTX, which could serve as a biological source of health-promoting and biomedical applications.

1. Introduction

Gastrointestinal (GI) cancers, occurring in the colon, stomach, and liver, are considered as the most diagnosed and lethal cancers in the world. The unpleasant outcomes of traditional therapeutic approaches highlight the ever-growing need to explore novel and effective natural anticancer agents [1]. Recently, mushroom-originated proteins have received growing scientific attention as a promising candidate for anticancer agents which could exert their bioactive/pharmacological effects through different mechanisms of action, exemplified by DNase activities, endoplasmic reticulum stresses, and ubiquitin-mediated pathways [2].
Flammulina filiformis (F. filiformis, known as Flammulina velutipes previously), belonging to the class Agaricomycetes and the phylum Basidiomycota, is a popular commercial edible mushroom in Asia which is generally considered a low-calorie delicacy possessing important nutritional and medicinal values [3]. Phytochemical and pharmacological studies have shown that the phenolic acids, flavonoids, sesquiterpenes, polysaccharides, proteins, and glycoproteins present in F. filiformis display a wide range of biological/pharmacological activities, including antioxidant, antibacterial, anti-inflammatory, antitumor, antihypertensive, antiatherosclerotic, thrombosis-inhibiting, cholesterol-lowering, intestinal-flora-regulating, memory-enhancing, neuroprotective, hepatoprotective, and immunomodulatory properties [4,5,6]. Recently, biological molecules like polysaccharides, proteins, and glycoproteins in F. filiformis have attracted the attention of researchers owing to their beneficial health effects. Many studies have focused on the extraction, purification, structural characteristics, and bioactivities of F. filiformis polysaccharides [7]. However, much less is known about the proteins of F. filiformis, mainly their pharmacological benefits or bioactive functions.
Hitherto, several functional proteins have been isolated from the fruiting body of F. filiformis, including the ribosome-inactivating proteins velutin, velin, flammin, and flammulin [8,9,10], the fungal immunomodulatory protein FIP-fve [11], the acidic glycoprotein proflamin [12], and the pore-forming cytolysin flammutoxin (FTX) [13]. FIP-fve and proflamin have been demonstrated to exhibit immunomodulatory and anticancer properties [12,14]. FTX, first isolated from the fruiting body of F. filiformis, has been found to cause swelling and inhibit the respiration of Ehrlich ascites tumor cells [15,16]. Furthermore, it was reported that the protein Zb sharing the exact same N-terminal amino acid (AA) sequence of PQVKTSWEDLANLGWPIQQV with FTX was found to significantly inhibit human gastric adenocarcinoma cell line MGC80-3 cells with an IC50 value of 0.75 μg/mL [17]. These encouraging findings prompted us to examine the potential growth-inhibitory and apoptosis-inducing effects of FTX against GI cancer cell lines.
In our present work, different protein fractions (Ffsp-30, Ffsp-50, Ffsp-70, Ffsp-90, and Ffp-90) from the fruiting body of F. filiformis were prepared by sodium chloride (NaCl) extraction and ammonium sulfate (NH4)2SO4 precipitation. Native FTX was further purified from Ffsp-50, which was analyzed by sodium dodecyl sulfate polyacrylamide gel electrophoresis (SDS-PAGE) and high-performance gel permeation chromatography (HPGPC). The molecular weight (Mw) and AA sequence were further determined by MALDI-TOF MS/MS. The growth-inhibitory effects of the protein fractions and purified FTX on the HT-29, SGC-7901, and HepG2 cell lines were evaluated by standard 3-(4, 5-dimethylthiazolyl-2)-2,5-diphenyltetra-zolium bromide (MTT) assay. The apoptosis-inducing effect of Ffsp-50 and FTX on HepG2 cells was confirmed by DAPI nuclear staining and flow cytometry analysis. Intracellular ROS level was determined by 2′,7′-dichlorodihydrofluorescein diacetate (DCFH-DA) staining. Moreover, phylogenetic analysis was performed to assess the evolutionary relationship of FTX from F. filiformis with other fungal FTX homologue proteins. And the FTX gene expression profile during the growth and development of F. filiformis was analyzed by real-time quantitative PCR (qPCR).

2. Materials and Methods

2.1. Chemicals and Materials

Different developmental tissue samples of dikaryon strain C18 of F. filiformis were provided by Fujian WanChen Biotechnology Group Co., Ltd. (Zhangzhou City, China), including the mycelium, primordium, young fruiting body, as well as the fruiting body (stipe and pileus) in the elongation and mature stages. The strain was deposited in the Fujian edible fungi germplasm resource collection center (Accession Number: F0421). Three human GI cancer cell lines, i.e., HT-29, SGC-7901, and HepG2, were obtained from the Cell Bank of Type Culture Collection of the Chinese Academy of Sciences (Shanghai, China). 3-(4,5-dimethylthiazolyl-2)-2,5-diphenyltetra-zolium bromide (MTT) and 4’, 6-diamidino-2-phenylindole dihydrochloride (DAPI) were purchased from Sigma-Aldrich (St. Louis, MO, USA). Fetal bovine serum (FBS), trypsin, and penicillin–streptomycin were obtained from Hyclone Laboratories, Inc. (Logan, UT, USA). Dulbecco’s modified Eagle medium (DMEM) and RPMI1640 medium were from Gibco (Grand Island, NY, USA). McCoy’s 5A (GM3109-500ML) medium was purchased from Gen-View Scientific, Inc. (El Monte, FL, USA). The BCA protein assay kit was obtained from Beyotime Biotechnology (Shanghai, China). Annexin V-fluorescein isothiocyanate-(FITC)/propidiumiodide (PI) apoptosis detection kit and 2′, 7′-dichlorodihydrofluorescein diacetate (DCFH-DA) were obtained from Nanjing Key GenBiotech Co., Ltd. (Nanjing, China). E.Z.N.A.® Plant RNA Kit was purchased from OMEGA Biotechnology Co., Ltd. (Stamford, CT, USA). TransScript® All-in-One First-Strand cDNA Synthesis SuperMix for qPCR (One-Step gDNA Removal) Kit and PerfectStart™ Green qPCR SuperMix were from TransGen Biotech (Beijing, China). All chemical reagents, including paraformaldehyde (PFA), NaCl, (NH4)2SO4, Tris-HCl, etc. were of analytical grade and supplied by Solarbio Biotechnology (Beijing, China).

2.2. Preparation and Analysis of Protein Fractions

Different protein fractions from the fruiting bodies of F. filiformis were obtained by NaCl extraction and (NH4)2SO4 precipitation [18]. In brief, the fruiting bodies of F. filiformis (2 kg) in the elongation stage were cut to pieces and lyophilized, ground, and soaked overnight in chilled 0.15 M NaCl (20 mL/g) at 4 °C, which was then centrifuged at 8000× g for 15 min to obtain the supernatant. The different protein fractions (Ffsp-30, Ffsp-50, Ffsp-70, Ffsp-90, and Ffp-90) were successively precipitated by the stepwise addition of solid (NH4)2SO4 with increasing saturation degrees (0–30%, 30–50%, 50–70%, 70–90%, and 0–90%). All these proteins were desalted by membrane dialysis (Mw cutoff 7.0 kDa) against deionized water and lyophilized. Protein content was determined by the bicinchoninic acid (BCA) method using bovine serum albumin (BSA) as the reference standard.
Mw distributions of protein fractions were further analyzed using SDS-PAGE (12% w/v). Dominant protein bands were subsequently analyzed with a RapiFlex MALDI-TOF/TOF MS/MS (Bruker Daltonik GmbH, Bremen, Germany). Moreover, the protein fraction Ffsp-50 was determined using an UltiMate 3000 RSLCnano HPLC system (Thermo Scientific, Waltham, MA, USA) coupled to a Q Exactive Plus Hybrid Quadrupole Orbitrap Mass Spectrometer (Thermo Scientific) by Sangon Biotech (Shanghai) Co., Ltd. The obtained sequences were then searched by local BLAST searches against a protein database of F. filiformis provided by the Mycological Research Center of Fujian Agriculture and Forestry University. The resulting protein was predicted for the structural and functional domain using the Conserved Domain Search service (CD-Search).

2.3. Purification, Analysis, and Identification of Native FTX Protein

Briefly, Ffsp-50 was dissolved in 0.02 M Tris-HCl buffer solution (pH 8.0), which was centrifuged at 12,000× g for 10 min at 4 °C and filtered with 0.45 µm pore-sized filters to remove insoluble proteins. The resulting filtrate was applied to Cellufine Q-500 column (JNC Corp., Tokyo, Japan) pre-equilibrated with 0.02 M Tris-HCl buffer solution (pH 8.0), which was then eluted with a stepwise elution of 0, 0.1 and 0.2 M NaCl in the buffer. The eluents were combined by measuring absorption at 280 nm. They were dialyzed (Mw cutoff 8~10 kDa) against deionized water and further lyophilized.
The purity of the obtained protein was analyzed by SDS-PAGE (12% w/v) and high-performance gel permeation chromatography (HPGPC). HPGPC was performed using an EasySep-3030 HPLC system (Unimicro Technologies, Shanghai, China), with a TSK-Gel G2000SWxL column (7.8 mm I.D. × 30 cm, 5 μm; Tosoh Biosciences, Tokyo, Japan) preceded by a TSK-Gel G2000SW guard column (6.0 mm I.D. × 4 cm, 7 μm; Tosoh Biosciences, Tokyo, Japan). The chromatographic conditions were as follows: column temperature 25 °C; 30 mM Tris-acetic acid (HAC) buffer (pH 6.0) as mobile phase; flow rate at 0.5 mL/min; ultraviolet detection at 280 nm. Furthermore, the AA sequence and Mw of the purified protein were analyzed with a RapiFlex MALDI-TOF/TOF MS/MS by Sangon Biotech (Shanghai, China) Co., Ltd. The resulting AA sequences of peptides from the protein were submitted for BLAST searches against the protein database of F. filiformis provided by the Mycological Research Center of Fujian Agriculture and Forestry University.

2.4. MTT Assay

HT-29, SGC-7901, and HepG2 cells were cultured in a medium containing 10% FBS, 100 units/mL penicillin and 100 μg/mL streptomycin in a 37 °C humidified incubator with 5% CO2 atmosphere. The growth-inhibitory effect of different protein fractions (Ffsp-30, Ffsp-50, Ffsp-70, Ffsp-90, and Ffp-90) and FTX was tested using the standard MTT assay [19]. Briefly, cells with a density of 1 × 105 cells/mL were plated in and permitted to adhere to 96-well plates for 24 h. The protein fractions and FTX were diluted with the medium and filtered using 0.22 µm syringe filters. The cells were then exposed to the indicated concentrations of protein fractions (24 h) and FTX (24, 48, and 72 h). Cells that received the same volume of medium were used as control. After incubation, 20 μL of MTT reagent (5 mg/mL in PBS) was added and cells were incubated for another 4 h. The formazan produced by the viable cells was solubilized by the addition of 100 μL dimerthyl sulfoxide. The suspension was placed on a microvibrator for 10–15 min and absorbance was recorded at 570 nm using a multifunctional enzyme-labeled instrument (TECAN Infinite M200 PRO, Männedorf, Switzerland). Cell viability was expressed as a percentage relative to the vehicle-treated controls.

2.5. DAPI Staining

HepG2 cells in the logarithmic growth phase were planted into 6-well flat-bottomed plates with a density of 1 × 105 cells/mL in 2 mL of culture medium and incubated for 24 h at 37 °C in a 5% CO2 atmosphere. The cells were exposed to various concentrations of Ffsp-50 (0, 25, 50, and 100 µg/mL) and FTX (0, 12.5, 25, and 50 µg/mL) for another 24 h after washing twice with PBS. The cells were fixed with 4% PFA in PBS for 10 min at room temperature, then washed twice with PBS and stained with 2 µg/mL of DAPI for 10 min at room temperature. The stained cells were visualized using an inverted fluorescence microscope under ×200 magnification (Leica DMi8, Leica Microsystems, Wetzlar, Germany).

2.6. Intracellular ROS Level Determination

Briefly, HepG2 cells at a density of 1 × 105 cells/mL were seeded on 6-well bottom plates and allowed to attach for 24 h. They were then grouped and challenged with different concentrations of Ffsp-50 (0, 25, 50, and 100 µg/mL) and FTX (0, 12.5, 25, and 50 µg/mL). The cells were washed with PBS 3 times and stained with 10 μmol/L DCFH-DA at 37 °C for 30 min in the dark according to the manufacturer’s instructions. Intracellular ROS generation was visualized using an inverted fluorescence microscope under ×200 magnification at an excitation wavelength of 485 nm and emission wavelength of 528 nm.

2.7. Analysis of Apoptosis by Flow Cytometer

The apoptosis-eliciting effect of Ffsp-50 and FTX on HepG2 cells was determined with Annexin V-FITC/PI double staining according to the manufacturer’s instructions. After incubation with different concentrations of Ffsp-50 (0, 25, 50, and 100 µg/mL) and FTX (0, 12.5, 25, and 50 µg/mL) for 24 h, the apoptosis of HepG2 cells was analyzed immediately using a flow cytometer (FACS Calibur, Agilent NovoCyte Penteon, Lexington, MA, USA). The percentage of early apoptotic cells was calculated by Annexin V+/PI staining, while the percentage of late apoptotic cells was calculated by Annexin V+/PI+ staining.

2.8. Phylogenetic Tree Construction

To generate the phylogenetic tree, the AA sequence of FTX (Sequence ID: BAA76510.1) was searched using protein–protein BLAST in NCBI. The homologous proteins of FTX from representative fungi were employed for phylogenetic analysis using the MEGA 5.0 software program [20] after a multiple alignment of data using ClustalX [21]. Distances were calculated using distance options according to the Kimura two-parameter model [22]. Cluster analyses were performed using the neighbor-joining algorithm [23]. Tree topology was evaluated by bootstrap analysis with 1000 replications [24].

2.9. RNA Isolation and qPCR

Total RNA was isolated from different developmental tissue samples using an E.Z.N.A.® Plant RNA Kit according to the manufacturer’s protocol. Extracted RNA was quantified using a NanoND-1000 spectrophotometer (NanoDrop Technologies, Wilmington, DE, USA). The first strand of cDNA was generated using the TransScript® All-in-One First-Strand cDNA Synthesis SuperMix for qPCR (One-Step gDNA Removal) Kit. All cDNA was stored at −20 °C for subsequent experiments. Subsequently, qPCR was executed using PerfectStart™ Green qPCR SuperMix and a CFX96TM Real-Time PCR detection system (Bio-Rad Laboratories, Hercules, CA, USA). A 20 μL reaction system was prepared according to the manufacturer’s instructions consisting of 2 µL of cDNA, 0.4 µL each of forward and reverse primers for the FTX gene (forward 5′-TCAATGGTGGTGCTACAACAG-3′ and reverse 5′-GGGAGGCGTGGTTAGTGATG-3′), 10 µL of qPCR supermix, and 7.2 µL of ddH2O. qPCR amplification of the FTX gene was conducted under the following conditions: 95 °C for 2.5 min, followed by 40 cycles of 94 °C for 5 s, 58 °C for 30 s, and 60 °C for 5 s. Glyceraldehyde-3-phosphate dehydrogenase (GAPDH) and β-actin (ACTB)-encoding genes were employed as reference genes for qPCR data normalization [25]. Amplifications for each sample were performed with three technical replicates. Relative gene expression levels were calculated using the 2−ΔΔCt method [26].

2.10. Statistical Analysis

All experiments were carried out with three independent replicates. The resulting data were represented as means ± standard deviation ( x ¯ ± SD) from triplicate samples. Statistical comparison was conducted by one-way analysis of variance (ANOVA) using SPSS software version 22.0 (SPSS, Chicago, IL, USA). p values less than 0.05 were considered statistically significant.

3. Results

3.1. Preparation and Analysis of Protein Fractions

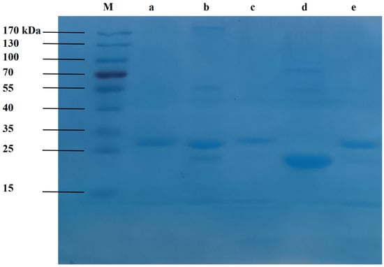
Proteins from F. filiformis were systematically partitioned and evaluated for cytotoxicity against GI cancer cell lines. Different protein fractions, viz. Ffsp-30, Ffsp-50, Ffsp-70, Ffsp-90, and Ffp-90, were achieved with the yield of 0.072%, 1.32%, 0.485%, 0.0096%, and 1.62% with a total protein content of 33.07%, 40.71%, 36.57%, 33.75%, and 31.36%, respectively. This finding indicated that Ffsp-50 was obtained with a relatively higher yield and total protein content than the other protein fractions. SDS-PAGE analysis showed that Ffsp-30, Ffsp-50, Ffsp-70, and Ffp-90 produced a strong staining protein band with a molecular weight (Mw) of 25~35 kDa, as shown in Figure 1 column a, b, c, and e, respectively. Moreover, Ffsp-50 seemed to possess more abundant protein components than other protein fractions. Nevertheless, a high-staining-intensity protein band with an Mw approaching 25 kDa was observed in Ffsp-90, as seen in Figure 1 column d. Further, MALDI-TOF/TOF MS/MS determination revealed that the dominant protein band in Ffsp-30, Ffsp-50, Ffsp-70, and Ffp-90 was confirmed as FTX (25~35 kDa, Mw 30.095 kDa, GenBank accession no. BAA76510.1), as well as FDS protein (15~25 kDa, Mw 22.809 kDa, GenBank accession no. ACZ59468.1) in Ffsp-90. HPLC-MS/MS was further performed to determine the protein compositions of Ffsp-50. Table 1 shows transepithelial electrical resistance (TEER)-decreasing protein (TDP, GenBank accession no. BAA76510.1) was one of the main proteins in Ffsp-50. TDP was the precursor of or identical to FTX [27], which could produce multiple FTX family proteins by partial C-terminal truncation [28]. Therefore, these findings suggested that FTX was the dominating protein in the different protein fractions except for Ffsp-90.
Figure 1. SDS-PAGE analysis of protein fractions from the fruiting bodies of F. filiformis. Samples were electrophoresed on 12% gel and stained with Coomassie brilliant blue. Column M represents a pre-stained protein marker with Mw range of 15–170 kDa; columns a, b, c, d, and e represent Ffsp-30, Ffsp-50, Ffsp-70, Ffsp-90, and Ffp-90, respectively.
Table 1. The protein composition of Ffsp-50 determined by HPLC-MS/MS.

3.2. FTX Protein Purification and Characterization

Since FTX was an essential protein in different protein fractions, it was reasonable to purify FTX for further investigation. Owing to its high yield and total protein content, Ffsp-50 was subsequently subjected to a Cellufine Q-500 column. After gradient elution, FTX was obtained from section (a) of eluents of 0.2 M NaCl in buffer solution, as shown in Figure 2A. SDS-PAGE and HPGPC analyses were further performed to characterize the purity of protein, resulting in a single protein band stained by Coomassie brilliant blue (Mw 25~35 kDa, as shown in Figure 2B) and a signal peak (retention time: 17.265 min, as seen in Figure 2C). According to previous reports [28,29], the FTX precursor known as TDP consists of 272 AA residues with an Mw of approximately 31 kDa, the complete AA sequence of which was listed in Figure 3A (https://www.ncbi.nlm.nih.gov/protein/BAA76510.1, accessed on 26 September 2022). As detected by MALDI-TOF/TOF MS/MS, the purified protein was identified as FTX based on the AA sequence of peptide fragments, with 63% coverage as marked in red in Figure 3A. Moreover, the Mw of purified FTX was measured as 26.74 kDa (see in Figure 3B), thus suggesting that it is the degradation product of FTX precursor, namely mature FTX after modification. Purified FTX was consequently presumed to contain 241 AA residues with an Mw of 26.78 kDa, ranging from the 2nd AA residue P to the 242nd AA residue K, which lacked the initial Met (M) and the C-terminal 30 residues (see the luminous yellow region in Figure 3A) [13].
Figure 2. Purification and analysis of FTX protein. (A) Purification of native FTX from Ffsp-50 on a Cellufine Q-500 strong anion-exchange column. FTX was obtained from section (a) of eluents of 0.2 M NaCl in 0.02 M Tris-HCl buffer solution (pH 8.0). (B) SDS-PAGE analysis of purified FTX from the fruiting body of F. filiformis. Column M represents the pre-stained protein marker with Mw range of 10–170 kDa; column F represents purified FTX. (C) Chromatogram of purified FTX determined by HPGPC method.
Figure 3. AA sequence and molecular weight of FTX determined by MALDI-TOF/TOF MS/MS. (A) The deduced AA sequence of FTX precursor (GenBank accession no. BAA76510.1). The red parts indicate the peptide fragments (sequence coverage: 62%) detected by MALDI-TOF/TOF MS/MS; the region highlighted in luminous yellow denotes the presumed AA sequence of purified FTX lacking the initial Met (M) and C-terminal 30 AA residues (241 AA residues, Mw 26.78 kDa). (B) FTX molecular weight detected by MALDI-TOF/TOF MS/MS.

3.3. Evaluation of Cell-Growth-Inhibitory Activity

A standard MTT assay was conducted to evaluate the growth-inhibitory activities of the protein fractions (viz. Ffsp-30, Ffsp-50, Ffsp-70, Ffsp-90, and Ffp-90) and FTX against three human GI cancer cell lines, viz. HT-29, SGC-7901, and HepG2. As presented in Figure 4A–C, the protein fractions decreased GI cancer cell viability by different degrees. Particularly, Ffsp-50 exhibited a conspicuous growth-inhibitory effect against HT-29, SGC-7901, and HepG2 cells with half maximal inhibitory concentration (IC50) values of 92.40, 60.75, and 102.20 μg/mL, respectively. Nevertheless, Ffsp-90 displayed no cytotoxicity toward HT-29 and SGC-7901 cells, and lowly cytotoxic to HepG2 cells, probably due to the absence or low concentration of FTX. Overall, these protein fractions exerted a more substantial cell-inhibitory effect against HepG2 cells than the other two cancer cell lines, showing a dose-dependent relationship.
Figure 4. Growth-inhibiting effects on three human gastrointestinal cancer cell lines. Using a standard MTT assay, the relative cell viabilities of HT-29, SGC-7901, and HepG2 cells were determined after treatment with indicated concentrations of (AC) Ffsp-30, Ffsp-50, Ffsp-70, Ffsp-90, and Ffp-90 for 24 h or (DF) FTX for 24, 48, and 72 h. Values are represented as the percentage of viable cells, with vehicle-treated cells regarded as 100% viable. Data are presented as mean ± S.D. of three independent experiments. * p < 0.05, ** p < 0.01 compared with vehicle-treated controls.
FTX, purified from effective anticancer protein fraction Ffsp-50, was further investigated for the growth-inhibitory effect against HT-29, SGC-7901, and HepG2 cells. As shown in Figure 4D–F, FTX evidently restrained the growth of HT-29 cells, with IC50 values of 295.37, 89.22, and 67.48 μg/mL at 24, 48, and 72 h, respectively. Nevertheless, no noticeable cytotoxicity was observed when SGC-7901 cells were exposed to 12.5 and 25 μg/mL of FTX at 24 and 48 h. FTX prominently decreased the cell viability of SGC-7901 cells with an IC50 value of 28.62 μg/mL at 72 h (p < 0.01). Furthermore, FTX outstandingly suppressed the growth of HepG2 cells in a time- and dose-dependent manner (p < 0.01); which IC50 values at 24, 48, and 72 h were 107.77, 53.96, and 36.8 μg/mL, respectively. Based on the above findings, HepG2 cells were further employed to investigate ROS generation and apoptosis induction.

3.4. Apoptosis-Inducing Activity

In order to determine whether the growth-inhibitory effects of Ffsp-50 and FTX on HepG2 cells were partially attributable to their apoptosis-triggering potential, morphological alterations were visualized by DAPI nuclear staining under a fluorescence microscope after treatment with different concentrations of Ffsp-50 (0, 25, 50, and 100 μg/mL) and FTX (0, 12.5, 25, and 50 μg/mL) for 24 h. Exposure to both Ffsp-50 and FTX led to a decreased number of HepG2 cells along with several visible apoptotic morphological changes, including increased brightness, cell shrinking, nuclear deformation, and chromatin condensation (pyknosis), as shown in Figure 5A,B, respectively. Flow cytometry analysis was further performed to quantify the extent of apoptosis in HepG2 cells with Annexin V/PI double staining. In Figure 5C,D, the lower right (Annexin V+/PI) and upper right (Annexin V+/PI+) indicate early and late apoptotic cells, respectively, in representative fluorescence-activated cell sorting (FACS) analysis scattergrams. The percentage of apoptotic cells following challenge with 0, 25, 50, and 100 μg/mL of Ffsp-50 was 4.89%, 11.86%, 18.61%, and 43.73%, respectively. Moreover, the percentage of apoptotic cells after treatment with 0, 12.5, 25, and 50 μg/mL of FTX was 5.89%, 18.88%, 22.78%, and 35.80% respectively. The number of apoptotic cells, particularly early apoptotic cells, was dramatically increased by both Ffsp-50 and FTX (p < 0.01), as seen in Figure 5E,F, respectively. Our finding demonstrated significant apoptosis-triggering activities elicited by Ffsp-50 and FTX.
Figure 5. Morphological changes in HepG2 cells examined by DAPI nuclear staining under a fluorescence microscope after challenge with indicated concentrations of (A) Ffsp-50 (0, 25, 50, and 100 μg/mL) and (B) FTX (0, 12.5, 25, and 50 μg/mL) for 24 h. Images are representative of three independent experiments (magnification ×200). Apoptosis-inducing effects of Ffsp-50 (C,E) and FTX (D,F) in HepG2 cells. HepG2 cells were treated with indicated concentrations of Ffsp-50 (0, 25, 50, and 100 μg/mL) and FTX (0, 12.5, 25, and 50 μg/mL) for 24 h and analyzed by flow cytometry with Annexin V/PI double staining. Representative FACS analysis scattergrams of Annexin V/PI show the four different cell populations, which are described as follows: double-negative stained cells (Annexin V/PI, lower left) indicating the live cell population; Annexin V positive/PI negative stained cells (Annexin V+/PI, lower right) and double−positive (Annexin V+/PI+, upper right) stained cells showing early and late apoptotic cells, respectively; Annexin V negative/PI positive stained cells (Annexin V/PI+, upper left) denoting dead cells. Data shown are presented as mean ± SD of three independent experiments. ** p < 0.01 compared with vehicle−treated controls.

3.5. Intracellular ROS Generation

Intracellular ROS accumulation was determined by fluorescence analysis to assess the oxidative stress status of HepG2 cells. As shown in Figure 6A,B, treatment with increased concentrations of Ffsp-50 or FTX caused upregulated intracellular fluorescence intensity along with a gradual decrease in cellular confluence and morphological changes including cell rounding, shrinkage, and increased intercellular space. Taken together, our result demonstrated that both Ffsp-50 and FTX caused the overproduction of intracellular ROS and oxidative stress in HepG2 cells.
Figure 6. Intracellular ROS generation in HepG2 cells detected by DCFH-DA staining using fluorescence microscope after treatment with indicated concentrations of (A) Ffsp-50 (0, 25, 50, and 100 μg/mL) and (B) FTX (0, 12.5, 25, and 50 μg/mL) for 24 h. Images are representative of three independent experiments (magnification ×200).

3.6. Phylogenetic Analysis

Phylogenetic analysis was executed to evaluate the evolutionary relationship between F. filiformis and other fungi. As shown in Figure 7, FTX protein in F. filiformis (GenBank accession number: BAA76510.1) showed a high similarity with the homologue protein from Agrocybe chaxingu (GenBank accession number: AAP38176.1). Protein–protein BLAST (NCBI) revealed that its similarity value with FTX homologue protein in Hericium erinaceus (GenBank accession number: AAP38175.1), Fistulina hepatica ATCC 64428 (GenBank accession number: KIY46158.1), and Fomitiporia mediterranea MF3/22 (GenBank accession number: XP_007270125.1) was 99.63% (E value 0), 55.47% (E value 9 × 10−94), and 53.76% (E value 3 × 10−97), respectively. Phylogenetic analysis indicated that FTX protein was relatively conserved in basidiomycetes.
Figure 7. Phylogenetic tree of FTX protein in F. filiformis and other fungi.

3.7. Analysis of Gene Expression Profile

qPCR was carried out to analyze the expression pattern of FTX during the growth and development of F. filiformis. As shown in Table 2, the relative expression level of FTX was significantly upregulated throughout the development of the fruiting body as compared with that in the mycelium (p < 0.05 or 0.01). It is worth noting that the relative expression level of FTX in the primordium and the pileus in the elongation and maturation stages was 1029.20 ± 36.36 (p < 0.01), 1339.03 ± 115.68 (p < 0.05), and 741.86 ± 43.79 times (p < 0.01) of that in the mycelium, respectively.
Table 2. Relative expression level of FTX in tissues of F. filiformis at different developmental stages.

4. Discussion

Edible mushrooms have become increasingly popular and consumed worldwide, especially owing to their good content of proteins. As an alternative to animal protein, edible mushrooms can be processed to obtain a wide spectrum of food products and may enhance their functional properties, endowing them with an added value as well [30,31]. Recently, F. filiformis cultivation has rapidly improved because of its high nutritional value and delicious taste, making it the fourth most popular edible mushroom worldwide. However, the generated root waste, despite having similar nutritional value to fruiting bodies, is often abandoned, thereby increasing treatment costs and bringing a huge burden to edible mushroom companies. Therefore, there is an urgent need to develop health and/or medicinal functions in the fruiting bodies to increase utilization and added value [32]. F. filiformis was recorded in the Chinese Materia Medica (Zhong Hua Ben Cao) as possessing liver-tonifying, stomach-benefiting, and antitumor properties [33]. To our best knowledge, little research regarding the antitumor activity of protein from F. filiformis exists. In this study, protein fractions were prepared from the fruiting body of F. filiformis by NaCl extraction and partitioned by gradual (NH4)2SO4 precipitation. They were systematically evaluated for growth-inhibitory effects against three GI cancer cell lines, viz. HT-29, SGC-7901, and HepG2. Among these protein fractions, Ffsp-50, dominated by FTX (Figure 1 and Table 1), was shown to be the most cytotoxic against cancer cells, as shown in Figure 4A–C. These findings prompted us to investigate whether FTX possessed the same or even stronger cytotoxic effects. As expected, FTX was purified and characterized with an Mw of 26.78 kDa (Figure 2 and Figure 3), which significantly restrained cancer cell growth, especially for HepG2, with a time- and dose-dependent relationship (Figure 4D–F).
Cancer is a group of diseases characterized by uncontrolled cell growth and/or reduced cellular apoptosis, which is used as a valid target for anticancer therapy [34]. Recent studies have shown FTX could assemble into a ring-shaped oligomer to produce a hydrophilic pore of 4–5 nm in the cell membrane, thus resulting in potassium ion (K+) efflux from human erythrocytes and cell swelling [35,36]. Subsequent research has revealed that FTX exposure allows for a rapid calcium ion (Ca2+) influx from the extracellular part into Caco-2 cells, likely through membrane pore formation [28]. Compelling evidence has indicated that K+ efflux and Ca2+ influx are pivotal early steps in cell apoptosis [37,38,39,40]. Consequently, it was speculated that FTX possessed a cell apoptosis-inducing effect. As confirmed by DAPI staining and flow cytometry analysis, Ffsp-50 and FTX triggered apparent apoptosis in HepG2, as evident in Figure 5. These findings demonstrated that the growth-inhibitory effects of Ffsp-50 and FTX were at least partially attributable to their pro-apoptotic activities.
ROS act as essential signaling molecules in cancer. However, toxic levels of ROS generation in cancer are antitumorigenic, resulting in an increase in oxidative stress and induction of tumor cell apoptosis or death [41]. Mounting evidence has shown that conventional anticancer drugs exert chemotherapeutic effects by installing oxidative stress and ROS-mediated apoptosis in cancer cells [42]. A recent study showed that K+ efflux and Ca2+ influx elicited mitochondrial ROS generation and oxidative stress [43], eventually activating the mitochondria-dependent apoptosis pathway [44]. Our result demonstrated that both Ffsp-50 and FTX caused an overproduction of intracellular ROS (Figure 6), probably resulting in mitochondria-dependent apoptosis in HepG2 cells. In addition, FTX was identified as a relatively conserved protein in basidiomycetes (Figure 7), indicating some conserved molecular mechanisms in multicellular complexity [45]. Gene expression profile analysis will help to understand its biofunctional role in the developmental process [46]. Recent transcriptome data revealed that FTX ranked the fifth in the top twenty upregulated genes induced in the primordium relative to the vegetative mycelium [47]. Gene expression analysis showed that FTX expression was particularly highly upregulated in the primordium as well as the pileus of the fruiting body during the elongation and maturation stages (Table 2). Therefore, the specific developmental stage and tissue upregulated expression of FTX implied its potential participation in the growth and development of the fruiting body.
Collectively, our study has shown that FTX could induce ROS generation and apoptosis in HepG2 cells. Its biofunctional role in the growth and development of F. filiformis warrants further investigation.

5. Conclusions

F. filiformis can be used as a functional food and has great potential for developing medical and health products. The results of our investigation provided insight into the antigastrointestinal cancer activity of FTX, which could serve as a biological source of health-promoting and biomedical applications. Furthermore, FTX, identified as a relatively conserved protein in basidiomycetes, was shown to be developmentally regulated. The biofunctional role of FTX in the development of F. filiformis emerged as an interesting scientific problem, thus meriting deeper exploration.

Author Contributions

Conceptualization, J.W., B.X. and Y.T.; methodology, C.W.; validation, B.C., C.W. and Y.J.; formal analysis, J.W. and B.C.; investigation, J.W., Y.N. and Y.C.; resources, B.X.; data curation, Y.T.; writing—original draft preparation, J.W.; writing—review and editing, B.X.; visualization, J.W.; supervision, Y.J. and Y.T.; project administration, Y.T.; funding acquisition, Y.T. and B.X. All authors have read and agreed to the published version of the manuscript.

Funding

This research was funded by the Natural Science Foundation for Distinguished Young Scholars of Fujian Agriculture and Forestry University of China, grant number xjq201919; the National Key R&D Program of China, grant number 2022YFD1200604; and the Seed Industry Innovation and Industrialization Project of Fujian Province of China, grant number zycxny2021012.

Institutional Review Board Statement

Not applicable.

Data Availability Statement

Data are contained within the article.

Conflicts of Interest

The authors declare no conflict of interest.

References

  1. Soleimanpour, S.; Hasanian, S.M.; Avan, A.; Yaghoubi, A.; Khazaei, M. Bacteriotherapy in gastrointestinal cancer. Life Sci. 2020, 254, 117754. [Google Scholar] [CrossRef] [PubMed]
  2. Rezvani, V.; Pourianfar, H.R.; Mohammadnejad, S.; Madjid, A.A.; Farahmand, L. Anticancer potentiality and mode of action of low-carbohydrate proteins and peptides from mushrooms. Appl. Microbiol. Biotechnol. 2020, 104, 6855–6871. [Google Scholar] [CrossRef] [PubMed]
  3. Chen, J.; Li, J.M.; Tang, Y.J.; Ma, K.; Li, B.; Zeng, X.; Liu, X.B.; Li, Y.; Yang, Z.L.; Xu, W.N.; et al. Genome-wide analysis and prediction of genes involved in the biosynthesis of polysaccharides and bioactive secondary metabolites in high-temperature-tolerant wild Flammulina filiformis. BMC Genom. 2020, 21, 719. [Google Scholar] [CrossRef] [PubMed]
  4. Ding, Y.; Chen, S.T.; Wang, H.L.; Li, S.L.; Ma, C.Y.; Wang, J.M.; Cui, L.L. Identification of secondary metabolites in Flammulina velutipes by UPLC-Q-Exactive-Orbitrap MS. J. Food Qual. 2021, 2021, 4103952. [Google Scholar] [CrossRef]
  5. Fukushima-Sakuno, E. Bioactive small secondary metabolites from the mushrooms Lentinula edodes and Flammulina velutipes. J. Antibiot. 2020, 73, 687–696. [Google Scholar] [CrossRef] [PubMed]
  6. Tang, C.; Hoo, P.C.; Tan, L.T.; Pusparajah, P.; Khan, T.M.; Lee, L.H.; Goh, B.H.; Chan, K.G. Golden needle mushroom: A culinary medicine with evidenced-based biological activities and health promoting properties. Front Pharmacol. 2016, 7, 474. [Google Scholar] [CrossRef] [PubMed]
  7. Wang, Y.; Zhang, H. Advances in the extraction, purification, structural-property relationships and bioactive molecular mechanism of Flammulina velutipes polysaccharides: A review. Int. J. Biol. Macromol. 2021, 167, 528–538. [Google Scholar] [CrossRef] [PubMed]
  8. Wang, H.X.; Ng, T.B. Flammulin: A novel ribosome-inactivating protein from fruiting bodies of the winter mushroom Flammulina velutipes. Biochem. Cell Biol. 2000, 78, 699–702. [Google Scholar] [CrossRef]
  9. Wang, H.X.; Ng, T.B. Isolation and characterization of velutin, a novel low-molecular-weight ribosome-inactivating protein from winter mushroom (Flammulina velutipes) fruiting bodies. Life Sci. 2001, 68, 2151–2158. [Google Scholar] [CrossRef]
  10. Ng, T.B.; Wang, H.X. Flammin and velin: New ribosome inactivating polypeptides from the mushroom Flammulina velutipes. Peptides 2004, 25, 929–933. [Google Scholar] [CrossRef]
  11. Ko, J.L.; Hsu, C.I.; Lin, R.H.; Kao, C.L.; Lin, J.Y. A new fungal immunomodulatory protein, FIP-fve isolated from the edible mushroom, Flammulina velutipes and its complete amino acid sequence. Eur. J. Biochem. 1995, 228, 244–249. [Google Scholar] [CrossRef] [PubMed]
  12. Maruyama, H.; Ikekawa, T. Immunomodulation and antitumor activity of a mushroom product, proflamin, isolated from Flammulina velutipes (W. Curt.: Fr.) Singer (Agaricomycetideae). Int. J. Med. Mushrooms 2007, 9, 109–122. [Google Scholar] [CrossRef]
  13. Tomita, T.; Mizumachi, Y.; Chong, K.; Ogawa, K.; Konishi, N.; Sugawara-Tomita, N.; Dohmae, N.; Hashimoto, Y.; Takio, K. Protein sequence analysis, cloning, and expression of flammutoxin, a pore-forming cytolysin from flammulina velutipes. maturation of dimeric precursor to monomeric active form by carboxyl-terminal truncation. J. Biol. Chem. 2004, 279, 54161–54172. [Google Scholar] [CrossRef] [PubMed]
  14. Chang, Y.C.; Hsiao, Y.M.; Wu, M.F.; Ou, C.C.; Lin, Y.W.; Lue, K.H.; Ko, J.L. Interruption of lung cancer cell migration and proliferation by fungal immunomodulatory protein FIP-fve from Flammulina velutipes. J. Agric. Food Chem. 2013, 61, 12044–12052. [Google Scholar] [CrossRef]
  15. Lin, J.Y.; Lin, Y.J.; Chen, C.C.; Wu, H.L.; Shi, G.Y.; Jeng, T.W. Cardiotoxic protein from edible mushrooms. Nature 1974, 252, 235–237. [Google Scholar] [CrossRef] [PubMed]
  16. Lin, J.Y.; Wu, H.L.; Shi, G.Y. Toxicity of the cardiotoxic protein flammutoxin, isolate from edible mushroom Flammulina velutipes. Toxicon 1975, 13, 323–331. [Google Scholar] [CrossRef] [PubMed]
  17. Fu, M.J.; Wu, Z.J.; Li, Q.Y.; Xie, L.H. Change in protein content of Flammulina velutipes and biological activities of one protein. Chin. J. Appl. Environ. Biol. 2005, 11, 40–44. [Google Scholar]
  18. Zhang, G.Q.; Wang, Y.F.; Zhang, X.Q.; Ng, T.B.; Wang, H.X. Purification and characterization of a novel laccase from the edible mushroom, Clitocybe maxima. Process Biochem. 2010, 45, 627–633. [Google Scholar] [CrossRef]
  19. Wu, J.G.; Ma, L.; Lin, S.H.; Wu, Y.B.; Yi, J.; Yang, B.J.; Wu, J.Z.; Wong, K.H. Anticancer and anti-angiogenic activities of extract from Actinidia eriantha Benth root. J. Ethnopharmacol. 2017, 203, 1–10. [Google Scholar] [CrossRef]
  20. Tamura, K.; Peterson, D.; Peterson, N.; Stecher, G.; Nei, M.; Kumar, S. MEGA5: Molecular evolutionary genetics analysis using maximum likelihood, evolutionary distance, and maximum parsimony methods. Mol. Biol. Evol. 2011, 28, 2731–2739. [Google Scholar] [CrossRef]
  21. Larkin, M.A.; Blackshields, G.; Brown, N.P.; Chenna, R.; McGettigan, P.A.; McWilliam, H.; Valentin, F.; Wallace, I.M.; Wilm, A.; Lopez, R.; et al. Clustal W and Clustal X version 2.0. Bioinformatics 2007, 23, 2947–2948. [Google Scholar] [CrossRef] [PubMed]
  22. Kimura, M. A simple method for estimating evolutionary rates of base substitutions through comparative studies of nucleotide sequences. J. Mol. Evol. 1980, 16, 111–120. [Google Scholar] [CrossRef] [PubMed]
  23. Saitou, N.; Nei, M. The neighbor-joining method: A new method for reconstructing phylogenetic trees. Mol. Biol. Evol. 1987, 4, 406–425. [Google Scholar] [CrossRef] [PubMed]
  24. Felsenstein, J. Confidence limits on phylogenies: An approach using the bootstrap. Evolution 1985, 39, 783–791. [Google Scholar] [CrossRef] [PubMed]
  25. Tao, Y.X.; Chen, R.L.; Yan, J.J.; Long, Y.; Tong, Z.J.; Song, H.B.; Xie, B.G. A hydrophobin gene, Hyd9, plays an important role in the formation of aerial hyphae and primordia in Flammulina filiformis. Gene 2019, 706, 84–90. [Google Scholar] [CrossRef] [PubMed]
  26. Livak, K.J.; Schmittgen, T.D. Analysis of relative gene expression data using real-time quantitative PCR and the 2−ΔΔCt method. Methods 2001, 25, 402–408. [Google Scholar] [CrossRef]
  27. Zhang, Y.H.; Gao, C.M.; Zhang, Y.H.; Huang, H.; Du, Y.M.; Wu, L.; Wu, L.P. FTX271: A potential gene resource for plant antiviral transgenic breeding. Front. Microbiol. 2022, 13, 1003478. [Google Scholar] [CrossRef]
  28. Narai, A.; Watanabe, H.; Iwanaga, T.; Tomita, T.; Shimizu, M. Effect of a pore-forming protein derived from Flammulina velutipes on the Caco-2 intestinal epithelial cell monolayer. Biosci. Biotechnol. Biochem. 2004, 68, 2230–2238. [Google Scholar] [CrossRef][Green Version]
  29. Tung, C.H.; Lin, C.C.; Tung, C.C.; Chen, S.F.; Sheu, F.; Lu, T.J. Combination of on-line desalting and HPLC-UV-ESI-MS for simultaneous detection and identification of FIP-fve and flammutoxin in Flammulina velutipes. J. Food Drug Anal. 2018, 26, 1045–1053. [Google Scholar] [CrossRef]
  30. González, A.; Cruz, M.; Losoya, C.; Nobre, C.; Loredo, A.; Rodríguez, R.; Contreras, J.; Belmares, R. Edible mushrooms as a novel protein source for functional foods. Food Funct. 2020, 11, 7400–7414. [Google Scholar] [CrossRef]
  31. Wang, M.Q.; Zhao, R.L. A review on nutritional advantages of edible mushrooms and its industrialization development situation in protein meat analogues. J. Future Foods 2023, 3, 1–7. [Google Scholar] [CrossRef]
  32. Cai, M.M.; Zhang, K.; Zhong, W.D.; Liu, N.; Wu, X.J.; Li, W.; Zheng, L.Y.; Yu, Z.N.; Zhang, J.B. Bioconversion-Composting of Golden Needle Mushroom (Flammulina velutipes) Root Waste by Black Soldier Fly (Hermetia illucens, Diptera: Stratiomyidae) Larvae, to Obtain Added-Value Biomass and Fertilizer. Waste Biomass Valori. 2019, 10, 265–273. [Google Scholar] [CrossRef]
  33. Editorial Board of “Zhong Hua Ben Cao”; State Administration of Traditional Chinese Medicine of the People’s Republic of China. Chinese Materia Medica (Zhong Hua Ben Cao); Shanghai Scientific and Technical Publishers: Shanghai, China, 1999; Volume 3, pp. 570–571. [Google Scholar]
  34. Sykiotis, G.P.; Papavassiliou, A.G. Apoptosis: The suicide solution in cancer treatment and chemoprevention. Expert. Opin. Investig. Drugs 2006, 15, 575–577. [Google Scholar] [CrossRef] [PubMed]
  35. Tadjibaeva, G.; Sabirov, R.; Tomita, T. Flammutoxin, a cytolysin from the edible mushroom Flammulina Velutipes, forms two different types of voltage-gated channels in lipid bilayer membranes. Biochim. Biophys. Acta 2000, 1467, 431–443. [Google Scholar] [CrossRef] [PubMed]
  36. Tomita, T.; Ishikawa, D.; Noguchi, T.; Katayama, E.; Hashimoto, Y. Assembly of flammutoxin, a cytolytic protein from the edible mushroom Flammulina Velutipes, into a pore-forming ring-shaped oligomer on the target cell. Biochem. J. 1998, 333, 129–137. [Google Scholar] [CrossRef] [PubMed]
  37. Andrés, M.T.; Viejo-Díaz, M.; Fierro, J.F. Human lactoferrin induces apoptosis-like cell death in Candida albicans: Critical role of K+ -channel-mediated K+ efflux. Antimicrob. Agents Chemother. 2008, 52, 4081–4088. [Google Scholar] [CrossRef] [PubMed]
  38. Bortner, C.D.; Hughes, F.M.; Cidlowski, J.A. A primary role for K+ and Na+ efflux in the activation of apoptosis. J. Biol. Chem. 1997, 272, 32436–32442. [Google Scholar] [CrossRef] [PubMed]
  39. Pigozzi, D.; Tombal, B.; Ducret, T.; Vacher, P.; Gailly, P. Role of store-dependent influx of Ca2+ and efflux of K+ in apoptosis of CHO cells. Cell Calcium 2004, 36, 421–430. [Google Scholar] [CrossRef]
  40. Yu, S.P. Regulation and critical role of potassium homeostasis in apoptosis. Prog. Neurobiol. 2003, 70, 363–386. [Google Scholar] [CrossRef]
  41. Moloney, J.N.; Cotter, T.G. ROS signalling in the biology of cancer. Semin. Cell Dev. Biol. 2018, 80, 50–64. [Google Scholar] [CrossRef]
  42. Bailly, C. Regulation of PD-L1 expression on cancer cells with ROS-modulating drugs. Life Sci. 2020, 246, 117403. [Google Scholar] [CrossRef] [PubMed]
  43. Tian, C.; Han, X.; He, L.; Tang, F.; Huang, R.; Lin, Z.; Li, S.; Deng, S.; Xu, J.; Huang, H.; et al. Transient receptor potential ankyrin 1 contributes to the ATP-elicited oxidative stress and inflammation in THP-1-derived macrophage. Mol. Cell Biochem. 2020, 473, 179–192. [Google Scholar] [CrossRef] [PubMed]
  44. Shih, S.P.; Lu, M.C.; El-Shazly, M.; Lin, Y.H.; Chen, C.L.; Yu, S.S.; Liu, Y.C. The antileukemic and anti-prostatic effect of aeroplysinin-1 is mediated through ROS-induced apoptosis via NOX activation and inhibition of HIF-1a activity. Life 2022, 12, 687. [Google Scholar] [CrossRef] [PubMed]
  45. Krizsán, K.; Almási, É.; Merényi, Z.; Sahu, N.; Virágh, M.; Kószó, T.; Mondo, S.; Kiss, B.; Bálint, B.; Kües, U.; et al. Transcriptomic atlas of mushroom development reveals conserved genes behind complex multicellularity in fungi. Proc. Natl. Acad. Sci. USA 2019, 116, 7409–7418. [Google Scholar] [CrossRef]
  46. Huang, L.; Zeng, Y.J.; Yang, S.K.; Zhou, H.; Xu, J.J.; Zhou, Y.C.; Wang, G. Transcriptome analysis of gene expression profiles reveals wood formation mechanisms in Chinese fir at different stand ages. Heliyon 2023, 9, e14861. [Google Scholar] [CrossRef]
  47. Liu, X.B.; Xia, E.H.; Li, M.; Cui, Y.Y.; Wang, P.M.; Zhang, J.X.; Xie, B.G.; Xu, J.P.; Yan, J.J.; Li, J.; et al. Transcriptome data reveal conserved patterns of fruiting body development and response to heat stress in the mushroom-forming fungus Flammulina filiformis. PLoS ONE 2020, 15, e0239890. [Google Scholar] [CrossRef]
Disclaimer/Publisher’s Note: The statements, opinions and data contained in all publications are solely those of the individual author(s) and contributor(s) and not of MDPI and/or the editor(s). MDPI and/or the editor(s) disclaim responsibility for any injury to people or property resulting from any ideas, methods, instructions or products referred to in the content.

Article Metrics

Citations

Article Access Statistics

Multiple requests from the same IP address are counted as one view.